AVANÇOS NA NEUROCIRURGIA




                                      DJACIR FIGUEIRÊDO


                                         Neurocirurgia


Academia Nacional de Medicina

Rio de Janeiro, 21 de março de 2013
Histórico
• Civilização egípcia
   • Primeira referência escrita ao cérebro – 4200 AC
   • Papiro Edwin Smith – 3000 AC

   “Se examinares um homem com uma ferida na
   cabeça, com exposição e quebra do osso, deves
   palpar a ferida. Se achares algo macio como cobre
   derretido (...) como a porção mole da cabeça de um
   recém-nascido (...) e o paciente sofre com saída de
   sangue por suas narinas e rigidez no pescoço, deves
   declarar: uma moléstia a não ser tratada”

                                         Sac. Imhotep
Histórico

Hipócrates – 460 AC – Ilha de Cós

   Dissecções anatômicas de animais
   Localização das funções cognitivas no cérebro

  “Se a ferida aberta for do lado direito da cabeça,
  o lado esquerdo do corpo é que convulsiona (...)
  Morte ocorre em 7 – 14 dias.”

  Primeiras orientações escritas para trepanação –
  afundamento – com conceitos modernos
Trepination knife, Aztec 1200-
            1400
          ( TUMI )
Divisões
Anatomicas
Histórico

 Surgimento da Neurocirurgia como
          especialidade
             Séc. XIX


Surgimento da Neurocirurgia Moderna
              Séc. XX
RECENTES AVANÇOS


   SUBESPECIALIZAÇÕES E
    FORMAÇÃO DE GRUPOS
  MULTIDISCIPLINARES TEM
MELHORADO O TRATAMENTO DAS
    COMPLEXAS DOENÇAS
       NEUROLÓGICAS
RECENTES AVANÇOS


    APRIMORAMENTO DOS
 APARELHOS DE ESTEREOTAXIA
TEM MELHORADO A PRECISÃO NA
LOCALIZAÇÃO E A DELIMITAÇÃO
     DE ALVOS CEREBRAIS
CIRURGIA ESTEREOTÁXICA
le




     Title




                    Advances in Surgery l September 9, 2006 l 11
RECENTES AVANÇOS


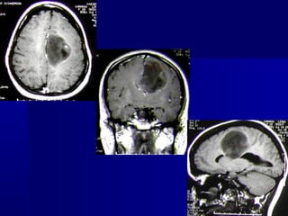
O SURGIMENTO DA RESSONÂNCIA
MAGNÉTICA INTRAOPERATÓRIA
FACILITA CHECAR A COMPLETA
RESSECÇÃO DE TUMORES QUE SE
   CONFUNDEM COM O TECIDO
     CEREBRAL (GLIOMAS)
RECENTES AVANÇOS


 A CIRURGIA DE COLUNA ESTÁ
SE TORNANDO UMA DISCIPLINA
  SEPARADA INCORPORANDO
   TÉCNICAS ORTOPÉDICAS E
      NEUROCIRURGICAS
COAGULADOR


 BIPOLAR
U
A   L
S   T
P   R
I   A
R   S
A   O
D   N
O   I
R   C
    O
RECENTES AVANÇOS


A NEUROENDOSCOPIA TEM SIDO
EFICAZ EM ALGUMAS FORMAS DE
  HIDROCEFALIA E EM ALGUNS
  TUMORES INTRACRANIANOS
AS IMAGENS SÃO OBTIDAS
         ATRAVÉS
DE UMA CANULA CONECTADA A
           UMA
    FIBRA ÓPTICA E UMA
       MICROCAMERA
RECENTES AVANÇOS

 A ESTIMULAÇÃO SUBTALÂMICA
     COM IMPLANTAÇÃO DE
MARCAPASSO PODE MELHORAR A
 SINTOMATOLOGIA DE DOENÇAS
RELACIONADAS A DISTÚRBIOS DO
MOVIMENTO SEM CAUSAR LESÃO
          CEREBRAL
D
B
S
ESTIMULAÇÃO

  VAGAL
Craniotomia Pterional (Fronto-têmporo-esfenoidal)

• Craniotomia mais usada para
acesso à base do crânio

• M. Gazi Yasargil – 1975

• Ampla remoção de osso permite
grande campo de visão / cirúrgico

• Acesso às cisternas da base,
polígono de Willis, tronco encefálico

• Aneurismas cerebrais, tumores
base crânio, patologias fronto-
temporais
MICROSCÓPIO CIRÚRGICO COM LUZ DE XENÔNIO
ANGIOTOMOGRAFIA
ANGIOTOMOGRAFIA
Angiorressonância Cerebral
ANEURISMA CEREBRAL
CIRURGIA OU EMBOLIZAÇÃO ?
ESTENOSE DE CARÓTIDA
H
I
D
R
O
C
E
F
A
L
I
A
VÁLVULAS PROGRAMÁVEIS P/ HIDROCEFALIA
PROGRAMADOR
BOMBA DE INFUSÃO
  DE FÁRMACOS
NEURONAVEGAÇÃO
Advances in Surgery l September 9, 2006 l 51
NEURONAVEGAÇÃO
R
A
D
I
O
C
I
R
U
R
G
I
A
R
A
D
I
O
C
I
R
U
R
G
I
A
R
A
D
I
O
C
I
R
U
R
G
I
A
Como minimizar riscos e
maximizar a ressecção ?

 Neuronavegação
 Mapeamento Funcional
 Imagem Intraoperatória
 Avanços nas Técnicas
 cirúrgicas
Dr. Djacir Figueirêdo "Evolução da neurocirurgia."
Dr. Djacir Figueirêdo "Evolução da neurocirurgia."

Dr. Djacir Figueirêdo "Evolução da neurocirurgia."