TRAUMA TORÁCICO
Guilherme Sêneca Sicuto
TÓPICOS ABORDADOS
 INTRODUÇÃO;
 ANATOMIA;
 FISIOLOGIA;
 FISIOPATOLOGIA;
 AVALIAÇÃO;
 TRATAMENTO DE LESÕES ESPECÍFICAS;
• FRATURAS DE COSTELAS;
• TÓRAX INSTÁVEL;
• CONTUSÃO PULMONAR;
• PNEUMOTÓRAX;
• HEMOTÓRAX;
• CONTUSÃO CARDÍACA;
• TAMPONAMENTO CARDÍACO;
• COMOÇÃO CARDÍACA;
• RUPTURA TRAUMÁTICA DA AORTA;
• RUPTURA TRAQUEOBRÔNQUICA;
• ASFIXIA TRAUMÁTICA;
• RUPTURA DE DIAFRAGMA;
• TRANSPORTE PROLONGADO;
INTRODUÇÃO
Trauma torácico  mecanismos contusos e
penetrantes;
Maioria dos tratamentos  intervenções
relativamente simples;
Lesões significativas (órgãos envolvidos na
manutenção da oxigenação, ventilação e oferta de
oxigênio);
Morbidades significativas:
• Hipóxia;
• Hipercapnia;
• Acidose;
• Choque.
ANATOMIA
T
ANATOMIA
FISIOLOGIA
FISIOPATOLOGIA
LESÃO PENETRANTE:
Penetração do ar (Pressão
e  Resistência);
Rompimento da aderência
entre as membranas
pleurais PNEUMOTÓRAX;
Colabamento
(impedimento de
ventilação eficaz).
Respiração superficial  Estimulação do centro
respiratório   esforço respiratório
FISIOPATOLOGIA
LESÃO PENETRANTE:
 Entrada de ar (sem saída)  PNEUMOTÓRAX
hipertensivo  impede a respiração   Retorno
venoso  CHOQUE;
 Deslocamento mediastino  Retorno venoso 
 PA  Distensão da veia jugular. ***Desvio de
traqueia***
 Ferimentos penetrantes  hemorragia
(HEMOTÓRAX)  não visível/ visível  CHOQUE e
 Capacidade respiratória;
 Ferimentos pulmonares  hemorragias  sangue
nos alvéolos   ventilação e oxigenação;
FISIOPATOLOGIA
LESÃO CONTUSA:
 Aplicada na parede torácica  órgãos torácicos
(pulmões)  hemorragia   ventilação e
oxigenação;
Lesão da pleura parietal  ar no espaço pleural
 PNEUMOTÓRAX (hipertensivo);
 Fratura de costelas  laceração pulmonar 
PNEUMOTÓRAX E HEMOTÓRAX;
 Grandes vasos (aorta)  Hemorragia
catastrófica.
AVALIAÇÃO
 Coleta da história e realização do exame físico;
 SINTOMAS;
 ALERGIAS E OS ANOS DE VIDA DO PACIENTE;
 MEDICAÇÕES;
 PASSADO MÉDICO;
 LÍQUIDOS E ÚLTIMA ALIMENTAÇÃO;
 AMBIENTE DO TRAUMA;
 Mecanismo do trauma?***
AVALIAÇÃO
EXAME FÍSICO
 OBSERVAÇÃO:
DOENTE
CIANOSE
(HIPÓXIA)
FREQUÊNCIA
VENTILATÓRIA
E
DIFICULDADE
RESPIRATÓRIA
APREENSIVO
OU
TONTURA
(CHOQUE)
PALIDEZ
CUTÂNEA E
SUDORESE
(CHOQUE)
DESVIO DE
TRAQUEIA
VEIAS
JUGULARES
DISTENDIDAS
SIMETRIA
DO TÓRAX
E LESÕES
AVALIAÇÃO
EXAME FÍSICO
 AUSCULTA:
 Diminuição do murmúrio vesicular unilateral 
Pneumotórax ou hemotórax;
 Sons respiratórios anormais  crepitações;
 Sons cardíacos abafados e sopros.
 PALPAÇÃO:
 Pesquisa de pontos dolorosos, crepitação (óssea ou
enfisema subcutâneo) e segmento instável da
parede torácica;
 PERCUSSÃO:
 Som abafado (contusão pulmonar ou hemotórax) e
timpânica (pneumotórax).
AVALIAÇÃO
EXAME FÍSICO
 OXIMETRIA DE PULSO;
 CAPNOGRAFIA: análise do nível de CO2 no ar
expirado e monitorar estado geral do doente e
respostas ao tratamento.
FRATURAS DE COSTELAS
 Comuns;
 Grande quantidade de energia;
 Face lateral das costelas 4 a 8 (finas e menos
protegidas);
 Lesionar músculo, pulmões (contusão pulmonar e
pneumotórax) e vasos sanguíneos (ruptura
traumática da aorta);
 Costelas inferiores: lesões intra-
abdominais(esplênicas e hepáticas) CHOQUE;
FRATURAS DE COSTELAS
 AVALIAÇÃO: poucos sintomas; dor torácica e
dispneia, dificuldade de respiração, sensibilidade
da parede torácica e crepitação.
 Sinais vitais (frequência ventilatória e profundidade
da respiração) – oximetria e capnografia;
 TRATAMENTO:
 Inicial: alívio da dor (analgesia com pequenas doses
de narcóticos IV);
 Manter respiração profunda e tossir;
 Evitar imobilização de costelas com bandagem
firme ou atadura;
 Se necessário: adm. de O2 e assistência vent.
TÓRAX INSTÁVEL
 2 ou + costelas adjacentes fraturadas em pelo
menos dois lugares;
 Segmento  não apresenta mais continuidade;
 Comprometimento da troca gasosa  Contusão
pulmonar;
 Comprometimento da ventilação  movimento
paradoxo do segmento contundido durante a
respiração;
TÓRAX INSTÁVEL
 AVALIAÇÃO: Dor mais intensa (sofrimento); 
frequência ventilatória; hipóxia; movimento
paradoxal pode não ser evidente ou fácil
identificado; sensibilidade e crepitação óssea;
Palpação pode ser observada;
 TRATAMENTO:
 Alívio da dor;
 Suporte ventilatório (+ importante) e
monitoramento;
 Oximetria de pulso  hipóxia;
 Estabilização do segmento são contraindicados.
CONTUSÃO PULMONAR
 Laceração ou rompimento  mec. contusos ou
penetrantes;
 Sangue nos alvéolos e entre eles  dificuldade na
troca gasosa;
 Complicação comum e potencialmente letal;
 AVALIAÇÃO: os achados são variáveis; avalição
inicial pode não revelar dificuldade respiratória;
observar presença de retalho costal móvel.
 TRATAMENTO:
 Suporte ventilatório;
 Oximetria de pulso e capnografia;
 Reanimação volêmica  cautelosa ( edema) 
comprometimento da ventilação e a oxigenação.
PNEUMOTÓRAX
 20% das lesões torácicas graves;
ABERTO
- Pneumotórax +
defeito na parede
torácica (entrada e
saída de ar);
SIMPLES
- Ar no espaço
pleural;
( ar  colabamento);
HIPERTENSIVO
- Ar continua a entrar e
é aprisionado no
espaço pleural  
pressão intratorácica
(desvio do mediastino,
 retorno venoso e
comprometimento da
função circulatória).
PNEUMOTÓRAX SIMPLES
 Ar no espaço pleural ( ar  colabamento);
 AVALIAÇÃO: dor torácica e sinais de disfunção
respiratória.
 EXAME FÍSICO:  M.V. - Timpanismo na percussão.
 TRATAMENTO:
 O2 suplementar;
 Acesso IV (caso CHOQUE);
 Oximetria de pulso e capnografia;
 Decúbito semissentado (conforto);
 Transporte rápido;
 Tratamento precoce (Simples  Hipertensivo).
PNEUMOTÓRAX ABERTO
 Comunicação entre o ar ambiente e o espaço
pleural;
 Inspiração: entrada de ar (pressão negativa) a
medida que os músculos se contraem;
 “Ferimento torácico soprante”;
  lesão:  a resistência ao fluxo;
 Ventilação eficaz inibida colapso do pulmão e
fluxo de ar preferencial;
 Mecanismos: arma de fogo, explosivos, arma
branca, empalamentos e trauma contuso.
PNEUMOTÓRAX ABERTO
 AVALIAÇÃO: insuficiência respiratória evidente;
ansioso e taquipneico; pulso radial, fino e rápido;
Ferimento na parede torácica com ruídos audíveis
de aspiração durante a inspiração com
borbulhamento durante expiração.
 TRATAMENTO:
 Selamento do defeito (Bandagem oclusiva) e adm de
O2 suplementar;
 Lesão subjacente no pulmão: extravasamento de ar por
duas fontes;
 Caso necessário: entubação endotraqueal e a
ventilação com pressão positiva.
PNEUMOTÓRAX HIPERTENSIVO
 Emergência com risco de morte;
  risco: fratura de costelas, pneumotórax, ventilação +;
Entrada de ar
P. intratorácica ELEVADA;
Comprometimento ventilatório/ retorno venoso ao coração;
 Troca gasosa  Débito cardíaco
CHOQUE
Desvio do mediastino
PNEUMOTÓRAX HIPERTENSIVO
 AVALIAÇÃO: Apreensão e desconforto; Dor
torácica e dificuldade na respiração; Piora: agitação
crescente e sofrimento respiratório; Casos graves:
cianose e apneia;
 ACHADOS CLÁSSICOS: desvio traqueal,  M.V,
percussão timpânica;
 OUTROS ACHADOS: Turgência venosa jugular,
crepitação da parede torácica e cianose; Taquicardia e
taquipneia ( Pressão) culminando em hipotensão e
choque descompensado.
PNEUMOTÓRAX HIPERTENSIVO
 TRATAMENTO:
 Prioridade: Descompressão;
1. Piora do desconforto respiratório ou dificuldade da
ventilação com bolsa-valva-máscara;
2. Ausência ou redução unilateral dos sonos respiratórios;
3. Choque descompensado (pressão arterial sistólica <90
mmHg).
 Transporte rápido; adm de O2; ventilação positiva (apenas em
hipóxia e se não responder a suplementação de O2).
PNEUMOTÓRAX HIPERTENSIVO
 DESCOMPRESSÃO:
 REMOÇÃO DA BANDAGEM OCLUSIVA: permite a
descompressão do pneumotórax (saída de ar);
 DESCOMPRESSÃO COM AGULHA: permite que o ar escape;
• Inserção da agulha no 2º ou 3º espaço intercostal na linha
hemiclavicular;
• A agulha e o cateter devem ser introduzidos até surgir um
jato de ar e não, deve ultrapassar esse ponto.
• Após descompressão, o cateter é fixado ao tórax para evitar
seu deslocamento.
• Converte um pneumotórax hipertensivo em simples;
• Colocação incorreta (localização ou profundidade): causar
lesões em pulmões, coração ou grandes vasos.
 TORACOSTOMIA (TUBO TORÁCICO): procedimento cirúrgico.
• Não inseridos no ambiente pré-hospitalar (tempo,
complicações, infecções e treinamento).
HEMOTÓRAX
 Presença de sangue no espaço pleural;
 Representa fonte de perda sanguínea importante;
 Mesmos mecanismos do pneumotórax;
 Origem: parede da musculatura torácica, vasos
intercostais, parênquima pulmonar, vasos
pulmonares ou grandes vasos do tórax;
HEMOTÓRAX
 AVALIAÇÃO: desconforto; dor torácica e a dispneia;
Sinais de choque: taquicardia, taquipneia, confusão,
palidez e hipotensão.
 EXAME FÍSICO: sons respiratórios são diminuídos
ou ausentes; percussão é abafada;
 PNEUMOTÓRAX + HEMOTÓRAX: probabilidade de
comprometimento cardiorrespiratório;
HEMOTÓRAX
 TRATAMENTO:
 Observação constante;
 Adm de O2 com auxílio de ventilação, se necessário,
bolsa-valva-máscara ou entubação endotraqueal;
 Acesso IV: reposição volêmica
 Transporte rápido (intervenção cirúrgica);
CONTUSÃO CARDÍACA
 Causa mais frequente de lesão cardíaca;
 “Desaceleração, incidente automobilístico com impacto
frontal”;
  Pressão dentro dos ventrículos  contusão cardíaca,
lesão valvular e ruptura cardíaca;
CONTUSÃO CARDÍACA
 CONTUSÃO CARDÍACA: + comum; causa arritmias;
Miocárdio lesionado a contratilidade do coração poderá
ser prejudicada e o débito cardíaco cairá, causando
choque cardiogênico (adm. de líquidos piora o quadro).
 RUPTURA VALVULAR: presença de graus variáveis de
choque com sinais e sintomas de ICC (taquipneia,
estertores e sopro).
 RUPTURA CARDÍACA CONTUSA: menos de 1%; maioria
morre no local (exsanguinação e tamponamento cardíaco).
CONTUSÃO CARDÍACA
 AVALIAÇÃO: Avaliar o mecanismo do trauma; Dor torácica
ou falta de ar; Arritmias (palpitações);
 ACHADOS FÍSICOS PREOCUPANTES: Contusões ou
crepitação sobre o esterno e instabilidade esternal;
Afundamento do esterno (respiração paradoxal). Ruptura
valvular: sopro rude sobre o precórdio + sinais de ICC
aguda (hipotensão, turgência jugular e sons respiratórios
anormais).
ECG: taquicardia, extra-sístoles ventriculares, outras
alterações do ritmo cardíaco ou elevação do segmento ST.
CONTUSÃO CARDÍACA
 TRATAMENTO:
 Avaliação correta;
 Adm O2 em  concentração;
 Acesso venoso  reposição volêmica;
 Monitor cardíaco  detectar arritmias e elevações de
onda ST;
 Arritmia  farmacologia antiarrítmica protocolizada
(Amiodarona).
 Suporte ventilatório.
TAMPONAMENTO CARDÍACO
 “Ocorre quando um ferimento cardíaco permite acumulo
agudo de fluído entre o saco pericárdico e o coração”;
 Saco pericárdico: tecido fibroso inelástico;
Ferimento cardíaco
Extravasamento e acúmulo de líquido no pericárdio
( Pressão no interior)
Impede o retorno venoso e  débito cardíaco e da Pa
Atividade elétrica sem pulso (AESP)
TAMPONAMENTO CARDÍACO
 Arma branca: pode penetrar uma das câmaras cardíacas
ou apenas lacerar o miocárdio  hemorragia no saco
pericárdico;
 Arma de fogo: o dano ao coração é tão grave, o pericárdio
não consegue conter hemorragia (rápida exsanguinação);
 “Presente até prova em contrário”.
TAMPONAMENTO CARDÍACO
 AVALIAÇÃO: Tríade de Beck - (1) bulhas cardíacas
abafadas ou distantes; (2) turgência jugular; (3)
hipotensão; Pulso paradoxal;
 TRATAMENTO:
 Reconhecimento para preparação hospitalar;
 Adm. O2  [ ], obter acesso venoso e reposição volêmica;
 Pcte hipotenso entubação endotraqueal e ventilação +;
 Transporte rápido e monitorado (procedimentos cirúrgicos);
 Tto definitivo: liberação do tamponamento e o reparo da
lesão cardíaca;
 Pericardiocentese: ganho de tempo;  risco.
COMOÇÃO CARDÍACA
 “Impacto aparentemente inócuo na porção anterior do
tórax produz uma parada cardíaca súbita.”
Arritmia
Súbita parada cardíaca
Impacto penetrante
relativamente pequeno
no précordio que ocorre
em uma porção
eletricamente vulnerável
do ciclo cardíaco
Vasoespasmo das
coronárias pode ter papel
em seu desenvolvimento
COMOÇÃO CARDÍACA
 AVALIAÇÃO: parada cardiorrespiratória; contusões sobre
esterno; Fibrilação ventricular é o ritmo mais comum;
 TRATAMENTO:
 RCP;
 Tto similar às paradas cardíacas (infarto do miocárdio);
 Desfibrilação rápida (FV);
 Prognóstico ruim (sobrevida de 15% ou menos);
 Contole da via aérea e acesso venoso;
 Epinefrina e antiarrítmicos (protocolo).
Entre 1975 e 2001, mais de 60 jogadores de beisebol e softball morreram dessa
maneira.
A má notícia é que não parece haver um fator de predisposição. Qualquer pessoa
atingida no peito da maneira exatamente errada pode sofrer um ataque.
A boa notícia é que as vítimas podem ser salvas por uma ação rápida com um
desfibrilador. Infelizmente, a demora para obter ajuda é freqüente, e somente 16%
das vítimas estudadas sobreviveram.
RUPTURA TRAUMÁTICA DE AORTA
 “Resulta de mecanismos de desaceleração/ aceleração de
uma força significativa”;
 Mecanismos: colisões automobilísticas em alta velocidade
com impacto frontal e quedas de grandes alturas nas quais
o doente cai na horizontal;
 Clássica localização: imediatamente distal à saída da
artéria subclávia esquerda;
RUPTURA TRAUMÁTICA DE AORTA
 AVALIAÇÃO:  índice de suspeita;  evidências externas;
avaliar condições da via aérea e da ventilação;
 EXAME FÍSICO: ausculta e palpação cuidadosas. (Pulso
mais forte direito/pulso mais forte MS);
 DIAGNÓSTICO: Raio X (alargamento do mediastino);
aortografia; TC; ecocardiografia transesofágica.
RUPTURA TRAUMÁTICA DE AORTA
 TRATAMENTO:
 Adm. O2  [ ];
 Acesso venoso;
 Informar o hospital;
 Controle da pressão arterial (betabloqueadores) 
bom prognóstico das lesões;
 Reposição volêmica criteriosa (paradoxo).
RUPTURA TRAQUEOBRÔNQUICA
 Incomum e alto potencial letal;
 Trauma penetrante e trauma fechado (lesão contusa de
alta energia);
 AVALIAÇÃO: insuficiência respiratória, pálido e sudoreico;
Utilização dos ms. acessórios da respiração, roncos e
batimentos de asa do nariz; Presença de enfisema
subcutâneo extenso (tórax e pescoço), desvio da traqueia.
 ventilação,  saturação O2. Hipotensão e hemoptise;
RUPTURA TRAQUEOBRÔNQUICA
 TRATAMENTO:
 Adm. O2 suplementar e assistência ventilatória
criteriosa;
 Monitoramento de sinais de progressão ao
pneumotórax hipertensivo (descompressão com
agulha);
 Evitar entubação seletiva do brônquio principal (difícil
realização e piora da lesão).
ASFIXIA TRAUMÁTICA
 Comprometimento do retorno venoso da cabeça e do
pescoço  Coloração azulada;
 Mecanismo:  acentuado e abrupto da pressão torácica
por esmagamento do tronco  sangue expulso pelo
coração entrando nas veias pela direção retrógada;
 Vênulas subcutâneas e pequenos capilares se rompem 
cor arroxeada;
ASFIXIA TRAUMÁTICA
 AVALIAÇÃO: pletora e lesões adicionais (pneumotórax,
hemotórax, contusão cardíaca e pulmonar, etc);
 TRATAMENTO:
 Adm. O2  [ ];
 Acesso venoso;
 Suporte ventilatório criterioso;
 Coloração: desaparece em uma semana.
RUPTURA DE DIAFRAGMA
 Não apresentam por si só problemas agudos, mas devem
ser reparadas em função do risco de herniação e
estrangulamento do conteúdo abdominal.
 Mecanismo: aplicação de força suficiente a ponto de
aumentar agudamente a pressão abdominal de forma
abrupta e suficiente para romper o diafragma.
 Pode originar: disfunção respiratória, fratura das costelas,
hemotórax e pneumotórax;
 Pode ocorrer lesões de órgãos abdominais  são forçados
através da laceração diafragmática até a cavidade pleural.
RUPTURA DE DIAFRAGMA
 AVALIAÇÃO: esforço respiratório agudo, ansioso,
taquipneico, pálido. Pode apresentar contusões da parede
torácica, crepitação óssea ou enfisema subcutâneo.
 EXAME FÍSICO: M.V. diminuído ou ruídos hidroaéreos
auscultados sobre o tórax. Abdome escavado (herniação
de conteúdo abdominal).
 TRATAMENTO:
 Reconhecimento imediato e transporte rápido;
 O2 suplementar  [ ] e suporte ventilatório.
TRANSPORTE PRONLOGADO
 Prioridades: controle das vias aéreas, ventilação e oxigênio
suplementar, controle de hemorragia e reposição volêmica
adequada;
 Entubação endotraqueal: aumento do esforço respiratório
ou insuficiência respiratória iminente, afundamento de
tórax, pneumotórax aberto ou múltiplas fraturas de
costelas  fornecer oxigênio (manter sat 95% ou mais);
 Ventilações devem ser assistidas  piora do quadro ou
causar pneumotórax hipertensivo;
TRANSPORTE PRONLOGADO
 Descompressão pleural  presença de diminuição ou
ausência do M.V. , piora do esforço respiratório,
dificuldade de ventilar com bolsa-valva-máscara, aumento
da pressão de pico inspiratório em doentes em uso de
respirador e hipotensão.
 Acesso venoso  feita a critérios. Hemorragia
intratorácica, intra-abdominal ou retroperitoneal (PAS na
faixa de 80-90mmHg) Reposição volêmica muito agressiva
pode piorar as contusões pulmonares e causar hemorragia
interna.
TRANSPORTE PRONLOGADO
 Intensa dor em fratura de costelas: adm. de narcóticos IV.
Se causar hipotensão e insuf. respiratória, fazer resposição
volêmica e suporte ventilatório.
 Arritmias cardíacas  medicações antiarrítmicas.
 Toda intervenção realizada devem ser cuidadosamente
documentadas na ficha de atendimento do doente, e o
hospital que recebe-lo deve estar ciente dos
procedimentos.
REFERÊNCIAS BIBLIOGRÁFICAS
OBRIGADO!

Trauma torácico

  • 1.
  • 2.
    TÓPICOS ABORDADOS  INTRODUÇÃO; ANATOMIA;  FISIOLOGIA;  FISIOPATOLOGIA;  AVALIAÇÃO;  TRATAMENTO DE LESÕES ESPECÍFICAS; • FRATURAS DE COSTELAS; • TÓRAX INSTÁVEL; • CONTUSÃO PULMONAR; • PNEUMOTÓRAX; • HEMOTÓRAX; • CONTUSÃO CARDÍACA; • TAMPONAMENTO CARDÍACO; • COMOÇÃO CARDÍACA; • RUPTURA TRAUMÁTICA DA AORTA; • RUPTURA TRAQUEOBRÔNQUICA; • ASFIXIA TRAUMÁTICA; • RUPTURA DE DIAFRAGMA; • TRANSPORTE PROLONGADO;
  • 3.
    INTRODUÇÃO Trauma torácico mecanismos contusos e penetrantes; Maioria dos tratamentos  intervenções relativamente simples; Lesões significativas (órgãos envolvidos na manutenção da oxigenação, ventilação e oferta de oxigênio); Morbidades significativas: • Hipóxia; • Hipercapnia; • Acidose; • Choque.
  • 4.
  • 5.
  • 7.
  • 10.
    FISIOPATOLOGIA LESÃO PENETRANTE: Penetração doar (Pressão e  Resistência); Rompimento da aderência entre as membranas pleurais PNEUMOTÓRAX; Colabamento (impedimento de ventilação eficaz). Respiração superficial  Estimulação do centro respiratório   esforço respiratório
  • 11.
    FISIOPATOLOGIA LESÃO PENETRANTE:  Entradade ar (sem saída)  PNEUMOTÓRAX hipertensivo  impede a respiração   Retorno venoso  CHOQUE;  Deslocamento mediastino  Retorno venoso   PA  Distensão da veia jugular. ***Desvio de traqueia***  Ferimentos penetrantes  hemorragia (HEMOTÓRAX)  não visível/ visível  CHOQUE e  Capacidade respiratória;  Ferimentos pulmonares  hemorragias  sangue nos alvéolos   ventilação e oxigenação;
  • 12.
    FISIOPATOLOGIA LESÃO CONTUSA:  Aplicadana parede torácica  órgãos torácicos (pulmões)  hemorragia   ventilação e oxigenação; Lesão da pleura parietal  ar no espaço pleural  PNEUMOTÓRAX (hipertensivo);  Fratura de costelas  laceração pulmonar  PNEUMOTÓRAX E HEMOTÓRAX;  Grandes vasos (aorta)  Hemorragia catastrófica.
  • 13.
    AVALIAÇÃO  Coleta dahistória e realização do exame físico;  SINTOMAS;  ALERGIAS E OS ANOS DE VIDA DO PACIENTE;  MEDICAÇÕES;  PASSADO MÉDICO;  LÍQUIDOS E ÚLTIMA ALIMENTAÇÃO;  AMBIENTE DO TRAUMA;  Mecanismo do trauma?***
  • 14.
  • 15.
    AVALIAÇÃO EXAME FÍSICO  AUSCULTA: Diminuição do murmúrio vesicular unilateral  Pneumotórax ou hemotórax;  Sons respiratórios anormais  crepitações;  Sons cardíacos abafados e sopros.  PALPAÇÃO:  Pesquisa de pontos dolorosos, crepitação (óssea ou enfisema subcutâneo) e segmento instável da parede torácica;  PERCUSSÃO:  Som abafado (contusão pulmonar ou hemotórax) e timpânica (pneumotórax).
  • 16.
    AVALIAÇÃO EXAME FÍSICO  OXIMETRIADE PULSO;  CAPNOGRAFIA: análise do nível de CO2 no ar expirado e monitorar estado geral do doente e respostas ao tratamento.
  • 17.
    FRATURAS DE COSTELAS Comuns;  Grande quantidade de energia;  Face lateral das costelas 4 a 8 (finas e menos protegidas);  Lesionar músculo, pulmões (contusão pulmonar e pneumotórax) e vasos sanguíneos (ruptura traumática da aorta);  Costelas inferiores: lesões intra- abdominais(esplênicas e hepáticas) CHOQUE;
  • 18.
    FRATURAS DE COSTELAS AVALIAÇÃO: poucos sintomas; dor torácica e dispneia, dificuldade de respiração, sensibilidade da parede torácica e crepitação.  Sinais vitais (frequência ventilatória e profundidade da respiração) – oximetria e capnografia;  TRATAMENTO:  Inicial: alívio da dor (analgesia com pequenas doses de narcóticos IV);  Manter respiração profunda e tossir;  Evitar imobilização de costelas com bandagem firme ou atadura;  Se necessário: adm. de O2 e assistência vent.
  • 21.
    TÓRAX INSTÁVEL  2ou + costelas adjacentes fraturadas em pelo menos dois lugares;  Segmento  não apresenta mais continuidade;  Comprometimento da troca gasosa  Contusão pulmonar;  Comprometimento da ventilação  movimento paradoxo do segmento contundido durante a respiração;
  • 23.
    TÓRAX INSTÁVEL  AVALIAÇÃO:Dor mais intensa (sofrimento);  frequência ventilatória; hipóxia; movimento paradoxal pode não ser evidente ou fácil identificado; sensibilidade e crepitação óssea; Palpação pode ser observada;  TRATAMENTO:  Alívio da dor;  Suporte ventilatório (+ importante) e monitoramento;  Oximetria de pulso  hipóxia;  Estabilização do segmento são contraindicados.
  • 25.
    CONTUSÃO PULMONAR  Laceraçãoou rompimento  mec. contusos ou penetrantes;  Sangue nos alvéolos e entre eles  dificuldade na troca gasosa;  Complicação comum e potencialmente letal;  AVALIAÇÃO: os achados são variáveis; avalição inicial pode não revelar dificuldade respiratória; observar presença de retalho costal móvel.  TRATAMENTO:  Suporte ventilatório;  Oximetria de pulso e capnografia;  Reanimação volêmica  cautelosa ( edema)  comprometimento da ventilação e a oxigenação.
  • 28.
    PNEUMOTÓRAX  20% daslesões torácicas graves; ABERTO - Pneumotórax + defeito na parede torácica (entrada e saída de ar); SIMPLES - Ar no espaço pleural; ( ar  colabamento); HIPERTENSIVO - Ar continua a entrar e é aprisionado no espaço pleural   pressão intratorácica (desvio do mediastino,  retorno venoso e comprometimento da função circulatória).
  • 29.
    PNEUMOTÓRAX SIMPLES  Arno espaço pleural ( ar  colabamento);  AVALIAÇÃO: dor torácica e sinais de disfunção respiratória.  EXAME FÍSICO:  M.V. - Timpanismo na percussão.  TRATAMENTO:  O2 suplementar;  Acesso IV (caso CHOQUE);  Oximetria de pulso e capnografia;  Decúbito semissentado (conforto);  Transporte rápido;  Tratamento precoce (Simples  Hipertensivo).
  • 31.
    PNEUMOTÓRAX ABERTO  Comunicaçãoentre o ar ambiente e o espaço pleural;  Inspiração: entrada de ar (pressão negativa) a medida que os músculos se contraem;  “Ferimento torácico soprante”;   lesão:  a resistência ao fluxo;  Ventilação eficaz inibida colapso do pulmão e fluxo de ar preferencial;  Mecanismos: arma de fogo, explosivos, arma branca, empalamentos e trauma contuso.
  • 33.
    PNEUMOTÓRAX ABERTO  AVALIAÇÃO:insuficiência respiratória evidente; ansioso e taquipneico; pulso radial, fino e rápido; Ferimento na parede torácica com ruídos audíveis de aspiração durante a inspiração com borbulhamento durante expiração.  TRATAMENTO:  Selamento do defeito (Bandagem oclusiva) e adm de O2 suplementar;  Lesão subjacente no pulmão: extravasamento de ar por duas fontes;  Caso necessário: entubação endotraqueal e a ventilação com pressão positiva.
  • 37.
    PNEUMOTÓRAX HIPERTENSIVO  Emergênciacom risco de morte;   risco: fratura de costelas, pneumotórax, ventilação +; Entrada de ar P. intratorácica ELEVADA; Comprometimento ventilatório/ retorno venoso ao coração;  Troca gasosa  Débito cardíaco CHOQUE Desvio do mediastino
  • 39.
    PNEUMOTÓRAX HIPERTENSIVO  AVALIAÇÃO:Apreensão e desconforto; Dor torácica e dificuldade na respiração; Piora: agitação crescente e sofrimento respiratório; Casos graves: cianose e apneia;  ACHADOS CLÁSSICOS: desvio traqueal,  M.V, percussão timpânica;  OUTROS ACHADOS: Turgência venosa jugular, crepitação da parede torácica e cianose; Taquicardia e taquipneia ( Pressão) culminando em hipotensão e choque descompensado.
  • 41.
    PNEUMOTÓRAX HIPERTENSIVO  TRATAMENTO: Prioridade: Descompressão; 1. Piora do desconforto respiratório ou dificuldade da ventilação com bolsa-valva-máscara; 2. Ausência ou redução unilateral dos sonos respiratórios; 3. Choque descompensado (pressão arterial sistólica <90 mmHg).  Transporte rápido; adm de O2; ventilação positiva (apenas em hipóxia e se não responder a suplementação de O2).
  • 42.
    PNEUMOTÓRAX HIPERTENSIVO  DESCOMPRESSÃO: REMOÇÃO DA BANDAGEM OCLUSIVA: permite a descompressão do pneumotórax (saída de ar);  DESCOMPRESSÃO COM AGULHA: permite que o ar escape; • Inserção da agulha no 2º ou 3º espaço intercostal na linha hemiclavicular; • A agulha e o cateter devem ser introduzidos até surgir um jato de ar e não, deve ultrapassar esse ponto. • Após descompressão, o cateter é fixado ao tórax para evitar seu deslocamento. • Converte um pneumotórax hipertensivo em simples; • Colocação incorreta (localização ou profundidade): causar lesões em pulmões, coração ou grandes vasos.  TORACOSTOMIA (TUBO TORÁCICO): procedimento cirúrgico. • Não inseridos no ambiente pré-hospitalar (tempo, complicações, infecções e treinamento).
  • 46.
    HEMOTÓRAX  Presença desangue no espaço pleural;  Representa fonte de perda sanguínea importante;  Mesmos mecanismos do pneumotórax;  Origem: parede da musculatura torácica, vasos intercostais, parênquima pulmonar, vasos pulmonares ou grandes vasos do tórax;
  • 48.
    HEMOTÓRAX  AVALIAÇÃO: desconforto;dor torácica e a dispneia; Sinais de choque: taquicardia, taquipneia, confusão, palidez e hipotensão.  EXAME FÍSICO: sons respiratórios são diminuídos ou ausentes; percussão é abafada;  PNEUMOTÓRAX + HEMOTÓRAX: probabilidade de comprometimento cardiorrespiratório;
  • 49.
    HEMOTÓRAX  TRATAMENTO:  Observaçãoconstante;  Adm de O2 com auxílio de ventilação, se necessário, bolsa-valva-máscara ou entubação endotraqueal;  Acesso IV: reposição volêmica  Transporte rápido (intervenção cirúrgica);
  • 52.
    CONTUSÃO CARDÍACA  Causamais frequente de lesão cardíaca;  “Desaceleração, incidente automobilístico com impacto frontal”;   Pressão dentro dos ventrículos  contusão cardíaca, lesão valvular e ruptura cardíaca;
  • 54.
    CONTUSÃO CARDÍACA  CONTUSÃOCARDÍACA: + comum; causa arritmias; Miocárdio lesionado a contratilidade do coração poderá ser prejudicada e o débito cardíaco cairá, causando choque cardiogênico (adm. de líquidos piora o quadro).  RUPTURA VALVULAR: presença de graus variáveis de choque com sinais e sintomas de ICC (taquipneia, estertores e sopro).  RUPTURA CARDÍACA CONTUSA: menos de 1%; maioria morre no local (exsanguinação e tamponamento cardíaco).
  • 56.
    CONTUSÃO CARDÍACA  AVALIAÇÃO:Avaliar o mecanismo do trauma; Dor torácica ou falta de ar; Arritmias (palpitações);  ACHADOS FÍSICOS PREOCUPANTES: Contusões ou crepitação sobre o esterno e instabilidade esternal; Afundamento do esterno (respiração paradoxal). Ruptura valvular: sopro rude sobre o precórdio + sinais de ICC aguda (hipotensão, turgência jugular e sons respiratórios anormais). ECG: taquicardia, extra-sístoles ventriculares, outras alterações do ritmo cardíaco ou elevação do segmento ST.
  • 57.
    CONTUSÃO CARDÍACA  TRATAMENTO: Avaliação correta;  Adm O2 em  concentração;  Acesso venoso  reposição volêmica;  Monitor cardíaco  detectar arritmias e elevações de onda ST;  Arritmia  farmacologia antiarrítmica protocolizada (Amiodarona).  Suporte ventilatório.
  • 59.
    TAMPONAMENTO CARDÍACO  “Ocorrequando um ferimento cardíaco permite acumulo agudo de fluído entre o saco pericárdico e o coração”;  Saco pericárdico: tecido fibroso inelástico; Ferimento cardíaco Extravasamento e acúmulo de líquido no pericárdio ( Pressão no interior) Impede o retorno venoso e  débito cardíaco e da Pa Atividade elétrica sem pulso (AESP)
  • 61.
    TAMPONAMENTO CARDÍACO  Armabranca: pode penetrar uma das câmaras cardíacas ou apenas lacerar o miocárdio  hemorragia no saco pericárdico;  Arma de fogo: o dano ao coração é tão grave, o pericárdio não consegue conter hemorragia (rápida exsanguinação);  “Presente até prova em contrário”.
  • 63.
    TAMPONAMENTO CARDÍACO  AVALIAÇÃO:Tríade de Beck - (1) bulhas cardíacas abafadas ou distantes; (2) turgência jugular; (3) hipotensão; Pulso paradoxal;  TRATAMENTO:  Reconhecimento para preparação hospitalar;  Adm. O2  [ ], obter acesso venoso e reposição volêmica;  Pcte hipotenso entubação endotraqueal e ventilação +;  Transporte rápido e monitorado (procedimentos cirúrgicos);  Tto definitivo: liberação do tamponamento e o reparo da lesão cardíaca;  Pericardiocentese: ganho de tempo;  risco.
  • 64.
    COMOÇÃO CARDÍACA  “Impactoaparentemente inócuo na porção anterior do tórax produz uma parada cardíaca súbita.” Arritmia Súbita parada cardíaca Impacto penetrante relativamente pequeno no précordio que ocorre em uma porção eletricamente vulnerável do ciclo cardíaco Vasoespasmo das coronárias pode ter papel em seu desenvolvimento
  • 65.
    COMOÇÃO CARDÍACA  AVALIAÇÃO:parada cardiorrespiratória; contusões sobre esterno; Fibrilação ventricular é o ritmo mais comum;  TRATAMENTO:  RCP;  Tto similar às paradas cardíacas (infarto do miocárdio);  Desfibrilação rápida (FV);  Prognóstico ruim (sobrevida de 15% ou menos);  Contole da via aérea e acesso venoso;  Epinefrina e antiarrítmicos (protocolo).
  • 66.
    Entre 1975 e2001, mais de 60 jogadores de beisebol e softball morreram dessa maneira. A má notícia é que não parece haver um fator de predisposição. Qualquer pessoa atingida no peito da maneira exatamente errada pode sofrer um ataque. A boa notícia é que as vítimas podem ser salvas por uma ação rápida com um desfibrilador. Infelizmente, a demora para obter ajuda é freqüente, e somente 16% das vítimas estudadas sobreviveram.
  • 67.
    RUPTURA TRAUMÁTICA DEAORTA  “Resulta de mecanismos de desaceleração/ aceleração de uma força significativa”;  Mecanismos: colisões automobilísticas em alta velocidade com impacto frontal e quedas de grandes alturas nas quais o doente cai na horizontal;  Clássica localização: imediatamente distal à saída da artéria subclávia esquerda;
  • 70.
    RUPTURA TRAUMÁTICA DEAORTA  AVALIAÇÃO:  índice de suspeita;  evidências externas; avaliar condições da via aérea e da ventilação;  EXAME FÍSICO: ausculta e palpação cuidadosas. (Pulso mais forte direito/pulso mais forte MS);  DIAGNÓSTICO: Raio X (alargamento do mediastino); aortografia; TC; ecocardiografia transesofágica.
  • 72.
    RUPTURA TRAUMÁTICA DEAORTA  TRATAMENTO:  Adm. O2  [ ];  Acesso venoso;  Informar o hospital;  Controle da pressão arterial (betabloqueadores)  bom prognóstico das lesões;  Reposição volêmica criteriosa (paradoxo).
  • 73.
    RUPTURA TRAQUEOBRÔNQUICA  Incomume alto potencial letal;  Trauma penetrante e trauma fechado (lesão contusa de alta energia);  AVALIAÇÃO: insuficiência respiratória, pálido e sudoreico; Utilização dos ms. acessórios da respiração, roncos e batimentos de asa do nariz; Presença de enfisema subcutâneo extenso (tórax e pescoço), desvio da traqueia.  ventilação,  saturação O2. Hipotensão e hemoptise;
  • 75.
    RUPTURA TRAQUEOBRÔNQUICA  TRATAMENTO: Adm. O2 suplementar e assistência ventilatória criteriosa;  Monitoramento de sinais de progressão ao pneumotórax hipertensivo (descompressão com agulha);  Evitar entubação seletiva do brônquio principal (difícil realização e piora da lesão).
  • 77.
    ASFIXIA TRAUMÁTICA  Comprometimentodo retorno venoso da cabeça e do pescoço  Coloração azulada;  Mecanismo:  acentuado e abrupto da pressão torácica por esmagamento do tronco  sangue expulso pelo coração entrando nas veias pela direção retrógada;  Vênulas subcutâneas e pequenos capilares se rompem  cor arroxeada;
  • 78.
    ASFIXIA TRAUMÁTICA  AVALIAÇÃO:pletora e lesões adicionais (pneumotórax, hemotórax, contusão cardíaca e pulmonar, etc);  TRATAMENTO:  Adm. O2  [ ];  Acesso venoso;  Suporte ventilatório criterioso;  Coloração: desaparece em uma semana.
  • 80.
    RUPTURA DE DIAFRAGMA Não apresentam por si só problemas agudos, mas devem ser reparadas em função do risco de herniação e estrangulamento do conteúdo abdominal.  Mecanismo: aplicação de força suficiente a ponto de aumentar agudamente a pressão abdominal de forma abrupta e suficiente para romper o diafragma.  Pode originar: disfunção respiratória, fratura das costelas, hemotórax e pneumotórax;  Pode ocorrer lesões de órgãos abdominais  são forçados através da laceração diafragmática até a cavidade pleural.
  • 82.
    RUPTURA DE DIAFRAGMA AVALIAÇÃO: esforço respiratório agudo, ansioso, taquipneico, pálido. Pode apresentar contusões da parede torácica, crepitação óssea ou enfisema subcutâneo.  EXAME FÍSICO: M.V. diminuído ou ruídos hidroaéreos auscultados sobre o tórax. Abdome escavado (herniação de conteúdo abdominal).  TRATAMENTO:  Reconhecimento imediato e transporte rápido;  O2 suplementar  [ ] e suporte ventilatório.
  • 83.
    TRANSPORTE PRONLOGADO  Prioridades:controle das vias aéreas, ventilação e oxigênio suplementar, controle de hemorragia e reposição volêmica adequada;  Entubação endotraqueal: aumento do esforço respiratório ou insuficiência respiratória iminente, afundamento de tórax, pneumotórax aberto ou múltiplas fraturas de costelas  fornecer oxigênio (manter sat 95% ou mais);  Ventilações devem ser assistidas  piora do quadro ou causar pneumotórax hipertensivo;
  • 84.
    TRANSPORTE PRONLOGADO  Descompressãopleural  presença de diminuição ou ausência do M.V. , piora do esforço respiratório, dificuldade de ventilar com bolsa-valva-máscara, aumento da pressão de pico inspiratório em doentes em uso de respirador e hipotensão.  Acesso venoso  feita a critérios. Hemorragia intratorácica, intra-abdominal ou retroperitoneal (PAS na faixa de 80-90mmHg) Reposição volêmica muito agressiva pode piorar as contusões pulmonares e causar hemorragia interna.
  • 85.
    TRANSPORTE PRONLOGADO  Intensador em fratura de costelas: adm. de narcóticos IV. Se causar hipotensão e insuf. respiratória, fazer resposição volêmica e suporte ventilatório.  Arritmias cardíacas  medicações antiarrítmicas.  Toda intervenção realizada devem ser cuidadosamente documentadas na ficha de atendimento do doente, e o hospital que recebe-lo deve estar ciente dos procedimentos.
  • 86.
  • 87.

Notas do Editor

  • #4 15 -20% TORACOTOMIA e 85% de intervenções simples; Intervençoes simples: oxigênio suplementar, suporte ventilatório, analgesia, toracostomia com drenagem torácica Hipóxia: quantidade inadequada de oxigênio no sangue; Hipercapnia: CO2 excessivo no sangue; Acidose acúmulo de ácido no sangue; Choque: oxigênio insuficiente dos órgãos e tecidos do corpo.
  • #5 Tórax: cilindro oco, constituído por estruturas ósseas e musculares, composto por 12 pares de costelas:  7 Pares Verdadeiras: Articulam se diretamente ao esterno  3 Pares Falsas Propriamente Ditas: Articulam-se indiretamente (cartilagens)  2 Pares Falsas Flutuantes: São livres  Essa caixa óssea fornece uma proteção acentuada aos órgãos internos da cavidade torácica. Na verdade, as costelas inferiores também protegem os órgãos da parte superior do abdome (principalmente baço e fígado);
  • #6 Os músculos intercostais localizam-se entre as costelas e as conectam umas as outras; Diversos grupos musculares movem a extremidade superior e são parte da parede torácica, incluindo os músculos peitorais maiores e menores, os músculos serráteis anteriores e posteriores e o músculo grande dorsal, juntamente com os vários músculos do dorso. Com todo esse acolchoamento para lesionar os órgãos internos é necessária uma quantidade de força considerável. Existe também músculos envolvidos no processo de respiração (ventilação), incluindo os músculos intercostais, o diafragma, que é um músculo em forma de cúpula aderido a porção inferior do tórax; e os músculos do pescoço que se inserem nas costelas superiores. Uma artéria, uma veia e um nervo localizam-se na borda inferior de cada costela, vascularizando e estimulando os músculos intercostais.
  • #7 Uma fina membrana, chamada pleura parietal, reveste a cavidade formada por essas estruturas. Outra fina membrana correspondente, chamada pleura visceral, cobre os outros órgãos da cavidade torácica. Normalmente não há espaços entre essas duas membranas. Na realidade, elas estão aderidas entre si por uma pequena quantidade de líquido que as mantém unidas, da mesma forma que uma fina camada de água une duas lâminas de vidro. O líquido pleural cria uma tensão superficial que se opõe à natureza elástica dos pulmões, impedindo sua tendência natural de sofrer colabamento. Os pulmões ocupam as metades direita e esquerda da cavidade torácica. Entre eles e envoltos por eles, há uma área chamada mediastino, em que se encontram o coração, os grandes vasos, a traqueia, os brônquios principais e o esôfago.
  • #8 Ventilação: processo mecânico no qual o ar se move através da boca e do nariz para traqueia, brônquios, pulmões e diminutos sacos denominados alvéolos. A respiração compreende a ventilação e a disponibilização de oxigênio para células. O processo de puxar o ar é chamado inspiração. O oxigênio é transportado ate chegar aos capilares nos quais se adere a hemoglobina nas hemácias para ser transportado. Enquanto o CO2 faz o caminho oposto para ser expelido no ar pelo processo chamado expiração. Inspiração: contração do diafragma e m. intercostais externos  aumenta o volume interno da caixa torácica e cria uma pressão negativa no seu interior o que resulta na entrada de ar nos pulmões. Expiração: relaxamento do diafragma e intercostais internos , aumentando a pressão e expelindo o ar. Ventilação é controlada pelo centro respiratório do tronco encefálico, monitorando a pressão parcial arterial de CO2 e de O2 por células especializadas, quimiorreceptores. Eles estão localizados no tronco encefálico, aorta e nas carótidas internas. Quando aumento de PaCO2 eles estimulam o centro espiratorio a elevar a profundidade e frequência das ventilações eliminando mais CO2 e normalizando a pressão de CO2.
  • #10 CIRCULAÇÃO Coração: bomba biológica, preenchido por líquido fornecido pelo retorno de sangue pela veia cava superior e a veia cava inferior. O coração se contrai de 70 a 80x por minuto, ejetando sangue para o corpo através da aorta. Barroreceptores reconhecem alterações na pressão arterial e instruem o coração mudar a frequência e a potencia de seus batimentos para fazer com que a pressão arterial retorne ao normal.
  • #11 Nessas lesões, objetos de tamanhos variados atravessam a parede torácica, penetram a cavidade torácica e possivelmente lesionam os órgãos internos do tórax; Ferida penetrante  comunicação entre a cavidade torácica e meio externo (o ar tende a e penetrar no espaço pleural através da ferida durante a inspiração, quando a pressão intratorácica é menor do que a pressão externa e, por causa da resistência ao fluxo de ar através da ferida, geralmente menor do que a observada através da via aérea.). Ar no espaço pleural (pneumotórax) rompe a aderência entre as membranas pleurais criada pela fina película de líquido pleural; Em, conjunto, todos esses processos permitem que o pulmão sofra colabamento, impedindo uma ventilação eficaz; Ferimentos penetrantes resultam em pneumotórax aberto apenas quando o tamanho do defeito na parede torácica é suficientemente extenso para que os tecidos adjacentes não o fechem, pelo menos de forma parcial, durante a inspiração e/ou expiração. Também pode ocorrer saída de ar do pulmão para o interior do espaço pleural, o que também leva ao colabamento pulmonar. Apresentação de respiração superficial; para compensar a perda da capacidade ventilatória, o centro respiratório estimula uma respiração mais rápida. Isso aumenta o esforço respiratório.
  • #12 Entrada contínua de ar para o interior da cavidade torácica sem qualquer saída, a pressão no espaço pleural começa a se elevar, provocando pneumotórax hipertensivo, o que, em breve irá impedir que o doente respire. Isso também trará um impacto negativo sobre a circulação, uma vez que diminui o retorno venoso ao coração pelo aumento da pressão torácica; o desenvolvimento de choque é possível. Em casos extremos, com o deslocamento das estruturas mediastinais para o lado oposto do tórax, o retorno venoso é altamente comprometido, reduzindo a pressão arterial e provocando distensão da veia jugular; o clássico achado de desvio da traqueia pode ser observado; Tecidos lacerados e vasos sanguíneos lesionados sangram. Ferimentos penetrantes do tórax podem causar hemorragia no interior do espaço pleural (hemotórax) a partir dos músculos da parede torácica, dos vasos intercostais e dos pulmões. Penetrantes de grandes vasos do tórax  hemorragias catastróficas; Espaço pleural pode armazenas 3000 Ml de liquido. Hemorragia torácica pode não ser visível externamente a principio, mas pode ter magnitude suficiente para levar ao estado de choque. Sangue no espaço pleural também interfere na capacidade respiratória do doente (impede a expansão pulmonar do doente; Ferimentos pulmonares podem produzir hemorragias no próprio tecido pulmonar, esse sangue encharca os alvéolos, impedindo que sejam preenchidos com ar (assim, não podem participar da troca gasosa). Quanto mais alvéolos são encharcados, mais a ventilação e a oxigenação podem ficar comprometidas.
  • #13 Força contusa aplicada a parede torácica é transmitida através da parede aos órgãos torácicos, especialmente aos pulmões. Essa onda pode lesionar o tecido pulmonar, o que pode causar hemorragia no interior do alvéolos. O impacto sobre a oxigenação e a ventilação é o mesmo que ocorre na lesão penetrante; Lesão da pleura parietal, o ar pode escapar do pulmão para dentro do espaço pleural, criando um pneumotórax com potencial de evolução para um pneumotórax hipertensivo. Trauma fechado de tórax também pode fraturar costelas, causar laceração pulmonar, produzindo pneumotórax e hemotórax; Laceração ou ruptura de grandes vasos do tórax, particularmente aorta, causando uma hemorragia catastrófica;
  • #14 Como ocorre em todos os aspectos do atendimento médico, a avaliação envolve a coleta de uma história e a realização de exame físico; Sintomas: se o doente estiver consciente e capaz de se comunicar.
  • #15 Observação: o doente é observado quanto a palidez cutânea e à sudorese, o que pode indicar a presença de choque; O doente pode parecer apreensivo; Cianose: pode ser evidente na hipóxia; Frequência ventilatória e os sinais de dificuldades respiratórias (dispneia, contrações dos m. respiratórios acessórios do pescoço, batimento da asa do nariz devem ser observados). Traqueia está na linha média ou desviada para um dos lados; Veias jugulares estão distendidas; Tórax: busca de contusões, abrasões, lacerações e simetria da parede torácica durante a ventilação. Há alguma porção da parede torácica que se move paradoxalmente com a ventilação? A frequencia ventilatória é talvez seja a mais importante e repetida medida. A medida que os doentes ficam hipoxicos e pioram, uma indicação precoce dessa mudança é um aumento gradual da frequência ventilatória.
  • #16 Percussão: difícil realização devido a ruídos no ambiente.
  • #17 Oximetria de pulso: avaliar o nível de oxigênio ligado a hemoglobina e monitorada para observação de alterações no estado geral do doente e de respostas a terapia. Capnografia: seja por avaliação com sonda nasal, mascara ou tubo endotraqueal, a capnografia é usada para analise do nível de dióxido de carbono no ar expirado e monitorada para observação de alterações do estado geral do doente e de respostas ao tratamento.
  • #18 Relativamente são bem protegidas pela musculatura sobrejacente, fraturas de costelas são comuns no trauma torácico. As costelas superiores são amplas, espessas e bem protegidas pela cintura escapular e por músculos  necessita de grande quantidade de energia para fraturar as costelas superiores, por isso pode apresentar lesões significativas como ruptura traumática da aorta
  • #19 TOSSIR para evitar colapso dos alvéolos – atelectasias e o desenvolvimento de pneumonia e outras complicações; Evitar imobilização de costelas com bandagem firme ou atadura  desenvolvimento de atelectaia e pneumonia.
  • #22 A instabilidade do tórax ocorre quando duas ou mais costelas adjacentes são fraturadas em pelo menos dois lugares; Segmento da parede torácica passe a não apresentar mais continuidade com o restante do tórax; A força significativa necessária para a lesão é geralmente transmitida ao pulmão adjacente levando a contusão pulmonar; Quando os m. respiratórios se contraem para elevar as costelas e abaixar o diafragma, o segmento contundido se move para dentro em resposta a pressão negativa criada no interior da cavidade torácica. Da mesma maneira quando estes músculos relaxam o segmento pode se mover para fora dado o aumento da pressão no interior do tórax. Esse movimento paradoxal faz com que a ventilação seja menos eficaz. A contusão pulmonar não permite a troca gasosa na porção acometida, já que os alvéolos estão cheios de sangue;
  • #24 Avaliação: dificuldade na respiração;
  • #26 Tecido pulmonar é lacerado ou rompido por mecanismos contusos ou penetrantes, o sangramento nos espaços aéreos alveolares pode causar contusão pulmonar, isso impede a troca gasosa, já que não há entrada de ar nestes alvéolos pela via aérea terminal. Presença de sangue e edema no tecido entre os alvéolos dificulta ainda mais a troca gasosa nos alvéolos que são ventilados. A contusão pulmonar está quase sempre presente no doente com um tórax flácido (retalho costal móvel) e é uma complicação comum e potencialmente letal da lesão torácica. A deterioração até o ponto de franca insuficiência respiratória pode ocorrer ao longo das primeiras 24 horas após a lesão. AVALIAÇÃO: Os achados são variáveis, dependendo da gravidade da contusão (porcentagem do pulmão envolvido). A avalição inicial pode não revelar dificuldade repiratória. É necessário um alto índice de suspeição, particularmente na presença de um segmento afundado (retalho costal móvel).
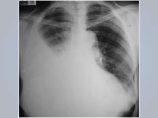
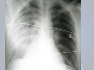
  • #27  A radiografia 3 mostra contusão pulmonar à direita.
  • #28  A radiografia 1 mostra contusão pulmonar à direita e discreto enfizema de subcutâneo à direita.
  • #29 Três tipos de pneumotórax com níveis crescentes de gravidade: simples, aberto e hipertensivo; PNEUMOTÓRAX ABERTO: ferimento torácico soprante;
  • #30 AVALIAÇÃO: achados similares àqueles da fratura de costelas; Dor torácica, (pleurítica), exibir sintomas e sinais de disfunção respiratória. Achados clássicos: murmúrio vesicular diminuído do lado da lesão e o timpanismo na percussão. Se a imobilização da coluna não for necessária, o doente pode ficar mais confortável em decúbito semissentado; O ponto principal do tto é o reconhecimento de que um pneumotórax simples pode rapidamente evoluir para um pneumotórax hipertensivo;
  • #32 Inspiração: o ar atravessa a ferida e penetra o espaço pleural devido à pressão negativa criada na cavidade torácica à medida que os músculos de respiração se contraem. Ferimento torácico soprante: a passagem de ar para dentro e para fora do orifício na parede torácica cria um ruído. A ventilação eficaz é então inibida tanto pelo colapso do pulmão do lado acometido quanto pelo fluxo de ar preferencial para o espaço pleural em vez dos alvéolos pulmonares.
  • #34 O fluxo de ar através do ferimento até a cavidade pleural é impedido pela colocação de uma bandagem oclusiva. Um doente com um pneumotórax aberto quase sempre apresenta uma lesão subjacente no pulmão, assim o extravasamento de ar se dá por duas fontes, o orifício na parede torácica e o orifício no pulmão. Mesmo quando uma lesão na prede torácica é selada com uma bandagem oclusiva, o extravasamento de ar para o espaço pleural pode continuar, sendo originário do pulmão acometido, levando ao pneumotórax hipertensivo. Se for utilizada pressão positiva, o socorrista deve monitorar o doente cuidadosamente quanto ao desenvolvimento de pneumotórax hipertensivo. Caso surjam sinais de aumento do esforço respiratório, o curativo sobre o ferimento deve ser removido para permitir a descompressão de qualquer tensão acumulada. Caso isso seja ineficaz devem ser avaliadas a utilização de descompressão com agulha e a ventilação positiva, se já não estiverem sendo empregadas.
  • #36 Tradicionalmente, ensina-se que, em caso de pneumotórax aberto, a bandagem oclusiva é fixada em três lados. Isso impede o fluxo de ar para a cavidade torácica durante a inspiração, ao mesmo tempo que permite seu escape através do lado solto do curativo durante a expiração. Vários dispositivos para o tratamento do pneumotórax aberto são comercializados (selo torácico de Asherman etc).; porém, não foram publicados resultados demonstrando sua superioridade em relação à bandagem oclusiva (papel alumínio ou gaze com vaselina). Assim, é provável que o maior custo não seja justificado. Além disso, a fixação da bandagem oclusiva em seus quatro lados tem sido defendida como preferível à fixação em apenas três lados; no entanto, nenhuma resposta definitiva a esta questão foi conclusivamente determinada.
  • #37 http://www.uff.br/ph/artigos/curativo3p.pdf
  • #40 Ausculta do murmúrio vesicular é difícil de detectar no atendimento do local da ocorrência; A detecção da percussão timpânica é basicamente impossível.
  • #42 A descompressão deve ser realizada na presença de três achados: Piora do desconforto respiratório ou dificuldade da ventilação com bolsa-valva-máscara; Ausência ou redução unilateral dos sonos respiratórios; Choque descompensado (pressão arterial sistólica <90 mmHg) Caso a descompressão não seja uma opção (disponibilidade apenas de suporte básico e ausência de bandagem oclusiva para remover), o transporte rápido a uma instituição adequada, administrando alta concentração de oxigênio (Fi O2> ou igual a 85%) é imperativo. O auxílio ventilatório com pressão positiva deve ser usado apenas se o doente apresentar hipóxia e não responder a suplementação com oxigênio, pois pode pior rapidamente o pneumotórax hipertensivo.
  • #43 REMOÇÃO DA BANDAGEM OCLUSIVA: caso um curativo oclusivo tenha sido colocado, deve ser logo removido. Isso deve permitir a descompressão do pneumotórax hipertensivo através do ferimento, com saída de ar; Se não eficaz o socorrista deve proceder a toracostomia com agulha. DESCOMPRESSÃO COM AGULHA: permite que o ar acumulado sob pressão escape. A imediata melhora da oxigenação e da facilidade de ventilação pode salvar vidas. É realizada com a inserção da agulha no segundo ou terceiro espaço intercostal na linha hemiclavicular do lado do tórax envolvido.
  • #47 Como o espaço pleural pode acomodar um grande volume de sangue (2,5 a 3 L) pode representar uma fonte de perda sanguínea importante. Na verdade, a perda da volemia decorrente de hemorragia para o espaço pleural representa uma agressão fisiológica maior para o doente com lesão torácica do que o colabamento do pulmão causado pelo hemotórax.
  • #53 Arritmias: taquicardias sinusal. Mais preocupantes, mas menos comuns são as extrassistoles ventriculares (ESV) ou os ritmos de não perfusão como taquicardia ventricular (TV e fibrilação ventricular (FV). RUPTURA CARDÍACA CONTUSA: A maioria dos doentes morre no local de atendimento por exsanguinação ou tamponamento cardíaco fatal. Os sobreviventes tipicamente apresentam-se com tamponamento cardíaco.
  • #55 Arritmias: taquicardias sinusal. Mais preocupantes, mas menos comuns são as extrassistoles ventriculares (ESV) ou os ritmos de não perfusão como taquicardia ventricular (TV e fibrilação ventricular (FV). RUPTURA CARDÍACA CONTUSA: A maioria dos doentes morre no local de atendimento por exsanguinação ou tamponamento cardíaco fatal. Os sobreviventes tipicamente apresentam-se com tamponamento cardíaco.
  • #57 Afundamento do esterno (flutuação do esterno), as costelas em ambos lados do esterno estarão quebradas, permitindo que ele se mova, paradoxalmente com as respirações de forma similiar ao afundamento do tórax (retalho costal móvel). Caso ruptura valvular pode-se detectar um sopro rude sobre o percórdio, juntamente com sinais de ICC aguda, tais como hipotensão, turgência jugular e sons respiratórios anormais.
  • #58 A estratégia crucial do tto é a avaliação correta da possibilidade de existência de lesão cardíaca contusa.
  • #60 O saco pericárdico é composto por um tecido fibroso inelástico. Normalmente, há muito pouco líquido no saco pericárdico, da mesma forma que no espaço pleural. Em virtude do pericárdio ser inelástico, a pressão começa a crescer rapidamente dentro do saco pericárdio à medida que o líquido se acumula dentro dele. O pericárdio normal do adulto pode ser capaz de acomodar até 300 mL de líquido, antes de ocorrer a ausência de pulso, mas normalmente bastam 50 mL para impedir o retorno cardíaco e dessa forma o débito cardíaco.
  • #62 “Presente até prova em contrário”  deve-se sempre em mente a possibilidade de tamponamento cardíaco na avalição de qualquer doente com lesão torácica penetrante.
  • #64 (1) o líquido ao redor do coração torna difícil a ausculta dos sons do fechamento das valvas; (2) causada pelo aumento da pressão no saco pericárdico, retendo o sangue nas veias e no pescoço; Pulso paradoxal: também denominado pulsus paradoxos, é, na verdade, uma acentuação da discreta queda normal da pressão arterial sistólica (PAS) que ocorre durante a inspiração. À medida que o pulmão se expande, há enchimento preferencial e ejeção de sangue do lado direito do coração, em detrimento do lado esquerdo. Assim, a pressão arterial periférica é diminuída. O socorrista deve primeiro reconhecer que existe a probabilidade de tamponamento cardíaco e informar à equipe do hospital para que possam ser iniciadas as preparações para uma intervenção cirúrgica de emergência. Pericardiocentese: os riscos incluem lesão do coração e das artérias coronárias, resultando em aumento de tamponamento e lesão do pulmão, dos grandes vasos e do fígado.
  • #65 Especialista se divergem frente a teoria da concussão cardíaca. Mais frequente durante atividades esportivas amadoras em que a vitima é atingida por um projétil, como bola de beisebol (mais comum nos EUA), um disco de hóquei, uma bola de lacrosse ou uma bola de softbol. Também foi relatada pós golpes impactos no corpo, um incidente automobilístico em baixa velocidade e na colisão de dois jogadores de beisebol tentando alcançar a bola.
  • #66 RCP (reanimação cardiopulmonar);
  • #67 http://www.beisebolonline.jex.com.br/internacional/impacto+no+beisebol+pode+matar+sem+deixar+marcas
  • #71 A avaliação cuidadosa pode demonstrar que a qualidade do pulso pode ser diferente entre os dois membros superiores (pulso mais forte no braço direito do que no esquerdo); ou entre os membros superiores (artéria braquial) e membros inferiores (artéria femoral). A pressões arteriais, se mensuradas, podem ser mais altas nos membros superiores do que nos membros inferiores, indicando pseudocoarctação da aorta.
  • #73 Reposição volêmica: resulta na elevação ou na normalização da pressão arterial pode levar ao rompimento do tecido aórtico restante e a rápida perda de sangue.
  • #74 Desvio da traqueia pode ser obscurecido pelo enfisema subcutâneo;
  • #76 Se a ventilação assistida tornar o doente mais desconfortável, administra-se somente oxigênio e o doente deve ser transportado o mais rápido possível para um hospital equipado.
  • #78 Queda de um carro que estava suspenso por um macaco hidráulico sobre o tórax do doente.
  • #79 Pletora: excesso de sangue e turgor, ou aumento de volume e distensão dos vasos sanguíneos, fazendo com que a pele adquira uma coloração avermelhada
  • #84 Ventilações devem ser assistidas; Contusões pulmonares pioram com o tempo