DISFUNÇÕES
MUSCULOESQUELÉTICAS
     Prof. Vagner Sá
     UCB-RJ
     savagner@ig.com.br
LESÃO

       É o dano causado por trauma físico ou
        químico, sofrido pelos tecidos do corpo.
        O sistema musculoesquelético, como
        qualquer sistema biológico, não é
        estático. Está em um estado de
        equilíbrio constante, que é denominado
        homeostase.



PROF. VAGNER SÁ - SAVAGNER@IG.COM.BR
PROF. VAGNER SÁ - SAVAGNER@IG.COM.BR
PRENTICE, Voight, 2003.
PROF. VAGNER SÁ - SAVAGNER@IG.COM.BR
LESÃO PRIMÁRIA E
                                                              SECUNDÁRIA

                                          Na lesão primária, a lesão é uma
                                           conseqüência direta e imediata do
                                           traumatismo. Uma fratura de crânio por
                                           traumatismo contuso ou uma ruptura do
                                           ligamento colateral medial do joelho em
                                           virtude de um impacto lateral violento são
                                           exemplos.
                                          Na lesão secundária a manifestação ocorre
                                           algum tempo após o traumatismo inicial.
                                           Uma mulher, com entorse de tornozelo,
                                           pode alterar sua marcha e colocar cargas
                                           excessivas sobre articulações e tecidos
                                           tanto ipsilaterais quanto contralaterais.
PROF. VAGNER SÁ - SAVAGNER@IG.COM.BR
Os tecidos corporais experimentam cargas
continuamente durante as atividades normais sem
              qualquer lesão óbvia.




   PROF. VAGNER SÁ - SAVAGNER@IG.COM.BR
A probabilidade de lesão aumenta quando as
cargas ultrapassam a gama fisiológica. Neste caso o
       tecido experimenta uma sobrecarga.




  PROF. VAGNER SÁ - SAVAGNER@IG.COM.BR
A lesão pode resultar quando uma única
sobrecarga ultrapassa a tolerância máxima do
                   tecido.




PROF. VAGNER SÁ - SAVAGNER@IG.COM.BR
A sobrecarga repetida corresponde ao uso
    excessivo (overuse). Como por exemplos, a
tendinite e a síndrome do túnel do carpo, que são
 classificadas como distúrbios por traumatismos
 cumulativos ou síndrome de estresse repetitivo.




 PROF. VAGNER SÁ - SAVAGNER@IG.COM.BR
MECANISMOS DE LESÕES


       DIRETO  A força se aplica no local
        da lesão. Ex. contusão.


       INDIRETO  A força se aplica em
        um local diferente do local da lesão.
        Ex. entorse.


PROF. VAGNER SÁ - SAVAGNER@IG.COM.BR
PROF. VAGNER SÁ - SAVAGNER@IG.COM.BR
PROF. VAGNER SÁ - SAVAGNER@IG.COM.BR
LESÃO CRÔNICA E
                                          AGUDA

       As lesões podem resultar de um
        único insulto (lesão aguda) ou de
        cargas repetidas à longo prazo
        (lesão crônica). Os insultos crônicos
        persistentes dos tecidos podem
        resultar   progressivamente       em
        condições     degenerativas      que
        preparam o “palco” para uma lesão
        aguda.
PROF. VAGNER SÁ - SAVAGNER@IG.COM.BR
MICRO E MACROTRAUMA


       A lesão crônica pode começar com
        danos microscópicos das estruturas
        dos tecidos tendinosos e ósseo. Se
        não forem tratadas, as
        microlacerações tendinosas
        prenunciam a ruptura do tendão, e
        o osso sofrerá uma fratura por
        estresse.
PROF. VAGNER SÁ - SAVAGNER@IG.COM.BR
MACROTRAUMAS




PROF. VAGNER SÁ - SAVAGNER@IG.COM.BR
OUTROS FATORES
                            DETERMINANTES PARA
                           OCORRÊNCIA DE LESÃO




PROF. VAGNER SÁ - SAVAGNER@IG.COM.BR
E STRUTURA T ECIDUAL




PROF. VAGNER SÁ - SAVAGNER@IG.COM.BR
I DADE




PROF. VAGNER SÁ - SAVAGNER@IG.COM.BR
G ÊNERO




PROF. VAGNER SÁ - SAVAGNER@IG.COM.BR
G ENÉTICA




PROF. VAGNER SÁ - SAVAGNER@IG.COM.BR
E STADO F ISIOLÓGICO E
                                         F ÍSICO




PROF. VAGNER SÁ - SAVAGNER@IG.COM.BR
NUTRIÇÃO
OUTROS...
   Estado psicológico: estresse, distração,
    fadiga,   depressão,      fatores    de
    personalidade.
   Fadiga física
   Ambiente
   Equipamento de Proteção Individual –
    EPI
   Lesão prévia e doenças
    PROF. VAGNER SÁ - SAVAGNER@IG.COM.BR
EPI




PROF. VAGNER SÁ - SAVAGNER@IG.COM.BR
EPI




PROF. VAGNER SÁ - SAVAGNER@IG.COM.BR
EPI ?




PROF. VAGNER SÁ - SAVAGNER@IG.COM.BR
C ADÊ O EPI?




PROF. VAGNER SÁ - SAVAGNER@IG.COM.BR
TIPOS DE LESÕES

ABERTAS  A pele está danificada. Possuem
   comunicação com o meio externo. Ex.
   escoriação e ferida.
Escoriação: lesão superficial (atinge somente a
   epiderme)
Ferida: lesão mais profunda, atingindo epiderme
   e derme (tecido celular subcutâneo).


   FECHADAS  A pele está integra. Não
    possuem comunicação com o meio externo.
    Ex. contusão.
    PROF. VAGNER SÁ - SAVAGNER@IG.COM.BR
E SCORIAÇÕES




PROF. VAGNER SÁ - SAVAGNER@IG.COM.BR
FERIDAS

   PUNTIFORME: até 1 cm, com bordas
    regulares e arredondadas.




    PROF. VAGNER SÁ - SAVAGNER@IG.COM.BR
   PERFURANTE: acima de 1 cm, com bordas
    regulares e arredondadas.




    PROF. VAGNER SÁ - SAVAGNER@IG.COM.BR
   INCISA: mesma profundidade do
    início ao fim da lesão, com bordas
    regulares.




    PROF. VAGNER SÁ - SAVAGNER@IG.COM.BR
INCISA




PROF. VAGNER SÁ - SAVAGNER@IG.COM.BR
   CORTANTE: bordas um pouco irregulares,
    mais profunda no início da lesão.
Ex. corte com faca.




    PROF. VAGNER SÁ - SAVAGNER@IG.COM.BR
    CONTUSA: bordas e profundidade
     irregulares,potencialmente contaminada.
Ex. pedrada.




    PROF. VAGNER SÁ - SAVAGNER@IG.COM.BR
    CORTO-CONTUSA: lesão mista, afeta
     partes moles.




PROF. VAGNER SÁ - SAVAGNER@IG.COM.BR
   PÉRFURO-CONTUSA: lesão                 mista,
    também afeta partes moles.
Ex. perfuração por arma de fogo (PAF)




    PROF. VAGNER SÁ - SAVAGNER@IG.COM.BR
   FERIDA PENETRANTE: quando uma cavidade é
    atingida.

Ex. facada ou PAF penetrando a cavidade peritonial ou
    cavidade medular.

   FERIDA TRANSFIXANTE: tem porta de entrada e
    saída.

Ex. PAF




    PROF. VAGNER SÁ - SAVAGNER@IG.COM.BR
QUEIMADURAS




PROF. VAGNER SÁ - SAVAGNER@IG.COM.BR
LESÕES FECHADAS

   CONTUSÃO: lesão fechada causada por
    trauma direto em tecidos moles.
    Presença de sinais flogísticos (dor,
    calor, edema, rubor e impotência
    funcional). E de acordo com a energia
    do trauma, podemos encontrar
    também equimose ou hematoma.




    PROF. VAGNER SÁ - SAVAGNER@IG.COM.BR
M ÁCULAS H EMORRÁGICAS
   Equimose: hemorragia de pequenos vasos,
    tendo como consequência o aparecimento de
    uma mácula (mancha) hemorrágica visível na
    pele.
   Hematoma: hemorragia com maior volume de
    sangue abaixo da pele, com o aparecimento de
    um abaulamento na mesma. Às vezes é
    necessário drenagem, pois pode se tornar meio
    de cultura de bactérias.
   Petéquias: Se a quantidade de sangue é muito
    pequena, mas as pequeninas manchas são em
    grande número costuma-se chamá-las de
    petéquias
    PROF. VAGNER SÁ - SAVAGNER@IG.COM.BR
E QUIMOSE




PROF. VAGNER SÁ - SAVAGNER@IG.COM.BR
HEMATOMA




PROF. VAGNER SÁ - SAVAGNER@IG.COM.BR
PETÉQUIAS




PROF. VAGNER SÁ - SAVAGNER@IG.COM.BR
PROF. VAGNER SÁ - SAVAGNER@IG.COM.BR
A NOMALIAS G ENERALIZADAS




PROF. VAGNER SÁ -
SAVAGNER@IG.COM.BR
S IAMESES




PROF. VAGNER SÁ - SAVAGNER@IG.COM.BR
“ MENINA   SEREIA ”
                                                    C HILE




PROF. VAGNER SÁ - SAVAGNER@IG.COM.BR
G ÊMEAS SIAMESAS




PROF. VAGNER SÁ - SAVAGNER@IG.COM.BR
O STEOGÊNESE I MPERFEITA

    Caracteriza-se por fragilidade óssea
     resultante de um defeito primário na
     matriz óssea, com alterações tanto
     na qualidade quanto na quantidade
     do colágeno.




    PROF. VAGNER SÁ - SAVAGNER@IG.COM.BR
O STEOGÊNESE I MPERFEITA
Há cinco tipos de osteogênese imperfeita:

    Tipo I - mais comum, com herança autossômica dominante, caracterizada
por fragilidade óssea leve a moderada, osteoporose, esclerótica azul,
estatura normal e deficiência auditiva. É subdividida em tipo A, se a
dentinogênese é normal, e B, se imperfeita;
    Tipo II - mais grave e letal. Apresenta herança autossômica dominante,
esclera azul, face triangular, desproporção crânio-facial, membros curtos e
múltiplas fraturas;
    Tipo III - forma progressiva grave, autossômica dominante,
caracterizando-se por osteopenia, múltiplas fraturas com deformidade óssea
e na coluna. As escleras apresentam uma coloração azul-pálido na infância e
tornam-se normais posteriormente;
    Tipo IV - é raro, com herança autossômica, apresentando osteoporose,
fragilidade óssea e deformidade leve. A esclera tem coloração normal e o
comprometimento da audição é leve;
    Tipo V - semelhante ao tipo IV, diferenciando-se apenas por formação de
calos ósseos exuberantes e calcificações na membrana interóssea do
antebraço. .

             PROF. VAGNER SÁ - SAVAGNER@IG.COM.BR
O STEOGÊNESE I MPERFEITA




PROF. VAGNER SÁ - SAVAGNER@IG.COM.BR
T RATAMENTO


       Tratamento medicamentoso: na
        tentativa de se obter um aumento
        na resistência óssea, porém sem ser
        específica para resultados
        absolutos.
       Prevenção das fraturas
       Fisioterapia e terapia ocupacional
PROF. VAGNER SÁ - SAVAGNER@IG.COM.BR
A NOMALIAS CONGÊNITAS DA
COLUNA VERTEBRAL




PROF. VAGNER SÁ -
SAVAGNER@IG.COM.BR
TORCICOLO M USCULAR
                                       CONGÊNITO




PROF. VAGNER SÁ - SAVAGNER@IG.COM.BR
T RATAMENTO                    CONSERVADOR


   Fisioterapia com 3 semanas de idade;
   Alongamento ECOM
   Fortalecimento ECOM contra-lateral
   Alinhamento da cabeça
   Adotar postura contra-lateral para
    dormir
   Orientações aos pais
    PROF. VAGNER SÁ - SAVAGNER@IG.COM.BR
PROF. VAGNER SÁ - SAVAGNER@IG.COM.BR
T RATAMENTO CIRÚRGICO




PROF. VAGNER SÁ - SAVAGNER@IG.COM.BR
K LIPPEL -F EIL




PROF. VAGNER SÁ - SAVAGNER@IG.COM.BR
K LIPPEL -F EIL A SSOCIADO À
       E SCÁPULA A LTA C ONGÊNITA




PROF. VAGNER SÁ - SAVAGNER@IG.COM.BR
E SCOLIOSE




PROF. VAGNER SÁ - SAVAGNER@IG.COM.BR
ESCOLIOSE




PROF. VAGNER SÁ - SAVAGNER@IG.COM.BR
E SCOLIOSE
                                       C URVA C OMPENSADA




PROF. VAGNER SÁ - SAVAGNER@IG.COM.BR
T ESTE A DAMS
                                         G IBOSIDADE




PROF. VAGNER SÁ - SAVAGNER@IG.COM.BR
E SCOLIOSE I DIOPÁTICA




PROF. VAGNER SÁ - SAVAGNER@IG.COM.BR
E SCOLIOSE   POR
                                       N EUROFIBROMATOSE




PROF. VAGNER SÁ - SAVAGNER@IG.COM.BR
E SCOLIOSE A NTÁLGICA




PROF. VAGNER SÁ - SAVAGNER@IG.COM.BR
E SCOLIOSE                     POR   A SSIMETRIA




PROF. VAGNER SÁ - SAVAGNER@IG.COM.BR
V ÉRTEBRAS
                               E RROS   DE F ORMAÇÃO




PROF. VAGNER SÁ - SAVAGNER@IG.COM.BR
E SCOLIOSE C ONGÊNITA

                                       Curva congênita de
                                       ângulo agudo e
                                       rígido,   com      o
                                       tronco encurtado e
                                       deformidades      da
                                       caixa torácica, com
                                       corcova       costal
                                       proeminente.



PROF. VAGNER SÁ - SAVAGNER@IG.COM.BR
M ÉTODO DE COBB




PROF. VAGNER SÁ - SAVAGNER@IG.COM.BR
C LASSIFICAÇÃO DE RISSER




PROF. VAGNER SÁ - SAVAGNER@IG.COM.BR
C OLETE DE M ILWAUKEE




PROF. VAGNER SÁ - SAVAGNER@IG.COM.BR
C IRURGIA C ORRETIVA




PROF. VAGNER SÁ - SAVAGNER@IG.COM.BR
PROF. VAGNER SÁ - SAVAGNER@IG.COM.BR
C IFOSE C ONGÊNITA

                                           Deve-se a um
                                             defeito de
                                          segmentação da
                                        coluna embrionária,
                                        resultando em fusão
                                              de corpos
                                             vertebrais.




PROF. VAGNER SÁ - SAVAGNER@IG.COM.BR
D ORSO C URVO J UVENIL E
                         S CHEUERMANN




PROF. VAGNER SÁ - SAVAGNER@IG.COM.BR
HIPERLORDOSE




PROF. VAGNER SÁ - SAVAGNER@IG.COM.BR
 NGULO F ERGUSON




PROF. VAGNER SÁ - SAVAGNER@IG.COM.BR
P ECTUS C ARINATUM




PROF. VAGNER SÁ - SAVAGNER@IG.COM.BR
Ó RTESES




PROF. VAGNER SÁ - SAVAGNER@IG.COM.BR
P ECTUS E XCAVATUM




PROF. VAGNER SÁ - SAVAGNER@IG.COM.BR
P ECTUS E XCAVATUM
                                                   Ó RTESE




PROF. VAGNER SÁ - SAVAGNER@IG.COM.BR
P RÉ E PÓS




PROF. VAGNER SÁ - SAVAGNER@IG.COM.BR
P RÉ E P ÓS




PROF. VAGNER SÁ - SAVAGNER@IG.COM.BR
D EFORMIDADE                     DE   S PRENGEL




PROF. VAGNER SÁ - SAVAGNER@IG.COM.BR
F OCOMELIA




PROF. VAGNER SÁ - SAVAGNER@IG.COM.BR
A USÊNCIA C ONGÊNITA R ÁDIO




PROF. VAGNER SÁ - SAVAGNER@IG.COM.BR
A USÊNCIA C ONGÊNITA U LNA




PROF. VAGNER SÁ - SAVAGNER@IG.COM.BR
B ANDA DE C ONSTRICÇÃO




ARLINDO G. PARDINI JR. ACTA ORTOP BRAS 9(2) - ABR/JUN, 2001
                  PROF. VAGNER SÁ - SAVAGNER@IG.COM.BR
ARLINDO G. PARDINI JR. ACTA ORTOP BRAS 9(2) - ABR/JUN, 2001
                  PROF. VAGNER SÁ - SAVAGNER@IG.COM.BR
A MPUTAÇÃO CONGÊNITA




PROF. VAGNER SÁ - SAVAGNER@IG.COM.BR
A MPUTAÇÃO CONGÊNITA




PROF. VAGNER SÁ - SAVAGNER@IG.COM.BR
M ÃO F ENDIDA




PROF. VAGNER SÁ - SAVAGNER@IG.COM.BR
S INDACTILIA C OMPLEXA




PROF. VAGNER SÁ - SAVAGNER@IG.COM.BR
S INDACTILIA S IMPLES




PROF. VAGNER SÁ - SAVAGNER@IG.COM.BR
A NOMALIAS CONGÊNITAS DOS
MEMBROS INFERIORES




PROF. VAGNER SÁ -
SAVAGNER@IG.COM.BR
D ISPLASIA DO QUADRIL
L UXAÇÃO C ONGÊNITA Q UADRIL




 PROF. VAGNER SÁ - SAVAGNER@IG.COM.BR
D ISPLASIA DO QUADRIL
L UXAÇÃO C ONGÊNITA Q UADRIL




 PROF. VAGNER SÁ - SAVAGNER@IG.COM.BR
PROF. VAGNER SÁ - SAVAGNER@IG.COM.BR
Í NDICE A CETABULAR




PROF. VAGNER SÁ - SAVAGNER@IG.COM.BR
IMAGEM




PROF. VAGNER SÁ - SAVAGNER@IG.COM.BR
 NGULO   DE   A BDUÇÃO
                                              Q UADRIL




PROF. VAGNER SÁ - SAVAGNER@IG.COM.BR
S USPENSÓRIO PAVLIK




PROF. VAGNER SÁ - SAVAGNER@IG.COM.BR
A LMOFADA F REJKA




PROF. VAGNER SÁ - SAVAGNER@IG.COM.BR
P OLIDACTILIA




PROF. VAGNER SÁ - SAVAGNER@IG.COM.BR
A MPUTAÇÃO C ONGÊNITA DOS
           D EDOS E A RTELHOS




PROF. VAGNER SÁ - SAVAGNER@IG.COM.BR
C OXA VARA C ONGÊNITA




PROF. VAGNER SÁ - SAVAGNER@IG.COM.BR
F ÊMUR C URTO C ONGÊNITO




PROF. VAGNER SÁ - SAVAGNER@IG.COM.BR
F ÊMUR C URTO C ONGÊNITO
                     P ROTETIZAÇÃO




PROF. VAGNER SÁ - SAVAGNER@IG.COM.BR
F ÊMUR C URTO C ONGÊNITO
C IRURGIA PARA P ROTETIZAÇÃO




 PROF. VAGNER SÁ - SAVAGNER@IG.COM.BR
G ENO VARO F ISIOLÓGICO




PROF. VAGNER SÁ - SAVAGNER@IG.COM.BR
T ÍBIA VARA C ONGÊNITA




PROF. VAGNER SÁ - SAVAGNER@IG.COM.BR
G ENO VALGO U NILATERAL




PROF. VAGNER SÁ - SAVAGNER@IG.COM.BR
G ENO VALGO BILATERAL




PROF. VAGNER SÁ - SAVAGNER@IG.COM.BR
G ENO VARO U NILATERAL




PROF. VAGNER SÁ - SAVAGNER@IG.COM.BR
P É E QUINOVARO




PROF. VAGNER SÁ - SAVAGNER@IG.COM.BR
P É TORTO C ONGÊNITO




PROF. VAGNER SÁ - SAVAGNER@IG.COM.BR
P É TORTO C ONGÊNITO
                                       C IRURGIA




PROF. VAGNER SÁ - SAVAGNER@IG.COM.BR
T ÁLUS I NVERTIDO




PROF. VAGNER SÁ - SAVAGNER@IG.COM.BR
H ÁLUX VALGO A DQUIRIDO




PROF. VAGNER SÁ - SAVAGNER@IG.COM.BR
A MPUTAÇÃO C ONGÊNITA P É




PROF. VAGNER SÁ - SAVAGNER@IG.COM.BR
S INDACTILIA P É




PROF. VAGNER SÁ - SAVAGNER@IG.COM.BR
B ANDA              DE   C ONSTRICÇÃO
                                                   P ERNA




PROF. VAGNER SÁ - SAVAGNER@IG.COM.BR
D ISTÚRBIOS METABÓLICOS




PROF. VAGNER SÁ -
SAVAGNER@IG.COM.BR
R AQUITISMO




PROF. VAGNER SÁ - SAVAGNER@IG.COM.BR
C LASSIFICAÇÃO

a) Raquitismo carencial: deficiência de
   vitamina D, cálcio e fosfato.
b) Raquitismo secundário a
   tubulopatias renais.
c) Raquitismo associado a má absorção
   gastrintestinal.
d) Raquitismo secundário a distúrbios
   do metabolismo da vitamina D.
PROF. VAGNER SÁ - SAVAGNER@IG.COM.BR
A SPECTOS C LÍNICOS
   Irritabilidade / apatia
   Achatamento do crânio
   Alargamento da porção cartilaginosa das suturas do crânio
   Dentinogênese retardada ou defeituosa
   Articulações costocondrais proeminentes (rosário raquítico)
   pectus carinatum
   Fraqueza muscular, Distensão abdominal, Frouxidão ligamentar
   Encurvamento dos ossos longos
   Cifoscoliose
   Baixa estatura, secundária as deformidades ósseas
                   PROF. VAGNER SÁ - SAVAGNER@IG.COM.BR
I MPORTANTE !!

   A vitamina D é fundamental para a absorção do
    cálcio pelo seu organismo. Deve ser consumido
    sempre em quantidades adequadas, evitando faltas
    e excessos.
   A quantidade de vitamina D que um adulto precisa
    varia, de acordo com a idade, de 5mg a 10mg,
    chegando a 15mg em idosos com mais de 70 anos.
   A exposição ao sol é importante para a obtenção de
    vitamina D, mas alguns alimentos também
    representam uma fonte desta vitamina.
              PROF. VAGNER SÁ - SAVAGNER@IG.COM.BR
F ONTES DE V ITAMINA D




Gema ovo                                          Fígado
                                                           manteiga




  cavala                                                    sardinha
                                            arenque
           PROF. VAGNER SÁ - SAVAGNER@IG.COM.BR
R AQUITISMO




                              NORMAL   PATOLÓGICO
PROF. VAGNER SÁ - SAVAGNER@IG.COM.BR
A NTES                       E    A PÓS T RATAMENTO




PROF. VAGNER SÁ - SAVAGNER@IG.COM.BR
R ADIOGRAFIAS




PROF. VAGNER SÁ - SAVAGNER@IG.COM.BR
R AQUITISMO PUNHO




PROF. VAGNER SÁ - SAVAGNER@IG.COM.BR
R AQUITISMO N UTRICIONAL




PROF. VAGNER SÁ - SAVAGNER@IG.COM.BR
OSTEOMALÁCIA


    A osteomalácia é o raquitismo no adulto. Ela ocorre
     quando o paciente por um período na vida se
     alimenta com um nível baixo de cálcio. Hoje,
     felizmente, a patologia é rara. Ela foi freqüente
     durante a Segunda Guerra Mundial. Nessa época, o
     preso não tomava banhos de sol e a alimentação era
     deficiente.




    PROF. VAGNER SÁ - SAVAGNER@IG.COM.BR
E SCORBUTO
       Deficiência de ácido levoexurônico (ácido ascórbico –
        vitamina C).
       Altera a formação de colágeno e a resistência dos
        capilares que orientam a mineralização óssea.
       O quadro clínico inclui: irritabilidade, parestesias,
        hipotonia muscular principalmente dos membros
        inferiores, obrigando o paciente a permanecer com as
        articulações fletidas. Também encontra-se febre e
        hemorragias das gengivas e do tecido subcutâneo
        além de dor óssea e articular.
       O tratamento é relativamente simples com ingesta de
        vitamina C, principalmente porque doses maciças não
        levam a intoxicação. Se o tratamento for instituído no
        início, provavelmente não acarretará em seqüelas.

PROF. VAGNER SÁ - SAVAGNER@IG.COM.BR
F ONTES DE V ITAMINA C




PROF. VAGNER SÁ - SAVAGNER@IG.COM.BR
OSTEOPENIAS E
                                            OSTEOPOROSE
   É a perda de massa óssea provocada pelo decréscimo
    rápido do estrogênio e progesterona, influenciando
    diretamente na atividade osteoblástica normal.
   Sabemos que com a chegada da menopausa nas mulheres,
    os níveis hormonais decrescem rapidamente, em torno de
    5 a 10 anos após sua instalação. Nos homens os níveis de
    hormônios sexuais diminuem em faixa etária mais elevada,
    em torno dos 65 anos, e esse fato é responsável pela
    manutenção da massa óssea do sexo masculino.
   Na osteoporose, a massa óssea diminui, apesar de a
    estrutura permanecer aparentemente normal. Na
    senilidade, todos os seres humanos são acometidos pela
    perda de tecido ósseo (osteoporose primária). O termo
    osteoporose secundária é utilizado para designar esse
    processo quando ele inicia em faixa etária menor e
    apresenta um fator predisponente.
    PROF. VAGNER SÁ - SAVAGNER@IG.COM.BR
FATORES DE RISCO PARA A
               OSTEOPOROSE


     História familiar
     Raça branca
     Escoliose
     Osteogênese imperfeita
     Menopausa precoce
     Alcoolismo
     Tabagismo
PROF. VAGNER SÁ - SAVAGNER@IG.COM.BR
FATORES DE RISCO PARA A
               OSTEOPOROSE

   inatividade e sedentarismo
   má nutrição
   amenorréia induzida por excesso de
    exercício
   dieta com alta ingestão de fibras
   dieta com alta ingestão de fosfatos
   dieta com alta ingestão de proteínas

PROF. VAGNER SÁ - SAVAGNER@IG.COM.BR
O UTRAS I NFORMAÇÕES

                                 QUADRO CLÍNICO
   A doença é assintomática, a não ser que ocorra uma fratura
   É muito importante avaliar a história para correlacionar com o
    uso de medicamentos como: corticóides, anticonvulsivos,
    medicação para tireóide, antiácidos e heparina.
                  LOCAIS COMUNS DE FRATURA
   Fratura por compressão vertebral
   Fratura do punho
   Fratura do quadril/fêmur proximal
   Fratura dos arcos costais, pelve e úmero
                PROF. VAGNER SÁ - SAVAGNER@IG.COM.BR
O STEOPOROSE




saudável                                osteoporótico




 PROF. VAGNER SÁ - SAVAGNER@IG.COM.BR
D ENSITOMETRIA Ó SSEA




PROF. VAGNER SÁ - SAVAGNER@IG.COM.BR
PROF. VAGNER SÁ - SAVAGNER@IG.COM.BR
O STEOPOROSE




PROF. VAGNER SÁ - SAVAGNER@IG.COM.BR
O STEOPOROSE




PROF. VAGNER SÁ - SAVAGNER@IG.COM.BR
O STEOPOROSE - P REVENÇÃO




PROF. VAGNER SÁ - SAVAGNER@IG.COM.BR
O STEÍTE      DEFORMANTE
                                           DOENÇA DE PAGET

       A doença de Paget é uma alteração do processo
        de remodelação do esqueleto, iniciada por um
        aumento da reabsorção óssea mediada pelos
        osteoclastos.

       A deformidade e o aumento de volume dos ossos
        pode causar compressão de estruturas nervosas
        adjacentes, como por exemplo, os pares
        cranianos causando diminuição da acuidade
        auditiva. A compressão de raízes nervosas pelo
        aumento de volume ósseo, pode ser a causa de
        lombalgia ou lombociatalgia, por estenose do
        canal vertebral ou do forame intervertebral.
    PROF. VAGNER SÁ - SAVAGNER@IG.COM.BR
D ISTÚRBIOS I NFECCIOSOS E
INFLAMATÓRIOS DE O SSOS E
A RTICULAÇÕES




PROF. VAGNER SÁ -
SAVAGNER@IG.COM.BR
OSTEOMIELITE

                                      Infecção óssea
                                      Aguda, sub-aguda ou
                                       crônica




PROF. VAGNER SÁ - SAVAGNER@IG.COM.BR
Q UADRO CLÍNICO


       Dor óssea (edema, calor, rubor)
       Febre
       Prostração
       Anorexia
       Impotência funcional


PROF. VAGNER SÁ - SAVAGNER@IG.COM.BR
TRATAMENTO


   Identificação do agente
   Antibioticoterapia
   Antiinflamatórios
   Repouso
   Drenagem cirúrgica
   Suporte nutricional
    PROF. VAGNER SÁ - SAVAGNER@IG.COM.BR
PROF. VAGNER SÁ - SAVAGNER@IG.COM.BR
PROF. VAGNER SÁ - SAVAGNER@IG.COM.BR
PROF. VAGNER SÁ - SAVAGNER@IG.COM.BR
O STEOMIELITE CRÔNICA




PROF. VAGNER SÁ - SAVAGNER@IG.COM.BR
A RTRITE SÉPTICA

       É uma infecção de uma articulação
        causada por bactérias piogênicas,
        podendo levar a destruição da
        cartilagem, subluxação e até a perda
        da articulação.




PROF. VAGNER SÁ - SAVAGNER@IG.COM.BR
A RTRITE SÉPTICA




PROF. VAGNER SÁ - SAVAGNER@IG.COM.BR
A RTRITE S ÉPTICA




PROF. VAGNER SÁ - SAVAGNER@IG.COM.BR
M AL DE POTT
   Tuberculose vertebral




    PROF. VAGNER SÁ - SAVAGNER@IG.COM.BR
A RTRITE REUMATÓIDE
                A artrite reumatóide não é transmissível.
                 As causas da doença ainda não são
                 totalmente conhecidas. Porém, sabe-se
                 que o sistema imunológico exerce um
                 importante papel na inflamação e nos
                 danos das articulações. Na artrite
                 reumatóide, o sistema imunológico não
                 funciona corretamente e pode atacar as
                 próprias articulações e alguns órgãos do
                 corpo.



PROF. VAGNER SÁ - SAVAGNER@IG.COM.BR
A RTRITE GOTOSA
   A gota é uma doença reumatológica, inflamatória
    e metabólica, que cursa com hiperuricemia
    (elevação dos níveis de ácido úrico no sangue) e
    é resultante da deposição de cristais do ácido nos
    tecidos e articulações.

   A forma primária é de causa desconhecida e tem
    algum componente genético (hereditário), sendo
    a mais comum. Já a gota secundária desenvolve
    em consequência de outra doença ou alguns
    medicamentos.

   A ingestão de bebida alcoólica e dieta rica em
    proteínas e gorduras é também uma causa
    comum de hiperuricemia, podendo causar a
    gota.
                                     PROF. VAGNER SÁ - SAVAGNER@IG.COM.BR
O STEOARTRITE - ARTROSE


       Doença degenerativa, em geral
        articular, que ocorre sobretudo em
        pessoas idosas e do sexo feminino.
        O elemento fundamentalmente
        lesado é a cartilagem articular, que
        apresenta fenotípica e
        genotipicamente uma fragilidade, a
        qual predispõe o processo artrósico.
PROF. VAGNER SÁ - SAVAGNER@IG.COM.BR
CLASSIFICAÇÃO

   Primária.    Quando     o    processo
    degenerativo    ocorre     com      o
    envelhecimento ou com o uso excessivo
    das articulações ou ainda pela
    concomitância       destas       duas
    eventualidades.
   Secundária. Quando em decorrência de
    uma patologia pré-existente, que ao
    acometer a articulação ou a região peri-
    articular predispõe a degeneração
    articular.                  PROF. VAGNER SÁ - SAVAGNER@IG.COM.BR
S INAIS E SINTOMAS
   Dor, às vezes, em repouso que se intensifica com movimentos e as
    atividades físicas.

   Dor à palpação, em determinados pontos, habitualmente nas
    margens da articulação.

   Rigidez, principalmente após um tempo de repouso ou
    inatividade.

   Perda de movimentos. Limitação funcional. Crepitação.

   Sensação de insegurança ou de instabilidade e presença de falseio.

   Aumento de volume com derrame articular.

   Diminuição da função muscular.
                P .V
                 ROF  S -  @ .
                       AGNER   .
                               Á   SAVAGNER IG COM BR
O STEOARTRITE - ARTROSE




PROF. VAGNER SÁ - SAVAGNER@IG.COM.BR
A RTROSE MÃOS




PROF. VAGNER SÁ - SAVAGNER@IG.COM.BR
A RTROSE OMBRO




PROF. VAGNER SÁ - SAVAGNER@IG.COM.BR
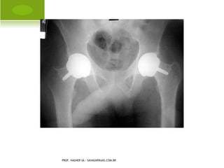
A RTROSE QUADRIL




PROF. VAGNER SÁ - SAVAGNER@IG.COM.BR
A RTROPLASTIA PARCIAL




PROF. VAGNER SÁ - SAVAGNER@IG.COM.BR
A RTROPLASTIA PARCIAL




PROF. VAGNER SÁ - SAVAGNER@IG.COM.BR
A RTROPLASTIA TOTAL




PROF. VAGNER SÁ - SAVAGNER@IG.COM.BR
A RTROSE JOELHO




PROF. VAGNER SÁ - SAVAGNER@IG.COM.BR
A RTROPLASTIA TOTAL




PROF. VAGNER SÁ - SAVAGNER@IG.COM.BR
D ISTÚRBIOS DAS E PÍFISES E DO
C RESCIMENTO E PIFISÁRIO




PROF. VAGNER SÁ -
SAVAGNER@IG.COM.BR
OSTEOCONDROSES


       Leg-Calvè-Perthes,

       Scheurmann,

        Sever,

       Osgood-Schlatter e

       Kienbock




PROF. VAGNER SÁ - SAVAGNER@IG.COM.BR
L EGG -P ERTHES -C ALVÈ




PROF. VAGNER SÁ - SAVAGNER@IG.COM.BR
L EGG -P ERTHES -C ALVÈ




PROF. VAGNER SÁ - SAVAGNER@IG.COM.BR
L EGG -P ERTHES -C ALVÈ




PROF. VAGNER SÁ - SAVAGNER@IG.COM.BR
L EGG -P ERTHES -C ALVÈ




PROF. VAGNER SÁ - SAVAGNER@IG.COM.BR
FASES                     LEGG - PERTHES - CALVÉ


   Inicial ou necrose óssea. Pela perda da vascularização
    da cabeça femoral, ocorre necrose (mortificação) em
    parte ou em toda a cabeça femoral.

   Fragmentação ou revascularização. Com a
    revascularização da cabeça femoral tem início a
    absorção do tecido necrosado, aparecendo áreas de
    fragmentação.

   Reossificação. Forma-se novo tecido ósseo.

   Deformidade residual ou cura sem seqüelas. Fase
    final.

    PROF. VAGNER SÁ - SAVAGNER@IG.COM.BR
S CHEUERMANN TARDIA




PROF. VAGNER SÁ - SAVAGNER@IG.COM.BR
Ó RTESES CIFOSE




PROF. VAGNER SÁ - SAVAGNER@IG.COM.BR
SÈVER




PROF. VAGNER SÁ - SAVAGNER@IG.COM.BR
O SGOOD - SCHLATTER




PROF. VAGNER SÁ - SAVAGNER@IG.COM.BR
K IENBÖCK




PROF. VAGNER SÁ - SAVAGNER@IG.COM.BR
ESPONDILÓLISE




PROF. VAGNER SÁ - SAVAGNER@IG.COM.BR
ESPONDILOLISTESE




PROF. VAGNER SÁ - SAVAGNER@IG.COM.BR
I MAGEM DE LACHAPELLE




PROF. VAGNER SÁ - SAVAGNER@IG.COM.BR
LACHAPELLE




PROF. VAGNER SÁ - SAVAGNER@IG.COM.BR
E PIFISIÓLISE    CABEÇA
                                                     FEMORAL


                                                   Epifisiolistese

                                                   Coxa-vara do
                                                    adolescente

                                                   Coxa vara
                                                    epifisária




PROF. VAGNER SÁ - SAVAGNER@IG.COM.BR
CLASSIFICAÇÃO




PROF. VAGNER SÁ - SAVAGNER@IG.COM.BR
T RATAMENTO CIRÚRGICO




PROF. VAGNER SÁ - SAVAGNER@IG.COM.BR
P RINCIPAIS N EOPLASIAS DOS
T ECIDOS MUSCULOESQUELÉTICOS




PROF. VAGNER SÁ -
SAVAGNER@IG.COM.BR
OSTEOSSARCOMA

   É um dos tumores ósseos mais malignos, atingindo adolescentes e
    adultos jovens na faixa etária preferencial entre 10 e 20 anos.

   Radiograficamente, são lesões predominantemente osteolíticas,
    destrutivas, bordas indistintas, com lesão da cortical, ruptura do
    periósteo e invasão de partes moles.

   A localização mais comum do osteossarcoma é na metáfise
    superior da tíbia e úmero e na metáfise inferior do fêmur e rádio,
    com predomínio ao redor do joelho.




                 PROF. VAGNER SÁ - SAVAGNER@IG.COM.BR
OSTEOSSARCOMA




PROF. VAGNER SÁ - SAVAGNER@IG.COM.BR
CONDROSSARCOMA

   É uma lesão que atinge o tecido cartilaginoso, região metafisária ou
    diafisária, maligna, que ocorre primariamente no adulto e
    raramente é encontrada na adolescência e na infância.

   Radiograficamente, o condrossarcoma primário evidencia
    espessamento de cortical, irregularidades e ondulações endostais e
    o aparecimento de calcificações algodonosas.

Tratamento

   O tratamento de escolha é cirúrgico com ressecção. As chances de
    recidiva são grandes, razão pela qual as margens de ressecção
    devem ser amplas.

   Não responde à quimioterapia e à radioterapia.
                  PROF. VAGNER SÁ - SAVAGNER@IG.COM.BR
CONDROSSARCOMA




PROF. VAGNER SÁ - SAVAGNER@IG.COM.BR
OSTEOCONDROMA




   É o tumor benigno mais comum, aproximadamente 10% de todos
    os tumores ósseos e 30% dos benignos. O osteocondroma é uma
    exostose óssea, coberta por uma camada de cartilagem. A
    localização é metafisária, principalmente ao redor do joelho,
    metáfise proximal do úmero e do fêmur.
                 PROF. VAGNER SÁ - SAVAGNER@IG.COM.BR
TRAUMATOLOGIA




PROF. VAGNER SÁ -
SAVAGNER@IG.COM.BR
   ENTORSE: lesão aguda do ligamento,
    causando perda temporária da
    congruência articular, causado por
    trauma indireto.
    Grau I  não há ruptura, apenas um
    esgarçamento.
    Grau II  ruptura parcial.
    Grau III  ruptura total.
     PROF. VAGNER SÁ - SAVAGNER@IG.COM.BR
M ECANISMOS DE E NTORSE




PROF. VAGNER SÁ - SAVAGNER@IG.COM.BR
   LUXAÇÃO: perda definitiva ou permanente
    da congruência articular, causado por
    trauma indireto. A luxação exige uma
    manobra de redução para restaurar
    anatomicamente uma articulação através
    de manobras técnicas utilizadas por
    profissionais habilitados.


    Redução incruenta: redução fechada.
    Redução cruenta: redução aberta ou
    cirúrgica.

    PROF. VAGNER SÁ - SAVAGNER@IG.COM.BR
L UXAÇÃO TRAUMÁTICA




PROF. VAGNER SÁ - SAVAGNER@IG.COM.BR
S ÍNFISE PÚBICA




PROF. VAGNER SÁ - SAVAGNER@IG.COM.BR
L UXAÇÃO DO Q UADRIL




PROF. VAGNER SÁ - SAVAGNER@IG.COM.BR
L UXAÇÃO PATELA




PROF. VAGNER SÁ - SAVAGNER@IG.COM.BR
R EALINHAMENTO PATELAR




PROF. VAGNER SÁ - SAVAGNER@IG.COM.BR
L UXAÇÃO O MBRO




PROF. VAGNER SÁ - SAVAGNER@IG.COM.BR
L UXAÇÃO A CRÔMIO -
                                              C LAVICULAR




PROF. VAGNER SÁ - SAVAGNER@IG.COM.BR
L ESÕES M ÚSCULO -
                                            E SQUELÉTICAS

       DISTENSÃO: Indica que houve algum grau
        de ruptura nas fibras musculares, na
        junção músculo-tendão. Alongamento
        excessivo, excesso de exercício, excesso
        de uso do tecido mole, podem ser causas
        de distensão; tende a ser menos grave
        que uma entorse. Ocorre devido a
        trauma leve ou traumas não usuais
        repetidos de grau mínimo.

PROF. VAGNER SÁ - SAVAGNER@IG.COM.BR
PROF. VAGNER SÁ - SAVAGNER@IG.COM.BR
       RUPTURA OU LACERAÇÃO ENTRE
        MÚSCULO E TENDÃO: Se a ruptura ou
        laceração é parcial, ocorre dor na região
        da fissura quando o músculo é alongado
        ou quando se contrai contra resistência.
        Se a ruptura ou laceração é completa, o
        músculo não traciona o local lesionado,
        de modo que alongamento ou contração
        do músculo não causa dor.


    PROF. VAGNER SÁ - SAVAGNER@IG.COM.BR
PROF. VAGNER SÁ - SAVAGNER@IG.COM.BR
PROF. VAGNER SÁ - SAVAGNER@IG.COM.BR
   TENOSINOVITE: É uma inflamação da
    bainha sinovial que cobre um tendão.
   TENDINITE: É a inflamação de um tendão;
    pode ocorrer a formação de cicatriz ou
    deposição de cálcio em um tendão.
   TENOVAGINITE: É uma inflamação com
    espessamento da bainha tendínea.
   TENDINOSE: É uma degeneração do tendão
    devido a microtraumas repetitivos.
    PROF. VAGNER SÁ - SAVAGNER@IG.COM.BR
D E QUERVAIN
   Tendinite do abdutor longo e
    extensor curto do polegar.




                                                          Teste Finkelstein

                PROF. VAGNER SÁ - SAVAGNER@IG.COM.BR
CIRURGIA




PROF. VAGNER SÁ - SAVAGNER@IG.COM.BR
T ENDINITE CALCÁRIA




PROF. VAGNER SÁ - SAVAGNER@IG.COM.BR
D EDO EM GATILHO




PROF. VAGNER SÁ - SAVAGNER@IG.COM.BR
C ISTO SINOVIAL



       Tratamento conservador: 1) punção; 2)
        transfixação e infiltração com corticóide; 3)
        destruição por pressão.

       Tratamento cirúrgico: 1) ressecção simples do
        cisto sinovial; 2) ressecção do cisto sinovial e a
        sutura do pedículo quando for artrosinovial -
        local de origem; 3) sinovectomia parcial, com a
        ressecção do cisto e da sinovial.
PROF. VAGNER SÁ - SAVAGNER@IG.COM.BR
E NTESITE - EPICONDILITE


       Processo inflamatório que atinge os
        pontos de origem e inserção dos
        tendões. As entesites e as
        epicondilites freqüentemente são
        determinadas por movimentos
        repetitivos de tração. Elas também
        estão relacionadas a processos
        reumáticos.
PROF. VAGNER SÁ - SAVAGNER@IG.COM.BR
BURSITES


       Processo inflamatório que acomete
        a bolsa sinovial de algumas
        articulações e provoca dor e
        impotência funcional. Dentre elas,
        destacam-se a bursite subacromial,
        a bursite subcutânea do olécrano, a
        bursite patelar (rotuliana) e a
        bursite trocantérica.
PROF. VAGNER SÁ - SAVAGNER@IG.COM.BR
FRATURAS




PROF. VAGNER SÁ - SAVAGNER@IG.COM.BR
FASE INFLAMATÓRIA




PROF. VAGNER SÁ - SAVAGNER@IG.COM.BR
FASE REPARATIVA
                                          “CALO MOLE”




PROF. VAGNER SÁ - SAVAGNER@IG.COM.BR
FASE REPARATIVA
                                          “CALO DURO”




PROF. VAGNER SÁ - SAVAGNER@IG.COM.BR
FASE REMODELAGEM




PROF. VAGNER SÁ - SAVAGNER@IG.COM.BR
CLASSIFICAÇÃO


Traumatismo direto:
  Fraturas por impacto: ocorre quando uma força é
   aplicada em uma pequena área. A maior parte da
   energia é absorvida pelo osso, havendo pouca lesão
   de partes moles. Ex. chute e golpe com cassetete.
 Fraturas por esmagamento: apresentam extensa lesão
    de partes moles. O osso fica extensamente
    fragmentado ou fraturado transversalmente.
 Fraturas penetrantes (PAF): as feridas de alta
  velocidade dos rifles e fuzis, levam a extensas lesões
  de partes moles e fragmentos do osso.


            PROF. VAGNER SÁ - SAVAGNER@IG.COM.BR
Traumatismo indireto:
       Fraturas por angulação: produz uma linha de fratura
    transversa com presença ou não de um fragmento
    triangular no seu lado côncavo.
       Fraturas por tração ou tensão: produz uma linha de
    fratura transversal. Ex. patela, olécrano, maléolo tibial.
         Fraturas rotacionais: produz uma linha de fratura
    espiral que faz uma rotação completa no osso.
        Fraturas por compressão: a diáfise dura de um osso
    longo é impulsionada para dentro da extremidade
    esponjosa, dando origem a fratura em forma de T ou V.
    Ex. extremidade inferior de úmero ou fêmur.
        Fraturas devido a angulação, rotação e compressão
    axial: produz uma linha de tração oblíqua.
              PROF. VAGNER SÁ - SAVAGNER@IG.COM.BR
Q UANTO                             AO ESTADO DO OSSO



       Traumática: o osso estava em condições de
        normalidade estrutural.


       Patológica: o osso estava previamente
        afetado    por    uma     patologia. Ex.
        osteoporose, osteomielite, tumor.



    PROF. VAGNER SÁ - SAVAGNER@IG.COM.BR
Q UANTO                         AO CONTATO COM
                                           O MEIO EXTERNO

   Fechada: não há contato.
   Aberta: há contato.




    PROF. VAGNER SÁ - SAVAGNER@IG.COM.BR
Q UANTO               AO NÚMERO DE
                                                     FRAGMENTOS

   Simples / Cominutiva




             PROF. VAGNER SÁ - SAVAGNER@IG.COM.BR
Q UANTO             À LOCALIZAÇÃO



       Ossos longos: epífise, diáfise e metáfise
       Ossos curtos e irregulares: citar o acidente
        anatômico envolvido. Ex. fratura do colo do
        escafóide.
Fraturas com nomes especiais: ex. fratura de
    Colles, Bennett, etc.




PROF. VAGNER SÁ - SAVAGNER@IG.COM.BR
Q UANTO          À DIREÇÃO DO TRAÇO DE
                                            FRATURA




     PROF. VAGNER SÁ - SAVAGNER@IG.COM.BR
PROF. VAGNER SÁ - SAVAGNER@IG.COM.BR
TRAUMATISMOS
FRATURA OBSTÉTRICA
                      CLAVÍCULA

DIAGNÓSTICO:



 história (parto complicado - uso de fórceps, vácuo,
   etc.)

 tumefação discreta

 crepitação à palpação

 radiografia simples em ap

PROF. VAGNER SÁ - SAVAGNER@IG.COM.BR
FRATURA DA CLAVÍCULA


LOCAIS MAIS FREQUENTES:
     a) segmento distal – próximo ao ligamento
      coracoacromial – 15 a 20%
       b) segmento intermediário – 75 a 80 %
       c) segmento proximal – 5%
POSICIONAMENTO DOS FRAGMENTOS                   NA
   FRATURA INTERMEDIÁRIA:
     a) fragmento distal sofre depressão
       b) fragmento proximal sofre elevação

PROF. VAGNER SÁ - SAVAGNER@IG.COM.BR
TRATAMENTO
                                                     ORTOPÉDICO
bandagem de velpeau (ataduras elásticas) de 1 a 2 semanas.

obs.: verificar se há comprometimento do plexo braquial através
   do teste de moro.




              PROF. VAGNER SÁ - SAVAGNER@IG.COM.BR
PROF. VAGNER SÁ - SAVAGNER@IG.COM.BR
PROF. VAGNER SÁ - SAVAGNER@IG.COM.BR
F RATURA - LUXAÇÃO OMBRO




PROF. VAGNER SÁ - SAVAGNER@IG.COM.BR
PROF. VAGNER SÁ - SAVAGNER@IG.COM.BR
PROF. VAGNER SÁ - SAVAGNER@IG.COM.BR
PROF. VAGNER SÁ - SAVAGNER@IG.COM.BR
PROF. VAGNER SÁ - SAVAGNER@IG.COM.BR
PROF. VAGNER SÁ - SAVAGNER@IG.COM.BR
L ESÃO NERVOSA ASSOCIADA




PROF. VAGNER SÁ - SAVAGNER@IG.COM.BR
PROF. VAGNER SÁ - SAVAGNER@IG.COM.BR
D EFORMIDADE COTOVELO




PROF. VAGNER SÁ - SAVAGNER@IG.COM.BR
F RATURA - LUXAÇÃO
                                               COTOVELO




PROF. VAGNER SÁ - SAVAGNER@IG.COM.BR
F RATURA -L UXAÇÃO
                                                 G ALEAZZI




PROF. VAGNER SÁ - SAVAGNER@IG.COM.BR
M ONTEGGIA




PROF. VAGNER SÁ - SAVAGNER@IG.COM.BR
C OLLES




PROF. VAGNER SÁ - SAVAGNER@IG.COM.BR
B ENNETT




PROF. VAGNER SÁ - SAVAGNER@IG.COM.BR
P SEUDO - ARTROSE                    ESCAFÓIDE




PROF. VAGNER SÁ - SAVAGNER@IG.COM.BR
PROF. VAGNER SÁ - SAVAGNER@IG.COM.BR
PROF. VAGNER SÁ - SAVAGNER@IG.COM.BR
PROF. VAGNER SÁ - SAVAGNER@IG.COM.BR
T RANSTROCANTÉRICA    E
                                       ACETÁBULO




PROF. VAGNER SÁ - SAVAGNER@IG.COM.BR
SUBTROCANTÉRICA




PROF. VAGNER SÁ - SAVAGNER@IG.COM.BR
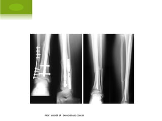
DIÁFISE




PROF. VAGNER SÁ - SAVAGNER@IG.COM.BR
PROF. VAGNER SÁ - SAVAGNER@IG.COM.BR
PROF. VAGNER SÁ - SAVAGNER@IG.COM.BR
PROF. VAGNER SÁ - SAVAGNER@IG.COM.BR
PROF. VAGNER SÁ - SAVAGNER@IG.COM.BR
PROF. VAGNER SÁ - SAVAGNER@IG.COM.BR
PROF. VAGNER SÁ - SAVAGNER@IG.COM.BR
PROF. VAGNER SÁ - SAVAGNER@IG.COM.BR
PROF. VAGNER SÁ - SAVAGNER@IG.COM.BR
PROF. VAGNER SÁ - SAVAGNER@IG.COM.BR
PROF. VAGNER SÁ - SAVAGNER@IG.COM.BR
PROF. VAGNER SÁ - SAVAGNER@IG.COM.BR
PROF. VAGNER SÁ - SAVAGNER@IG.COM.BR
PROF. VAGNER SÁ - SAVAGNER@IG.COM.BR
PROF. VAGNER SÁ - SAVAGNER@IG.COM.BR
PROF. VAGNER SÁ - SAVAGNER@IG.COM.BR
PROF. VAGNER SÁ - SAVAGNER@IG.COM.BR
P SEUDO - ARTROSE PATELA




PROF. VAGNER SÁ - SAVAGNER@IG.COM.BR
PATELECTOMIA




PROF. VAGNER SÁ - SAVAGNER@IG.COM.BR
S INOVITE / HEMARTROSE




PROF. VAGNER SÁ - SAVAGNER@IG.COM.BR
L ESÕES             LIGAMENTARES NO
                                                              JOELHO

   Ligamento colateral medial
    (LCM).

   Ligamento cruzado
    anterior (LCA).

   Ligamento cruzado
    posterior (LCP)

   Ligamento colateral lateral
    (LCL)




              PROF. VAGNER SÁ - SAVAGNER@IG.COM.BR
PROF. VAGNER SÁ - SAVAGNER@IG.COM.BR
PROF. VAGNER SÁ - SAVAGNER@IG.COM.BR
L ESÕES             LIGAMENTARES NO
                                                JOELHO


   Lesões isoladas do LCM
    podem ser tratadas sem
    cirurgia.

   Brace de suporte e
    mobilização imediata.

   O retorno aos esporte em
    média será de 3 a 6 meses.




PROF. VAGNER SÁ - SAVAGNER@IG.COM.BR
Tendões flexores (mm. grácil e
                                  semitendíneo) já suturados e
                                  preparados em 4 feixes.




                               Parafuso transverso absorvível de
                               fixação femural - Cross-pin.




PROF. VAGNER SÁ - SAVAGNER@IG.COM.BR
Tendões dos músculos grácil e
                               semitendíneo - confecção do
                               enxerto de tendões flexores.




                     Tendões flexores já retirados. Ainda
                     serão submetidos a limpeza e sutura
                     para confecção do enxerto
                     quádruplo.


PROF. VAGNER SÁ - SAVAGNER@IG.COM.BR
Parafuso transverso de titânio -
                           Transfix. Note que seu
                           posicionamento é perpendicular ao
                           do enxerto.




                        Parafuso de interferência absorvível
                        para fixação tibial - Extra-lock.




PROF. VAGNER SÁ - SAVAGNER@IG.COM.BR
Posicionamento do parafuso no
                        túnel tibial. Note que após
                        traçãomanual, o parafuso é
                        implantado paralelo ao tendão.




                      Imagem que mostra feridas
                      cirúrgicas sob síntese com
                      mononylon. Note que não há mais
                      incisão cirúrgica mediana anterior.



PROF. VAGNER SÁ - SAVAGNER@IGhttp://ortopediasemlimites.blogspot.com/2007_09_01_archive.html
                             .COM.BR
L ESÕES NOS M ENISCOS

   Lesões comuns

   Dor, falseio e travamento
    do joelho em flexão.

   Tratamento com técnicas
    de prevenção dos
    meniscos.

   Cirurgia em último caso.




                      PROF. VAGNER SÁ - SAVAGNER@IG.COM.BR
L ESÕES NOS M ENISCOS

   Risco de efusão e
    hemartrose.

   Correção cirúrgica com
    artroscopia.

   Fisioterapia pré e pós-
    cirurgia.

   Tempo de retorno médio
    para as lesões: 4 semanas.




PROF. VAGNER SÁ - SAVAGNER@IG.COM.BR
Momento em que, após a
manipulação intra-articular por
vídeo do menisco lesado (tipo alça
de balde), estamos realizando a
exérese do fragmento lesado.




Todo o procedimento é realizado
com visualização pelo vídeo.




                   PROF. VAGNER SÁ - SAVAGNER@IG.COM.BR
Note o grande fragmento retirada,
                            que estava dobrada sobre si mesmo,
                            travando de forma importante o
                            joelho do paciente, tornando
                            impossível sua extensão completa.




                              Imagem final do procedimento.
                              Note o discreto edema residual e os
                              portais sintetizados com apenas um
                              ponto (0,5 cm).
                            http://ortopediasemlimites.blogspot.com/2007_09_01_archive.html




PROF. VAGNER SÁ - SAVAGNER@IG.COM.BR
M ENISCO DISCÓIDE




PROF. VAGNER SÁ - SAVAGNER@IG.COM.BR
TRATAMENTO

   Conservador. Opção para o menisco discóide de
    tamanho normal e fixo, e consta basicamente de
    reforço e alongamento dos estabilizadores dinâmicos
    do joelho.
   A persistência de sintomas leva à degeneração
    secundária da articulação com artrose havendo
    indicação de cirurgia.
   Cirúrgico. Ressecção do menisco por via artroscópica
    ou por artrotomia convencional. A ressecção do
    menisco pode ser:
               PROF. VAGNER SÁ - SAVAGNER@IG.COM.BR
PROF. VAGNER SÁ - SAVAGNER@IG.COM.BR
PROF. VAGNER SÁ - SAVAGNER@IG.COM.BR
PROF. VAGNER SÁ - SAVAGNER@IG.COM.BR
PROF. VAGNER SÁ - SAVAGNER@IG.COM.BR
PROF. VAGNER SÁ - SAVAGNER@IG.COM.BR
PROF. VAGNER SÁ - SAVAGNER@IG.COM.BR
PROF. VAGNER SÁ - SAVAGNER@IG.COM.BR
PROF. VAGNER SÁ - SAVAGNER@IG.COM.BR
PROF. VAGNER SÁ - SAVAGNER@IG.COM.BR
PROF. VAGNER SÁ - SAVAGNER@IG.COM.BR
PROF. VAGNER SÁ - SAVAGNER@IG.COM.BR
PROF. VAGNER SÁ - SAVAGNER@IG.COM.BR
PROF. VAGNER SÁ - SAVAGNER@IG.COM.BR
PROF. VAGNER SÁ - SAVAGNER@IG.COM.BR
PROF. VAGNER SÁ - SAVAGNER@IG.COM.BR
PROF. VAGNER SÁ - SAVAGNER@IG.COM.BR
PROF. VAGNER SÁ - SAVAGNER@IG.COM.BR
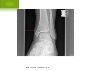
ESPORÃO




PROF. VAGNER SÁ - SAVAGNER@IG.COM.BR
PROF. VAGNER SÁ - SAVAGNER@IG.COM.BR
REFERÊNCIAS

   Ruaro AF. Ortopedia e traumatologia: temas fundamentais e reabilitação.
    Ed. Elenco, Umuarama – Paraná, 2004.

   Cohen M et al. Tratado de ortopedia. SBOT/ROCA, 2007.

   GREENER, W. NETTER. Ortopedia. 1ª ed - Rio de Janeiro: Elsevier, 2006.

   HEBERT, S. Ortopedia e Traumatologia: princípios e prática. 4ª ed - Porto
    Alegre: Artmed, 2009.

   NETTER, FRANK H. Netter ortopedia. Rio de Janeiro: Elsevier: 2006.

   ROBBINS. Patologia Estrutural e Funcional. Rio de Janeiro: Guanabara
    Koogan, 2000.

   SALTER, R., B. Distúrbios e Lesões do Sistema Musculoesquelético. 3ª ed -
    Rio de Janeiro. Medsi, 2001.
                    PROF. VAGNER SÁ - SAVAGNER@IG.COM.BR
Slides disfuncoes musculoesqueleticas
Slides disfuncoes musculoesqueleticas
Slides disfuncoes musculoesqueleticas
Slides disfuncoes musculoesqueleticas
Slides disfuncoes musculoesqueleticas

Slides disfuncoes musculoesqueleticas

  • 1.
    DISFUNÇÕES MUSCULOESQUELÉTICAS Prof. Vagner Sá UCB-RJ savagner@ig.com.br
  • 2.
    LESÃO  É o dano causado por trauma físico ou químico, sofrido pelos tecidos do corpo. O sistema musculoesquelético, como qualquer sistema biológico, não é estático. Está em um estado de equilíbrio constante, que é denominado homeostase. PROF. VAGNER SÁ - SAVAGNER@IG.COM.BR
  • 3.
    PROF. VAGNER SÁ- SAVAGNER@IG.COM.BR
  • 4.
    PRENTICE, Voight, 2003. PROF.VAGNER SÁ - SAVAGNER@IG.COM.BR
  • 5.
    LESÃO PRIMÁRIA E SECUNDÁRIA  Na lesão primária, a lesão é uma conseqüência direta e imediata do traumatismo. Uma fratura de crânio por traumatismo contuso ou uma ruptura do ligamento colateral medial do joelho em virtude de um impacto lateral violento são exemplos.  Na lesão secundária a manifestação ocorre algum tempo após o traumatismo inicial. Uma mulher, com entorse de tornozelo, pode alterar sua marcha e colocar cargas excessivas sobre articulações e tecidos tanto ipsilaterais quanto contralaterais. PROF. VAGNER SÁ - SAVAGNER@IG.COM.BR
  • 6.
    Os tecidos corporaisexperimentam cargas continuamente durante as atividades normais sem qualquer lesão óbvia. PROF. VAGNER SÁ - SAVAGNER@IG.COM.BR
  • 7.
    A probabilidade delesão aumenta quando as cargas ultrapassam a gama fisiológica. Neste caso o tecido experimenta uma sobrecarga. PROF. VAGNER SÁ - SAVAGNER@IG.COM.BR
  • 8.
    A lesão poderesultar quando uma única sobrecarga ultrapassa a tolerância máxima do tecido. PROF. VAGNER SÁ - SAVAGNER@IG.COM.BR
  • 9.
    A sobrecarga repetidacorresponde ao uso excessivo (overuse). Como por exemplos, a tendinite e a síndrome do túnel do carpo, que são classificadas como distúrbios por traumatismos cumulativos ou síndrome de estresse repetitivo. PROF. VAGNER SÁ - SAVAGNER@IG.COM.BR
  • 10.
    MECANISMOS DE LESÕES  DIRETO  A força se aplica no local da lesão. Ex. contusão.  INDIRETO  A força se aplica em um local diferente do local da lesão. Ex. entorse. PROF. VAGNER SÁ - SAVAGNER@IG.COM.BR
  • 11.
    PROF. VAGNER SÁ- SAVAGNER@IG.COM.BR
  • 12.
    PROF. VAGNER SÁ- SAVAGNER@IG.COM.BR
  • 13.
    LESÃO CRÔNICA E AGUDA  As lesões podem resultar de um único insulto (lesão aguda) ou de cargas repetidas à longo prazo (lesão crônica). Os insultos crônicos persistentes dos tecidos podem resultar progressivamente em condições degenerativas que preparam o “palco” para uma lesão aguda. PROF. VAGNER SÁ - SAVAGNER@IG.COM.BR
  • 14.
    MICRO E MACROTRAUMA  A lesão crônica pode começar com danos microscópicos das estruturas dos tecidos tendinosos e ósseo. Se não forem tratadas, as microlacerações tendinosas prenunciam a ruptura do tendão, e o osso sofrerá uma fratura por estresse. PROF. VAGNER SÁ - SAVAGNER@IG.COM.BR
  • 15.
    MACROTRAUMAS PROF. VAGNER SÁ- SAVAGNER@IG.COM.BR
  • 16.
    OUTROS FATORES DETERMINANTES PARA OCORRÊNCIA DE LESÃO PROF. VAGNER SÁ - SAVAGNER@IG.COM.BR
  • 17.
    E STRUTURA TECIDUAL PROF. VAGNER SÁ - SAVAGNER@IG.COM.BR
  • 18.
    I DADE PROF. VAGNERSÁ - SAVAGNER@IG.COM.BR
  • 19.
    G ÊNERO PROF. VAGNERSÁ - SAVAGNER@IG.COM.BR
  • 20.
    G ENÉTICA PROF. VAGNERSÁ - SAVAGNER@IG.COM.BR
  • 21.
    E STADO FISIOLÓGICO E F ÍSICO PROF. VAGNER SÁ - SAVAGNER@IG.COM.BR
  • 22.
  • 23.
    OUTROS...  Estado psicológico: estresse, distração, fadiga, depressão, fatores de personalidade.  Fadiga física  Ambiente  Equipamento de Proteção Individual – EPI  Lesão prévia e doenças PROF. VAGNER SÁ - SAVAGNER@IG.COM.BR
  • 24.
    EPI PROF. VAGNER SÁ- SAVAGNER@IG.COM.BR
  • 25.
    EPI PROF. VAGNER SÁ- SAVAGNER@IG.COM.BR
  • 26.
    EPI ? PROF. VAGNERSÁ - SAVAGNER@IG.COM.BR
  • 27.
    C ADÊ OEPI? PROF. VAGNER SÁ - SAVAGNER@IG.COM.BR
  • 28.
    TIPOS DE LESÕES ABERTAS A pele está danificada. Possuem comunicação com o meio externo. Ex. escoriação e ferida. Escoriação: lesão superficial (atinge somente a epiderme) Ferida: lesão mais profunda, atingindo epiderme e derme (tecido celular subcutâneo).  FECHADAS  A pele está integra. Não possuem comunicação com o meio externo. Ex. contusão. PROF. VAGNER SÁ - SAVAGNER@IG.COM.BR
  • 29.
    E SCORIAÇÕES PROF. VAGNERSÁ - SAVAGNER@IG.COM.BR
  • 30.
    FERIDAS  PUNTIFORME: até 1 cm, com bordas regulares e arredondadas. PROF. VAGNER SÁ - SAVAGNER@IG.COM.BR
  • 31.
    PERFURANTE: acima de 1 cm, com bordas regulares e arredondadas. PROF. VAGNER SÁ - SAVAGNER@IG.COM.BR
  • 32.
    INCISA: mesma profundidade do início ao fim da lesão, com bordas regulares. PROF. VAGNER SÁ - SAVAGNER@IG.COM.BR
  • 33.
    INCISA PROF. VAGNER SÁ- SAVAGNER@IG.COM.BR
  • 34.
    CORTANTE: bordas um pouco irregulares, mais profunda no início da lesão. Ex. corte com faca. PROF. VAGNER SÁ - SAVAGNER@IG.COM.BR
  • 35.
    CONTUSA: bordas e profundidade irregulares,potencialmente contaminada. Ex. pedrada. PROF. VAGNER SÁ - SAVAGNER@IG.COM.BR
  • 36.
    CORTO-CONTUSA: lesão mista, afeta partes moles. PROF. VAGNER SÁ - SAVAGNER@IG.COM.BR
  • 37.
    PÉRFURO-CONTUSA: lesão mista, também afeta partes moles. Ex. perfuração por arma de fogo (PAF) PROF. VAGNER SÁ - SAVAGNER@IG.COM.BR
  • 38.
    FERIDA PENETRANTE: quando uma cavidade é atingida. Ex. facada ou PAF penetrando a cavidade peritonial ou cavidade medular.  FERIDA TRANSFIXANTE: tem porta de entrada e saída. Ex. PAF PROF. VAGNER SÁ - SAVAGNER@IG.COM.BR
  • 39.
    QUEIMADURAS PROF. VAGNER SÁ- SAVAGNER@IG.COM.BR
  • 40.
    LESÕES FECHADAS  CONTUSÃO: lesão fechada causada por trauma direto em tecidos moles. Presença de sinais flogísticos (dor, calor, edema, rubor e impotência funcional). E de acordo com a energia do trauma, podemos encontrar também equimose ou hematoma. PROF. VAGNER SÁ - SAVAGNER@IG.COM.BR
  • 41.
    M ÁCULAS HEMORRÁGICAS  Equimose: hemorragia de pequenos vasos, tendo como consequência o aparecimento de uma mácula (mancha) hemorrágica visível na pele.  Hematoma: hemorragia com maior volume de sangue abaixo da pele, com o aparecimento de um abaulamento na mesma. Às vezes é necessário drenagem, pois pode se tornar meio de cultura de bactérias.  Petéquias: Se a quantidade de sangue é muito pequena, mas as pequeninas manchas são em grande número costuma-se chamá-las de petéquias PROF. VAGNER SÁ - SAVAGNER@IG.COM.BR
  • 42.
    E QUIMOSE PROF. VAGNERSÁ - SAVAGNER@IG.COM.BR
  • 43.
    HEMATOMA PROF. VAGNER SÁ- SAVAGNER@IG.COM.BR
  • 44.
    PETÉQUIAS PROF. VAGNER SÁ- SAVAGNER@IG.COM.BR
  • 45.
    PROF. VAGNER SÁ- SAVAGNER@IG.COM.BR
  • 46.
    A NOMALIAS GENERALIZADAS PROF. VAGNER SÁ - SAVAGNER@IG.COM.BR
  • 47.
    S IAMESES PROF. VAGNERSÁ - SAVAGNER@IG.COM.BR
  • 48.
    “ MENINA SEREIA ” C HILE PROF. VAGNER SÁ - SAVAGNER@IG.COM.BR
  • 49.
    G ÊMEAS SIAMESAS PROF.VAGNER SÁ - SAVAGNER@IG.COM.BR
  • 50.
    O STEOGÊNESE IMPERFEITA  Caracteriza-se por fragilidade óssea resultante de um defeito primário na matriz óssea, com alterações tanto na qualidade quanto na quantidade do colágeno. PROF. VAGNER SÁ - SAVAGNER@IG.COM.BR
  • 51.
    O STEOGÊNESE IMPERFEITA Há cinco tipos de osteogênese imperfeita: Tipo I - mais comum, com herança autossômica dominante, caracterizada por fragilidade óssea leve a moderada, osteoporose, esclerótica azul, estatura normal e deficiência auditiva. É subdividida em tipo A, se a dentinogênese é normal, e B, se imperfeita; Tipo II - mais grave e letal. Apresenta herança autossômica dominante, esclera azul, face triangular, desproporção crânio-facial, membros curtos e múltiplas fraturas; Tipo III - forma progressiva grave, autossômica dominante, caracterizando-se por osteopenia, múltiplas fraturas com deformidade óssea e na coluna. As escleras apresentam uma coloração azul-pálido na infância e tornam-se normais posteriormente; Tipo IV - é raro, com herança autossômica, apresentando osteoporose, fragilidade óssea e deformidade leve. A esclera tem coloração normal e o comprometimento da audição é leve; Tipo V - semelhante ao tipo IV, diferenciando-se apenas por formação de calos ósseos exuberantes e calcificações na membrana interóssea do antebraço. . PROF. VAGNER SÁ - SAVAGNER@IG.COM.BR
  • 52.
    O STEOGÊNESE IMPERFEITA PROF. VAGNER SÁ - SAVAGNER@IG.COM.BR
  • 53.
    T RATAMENTO  Tratamento medicamentoso: na tentativa de se obter um aumento na resistência óssea, porém sem ser específica para resultados absolutos.  Prevenção das fraturas  Fisioterapia e terapia ocupacional PROF. VAGNER SÁ - SAVAGNER@IG.COM.BR
  • 54.
    A NOMALIAS CONGÊNITASDA COLUNA VERTEBRAL PROF. VAGNER SÁ - SAVAGNER@IG.COM.BR
  • 55.
    TORCICOLO M USCULAR CONGÊNITO PROF. VAGNER SÁ - SAVAGNER@IG.COM.BR
  • 56.
    T RATAMENTO CONSERVADOR  Fisioterapia com 3 semanas de idade;  Alongamento ECOM  Fortalecimento ECOM contra-lateral  Alinhamento da cabeça  Adotar postura contra-lateral para dormir  Orientações aos pais PROF. VAGNER SÁ - SAVAGNER@IG.COM.BR
  • 57.
    PROF. VAGNER SÁ- SAVAGNER@IG.COM.BR
  • 58.
    T RATAMENTO CIRÚRGICO PROF.VAGNER SÁ - SAVAGNER@IG.COM.BR
  • 59.
    K LIPPEL -FEIL PROF. VAGNER SÁ - SAVAGNER@IG.COM.BR
  • 60.
    K LIPPEL -FEIL A SSOCIADO À E SCÁPULA A LTA C ONGÊNITA PROF. VAGNER SÁ - SAVAGNER@IG.COM.BR
  • 61.
    E SCOLIOSE PROF. VAGNERSÁ - SAVAGNER@IG.COM.BR
  • 62.
    ESCOLIOSE PROF. VAGNER SÁ- SAVAGNER@IG.COM.BR
  • 63.
    E SCOLIOSE C URVA C OMPENSADA PROF. VAGNER SÁ - SAVAGNER@IG.COM.BR
  • 64.
    T ESTE ADAMS G IBOSIDADE PROF. VAGNER SÁ - SAVAGNER@IG.COM.BR
  • 65.
    E SCOLIOSE IDIOPÁTICA PROF. VAGNER SÁ - SAVAGNER@IG.COM.BR
  • 66.
    E SCOLIOSE POR N EUROFIBROMATOSE PROF. VAGNER SÁ - SAVAGNER@IG.COM.BR
  • 67.
    E SCOLIOSE ANTÁLGICA PROF. VAGNER SÁ - SAVAGNER@IG.COM.BR
  • 68.
    E SCOLIOSE POR A SSIMETRIA PROF. VAGNER SÁ - SAVAGNER@IG.COM.BR
  • 69.
    V ÉRTEBRAS E RROS DE F ORMAÇÃO PROF. VAGNER SÁ - SAVAGNER@IG.COM.BR
  • 70.
    E SCOLIOSE CONGÊNITA Curva congênita de ângulo agudo e rígido, com o tronco encurtado e deformidades da caixa torácica, com corcova costal proeminente. PROF. VAGNER SÁ - SAVAGNER@IG.COM.BR
  • 71.
    M ÉTODO DECOBB PROF. VAGNER SÁ - SAVAGNER@IG.COM.BR
  • 72.
    C LASSIFICAÇÃO DERISSER PROF. VAGNER SÁ - SAVAGNER@IG.COM.BR
  • 73.
    C OLETE DEM ILWAUKEE PROF. VAGNER SÁ - SAVAGNER@IG.COM.BR
  • 74.
    C IRURGIA CORRETIVA PROF. VAGNER SÁ - SAVAGNER@IG.COM.BR
  • 75.
    PROF. VAGNER SÁ- SAVAGNER@IG.COM.BR
  • 76.
    C IFOSE CONGÊNITA Deve-se a um defeito de segmentação da coluna embrionária, resultando em fusão de corpos vertebrais. PROF. VAGNER SÁ - SAVAGNER@IG.COM.BR
  • 77.
    D ORSO CURVO J UVENIL E S CHEUERMANN PROF. VAGNER SÁ - SAVAGNER@IG.COM.BR
  • 78.
    HIPERLORDOSE PROF. VAGNER SÁ- SAVAGNER@IG.COM.BR
  • 79.
    Â NGULO FERGUSON PROF. VAGNER SÁ - SAVAGNER@IG.COM.BR
  • 80.
    P ECTUS CARINATUM PROF. VAGNER SÁ - SAVAGNER@IG.COM.BR
  • 81.
    Ó RTESES PROF. VAGNERSÁ - SAVAGNER@IG.COM.BR
  • 82.
    P ECTUS EXCAVATUM PROF. VAGNER SÁ - SAVAGNER@IG.COM.BR
  • 83.
    P ECTUS EXCAVATUM Ó RTESE PROF. VAGNER SÁ - SAVAGNER@IG.COM.BR
  • 84.
    P RÉ EPÓS PROF. VAGNER SÁ - SAVAGNER@IG.COM.BR
  • 85.
    P RÉ EP ÓS PROF. VAGNER SÁ - SAVAGNER@IG.COM.BR
  • 86.
    D EFORMIDADE DE S PRENGEL PROF. VAGNER SÁ - SAVAGNER@IG.COM.BR
  • 87.
    F OCOMELIA PROF. VAGNERSÁ - SAVAGNER@IG.COM.BR
  • 88.
    A USÊNCIA CONGÊNITA R ÁDIO PROF. VAGNER SÁ - SAVAGNER@IG.COM.BR
  • 89.
    A USÊNCIA CONGÊNITA U LNA PROF. VAGNER SÁ - SAVAGNER@IG.COM.BR
  • 90.
    B ANDA DEC ONSTRICÇÃO ARLINDO G. PARDINI JR. ACTA ORTOP BRAS 9(2) - ABR/JUN, 2001 PROF. VAGNER SÁ - SAVAGNER@IG.COM.BR
  • 91.
    ARLINDO G. PARDINIJR. ACTA ORTOP BRAS 9(2) - ABR/JUN, 2001 PROF. VAGNER SÁ - SAVAGNER@IG.COM.BR
  • 92.
    A MPUTAÇÃO CONGÊNITA PROF.VAGNER SÁ - SAVAGNER@IG.COM.BR
  • 93.
    A MPUTAÇÃO CONGÊNITA PROF.VAGNER SÁ - SAVAGNER@IG.COM.BR
  • 94.
    M ÃO FENDIDA PROF. VAGNER SÁ - SAVAGNER@IG.COM.BR
  • 95.
    S INDACTILIA COMPLEXA PROF. VAGNER SÁ - SAVAGNER@IG.COM.BR
  • 96.
    S INDACTILIA SIMPLES PROF. VAGNER SÁ - SAVAGNER@IG.COM.BR
  • 97.
    A NOMALIAS CONGÊNITASDOS MEMBROS INFERIORES PROF. VAGNER SÁ - SAVAGNER@IG.COM.BR
  • 98.
    D ISPLASIA DOQUADRIL L UXAÇÃO C ONGÊNITA Q UADRIL PROF. VAGNER SÁ - SAVAGNER@IG.COM.BR
  • 99.
    D ISPLASIA DOQUADRIL L UXAÇÃO C ONGÊNITA Q UADRIL PROF. VAGNER SÁ - SAVAGNER@IG.COM.BR
  • 100.
    PROF. VAGNER SÁ- SAVAGNER@IG.COM.BR
  • 101.
    Í NDICE ACETABULAR PROF. VAGNER SÁ - SAVAGNER@IG.COM.BR
  • 102.
    IMAGEM PROF. VAGNER SÁ- SAVAGNER@IG.COM.BR
  • 103.
    Â NGULO DE A BDUÇÃO Q UADRIL PROF. VAGNER SÁ - SAVAGNER@IG.COM.BR
  • 104.
    S USPENSÓRIO PAVLIK PROF.VAGNER SÁ - SAVAGNER@IG.COM.BR
  • 105.
    A LMOFADA FREJKA PROF. VAGNER SÁ - SAVAGNER@IG.COM.BR
  • 106.
    P OLIDACTILIA PROF. VAGNERSÁ - SAVAGNER@IG.COM.BR
  • 107.
    A MPUTAÇÃO CONGÊNITA DOS D EDOS E A RTELHOS PROF. VAGNER SÁ - SAVAGNER@IG.COM.BR
  • 108.
    C OXA VARAC ONGÊNITA PROF. VAGNER SÁ - SAVAGNER@IG.COM.BR
  • 109.
    F ÊMUR CURTO C ONGÊNITO PROF. VAGNER SÁ - SAVAGNER@IG.COM.BR
  • 110.
    F ÊMUR CURTO C ONGÊNITO P ROTETIZAÇÃO PROF. VAGNER SÁ - SAVAGNER@IG.COM.BR
  • 111.
    F ÊMUR CURTO C ONGÊNITO C IRURGIA PARA P ROTETIZAÇÃO PROF. VAGNER SÁ - SAVAGNER@IG.COM.BR
  • 112.
    G ENO VAROF ISIOLÓGICO PROF. VAGNER SÁ - SAVAGNER@IG.COM.BR
  • 113.
    T ÍBIA VARAC ONGÊNITA PROF. VAGNER SÁ - SAVAGNER@IG.COM.BR
  • 114.
    G ENO VALGOU NILATERAL PROF. VAGNER SÁ - SAVAGNER@IG.COM.BR
  • 115.
    G ENO VALGOBILATERAL PROF. VAGNER SÁ - SAVAGNER@IG.COM.BR
  • 116.
    G ENO VAROU NILATERAL PROF. VAGNER SÁ - SAVAGNER@IG.COM.BR
  • 117.
    P É EQUINOVARO PROF. VAGNER SÁ - SAVAGNER@IG.COM.BR
  • 118.
    P É TORTOC ONGÊNITO PROF. VAGNER SÁ - SAVAGNER@IG.COM.BR
  • 119.
    P É TORTOC ONGÊNITO C IRURGIA PROF. VAGNER SÁ - SAVAGNER@IG.COM.BR
  • 120.
    T ÁLUS INVERTIDO PROF. VAGNER SÁ - SAVAGNER@IG.COM.BR
  • 121.
    H ÁLUX VALGOA DQUIRIDO PROF. VAGNER SÁ - SAVAGNER@IG.COM.BR
  • 122.
    A MPUTAÇÃO CONGÊNITA P É PROF. VAGNER SÁ - SAVAGNER@IG.COM.BR
  • 123.
    S INDACTILIA PÉ PROF. VAGNER SÁ - SAVAGNER@IG.COM.BR
  • 124.
    B ANDA DE C ONSTRICÇÃO P ERNA PROF. VAGNER SÁ - SAVAGNER@IG.COM.BR
  • 125.
    D ISTÚRBIOS METABÓLICOS PROF.VAGNER SÁ - SAVAGNER@IG.COM.BR
  • 126.
    R AQUITISMO PROF. VAGNERSÁ - SAVAGNER@IG.COM.BR
  • 127.
    C LASSIFICAÇÃO a) Raquitismocarencial: deficiência de vitamina D, cálcio e fosfato. b) Raquitismo secundário a tubulopatias renais. c) Raquitismo associado a má absorção gastrintestinal. d) Raquitismo secundário a distúrbios do metabolismo da vitamina D. PROF. VAGNER SÁ - SAVAGNER@IG.COM.BR
  • 128.
    A SPECTOS CLÍNICOS  Irritabilidade / apatia  Achatamento do crânio  Alargamento da porção cartilaginosa das suturas do crânio  Dentinogênese retardada ou defeituosa  Articulações costocondrais proeminentes (rosário raquítico)  pectus carinatum  Fraqueza muscular, Distensão abdominal, Frouxidão ligamentar  Encurvamento dos ossos longos  Cifoscoliose  Baixa estatura, secundária as deformidades ósseas PROF. VAGNER SÁ - SAVAGNER@IG.COM.BR
  • 129.
    I MPORTANTE !!  A vitamina D é fundamental para a absorção do cálcio pelo seu organismo. Deve ser consumido sempre em quantidades adequadas, evitando faltas e excessos.  A quantidade de vitamina D que um adulto precisa varia, de acordo com a idade, de 5mg a 10mg, chegando a 15mg em idosos com mais de 70 anos.  A exposição ao sol é importante para a obtenção de vitamina D, mas alguns alimentos também representam uma fonte desta vitamina. PROF. VAGNER SÁ - SAVAGNER@IG.COM.BR
  • 130.
    F ONTES DEV ITAMINA D Gema ovo Fígado manteiga cavala sardinha arenque PROF. VAGNER SÁ - SAVAGNER@IG.COM.BR
  • 131.
    R AQUITISMO NORMAL PATOLÓGICO PROF. VAGNER SÁ - SAVAGNER@IG.COM.BR
  • 132.
    A NTES E A PÓS T RATAMENTO PROF. VAGNER SÁ - SAVAGNER@IG.COM.BR
  • 133.
    R ADIOGRAFIAS PROF. VAGNERSÁ - SAVAGNER@IG.COM.BR
  • 134.
    R AQUITISMO PUNHO PROF.VAGNER SÁ - SAVAGNER@IG.COM.BR
  • 135.
    R AQUITISMO NUTRICIONAL PROF. VAGNER SÁ - SAVAGNER@IG.COM.BR
  • 136.
    OSTEOMALÁCIA  A osteomalácia é o raquitismo no adulto. Ela ocorre quando o paciente por um período na vida se alimenta com um nível baixo de cálcio. Hoje, felizmente, a patologia é rara. Ela foi freqüente durante a Segunda Guerra Mundial. Nessa época, o preso não tomava banhos de sol e a alimentação era deficiente. PROF. VAGNER SÁ - SAVAGNER@IG.COM.BR
  • 137.
    E SCORBUTO  Deficiência de ácido levoexurônico (ácido ascórbico – vitamina C).  Altera a formação de colágeno e a resistência dos capilares que orientam a mineralização óssea.  O quadro clínico inclui: irritabilidade, parestesias, hipotonia muscular principalmente dos membros inferiores, obrigando o paciente a permanecer com as articulações fletidas. Também encontra-se febre e hemorragias das gengivas e do tecido subcutâneo além de dor óssea e articular.  O tratamento é relativamente simples com ingesta de vitamina C, principalmente porque doses maciças não levam a intoxicação. Se o tratamento for instituído no início, provavelmente não acarretará em seqüelas. PROF. VAGNER SÁ - SAVAGNER@IG.COM.BR
  • 138.
    F ONTES DEV ITAMINA C PROF. VAGNER SÁ - SAVAGNER@IG.COM.BR
  • 139.
    OSTEOPENIAS E OSTEOPOROSE  É a perda de massa óssea provocada pelo decréscimo rápido do estrogênio e progesterona, influenciando diretamente na atividade osteoblástica normal.  Sabemos que com a chegada da menopausa nas mulheres, os níveis hormonais decrescem rapidamente, em torno de 5 a 10 anos após sua instalação. Nos homens os níveis de hormônios sexuais diminuem em faixa etária mais elevada, em torno dos 65 anos, e esse fato é responsável pela manutenção da massa óssea do sexo masculino.  Na osteoporose, a massa óssea diminui, apesar de a estrutura permanecer aparentemente normal. Na senilidade, todos os seres humanos são acometidos pela perda de tecido ósseo (osteoporose primária). O termo osteoporose secundária é utilizado para designar esse processo quando ele inicia em faixa etária menor e apresenta um fator predisponente. PROF. VAGNER SÁ - SAVAGNER@IG.COM.BR
  • 140.
    FATORES DE RISCOPARA A OSTEOPOROSE  História familiar  Raça branca  Escoliose  Osteogênese imperfeita  Menopausa precoce  Alcoolismo  Tabagismo PROF. VAGNER SÁ - SAVAGNER@IG.COM.BR
  • 141.
    FATORES DE RISCOPARA A OSTEOPOROSE  inatividade e sedentarismo  má nutrição  amenorréia induzida por excesso de exercício  dieta com alta ingestão de fibras  dieta com alta ingestão de fosfatos  dieta com alta ingestão de proteínas PROF. VAGNER SÁ - SAVAGNER@IG.COM.BR
  • 142.
    O UTRAS INFORMAÇÕES QUADRO CLÍNICO  A doença é assintomática, a não ser que ocorra uma fratura  É muito importante avaliar a história para correlacionar com o uso de medicamentos como: corticóides, anticonvulsivos, medicação para tireóide, antiácidos e heparina. LOCAIS COMUNS DE FRATURA  Fratura por compressão vertebral  Fratura do punho  Fratura do quadril/fêmur proximal  Fratura dos arcos costais, pelve e úmero PROF. VAGNER SÁ - SAVAGNER@IG.COM.BR
  • 143.
    O STEOPOROSE saudável osteoporótico PROF. VAGNER SÁ - SAVAGNER@IG.COM.BR
  • 144.
    D ENSITOMETRIA ÓSSEA PROF. VAGNER SÁ - SAVAGNER@IG.COM.BR
  • 145.
    PROF. VAGNER SÁ- SAVAGNER@IG.COM.BR
  • 146.
    O STEOPOROSE PROF. VAGNERSÁ - SAVAGNER@IG.COM.BR
  • 147.
    O STEOPOROSE PROF. VAGNERSÁ - SAVAGNER@IG.COM.BR
  • 148.
    O STEOPOROSE -P REVENÇÃO PROF. VAGNER SÁ - SAVAGNER@IG.COM.BR
  • 149.
    O STEÍTE DEFORMANTE DOENÇA DE PAGET  A doença de Paget é uma alteração do processo de remodelação do esqueleto, iniciada por um aumento da reabsorção óssea mediada pelos osteoclastos.  A deformidade e o aumento de volume dos ossos pode causar compressão de estruturas nervosas adjacentes, como por exemplo, os pares cranianos causando diminuição da acuidade auditiva. A compressão de raízes nervosas pelo aumento de volume ósseo, pode ser a causa de lombalgia ou lombociatalgia, por estenose do canal vertebral ou do forame intervertebral. PROF. VAGNER SÁ - SAVAGNER@IG.COM.BR
  • 150.
    D ISTÚRBIOS INFECCIOSOS E INFLAMATÓRIOS DE O SSOS E A RTICULAÇÕES PROF. VAGNER SÁ - SAVAGNER@IG.COM.BR
  • 151.
    OSTEOMIELITE  Infecção óssea  Aguda, sub-aguda ou crônica PROF. VAGNER SÁ - SAVAGNER@IG.COM.BR
  • 152.
    Q UADRO CLÍNICO  Dor óssea (edema, calor, rubor)  Febre  Prostração  Anorexia  Impotência funcional PROF. VAGNER SÁ - SAVAGNER@IG.COM.BR
  • 153.
    TRATAMENTO  Identificação do agente  Antibioticoterapia  Antiinflamatórios  Repouso  Drenagem cirúrgica  Suporte nutricional PROF. VAGNER SÁ - SAVAGNER@IG.COM.BR
  • 154.
    PROF. VAGNER SÁ- SAVAGNER@IG.COM.BR
  • 155.
    PROF. VAGNER SÁ- SAVAGNER@IG.COM.BR
  • 156.
    PROF. VAGNER SÁ- SAVAGNER@IG.COM.BR
  • 157.
    O STEOMIELITE CRÔNICA PROF.VAGNER SÁ - SAVAGNER@IG.COM.BR
  • 158.
    A RTRITE SÉPTICA  É uma infecção de uma articulação causada por bactérias piogênicas, podendo levar a destruição da cartilagem, subluxação e até a perda da articulação. PROF. VAGNER SÁ - SAVAGNER@IG.COM.BR
  • 159.
    A RTRITE SÉPTICA PROF.VAGNER SÁ - SAVAGNER@IG.COM.BR
  • 160.
    A RTRITE SÉPTICA PROF. VAGNER SÁ - SAVAGNER@IG.COM.BR
  • 161.
    M AL DEPOTT  Tuberculose vertebral PROF. VAGNER SÁ - SAVAGNER@IG.COM.BR
  • 162.
    A RTRITE REUMATÓIDE  A artrite reumatóide não é transmissível. As causas da doença ainda não são totalmente conhecidas. Porém, sabe-se que o sistema imunológico exerce um importante papel na inflamação e nos danos das articulações. Na artrite reumatóide, o sistema imunológico não funciona corretamente e pode atacar as próprias articulações e alguns órgãos do corpo. PROF. VAGNER SÁ - SAVAGNER@IG.COM.BR
  • 163.
    A RTRITE GOTOSA  A gota é uma doença reumatológica, inflamatória e metabólica, que cursa com hiperuricemia (elevação dos níveis de ácido úrico no sangue) e é resultante da deposição de cristais do ácido nos tecidos e articulações.  A forma primária é de causa desconhecida e tem algum componente genético (hereditário), sendo a mais comum. Já a gota secundária desenvolve em consequência de outra doença ou alguns medicamentos.  A ingestão de bebida alcoólica e dieta rica em proteínas e gorduras é também uma causa comum de hiperuricemia, podendo causar a gota. PROF. VAGNER SÁ - SAVAGNER@IG.COM.BR
  • 164.
    O STEOARTRITE -ARTROSE  Doença degenerativa, em geral articular, que ocorre sobretudo em pessoas idosas e do sexo feminino. O elemento fundamentalmente lesado é a cartilagem articular, que apresenta fenotípica e genotipicamente uma fragilidade, a qual predispõe o processo artrósico. PROF. VAGNER SÁ - SAVAGNER@IG.COM.BR
  • 165.
    CLASSIFICAÇÃO  Primária. Quando o processo degenerativo ocorre com o envelhecimento ou com o uso excessivo das articulações ou ainda pela concomitância destas duas eventualidades.  Secundária. Quando em decorrência de uma patologia pré-existente, que ao acometer a articulação ou a região peri- articular predispõe a degeneração articular. PROF. VAGNER SÁ - SAVAGNER@IG.COM.BR
  • 166.
    S INAIS ESINTOMAS  Dor, às vezes, em repouso que se intensifica com movimentos e as atividades físicas.  Dor à palpação, em determinados pontos, habitualmente nas margens da articulação.  Rigidez, principalmente após um tempo de repouso ou inatividade.  Perda de movimentos. Limitação funcional. Crepitação.  Sensação de insegurança ou de instabilidade e presença de falseio.  Aumento de volume com derrame articular.  Diminuição da função muscular. P .V ROF S - @ . AGNER . Á SAVAGNER IG COM BR
  • 167.
    O STEOARTRITE -ARTROSE PROF. VAGNER SÁ - SAVAGNER@IG.COM.BR
  • 168.
    A RTROSE MÃOS PROF.VAGNER SÁ - SAVAGNER@IG.COM.BR
  • 169.
    A RTROSE OMBRO PROF.VAGNER SÁ - SAVAGNER@IG.COM.BR
  • 170.
    A RTROSE QUADRIL PROF.VAGNER SÁ - SAVAGNER@IG.COM.BR
  • 171.
    A RTROPLASTIA PARCIAL PROF.VAGNER SÁ - SAVAGNER@IG.COM.BR
  • 172.
    A RTROPLASTIA PARCIAL PROF.VAGNER SÁ - SAVAGNER@IG.COM.BR
  • 173.
    A RTROPLASTIA TOTAL PROF.VAGNER SÁ - SAVAGNER@IG.COM.BR
  • 174.
    A RTROSE JOELHO PROF.VAGNER SÁ - SAVAGNER@IG.COM.BR
  • 175.
    A RTROPLASTIA TOTAL PROF.VAGNER SÁ - SAVAGNER@IG.COM.BR
  • 176.
    D ISTÚRBIOS DASE PÍFISES E DO C RESCIMENTO E PIFISÁRIO PROF. VAGNER SÁ - SAVAGNER@IG.COM.BR
  • 177.
    OSTEOCONDROSES  Leg-Calvè-Perthes,  Scheurmann,  Sever,  Osgood-Schlatter e  Kienbock PROF. VAGNER SÁ - SAVAGNER@IG.COM.BR
  • 178.
    L EGG -PERTHES -C ALVÈ PROF. VAGNER SÁ - SAVAGNER@IG.COM.BR
  • 179.
    L EGG -PERTHES -C ALVÈ PROF. VAGNER SÁ - SAVAGNER@IG.COM.BR
  • 180.
    L EGG -PERTHES -C ALVÈ PROF. VAGNER SÁ - SAVAGNER@IG.COM.BR
  • 181.
    L EGG -PERTHES -C ALVÈ PROF. VAGNER SÁ - SAVAGNER@IG.COM.BR
  • 182.
    FASES LEGG - PERTHES - CALVÉ  Inicial ou necrose óssea. Pela perda da vascularização da cabeça femoral, ocorre necrose (mortificação) em parte ou em toda a cabeça femoral.  Fragmentação ou revascularização. Com a revascularização da cabeça femoral tem início a absorção do tecido necrosado, aparecendo áreas de fragmentação.  Reossificação. Forma-se novo tecido ósseo.  Deformidade residual ou cura sem seqüelas. Fase final. PROF. VAGNER SÁ - SAVAGNER@IG.COM.BR
  • 183.
    S CHEUERMANN TARDIA PROF.VAGNER SÁ - SAVAGNER@IG.COM.BR
  • 184.
    Ó RTESES CIFOSE PROF.VAGNER SÁ - SAVAGNER@IG.COM.BR
  • 185.
    SÈVER PROF. VAGNER SÁ- SAVAGNER@IG.COM.BR
  • 186.
    O SGOOD -SCHLATTER PROF. VAGNER SÁ - SAVAGNER@IG.COM.BR
  • 187.
    K IENBÖCK PROF. VAGNERSÁ - SAVAGNER@IG.COM.BR
  • 188.
    ESPONDILÓLISE PROF. VAGNER SÁ- SAVAGNER@IG.COM.BR
  • 189.
  • 190.
    I MAGEM DELACHAPELLE PROF. VAGNER SÁ - SAVAGNER@IG.COM.BR
  • 191.
    LACHAPELLE PROF. VAGNER SÁ- SAVAGNER@IG.COM.BR
  • 192.
    E PIFISIÓLISE CABEÇA FEMORAL  Epifisiolistese  Coxa-vara do adolescente  Coxa vara epifisária PROF. VAGNER SÁ - SAVAGNER@IG.COM.BR
  • 193.
  • 194.
    T RATAMENTO CIRÚRGICO PROF.VAGNER SÁ - SAVAGNER@IG.COM.BR
  • 195.
    P RINCIPAIS NEOPLASIAS DOS T ECIDOS MUSCULOESQUELÉTICOS PROF. VAGNER SÁ - SAVAGNER@IG.COM.BR
  • 196.
    OSTEOSSARCOMA  É um dos tumores ósseos mais malignos, atingindo adolescentes e adultos jovens na faixa etária preferencial entre 10 e 20 anos.  Radiograficamente, são lesões predominantemente osteolíticas, destrutivas, bordas indistintas, com lesão da cortical, ruptura do periósteo e invasão de partes moles.  A localização mais comum do osteossarcoma é na metáfise superior da tíbia e úmero e na metáfise inferior do fêmur e rádio, com predomínio ao redor do joelho. PROF. VAGNER SÁ - SAVAGNER@IG.COM.BR
  • 197.
    OSTEOSSARCOMA PROF. VAGNER SÁ- SAVAGNER@IG.COM.BR
  • 198.
    CONDROSSARCOMA  É uma lesão que atinge o tecido cartilaginoso, região metafisária ou diafisária, maligna, que ocorre primariamente no adulto e raramente é encontrada na adolescência e na infância.  Radiograficamente, o condrossarcoma primário evidencia espessamento de cortical, irregularidades e ondulações endostais e o aparecimento de calcificações algodonosas. Tratamento  O tratamento de escolha é cirúrgico com ressecção. As chances de recidiva são grandes, razão pela qual as margens de ressecção devem ser amplas.  Não responde à quimioterapia e à radioterapia. PROF. VAGNER SÁ - SAVAGNER@IG.COM.BR
  • 199.
    CONDROSSARCOMA PROF. VAGNER SÁ- SAVAGNER@IG.COM.BR
  • 200.
    OSTEOCONDROMA  É o tumor benigno mais comum, aproximadamente 10% de todos os tumores ósseos e 30% dos benignos. O osteocondroma é uma exostose óssea, coberta por uma camada de cartilagem. A localização é metafisária, principalmente ao redor do joelho, metáfise proximal do úmero e do fêmur. PROF. VAGNER SÁ - SAVAGNER@IG.COM.BR
  • 201.
    TRAUMATOLOGIA PROF. VAGNER SÁ- SAVAGNER@IG.COM.BR
  • 202.
    ENTORSE: lesão aguda do ligamento, causando perda temporária da congruência articular, causado por trauma indireto. Grau I  não há ruptura, apenas um esgarçamento. Grau II  ruptura parcial. Grau III  ruptura total. PROF. VAGNER SÁ - SAVAGNER@IG.COM.BR
  • 203.
    M ECANISMOS DEE NTORSE PROF. VAGNER SÁ - SAVAGNER@IG.COM.BR
  • 204.
    LUXAÇÃO: perda definitiva ou permanente da congruência articular, causado por trauma indireto. A luxação exige uma manobra de redução para restaurar anatomicamente uma articulação através de manobras técnicas utilizadas por profissionais habilitados. Redução incruenta: redução fechada. Redução cruenta: redução aberta ou cirúrgica. PROF. VAGNER SÁ - SAVAGNER@IG.COM.BR
  • 205.
    L UXAÇÃO TRAUMÁTICA PROF.VAGNER SÁ - SAVAGNER@IG.COM.BR
  • 206.
    S ÍNFISE PÚBICA PROF.VAGNER SÁ - SAVAGNER@IG.COM.BR
  • 207.
    L UXAÇÃO DOQ UADRIL PROF. VAGNER SÁ - SAVAGNER@IG.COM.BR
  • 208.
    L UXAÇÃO PATELA PROF.VAGNER SÁ - SAVAGNER@IG.COM.BR
  • 209.
    R EALINHAMENTO PATELAR PROF.VAGNER SÁ - SAVAGNER@IG.COM.BR
  • 210.
    L UXAÇÃO OMBRO PROF. VAGNER SÁ - SAVAGNER@IG.COM.BR
  • 211.
    L UXAÇÃO ACRÔMIO - C LAVICULAR PROF. VAGNER SÁ - SAVAGNER@IG.COM.BR
  • 212.
    L ESÕES MÚSCULO - E SQUELÉTICAS  DISTENSÃO: Indica que houve algum grau de ruptura nas fibras musculares, na junção músculo-tendão. Alongamento excessivo, excesso de exercício, excesso de uso do tecido mole, podem ser causas de distensão; tende a ser menos grave que uma entorse. Ocorre devido a trauma leve ou traumas não usuais repetidos de grau mínimo. PROF. VAGNER SÁ - SAVAGNER@IG.COM.BR
  • 213.
    PROF. VAGNER SÁ- SAVAGNER@IG.COM.BR
  • 214.
    RUPTURA OU LACERAÇÃO ENTRE MÚSCULO E TENDÃO: Se a ruptura ou laceração é parcial, ocorre dor na região da fissura quando o músculo é alongado ou quando se contrai contra resistência. Se a ruptura ou laceração é completa, o músculo não traciona o local lesionado, de modo que alongamento ou contração do músculo não causa dor. PROF. VAGNER SÁ - SAVAGNER@IG.COM.BR
  • 215.
    PROF. VAGNER SÁ- SAVAGNER@IG.COM.BR
  • 216.
    PROF. VAGNER SÁ- SAVAGNER@IG.COM.BR
  • 217.
    TENOSINOVITE: É uma inflamação da bainha sinovial que cobre um tendão.  TENDINITE: É a inflamação de um tendão; pode ocorrer a formação de cicatriz ou deposição de cálcio em um tendão.  TENOVAGINITE: É uma inflamação com espessamento da bainha tendínea.  TENDINOSE: É uma degeneração do tendão devido a microtraumas repetitivos. PROF. VAGNER SÁ - SAVAGNER@IG.COM.BR
  • 218.
    D E QUERVAIN  Tendinite do abdutor longo e extensor curto do polegar.  Teste Finkelstein PROF. VAGNER SÁ - SAVAGNER@IG.COM.BR
  • 219.
    CIRURGIA PROF. VAGNER SÁ- SAVAGNER@IG.COM.BR
  • 220.
    T ENDINITE CALCÁRIA PROF.VAGNER SÁ - SAVAGNER@IG.COM.BR
  • 221.
    D EDO EMGATILHO PROF. VAGNER SÁ - SAVAGNER@IG.COM.BR
  • 222.
    C ISTO SINOVIAL  Tratamento conservador: 1) punção; 2) transfixação e infiltração com corticóide; 3) destruição por pressão.  Tratamento cirúrgico: 1) ressecção simples do cisto sinovial; 2) ressecção do cisto sinovial e a sutura do pedículo quando for artrosinovial - local de origem; 3) sinovectomia parcial, com a ressecção do cisto e da sinovial. PROF. VAGNER SÁ - SAVAGNER@IG.COM.BR
  • 223.
    E NTESITE -EPICONDILITE  Processo inflamatório que atinge os pontos de origem e inserção dos tendões. As entesites e as epicondilites freqüentemente são determinadas por movimentos repetitivos de tração. Elas também estão relacionadas a processos reumáticos. PROF. VAGNER SÁ - SAVAGNER@IG.COM.BR
  • 224.
    BURSITES  Processo inflamatório que acomete a bolsa sinovial de algumas articulações e provoca dor e impotência funcional. Dentre elas, destacam-se a bursite subacromial, a bursite subcutânea do olécrano, a bursite patelar (rotuliana) e a bursite trocantérica. PROF. VAGNER SÁ - SAVAGNER@IG.COM.BR
  • 225.
    FRATURAS PROF. VAGNER SÁ- SAVAGNER@IG.COM.BR
  • 226.
    FASE INFLAMATÓRIA PROF. VAGNERSÁ - SAVAGNER@IG.COM.BR
  • 227.
    FASE REPARATIVA “CALO MOLE” PROF. VAGNER SÁ - SAVAGNER@IG.COM.BR
  • 228.
    FASE REPARATIVA “CALO DURO” PROF. VAGNER SÁ - SAVAGNER@IG.COM.BR
  • 229.
    FASE REMODELAGEM PROF. VAGNERSÁ - SAVAGNER@IG.COM.BR
  • 230.
    CLASSIFICAÇÃO Traumatismo direto: Fraturas por impacto: ocorre quando uma força é aplicada em uma pequena área. A maior parte da energia é absorvida pelo osso, havendo pouca lesão de partes moles. Ex. chute e golpe com cassetete.  Fraturas por esmagamento: apresentam extensa lesão de partes moles. O osso fica extensamente fragmentado ou fraturado transversalmente.  Fraturas penetrantes (PAF): as feridas de alta velocidade dos rifles e fuzis, levam a extensas lesões de partes moles e fragmentos do osso. PROF. VAGNER SÁ - SAVAGNER@IG.COM.BR
  • 231.
    Traumatismo indireto:  Fraturas por angulação: produz uma linha de fratura transversa com presença ou não de um fragmento triangular no seu lado côncavo.  Fraturas por tração ou tensão: produz uma linha de fratura transversal. Ex. patela, olécrano, maléolo tibial.  Fraturas rotacionais: produz uma linha de fratura espiral que faz uma rotação completa no osso.  Fraturas por compressão: a diáfise dura de um osso longo é impulsionada para dentro da extremidade esponjosa, dando origem a fratura em forma de T ou V. Ex. extremidade inferior de úmero ou fêmur.  Fraturas devido a angulação, rotação e compressão axial: produz uma linha de tração oblíqua. PROF. VAGNER SÁ - SAVAGNER@IG.COM.BR
  • 232.
    Q UANTO AO ESTADO DO OSSO  Traumática: o osso estava em condições de normalidade estrutural.  Patológica: o osso estava previamente afetado por uma patologia. Ex. osteoporose, osteomielite, tumor. PROF. VAGNER SÁ - SAVAGNER@IG.COM.BR
  • 233.
    Q UANTO AO CONTATO COM O MEIO EXTERNO  Fechada: não há contato.  Aberta: há contato. PROF. VAGNER SÁ - SAVAGNER@IG.COM.BR
  • 234.
    Q UANTO AO NÚMERO DE FRAGMENTOS  Simples / Cominutiva PROF. VAGNER SÁ - SAVAGNER@IG.COM.BR
  • 235.
    Q UANTO À LOCALIZAÇÃO  Ossos longos: epífise, diáfise e metáfise  Ossos curtos e irregulares: citar o acidente anatômico envolvido. Ex. fratura do colo do escafóide. Fraturas com nomes especiais: ex. fratura de Colles, Bennett, etc. PROF. VAGNER SÁ - SAVAGNER@IG.COM.BR
  • 236.
    Q UANTO À DIREÇÃO DO TRAÇO DE FRATURA PROF. VAGNER SÁ - SAVAGNER@IG.COM.BR
  • 237.
    PROF. VAGNER SÁ- SAVAGNER@IG.COM.BR
  • 238.
  • 239.
    FRATURA OBSTÉTRICA CLAVÍCULA DIAGNÓSTICO:  história (parto complicado - uso de fórceps, vácuo, etc.)  tumefação discreta  crepitação à palpação  radiografia simples em ap PROF. VAGNER SÁ - SAVAGNER@IG.COM.BR
  • 240.
    FRATURA DA CLAVÍCULA LOCAISMAIS FREQUENTES: a) segmento distal – próximo ao ligamento coracoacromial – 15 a 20%  b) segmento intermediário – 75 a 80 %  c) segmento proximal – 5% POSICIONAMENTO DOS FRAGMENTOS NA FRATURA INTERMEDIÁRIA: a) fragmento distal sofre depressão  b) fragmento proximal sofre elevação PROF. VAGNER SÁ - SAVAGNER@IG.COM.BR
  • 241.
    TRATAMENTO ORTOPÉDICO bandagem de velpeau (ataduras elásticas) de 1 a 2 semanas. obs.: verificar se há comprometimento do plexo braquial através do teste de moro. PROF. VAGNER SÁ - SAVAGNER@IG.COM.BR
  • 242.
    PROF. VAGNER SÁ- SAVAGNER@IG.COM.BR
  • 243.
    PROF. VAGNER SÁ- SAVAGNER@IG.COM.BR
  • 244.
    F RATURA -LUXAÇÃO OMBRO PROF. VAGNER SÁ - SAVAGNER@IG.COM.BR
  • 245.
    PROF. VAGNER SÁ- SAVAGNER@IG.COM.BR
  • 246.
    PROF. VAGNER SÁ- SAVAGNER@IG.COM.BR
  • 247.
    PROF. VAGNER SÁ- SAVAGNER@IG.COM.BR
  • 248.
    PROF. VAGNER SÁ- SAVAGNER@IG.COM.BR
  • 249.
    PROF. VAGNER SÁ- SAVAGNER@IG.COM.BR
  • 250.
    L ESÃO NERVOSAASSOCIADA PROF. VAGNER SÁ - SAVAGNER@IG.COM.BR
  • 251.
    PROF. VAGNER SÁ- SAVAGNER@IG.COM.BR
  • 252.
    D EFORMIDADE COTOVELO PROF.VAGNER SÁ - SAVAGNER@IG.COM.BR
  • 253.
    F RATURA -LUXAÇÃO COTOVELO PROF. VAGNER SÁ - SAVAGNER@IG.COM.BR
  • 254.
    F RATURA -LUXAÇÃO G ALEAZZI PROF. VAGNER SÁ - SAVAGNER@IG.COM.BR
  • 255.
    M ONTEGGIA PROF. VAGNERSÁ - SAVAGNER@IG.COM.BR
  • 256.
    C OLLES PROF. VAGNERSÁ - SAVAGNER@IG.COM.BR
  • 257.
    B ENNETT PROF. VAGNERSÁ - SAVAGNER@IG.COM.BR
  • 258.
    P SEUDO -ARTROSE ESCAFÓIDE PROF. VAGNER SÁ - SAVAGNER@IG.COM.BR
  • 259.
    PROF. VAGNER SÁ- SAVAGNER@IG.COM.BR
  • 260.
    PROF. VAGNER SÁ- SAVAGNER@IG.COM.BR
  • 261.
    PROF. VAGNER SÁ- SAVAGNER@IG.COM.BR
  • 262.
    T RANSTROCANTÉRICA E ACETÁBULO PROF. VAGNER SÁ - SAVAGNER@IG.COM.BR
  • 263.
  • 264.
    DIÁFISE PROF. VAGNER SÁ- SAVAGNER@IG.COM.BR
  • 265.
    PROF. VAGNER SÁ- SAVAGNER@IG.COM.BR
  • 266.
    PROF. VAGNER SÁ- SAVAGNER@IG.COM.BR
  • 267.
    PROF. VAGNER SÁ- SAVAGNER@IG.COM.BR
  • 268.
    PROF. VAGNER SÁ- SAVAGNER@IG.COM.BR
  • 269.
    PROF. VAGNER SÁ- SAVAGNER@IG.COM.BR
  • 270.
    PROF. VAGNER SÁ- SAVAGNER@IG.COM.BR
  • 271.
    PROF. VAGNER SÁ- SAVAGNER@IG.COM.BR
  • 272.
    PROF. VAGNER SÁ- SAVAGNER@IG.COM.BR
  • 273.
    PROF. VAGNER SÁ- SAVAGNER@IG.COM.BR
  • 274.
    PROF. VAGNER SÁ- SAVAGNER@IG.COM.BR
  • 275.
    PROF. VAGNER SÁ- SAVAGNER@IG.COM.BR
  • 276.
    PROF. VAGNER SÁ- SAVAGNER@IG.COM.BR
  • 277.
    PROF. VAGNER SÁ- SAVAGNER@IG.COM.BR
  • 278.
    PROF. VAGNER SÁ- SAVAGNER@IG.COM.BR
  • 279.
    PROF. VAGNER SÁ- SAVAGNER@IG.COM.BR
  • 280.
    PROF. VAGNER SÁ- SAVAGNER@IG.COM.BR
  • 281.
    P SEUDO -ARTROSE PATELA PROF. VAGNER SÁ - SAVAGNER@IG.COM.BR
  • 282.
    PATELECTOMIA PROF. VAGNER SÁ- SAVAGNER@IG.COM.BR
  • 283.
    S INOVITE /HEMARTROSE PROF. VAGNER SÁ - SAVAGNER@IG.COM.BR
  • 284.
    L ESÕES LIGAMENTARES NO JOELHO  Ligamento colateral medial (LCM).  Ligamento cruzado anterior (LCA).  Ligamento cruzado posterior (LCP)  Ligamento colateral lateral (LCL) PROF. VAGNER SÁ - SAVAGNER@IG.COM.BR
  • 285.
    PROF. VAGNER SÁ- SAVAGNER@IG.COM.BR
  • 286.
    PROF. VAGNER SÁ- SAVAGNER@IG.COM.BR
  • 287.
    L ESÕES LIGAMENTARES NO JOELHO  Lesões isoladas do LCM podem ser tratadas sem cirurgia.  Brace de suporte e mobilização imediata.  O retorno aos esporte em média será de 3 a 6 meses. PROF. VAGNER SÁ - SAVAGNER@IG.COM.BR
  • 288.
    Tendões flexores (mm.grácil e semitendíneo) já suturados e preparados em 4 feixes. Parafuso transverso absorvível de fixação femural - Cross-pin. PROF. VAGNER SÁ - SAVAGNER@IG.COM.BR
  • 289.
    Tendões dos músculosgrácil e semitendíneo - confecção do enxerto de tendões flexores. Tendões flexores já retirados. Ainda serão submetidos a limpeza e sutura para confecção do enxerto quádruplo. PROF. VAGNER SÁ - SAVAGNER@IG.COM.BR
  • 290.
    Parafuso transverso detitânio - Transfix. Note que seu posicionamento é perpendicular ao do enxerto. Parafuso de interferência absorvível para fixação tibial - Extra-lock. PROF. VAGNER SÁ - SAVAGNER@IG.COM.BR
  • 291.
    Posicionamento do parafusono túnel tibial. Note que após traçãomanual, o parafuso é implantado paralelo ao tendão. Imagem que mostra feridas cirúrgicas sob síntese com mononylon. Note que não há mais incisão cirúrgica mediana anterior. PROF. VAGNER SÁ - SAVAGNER@IGhttp://ortopediasemlimites.blogspot.com/2007_09_01_archive.html .COM.BR
  • 292.
    L ESÕES NOSM ENISCOS  Lesões comuns  Dor, falseio e travamento do joelho em flexão.  Tratamento com técnicas de prevenção dos meniscos.  Cirurgia em último caso. PROF. VAGNER SÁ - SAVAGNER@IG.COM.BR
  • 293.
    L ESÕES NOSM ENISCOS  Risco de efusão e hemartrose.  Correção cirúrgica com artroscopia.  Fisioterapia pré e pós- cirurgia.  Tempo de retorno médio para as lesões: 4 semanas. PROF. VAGNER SÁ - SAVAGNER@IG.COM.BR
  • 294.
    Momento em que,após a manipulação intra-articular por vídeo do menisco lesado (tipo alça de balde), estamos realizando a exérese do fragmento lesado. Todo o procedimento é realizado com visualização pelo vídeo. PROF. VAGNER SÁ - SAVAGNER@IG.COM.BR
  • 295.
    Note o grandefragmento retirada, que estava dobrada sobre si mesmo, travando de forma importante o joelho do paciente, tornando impossível sua extensão completa. Imagem final do procedimento. Note o discreto edema residual e os portais sintetizados com apenas um ponto (0,5 cm). http://ortopediasemlimites.blogspot.com/2007_09_01_archive.html PROF. VAGNER SÁ - SAVAGNER@IG.COM.BR
  • 296.
    M ENISCO DISCÓIDE PROF.VAGNER SÁ - SAVAGNER@IG.COM.BR
  • 297.
    TRATAMENTO  Conservador. Opção para o menisco discóide de tamanho normal e fixo, e consta basicamente de reforço e alongamento dos estabilizadores dinâmicos do joelho.  A persistência de sintomas leva à degeneração secundária da articulação com artrose havendo indicação de cirurgia.  Cirúrgico. Ressecção do menisco por via artroscópica ou por artrotomia convencional. A ressecção do menisco pode ser: PROF. VAGNER SÁ - SAVAGNER@IG.COM.BR
  • 298.
    PROF. VAGNER SÁ- SAVAGNER@IG.COM.BR
  • 299.
    PROF. VAGNER SÁ- SAVAGNER@IG.COM.BR
  • 300.
    PROF. VAGNER SÁ- SAVAGNER@IG.COM.BR
  • 301.
    PROF. VAGNER SÁ- SAVAGNER@IG.COM.BR
  • 302.
    PROF. VAGNER SÁ- SAVAGNER@IG.COM.BR
  • 303.
    PROF. VAGNER SÁ- SAVAGNER@IG.COM.BR
  • 304.
    PROF. VAGNER SÁ- SAVAGNER@IG.COM.BR
  • 305.
    PROF. VAGNER SÁ- SAVAGNER@IG.COM.BR
  • 306.
    PROF. VAGNER SÁ- SAVAGNER@IG.COM.BR
  • 307.
    PROF. VAGNER SÁ- SAVAGNER@IG.COM.BR
  • 308.
    PROF. VAGNER SÁ- SAVAGNER@IG.COM.BR
  • 309.
    PROF. VAGNER SÁ- SAVAGNER@IG.COM.BR
  • 310.
    PROF. VAGNER SÁ- SAVAGNER@IG.COM.BR
  • 311.
    PROF. VAGNER SÁ- SAVAGNER@IG.COM.BR
  • 312.
    PROF. VAGNER SÁ- SAVAGNER@IG.COM.BR
  • 313.
    PROF. VAGNER SÁ- SAVAGNER@IG.COM.BR
  • 314.
    PROF. VAGNER SÁ- SAVAGNER@IG.COM.BR
  • 315.
    ESPORÃO PROF. VAGNER SÁ- SAVAGNER@IG.COM.BR
  • 316.
    PROF. VAGNER SÁ- SAVAGNER@IG.COM.BR
  • 317.
    REFERÊNCIAS  Ruaro AF. Ortopedia e traumatologia: temas fundamentais e reabilitação. Ed. Elenco, Umuarama – Paraná, 2004.  Cohen M et al. Tratado de ortopedia. SBOT/ROCA, 2007.  GREENER, W. NETTER. Ortopedia. 1ª ed - Rio de Janeiro: Elsevier, 2006.  HEBERT, S. Ortopedia e Traumatologia: princípios e prática. 4ª ed - Porto Alegre: Artmed, 2009.  NETTER, FRANK H. Netter ortopedia. Rio de Janeiro: Elsevier: 2006.  ROBBINS. Patologia Estrutural e Funcional. Rio de Janeiro: Guanabara Koogan, 2000.  SALTER, R., B. Distúrbios e Lesões do Sistema Musculoesquelético. 3ª ed - Rio de Janeiro. Medsi, 2001. PROF. VAGNER SÁ - SAVAGNER@IG.COM.BR