REUNIÃO DE DIAGNÓSTICO
DIFERENCIAL EM RADIOLOGIA
HOSPITAL MADRE TERESA
BRENDA NAJAT BOECHAT LAHLOU
R1 EM RADIOLOGIA E DIAGNÓSTICO POR IMAGEM
28/08/2019
HMA
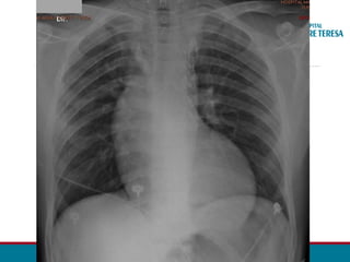
• F.A.F., sexo masculino, 16 anos.
• Ao realizar exames de rotina, o Eletrocardiograma evidenciou sinais
de sobrecarga do ventrículo esquerdo.
• Assintomático.
• Foram solicitados um ECOTT e uma ANGIOTC da Aorta.
ECG: Sinais de sobrecarga de ventrículo esquerdo
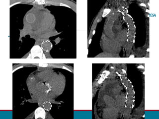
ANGIOTOMOGRAFIA DA AORTA TOTAL – 28/05:
• Presença de volumosa dilatação aneurismática do segmento tubular
ascendente aórtico, com o diâmetro de até 74 mm, sem trombo.
• Nota-se a redução moderada do diâmetro luminal aórtico do arco, sendo
mais intenso na região do istmo (diâmetro mínimo luminal efetivo no istmo é
de aproximadamente 6,5 mm), havendo dilatação fusiforme pós-
estenótica no terço proximal descendente aórtico com até 36 mm.
• O segmento mais distal descendente da aorta apresenta o diâmetro normal.
• São evidenciadas diversas artérias dilatadas moderadamente
intercostais da metade superior, bilaterais, notando-se ainda leve /
moderada dilatação bilateral das artérias torácicas internas.
•Artérias ilíacas comuns, internas e externas estão patentes.
Obs¹.: Gentileza correlacionar evolutivamente com achados de eventuais exames prévios de
imagens relacionados, não disponíveis no momento.
Obs².: Como achados de exame não direcionado, verificamos: Cardiomegalia.
Exames complementares
• ECODOPPLERCARDIOGRAMA TRANSTORÁCICO (pré ADM)
Remodelamento excêntrico do VE com FEVE preservada (57%
pelo método 3D).
Refluxo de valva tricúspide e mitral.
Regurgitação moderada a importante da valva aórtica.
Dilatação aneurismática importante da aorta ascendente.
VD com fração de ejeção preservada.
CONDUTA
• Internado para tratamento cirúrgico.
• Coarctação no istmo da aorta
• Aneurisma aorta ascendente
• Insuficiência da valva aórtica.
Primeiro Tempo Cirúrgico
Bloco Cirúrgico CCV – 31/05
[...]
• Realizada correção da coarctação com endoprotese 28/28/150 com
Free Flow, realizada balonamento posterior.
• Aferido gradiente pré e pós coarctação.
Realizada aortografia de controle com bom resultado.
[...]
Segundo Tempo Cirúrgico
Bloco Cirúrgico CCV – 06/06
[...]
• Tentado plastia da valva e com Eco transoperatório observado
insuficiência valvar e optado por modificação para Bentall de Bono
com prótese biológica o que provocou CEC por mais de 150 minutos,
teve três Clampagens de 49 minutos, 18 minutos e 42 minutos,
recebeu 6000 ml de cristaloide, 1700 ml de diurese após estímulo
com Lasix.
[...]
•FOTOS ANGIO TC POS OP
ANGIOTOMOGRAFIA DA AORTA TOTAL 11/06:
• Achados pós-operatórios de correção de coarctação de aorta (dado clínico), havendo próteses
valvar aórtica e na aorta ascendente, patentes. Há ainda endoprótese aórtica, também
pérvia, com ancoragem proximal na região da emergência da artéria carótida esquerda,
estendendo-se até o terço médio torácico descendente. Não há evidências de endoleak.
• Fios de esternorrafia bem posicionados.
• Pequena coleção hipoatenuante alongada retrosternal, com focos gasosos em permeio,
apresentando volume grosseiramente calculado em 23 cm³.
•Associa-se pequeno / moderado pneumomediastino, além de pequeno pneumoperitônio.
•Pequeno derrame pericárdico.
•Pequeno derrame pleural bilateral hipoatenuante.
•As demais porções da aorta torácica descendente apresenta diâmetro usual.
•Houve redução da dilatação de artérias intercostais e torácicas internas, na comparação com
estudo tomográfico prévio do dia 28/05/2019 (exame pré-operatório).
•Artérias ilíacas comuns, internas e externas estão patentes.
Obs.: Como achados de exame não direcionado, verificamos: Pequena ascite.
HMA
• O paciente evoluiu bem no pós operatório e recebeu alta dia 12/06.
COARCTAÇÃO DA AORTA
COARCTAÇÃO DA AORTA
• Doença congênita obstrutiva luminal.
• Ocorre estreitamento focal no segmento descendente
proximal, usualmente na região do ducto arterioso.
• Incidência: 2-6 / 10,000 nascimentos.
• 5- 10% dos casos de doença cardíaca congênita.
Teoria Muscular X Teoria Hemodinâmica
COARCTAÇÃO DA AORTA
• Doença congênita obstrutiva luminal.
• Ocorre estreitamento focal no segmento descendente
proximal, usualmente na região do ducto arterioso.
• Incidência: 2-6 / 10,000 nascimentos.
• 5- 10% dos casos de doença cardíaca congênita.
Teoria Muscular X Teoria Hemodinâmica
Achados Associados
• Defeito Septal Ventricular
• Alterações da Valva Aórtica (Valva aórtica bicúspide)
• Ducto arterioso patente
• Aneurismas
• Aorta ascendente,
• Ducto,
• Artérias intercostais
• Polígono de Willis
• Estenose das artérias subclávias esquerda e direita aberrante.
• Síndrome Shone
(coarctação aórtica / estenose subaórtica / valva mitral em paraquedas / anel
supravalvular mitral)
Achados Associados
• Defeito Septal Ventricular
• Alterações da Valva Aórtica (Valva aórtica bicúspide)
• Ducto arterioso patente
• Aneurismas
• Aorta ascendente,
• Ducto,
• Artérias intercostais
• Polígono de Willis
• Estenose das artérias subclávias esquerda e direita aberrante.
• Síndrome Shone
(coarctação aórtica / estenose subaórtica / valva mitral em paraquedas / anel
supravalvular mitral)
Tipo infantil / pré – ductal :
• Associado à hipoplasia do arco ou da aorta
descendente.
• Associação a outras anomalias congênitas
• Síndrome de Turner (20%)
COARCTAÇÃO DA AORTA
Circulação Colateral
• Alta pressão  Baixa pressão
• Vasos colaterais emergem de ramos das artérias subclávias
acima da obstrução
(suprindo os tecidos abaixo da obstrução).
COARCTAÇÃO DA AORTA
Circulação Colateral
Rotas colaterais principais:
• a. subclávia  a. torácica interna  a. intercostais (fluxo retrógrado) 
aorta descendente pós coarctação
• a. subclávia  troncos tireo e costocervicais  a. toracoacromial e
escapular descendente  aorta torácica descendente pós – coarctação.
• a. subclávia  a. vertebral a. espinhal anterior  as. Intercostais 
aorta torácica descendente pós coarctação.
COARCTAÇÃO DA AORTA
Circulação Colateral
Rotas colaterais principais:
• a. subclávia  a. mamária interna  a. intercostais (fluxo retrógrado) 
aorta descendente pós coarctação
• a. subclávia  troncos tireo e costocervicais  a. toracoacromial e
escapular descendente  aorta torácica descendente pós – coarctação.
• a. subclávia  a. vertebral a. espinhal anterior  as. Intercostais 
aorta torácica descendente pós coarctação.
Achados Clínicos
• Hipertensão Arterial.
• MMSS com Pulsos Amplos.
• MMII com Pulsos Ausentes ou Diminuídos.
• Hiperfonese da 2ª bulha (aórtica e mitral).
• Estalido protossistólico aórtico.
• Sopro mesotelessistólico / protomesodiastólico em dorso
esquerdo (turbulência na coarctação)
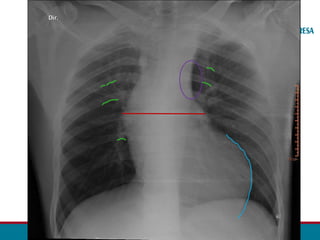
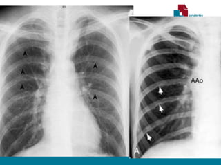
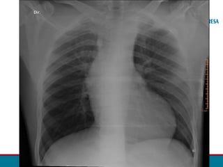
RADIOGRAFIA TORÁCICA
• Sinal de Roesler:
• Erosões bilaterais na borda inferior dos arcos costais (3ª - 9ª).
• Sinal do “ 3 invertido”
• Dilatação Subclávia E.
• Segmento estenótico aparece como um entalhe
• Dilatação pós estenótica.
• Contorno do arco aórtico apagado.
RADIOGRAFIA TORÁCICA
• Sinal de Roesler:
• Erosões bilaterais na borda inferior dos arcos costais (3ª - 9ª).
• Sinal do “ 3 invertido”
• Dilatação Subclávia E.
• Segmento estenótico aparece como um entalhe
• Dilatação pós estenótica.
• Contorno do arco aórtico apagado.
RADIOGRAFIA TORÁCICA
• Sinal de Roesler:
• Erosões bilaterais na borda inferior dos arcos costais (3ª - 9ª).
• Sinal do “ 3 invertido”
• Dilatação Subclávia E.
• Segmento estenótico aparece como um entalhe
• Dilatação pós estenótica.
• Contorno do arco aórtico apagado.
RADIOGRAFIA TORÁCICA
• Sinal de Roesler:
• Erosões bilaterais na borda inferior dos arcos costais (3ª - 9ª).
• Sinal do “ 3 invertido”
• Dilatação Subclávia E.
• Segmento estenótico aparece como um entalhe
• Dilatação pós estenótica.
• Contorno do arco aórtico apagado.
RADIOGRAFIA TORÁCICA
• Sinal de Roesler:
• Erosões bilaterais na borda inferior dos arcos costais (3ª - 9ª).
• Sinal do “ 3 invertido”
• Dilatação Subclávia E.
• Segmento estenótico aparece como um entalhe
• Dilatação pós estenótica.
• Contorno do arco aórtico apagado.
RADIOGRAFIA TORÁCICA
• Sinal de Roesler:
• Erosões bilaterais na borda inferior dos arcos costais (3ª - 9ª).
• Sinal do “ 3 invertido”
• Dilatação Subclávia E.
• Segmento estenótico aparece como um entalhe
• Dilatação pós estenótica.
• Contorno do arco aórtico apagado.
RADIOGRAFIA TORÁCICA
• Sinal de Roesler:
• Erosões bilaterais na borda inferior dos arcos costais (3ª - 9ª).
• Sinal do “ 3 invertido”
• Dilatação Subclávia E.
• Segmento estenótico aparece como um entalhe
• Dilatação pós estenótica.
• Contorno do arco aórtico apagado.
[...]
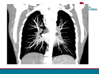
• Dilatação das artérias torácicas internas podem ser vistas
no perfil como densidade de partes moles.
• Aumento do Ventrículo Esquerdo
• Ápice cardíaco se projeta inferiormente e lateralmente à E
• Abaulamento margem cardíaca
• Sinal de Hoffman Rigler positivo
RADIOGRAFIA TORÁCICA
[...]
• Dilatação das artérias mamárias internas podem ser vistas
no perfil como densidade de partes moles.
• Aumento do Ventrículo Esquerdo
• Ápice cardíaco se projeta inferiormente e lateralmente à E
• Abaulamento margem cardíaca
• Sinal de Hoffman Rigler positivo
RADIOGRAFIA TORÁCICA
Sinal de Hoffman – Rigler ( > VE)
Extensão da borda posterior ventricular  1,8 cm
posteriormente à borda da Veia cava.
(medido à 2cm acima da intersecção VCI x borda ventricular)
[...]
• Dilatação das artérias mamárias internas podem ser vistas
no perfil como densidade de partes moles.
• Aumento do Ventrículo Esquerdo
• Ápice cardíaco se projeta inferiormente e lateralmente à E
• Abaulamento margem cardíaca
• Sinal de Hoffman Rigler positivo
RADIOGRAFIA TORÁCICA
Sinal de Hoffman – Rigler ( > VE)
Extensão da borda posterior ventricular  1,8 cm
posteriormente à borda da Veia cava.
(medido à 2cm acima da intersecção VCI x diafragma)
ANGIO TOMOGRAFIA
• Segmento estenosado
• Circulação colateral
• Planejamento cirúrgico
•Acompanhamento pós - OP
AORTOGRAFIA
• Avaliação do segmento coarctado e troncos supra aórticos.
• Gradiente transcoarctação.
• Circulação colateral.
• Malformações cardíacas adicionais.
ECOCARDIOGRAFIA
• Malformações cardíacas
• Gradiente aórtico
Diagnóstico Diferencial
• Pseudocoarctação
• Alongamento e Kinking do arco aórtico.
• Pode formar “ duas proeminências” no local do arco
aórtico, simulando o Sinal do 3.
• Ausência de obstrução do fluxo sanguíneo.
• Ausência de vasos colaterais.
• > idade
Diagnóstico Diferencial
• Arterite de Takayasu
• Estreitamento de origem inflamatória idiopática.
• Estenose segmentar multifocal da aorta e seus ramos
(raramente restrito ao istmo).
• Contorno irregular / ondulado na aorta torácica descendente.
• Espessamento concêntrico da parede com padrão em anel duplo.
• Pseudoaneurisma Traumático Crônico
• História de trauma / fratura costal / outras fraturas
• Transecção parcial da parede / Expansão temporal
• Podem calcificar
Diagnóstico Diferencial
• Arterite de Takayasu
• Estreitamento de origem inflamatória idiopática.
• Estenose segmentar multifocal da aorta e seus ramos
(raramente restrito ao istmo).
• Contorno irregular / ondulado na aorta torácica descendente.
• Espessamento concêntrico da parede com padrão em anel duplo.
• Pseudoaneurisma Traumático Crônico
• História de trauma / fratura costal / outras fraturas
• Transecção parcial da parede / Expansão temporal
• Podem calcificar
Diagnóstico Diferencial
• Arterite de Takayasu
• Estreitamento de origem inflamatória idiopática.
• Estenose segmentar multifocal da aorta e seus ramos
(raramente restrito ao istmo).
• Contorno irregular / ondulado na aorta torácica descendente.
• Espessamento concêntrico da parede com padrão em anel duplo.
• Pseudoaneurisma Traumático Crônico
• Transecção parcial da parede / Expansão temporal
• História de trauma / fratura costal / outras fraturas
• Podem calcificar
Diagnóstico Diferencial
• Arterite de Takayasu
• Estreitamento de origem inflamatória idiopática.
• Estenose segmentar multifocal da aorta e seus ramos
(raramente restrito ao istmo).
• Contorno irregular / ondulado na aorta torácica descendente.
• Espessamento concêntrico da parede com padrão em anel duplo.
• Pseudoaneurisma Traumático Crônico
• História de trauma / fratura costal / outras fraturas
• Transecção parcial da parede / Expansão temporal
• Podem calcificar
Diagnóstico Diferencial
Sinal de Roesler
• Neurofibromatose
• Obstrução da Veia Cava Superior (colaterais venosas)
• Obstrução pulmonar unilateral
• Idiopática
COMPLICAÇÕES /
PROGNÓSTICO
• Média de sobrevida de 42 anos
Ruptura aórtica espontânea / Endocardite bacteriana / Hemorragia
cerebral
• Falência renal por tratamento de HAS não suspeitada
• Re-coarctação (2-5%)
• Aneurismas pós operatórios (25%)
• Hipertensão / Doença coronariana
• Aumento do risco de dissecção
• Alta mortalidade durante a gestação (quando não tratada)
TRATAMENTO
Indicações:
• Hipertensão persistente
• Estenose hemodinamicamente significativa
• Intenção de engravidar
Correção cirúrgica
• Anastomose ponta a ponta
• Aortoplastia com flap da subclávia esquerda
• Próteses / Enxertos
Indicações:
• Hipertensão persistente
• Estenose hemodinamicamente significativa
• Intenção de engravidar
Correção cirúrgica
• Anastomose ponta a ponta
• Aortoplastia com flap da subclávia esquerda
• Próteses / Enxertos
TRATAMENTO
ANEURISMAS DA AORTA
AORTA
ANEURISMA DE AORTA
•Dilatação permanente da aorta > 1,5 x superior ao
seu diâmetro normal.
Idade / Sexo / Superfície corporal
•Aorta torácica ascendente: 40 – 50 mm
•Aorta torácica descendente: 30 – 40 mm
CLASSIFICAÇÃO
Causas:
• Aterosclerose
• HAS
• Sífilis
• Arterites
• Anomalias congênitas
• Degeneração cística da média
(Sd. Marfan, Ehlers-Danlos)
Classificação Etiológica:
• Aterosclerótico
• Micótico
• Traumático
• Inflamatório
• Pós-cirúrgico
• Congênito
CLASSIFICAÇÃO
•Verdadeiros X Pseudoaneurisma
•Fusiforme (80%) X Sacular
CLASSIFICAÇÃO DE CRAWFORD
CLASSIFICAÇÃO DE CRAWFORD
CLASSIFICAÇÃO DE CRAWFORD
I Se estende da arteria subclavia esquerda ao abdome
superior / arterias renais
II Da arteria subclavia esquerda ao segmento distal da aorta /
bifurcacao
III Segmento distal da aorta toracica (segmento descendente
medio) e estende à bifurcacao aortica
IV Aneurisma que acomete toda a extensao da aorta
abdominal
COMPLICAÇÕES
• Ruptura
•  mortalidade!
• Achados na TC:
• Descontinuidade de uma calcificação circunferencial.
• Sinal do crescente hiperdenso.
• Parede posterior indistinta.
• Extravasamento do meio de contraste.
• Sacular > 6,5cm – Maior risco!
• Fístulas para órgãos vizinhos
TRATAMENTO
Indicações:
•Sintomático
•Tamanho
• A. Ascendente se > 5,5cm (Sd. Marfan >5cm)
• A. Descendente > 6,5cm (Sd. Marfan >6cm)
•Velocidade de Crescimento
• > 1cm / ano
TRATAMENTO
•Enxertos sintéticos .
•Próteses endovasculares.
•Cirurgia valva aórtica – Aneursmas sino-tubulares.
TRATAMENTO
Morfometria: IMAGEM DO CBR
•Diâmetros:
• Antes do aneurisma / ancoragem proximal
• Maior diâmetro
• Após / ancoragem distal
•Comprimentos:
• Colo proximal
• Colo distal
•Distância entre a emergência dos ramos aórticos
•Diâmetros dos ramos aórticos
•Posição angular do ramo visceral
•Condições da parede das zonas de ancoragem
(calcificações / trombos)
TRATAMENTO
Morfometria: IMAGEM DO CBR
•Diâmetros:
• Antes do aneurisma / ancoragem proximal
• Maior diâmetro
• Após / ancoragem distal
•Comprimentos:
• Colo proximal
• Colo distal
•Distância entre a emergência dos ramos aórticos
•Diâmetros dos ramos aórticos
•Posição angular do ramo visceral
•Condições da parede das zonas de ancoragem
(calcificações / trombos)
ACOMPANHAMENTO TTO
ENDOVASCULAR
• Angio TC (pré contraste / Arterial / Tardia)
• Controle: 3 / 6 / 18 / 24 meses / anual
•Endoleak
• Não redução ou aumento do diâmetro do aneurisma
• Classificação
•Outros
• Estenose da luz da prótese
• Trombose da Luz / ramificações da prótese
• Migração / angulação
• Dissecção de vaso
ACOMPANHAMENTO TTO
ENDOVASCULAR
• Angio TC (pré contraste / Arterial / Tardia)
• Controle: 3 / 6 / 18 / 24 meses / anual
•Endoleak
• Não redução ou aumento do diâmetro do aneurisma
• Classificação
•Outros
• Estenose da luz da prótese
• Trombose da Luz / ramificações da prótese
• Migração / angulação
• Dissecção de vaso
ENDOLEAK
ACOMPANHAMENTO TTO
ENDOVASCULAR
• Angio TC (pré contraste / Arterial / Tardia)
• Controle: 3 / 6 / 18 / 24 meses / anual
•Endoleak
• Não redução ou aumento do diâmetro do aneurisma
• Classificação
•Outros
• Estenose da luz da prótese
• Trombose da Luz / ramificações da prótese
• Migração / angulação
• Dissecção de vaso
ENDOLEAK
ACOMPANHAMENTO TTO
ENDOVASCULAR
ACOMPANHAMENTO TTO
ENDOVASCULAR
Referências
 SILVA, C. I. S.; MÜLLER, N. L. Série Colégio Brasileiro de Radiologia Diagnóstico
Por Imagem: Tórax . Rio de Janeiro: Elsevier, 2011.
 GURNEY, J. W.; WINER-MURAM, H.T.; STERN, E. J.; FRANQUET, T.; RAVENEL, J.G.;
WHITE, C. S.; BANKIER, A. A.; HOLBERT, J. M.; GOSSELIN, M. V.; MOHAMMED, T.
H.; SHAFFER, K.; MERGO, P. J.; DESAI, S. R.; BOISELLE, P. M. Diagnostic Imaging :
Chest. Salt Lake City: Amirsys, 2006.
 BURGENER, F. A.; KORMANO, M. Differential Diagnosis in Conventional
Radiology. 2 ed. New York: Thieme, 1991.
CARROLL, D.; GAILLARD, F. et al. Coarctation of the Aorta. Radiopaedia. Disponível
em: <https://radiopaedia.org/articles/coarctation-of-the-aorta> Acesso em 27 de Agosto
de 2019.
SHARMA, R.; GAILLARD, F. et al. Rib Notching. Radiopaedia. Disponível em:
<https://radiopaedia.org/articles/coarctation-of-the-aorta> Acesso em 27 de Agosto de
2019.
Coarctação de Aorta

Coarctação de Aorta

  • 1.
    REUNIÃO DE DIAGNÓSTICO DIFERENCIALEM RADIOLOGIA HOSPITAL MADRE TERESA BRENDA NAJAT BOECHAT LAHLOU R1 EM RADIOLOGIA E DIAGNÓSTICO POR IMAGEM 28/08/2019
  • 3.
    HMA • F.A.F., sexomasculino, 16 anos. • Ao realizar exames de rotina, o Eletrocardiograma evidenciou sinais de sobrecarga do ventrículo esquerdo. • Assintomático. • Foram solicitados um ECOTT e uma ANGIOTC da Aorta.
  • 4.
    ECG: Sinais desobrecarga de ventrículo esquerdo
  • 11.
    ANGIOTOMOGRAFIA DA AORTATOTAL – 28/05: • Presença de volumosa dilatação aneurismática do segmento tubular ascendente aórtico, com o diâmetro de até 74 mm, sem trombo. • Nota-se a redução moderada do diâmetro luminal aórtico do arco, sendo mais intenso na região do istmo (diâmetro mínimo luminal efetivo no istmo é de aproximadamente 6,5 mm), havendo dilatação fusiforme pós- estenótica no terço proximal descendente aórtico com até 36 mm. • O segmento mais distal descendente da aorta apresenta o diâmetro normal. • São evidenciadas diversas artérias dilatadas moderadamente intercostais da metade superior, bilaterais, notando-se ainda leve / moderada dilatação bilateral das artérias torácicas internas. •Artérias ilíacas comuns, internas e externas estão patentes. Obs¹.: Gentileza correlacionar evolutivamente com achados de eventuais exames prévios de imagens relacionados, não disponíveis no momento. Obs².: Como achados de exame não direcionado, verificamos: Cardiomegalia.
  • 12.
    Exames complementares • ECODOPPLERCARDIOGRAMATRANSTORÁCICO (pré ADM) Remodelamento excêntrico do VE com FEVE preservada (57% pelo método 3D). Refluxo de valva tricúspide e mitral. Regurgitação moderada a importante da valva aórtica. Dilatação aneurismática importante da aorta ascendente. VD com fração de ejeção preservada.
  • 13.
    CONDUTA • Internado paratratamento cirúrgico. • Coarctação no istmo da aorta • Aneurisma aorta ascendente • Insuficiência da valva aórtica.
  • 14.
    Primeiro Tempo Cirúrgico BlocoCirúrgico CCV – 31/05 [...] • Realizada correção da coarctação com endoprotese 28/28/150 com Free Flow, realizada balonamento posterior. • Aferido gradiente pré e pós coarctação. Realizada aortografia de controle com bom resultado. [...]
  • 16.
    Segundo Tempo Cirúrgico BlocoCirúrgico CCV – 06/06 [...] • Tentado plastia da valva e com Eco transoperatório observado insuficiência valvar e optado por modificação para Bentall de Bono com prótese biológica o que provocou CEC por mais de 150 minutos, teve três Clampagens de 49 minutos, 18 minutos e 42 minutos, recebeu 6000 ml de cristaloide, 1700 ml de diurese após estímulo com Lasix. [...]
  • 18.
  • 21.
    ANGIOTOMOGRAFIA DA AORTATOTAL 11/06: • Achados pós-operatórios de correção de coarctação de aorta (dado clínico), havendo próteses valvar aórtica e na aorta ascendente, patentes. Há ainda endoprótese aórtica, também pérvia, com ancoragem proximal na região da emergência da artéria carótida esquerda, estendendo-se até o terço médio torácico descendente. Não há evidências de endoleak. • Fios de esternorrafia bem posicionados. • Pequena coleção hipoatenuante alongada retrosternal, com focos gasosos em permeio, apresentando volume grosseiramente calculado em 23 cm³. •Associa-se pequeno / moderado pneumomediastino, além de pequeno pneumoperitônio. •Pequeno derrame pericárdico. •Pequeno derrame pleural bilateral hipoatenuante. •As demais porções da aorta torácica descendente apresenta diâmetro usual. •Houve redução da dilatação de artérias intercostais e torácicas internas, na comparação com estudo tomográfico prévio do dia 28/05/2019 (exame pré-operatório). •Artérias ilíacas comuns, internas e externas estão patentes. Obs.: Como achados de exame não direcionado, verificamos: Pequena ascite.
  • 22.
    HMA • O pacienteevoluiu bem no pós operatório e recebeu alta dia 12/06.
  • 23.
  • 24.
    COARCTAÇÃO DA AORTA •Doença congênita obstrutiva luminal. • Ocorre estreitamento focal no segmento descendente proximal, usualmente na região do ducto arterioso. • Incidência: 2-6 / 10,000 nascimentos. • 5- 10% dos casos de doença cardíaca congênita. Teoria Muscular X Teoria Hemodinâmica
  • 25.
    COARCTAÇÃO DA AORTA •Doença congênita obstrutiva luminal. • Ocorre estreitamento focal no segmento descendente proximal, usualmente na região do ducto arterioso. • Incidência: 2-6 / 10,000 nascimentos. • 5- 10% dos casos de doença cardíaca congênita. Teoria Muscular X Teoria Hemodinâmica
  • 26.
    Achados Associados • DefeitoSeptal Ventricular • Alterações da Valva Aórtica (Valva aórtica bicúspide) • Ducto arterioso patente • Aneurismas • Aorta ascendente, • Ducto, • Artérias intercostais • Polígono de Willis • Estenose das artérias subclávias esquerda e direita aberrante. • Síndrome Shone (coarctação aórtica / estenose subaórtica / valva mitral em paraquedas / anel supravalvular mitral)
  • 27.
    Achados Associados • DefeitoSeptal Ventricular • Alterações da Valva Aórtica (Valva aórtica bicúspide) • Ducto arterioso patente • Aneurismas • Aorta ascendente, • Ducto, • Artérias intercostais • Polígono de Willis • Estenose das artérias subclávias esquerda e direita aberrante. • Síndrome Shone (coarctação aórtica / estenose subaórtica / valva mitral em paraquedas / anel supravalvular mitral) Tipo infantil / pré – ductal : • Associado à hipoplasia do arco ou da aorta descendente. • Associação a outras anomalias congênitas • Síndrome de Turner (20%)
  • 28.
    COARCTAÇÃO DA AORTA CirculaçãoColateral • Alta pressão  Baixa pressão • Vasos colaterais emergem de ramos das artérias subclávias acima da obstrução (suprindo os tecidos abaixo da obstrução).
  • 29.
    COARCTAÇÃO DA AORTA CirculaçãoColateral Rotas colaterais principais: • a. subclávia  a. torácica interna  a. intercostais (fluxo retrógrado)  aorta descendente pós coarctação • a. subclávia  troncos tireo e costocervicais  a. toracoacromial e escapular descendente  aorta torácica descendente pós – coarctação. • a. subclávia  a. vertebral a. espinhal anterior  as. Intercostais  aorta torácica descendente pós coarctação.
  • 30.
    COARCTAÇÃO DA AORTA CirculaçãoColateral Rotas colaterais principais: • a. subclávia  a. mamária interna  a. intercostais (fluxo retrógrado)  aorta descendente pós coarctação • a. subclávia  troncos tireo e costocervicais  a. toracoacromial e escapular descendente  aorta torácica descendente pós – coarctação. • a. subclávia  a. vertebral a. espinhal anterior  as. Intercostais  aorta torácica descendente pós coarctação.
  • 31.
    Achados Clínicos • HipertensãoArterial. • MMSS com Pulsos Amplos. • MMII com Pulsos Ausentes ou Diminuídos. • Hiperfonese da 2ª bulha (aórtica e mitral). • Estalido protossistólico aórtico. • Sopro mesotelessistólico / protomesodiastólico em dorso esquerdo (turbulência na coarctação)
  • 32.
    RADIOGRAFIA TORÁCICA • Sinalde Roesler: • Erosões bilaterais na borda inferior dos arcos costais (3ª - 9ª). • Sinal do “ 3 invertido” • Dilatação Subclávia E. • Segmento estenótico aparece como um entalhe • Dilatação pós estenótica. • Contorno do arco aórtico apagado.
  • 33.
    RADIOGRAFIA TORÁCICA • Sinalde Roesler: • Erosões bilaterais na borda inferior dos arcos costais (3ª - 9ª). • Sinal do “ 3 invertido” • Dilatação Subclávia E. • Segmento estenótico aparece como um entalhe • Dilatação pós estenótica. • Contorno do arco aórtico apagado.
  • 34.
    RADIOGRAFIA TORÁCICA • Sinalde Roesler: • Erosões bilaterais na borda inferior dos arcos costais (3ª - 9ª). • Sinal do “ 3 invertido” • Dilatação Subclávia E. • Segmento estenótico aparece como um entalhe • Dilatação pós estenótica. • Contorno do arco aórtico apagado.
  • 35.
    RADIOGRAFIA TORÁCICA • Sinalde Roesler: • Erosões bilaterais na borda inferior dos arcos costais (3ª - 9ª). • Sinal do “ 3 invertido” • Dilatação Subclávia E. • Segmento estenótico aparece como um entalhe • Dilatação pós estenótica. • Contorno do arco aórtico apagado.
  • 36.
    RADIOGRAFIA TORÁCICA • Sinalde Roesler: • Erosões bilaterais na borda inferior dos arcos costais (3ª - 9ª). • Sinal do “ 3 invertido” • Dilatação Subclávia E. • Segmento estenótico aparece como um entalhe • Dilatação pós estenótica. • Contorno do arco aórtico apagado.
  • 37.
    RADIOGRAFIA TORÁCICA • Sinalde Roesler: • Erosões bilaterais na borda inferior dos arcos costais (3ª - 9ª). • Sinal do “ 3 invertido” • Dilatação Subclávia E. • Segmento estenótico aparece como um entalhe • Dilatação pós estenótica. • Contorno do arco aórtico apagado.
  • 38.
    RADIOGRAFIA TORÁCICA • Sinalde Roesler: • Erosões bilaterais na borda inferior dos arcos costais (3ª - 9ª). • Sinal do “ 3 invertido” • Dilatação Subclávia E. • Segmento estenótico aparece como um entalhe • Dilatação pós estenótica. • Contorno do arco aórtico apagado.
  • 39.
    [...] • Dilatação dasartérias torácicas internas podem ser vistas no perfil como densidade de partes moles. • Aumento do Ventrículo Esquerdo • Ápice cardíaco se projeta inferiormente e lateralmente à E • Abaulamento margem cardíaca • Sinal de Hoffman Rigler positivo RADIOGRAFIA TORÁCICA
  • 40.
    [...] • Dilatação dasartérias mamárias internas podem ser vistas no perfil como densidade de partes moles. • Aumento do Ventrículo Esquerdo • Ápice cardíaco se projeta inferiormente e lateralmente à E • Abaulamento margem cardíaca • Sinal de Hoffman Rigler positivo RADIOGRAFIA TORÁCICA Sinal de Hoffman – Rigler ( > VE) Extensão da borda posterior ventricular  1,8 cm posteriormente à borda da Veia cava. (medido à 2cm acima da intersecção VCI x borda ventricular)
  • 41.
    [...] • Dilatação dasartérias mamárias internas podem ser vistas no perfil como densidade de partes moles. • Aumento do Ventrículo Esquerdo • Ápice cardíaco se projeta inferiormente e lateralmente à E • Abaulamento margem cardíaca • Sinal de Hoffman Rigler positivo RADIOGRAFIA TORÁCICA Sinal de Hoffman – Rigler ( > VE) Extensão da borda posterior ventricular  1,8 cm posteriormente à borda da Veia cava. (medido à 2cm acima da intersecção VCI x diafragma)
  • 45.
    ANGIO TOMOGRAFIA • Segmentoestenosado • Circulação colateral • Planejamento cirúrgico •Acompanhamento pós - OP
  • 48.
    AORTOGRAFIA • Avaliação dosegmento coarctado e troncos supra aórticos. • Gradiente transcoarctação. • Circulação colateral. • Malformações cardíacas adicionais.
  • 49.
  • 51.
    Diagnóstico Diferencial • Pseudocoarctação •Alongamento e Kinking do arco aórtico. • Pode formar “ duas proeminências” no local do arco aórtico, simulando o Sinal do 3. • Ausência de obstrução do fluxo sanguíneo. • Ausência de vasos colaterais. • > idade
  • 53.
    Diagnóstico Diferencial • Arteritede Takayasu • Estreitamento de origem inflamatória idiopática. • Estenose segmentar multifocal da aorta e seus ramos (raramente restrito ao istmo). • Contorno irregular / ondulado na aorta torácica descendente. • Espessamento concêntrico da parede com padrão em anel duplo. • Pseudoaneurisma Traumático Crônico • História de trauma / fratura costal / outras fraturas • Transecção parcial da parede / Expansão temporal • Podem calcificar
  • 54.
    Diagnóstico Diferencial • Arteritede Takayasu • Estreitamento de origem inflamatória idiopática. • Estenose segmentar multifocal da aorta e seus ramos (raramente restrito ao istmo). • Contorno irregular / ondulado na aorta torácica descendente. • Espessamento concêntrico da parede com padrão em anel duplo. • Pseudoaneurisma Traumático Crônico • História de trauma / fratura costal / outras fraturas • Transecção parcial da parede / Expansão temporal • Podem calcificar
  • 55.
    Diagnóstico Diferencial • Arteritede Takayasu • Estreitamento de origem inflamatória idiopática. • Estenose segmentar multifocal da aorta e seus ramos (raramente restrito ao istmo). • Contorno irregular / ondulado na aorta torácica descendente. • Espessamento concêntrico da parede com padrão em anel duplo. • Pseudoaneurisma Traumático Crônico • Transecção parcial da parede / Expansão temporal • História de trauma / fratura costal / outras fraturas • Podem calcificar
  • 56.
    Diagnóstico Diferencial • Arteritede Takayasu • Estreitamento de origem inflamatória idiopática. • Estenose segmentar multifocal da aorta e seus ramos (raramente restrito ao istmo). • Contorno irregular / ondulado na aorta torácica descendente. • Espessamento concêntrico da parede com padrão em anel duplo. • Pseudoaneurisma Traumático Crônico • História de trauma / fratura costal / outras fraturas • Transecção parcial da parede / Expansão temporal • Podem calcificar
  • 57.
    Diagnóstico Diferencial Sinal deRoesler • Neurofibromatose • Obstrução da Veia Cava Superior (colaterais venosas) • Obstrução pulmonar unilateral • Idiopática
  • 58.
    COMPLICAÇÕES / PROGNÓSTICO • Médiade sobrevida de 42 anos Ruptura aórtica espontânea / Endocardite bacteriana / Hemorragia cerebral • Falência renal por tratamento de HAS não suspeitada • Re-coarctação (2-5%) • Aneurismas pós operatórios (25%) • Hipertensão / Doença coronariana • Aumento do risco de dissecção • Alta mortalidade durante a gestação (quando não tratada)
  • 59.
    TRATAMENTO Indicações: • Hipertensão persistente •Estenose hemodinamicamente significativa • Intenção de engravidar Correção cirúrgica • Anastomose ponta a ponta • Aortoplastia com flap da subclávia esquerda • Próteses / Enxertos
  • 60.
    Indicações: • Hipertensão persistente •Estenose hemodinamicamente significativa • Intenção de engravidar Correção cirúrgica • Anastomose ponta a ponta • Aortoplastia com flap da subclávia esquerda • Próteses / Enxertos TRATAMENTO
  • 61.
  • 62.
  • 63.
    ANEURISMA DE AORTA •Dilataçãopermanente da aorta > 1,5 x superior ao seu diâmetro normal. Idade / Sexo / Superfície corporal •Aorta torácica ascendente: 40 – 50 mm •Aorta torácica descendente: 30 – 40 mm
  • 64.
    CLASSIFICAÇÃO Causas: • Aterosclerose • HAS •Sífilis • Arterites • Anomalias congênitas • Degeneração cística da média (Sd. Marfan, Ehlers-Danlos) Classificação Etiológica: • Aterosclerótico • Micótico • Traumático • Inflamatório • Pós-cirúrgico • Congênito
  • 65.
  • 66.
  • 67.
    CLASSIFICAÇÃO DE CRAWFORD ISe estende da arteria subclavia esquerda ao abdome superior / arterias renais II Da arteria subclavia esquerda ao segmento distal da aorta / bifurcacao III Segmento distal da aorta toracica (segmento descendente medio) e estende à bifurcacao aortica IV Aneurisma que acomete toda a extensao da aorta abdominal
  • 68.
    COMPLICAÇÕES • Ruptura • mortalidade! • Achados na TC: • Descontinuidade de uma calcificação circunferencial. • Sinal do crescente hiperdenso. • Parede posterior indistinta. • Extravasamento do meio de contraste. • Sacular > 6,5cm – Maior risco! • Fístulas para órgãos vizinhos
  • 69.
    TRATAMENTO Indicações: •Sintomático •Tamanho • A. Ascendentese > 5,5cm (Sd. Marfan >5cm) • A. Descendente > 6,5cm (Sd. Marfan >6cm) •Velocidade de Crescimento • > 1cm / ano
  • 70.
    TRATAMENTO •Enxertos sintéticos . •Prótesesendovasculares. •Cirurgia valva aórtica – Aneursmas sino-tubulares.
  • 71.
    TRATAMENTO Morfometria: IMAGEM DOCBR •Diâmetros: • Antes do aneurisma / ancoragem proximal • Maior diâmetro • Após / ancoragem distal •Comprimentos: • Colo proximal • Colo distal •Distância entre a emergência dos ramos aórticos •Diâmetros dos ramos aórticos •Posição angular do ramo visceral •Condições da parede das zonas de ancoragem (calcificações / trombos)
  • 72.
    TRATAMENTO Morfometria: IMAGEM DOCBR •Diâmetros: • Antes do aneurisma / ancoragem proximal • Maior diâmetro • Após / ancoragem distal •Comprimentos: • Colo proximal • Colo distal •Distância entre a emergência dos ramos aórticos •Diâmetros dos ramos aórticos •Posição angular do ramo visceral •Condições da parede das zonas de ancoragem (calcificações / trombos)
  • 73.
    ACOMPANHAMENTO TTO ENDOVASCULAR • AngioTC (pré contraste / Arterial / Tardia) • Controle: 3 / 6 / 18 / 24 meses / anual •Endoleak • Não redução ou aumento do diâmetro do aneurisma • Classificação •Outros • Estenose da luz da prótese • Trombose da Luz / ramificações da prótese • Migração / angulação • Dissecção de vaso
  • 74.
    ACOMPANHAMENTO TTO ENDOVASCULAR • AngioTC (pré contraste / Arterial / Tardia) • Controle: 3 / 6 / 18 / 24 meses / anual •Endoleak • Não redução ou aumento do diâmetro do aneurisma • Classificação •Outros • Estenose da luz da prótese • Trombose da Luz / ramificações da prótese • Migração / angulação • Dissecção de vaso ENDOLEAK
  • 75.
    ACOMPANHAMENTO TTO ENDOVASCULAR • AngioTC (pré contraste / Arterial / Tardia) • Controle: 3 / 6 / 18 / 24 meses / anual •Endoleak • Não redução ou aumento do diâmetro do aneurisma • Classificação •Outros • Estenose da luz da prótese • Trombose da Luz / ramificações da prótese • Migração / angulação • Dissecção de vaso ENDOLEAK
  • 76.
  • 77.
  • 78.
    Referências  SILVA, C.I. S.; MÜLLER, N. L. Série Colégio Brasileiro de Radiologia Diagnóstico Por Imagem: Tórax . Rio de Janeiro: Elsevier, 2011.  GURNEY, J. W.; WINER-MURAM, H.T.; STERN, E. J.; FRANQUET, T.; RAVENEL, J.G.; WHITE, C. S.; BANKIER, A. A.; HOLBERT, J. M.; GOSSELIN, M. V.; MOHAMMED, T. H.; SHAFFER, K.; MERGO, P. J.; DESAI, S. R.; BOISELLE, P. M. Diagnostic Imaging : Chest. Salt Lake City: Amirsys, 2006.  BURGENER, F. A.; KORMANO, M. Differential Diagnosis in Conventional Radiology. 2 ed. New York: Thieme, 1991. CARROLL, D.; GAILLARD, F. et al. Coarctation of the Aorta. Radiopaedia. Disponível em: <https://radiopaedia.org/articles/coarctation-of-the-aorta> Acesso em 27 de Agosto de 2019. SHARMA, R.; GAILLARD, F. et al. Rib Notching. Radiopaedia. Disponível em: <https://radiopaedia.org/articles/coarctation-of-the-aorta> Acesso em 27 de Agosto de 2019.

Notas do Editor

  • #3 RX – 28/05 Mediastinal widening on CXR is defined as width of more than 8 cm on posteroanterior view. Mediastinal width (MW) has been the most commonly used criterion with a quoted cutoff value ranging from 7.3 to 9.4 cm [3–7].
  • #4 Calcular indice sokolow e ver se tem padrao strain em V5 e V6 E um infra de ST com onda T invertida juntos.
  • #5 RX – 28/05
  • #6 Angiotc 28/05
  • #7 Angiotc 28/05
  • #8 Angiotc 28/05
  • #9 Angiotc 28/05
  • #10 Angiotc 28/05
  • #11 Angiotc 28/05
  • #13 26/04 - ECOTT
  • #15 31/05
  • #16 Rapido
  • #17 06/06 CIRURGIA BENTALL DE BONO: TRIPLA : TROCA VALVAR / enxerto RAIZ AORTICA E AORTA ASCENDENTE / REIMPLANTE DE OSTIOS CORONARIOS
  • #18 Reducao da area mediastinal Alem da protese Fios de esternorrafia
  • #23 12/06
  • #25 TEORIA MUSCULAR: TEORIA HEMODINAMICA:
  • #26 TEORIA MUSCULAR: Migração do tecido do ducto arterioso para o interior da aorta, quando este contrai, o lumen aórtico é estreitado. TEORIA HEMODINAMICA: Durante desenvolvimento fetal: Redução do fluxo sanguíneo aórtico pode colaborar para o não crescimento adequado da aorta. Aumento de incidência de coarctacao em desordens q reduzem o volume de ejeção ventricular, E ao contrario: Reduzida incidência de coarctacao da aorta em si~tuações em que há uma redução do fluxo ductal.
  • #31 Geralmente a 1 e 2 intercostal não altera tanto pois são supridos pelo trocno costocervical
  • #32 ESTALIDO AORTICO?? (devido a dilatacao da aorta ascendente) Apesar de dados clinicos sugerirem, muitos pacientes so são diagnosticados na aolescencia ou vida adulta. Cardiopatia hipertrofica na via adulta ou necropsia. ANGINA CLAUDICACAO
  • #33 Qdo mto jovem (<6) ainda não possui as erosoes costais. (circuito de alta pressao) Pode ter erosoes unilateral a D (qdo coarctacao entre a carotida E e subclavia E)
  • #34 Qdo mto jovem (<6) ainda não possui as erosoes costais. (circuito de alta pressao) Pode ter erosoes unilateral a D (qdo coarctacao entre a carotida E e subclavia E)
  • #35 Qdo mto jovem (<6) ainda não possui as erosoes costais. (circuito de alta pressao) Pode ter erosoes unilateral a D (qdo coarctacao entre a carotida E e subclavia E)
  • #36 Qdo mto jovem (<6) ainda não possui as erosoes costais. (circuito de alta pressao) Pode ter erosoes unilateral a D (qdo coarctacao entre a carotida E e subclavia E)
  • #40 Pode ter aumento do ventriculo esquerdo
  • #41 Pode ter aumento do ventriculo esquerdo
  • #42 Pode ter aumento do ventriculo esquerdo
  • #43 RX – 28/05 Mediastino deu aproximadamente 12cm Mediastinal widening on CXR is defined as width of more than 8 cm on posteroanterior view. Mediastinal width (MW) has been the most commonly used criterion with a quoted cutoff value ranging from 7.3 to 9.4 cm [3–7].
  • #44 RX – 28/05 Mediastino deu aproximadamente 12cm Mediastinal widening on CXR is defined as width of more than 8 cm on posteroanterior view. Mediastinal width (MW) has been the most commonly used criterion with a quoted cutoff value ranging from 7.3 to 9.4 cm [3–7].
  • #45 RX – 28/05 Mediastino deu aproximadamente 12cm Mediastinal widening on CXR is defined as width of more than 8 cm on posteroanterior view. Mediastinal width (MW) has been the most commonly used criterion with a quoted cutoff value ranging from 7.3 to 9.4 cm [3–7].
  • #46 SENSIBILIDADE DA ANGIO TC: Imagnes axiais – 73% Reconstrucao multiplanar – 100% Volume rendering – 100% Não visualiza gradiente aortico ou pequenas malformacoes cardiacas
  • #50 (não demonstra circulacao colateral) GRADIENTE NORMAL AORTA: < 20 > 20 – Gradiente aumentado / sugere intervencao 40mmHg – estenose grave! Gradiente transcoarctacao
  • #54 TAKAYASU RX Contorno ondulado da aorta torácica descendente com indentações (representam áreas de estenose) e dilatação do arco aórtico TC - Espessamento da parede, geralmente concêntrico, da aorta e de outros vasos acometidos. - Pre contraste: parede é facilmente densidade mais hiperdensa - Pos contraste: Anel duplo interno hipocaptante (edema mucoide ou gelatinoso da íntima) anel externo captante (inflamação ativa da média ou advetícia ) - Estenose segmentar multifocal, - Outros: dilatação pós-estenótica, aneurisma, irregularidade do contorno da aorta torácica descendente PSEUDOANEURISMA TRAUMATICO Historia de trauma / fratura - Transecção parcial da parede / comunicacao luz vascular com falsa luz / expansao temporal -
  • #55 TAKAYASU RX Contorno ondulado da aorta torácica descendente com indentações (representam áreas de estenose) e dilatação do arco aórtico TC - Espessamento da parede, geralmente concêntrico, da aorta e de outros vasos acometidos. - Pre contraste: parede é facilmente densidade mais hiperdensa - Pos contraste: Anel duplo interno hipocaptante (edema mucoide ou gelatinoso da íntima) anel externo captante (inflamação ativa da média ou advetícia ) - Estenose segmentar multifocal, - Outros: dilatação pós-estenótica, aneurisma, irregularidade do contorno da aorta torácica descendente PSEUDOANEURISMA TRAUMATICO Historia de trauma / fratura - Transecção parcial da parede / comunicacao luz vascular com falsa luz / expansao temporal -
  • #56 TAKAYASU RX Contorno ondulado da aorta torácica descendente com indentações (representam áreas de estenose) e dilatação do arco aórtico TC - Espessamento da parede, geralmente concêntrico, da aorta e de outros vasos acometidos. - Pre contraste: parede é facilmente densidade mais hiperdensa - Pos contraste: Anel duplo interno hipocaptante (edema mucoide ou gelatinoso da íntima) anel externo captante (inflamação ativa da média ou advetícia ) - Estenose segmentar multifocal, - Outros: dilatação pós-estenótica, aneurisma, irregularidade do contorno da aorta torácica descendente PSEUDOANEURISMA TRAUMATICO Historia de trauma / fratura - Transecção parcial da parede / comunicacao luz vascular com falsa luz / expansao temporal -
  • #57 TAKAYASU RX Contorno ondulado da aorta torácica descendente com indentações (representam áreas de estenose) e dilatação do arco aórtico TC - Espessamento da parede, geralmente concêntrico, da aorta e de outros vasos acometidos. - Pre contraste: parede é facilmente densidade mais hiperdensa - Pos contraste: Anel duplo interno hipocaptante (edema mucoide ou gelatinoso da íntima) anel externo captante (inflamação ativa da média ou advetícia ) - Estenose segmentar multifocal, - Outros: dilatação pós-estenótica, aneurisma, irregularidade do contorno da aorta torácica descendente PSEUDOANEURISMA TRAUMATICO Historia de trauma / fratura - Transecção parcial da parede / comunicacao luz vascular com falsa luz / expansao temporal -
  • #58 EROSAO
  • #60 20 mmHg sugere intervenção INSUFICIENCIA CARDIACA ASSOCIADA Anastomose ponta a ponta Maior risco de reestenose e lesão da arteria espinhal Aortoplastia com Flap da subclavia esquerda Sacrifica a arteria vertebral (para impedir o fenomeno do roubo subclavio) e arteria subclavia esquerda. Endopróteses Aumento do risco de infeccoes ou aneurismas ANGIOPLASTIA POR BALAO
  • #61 20 mmHg sugere intervencao Anastomose ponta a ponta Maior risco de reestenose e lesão da arteria espinhal Aortoplastia com Flap da subclavia esquerda Sacrifica a arteria vertebral (para impedir o fenomeno do roubo subclavio) e arteria subclavia esquerda. Endopróteses Aumento do risco de infeccoes ou aneurismas
  • #66 Verdadeiros (envolve todas as camadas do vaso) X Pseudoaneurisma (causa inflamatoria ou traumatica)
  • #67 CRAWFORD I> Se estende da arteria subclavia esquerda ao abdome superior / arterias renais II> Da arteria subclavia esquerda ao segmento distal da aorta / bifurcacao III> Segmento distal da aorta toracica (segmento descendente medio) e estende à bifurcacao aortica IV> Aneurisma que acomete toda a extensao da aorta abdominal
  • #68 CRAWFORD I> Se estende da arteria subclavia esquerda ao abdome superior / arterias renais II> Da arteria subclavia esquerda ao segmento distal da aorta / bifurcacao III> Segmento distal da aorta toracica (segmento descendente medio) e estende à bifurcacao aortica IV> Aneurisma que acomete toda a extensao da aorta abdominal
  • #69 Sinal do crescente hiperdenso na parede aortica > representa hematoma agudo com sangue contido no interior do trombo do aneurisma. É o principal sinal de ruptura iminente ou recente. Importancia da fase sem contraste! --- Infiltracao hemorragica (>30 UH) gordura mediastinal, hemomediastino, hemopericardio, hemotorax ------ Fistula Aortobroncopulmonar (hemorragia pulomanr) / Aprtoenterica (hemorragia digestiva)
  • #70 Sinal do crescente hiperdenso na parede aortica > representa hematoma agudo com sangue contido no interior do trombo do aneurisma. É o principal sinal de ruptura iminente ou recente. Importancia da fase sem contraste! --- Infiltracao hemorragica (>30 UH) gordura mediastinal, hemomediastino, hemopericardio, hemotorax ------ Fistula Aortobroncopulmonar (hemorragia pulomanr) / Aprtoenterica (hemorragia digestiva)
  • #71 Sinal do crescente hiperdenso na parede aortica > representa hematoma agudo com sangue contido no interior do trombo do aneurisma. É o principal sinal de ruptura iminente ou recente. Importancia da fase sem contraste! --- Infiltracao hemorragica (>30 UH) gordura mediastinal, hemomediastino, hemopericardio, hemotorax ------ Fistula Aortobroncopulmonar (hemorragia pulomanr) / Aprtoenterica (hemorragia digestiva)
  • #72 Sinal do crescente hiperdenso na parede aortica > representa hematoma agudo com sangue contido no interior do trombo do aneurisma. É o principal sinal de ruptura iminente ou recente. Importancia da fase sem contraste! --- Infiltracao hemorragica (>30 UH) gordura mediastinal, hemomediastino, hemopericardio, hemotorax ------ Fistula Aortobroncopulmonar (hemorragia pulomanr) / Aprtoenterica (hemorragia digestiva)
  • #73 Sinal do crescente hiperdenso na parede aortica > representa hematoma agudo com sangue contido no interior do trombo do aneurisma. É o principal sinal de ruptura iminente ou recente. Importancia da fase sem contraste! --- Infiltracao hemorragica (>30 UH) gordura mediastinal, hemomediastino, hemopericardio, hemotorax ------ Fistula Aortobroncopulmonar (hemorragia pulomanr) / Aprtoenterica (hemorragia digestiva)
  • #74 Sinal do crescente hiperdenso na parede aortica > representa hematoma agudo com sangue contido no interior do trombo do aneurisma. É o principal sinal de ruptura iminente ou recente. Importancia da fase sem contraste! --- Infiltracao hemorragica (>30 UH) gordura mediastinal, hemomediastino, hemopericardio, hemotorax ------ Fistula Aortobroncopulmonar (hemorragia pulomanr) / Aprtoenterica (hemorragia digestiva)
  • #75 Sinal do crescente hiperdenso na parede aortica > representa hematoma agudo com sangue contido no interior do trombo do aneurisma. É o principal sinal de ruptura iminente ou recente. Importancia da fase sem contraste! --- Infiltracao hemorragica (>30 UH) gordura mediastinal, hemomediastino, hemopericardio, hemotorax ------ Fistula Aortobroncopulmonar (hemorragia pulomanr) / Aprtoenterica (hemorragia digestiva)
  • #76 Sinal do crescente hiperdenso na parede aortica > representa hematoma agudo com sangue contido no interior do trombo do aneurisma. É o principal sinal de ruptura iminente ou recente. Importancia da fase sem contraste! --- Infiltracao hemorragica (>30 UH) gordura mediastinal, hemomediastino, hemopericardio, hemotorax ------ Fistula Aortobroncopulmonar (hemorragia pulomanr) / Aprtoenterica (hemorragia digestiva)
  • #77 Sinal do crescente hiperdenso na parede aortica > representa hematoma agudo com sangue contido no interior do trombo do aneurisma. É o principal sinal de ruptura iminente ou recente. Importancia da fase sem contraste! --- Infiltracao hemorragica (>30 UH) gordura mediastinal, hemomediastino, hemopericardio, hemotorax ------ Fistula Aortobroncopulmonar (hemorragia pulomanr) / Aprtoenterica (hemorragia digestiva)
  • #78 Sinal do crescente hiperdenso na parede aortica > representa hematoma agudo com sangue contido no interior do trombo do aneurisma. É o principal sinal de ruptura iminente ou recente. Importancia da fase sem contraste! --- Infiltracao hemorragica (>30 UH) gordura mediastinal, hemomediastino, hemopericardio, hemotorax ------ Fistula Aortobroncopulmonar (hemorragia pulomanr) / Aprtoenterica (hemorragia digestiva)