NEUROCIRURGIA:
Passado, presente e futuro
Carlos Frederico A. Rodrigues
Médico Neurocirurgião
NEUROCIRURGIA
• A Neurocirurgia é uma ciência cirúrgica
que se encarrega das afecções do SNC e
Periférico, bem como, dos seus
envoltórios.
• Sua área de atuação envolve patologias
traumáticas, tumorias, vasculares,
malformativas e degenerativas.
O PASSADO
• Neurocirurgia é talvez a mais antiga
prática da arte médica no sentido mais
amplo.
• Desde a pré-história os homens
compreenderam o cérebro como um órgão
central para a sobrevivência da espécie.
O PASSADO
• Durante o Mesolítico (por volta de 12.000
anos), o homem praticou sobre o crânio
dos seus semelhantes operações
cirúrgicas com objetos de silex: as
trepanações.
O PASSADO
• Essa prática ocorreu em toda a Europa,
sendo os casos mais famosos
encontrados no sul da França.
• Um dos único povos que não realizavam
trepanações eram os chineses, mas por
uma enorme reverência ao conteúdo
craniano: a caixa dos espíritos.
• Entretanto, essa prática se desenvolveu
ao redo do mundo.
O PASSADO
• A civilização pré-Inca utilizava métodos
elaborados de trepanação 2000 anos
antes de Cristo. Mastoidite, cefaléias, etc.
O PASSADO
• Na África, os Egípcios deixaram inúmeros
vestígios de exploração do encéfalo que
datam de mais de 3000 anos antes de
Cristo.
O PASSADO
• Quais os objetivos dessas trepanações?
• Não apenas rituais.
• Diversos trabalhos demonstram o objetivo
de tratar TCEs. Sobretudo os Incas (1/2
das trepanações)
• Outra hipótese é a de tratamento de
cefaléias, infecções, distúrbios
psiquiátricos etc.
O PASSADO
• A trepanação era realizada em todos os
ossos do crânio.
• O osso parietal era o mais comumente
implicado em todas as craniotomias
realizadas por todas as civilizações.
DA ANTIGUIDADE ATÉ A IDADE MÉDIA
Médicos e estudiosos de diversas áreas
se debruçam sobre o cérebro, já com o
intuito de entender seu funcionamento
biológico.
DA ANTIGUIDADE A IDADE MÉDIA
• Hipócrates (460-379 a.C.) pensava que o
cérebro era o centro das sensações e da
inteligência.
• Entretanto, Aristóteles (384 – 322 a.C)
considerava o coração como centro do
intelecto e o cérebro servia para resfriar o
sangue , aquecido pelo calor das
emoções.
A DÚVIDA É O PREÇO
DA SABEDORIA.
Aristóteles.
DA ANTIGUIDADE A IDADE MÉDIA
• Hipócrates praticava a trepanação e
conhecia o conceito de controle cruzado
da atividade motora pelo encéfalo. Por
isso, preconizava a trepanação do lado
oposto aos sintomas.
• Além de ´pai da medicina´ , foi um grande
ancestral da Neurocirurgia.
DA ANTIGUIDADE A IDADE MÉDIA
• Galeno – (120-300 d.C.) – Descreve
perfeitamente o influxo nervoso desde o
cérebro até o músculo.
DA ANTIGUIDADE A IDADE MÉDIA
• Ambroise Paré (século XVI , médico dos
Reis da França) – Excelentes descrições
de trepanações e de redução de fraturas
da coluna vertebral por tração.
IDADE MODERNA
• Século XIX.
• Inglaterra – Mc Ewen e Horsley
• Nascimento da nova disciplina – A
Neurocirurgia.
IDADE MODERNA
• 1879 – Mc Ewen opera um tumor frontal –
um meningioma – retirando-o através de
uma craniotomia.
IDADE MODERNA
• 1886 – Fundação da disciplina
oficialmente. – Horsley é nomeado para o
Hospital Nacional de Londres para operar
os ´paralíticos e epilépticos´ .
ATUALIDADE
• A mortalidade continuava alta.
• Em 1906 – Starr, estadunidense, notava
que apenas 5% dos tumores cerebrais
eram operados com sucesso.
ATUALIDADE
• Para a instalação de uma verdadeira neurocirurgia,
duas coisas eram necessárias:
• A edificação de uma medicina do Sistema
Nervoso, com conhecimento anatômico, fisiológico
e clínico.
• E o conhecimento de drogas que pudessem vencer
a barreira hematoencefálica ou que protegessem o
encéfalo após a abertura da meninge contra o risco
de infecção.
ATUALIDADE
• Séc. XX – a medicina e, por conseguinte,
a neurocirurgia absorvem o enorme
avanço técnico da humanidade.
• Numerosos neurocirurgiões (e médicos de
outras especialidades) contribuem para
isso.
ATUALIDADE
• Harvey Cushing – (1869 – 1939) – Torna-
se o verdadeiro pioneiro da neurocirurgia
atual.
• Após seus estudos em Harvard, ele vai
até Halsted (um famoso cirurgião) e em
1904 publica na academia médica de
Cleveland a obra: The special field of
neurological surgery. Um dos primeiros
livros textos da nova especialidade.
• Em 1931 – ele já tinha operado mais de
2000 pacientes com tumor cerebral.
ATUALIDADE
• W. Dandy – inventa em 1918 um dos
primeiros exames de imagem do SNC –
ventriculografia.
• O primero a obter sucesso na remoção de
lobos cerebrais acometidos por tumores
infiltrativos.
ATUALIDADE
• William Penfield – graças aos estímulos
corticais em pacientes despertos,
consegue montar um excelente mapa dos
centros cerebrais.
• Homúnculo de Penfield.
CONTEMPORÂNEO
• Para compreender o atual momento da
neurocirurgia, precisamos lembrar de 3
pontos principais:
• A neurorradiologia;
• O microscópio operatório;
• A neuroanestesia.
NEURORRADIOLOGIA
• Até a década de 70 do século passado os
exames neurológicos de investigação
eram: semiologia e exames
complementares eletrofisiológicos e de
imagem (ventriculografia, EEG e
angiografia) extremamente grosseiros.
• No início dos anos 70 é inventada, na
Inglaterra, uma nova aplicação
revolucionária para o Raio-x: a tomografia.
NEURORRADIOLOGIA
• Pela primeira vez podíamos visualizar, de
maneira direta e não invasiva, o conteúdo
intracraniano.
• Mas, a duração do exame era longa, mais
de 5 minutos para um corte do encéfalo.
• Com o desenvolvimento da informática e
na aquisição de imagens, os exames hoje
duram segundos.
NEURORRADIOLOGIA
• No início da década de 80 outra revolução
se procede: a Ressonância Magnética
Nuclear.
• Ela utiliza campos magnéticos, sem
radiação ionizante e permite através de
sofisticados programas de aquisição de
imagens cortes anatômicos extremamente
detalhados.
NEURORRADIOLOGIA
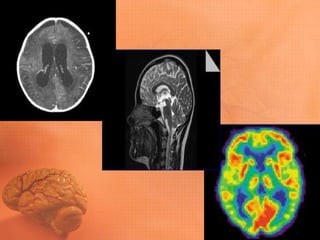
• Além dos métodos de imagem
morfológicos, vamos ver o
desenvolvimento dos métodos funcionais.
• Permitem a localização anatômica e
também das principais funções cerebrais.
• PET SCAN
• Neuronavegação – localização trans-
operatória.
MICROSCÓPIO OPERATÓRIO
• Para neurocirurgia, lupas cirúrgicas são
insuficientes.
• Nos meados da década de 60 o notável
desenvolvimento dos microscópios
operatórios propiciou um salto para a
cirurgia neurológica.
MICROSCÓPIO OPERATÓRIO
• Permite acoplar sistemas de vídeo.
• Hoje está acoplado aos sistemas de
neuronavegação.
• O planejamento e execução de um acesso
a qualquer parte do encéfalo, tornou-se
possível.
NEUROANAESTESIA
• Mais do que a analgesia peri-operatória, a
função do anestesista é a neuroproteção.
• O cérebro é um ávido consumidor de
glicose – recebe 20% do débito cardíaco e
corresponde apenas a 1,5% do peso
corporal.
• Colocar o cérebro em repouso,
preservando suas funções e permitindo o
trabalho do neurocirurgião.
NEUROANESTESIA
• Esse é o mesmo objetivo do
neurointensivismo.
• Proteção cerebral – inúmeras moléculas
estão sendo testadas, nenhuma com
grande efetividade.
O FUTURO
• A Neurocirurgia, como outras especialidades
cirúrgicas, tende a desaparecer?
• A ´palavra chave´ hoje é minimamente invasivo.
• Pesquisa de terapia gênicas e biologia molecular.
• Claro que sempre teremos o trauma e tratamentos
para doenças crônicas.
OBRIGADO
rodriguescfa@hotmail.com

Neurocirurgia

  • 1.
    NEUROCIRURGIA: Passado, presente efuturo Carlos Frederico A. Rodrigues Médico Neurocirurgião
  • 2.
    NEUROCIRURGIA • A Neurocirurgiaé uma ciência cirúrgica que se encarrega das afecções do SNC e Periférico, bem como, dos seus envoltórios. • Sua área de atuação envolve patologias traumáticas, tumorias, vasculares, malformativas e degenerativas.
  • 3.
    O PASSADO • Neurocirurgiaé talvez a mais antiga prática da arte médica no sentido mais amplo. • Desde a pré-história os homens compreenderam o cérebro como um órgão central para a sobrevivência da espécie.
  • 4.
    O PASSADO • Duranteo Mesolítico (por volta de 12.000 anos), o homem praticou sobre o crânio dos seus semelhantes operações cirúrgicas com objetos de silex: as trepanações.
  • 5.
    O PASSADO • Essaprática ocorreu em toda a Europa, sendo os casos mais famosos encontrados no sul da França. • Um dos único povos que não realizavam trepanações eram os chineses, mas por uma enorme reverência ao conteúdo craniano: a caixa dos espíritos. • Entretanto, essa prática se desenvolveu ao redo do mundo.
  • 6.
    O PASSADO • Acivilização pré-Inca utilizava métodos elaborados de trepanação 2000 anos antes de Cristo. Mastoidite, cefaléias, etc.
  • 7.
    O PASSADO • NaÁfrica, os Egípcios deixaram inúmeros vestígios de exploração do encéfalo que datam de mais de 3000 anos antes de Cristo.
  • 8.
    O PASSADO • Quaisos objetivos dessas trepanações? • Não apenas rituais. • Diversos trabalhos demonstram o objetivo de tratar TCEs. Sobretudo os Incas (1/2 das trepanações) • Outra hipótese é a de tratamento de cefaléias, infecções, distúrbios psiquiátricos etc.
  • 9.
    O PASSADO • Atrepanação era realizada em todos os ossos do crânio. • O osso parietal era o mais comumente implicado em todas as craniotomias realizadas por todas as civilizações.
  • 10.
    DA ANTIGUIDADE ATÉA IDADE MÉDIA Médicos e estudiosos de diversas áreas se debruçam sobre o cérebro, já com o intuito de entender seu funcionamento biológico.
  • 11.
    DA ANTIGUIDADE AIDADE MÉDIA • Hipócrates (460-379 a.C.) pensava que o cérebro era o centro das sensações e da inteligência. • Entretanto, Aristóteles (384 – 322 a.C) considerava o coração como centro do intelecto e o cérebro servia para resfriar o sangue , aquecido pelo calor das emoções. A DÚVIDA É O PREÇO DA SABEDORIA. Aristóteles.
  • 12.
    DA ANTIGUIDADE AIDADE MÉDIA • Hipócrates praticava a trepanação e conhecia o conceito de controle cruzado da atividade motora pelo encéfalo. Por isso, preconizava a trepanação do lado oposto aos sintomas. • Além de ´pai da medicina´ , foi um grande ancestral da Neurocirurgia.
  • 13.
    DA ANTIGUIDADE AIDADE MÉDIA • Galeno – (120-300 d.C.) – Descreve perfeitamente o influxo nervoso desde o cérebro até o músculo.
  • 14.
    DA ANTIGUIDADE AIDADE MÉDIA • Ambroise Paré (século XVI , médico dos Reis da França) – Excelentes descrições de trepanações e de redução de fraturas da coluna vertebral por tração.
  • 15.
    IDADE MODERNA • SéculoXIX. • Inglaterra – Mc Ewen e Horsley • Nascimento da nova disciplina – A Neurocirurgia.
  • 16.
    IDADE MODERNA • 1879– Mc Ewen opera um tumor frontal – um meningioma – retirando-o através de uma craniotomia.
  • 17.
    IDADE MODERNA • 1886– Fundação da disciplina oficialmente. – Horsley é nomeado para o Hospital Nacional de Londres para operar os ´paralíticos e epilépticos´ .
  • 18.
    ATUALIDADE • A mortalidadecontinuava alta. • Em 1906 – Starr, estadunidense, notava que apenas 5% dos tumores cerebrais eram operados com sucesso.
  • 19.
    ATUALIDADE • Para ainstalação de uma verdadeira neurocirurgia, duas coisas eram necessárias: • A edificação de uma medicina do Sistema Nervoso, com conhecimento anatômico, fisiológico e clínico. • E o conhecimento de drogas que pudessem vencer a barreira hematoencefálica ou que protegessem o encéfalo após a abertura da meninge contra o risco de infecção.
  • 20.
    ATUALIDADE • Séc. XX– a medicina e, por conseguinte, a neurocirurgia absorvem o enorme avanço técnico da humanidade. • Numerosos neurocirurgiões (e médicos de outras especialidades) contribuem para isso.
  • 21.
    ATUALIDADE • Harvey Cushing– (1869 – 1939) – Torna- se o verdadeiro pioneiro da neurocirurgia atual. • Após seus estudos em Harvard, ele vai até Halsted (um famoso cirurgião) e em 1904 publica na academia médica de Cleveland a obra: The special field of neurological surgery. Um dos primeiros livros textos da nova especialidade. • Em 1931 – ele já tinha operado mais de 2000 pacientes com tumor cerebral.
  • 23.
    ATUALIDADE • W. Dandy– inventa em 1918 um dos primeiros exames de imagem do SNC – ventriculografia. • O primero a obter sucesso na remoção de lobos cerebrais acometidos por tumores infiltrativos.
  • 25.
    ATUALIDADE • William Penfield– graças aos estímulos corticais em pacientes despertos, consegue montar um excelente mapa dos centros cerebrais. • Homúnculo de Penfield.
  • 27.
    CONTEMPORÂNEO • Para compreendero atual momento da neurocirurgia, precisamos lembrar de 3 pontos principais: • A neurorradiologia; • O microscópio operatório; • A neuroanestesia.
  • 28.
    NEURORRADIOLOGIA • Até adécada de 70 do século passado os exames neurológicos de investigação eram: semiologia e exames complementares eletrofisiológicos e de imagem (ventriculografia, EEG e angiografia) extremamente grosseiros. • No início dos anos 70 é inventada, na Inglaterra, uma nova aplicação revolucionária para o Raio-x: a tomografia.
  • 29.
    NEURORRADIOLOGIA • Pela primeiravez podíamos visualizar, de maneira direta e não invasiva, o conteúdo intracraniano. • Mas, a duração do exame era longa, mais de 5 minutos para um corte do encéfalo. • Com o desenvolvimento da informática e na aquisição de imagens, os exames hoje duram segundos.
  • 30.
    NEURORRADIOLOGIA • No inícioda década de 80 outra revolução se procede: a Ressonância Magnética Nuclear. • Ela utiliza campos magnéticos, sem radiação ionizante e permite através de sofisticados programas de aquisição de imagens cortes anatômicos extremamente detalhados.
  • 31.
    NEURORRADIOLOGIA • Além dosmétodos de imagem morfológicos, vamos ver o desenvolvimento dos métodos funcionais. • Permitem a localização anatômica e também das principais funções cerebrais. • PET SCAN • Neuronavegação – localização trans- operatória.
  • 34.
    MICROSCÓPIO OPERATÓRIO • Paraneurocirurgia, lupas cirúrgicas são insuficientes. • Nos meados da década de 60 o notável desenvolvimento dos microscópios operatórios propiciou um salto para a cirurgia neurológica.
  • 35.
    MICROSCÓPIO OPERATÓRIO • Permiteacoplar sistemas de vídeo. • Hoje está acoplado aos sistemas de neuronavegação. • O planejamento e execução de um acesso a qualquer parte do encéfalo, tornou-se possível.
  • 37.
    NEUROANAESTESIA • Mais doque a analgesia peri-operatória, a função do anestesista é a neuroproteção. • O cérebro é um ávido consumidor de glicose – recebe 20% do débito cardíaco e corresponde apenas a 1,5% do peso corporal. • Colocar o cérebro em repouso, preservando suas funções e permitindo o trabalho do neurocirurgião.
  • 38.
    NEUROANESTESIA • Esse éo mesmo objetivo do neurointensivismo. • Proteção cerebral – inúmeras moléculas estão sendo testadas, nenhuma com grande efetividade.
  • 39.
    O FUTURO • ANeurocirurgia, como outras especialidades cirúrgicas, tende a desaparecer? • A ´palavra chave´ hoje é minimamente invasivo. • Pesquisa de terapia gênicas e biologia molecular. • Claro que sempre teremos o trauma e tratamentos para doenças crônicas.
  • 40.