RESSONÂNCIA
MAGNÉTICA NO
ESTUDO DO AVC
FABIANO LADISLAU
Técnico em Radiologia
Grad. em Tecnólogo em Radiologia
Pós Graduando em Proteção Radiológica, Aplicações Médicas, Nucleares e Industriais
Esp. RD, TC, RM e Neurorradiologia
Conselheiro CRTR/RJ – Presidente da CEPro CRTR/RJ
Vice-Presidente da APROTERJ
Membro da ISRRT e Sócio da SBPR
Centro Internacional SARAH de Neurorreabilitação e Neurociências
ABORDAGEM
Iremos abordar os conceitos de
um AVCI e AVCH, sua etiologia e
prevenção. Saber analisar num exame
de RM anormalidades e situações
diagnósticas da lesão.
CÍRCULO ARTERIAL DO CÉREBRO
A. comunicante anterior
A. cerebral
média
A. comunicante posterior

A. cerebral
posterior
A. basilar

A. vertebral
ARTÉRIA
ARTÉRIA
ARTÉRIA
• ACIDENTE VASCULAR CEREBRAL;
• ACIDENTE VASCULAR ENCEFÁLICO;
AVC - Conceito
• Dicionário Médico:
É uma manifestação, muitas vezes
súbita, de insuficiência vascular do
cérebro de origem arterial: espasmo,
isquemia, hemorragia, trombose.
AVC - Conceito
• Dicionário Médico:
Ocorre quando o suprimento de
sangue em uma área do cérebro se
interrompe ou quando um vaso
sangüíneo se rompe, derramando
sangue nos espaços que rodeiam as
células cerebrais.
AIT
• Evento cerebrovascular focal que
regride totalmente em menos de 24
horas;
• Dura apenas entre 5 e 30 minutos;
• É razoável admitir que por serem
breves, resultam em pouca ou
nenhuma lesão cerebral permanente.
AIT
• Podem começar subitamente, e
podem durar alguns minutos
• Tratamento médico imediatamente,
reduz em 80% o risco de um
posterior AVC;
Ativador do Plasminogênio
Tecidual Recombinante
TPA
http://noticias.terra.com.br/ciencia/noticias
AIT (tratamanento)
• 1ª FASE – 3 a 20 dias após AIT;
90 dias depois do AIT era de 10,3%.
• 2ª FASE – 1 dia após AIT.

90 dias depois do AIT foi de 2,1%.
http://noticias.terra.com.br/ciencia/noticias
UTI NEUROLÓGICA
ESPAÇO ESPECIALIZADO GARANTE
ATENDIMENTO PERSONALIZADO E
REDUZ MORTALIDADE E DANOS
NEUROLÓGICOS.
A UTI Especializada
concentra equipes de saúde
bem mais preparadas para
enfrentar situações
específicas das condições
atendidas.
Veja, edição 2331, 24/07/2013.
AVCI x AVCH
• Isquêmico: É a diminuição
do fluxo sanguíneo cerebral
vascular.

•

Hemorrágico: Rompimento
do
vaso,
provocando
hemorragia (sangramento)
local no cérebro.
AVCI – 83%

Embólico

AVCH – 17%

Hemorragia
intraparenquimatosa

Aterotrombótico
Pequenos Vasos

Hemorragia
subaracnoidea

Aterotrombótico
Grandes Vasos
Classificação da
etiologia do AVCI

AVC ISQUÊMICO

- Aterosclerose de grandes
artérias;
- Oclusão de pequenas
artérias;
- Embolia cardíaca, etc.
AVC HEMORRÁGICO

- HEMORRAGIA
PARENQUIMATOSA
- HEMORRAGIA
SUBARACNOIDEIA (HSA)
SINAIS E SINTOMAS
• Alterações do movimento e/ou
sensibilidade em uma parte do corpo.
• Afasia;

• Dor de cabeça intensa e súbita;
• Alteração da visão;
• Tontura, alteração no equilíbrio;
• Náusea, dificuldade de engolir e/ou
perda da consciência (desmaios).
Associação Brasil AVC
Cortesia: Fabrício de Oliveira
FATORES DE RISCO – AVC/AVE
• Estudo recente para avaliação do impacto dos
fatores de risco:
- 3000 pacientes (78% infarto isquêmico e 22%
com hemorragia intracerebral);
- 3000 controles em 22 países, particularmente
de média e baixa renda.
• Foi sugerido 10 fatores de risco como os
principais envolvidos em mais de 90% dos casos.
FATORES DE RISCO – AVC/AVE
Hipertensão

Diabetes melito

Tabagismo

Ingestão de álcool
Estresse
psicossoical
depressão
Causas cardíacas

Razão cintura-quadril

Escore de risco alimentar
Atividade física irregular

Apolipoproteínas B-A1

e
RESSONÂNCIA
MAGNÉTICA

• Conceitos Básicos:
- Hidrogênio;
- Campo magnético (até 3,0T);
- RF;
- Bobinas/Coils/Antenas.
SEQUÊNCIAS E
PONDERAÇÕES
• T1:

Utilizada para verificar a anatomia muscular e
óssea, com precisão anatômica.

• T2:

Lesões processos infecciosos, cistos e edemas
decorrentes de traumas. Grande sensibilidade à
presença de calcificações diversas, e sangue oriundo
de quadros hemorrágicos.

• GRE

T2*:

Apresenta efeito angiográfico,
mielográfico e artrográfico, por que o sangue, o LCR e
o líquido articular aparecem brilhantes.
SEQUÊNCIAS E
PONDERAÇÕES
↑ Tecido adiposo

T1

↑ Água

T2

↑ Sangue

GRE T2*
PRINCIPAIS SEQUÊNCIAS
• Difusão (DWI):
Mapa de coeficientes de difusão aparente (ADC).

• Perfusão:
Mede a passagem do meio de contraste pelos
vasos encefálicos, simulando o fluxo sanguíneo.

• Flair:
Saturação do líquor (LCR).

• TOF (Time of flight):
Promove contraste entre estruturas vasculares
com fluxo de tecido estacionário numa única aquisição.
T1
T1

T2
T2

FLAIR
FLAIR

DIFUSÃO
difusão

DIFUSÃO
difusão

ADC

PERFUSÃO
perfusão

ADC

TOF
TOF
SAG T1

COR T FS

AX T2 PROPELLER

ENCEFALOMALÁCIA GLIOSE
AX T2 FLAIR
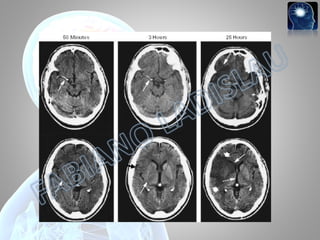
• AVC isquêmico;
• Detectado
três
horas
após
o
evento, quando a
TC nada mostrava.
AX T2 FLAIR

COR T2 FS

AX T2 FLAIR

COR T2 FS

AX T2 FLAIR

COR T2 FS
Paciente, sexo M, 2 anos. com diagnóstico de
paralisia cerebral tipo hemiplegia espástica a
direita, secundária a um AVC ocorrido aos 3 meses.
LESIONADO

SADIO
Paciente, sexo masculino, 60 anos,
seqüela de AVCI e HAS.

Pequena área de restrição na difusão na substância
branca periventricular frontal à direita, indicando
provável zona de isquemia aguda/subaguda.
Paciente sexo feminino, 35 anos,
seqüelas
de
acidentes
vascular
isquêmico, ocorrido em janeiro de 2011,
durante ato cirúrgico (abdome e mama),
disartria, movimentos involuntário em
MMII,
tetraparesia
espástica.
Paciente, F, 38a, seqüela de AVCH em
idade jovem, etiologia hipertensiva.

Encefalomalácia e
sangramento
antigo.
Paciente, F, 38a, seqüela de AVCH em
idade jovem, etiologia hipertensiva.
ALERTA!!
Relatório da OMS:
• Doenças crônicas, causas mais mortes
que todas as outras doenças combinadas;
• Segundo OMS, em 2008 causaram mais
da metade de todas as mortes;
• 36 milhões, ou 63% das 57 milhões de
mortes no mundo em 2008;
www.globo.com - Publicado em 27/04/2011.
O melhor tratamento para o AVC
é sua prevenção !!!!!!!!
cepro@crtrrj.gov.br
OBRIGADO!!
“Ninguém é tão sábio que não precise
aprender alguma coisa, nem tão
ignorante que não possa ensinar algo.”
Johan G. Fichte, Filósofo Alemão
(1762-1814)

fladislau@gmail.com
cepro@crtrrj.gov.br
eticaedisciplina@crtrrj.gov.br

RM no Estudo do AVC

  • 2.
    RESSONÂNCIA MAGNÉTICA NO ESTUDO DOAVC FABIANO LADISLAU Técnico em Radiologia Grad. em Tecnólogo em Radiologia Pós Graduando em Proteção Radiológica, Aplicações Médicas, Nucleares e Industriais Esp. RD, TC, RM e Neurorradiologia Conselheiro CRTR/RJ – Presidente da CEPro CRTR/RJ Vice-Presidente da APROTERJ Membro da ISRRT e Sócio da SBPR Centro Internacional SARAH de Neurorreabilitação e Neurociências
  • 3.
    ABORDAGEM Iremos abordar osconceitos de um AVCI e AVCH, sua etiologia e prevenção. Saber analisar num exame de RM anormalidades e situações diagnósticas da lesão.
  • 6.
    CÍRCULO ARTERIAL DOCÉREBRO A. comunicante anterior A. cerebral média A. comunicante posterior A. cerebral posterior A. basilar A. vertebral
  • 7.
  • 8.
  • 10.
  • 12.
    • ACIDENTE VASCULARCEREBRAL; • ACIDENTE VASCULAR ENCEFÁLICO;
  • 13.
    AVC - Conceito •Dicionário Médico: É uma manifestação, muitas vezes súbita, de insuficiência vascular do cérebro de origem arterial: espasmo, isquemia, hemorragia, trombose.
  • 14.
    AVC - Conceito •Dicionário Médico: Ocorre quando o suprimento de sangue em uma área do cérebro se interrompe ou quando um vaso sangüíneo se rompe, derramando sangue nos espaços que rodeiam as células cerebrais.
  • 15.
    AIT • Evento cerebrovascularfocal que regride totalmente em menos de 24 horas; • Dura apenas entre 5 e 30 minutos; • É razoável admitir que por serem breves, resultam em pouca ou nenhuma lesão cerebral permanente.
  • 16.
    AIT • Podem começarsubitamente, e podem durar alguns minutos • Tratamento médico imediatamente, reduz em 80% o risco de um posterior AVC; Ativador do Plasminogênio Tecidual Recombinante TPA http://noticias.terra.com.br/ciencia/noticias
  • 17.
    AIT (tratamanento) • 1ªFASE – 3 a 20 dias após AIT; 90 dias depois do AIT era de 10,3%. • 2ª FASE – 1 dia após AIT. 90 dias depois do AIT foi de 2,1%. http://noticias.terra.com.br/ciencia/noticias
  • 18.
    UTI NEUROLÓGICA ESPAÇO ESPECIALIZADOGARANTE ATENDIMENTO PERSONALIZADO E REDUZ MORTALIDADE E DANOS NEUROLÓGICOS. A UTI Especializada concentra equipes de saúde bem mais preparadas para enfrentar situações específicas das condições atendidas. Veja, edição 2331, 24/07/2013.
  • 19.
    AVCI x AVCH •Isquêmico: É a diminuição do fluxo sanguíneo cerebral vascular. • Hemorrágico: Rompimento do vaso, provocando hemorragia (sangramento) local no cérebro.
  • 20.
    AVCI – 83% Embólico AVCH– 17% Hemorragia intraparenquimatosa Aterotrombótico Pequenos Vasos Hemorragia subaracnoidea Aterotrombótico Grandes Vasos
  • 21.
    Classificação da etiologia doAVCI AVC ISQUÊMICO - Aterosclerose de grandes artérias; - Oclusão de pequenas artérias; - Embolia cardíaca, etc.
  • 22.
    AVC HEMORRÁGICO - HEMORRAGIA PARENQUIMATOSA -HEMORRAGIA SUBARACNOIDEIA (HSA)
  • 23.
    SINAIS E SINTOMAS •Alterações do movimento e/ou sensibilidade em uma parte do corpo. • Afasia; • Dor de cabeça intensa e súbita; • Alteração da visão; • Tontura, alteração no equilíbrio; • Náusea, dificuldade de engolir e/ou perda da consciência (desmaios). Associação Brasil AVC
  • 24.
  • 25.
    FATORES DE RISCO– AVC/AVE • Estudo recente para avaliação do impacto dos fatores de risco: - 3000 pacientes (78% infarto isquêmico e 22% com hemorragia intracerebral); - 3000 controles em 22 países, particularmente de média e baixa renda. • Foi sugerido 10 fatores de risco como os principais envolvidos em mais de 90% dos casos.
  • 26.
    FATORES DE RISCO– AVC/AVE Hipertensão Diabetes melito Tabagismo Ingestão de álcool Estresse psicossoical depressão Causas cardíacas Razão cintura-quadril Escore de risco alimentar Atividade física irregular Apolipoproteínas B-A1 e
  • 28.
    RESSONÂNCIA MAGNÉTICA • Conceitos Básicos: -Hidrogênio; - Campo magnético (até 3,0T); - RF; - Bobinas/Coils/Antenas.
  • 29.
    SEQUÊNCIAS E PONDERAÇÕES • T1: Utilizadapara verificar a anatomia muscular e óssea, com precisão anatômica. • T2: Lesões processos infecciosos, cistos e edemas decorrentes de traumas. Grande sensibilidade à presença de calcificações diversas, e sangue oriundo de quadros hemorrágicos. • GRE T2*: Apresenta efeito angiográfico, mielográfico e artrográfico, por que o sangue, o LCR e o líquido articular aparecem brilhantes.
  • 30.
    SEQUÊNCIAS E PONDERAÇÕES ↑ Tecidoadiposo T1 ↑ Água T2 ↑ Sangue GRE T2*
  • 31.
    PRINCIPAIS SEQUÊNCIAS • Difusão(DWI): Mapa de coeficientes de difusão aparente (ADC). • Perfusão: Mede a passagem do meio de contraste pelos vasos encefálicos, simulando o fluxo sanguíneo. • Flair: Saturação do líquor (LCR). • TOF (Time of flight): Promove contraste entre estruturas vasculares com fluxo de tecido estacionário numa única aquisição.
  • 34.
  • 35.
    SAG T1 COR TFS AX T2 PROPELLER ENCEFALOMALÁCIA GLIOSE AX T2 FLAIR
  • 37.
    • AVC isquêmico; •Detectado três horas após o evento, quando a TC nada mostrava.
  • 38.
    AX T2 FLAIR CORT2 FS AX T2 FLAIR COR T2 FS AX T2 FLAIR COR T2 FS
  • 39.
    Paciente, sexo M,2 anos. com diagnóstico de paralisia cerebral tipo hemiplegia espástica a direita, secundária a um AVC ocorrido aos 3 meses.
  • 40.
  • 41.
    Paciente, sexo masculino,60 anos, seqüela de AVCI e HAS. Pequena área de restrição na difusão na substância branca periventricular frontal à direita, indicando provável zona de isquemia aguda/subaguda.
  • 42.
    Paciente sexo feminino,35 anos, seqüelas de acidentes vascular isquêmico, ocorrido em janeiro de 2011, durante ato cirúrgico (abdome e mama), disartria, movimentos involuntário em MMII, tetraparesia espástica.
  • 44.
    Paciente, F, 38a,seqüela de AVCH em idade jovem, etiologia hipertensiva. Encefalomalácia e sangramento antigo.
  • 45.
    Paciente, F, 38a,seqüela de AVCH em idade jovem, etiologia hipertensiva.
  • 47.
    ALERTA!! Relatório da OMS: •Doenças crônicas, causas mais mortes que todas as outras doenças combinadas; • Segundo OMS, em 2008 causaram mais da metade de todas as mortes; • 36 milhões, ou 63% das 57 milhões de mortes no mundo em 2008; www.globo.com - Publicado em 27/04/2011.
  • 48.
    O melhor tratamentopara o AVC é sua prevenção !!!!!!!!
  • 49.
  • 50.
    OBRIGADO!! “Ninguém é tãosábio que não precise aprender alguma coisa, nem tão ignorante que não possa ensinar algo.” Johan G. Fichte, Filósofo Alemão (1762-1814) fladislau@gmail.com cepro@crtrrj.gov.br eticaedisciplina@crtrrj.gov.br