1
TOMOGRAFIA
PROTOCOLOS PARA EXAMES DE
CRÂNIO
REVISÃO ANATÔMICA
2
• OSSOS DO CABEÇA:
• 08 ossos do crânio :
• 1- frontal
• 1- occipital
• 2- Temporais
• 2- parietais
• 1-esfenóide
• 1 etmóide
3
REVISÃO ANATÔMICA
• OSSOS DA FACE:
• Um total de 14 ossos
-2 Maxilares
-2 Zigomáticos
-2 Lacrimais
-2 Nasais
-2 Conchas nasais inferiores
-2 Ossos palatinos -1 Vômer
-1 Mandíbula
REVISÃO ANATÔMICA
4
5
REVISÃO ANATÔMICA
• Na região da cabeça vamos encontrar
também os seios da face, que são cavidades
ósseas com acúmulo de ar.
• Estas cavidades são estudas no diagnóstico
por imagem pois são acometidas de algumas
patologia, entre elas a sinusite.
• São realizados exames de RX- TC para
diagnóstico da patologia.
REVISÃO ANATÔMICA
6
7
REVISÃO ANATÔMICA
Ainda na região da cabeça, outra
estrutura estudada em imagem é
o ouvido. O principal diagnóstico
nesta região é a Otite crônica.
REVISÃO ANATÔMICA
8
• Outra região
estudada na cabeça é
a SELA TURCICA, uma
região que
acondiciona a
glândula HIPÓFISE,
esta região é formada
no osso esfenóide e o
objetivo é o estudo
de patologia de
9
hiperplasias e tumores.
REVISÃO ANATÔMICA
10
• Outra região estudada na cabeça são as
órbitas, para pesquisa no conjunto óptico.
Globo ocular, músculos dos olhos, glândulas
lacrimais e traumas.
11
• Da região da cabeça, a área mais estuda é o
encéfalo, que pode ser acometido de várias
patologias associadas a traumas, patologias
REVISÃO ANATÔMICA
12
vasculares, tumorais, deformidades e do
sistema nervoso central.
• Trata-se de uma região com grande riqueza
anatômica, necessitaríamos de muito tempo
para discutir todas. Vamos elencar as mais
importantes no desenvolvimento do exame.
13
14
POSICIONAMENTO
PARA EXAMES DE CRÂNIO
• Para os exames de crânio no estudo do encéfalo o
posicionamento do paciente deve sempre ser em
SUPINO ( DEC. DORSAL) salvo impossibilidade
físicas.
• A cabeça deve estar acondicionada em um suporte
apropriado que limita os movimentos.
• No equipamento as linhas de referências devem
estar simétricas.
15
• E para iniciar o scout ( scanograma) as linhas
devem englobar toda a cabeça.
16
POSICIONAMENTO
•
17
SCOUT/SCANOGRAMA
18
SCOUT/SCANOGRAMA
• Radiografia digital realizada em PERFIL para
programação dos cortes.
• Os cortes devem seguir o protocolo de cada
unidade radiológica, mas são geralmente muito
parecidos.
• Uma proposta de protocolo pode ser:
2mmx3mm em fossa posterior e
10mmx10mm em supra tentorial.
19
20
JANELAMENTO
• Para uma perfeita documentação do exame o
Nível (WL) e a janela (WW) devem estar
adequados. Para isso é necessário saber: • WL:
densidade do tecido estudado
• WW: contraste da imagem.
21
JANELAMENTO
• PARA EXAMES DO ENCÉFALO: de acordo com a
forma de processar as imagens, podemos partir
da seguinte escala:
• FOSSA POSTERIOR
• WL: +- 35
• WW: +- 200
• SUPRA TENTORIAL
• WL: + - 40
• WW: +- 100
22
INDICAÇÕES
• Os exames de crânio são indicados nas
seguintes HD:
• Cefaléia
• Tumores
• Processos expansivos
• AVCs
• Traumas
• Outros.
23
IMAGENS
PATOLÓGICAS
• HEMATOMA EPIDURAL
• É conseqüência da
hemorragia de uma artéria
que se encontra entre as
meninges duramáter e o
crânio. A maioria dos
hematomas epidurais
24
ocorre quando uma fratura do crânio rompe uma
artéria
IMAGENS
PATOLÓGICAS
HEMATOMA
SUBDURAL
• É a consequência do
sangramento das veias que
se encontram à volta do
cérebro. O início do derrame
25
pode ser súbito e consecutivo a um traumatismo
craniano grave ou mais lento quando se trata de
uma lesão menos grave.
26
HEMATOMA INTRAPARENQUIMATOSO
• Lesões intraparenquimatosas (dentro do
cérebro) - tanto hemorragias como
contusões - acontecem dentro da
substância que faz parte do próprio
27
cérebro e não nas áreas entre o cérebro
e o crânio.
28
HEMATOMA INTRAPARENQUIMATOSO
29
IMAGENS PATOLÓGICAS
AVCI/AVCH
30
1. Medula espinal
(forame magnum)
2. Células mastóideas.
3. Seio maxilar esq.
4. Côndilo
mandibular(cabeça).
5. Processos zigomáticos.
6. Maxilar.
7. Osso nasal.
31
32
33
1. Cristalino do olho D.
2. Lobo parietal E.
3. Medula Oblonga
(bulbo).
4. Seio esfenoidal.
5. Corpo vítrio (globo
ocular).
6. Hemisfério cerebelar D
34
1. Músculo reto medial D.
2. Músculo reto lateral E.
35
01
36
37
38
1. Fissura de Sylvios.
2. Foice do cérebro.
3. Terceiro ventrículo.
39
1. Corno Anterior do
Ventrículo lateral D.
2. Corpo caloso D.
3. Terceiro ventrículo.
4. Plexo coróide.
40
41
42
43
44
45
46
47
48
49
50
51
52
53
54
55
56
57
58
59
60
61
62
63
64
65
66
67
68
69
70
71
72
73
74
75
76
77
78
79
80
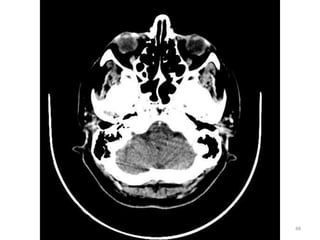
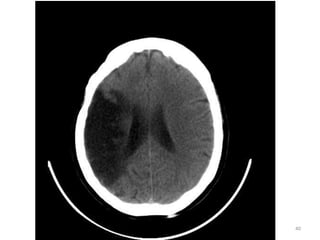
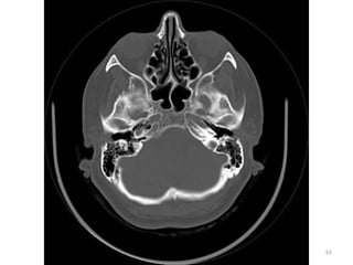
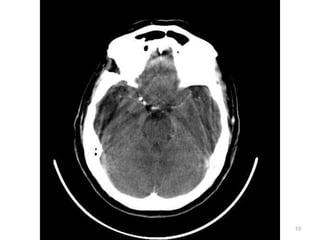
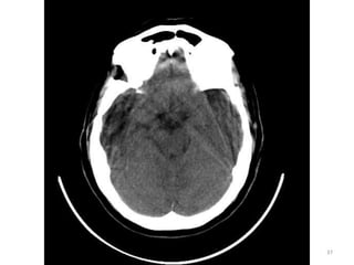
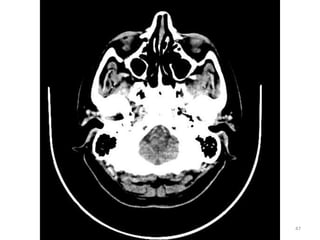
CORTES FOSSA POSTERIOR
81
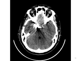
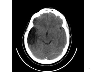
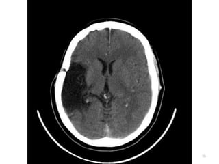
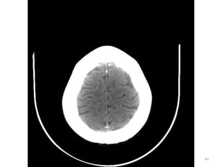
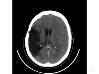
SUPRA TENTORIAL
82
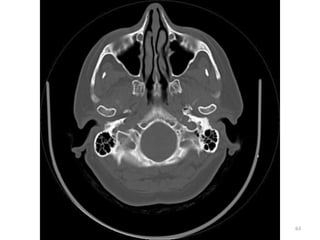
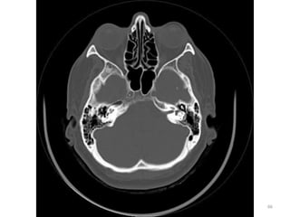
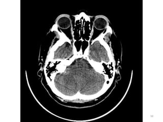
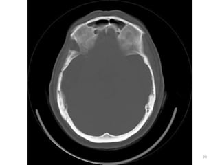
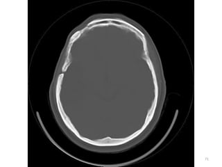
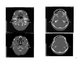
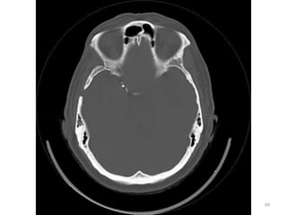
IMAGENS ÓSSEAS
83
84
FOV
• Para cada região estudada, deve-se usar um
FOV.
• Ex:
Crânio = 22cm
Tórax = 35cm
Abdome = 40cm
Joelho = 18cm
Seios da face = 14cm
85
FOV
86
1. GLOBO OULAR (VITRIO)
2. FORAME MAGNUM
3. MUSCULO PITERIGÓIDE
MEDIAL
4. SEIO ESFENOIDAL
5. SEIO MAXILAR
6. ORELHA
1
2
3
4
5
6
ANATOMIA
87
1. HEMISFÉRIO OCCIPTAL D
2. LOBO TEMPORAL D
3. NERVO ÓPTICO E
4. CÉLULAS MASTÓIDEAS E
5. SEIO FRONTAL
1
2
3
4
5
88
Anatomia
1. CORPO CALOSO
2. CORNO ANTERIOR
DO VENTRÍCULO
LATERAL D
3. FISSURA DE SILVYUS 4. NÚCLEO
LENTICULADO
5. TERCEIRO
VENTRÍCULO
6. SEIO SAGITAL SUPERIOR
1
2
3
4 5
6

Tomography class