Semiologia Ortopédica para Médico Assistente e Perito Médico
Prof. Dr. José Heitor Machado Fernandes
2ª
V
E
R
S
Ã
O
DO
H
I
P
E
R
T
E
X
T
O
Módulos
• Módulo 1 - Semiologia Ortopédica Pericial
• Módulo 2 – Termos Ortopédicos Comuns
• Módulo 3 – Doença Musculoesquelética
• Módulo 4 – Distúrbios Ortopédicos Gerais
• Módulo 5 – Exame Clínico
• Módulo 6- Marcha Humana (resumo)
• Módulo 7- Exame Físico Ortopédico
• Módulo 8 - Articulação Temporomandibular
• Módulo 9 – Coluna Cervical
• Módulo 10 – Testes Físicos Especiais
• Módulo 11 – Coluna Torácica e Lombar
• Módulo 12 – Articulações Sacroilíacas
• Módulo 13 – Ombros
• Módulo 14 – Cotovelos
• Módulo 15 – Antebraços
• Módulo 16 - Punhos e Mãos
• Módulo 17 - Quadril
• Módulo 18 – Joelhos e Pernas
• Módulo 19 – Pés e Tornozelos
• Módulo 20 - Trauma Ortopédico
• Módulo 21 – Radiologia do Aparelho Locomotor
• Módulo 22 – Dificuldades do Exame Físico Pericial
• Módulo 23- Principais DORTs da nossa comunidade
• Módulo 24 – Crédito de Imagens &
Referências Bibliográficas
• Módulo 25 – Relação de Vídeos, na Internet, sobre
Exame Físico do Aparelho Locomotor
• Epílogo
Módulos
COTOVELOS
Assuntos do Módulo 14
COTOVELOS - 1
1- Anatomia do cotovelo
2- Rota dos nervos (musculocutâneo, radial, mediano e ulnar)
3- Diagrama para dor no cotovelo
4- Dor referida ao cotovelo
5- Comentários clínicos sobre cotovelo
6- Exame físico (Inspeção, palpação, mobilidade, força muscular, mensuração
angular,
testes especiais, exame neurológico)
7- Principais funções do cotovelo
8- Ângulo de carga ou ângulo de carregação
9- Patologias do cotovelo (Instabilidade articular, artrose do cotovelo
10- Artroplastia total de cotovelo
11- Fratura supracondiliana do úmero e sua sequela
12- Miosite ossificante, Pronação dolorosa, Cotovelo de tenista, Cotovelo de
golfista
13- Bursite séptica olecraniana, tofos gotosos, nódulos reumatóides
Assuntos do Módulo 14
COTOVELOS - 2
14- Síndrome do túnel ulnar
15- Ruptura do tendão distal do Bíceps
16- Patologia do punho, do ombro e da coluna cervical podem referir sintomas
(dor) ao cotovelo
17- Radiologia do sistema musculoesquelético
18- Estudo de casos semiológicos de ombro
19- Apresentação de casos clínicos
20- Medscape – artigos de cirurgia ortopédica para cotovelo
ANATOMIA / Braço (posterior)
Fonte: Musculoskeletal Atlas-Carol Teitz, MD and Dan Graney, PhD
© 1996-2007 University of Washington, Seattle WA USA
Braço - Bíceps
Braço (anterior)
Nervos
Fonte: Musculoskeletal Atlas-Carol Teitz, MD and Dan Graney, PhD
© 1996-2007 University of Washington, Seattle WA USA
09/12/2015 Dr. José Heitor M. Fernandes 11
Cotovelo - anterior
Fonte: Musculoskeletal Atlas-Carol Teitz, MD and Dan Graney, PhD
© 1996-2007 University of Washington, Seattle WA USA
figura
Cotovelo - posterior
figura
Cotovelo - lateral
Cotovelo - medial
Fonte: Musculoskeletal Atlas-Carol Teitz, MD and Dan Graney, PhD
© 1996-2007 University of Washington, Seattle WA USA
Flexores do antebraço – camada superficial
Fonte: Musculoskeletal Atlas-Carol Teitz, MD and Dan Graney, PhD
© 1996-2007 University of Washington, Seattle WA USA
figura
Flexores – camada intermediária
Flexores – camada profunda
Extensores longos
Extensores curtos
Nervo Radial
Fonte: Musculoskeletal Atlas-Carol Teitz, MD and Dan Graney, PhD
© 1996-2007 University of Washington, Seattle WA USA
figura
Frolich, Human Anatomy,UpprLimb
Compartimento Posterior do Antebraço
Extensor digitorum
Extensor carpi ulnaris
Ext Carpi Radialis Longus
Brachioradialis
Epicôndilo Lateral
Vista Posterior
Frolich, Human Anatomy,UpprLimb
Compartimento Anterior do Antebraço
Flexor Carpi Radialis
Flexor Retinaculum
Epicôndilo Medial
Flexor Digitorum Superficialis é
profundo aos outros flexores
Flexor Carpi Ulnaris
Brachioradialis
Pronator Teres
Vista Anterior
Frolich, Human Anatomy,UpprLimb
Rotas dos nervos (no humano)
• Musc.cutâneo: entre o biceps brachii e o brachialis;
• Mediano: medial/posterior ao bíceps, ramos para os
flexores do antebraço, no cotovelo e para a mão, através
do túnel do carpo;
– Mediano recorrente : (superficial no punho para o polegar sobre
a eminência tenar) déficit – mão de símio
• Ulnar: medial no braço, posterior ao epicôndilo medial
do úmero para baixo, medialmente, no antebraço,
medialmente ao túnel do carpo para a palma da mão;
• Radial: posterior profundo no braço, ao redor do
epicôndilo lateral do úmero, para o antebraço (ramos
profundo e superficial)
Frolich, Human Anatomy,UpprLimb
Suprimento Vascular
• Subclávia→axilar→radial
(mesmo caminhp, novo
caminho sempre sinal de
bloqueio)
• Circulação colateral
– Circunflexa umeral
posterior/anterior
– A. braquial profunda
• A.radial (com n. mediano)
→arco palmar profundo
• A. ulnar (com n. ulnar ) →
arco palmar superficial
Frolich, Human Anatomy,UpprLimb
• Posterior Compartment— posterior cord
• Anterior compartment— medial, lateral cords
• Name of cord is relative to axillary artery
Plexo Braquial
Frolich, Human Anatomy,UpprLimb
Nervo Ulnar
Artéria Braquial
Nerve Mediano
Nervo Ulnar
Nervo Mediano
Artéria Radial
Nervo Musculocutaneous Artéria Ulnar
Onde está o nervo radial?
Frolich, Human Anatomy,UpprLimb
Axila
• Região entre o braço e o tórax
• Limites
– Ventral – músculos peitorais
– Dorsal = latissimus dorsi, teres major
subscapularis
– Medial = serratus ventralis
– Lateral = goteira bicipital do úmero
• Conteúdo
– Nódulos linfáticos axilares , Vasos axilares
Plexo Braquial
Frolich, Human Anatomy,UpprLimb
Anatomia de Superfície do Membro Superior
• Biceps + Triceps brachii
• Processo Olécrano
• Epicôndilo Medial
• Fossa Cubital
– Superfície anterior do
cotovelo
- Conteúdo:
• Veia Cubital Mediana
• Artéria Braquial
• Nervo Mediano
- Limites:
• Medial= Pronator teres
• Lateral= Brachioradialis
• Superior=Linha entre epicôndilos
Frolich, Human Anatomy,UpprLimb
Anatomia de
Superfície do
Membro Superior
• Túnel do Carpo (face volar)
– Concavidade Carpal
anteriormente;
– Ligamento carpal
(retináculo dos flexores)
cobre essa concavidade;
– Conteúdo: 9 tendões
flexores, nervo Mediano
– Inflamação da sinóvia dos
tendões = compressão do
Nervo Mediano
• Tabaqueira Anatômica
– Lateral = E.pollicis brevis
– Medial = E. pollicis longus
– Assoalho = escafóide,
estilóide do rádio
– Conteúdo Artéria Radial
(pulso radial)
COTOVELO – Diagrama da Dor
Encarceramento do
nervo ulnar
Fratura da diáfise umeral
Fratura da
cabeça do rádio
Bursite do olécrano
09/12/2015 Dr. José Heitor M. Fernandes 33
Dor referida ao cotovelo
• O principal papel do cotovelo no complexo do membro superior é ajudar a
posicionar a mão adequadamente para desempenhar sua função.
• Após o ombro ter posicionado a mão grosseiramente, o cotovelo permite
ajustes de altura e comprimento para que a mão seja posicionada
corretamente.
• Além disso, o antebraço roda, em parte, na altura do cotovelo, e coloca a
mão na posição mais eficaz para desempenhar sua função.
• O cotovelo consiste em um conjunto de articulações que exige uma
avaliação cuidadosa para a instituição do tratamento adequado.
• O tratamento deve ser direcionado à condição patológica, uma vez que a
articulação responde mal ao trauma, ao tratamento forçado ou ao
tratamento incorreto.
• Por estarem intimamente relacionadas, as articulações do complexo do
cotovelo formam uma articulação sinovial composta.
Por essa razão, uma lesão em qualquer das partes afeta também os outros
componentes.
• Problemas de “cotovelo do tenista” (epicondilite lateral)
usualmente ocorrem em indivíduos com 35 anos de idade ou
mais e naqueles que realizam muita flexão e extensão do
punho em suas ocupações ou realizam atividades que exigem
a estabilização do punho em ligeira extensão (posição
funcional).
• Quando a anamnese indica um problema do cotovelo de
início insidioso, o examinador deve despender tempo para
observar a postura corporal do paciente, particularmente as
áreas do pescoço e dos ombros, devido à possibilidade de
sintomas referidos.
• Freqüentemente, para proteção, os pacientes seguram o
cotovelo pela face lateral (posição de repouso) e seguram o
punho, especialmente em condições traumáticas.
• O examinador deve anotar a presença e localização de
qualquer formigamento ou hipoestesia para referência
quando investigar, durante o exame, os demátomos e a
distribuíção nervosa periférica.
• Mecanismo da Lesão de cotovelo
- Em geral o paciente se lembra da sua posição no momento
da lesão (trauma).
- Certos mecanismo de lesão resultam em padrões
característicos:
1) Queda sobre uma das mãos esticadas :
* fratura supracondilar
* luxação posterior de cotovelo
* fratura da cabeça do rádio
2) Pancada direta no cotovelo:
* fratura do olécrano
3) Queda sobre o cotovelo flexionado:
* fratura supracondilar
* Luxação anterior de cotovelo
* fratura do capitelo
• Os tendões que realizam os movimentos do cotovelo, o bíceps e o tríceps,
podem sofrer rupturas.
• As epicondilites lateral e medial são causas frequentes de dor, podendo
incapacitar atividades esportivas e profissionais.
• As síndromes compressivas do cotovelo também são causas de dor e
parestesias.
• As compressões do nervo ulnar , do interósseo posterior e do mediano
são as mais frequentes.
• A artrite reumatóide é uma doença sistêmica progressiva que
compromete o tecido sinovial, e o cotovelo entre outras articulações.
• AXIOMAS NA AVALIAÇÃO DO COTOVELO
• O cotovelo é uma articulação em dobradiça complexa.
• O cotovelo é essencial para o posicionamento e uso completo
da mão.
• Lesões de tecidos moles, tais como epicondilite lateral e
bursite do olécrano, ocorrem mais frequentemente que
doença articular.
• O diagnóstico das doenças do cotovelo está em grande parte
baseado na presença de dor, na localização do inchaço, na dor
à palpação pontual e nos resultados deestudos de amplitude
de movimenrto.
Cotovelos
• 1. Inspecione os cotovelos nas posições de flexão e extensão
para observar:
- Contorno
- Ângulo de carregamento ( 5 a 15 graus)
• 2. Palpe a superfície extensora da ulna, olécrano e faces
medial e lateral dos epicôndilos do úmero.
• 3. Teste a amplitude dos movimentos através das seguines
manobras:
- Flexão (160 graus)
- Extensão (180 graus)
- Pronação e supinação (90 graus)
Cotovelos
• Na propedêutica do cotovelo, ahistória clínica e o exame físico sdão
fundamentais para fazer uma hipótese diagnóstica de uma patologia, porém
o exame de imagem fornece informações úteis e imprescindíveis para definir
o diagnóstico e orientar o tratamento.
• O diagnóstico de uma síndrome compressiva compreende o conhecimentoi
anatômico, a anamnese, o exame físico e exames de eletroneurodiagnóstico.
(Para o estudo detalhado das neuropatias compressivas ver o módulo 15 –
anetbraços)
• Os exames de imagens úteis para o estudo dessa articulação são as
radiografias simples, as artrografias, a ultra-sonografia (US), a tomografia
computadorizada (TC), a cintilografia e a ressonância nuclear magnética.
(RNM)
Cotovelos
• As lesões traumáticas e as artrites inflamatórias do cotovelo podem conduzir
a uma articulação dolorosa e com restrições permanentes dos movimentos.
Essas limitações podem levar a uma perda da mobilidade do membro
superior para a maior parte de suas atividades.
• A rigidez de cotovelo é uma deformidade de causas multifatoriais, com
componentes extra-articulares, intra-articulares ou com uma associação de
ambos.
Alterações como lesões cerebrais e disfunções periféricas também podem
contribuir para a limitação dos movimentos do cotovelo.
A rigidez de cotovelo é definida como a diminuição da extensão maior que
30 graus e uma flexão menor que 120 graus.
As perdas dos movimentos de pronação e de supinação não são
consideradas como rigidez de cotovelo, por estarem relacionadas mais com a
rotação do antebraço.
EXAME FÍSICO DETALHADO DO COTOVELO
1. Introdução- Articulação do Cotovelo
Articulação em dobradiça
Funcionamento da mão
Orientação da mão- Pronação e Supinação
Tarefas de flexão e extensão.
2. Exame Ortopédico do Cotovelo- História
Dor com história de uso excessivo
Dor com história de trauma
Dor sem história de uso excessivo
Dor sem história de uso excessivo + Irradiação para a mão
3. Inspeção
Atitude postural global
Paciente sentado
Hipotrofias
Edema(Bolsa Olecraniana/ Traumatismos/A.Reumatóide/A.Gotosa)
Ângulo de Carregamento- Ângulo Valgo
Ângulos – Simétricos
Deformidade em Rifle
Presença de Abaulamentos - Localizada/Difusa
Pregas cutâneas
Aspecto da pele
4. Palpação
Posicionamento do paciente e examinador
Paciente sentado
Presença de crepitações(Artrose)
Sinais Inflamatórios
Áreas doloridas( Epicôndilos)
Palpar olécrano/epicôndilo medial e lateral
5. Arco de movimento
Ativo e Passivo
Dor à ADM
Restrição de ADM
Movimentos compensatórios
Presença de ADMs normais ativos( Excluir presença de doenças capsulares ou sinoviais)
5.1. Mensuração angular
Flexão/Extensão do cotovelo
Pronação/ Supinação do antebraço
6. Teste de força muscular manual
Flexores/ Extensores/ Pronadores/ Supinadores
6.1 Mensuração linear
Perimetria
7. Testes específicos do cotovelo
a) Testes para Epicondilite Lateral – Cotovelo de Tenista
Teste de Cozen
Teste de Mill
Teste da extensão do 3º QDD
b) Teste para Epicondilite Medial- Cotovelo de Golfista
Teste para Cotovelo de Golfista
c) Teste para Instabilidade Ligamentar
Teste de Esforço de Adução
Teste de Esforço de Abdução
d) Testes para Neurite
Sinal de Tinel do Cotovelo
Sinal de Wartenberg
Teste de Flexão do Cotovelo
Teste de Preensão em Pinça
8. Exame neurológico das raízes do plexo braquial
• PRINCIPAIS FUNÇÕES DO COTOVELO
• 1- Ajudar no posicionamento da mão em localizações
apropriadas.
• 2- Ajustar a altura e o comprimento do membro.
• 3- Estabilizar a extremidade superior para atividades de
trabalho motor delicadas e de força.
• 4- Prover fulcro para o braço em levantamento de cargas.
Anatomia do cotovelo (vista lateral)
Anatomia do cotovelo (vista posterior).
Palpação do epicôndilo medial do úmero.
Fonte: Stanley Hoppenfeld – Exame Físico da coluna e extremidades.
A e B Face superior do cotovelo
A. Prega de flexão do cotovelo; B. veia cefálica; C. veia basílica; D. veia mediana do antebraço; E. veia
mediana basílica; F. epicôndilo medial; G. m. bíceps braquial; H. m. braquiorradial
Reider, O Exame Físico em Ortopedia – Guanabara Koogan -2001
A e B Face superior do cotovelo
A. Prega de flexão do cotovelo; B. veia cefálica; C. veia
basílica; D. veia mediana do antebraço; E. veia mediana
basílica; F. epicôndilo medial; G. m. bíceps braquial; H. m.
braquiorradial
Reider, O Exame Físico em Ortopedia – Guanabara Koogan -2001
Face anterior do cotovelo durante a flexão contra-resistência
(a seta indica o lacerto fibroso)
Reider, O Exame Físico em Ortopedia – Guanabara Koogan -2001
A e B Face posterior do cotovelo
A. olécrano; B. epicôndilo medial; C. epicôndilo lateral; D. m. tríceps braquial; E.
m. braquiorradial; F. m. extensor radial longo do carpo; G. fossa do olécrano.
Reider, O Exame Físico em Ortopedia – Guanabara Koogan -2001
C Face posterior do cotovelo
A. olécrano; B. epicôndilo medial; C.
epicôndilo lateral; D. m. tríceps braquial; E. m.
braquiorradial; F. m. extensor radial longo do
carpo; G. fossa do olécrano.
Reider, O Exame Físico em Ortopedia – Guanabara Koogan -2001
A e B Face lateral do cotovelo
A. olécrano; B. epicôndilo lateral; C. cabeça do rádio.
A
Reider, O Exame Físico em Ortopedia – Guanabara Koogan -2001
C Face lateral do cotovelo
A. olécrano; B. epicôndilo medial; C.
epicôndilo lateral; D. m. tríceps braquial; E. m.
braquiorradial; F. m. extensor radial longo do
carpo; G. fossa do olécrano.
Reider, O Exame Físico em Ortopedia – Guanabara Koogan -2001
A e B Face medial do cotovelo
A. olécrano; B. epicôndilo medial; C. m. bíceps braquial; D. septo intermuscular; E.
m. tríceps braquial; F. túnel cubital.
F
Reider, O Exame Físico em Ortopedia – Guanabara Koogan -2001
C Face medial do cotovelo
A. olécrano; B. epicôndilo medial; C. m.
bíceps braquial; D. septo intermuscular; E.
m. tríceps braquial; F. túnel cubital.
Reider, O Exame Físico em Ortopedia – Guanabara Koogan -2001
Palpação do Cotovelo
Palpação dos sulcos do processo do olécrano.
Edema do Cotovelo causado por processo inflamatório intra-
articular. Desaparecem os pontos de referência óssea.
Palpação da linha medial supracondilar do úmero.
Palpação do olécrano.
Método linear de palpação da borda posterior ulnar.
Palpação da borda ulnar e da fossa olecraniana.
Fonte: Stanley Hoppenfeld – Exame Físico da coluna e extremidades.
Fossa Olecraniana
Fonte: Stanley Hoppenfeld – Exame Físico da coluna e extremidades.
Palpação do epicôndilo lateral do úmero.
Linha lateral supracondiliana do úmero.
Quando o cotovelo está fletido, o olécrano e os epicôndilos medial e lateral formam
um triângulo isósceles.
Quando o cotovelo está estendido, os pontos sobre o olécrano e sobre os epicôndilos
formam uma linha reta.
09/12/2015 65
Relação entre os epicôndilos medial e lateral e o
olécrano no:
Cotovelo em extensão Cotovelo em flexão
A cabeça radial situa-se entre uma depressão medial e posterior ao
grupo muscular extensor do punho.
Palpação da cabeça radial: supinação e pronação do antebraço rota a
cabeça radial embaixo do polegar
Palpação do nervo ulnar no túnel do ulnar, entre o epicôndilo
medial e o olécrano.
Flexores-pronadores do punho.
Palpação do flexores do punho.
A “massa móvel de três” – extensores do punho (braquioradial,
extensor radial longo do carpo, extensor radial curto do carpo).
Palpação do braquioradial.
O ligamento anular – esse ligamento está inserido junto ao ligamento
colateral lateral e cobre o colo e a cabeça radial mantendo-os na
articulação radio-ulnar.
A fossa cubital ou ulnar ( é um espaço triangular limitado
lateralmente pelo braquioradial e medialmente pelo pronador
redondo. A base da fossa é limitada por uma linha imaginária entre
os epicôndilos umerais).
Posição de função do cotovelo
09/12/2015 Dr. José Heitor M. Fernandes 73
RX normal do
antebraço
09/12/2015 Dr. José Heitor M. Fernandes 74
Movimentos do Cotovelo e do Antebraço
Amplitude de movimento do cotovelo.
A – Flexão e Extensão. B- Pronação e supinação.
09/12/2015 Dr. José Heitor M. Fernandes 76
Cotovelo - Amplitude Articular: 0-145°
09/12/2015 Dr. José Heitor M. Fernandes 77
A amplitude normal de flexão do cotovelo é de 0 a 145°
O Arco Funcional de
movimento é um
pouco menor, a
maioria das atividades
pode ser
desempenhadas com
flexão de 30 a 130°
09/12/2015 Dr. José Heitor M. Fernandes 78
Os movimentos de pronação e supinação são em
média de 75 e 85°
A maioria das atividades de vida diária pode ser executada com 50° de cada
movimento
Flexão (Ativo Resistido)
Fonte: Profa. Dra. Sílvia Maria Amado João
Extensão (Ativo Resistido)
Fonte: Profa. Dra. Sílvia Maria Amado João
Pronação (Ativo Resistido)
Fonte: Profa. Dra. Sílvia Maria Amado João
Supinação (Ativo Resistido)
Fonte: Profa. Dra. Sílvia Maria Amado João
Avaliação da Força Muscular - Bíceps
Fonte: Profa. Dra. Sílvia Maria Amado João
figura
09/12/2015 Dr. José Heitor M. Fernandes 84
09/12/2015 Dr. José Heitor M. Fernandes 85
Exame Clínico Ortopédico -Cotovelo
• INSTABILIDADE DO COTOVELO
• A instabilidade medial pode ocorrer em atletas que, durante o jogo,
exponham o cotovelo a graves estresses em valgo, por exemplo,
lançadores de dardo e arremessadores de beisebol.
Em tais casos, pode haver estiramento dos ligamentos colaterais ulnares,
ou mesmo ruptura.
Casos moderados podem melhorar com o descanso, porém alguns podem
necessitar de reconstrução, quando se deseja continuar a prática da
atividade.
Observa-se , também, instabilidade na artrite reumatóide, na síndrome
de Ehers-Danlos e na doença de Charcot.
Fonte: McRae,R; Clinical Orthopaedic Examination, Elsevier Ltd. - 2010
Ângulo de carga normal
do cotovelo: entre 5 e 15
graus
Ângulo de Carga
Fonte: Stanley Hoppenfeld – Exame Físico da coluna e extremidades.
09/12/2015 Dr. José Heitor M. Fernandes 89
Ângulo de Carga ou de Carregação
Nos homens o ângulo normal é
de 5 a 10 °
Nas mulheres é de 10 a 15°
Ângulo maior que 15° = cubitus
valgus
Ângulo menor que 5 a10° =
cubitus varus
figura
09/12/2015 Dr. José Heitor M. Fernandes 90
Exame Clínico Ortopédico -Cotovelo
• DESVIO EM VARO E VALGO
• Uma diminuição ou aumento do ângulo de transporte do cotovelo
geralmente é consequente de uma fratura supracondilar ou outro tipo de
fratura ocorrida durante a infância.
Embora a criança normal apresente grande poder de recuperação
espontânea após uma lesão, é possível que algum dano epifisário
permaneça sem ser corrigido; nos casos em que há evidência no ângulo de
transporte, a criança deve continuar sob observação por alguns anos.
Se a correção espontânea não acontecer, ou mesmo se houver
deterioração, e a deformidade estiver muito acentuada, pode ser realizada
uma correção por osteotomia.
Posteriormente, ao longo da vida, qualquer uma dessas deformidades
resultará em paralisia ulnar tardia.
Fonte: McRae,R; Clinical Orthopaedic Examination, Elsevier Ltd. - 2010
Reflexos nervosos: bicipital C5; braquioradial C6
Fonte: Stanley Hoppenfeld – Exame Físico da coluna e extremidades.
C5
C6
Reflexos nervosos: tricipital C7
C7
Fonte: Stanley Hoppenfeld – Exame Físico da coluna e extremidades.
A sensibilidade ao redor do cotovelo é controlada por quatro suprimentos
nervosos diferentes: C5, C6, C8 e T1
José Heitor Machado
Fernandes
95
Distribuíção dos nervos sensitivos ao redor do
cotovelo
1- N.cutâneo lateral
inferior do braço
2-N.cutâneo medial
do braço
3- N. cutâneo medial
do antebraço
4-N. cutâneo lateral
do antebraço
5- N. cutâneo
posterior do
antebraço
Patologia do punho, do ombro e da coluna cervical podem
referir sintomas (dor) ao cotovelo.
PATOLOGIAS DO COTOVELO
09/12/2015 Dr. José Heitor M. Fernandes 98
Instabilidade articular do Cotovelo
• Apesar de a anatomia dos ossos fornecer suporte e
estabilidade ao cotovelo, as lesões associadas ao ligamento
colateral ulnar levam a intensas incapacidades funcionais.
• Secundariamente, outras partes da articulação são envolvidas
com lesões cartilaginosas e formação de corpos livres da
cabeça do rádio e olécrano, o que impede a prática esportiva.
• O agravamento das lesões torna o cotovelo instável pela
frouxidão das estruturas mediais.
• A função alterada desenvolve compressão do nervo ulnar e
conflito entre o olécrano e a cavidade olecraniana, com
formação de esporões e lesões cartilaginosas (fig. a seguir).
09/12/2015 Dr. José Heitor M. Fernandes 99
Conflito entre olécrano e a cavidade olecraniana
figura
09/12/2015 Dr. José Heitor M. Fernandes 100
Avaliação da estabilidade ligamentar
do cotovelo
Estresse em Varo
Se trauma ligamentar lateral,
abertura articular lateral.
<
Estresse em Valgo
Se trauma ligamentar
medial, abertura articular
medial.
Fonte: Profa. Dra. Sílvia Maria Amado João
09/12/2015 Dr. José Heitor M. Fernandes 102
09/12/2015 Dr. José Heitor M. Fernandes 103
• A articulação úmero-radial tem grande importância na estabilidade
da articulação pela disposição óssea, suportando
forças de compressão.
• A estabilidade medial dada pelo ligamento colateral ulnar é
possível, mesmo que grande parte do olécrano seja retirada,
pois a inserção do fascículo anterior impede o deslocamento.
• A secção do ligamento colateral ulnar leva a grave instabilidade,
mesmo com olécrano íntegro.
figura
09/12/2015 Dr. José Heitor M. Fernandes 104
09/12/2015 Dr. José Heitor M. Fernandes 105
Ligamento colateral ulnar- cotovelo
09/12/2015 Dr. José Heitor M. Fernandes 106
Ligamento colateral ulnar ( em flexão)
figura
09/12/2015 Dr. José Heitor M. Fernandes 107
09/12/2015 Dr. José Heitor M. Fernandes 108
09/12/2015 Dr. José Heitor M. Fernandes 109
09/12/2015 Dr. José Heitor M. Fernandes 110
Compartimento lateral do cotovelo
09/12/2015 Dr. José Heitor M. Fernandes 111
09/12/2015 Dr. José Heitor M. Fernandes 112
DISCUSSÃO
• Os grupos musculares da região do cotovelo constituem a
primeira linha de defesa aos diferentes traumas agudos ou
crônicos.
• As rupturas musculares não são freqüentes.
• Os esforços repetitivos são significativos, o que leva a
processos inflamatórios ou degenerativos (tendinites,
epicondilites, tennis elbow e outros).
• As estruturas ligamentares são atingidas com
freqüência,principalmente nos esforços em valgo do
ligamento colateralulnar (fascículo anterior, principalmente).
• Essas lesões são comuns na prática de esportes.
09/12/2015 Dr. José Heitor M. Fernandes 113
CONCLUSÃO
• O estudo das estruturas anatômicas descritas
isolada ou conjuntamente constitui
fundamento essencial para avaliação das
diversas síndromes dolorosas do cotovelo e
para seu tratamento específico.
Lyle Norwood A., et al: Acute medial elbow ruptures.
Am J Sports
09/12/2015 Dr. José Heitor M. Fernandes 114
ARTROSE DO COTOVELO
Exame Clínico Ortopédico -Cotovelo
• ARTROSE DO COTOVELO
• A artrose primária da articulação do cotovelo ocorre comumente em
indivíduos que executam trabalho pesado.
• A artrose de cotovelo também é observada após fraturas antigas
envolvendo superfícies articulares do cotovelo.
• Pode, ainda, seguir-se à osteoartrite dissecante. Tanto a artrose como a
osteoartrite dissecante podem levar a formação de corpos livres intra-
articulares que restringem os movimentos ou provocam o travamento da
articulação.
Esta pode travar em qualquer posição e o paciente frequentemente
desenvolve a habilidade de destravá-la sozinho.
• Se forem encontrados corpos livres, será preciso removê-los para evitar
que ocorram novos episódios de travamento, bem como para reduzir o
risco de que possam provocar mais danos à superfícies articulares.
Fonte: McRae,R; Clinical Orthopaedic Examination, Elsevier Ltd. - 2010
Ressonância magnética do cotovelo direito
Corte coronal, sequência T1 (a)
(a) Osteófitos marginais no côndilo umeral medial e na ulna (setas), irregularidade dos
contornos do osso subcondral do úmero, rádio e ulna
Cortes coronais (anterior para posterior), sequência STIR (b, c)
(b) Indefinição da porção proximal do ligamento colateral radial (seta preta).
Fratura da margem medial da cabeça do rádio, com extensão articular (seta branca).
c) Espessamento heterogêneo e ondulação do tendão comum dos extensores (seta).
Significativo edema dos planos gordurosos da região lateral do cotovelo.
Edema intra-muscular peri-articular
Corte sagital, sequência STIR (f)
Corpo livre intra-articular (seta).
Derrame articular
09/12/2015
ARTROSE DO COTOVELO
09/12/2015 Dr. José Heitor M. Fernandes 121
Causas
09/12/2015 Dr. José Heitor M. Fernandes 122
Destruíção severa da cartilagem
09/12/2015 Dr. José Heitor M. Fernandes 123
RX
Achados Físicos em
Dístúrbios do Cotovelo e Antebraço
• Artrose do Cotovelo
- Flexão ou extensão restritas
- Derrame intra-articular (variável)
- Crepitação (variável)
Fonte: O Exame Físico em Ortopedia – Reider,B.; W.B. Saunders Company
09/12/2015 Dr. José Heitor M. Fernandes 125
Tratamento conservador
09/12/2015 Dr. José Heitor M. Fernandes 126
Tratamento Cirurgico
09/12/2015 Dr. José Heitor M. Fernandes 127
09/12/2015 Dr. José Heitor M. Fernandes 128
Tratamento Cirurgico
09/12/2015 Dr. José Heitor M. Fernandes 129
Artrodese de Cotovelo
09/12/2015 Dr. José Heitor M. Fernandes 130
Prótese Total de Cotovelo
09/12/2015 Dr. José Heitor M. Fernandes 131
ARTROPLASTIA TOTAL DE COTOVELO
09/12/2015 Dr. José Heitor M. Fernandes 132
Indicações
Artrose
Osteoporose
Artrite Reumatóide
09/12/2015 Dr. José Heitor M. Fernandes 133
09/12/2015 Dr. José Heitor M. Fernandes 134
O Cotovelo Artificial
09/12/2015 Dr. José Heitor M. Fernandes 135
09/12/2015 Dr. José Heitor M. Fernandes 136
09/12/2015 Dr. José Heitor M. Fernandes 137
09/12/2015 Dr. José Heitor M. Fernandes 138
Incisão, introdução dos componentes ulnar e umeral
Componente. Ulnar
Componente Umeral
09/12/2015 Dr. José Heitor M. Fernandes 139
09/12/2015 Dr. José Heitor M. Fernandes 140
09/12/2015 Dr. José Heitor M. Fernandes 141
Complicações da Artroplastia de Cotovelo
• Anestesia
• Infecção
• Afrouxamento
• Trauma de nervo ou de vaso sanguíneo
• Em relação as demais artroplastias: de quadril,
de ombro e de joelho, a artroplastia de
cotovelo é a menos praticada.
09/12/2015 Dr. José Heitor M. Fernandes 142
Ângulo de Carga ou de Carregação
Nos homens o ângulo normal é
de 5 a 10 °
Nas mulheres é de 10 a 15°
Ângulo maior que 15° = cubitus
valgus
Ângulo menor que 5 a10° =
cubitus varus
figura
09/12/2015 Dr. José Heitor M. Fernandes 143
Exame Clínico Ortopédico -Cotovelo
• DESVIO EM VARO E VALGO
• Uma diminuição ou aumento do ângulo de transporte do cotovelo
geralmente é consequente de uma fratura supracondilar ou outro tipo de
fratura ocorrida durante a infância.
Embora a criança normal apresente grande poder de recuperação
espontânea após uma lesão, é possível que algum dano epifisário
permaneça sem ser corrigido; nos casos em que há evidência no ângulo de
transporte, a criança deve continuar sob observação por alguns anos.
Se a correção espontânea não acontecer, ou mesmo se houver
deterioração, e a deformidade estiver muito acentuada, pode ser realizada
uma correção por osteotomia.
Posteriormente, ao longo da vida, qualquer uma dessas deformidades
resultará em paralisia ulnar tardia.
Fonte: McRae,R; Clinical Orthopaedic Examination, Elsevier Ltd. - 2010
09/12/2015 Dr. José Heitor M. Fernandes 145
Fraturas do Cotovelo em Criança
figura
figura
figura
figura
09/12/2015 Dr. José Heitor M. Fernandes
Cúbito valgo (cotovelo esquerdo)
Reider, O Exame Físico em Ortopedia – Guanabara Koogan -2001
Cúbito varo (esquerdo)
Reider, O Exame Físico em Ortopedia – Guanabara Koogan -2001
Cúbito varo leve
Reider, O Exame Físico em Ortopedia – Guanabara Koogan -2001
Cotovelo com angulação em valgo.
Cotovelo com angulação em varo (em carabina).
09/12/2015 Dr. José Heitor M. Fernandes 155
Varo do cotovelo em decorrência de fratura
(sequela).
Exame Clínico Ortopédico -Cotovelo
• MIOSITE OSSIFICANTE
• Esta condição é mais comum após fraturas supracondolares e luxação de
cotovelo.
Ocorre um processo de calcificação no hematoma que se forma no
músculo braquial – o músculo que recobre o aspecto anterior da
articulação do cotovelo.
É particularmente comum que esteja associada a lesõers da cabeça,
podendo ,também, ser consequente a uma fisioterapia muito rigorosa.
Provoca o bloqueio mecânico da flexão.
Quando descoberta ainda em estágio inicial, é necessário que a
articulação permaneça em descanso absoluto, a fim de minimizar a massa
de material formada.
Nos casos mais avançados, pode ser excisada após a lesão ter
permanecido quiescente por muitos meses, e uma única dose de
radioterapia é feita no pós-operatório para previnir recaídas.
Fonte: McRae,R; Clinical Orthopaedic Examination, Elsevier Ltd. - 2010
09/12/2015 Dr. José Heitor M. Fernandes 157
LUXAÇÃO DO COTOVELO E FRATURA DA CABEÇA DO RÁDIO:
Fig. 1 – Luxação posterior do cotovelo isolada.
Fig. 2 – Luxação posterior do cotovelo associada à fratura da cabeça do rádio.
Fig. 3 – Luxação lateral do cotovelo isolada.
figura
figura
Avaliação do Cotovelo
• Teste de Cozen (método 1) – 3,5
• Teste de Mill (método 2) – 3,5
• Teste da extensão do 3° dedo contraresistência
• - 3,5
• Sinal de Tinel para Túnel do n.Ulnar – 3,5
• Teste da Flexão do Cotovelo bilateral – 3,5
Exame Clínico Ortopédico -Cotovelo
• COTOVELO DE TENISTA
• Esta é, sem dúvida, a causa mais comum de dor no cotovelo em pacientes
que procuram clínicas ortopédicas.
Em geral, acredita-se que seja devido à torção da origem do extensor
comum, porém a fibrose do extensor radial curto do carpo ou uma
síndrome de aprisionamento do nervo têm sido sugeridas como causas
alternativas.
• O paciente, em geral, na faixa etária dos 35-50 anos, queixa-se de uma dor
localizada na lateral do cotovelo e apresenta dificuldade para segurar
qualquer objeto pesado na altura do braço.
Pode haver um histórico recente de atividade excessiva envolvendo o
cotovelo, por exemplo, espanar poeira, varrer, pintar paredes ou até
mesmo, jogar tênis.
Fonte: McRae,R; Clinical Orthopaedic Examination, Elsevier Ltd. - 2010
figura
09/12/2015 Dr. José Heitor M. Fernandes 163
Causas
Exame Clínico Ortopédico -Cotovelo
• TESTE DE COZEN
• MANOBRA –
• O paciente fecha um punho com força, dorsiflexiona-o e mantém uma
posição pronada.
• O examinador, pegando o antebraço inferior do paciente, aplica uma força
flexionadora na postura em dorsiflexão do punho do paciente.
• CONDIÇÃO DETECTADA –
O teste é positivo se reproduzir a dor lancinante aguda na região do
epicôndilo lateral.
O teste é significante para epicondilite ou bursite radioumeral.
Fonte: McRae,R; Clinical Orthopaedic Examination, Elsevier Ltd. - 2010
09/12/2015 Dr. José Heitor M. Fernandes 165
Anatomia
• Inserção dos extensores (ERCC + ECD + ERLC) no epicôndilo
lateral
figura
09/12/2015 Dr. José Heitor M. Fernandes 166
09/12/2015 Dr. José Heitor M. Fernandes 167
Teste de Cozen (3,5)
Cotovelo de Tenista (método 1)
09/12/2015 Dr. José Heitor M. Fernandes 168
Pérola Clínica – Teste de Cozen
• O teste de Cozen é o teste mais fácil de se realizar para epicondilite lateral.
• O paciente, muitas vezes, já descobriu a dor que acompanha a dorsiflexão
resistida do punho, como quando eleva uma caixa de leite.
• Embora a dor da epicondilite seja algumas vezes extremamente sentida e
agudamente localizada, a condição não se diferencia verdadeiramente de
tendinite dos extensores do carpo ou bursite radioumeral.
Fonte: McRae,R; Clinical Orthopaedic Examination, Elsevier Ltd. - 2010
09/12/2015 Dr. José Heitor M. Fernandes 170
Teste de Mills (3,5)
Cotovelo de Tenista (método 2)
Enquanto palpa o epicôndilo
lateral, o examinador prona o
antebraço do paciente,
flexiona o punho
completamente e estende o
cotovelo.
Essa manobra também exerce
estresse sobre o nervo radial .
É sintomática para casos de
síndrome do supinador.
09/12/2015 Dr. José Heitor M. Fernandes 171
Teste de Mills
• MANOBRA –
• O cotovelo, os dedos e o punho do paciente são flexionados
passivamente.
• O antebraço é pronado e estendido.
• O teste é positivo se a dor no epicôndilo lateral aumentar.
• CONDIÇÃO DETECTADA –
Um teste positivo indica epicondilite lateral do cotovelo (cotovelo de
tenista).
Fonte: McRae,R; Clinical Orthopaedic Examination, Elsevier Ltd. - 2010
09/12/2015 Dr. José Heitor M. Fernandes 173
Teste para Cotovelo de Tenista
O examinador
resiste a
extensão do 3°
dedo da mão na
falange distal,
forçando o
músculo e tendão
extensor dos
dedos.
Um teste positivo
é indicado por
dor sobre o
epicôndilo lateral
do úmero
Tratamento ( quadro de Nirch 1982)
Relação entre estadiamento das epicondilites,
patologia, clínica e tratamento
ESTADIAMENTO PATOLOGIA CLÍNICA TRATAMENTO
_________________________________________________________________________
Categoria 1. - inflamação aguda - dor leve após exercício - rápida resposta
reversível. pesado ou movimento aos AINEs
- sem invasão repetitivo.
angiofibrobástica.
________________________________________________________________________
Categoria 2. - invasão angiofi- - dor intensa durante a - conservador se
broblástica parcial atividade e no repouso. menos da me-
e irreversível. - após o período de tade do tendão
repouso é possível re- está comprome-
alizar atividade sem tido.
desconforto.
__________________________________________________________________________
Categoria 3. - invasão angiofibro- - dor ao repouso e dor - cirúrgico
blástica extensa, noturna.
ruptura parcial ou - impossibilidade de realizar
completa do tendão. tarefas diárias.
Diagnóstico Diferencial
Achados Físicos em
Dístúrbios do Cotovelo e Antebraço
• Epicondilite Lateral (Tendinite da Origem Extensora)
- Hipersensibilidade no epicôndilo lateral na origem dos tendões
acometidos
- Dor produzida por extensão contra-resistência do punho ( teste de
Cozen)
- Dor na flexão passiva dos dedos das mãos e do punho com cotovelo
totalmente estendido (variável)
- Dor produzida no epicôndilo a extensão do III QDD contra-resistência
(teste de Mill)
Fonte: O Exame Físico em Ortopedia – Reider,B.; W.B. Saunders Company
Achados Físicos em
Dístúrbios do Cotovelo e Antebraço
• Epicondilite Medial ( Tendinite do Flexor-pronador)
- Hipersensibilidade sobre a origem comum dos flexores
- Teste de flexão contra-resistência do punho reproduzindo a dor
- Pronação contra-resistência do antebraço reproduzindo a dor
Fonte: O Exame Físico em Ortopedia – Reider,B.; W.B. Saunders Company
09/12/2015 Dr. José Heitor M. Fernandes 178
EPICONDILITE MEDIAL /
Golfer’s Elbow
09/12/2015 Dr. José Heitor M. Fernandes 179
09/12/2015 Dr. José Heitor M. Fernandes 180
Teste para cotovelo de golfista
• MANOBRA –
• O paciente está sentado com o cotovelo flexionado ligeiramente e a mão
supinada.
• O paciente flexiona o punho contra resistência.
• Dor no epicôndilo medial sugere epicondilite.
• Na epicondilite medial mais grave, os grupos musculares flexores estão
enfraquecidos e o mecanismo cotovelo-punho pode ser estendido pelo
examinador.
• A extensão completa das articulações do cotovelo localiza a lesão mais
precisamente nas contraturas da aponeurose medial.
• CONDIÇÃO DETECTADA – Quando o teste para cotovelo de golfista é positivo
sugere tendinite da aponeurose dos flexores-pronadores no epicôndilo
medial.
Fonte: McRae,R; Clinical Orthopaedic Examination, Elsevier Ltd. - 2010
figura
Teste para estabilidade ligamentar medial e lateral do cotovelo.
Força em varo
aplicada ao cotovelo
Força em valgo
aplicada ao cotovelo
Fonte: Stanley Hoppenfeld – Exame Físico da coluna e extremidades.
09/12/2015 Dr. José Heitor M. Fernandes 184
<
09/12/2015 Dr. José Heitor M. Fernandes 185
Bursite Olecraniana
Bursite do Olécrano
• O inchaço da bursa do olécrano é comum em indivíduos que trabalham
com instalação de carpete, bem como naqueles que traumatizam
repetidamente o aspecto posterior da articulação do cotovelo.
• O inchaço da bursa é igualmente comum na artrite reumatóide, podendo
estar associado a massas nodulares na porção proximal do antebraço.
• A condição não costuma ser dolorosa, a menos que esteja associada à
infecção bacteriana da bursa.
A excisão é recomendada em alguns casos, por questões estéticas.
ARTRITE REUMATÓIDE
09/12/2015 Dr. José Heitor M. Fernandes 189
Bursite olecraniana inflamatóriaCotovelo normal
Bursite Séptica Olecraniana
09/12/2015 Dr. José Heitor M. Fernandes 192
Tofos gotosos nos cotovelos esquerdos
Nódulos reumatóides
Assuntos do Módulo 14
COTOVELOS - 2
14- Síndrome do túnel ulnar
15- Ruptura do tendão distal do Bíceps
16- Patologia do punho, do ombro e da coluna cervical podem referir sintomas
(dor) ao cotovelo
17- Radiologia do sistema musculoesquelético
18- Estudo de casos semiológicos de ombro
19- Apresentação de casos clínicos
20- Medscape – artigos de cirurgia ortopédica para cotovelo
figura
Túnel
figura
09/12/2015 Dr. José Heitor M. Fernandes 197
figura
09/12/2015 Dr. José Heitor M. Fernandes 199
Digitopercussão do nervo ulnar no cotovelo (3,5)
Túnel do ulnar
Teste de Tinel para
Túnel do Ulnar no cotovelo
09/12/2015 Dr. José Heitor M. Fernandes 201
Sintomas
09/12/2015 202
Teste da flexão do cotovelo (3,5)
Síndrome do Túnel do Ulnar
(segunda neuropatia mais frequente do MS)
Achados Físicos em
Dístúrbios do Cotovelo e Antebraço
• Síndrome do Túnel Ulnar ( Túnel Cubital)
- Hipersensibilidade no trajeto do nervo ulnar
- Sinal de Tinel anormal sobre o nervo ulnar quando este passa através do
túnel do ulnar
- Teste anormal de compressão do nervo ulnar
- Teste anormal de flexão do cotovelo bilateral (variável)
- Sensibilidade anormal (discriminação de dois pontos ou toque suave), no
dedo mínimo, ou na face ulnar do dedo anular (IV QDD); na face ulnar da
mão (variável)
- Fraqueza e atrofia dos músculos intrínsecos da mão inervados pelo
nervo ulnar (variável)
- Fraqueza do m. flexor profundo dos dedos no dedo mínimo (variável)
Fonte: O Exame Físico em Ortopedia – Reider,B.; W.B. Saunders Company
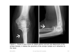
Ruptura do tendão distal do bíceps
Achados Físicos em
Dístúrbios do Cotovelo e Antebraço
• Ruptura do Tendão Distal do Bíceps
- Aumento de volume no braço (Popeye arm)
- Equimose
- Lacuna palpável no tendão do m. bíceps braquial
- Supinação e flexão do cotovelo fracas
Fonte: O Exame Físico em Ortopedia – Reider,B.; W.B. Saunders Company
RADIOLOGIA
MUSCULOESQUELETICA
http://www.info-radiologie.ch/index-portugues.php
figura
Musée du Louvre
Radiologia Convencional ou Radiografia Simples ou
Raio X Simples Musculoesqauelético
• Radiografia da coluna cervical
• Radiografia da coluna torácica
• Radiografia da coluna lombar
• Radiografia de tórax
• Radiografia do ombro
• Radiografia do cotovelo
• Radiografia do antebraço
• Radiografia do punho
• Radiografia da mão
• Radiografia do abdômen
• Radiografia da bacia (pelve)
• Radiografia do quadril
Fonte: info-radiologie.ch
• Radiografia do joelho
• Radiografia do tornozelo
• Radiografia do pé
RM Musculoesquelética
• Ressonância Magnética de ombro
• Ressonância Magnética do cotovelo
• Ressonância Magnética do quadril
• Ressonância Magnética da coxa
• Ressonância Magnética do joelho
• Ressonância Magnética do tornozelo
• TC Musculoesquelética
• Tomografia Computadorizada do Tornozelo e do Pé
Fonte: info-radiologie.ch
figura
Após qualquer exame, o paciente deve ser
advertido quanto à possibilidade de
exacerbação de sintomas em consequência da
avaliação física com os testes especiais.
ESTUDO DE CASOS SEMIOLÓGICOS
Cotovelo
• Uma mulher de 24 anos queixa-se de dor na face medial do cotovelo
direito. Algumas vezes, a dor extende-se até o antebraço e é frequen-
temente acompanhada por formigamentos do dedo mínimo e metade do
dedo anular. A dor e a parestesia são particularmente incômodas quando,
em momentos de lazer, joga voleibol, o que aprecia bastante.
Descreva seu plano de avaliação para esta paciente.
(neurite ulnar versus epicondilite medial).
• Um homem de 52 anos é encaminhado com uma história de dor no
cotovelo direito. Ele queixa-se de sensibilidade sobre o epicôndilo lateral e
relata que não vem realizando qualquer atividade repetitiva com o
antebraço e que não joga tênis. Ele apresenta um certo grau de restrição
nos movimentos cervicais.
Descreva seu plano de avaliação para este paciente.
(espondilose cervical versus epicondilite lateral)
Fonte: Magee, D J; Orthopedic Physical Assessment , 4th Ed., Elseiver- 2002
ESTUDO DE CASOS SEMIOLÓGICOS
Cotovelo
• Um homem de 46 anos queixa-se de dor difusa no cotovelo esquerdo. Ao
carregar uma pasta por três ou quatro quarteirões, o seu cotovelo torna-
se rígido e dolorido.
Quando ele apanha coisas com a mão esquerda, a dor aumenta
dramaticamente.
Descreva seu plano de avaliação para este paciente.
(epicondilite lateral versus artrose)
• Uma ginasta de 14 anos queixa-se de dor no cotovelo.
Ela explica que, ao executar um salto, ela dobrou o cotovelo para trás e
ouviu um estalido. A lesão ocorreu há 1 hora.
A paciente apresenta um aumento de volume no local e evita mover o
cotovelo. Descreva seu plano de avaliação para esta paciente.
(ruptura do tendão do bíceps versus fratura epifisária)
Fonte: Magee, D J; Orthopedic Physical Assessment , 4th Ed., Elseiver- 2002
Apresentação de Casos Clínicos de Cotovelo
• Autor
Nome: PAULO ROBERTO VILAÇA JÚNIOR Cidade: SAO PAULO Estado: SP
Hospital: Hospital do Pari - Associação Beneficente Nossa Senhora do Pari
Departamento: Preceptoria de Ombro e Cotovelo
• Informações sobre o Caso Clínico
Fixação com placas paralelas de fratura supraintercondileana do úmero
• Resumo do caso: Paciente com fratura supraintercondileana do úmero,
submetida a tratamento cirúrgico com fixação com placas paralelas.
• Paciente (dados): Feminino, 30 anos.
• História: Vítima de acidente automobilístico em 2008. Evoluiu com dor e
impotência funcional no membro superior esquerdo. Diagnóstico de fratura
supraintercondileana do úmero.
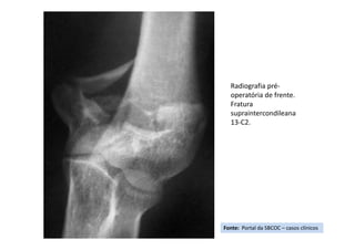
• Diagnóstico(s): fratura supraintercondileana do úmero 13-C2
• Tratamento(s): Submetida à redução cruenta e fixação com uso de parafusos
corticais de 3.5 e placas de reconstrução de 3.5, paralelas modeladas no ato
operatório. Osteotomia do olécrano e fixação com banda-de-tensão. Feito
transposição anterior do nervo ulnar.
Reabilitação fisioterápica imediata do membro. Sem necessidade de
imobilizações, exceto tipóia nos primeiros dias, se dor.
• Seguimento ("Follow up"): 2 anos.
Fonte: Portal da SBCOC – casos clínicos
Fonte: Portal da SBCOC – casos clínicos
Radiografia pré-
operatória de frente.
Fratura
supraintercondileana
13-C2.
Fonte: Portal da SBCOC – casos clínicos
Radiografia pré-operatória
de Perfil.
Fonte: Portal da SBCOC – casos clínicos
Radiografia pós-operatória de
frente. Fixação com placas paralelas
e banda-de -tensão no olécrano.
Fonte: Portal da SBCOC – casos clínicos
Radiografia pós-operatória de
perfil. Fixação com placas
paralelas e banda-de -tensão no
olécrano.
Fonte: Portal da SBCOC – casos clínicos
Resultado clínico pós-
operatório Flexão.
Fonte: Portal da SBCOC – casos clínicos
Resultado clínico pós-operatório Extensão.
Apresentação de Casos Clínicos de Cotovelo
• Autor
Nome: AMERICO ZOPPI FILHO Cidade: SAO PAULO Estado: SP Hospital: Hospital
da Faculdade de Ciências Médicas - UNICAMP Departamento: Departamento de
Ortopedia e Traumatologia
Faculdade de Ciências Médicas - UNICAMP
• Informações sobre o Caso Clínico:
Fratura de Cotovelo em paciente idoso
• Resumo do caso: Paciente do sexo feminimo, 67 anos, portadora de AR, que
sofreu queda sobre o cotovelo Direito h[a 5 dias.
• Paciente (dados): Feminina, 67 anos
• História: Paciente com Artrite Reumatóide, fazendo uso de corticóides há mais
de 20 anos. Há 5 dias queda sobre o cotovelo D. ; Frat. exposta puntiforme.
Foi atendida em outro serviço onde instalaram o fixador externo após a limpeza
e desbridamento cirúrgico.
• Diagnóstico(s): Fratura Supra-intercondileana do cotovelo direito
• Tratamento(s): Retirada do fixador externo e artroplastia do cotovelo Direito.
• Seguimento ("Follow up"): Fixador externo retirado após 15 dias para
tratamento definitivo com artroplastia.
Fonte: Portal da SBCOC – casos clínicos
Fonte: Portal da SBCOC – casos clínicosPaciente com fixador externo no membro superior
para estabilizar a fratura do cotovelo direito.
Fonte: Portal da SBCOC – casos clínicos
Paciente com fixador externo no membro superior
para estabilizar a fratura do cotovelo direito.
Fonte: Portal da SBCOC – casos clínicos
Radiografia inicial da fratura cominutiva do cotovelo
direito.
Fonte: Portal da SBCOC – casos clínicos
Imagem intra-operatória da fratura
Fonte: Portal da SBCOC – casos clínicosImagem intra-operatória da fratura.
Fonte: Portal da SBCOC – casos clínicosAspecto intra-operatório da prótese no cotovelo.
Fonte: Portal da SBCOC – casos clínicos
Radiografia de controle pós-operatório da prótese
do cotovelo direito.
Artigos de Cirurgia Ortopédica
Medscape
http://emedicine.medscape.com/orthopedic_surgery
Orthopedic Surgery Articles
Elbow
Coronoid Fracture
Elbow Arthrocentesis
Elbow Collateral Ligaments
Elbow Dislocation in Emergency Medicine
Floating Elbow
Joint Reduction, Elbow Dislocation, Posterior
Lateral Epicondylitis Surgery
Lateral Humeral Condyle Fracture
Medial Humeral Condyle Fracture
Monteggia Fracture
Olecranon Bursa Aspiration
Olecranon Fractures
Posterior Elbow Splinting
Surgery for Medial Epicondylitis
Ulnar Gutter Splinting
figura
La Défense - Paris

Modulo 14

  • 1.
    Semiologia Ortopédica paraMédico Assistente e Perito Médico Prof. Dr. José Heitor Machado Fernandes 2ª V E R S Ã O DO H I P E R T E X T O
  • 2.
    Módulos • Módulo 1- Semiologia Ortopédica Pericial • Módulo 2 – Termos Ortopédicos Comuns • Módulo 3 – Doença Musculoesquelética • Módulo 4 – Distúrbios Ortopédicos Gerais • Módulo 5 – Exame Clínico • Módulo 6- Marcha Humana (resumo) • Módulo 7- Exame Físico Ortopédico • Módulo 8 - Articulação Temporomandibular • Módulo 9 – Coluna Cervical • Módulo 10 – Testes Físicos Especiais • Módulo 11 – Coluna Torácica e Lombar • Módulo 12 – Articulações Sacroilíacas • Módulo 13 – Ombros • Módulo 14 – Cotovelos • Módulo 15 – Antebraços
  • 3.
    • Módulo 16- Punhos e Mãos • Módulo 17 - Quadril • Módulo 18 – Joelhos e Pernas • Módulo 19 – Pés e Tornozelos • Módulo 20 - Trauma Ortopédico • Módulo 21 – Radiologia do Aparelho Locomotor • Módulo 22 – Dificuldades do Exame Físico Pericial • Módulo 23- Principais DORTs da nossa comunidade • Módulo 24 – Crédito de Imagens & Referências Bibliográficas • Módulo 25 – Relação de Vídeos, na Internet, sobre Exame Físico do Aparelho Locomotor • Epílogo Módulos
  • 4.
  • 5.
    Assuntos do Módulo14 COTOVELOS - 1 1- Anatomia do cotovelo 2- Rota dos nervos (musculocutâneo, radial, mediano e ulnar) 3- Diagrama para dor no cotovelo 4- Dor referida ao cotovelo 5- Comentários clínicos sobre cotovelo 6- Exame físico (Inspeção, palpação, mobilidade, força muscular, mensuração angular, testes especiais, exame neurológico) 7- Principais funções do cotovelo 8- Ângulo de carga ou ângulo de carregação 9- Patologias do cotovelo (Instabilidade articular, artrose do cotovelo 10- Artroplastia total de cotovelo 11- Fratura supracondiliana do úmero e sua sequela 12- Miosite ossificante, Pronação dolorosa, Cotovelo de tenista, Cotovelo de golfista 13- Bursite séptica olecraniana, tofos gotosos, nódulos reumatóides
  • 6.
    Assuntos do Módulo14 COTOVELOS - 2 14- Síndrome do túnel ulnar 15- Ruptura do tendão distal do Bíceps 16- Patologia do punho, do ombro e da coluna cervical podem referir sintomas (dor) ao cotovelo 17- Radiologia do sistema musculoesquelético 18- Estudo de casos semiológicos de ombro 19- Apresentação de casos clínicos 20- Medscape – artigos de cirurgia ortopédica para cotovelo
  • 7.
    ANATOMIA / Braço(posterior) Fonte: Musculoskeletal Atlas-Carol Teitz, MD and Dan Graney, PhD © 1996-2007 University of Washington, Seattle WA USA
  • 8.
  • 9.
  • 10.
    Nervos Fonte: Musculoskeletal Atlas-CarolTeitz, MD and Dan Graney, PhD © 1996-2007 University of Washington, Seattle WA USA
  • 11.
    09/12/2015 Dr. JoséHeitor M. Fernandes 11
  • 12.
    Cotovelo - anterior Fonte:Musculoskeletal Atlas-Carol Teitz, MD and Dan Graney, PhD © 1996-2007 University of Washington, Seattle WA USA
  • 13.
  • 14.
  • 15.
    Cotovelo - medial Fonte:Musculoskeletal Atlas-Carol Teitz, MD and Dan Graney, PhD © 1996-2007 University of Washington, Seattle WA USA
  • 16.
    Flexores do antebraço– camada superficial Fonte: Musculoskeletal Atlas-Carol Teitz, MD and Dan Graney, PhD © 1996-2007 University of Washington, Seattle WA USA
  • 17.
  • 18.
  • 19.
  • 20.
  • 21.
    Nervo Radial Fonte: MusculoskeletalAtlas-Carol Teitz, MD and Dan Graney, PhD © 1996-2007 University of Washington, Seattle WA USA
  • 22.
  • 23.
    Frolich, Human Anatomy,UpprLimb CompartimentoPosterior do Antebraço Extensor digitorum Extensor carpi ulnaris Ext Carpi Radialis Longus Brachioradialis Epicôndilo Lateral Vista Posterior
  • 24.
    Frolich, Human Anatomy,UpprLimb CompartimentoAnterior do Antebraço Flexor Carpi Radialis Flexor Retinaculum Epicôndilo Medial Flexor Digitorum Superficialis é profundo aos outros flexores Flexor Carpi Ulnaris Brachioradialis Pronator Teres Vista Anterior
  • 25.
    Frolich, Human Anatomy,UpprLimb Rotasdos nervos (no humano) • Musc.cutâneo: entre o biceps brachii e o brachialis; • Mediano: medial/posterior ao bíceps, ramos para os flexores do antebraço, no cotovelo e para a mão, através do túnel do carpo; – Mediano recorrente : (superficial no punho para o polegar sobre a eminência tenar) déficit – mão de símio • Ulnar: medial no braço, posterior ao epicôndilo medial do úmero para baixo, medialmente, no antebraço, medialmente ao túnel do carpo para a palma da mão; • Radial: posterior profundo no braço, ao redor do epicôndilo lateral do úmero, para o antebraço (ramos profundo e superficial)
  • 26.
    Frolich, Human Anatomy,UpprLimb SuprimentoVascular • Subclávia→axilar→radial (mesmo caminhp, novo caminho sempre sinal de bloqueio) • Circulação colateral – Circunflexa umeral posterior/anterior – A. braquial profunda • A.radial (com n. mediano) →arco palmar profundo • A. ulnar (com n. ulnar ) → arco palmar superficial
  • 27.
    Frolich, Human Anatomy,UpprLimb •Posterior Compartment— posterior cord • Anterior compartment— medial, lateral cords • Name of cord is relative to axillary artery Plexo Braquial
  • 28.
    Frolich, Human Anatomy,UpprLimb NervoUlnar Artéria Braquial Nerve Mediano Nervo Ulnar Nervo Mediano Artéria Radial Nervo Musculocutaneous Artéria Ulnar Onde está o nervo radial?
  • 29.
    Frolich, Human Anatomy,UpprLimb Axila •Região entre o braço e o tórax • Limites – Ventral – músculos peitorais – Dorsal = latissimus dorsi, teres major subscapularis – Medial = serratus ventralis – Lateral = goteira bicipital do úmero • Conteúdo – Nódulos linfáticos axilares , Vasos axilares Plexo Braquial
  • 30.
    Frolich, Human Anatomy,UpprLimb Anatomiade Superfície do Membro Superior • Biceps + Triceps brachii • Processo Olécrano • Epicôndilo Medial • Fossa Cubital – Superfície anterior do cotovelo - Conteúdo: • Veia Cubital Mediana • Artéria Braquial • Nervo Mediano - Limites: • Medial= Pronator teres • Lateral= Brachioradialis • Superior=Linha entre epicôndilos
  • 31.
    Frolich, Human Anatomy,UpprLimb Anatomiade Superfície do Membro Superior • Túnel do Carpo (face volar) – Concavidade Carpal anteriormente; – Ligamento carpal (retináculo dos flexores) cobre essa concavidade; – Conteúdo: 9 tendões flexores, nervo Mediano – Inflamação da sinóvia dos tendões = compressão do Nervo Mediano • Tabaqueira Anatômica – Lateral = E.pollicis brevis – Medial = E. pollicis longus – Assoalho = escafóide, estilóide do rádio – Conteúdo Artéria Radial (pulso radial)
  • 32.
    COTOVELO – Diagramada Dor Encarceramento do nervo ulnar Fratura da diáfise umeral Fratura da cabeça do rádio Bursite do olécrano
  • 33.
    09/12/2015 Dr. JoséHeitor M. Fernandes 33 Dor referida ao cotovelo
  • 34.
    • O principalpapel do cotovelo no complexo do membro superior é ajudar a posicionar a mão adequadamente para desempenhar sua função. • Após o ombro ter posicionado a mão grosseiramente, o cotovelo permite ajustes de altura e comprimento para que a mão seja posicionada corretamente. • Além disso, o antebraço roda, em parte, na altura do cotovelo, e coloca a mão na posição mais eficaz para desempenhar sua função. • O cotovelo consiste em um conjunto de articulações que exige uma avaliação cuidadosa para a instituição do tratamento adequado. • O tratamento deve ser direcionado à condição patológica, uma vez que a articulação responde mal ao trauma, ao tratamento forçado ou ao tratamento incorreto. • Por estarem intimamente relacionadas, as articulações do complexo do cotovelo formam uma articulação sinovial composta. Por essa razão, uma lesão em qualquer das partes afeta também os outros componentes.
  • 35.
    • Problemas de“cotovelo do tenista” (epicondilite lateral) usualmente ocorrem em indivíduos com 35 anos de idade ou mais e naqueles que realizam muita flexão e extensão do punho em suas ocupações ou realizam atividades que exigem a estabilização do punho em ligeira extensão (posição funcional). • Quando a anamnese indica um problema do cotovelo de início insidioso, o examinador deve despender tempo para observar a postura corporal do paciente, particularmente as áreas do pescoço e dos ombros, devido à possibilidade de sintomas referidos.
  • 36.
    • Freqüentemente, paraproteção, os pacientes seguram o cotovelo pela face lateral (posição de repouso) e seguram o punho, especialmente em condições traumáticas. • O examinador deve anotar a presença e localização de qualquer formigamento ou hipoestesia para referência quando investigar, durante o exame, os demátomos e a distribuíção nervosa periférica.
  • 37.
    • Mecanismo daLesão de cotovelo - Em geral o paciente se lembra da sua posição no momento da lesão (trauma). - Certos mecanismo de lesão resultam em padrões característicos: 1) Queda sobre uma das mãos esticadas : * fratura supracondilar * luxação posterior de cotovelo * fratura da cabeça do rádio 2) Pancada direta no cotovelo: * fratura do olécrano 3) Queda sobre o cotovelo flexionado: * fratura supracondilar * Luxação anterior de cotovelo * fratura do capitelo
  • 38.
    • Os tendõesque realizam os movimentos do cotovelo, o bíceps e o tríceps, podem sofrer rupturas. • As epicondilites lateral e medial são causas frequentes de dor, podendo incapacitar atividades esportivas e profissionais. • As síndromes compressivas do cotovelo também são causas de dor e parestesias. • As compressões do nervo ulnar , do interósseo posterior e do mediano são as mais frequentes. • A artrite reumatóide é uma doença sistêmica progressiva que compromete o tecido sinovial, e o cotovelo entre outras articulações.
  • 39.
    • AXIOMAS NAAVALIAÇÃO DO COTOVELO • O cotovelo é uma articulação em dobradiça complexa. • O cotovelo é essencial para o posicionamento e uso completo da mão. • Lesões de tecidos moles, tais como epicondilite lateral e bursite do olécrano, ocorrem mais frequentemente que doença articular. • O diagnóstico das doenças do cotovelo está em grande parte baseado na presença de dor, na localização do inchaço, na dor à palpação pontual e nos resultados deestudos de amplitude de movimenrto.
  • 40.
    Cotovelos • 1. Inspecioneos cotovelos nas posições de flexão e extensão para observar: - Contorno - Ângulo de carregamento ( 5 a 15 graus) • 2. Palpe a superfície extensora da ulna, olécrano e faces medial e lateral dos epicôndilos do úmero. • 3. Teste a amplitude dos movimentos através das seguines manobras: - Flexão (160 graus) - Extensão (180 graus) - Pronação e supinação (90 graus)
  • 41.
    Cotovelos • Na propedêuticado cotovelo, ahistória clínica e o exame físico sdão fundamentais para fazer uma hipótese diagnóstica de uma patologia, porém o exame de imagem fornece informações úteis e imprescindíveis para definir o diagnóstico e orientar o tratamento. • O diagnóstico de uma síndrome compressiva compreende o conhecimentoi anatômico, a anamnese, o exame físico e exames de eletroneurodiagnóstico. (Para o estudo detalhado das neuropatias compressivas ver o módulo 15 – anetbraços) • Os exames de imagens úteis para o estudo dessa articulação são as radiografias simples, as artrografias, a ultra-sonografia (US), a tomografia computadorizada (TC), a cintilografia e a ressonância nuclear magnética. (RNM)
  • 42.
    Cotovelos • As lesõestraumáticas e as artrites inflamatórias do cotovelo podem conduzir a uma articulação dolorosa e com restrições permanentes dos movimentos. Essas limitações podem levar a uma perda da mobilidade do membro superior para a maior parte de suas atividades. • A rigidez de cotovelo é uma deformidade de causas multifatoriais, com componentes extra-articulares, intra-articulares ou com uma associação de ambos. Alterações como lesões cerebrais e disfunções periféricas também podem contribuir para a limitação dos movimentos do cotovelo. A rigidez de cotovelo é definida como a diminuição da extensão maior que 30 graus e uma flexão menor que 120 graus. As perdas dos movimentos de pronação e de supinação não são consideradas como rigidez de cotovelo, por estarem relacionadas mais com a rotação do antebraço.
  • 43.
    EXAME FÍSICO DETALHADODO COTOVELO 1. Introdução- Articulação do Cotovelo Articulação em dobradiça Funcionamento da mão Orientação da mão- Pronação e Supinação Tarefas de flexão e extensão. 2. Exame Ortopédico do Cotovelo- História Dor com história de uso excessivo Dor com história de trauma Dor sem história de uso excessivo Dor sem história de uso excessivo + Irradiação para a mão 3. Inspeção Atitude postural global Paciente sentado Hipotrofias Edema(Bolsa Olecraniana/ Traumatismos/A.Reumatóide/A.Gotosa) Ângulo de Carregamento- Ângulo Valgo Ângulos – Simétricos Deformidade em Rifle Presença de Abaulamentos - Localizada/Difusa Pregas cutâneas Aspecto da pele 4. Palpação Posicionamento do paciente e examinador Paciente sentado Presença de crepitações(Artrose) Sinais Inflamatórios Áreas doloridas( Epicôndilos) Palpar olécrano/epicôndilo medial e lateral
  • 44.
    5. Arco demovimento Ativo e Passivo Dor à ADM Restrição de ADM Movimentos compensatórios Presença de ADMs normais ativos( Excluir presença de doenças capsulares ou sinoviais) 5.1. Mensuração angular Flexão/Extensão do cotovelo Pronação/ Supinação do antebraço 6. Teste de força muscular manual Flexores/ Extensores/ Pronadores/ Supinadores 6.1 Mensuração linear Perimetria 7. Testes específicos do cotovelo a) Testes para Epicondilite Lateral – Cotovelo de Tenista Teste de Cozen Teste de Mill Teste da extensão do 3º QDD b) Teste para Epicondilite Medial- Cotovelo de Golfista Teste para Cotovelo de Golfista c) Teste para Instabilidade Ligamentar Teste de Esforço de Adução Teste de Esforço de Abdução d) Testes para Neurite Sinal de Tinel do Cotovelo Sinal de Wartenberg Teste de Flexão do Cotovelo Teste de Preensão em Pinça 8. Exame neurológico das raízes do plexo braquial
  • 45.
    • PRINCIPAIS FUNÇÕESDO COTOVELO • 1- Ajudar no posicionamento da mão em localizações apropriadas. • 2- Ajustar a altura e o comprimento do membro. • 3- Estabilizar a extremidade superior para atividades de trabalho motor delicadas e de força. • 4- Prover fulcro para o braço em levantamento de cargas.
  • 46.
    Anatomia do cotovelo(vista lateral)
  • 47.
    Anatomia do cotovelo(vista posterior). Palpação do epicôndilo medial do úmero. Fonte: Stanley Hoppenfeld – Exame Físico da coluna e extremidades.
  • 48.
    A e BFace superior do cotovelo A. Prega de flexão do cotovelo; B. veia cefálica; C. veia basílica; D. veia mediana do antebraço; E. veia mediana basílica; F. epicôndilo medial; G. m. bíceps braquial; H. m. braquiorradial Reider, O Exame Físico em Ortopedia – Guanabara Koogan -2001
  • 49.
    A e BFace superior do cotovelo A. Prega de flexão do cotovelo; B. veia cefálica; C. veia basílica; D. veia mediana do antebraço; E. veia mediana basílica; F. epicôndilo medial; G. m. bíceps braquial; H. m. braquiorradial Reider, O Exame Físico em Ortopedia – Guanabara Koogan -2001
  • 50.
    Face anterior docotovelo durante a flexão contra-resistência (a seta indica o lacerto fibroso) Reider, O Exame Físico em Ortopedia – Guanabara Koogan -2001
  • 51.
    A e BFace posterior do cotovelo A. olécrano; B. epicôndilo medial; C. epicôndilo lateral; D. m. tríceps braquial; E. m. braquiorradial; F. m. extensor radial longo do carpo; G. fossa do olécrano. Reider, O Exame Físico em Ortopedia – Guanabara Koogan -2001
  • 52.
    C Face posteriordo cotovelo A. olécrano; B. epicôndilo medial; C. epicôndilo lateral; D. m. tríceps braquial; E. m. braquiorradial; F. m. extensor radial longo do carpo; G. fossa do olécrano. Reider, O Exame Físico em Ortopedia – Guanabara Koogan -2001
  • 53.
    A e BFace lateral do cotovelo A. olécrano; B. epicôndilo lateral; C. cabeça do rádio. A Reider, O Exame Físico em Ortopedia – Guanabara Koogan -2001
  • 54.
    C Face lateraldo cotovelo A. olécrano; B. epicôndilo medial; C. epicôndilo lateral; D. m. tríceps braquial; E. m. braquiorradial; F. m. extensor radial longo do carpo; G. fossa do olécrano. Reider, O Exame Físico em Ortopedia – Guanabara Koogan -2001
  • 55.
    A e BFace medial do cotovelo A. olécrano; B. epicôndilo medial; C. m. bíceps braquial; D. septo intermuscular; E. m. tríceps braquial; F. túnel cubital. F Reider, O Exame Físico em Ortopedia – Guanabara Koogan -2001
  • 56.
    C Face medialdo cotovelo A. olécrano; B. epicôndilo medial; C. m. bíceps braquial; D. septo intermuscular; E. m. tríceps braquial; F. túnel cubital. Reider, O Exame Físico em Ortopedia – Guanabara Koogan -2001
  • 57.
  • 58.
    Palpação dos sulcosdo processo do olécrano.
  • 59.
    Edema do Cotovelocausado por processo inflamatório intra- articular. Desaparecem os pontos de referência óssea.
  • 60.
    Palpação da linhamedial supracondilar do úmero. Palpação do olécrano.
  • 61.
    Método linear depalpação da borda posterior ulnar. Palpação da borda ulnar e da fossa olecraniana. Fonte: Stanley Hoppenfeld – Exame Físico da coluna e extremidades.
  • 62.
    Fossa Olecraniana Fonte: StanleyHoppenfeld – Exame Físico da coluna e extremidades.
  • 63.
    Palpação do epicôndilolateral do úmero. Linha lateral supracondiliana do úmero.
  • 64.
    Quando o cotoveloestá fletido, o olécrano e os epicôndilos medial e lateral formam um triângulo isósceles. Quando o cotovelo está estendido, os pontos sobre o olécrano e sobre os epicôndilos formam uma linha reta.
  • 65.
    09/12/2015 65 Relação entreos epicôndilos medial e lateral e o olécrano no: Cotovelo em extensão Cotovelo em flexão
  • 66.
    A cabeça radialsitua-se entre uma depressão medial e posterior ao grupo muscular extensor do punho. Palpação da cabeça radial: supinação e pronação do antebraço rota a cabeça radial embaixo do polegar
  • 67.
    Palpação do nervoulnar no túnel do ulnar, entre o epicôndilo medial e o olécrano.
  • 68.
  • 69.
    A “massa móvelde três” – extensores do punho (braquioradial, extensor radial longo do carpo, extensor radial curto do carpo). Palpação do braquioradial.
  • 70.
    O ligamento anular– esse ligamento está inserido junto ao ligamento colateral lateral e cobre o colo e a cabeça radial mantendo-os na articulação radio-ulnar.
  • 71.
    A fossa cubitalou ulnar ( é um espaço triangular limitado lateralmente pelo braquioradial e medialmente pelo pronador redondo. A base da fossa é limitada por uma linha imaginária entre os epicôndilos umerais).
  • 72.
  • 73.
    09/12/2015 Dr. JoséHeitor M. Fernandes 73 RX normal do antebraço
  • 74.
    09/12/2015 Dr. JoséHeitor M. Fernandes 74 Movimentos do Cotovelo e do Antebraço
  • 75.
    Amplitude de movimentodo cotovelo. A – Flexão e Extensão. B- Pronação e supinação.
  • 76.
    09/12/2015 Dr. JoséHeitor M. Fernandes 76 Cotovelo - Amplitude Articular: 0-145°
  • 77.
    09/12/2015 Dr. JoséHeitor M. Fernandes 77 A amplitude normal de flexão do cotovelo é de 0 a 145° O Arco Funcional de movimento é um pouco menor, a maioria das atividades pode ser desempenhadas com flexão de 30 a 130°
  • 78.
    09/12/2015 Dr. JoséHeitor M. Fernandes 78 Os movimentos de pronação e supinação são em média de 75 e 85° A maioria das atividades de vida diária pode ser executada com 50° de cada movimento
  • 79.
    Flexão (Ativo Resistido) Fonte:Profa. Dra. Sílvia Maria Amado João
  • 80.
    Extensão (Ativo Resistido) Fonte:Profa. Dra. Sílvia Maria Amado João
  • 81.
    Pronação (Ativo Resistido) Fonte:Profa. Dra. Sílvia Maria Amado João
  • 82.
    Supinação (Ativo Resistido) Fonte:Profa. Dra. Sílvia Maria Amado João
  • 83.
    Avaliação da ForçaMuscular - Bíceps Fonte: Profa. Dra. Sílvia Maria Amado João
  • 84.
    figura 09/12/2015 Dr. JoséHeitor M. Fernandes 84
  • 85.
    09/12/2015 Dr. JoséHeitor M. Fernandes 85
  • 86.
    Exame Clínico Ortopédico-Cotovelo • INSTABILIDADE DO COTOVELO • A instabilidade medial pode ocorrer em atletas que, durante o jogo, exponham o cotovelo a graves estresses em valgo, por exemplo, lançadores de dardo e arremessadores de beisebol. Em tais casos, pode haver estiramento dos ligamentos colaterais ulnares, ou mesmo ruptura. Casos moderados podem melhorar com o descanso, porém alguns podem necessitar de reconstrução, quando se deseja continuar a prática da atividade. Observa-se , também, instabilidade na artrite reumatóide, na síndrome de Ehers-Danlos e na doença de Charcot. Fonte: McRae,R; Clinical Orthopaedic Examination, Elsevier Ltd. - 2010
  • 87.
    Ângulo de carganormal do cotovelo: entre 5 e 15 graus
  • 88.
    Ângulo de Carga Fonte:Stanley Hoppenfeld – Exame Físico da coluna e extremidades.
  • 89.
    09/12/2015 Dr. JoséHeitor M. Fernandes 89 Ângulo de Carga ou de Carregação Nos homens o ângulo normal é de 5 a 10 ° Nas mulheres é de 10 a 15° Ângulo maior que 15° = cubitus valgus Ângulo menor que 5 a10° = cubitus varus
  • 90.
    figura 09/12/2015 Dr. JoséHeitor M. Fernandes 90
  • 91.
    Exame Clínico Ortopédico-Cotovelo • DESVIO EM VARO E VALGO • Uma diminuição ou aumento do ângulo de transporte do cotovelo geralmente é consequente de uma fratura supracondilar ou outro tipo de fratura ocorrida durante a infância. Embora a criança normal apresente grande poder de recuperação espontânea após uma lesão, é possível que algum dano epifisário permaneça sem ser corrigido; nos casos em que há evidência no ângulo de transporte, a criança deve continuar sob observação por alguns anos. Se a correção espontânea não acontecer, ou mesmo se houver deterioração, e a deformidade estiver muito acentuada, pode ser realizada uma correção por osteotomia. Posteriormente, ao longo da vida, qualquer uma dessas deformidades resultará em paralisia ulnar tardia. Fonte: McRae,R; Clinical Orthopaedic Examination, Elsevier Ltd. - 2010
  • 92.
    Reflexos nervosos: bicipitalC5; braquioradial C6 Fonte: Stanley Hoppenfeld – Exame Físico da coluna e extremidades. C5 C6
  • 93.
    Reflexos nervosos: tricipitalC7 C7 Fonte: Stanley Hoppenfeld – Exame Físico da coluna e extremidades.
  • 94.
    A sensibilidade aoredor do cotovelo é controlada por quatro suprimentos nervosos diferentes: C5, C6, C8 e T1
  • 95.
    José Heitor Machado Fernandes 95 Distribuíçãodos nervos sensitivos ao redor do cotovelo 1- N.cutâneo lateral inferior do braço 2-N.cutâneo medial do braço 3- N. cutâneo medial do antebraço 4-N. cutâneo lateral do antebraço 5- N. cutâneo posterior do antebraço
  • 96.
    Patologia do punho,do ombro e da coluna cervical podem referir sintomas (dor) ao cotovelo.
  • 97.
  • 98.
    09/12/2015 Dr. JoséHeitor M. Fernandes 98 Instabilidade articular do Cotovelo • Apesar de a anatomia dos ossos fornecer suporte e estabilidade ao cotovelo, as lesões associadas ao ligamento colateral ulnar levam a intensas incapacidades funcionais. • Secundariamente, outras partes da articulação são envolvidas com lesões cartilaginosas e formação de corpos livres da cabeça do rádio e olécrano, o que impede a prática esportiva. • O agravamento das lesões torna o cotovelo instável pela frouxidão das estruturas mediais. • A função alterada desenvolve compressão do nervo ulnar e conflito entre o olécrano e a cavidade olecraniana, com formação de esporões e lesões cartilaginosas (fig. a seguir).
  • 99.
    09/12/2015 Dr. JoséHeitor M. Fernandes 99 Conflito entre olécrano e a cavidade olecraniana
  • 100.
    figura 09/12/2015 Dr. JoséHeitor M. Fernandes 100
  • 101.
    Avaliação da estabilidadeligamentar do cotovelo Estresse em Varo Se trauma ligamentar lateral, abertura articular lateral. < Estresse em Valgo Se trauma ligamentar medial, abertura articular medial. Fonte: Profa. Dra. Sílvia Maria Amado João
  • 102.
    09/12/2015 Dr. JoséHeitor M. Fernandes 102
  • 103.
    09/12/2015 Dr. JoséHeitor M. Fernandes 103 • A articulação úmero-radial tem grande importância na estabilidade da articulação pela disposição óssea, suportando forças de compressão. • A estabilidade medial dada pelo ligamento colateral ulnar é possível, mesmo que grande parte do olécrano seja retirada, pois a inserção do fascículo anterior impede o deslocamento. • A secção do ligamento colateral ulnar leva a grave instabilidade, mesmo com olécrano íntegro.
  • 104.
    figura 09/12/2015 Dr. JoséHeitor M. Fernandes 104
  • 105.
    09/12/2015 Dr. JoséHeitor M. Fernandes 105 Ligamento colateral ulnar- cotovelo
  • 106.
    09/12/2015 Dr. JoséHeitor M. Fernandes 106 Ligamento colateral ulnar ( em flexão)
  • 107.
    figura 09/12/2015 Dr. JoséHeitor M. Fernandes 107
  • 108.
    09/12/2015 Dr. JoséHeitor M. Fernandes 108
  • 109.
    09/12/2015 Dr. JoséHeitor M. Fernandes 109
  • 110.
    09/12/2015 Dr. JoséHeitor M. Fernandes 110 Compartimento lateral do cotovelo
  • 111.
    09/12/2015 Dr. JoséHeitor M. Fernandes 111
  • 112.
    09/12/2015 Dr. JoséHeitor M. Fernandes 112 DISCUSSÃO • Os grupos musculares da região do cotovelo constituem a primeira linha de defesa aos diferentes traumas agudos ou crônicos. • As rupturas musculares não são freqüentes. • Os esforços repetitivos são significativos, o que leva a processos inflamatórios ou degenerativos (tendinites, epicondilites, tennis elbow e outros). • As estruturas ligamentares são atingidas com freqüência,principalmente nos esforços em valgo do ligamento colateralulnar (fascículo anterior, principalmente). • Essas lesões são comuns na prática de esportes.
  • 113.
    09/12/2015 Dr. JoséHeitor M. Fernandes 113 CONCLUSÃO • O estudo das estruturas anatômicas descritas isolada ou conjuntamente constitui fundamento essencial para avaliação das diversas síndromes dolorosas do cotovelo e para seu tratamento específico. Lyle Norwood A., et al: Acute medial elbow ruptures. Am J Sports
  • 114.
    09/12/2015 Dr. JoséHeitor M. Fernandes 114 ARTROSE DO COTOVELO
  • 115.
    Exame Clínico Ortopédico-Cotovelo • ARTROSE DO COTOVELO • A artrose primária da articulação do cotovelo ocorre comumente em indivíduos que executam trabalho pesado. • A artrose de cotovelo também é observada após fraturas antigas envolvendo superfícies articulares do cotovelo. • Pode, ainda, seguir-se à osteoartrite dissecante. Tanto a artrose como a osteoartrite dissecante podem levar a formação de corpos livres intra- articulares que restringem os movimentos ou provocam o travamento da articulação. Esta pode travar em qualquer posição e o paciente frequentemente desenvolve a habilidade de destravá-la sozinho. • Se forem encontrados corpos livres, será preciso removê-los para evitar que ocorram novos episódios de travamento, bem como para reduzir o risco de que possam provocar mais danos à superfícies articulares. Fonte: McRae,R; Clinical Orthopaedic Examination, Elsevier Ltd. - 2010
  • 116.
    Ressonância magnética docotovelo direito Corte coronal, sequência T1 (a) (a) Osteófitos marginais no côndilo umeral medial e na ulna (setas), irregularidade dos contornos do osso subcondral do úmero, rádio e ulna
  • 117.
    Cortes coronais (anteriorpara posterior), sequência STIR (b, c) (b) Indefinição da porção proximal do ligamento colateral radial (seta preta). Fratura da margem medial da cabeça do rádio, com extensão articular (seta branca).
  • 118.
    c) Espessamento heterogêneoe ondulação do tendão comum dos extensores (seta). Significativo edema dos planos gordurosos da região lateral do cotovelo. Edema intra-muscular peri-articular
  • 119.
    Corte sagital, sequênciaSTIR (f) Corpo livre intra-articular (seta). Derrame articular
  • 120.
  • 121.
    09/12/2015 Dr. JoséHeitor M. Fernandes 121 Causas
  • 122.
    09/12/2015 Dr. JoséHeitor M. Fernandes 122 Destruíção severa da cartilagem
  • 123.
    09/12/2015 Dr. JoséHeitor M. Fernandes 123 RX
  • 124.
    Achados Físicos em Dístúrbiosdo Cotovelo e Antebraço • Artrose do Cotovelo - Flexão ou extensão restritas - Derrame intra-articular (variável) - Crepitação (variável) Fonte: O Exame Físico em Ortopedia – Reider,B.; W.B. Saunders Company
  • 125.
    09/12/2015 Dr. JoséHeitor M. Fernandes 125 Tratamento conservador
  • 126.
    09/12/2015 Dr. JoséHeitor M. Fernandes 126 Tratamento Cirurgico
  • 127.
    09/12/2015 Dr. JoséHeitor M. Fernandes 127
  • 128.
    09/12/2015 Dr. JoséHeitor M. Fernandes 128 Tratamento Cirurgico
  • 129.
    09/12/2015 Dr. JoséHeitor M. Fernandes 129 Artrodese de Cotovelo
  • 130.
    09/12/2015 Dr. JoséHeitor M. Fernandes 130 Prótese Total de Cotovelo
  • 131.
    09/12/2015 Dr. JoséHeitor M. Fernandes 131 ARTROPLASTIA TOTAL DE COTOVELO
  • 132.
    09/12/2015 Dr. JoséHeitor M. Fernandes 132 Indicações Artrose Osteoporose Artrite Reumatóide
  • 133.
    09/12/2015 Dr. JoséHeitor M. Fernandes 133
  • 134.
    09/12/2015 Dr. JoséHeitor M. Fernandes 134 O Cotovelo Artificial
  • 135.
    09/12/2015 Dr. JoséHeitor M. Fernandes 135
  • 136.
    09/12/2015 Dr. JoséHeitor M. Fernandes 136
  • 137.
    09/12/2015 Dr. JoséHeitor M. Fernandes 137
  • 138.
    09/12/2015 Dr. JoséHeitor M. Fernandes 138 Incisão, introdução dos componentes ulnar e umeral Componente. Ulnar Componente Umeral
  • 139.
    09/12/2015 Dr. JoséHeitor M. Fernandes 139
  • 140.
    09/12/2015 Dr. JoséHeitor M. Fernandes 140
  • 141.
    09/12/2015 Dr. JoséHeitor M. Fernandes 141 Complicações da Artroplastia de Cotovelo • Anestesia • Infecção • Afrouxamento • Trauma de nervo ou de vaso sanguíneo • Em relação as demais artroplastias: de quadril, de ombro e de joelho, a artroplastia de cotovelo é a menos praticada.
  • 142.
    09/12/2015 Dr. JoséHeitor M. Fernandes 142 Ângulo de Carga ou de Carregação Nos homens o ângulo normal é de 5 a 10 ° Nas mulheres é de 10 a 15° Ângulo maior que 15° = cubitus valgus Ângulo menor que 5 a10° = cubitus varus
  • 143.
    figura 09/12/2015 Dr. JoséHeitor M. Fernandes 143
  • 144.
    Exame Clínico Ortopédico-Cotovelo • DESVIO EM VARO E VALGO • Uma diminuição ou aumento do ângulo de transporte do cotovelo geralmente é consequente de uma fratura supracondilar ou outro tipo de fratura ocorrida durante a infância. Embora a criança normal apresente grande poder de recuperação espontânea após uma lesão, é possível que algum dano epifisário permaneça sem ser corrigido; nos casos em que há evidência no ângulo de transporte, a criança deve continuar sob observação por alguns anos. Se a correção espontânea não acontecer, ou mesmo se houver deterioração, e a deformidade estiver muito acentuada, pode ser realizada uma correção por osteotomia. Posteriormente, ao longo da vida, qualquer uma dessas deformidades resultará em paralisia ulnar tardia. Fonte: McRae,R; Clinical Orthopaedic Examination, Elsevier Ltd. - 2010
  • 145.
    09/12/2015 Dr. JoséHeitor M. Fernandes 145 Fraturas do Cotovelo em Criança
  • 146.
  • 147.
  • 148.
  • 149.
  • 150.
    09/12/2015 Dr. JoséHeitor M. Fernandes
  • 151.
    Cúbito valgo (cotoveloesquerdo) Reider, O Exame Físico em Ortopedia – Guanabara Koogan -2001
  • 152.
    Cúbito varo (esquerdo) Reider,O Exame Físico em Ortopedia – Guanabara Koogan -2001
  • 153.
    Cúbito varo leve Reider,O Exame Físico em Ortopedia – Guanabara Koogan -2001
  • 154.
    Cotovelo com angulaçãoem valgo. Cotovelo com angulação em varo (em carabina).
  • 155.
    09/12/2015 Dr. JoséHeitor M. Fernandes 155 Varo do cotovelo em decorrência de fratura (sequela).
  • 156.
    Exame Clínico Ortopédico-Cotovelo • MIOSITE OSSIFICANTE • Esta condição é mais comum após fraturas supracondolares e luxação de cotovelo. Ocorre um processo de calcificação no hematoma que se forma no músculo braquial – o músculo que recobre o aspecto anterior da articulação do cotovelo. É particularmente comum que esteja associada a lesõers da cabeça, podendo ,também, ser consequente a uma fisioterapia muito rigorosa. Provoca o bloqueio mecânico da flexão. Quando descoberta ainda em estágio inicial, é necessário que a articulação permaneça em descanso absoluto, a fim de minimizar a massa de material formada. Nos casos mais avançados, pode ser excisada após a lesão ter permanecido quiescente por muitos meses, e uma única dose de radioterapia é feita no pós-operatório para previnir recaídas. Fonte: McRae,R; Clinical Orthopaedic Examination, Elsevier Ltd. - 2010
  • 157.
    09/12/2015 Dr. JoséHeitor M. Fernandes 157
  • 158.
    LUXAÇÃO DO COTOVELOE FRATURA DA CABEÇA DO RÁDIO: Fig. 1 – Luxação posterior do cotovelo isolada. Fig. 2 – Luxação posterior do cotovelo associada à fratura da cabeça do rádio. Fig. 3 – Luxação lateral do cotovelo isolada.
  • 159.
  • 160.
  • 161.
    Avaliação do Cotovelo •Teste de Cozen (método 1) – 3,5 • Teste de Mill (método 2) – 3,5 • Teste da extensão do 3° dedo contraresistência • - 3,5 • Sinal de Tinel para Túnel do n.Ulnar – 3,5 • Teste da Flexão do Cotovelo bilateral – 3,5
  • 162.
    Exame Clínico Ortopédico-Cotovelo • COTOVELO DE TENISTA • Esta é, sem dúvida, a causa mais comum de dor no cotovelo em pacientes que procuram clínicas ortopédicas. Em geral, acredita-se que seja devido à torção da origem do extensor comum, porém a fibrose do extensor radial curto do carpo ou uma síndrome de aprisionamento do nervo têm sido sugeridas como causas alternativas. • O paciente, em geral, na faixa etária dos 35-50 anos, queixa-se de uma dor localizada na lateral do cotovelo e apresenta dificuldade para segurar qualquer objeto pesado na altura do braço. Pode haver um histórico recente de atividade excessiva envolvendo o cotovelo, por exemplo, espanar poeira, varrer, pintar paredes ou até mesmo, jogar tênis. Fonte: McRae,R; Clinical Orthopaedic Examination, Elsevier Ltd. - 2010
  • 163.
    figura 09/12/2015 Dr. JoséHeitor M. Fernandes 163 Causas
  • 164.
    Exame Clínico Ortopédico-Cotovelo • TESTE DE COZEN • MANOBRA – • O paciente fecha um punho com força, dorsiflexiona-o e mantém uma posição pronada. • O examinador, pegando o antebraço inferior do paciente, aplica uma força flexionadora na postura em dorsiflexão do punho do paciente. • CONDIÇÃO DETECTADA – O teste é positivo se reproduzir a dor lancinante aguda na região do epicôndilo lateral. O teste é significante para epicondilite ou bursite radioumeral. Fonte: McRae,R; Clinical Orthopaedic Examination, Elsevier Ltd. - 2010
  • 165.
    09/12/2015 Dr. JoséHeitor M. Fernandes 165 Anatomia • Inserção dos extensores (ERCC + ECD + ERLC) no epicôndilo lateral
  • 166.
    figura 09/12/2015 Dr. JoséHeitor M. Fernandes 166
  • 167.
    09/12/2015 Dr. JoséHeitor M. Fernandes 167 Teste de Cozen (3,5) Cotovelo de Tenista (método 1)
  • 168.
    09/12/2015 Dr. JoséHeitor M. Fernandes 168
  • 169.
    Pérola Clínica –Teste de Cozen • O teste de Cozen é o teste mais fácil de se realizar para epicondilite lateral. • O paciente, muitas vezes, já descobriu a dor que acompanha a dorsiflexão resistida do punho, como quando eleva uma caixa de leite. • Embora a dor da epicondilite seja algumas vezes extremamente sentida e agudamente localizada, a condição não se diferencia verdadeiramente de tendinite dos extensores do carpo ou bursite radioumeral. Fonte: McRae,R; Clinical Orthopaedic Examination, Elsevier Ltd. - 2010
  • 170.
    09/12/2015 Dr. JoséHeitor M. Fernandes 170 Teste de Mills (3,5) Cotovelo de Tenista (método 2) Enquanto palpa o epicôndilo lateral, o examinador prona o antebraço do paciente, flexiona o punho completamente e estende o cotovelo. Essa manobra também exerce estresse sobre o nervo radial . É sintomática para casos de síndrome do supinador.
  • 171.
    09/12/2015 Dr. JoséHeitor M. Fernandes 171
  • 172.
    Teste de Mills •MANOBRA – • O cotovelo, os dedos e o punho do paciente são flexionados passivamente. • O antebraço é pronado e estendido. • O teste é positivo se a dor no epicôndilo lateral aumentar. • CONDIÇÃO DETECTADA – Um teste positivo indica epicondilite lateral do cotovelo (cotovelo de tenista). Fonte: McRae,R; Clinical Orthopaedic Examination, Elsevier Ltd. - 2010
  • 173.
    09/12/2015 Dr. JoséHeitor M. Fernandes 173 Teste para Cotovelo de Tenista O examinador resiste a extensão do 3° dedo da mão na falange distal, forçando o músculo e tendão extensor dos dedos. Um teste positivo é indicado por dor sobre o epicôndilo lateral do úmero
  • 174.
    Tratamento ( quadrode Nirch 1982) Relação entre estadiamento das epicondilites, patologia, clínica e tratamento ESTADIAMENTO PATOLOGIA CLÍNICA TRATAMENTO _________________________________________________________________________ Categoria 1. - inflamação aguda - dor leve após exercício - rápida resposta reversível. pesado ou movimento aos AINEs - sem invasão repetitivo. angiofibrobástica. ________________________________________________________________________ Categoria 2. - invasão angiofi- - dor intensa durante a - conservador se broblástica parcial atividade e no repouso. menos da me- e irreversível. - após o período de tade do tendão repouso é possível re- está comprome- alizar atividade sem tido. desconforto. __________________________________________________________________________ Categoria 3. - invasão angiofibro- - dor ao repouso e dor - cirúrgico blástica extensa, noturna. ruptura parcial ou - impossibilidade de realizar completa do tendão. tarefas diárias.
  • 175.
  • 176.
    Achados Físicos em Dístúrbiosdo Cotovelo e Antebraço • Epicondilite Lateral (Tendinite da Origem Extensora) - Hipersensibilidade no epicôndilo lateral na origem dos tendões acometidos - Dor produzida por extensão contra-resistência do punho ( teste de Cozen) - Dor na flexão passiva dos dedos das mãos e do punho com cotovelo totalmente estendido (variável) - Dor produzida no epicôndilo a extensão do III QDD contra-resistência (teste de Mill) Fonte: O Exame Físico em Ortopedia – Reider,B.; W.B. Saunders Company
  • 177.
    Achados Físicos em Dístúrbiosdo Cotovelo e Antebraço • Epicondilite Medial ( Tendinite do Flexor-pronador) - Hipersensibilidade sobre a origem comum dos flexores - Teste de flexão contra-resistência do punho reproduzindo a dor - Pronação contra-resistência do antebraço reproduzindo a dor Fonte: O Exame Físico em Ortopedia – Reider,B.; W.B. Saunders Company
  • 178.
    09/12/2015 Dr. JoséHeitor M. Fernandes 178 EPICONDILITE MEDIAL / Golfer’s Elbow
  • 179.
    09/12/2015 Dr. JoséHeitor M. Fernandes 179
  • 180.
    09/12/2015 Dr. JoséHeitor M. Fernandes 180
  • 181.
    Teste para cotovelode golfista • MANOBRA – • O paciente está sentado com o cotovelo flexionado ligeiramente e a mão supinada. • O paciente flexiona o punho contra resistência. • Dor no epicôndilo medial sugere epicondilite. • Na epicondilite medial mais grave, os grupos musculares flexores estão enfraquecidos e o mecanismo cotovelo-punho pode ser estendido pelo examinador. • A extensão completa das articulações do cotovelo localiza a lesão mais precisamente nas contraturas da aponeurose medial. • CONDIÇÃO DETECTADA – Quando o teste para cotovelo de golfista é positivo sugere tendinite da aponeurose dos flexores-pronadores no epicôndilo medial. Fonte: McRae,R; Clinical Orthopaedic Examination, Elsevier Ltd. - 2010
  • 182.
  • 183.
    Teste para estabilidadeligamentar medial e lateral do cotovelo. Força em varo aplicada ao cotovelo Força em valgo aplicada ao cotovelo Fonte: Stanley Hoppenfeld – Exame Físico da coluna e extremidades.
  • 184.
    09/12/2015 Dr. JoséHeitor M. Fernandes 184 <
  • 185.
    09/12/2015 Dr. JoséHeitor M. Fernandes 185
  • 186.
  • 187.
    Bursite do Olécrano •O inchaço da bursa do olécrano é comum em indivíduos que trabalham com instalação de carpete, bem como naqueles que traumatizam repetidamente o aspecto posterior da articulação do cotovelo. • O inchaço da bursa é igualmente comum na artrite reumatóide, podendo estar associado a massas nodulares na porção proximal do antebraço. • A condição não costuma ser dolorosa, a menos que esteja associada à infecção bacteriana da bursa. A excisão é recomendada em alguns casos, por questões estéticas.
  • 188.
  • 189.
    09/12/2015 Dr. JoséHeitor M. Fernandes 189
  • 190.
  • 191.
  • 192.
    09/12/2015 Dr. JoséHeitor M. Fernandes 192
  • 193.
    Tofos gotosos noscotovelos esquerdos
  • 194.
  • 195.
    Assuntos do Módulo14 COTOVELOS - 2 14- Síndrome do túnel ulnar 15- Ruptura do tendão distal do Bíceps 16- Patologia do punho, do ombro e da coluna cervical podem referir sintomas (dor) ao cotovelo 17- Radiologia do sistema musculoesquelético 18- Estudo de casos semiológicos de ombro 19- Apresentação de casos clínicos 20- Medscape – artigos de cirurgia ortopédica para cotovelo
  • 196.
  • 197.
    figura 09/12/2015 Dr. JoséHeitor M. Fernandes 197
  • 198.
  • 199.
    09/12/2015 Dr. JoséHeitor M. Fernandes 199 Digitopercussão do nervo ulnar no cotovelo (3,5) Túnel do ulnar
  • 200.
    Teste de Tinelpara Túnel do Ulnar no cotovelo
  • 201.
    09/12/2015 Dr. JoséHeitor M. Fernandes 201 Sintomas
  • 202.
    09/12/2015 202 Teste daflexão do cotovelo (3,5) Síndrome do Túnel do Ulnar (segunda neuropatia mais frequente do MS)
  • 203.
    Achados Físicos em Dístúrbiosdo Cotovelo e Antebraço • Síndrome do Túnel Ulnar ( Túnel Cubital) - Hipersensibilidade no trajeto do nervo ulnar - Sinal de Tinel anormal sobre o nervo ulnar quando este passa através do túnel do ulnar - Teste anormal de compressão do nervo ulnar - Teste anormal de flexão do cotovelo bilateral (variável) - Sensibilidade anormal (discriminação de dois pontos ou toque suave), no dedo mínimo, ou na face ulnar do dedo anular (IV QDD); na face ulnar da mão (variável) - Fraqueza e atrofia dos músculos intrínsecos da mão inervados pelo nervo ulnar (variável) - Fraqueza do m. flexor profundo dos dedos no dedo mínimo (variável) Fonte: O Exame Físico em Ortopedia – Reider,B.; W.B. Saunders Company
  • 204.
    Ruptura do tendãodistal do bíceps
  • 205.
    Achados Físicos em Dístúrbiosdo Cotovelo e Antebraço • Ruptura do Tendão Distal do Bíceps - Aumento de volume no braço (Popeye arm) - Equimose - Lacuna palpável no tendão do m. bíceps braquial - Supinação e flexão do cotovelo fracas Fonte: O Exame Físico em Ortopedia – Reider,B.; W.B. Saunders Company
  • 206.
  • 207.
  • 208.
    Radiologia Convencional ouRadiografia Simples ou Raio X Simples Musculoesqauelético • Radiografia da coluna cervical • Radiografia da coluna torácica • Radiografia da coluna lombar • Radiografia de tórax • Radiografia do ombro • Radiografia do cotovelo • Radiografia do antebraço • Radiografia do punho • Radiografia da mão • Radiografia do abdômen • Radiografia da bacia (pelve) • Radiografia do quadril Fonte: info-radiologie.ch • Radiografia do joelho • Radiografia do tornozelo • Radiografia do pé
  • 209.
    RM Musculoesquelética • RessonânciaMagnética de ombro • Ressonância Magnética do cotovelo • Ressonância Magnética do quadril • Ressonância Magnética da coxa • Ressonância Magnética do joelho • Ressonância Magnética do tornozelo • TC Musculoesquelética • Tomografia Computadorizada do Tornozelo e do Pé Fonte: info-radiologie.ch
  • 210.
  • 211.
    Após qualquer exame,o paciente deve ser advertido quanto à possibilidade de exacerbação de sintomas em consequência da avaliação física com os testes especiais.
  • 212.
    ESTUDO DE CASOSSEMIOLÓGICOS Cotovelo • Uma mulher de 24 anos queixa-se de dor na face medial do cotovelo direito. Algumas vezes, a dor extende-se até o antebraço e é frequen- temente acompanhada por formigamentos do dedo mínimo e metade do dedo anular. A dor e a parestesia são particularmente incômodas quando, em momentos de lazer, joga voleibol, o que aprecia bastante. Descreva seu plano de avaliação para esta paciente. (neurite ulnar versus epicondilite medial). • Um homem de 52 anos é encaminhado com uma história de dor no cotovelo direito. Ele queixa-se de sensibilidade sobre o epicôndilo lateral e relata que não vem realizando qualquer atividade repetitiva com o antebraço e que não joga tênis. Ele apresenta um certo grau de restrição nos movimentos cervicais. Descreva seu plano de avaliação para este paciente. (espondilose cervical versus epicondilite lateral) Fonte: Magee, D J; Orthopedic Physical Assessment , 4th Ed., Elseiver- 2002
  • 213.
    ESTUDO DE CASOSSEMIOLÓGICOS Cotovelo • Um homem de 46 anos queixa-se de dor difusa no cotovelo esquerdo. Ao carregar uma pasta por três ou quatro quarteirões, o seu cotovelo torna- se rígido e dolorido. Quando ele apanha coisas com a mão esquerda, a dor aumenta dramaticamente. Descreva seu plano de avaliação para este paciente. (epicondilite lateral versus artrose) • Uma ginasta de 14 anos queixa-se de dor no cotovelo. Ela explica que, ao executar um salto, ela dobrou o cotovelo para trás e ouviu um estalido. A lesão ocorreu há 1 hora. A paciente apresenta um aumento de volume no local e evita mover o cotovelo. Descreva seu plano de avaliação para esta paciente. (ruptura do tendão do bíceps versus fratura epifisária) Fonte: Magee, D J; Orthopedic Physical Assessment , 4th Ed., Elseiver- 2002
  • 214.
    Apresentação de CasosClínicos de Cotovelo
  • 215.
    • Autor Nome: PAULOROBERTO VILAÇA JÚNIOR Cidade: SAO PAULO Estado: SP Hospital: Hospital do Pari - Associação Beneficente Nossa Senhora do Pari Departamento: Preceptoria de Ombro e Cotovelo • Informações sobre o Caso Clínico Fixação com placas paralelas de fratura supraintercondileana do úmero • Resumo do caso: Paciente com fratura supraintercondileana do úmero, submetida a tratamento cirúrgico com fixação com placas paralelas. • Paciente (dados): Feminino, 30 anos. • História: Vítima de acidente automobilístico em 2008. Evoluiu com dor e impotência funcional no membro superior esquerdo. Diagnóstico de fratura supraintercondileana do úmero. • Diagnóstico(s): fratura supraintercondileana do úmero 13-C2 • Tratamento(s): Submetida à redução cruenta e fixação com uso de parafusos corticais de 3.5 e placas de reconstrução de 3.5, paralelas modeladas no ato operatório. Osteotomia do olécrano e fixação com banda-de-tensão. Feito transposição anterior do nervo ulnar. Reabilitação fisioterápica imediata do membro. Sem necessidade de imobilizações, exceto tipóia nos primeiros dias, se dor. • Seguimento ("Follow up"): 2 anos. Fonte: Portal da SBCOC – casos clínicos
  • 216.
    Fonte: Portal daSBCOC – casos clínicos Radiografia pré- operatória de frente. Fratura supraintercondileana 13-C2.
  • 217.
    Fonte: Portal daSBCOC – casos clínicos Radiografia pré-operatória de Perfil.
  • 218.
    Fonte: Portal daSBCOC – casos clínicos Radiografia pós-operatória de frente. Fixação com placas paralelas e banda-de -tensão no olécrano.
  • 219.
    Fonte: Portal daSBCOC – casos clínicos Radiografia pós-operatória de perfil. Fixação com placas paralelas e banda-de -tensão no olécrano.
  • 220.
    Fonte: Portal daSBCOC – casos clínicos Resultado clínico pós- operatório Flexão.
  • 221.
    Fonte: Portal daSBCOC – casos clínicos Resultado clínico pós-operatório Extensão.
  • 222.
    Apresentação de CasosClínicos de Cotovelo
  • 223.
    • Autor Nome: AMERICOZOPPI FILHO Cidade: SAO PAULO Estado: SP Hospital: Hospital da Faculdade de Ciências Médicas - UNICAMP Departamento: Departamento de Ortopedia e Traumatologia Faculdade de Ciências Médicas - UNICAMP • Informações sobre o Caso Clínico: Fratura de Cotovelo em paciente idoso • Resumo do caso: Paciente do sexo feminimo, 67 anos, portadora de AR, que sofreu queda sobre o cotovelo Direito h[a 5 dias. • Paciente (dados): Feminina, 67 anos • História: Paciente com Artrite Reumatóide, fazendo uso de corticóides há mais de 20 anos. Há 5 dias queda sobre o cotovelo D. ; Frat. exposta puntiforme. Foi atendida em outro serviço onde instalaram o fixador externo após a limpeza e desbridamento cirúrgico. • Diagnóstico(s): Fratura Supra-intercondileana do cotovelo direito • Tratamento(s): Retirada do fixador externo e artroplastia do cotovelo Direito. • Seguimento ("Follow up"): Fixador externo retirado após 15 dias para tratamento definitivo com artroplastia. Fonte: Portal da SBCOC – casos clínicos
  • 224.
    Fonte: Portal daSBCOC – casos clínicosPaciente com fixador externo no membro superior para estabilizar a fratura do cotovelo direito.
  • 225.
    Fonte: Portal daSBCOC – casos clínicos Paciente com fixador externo no membro superior para estabilizar a fratura do cotovelo direito.
  • 226.
    Fonte: Portal daSBCOC – casos clínicos Radiografia inicial da fratura cominutiva do cotovelo direito.
  • 227.
    Fonte: Portal daSBCOC – casos clínicos Imagem intra-operatória da fratura
  • 228.
    Fonte: Portal daSBCOC – casos clínicosImagem intra-operatória da fratura.
  • 229.
    Fonte: Portal daSBCOC – casos clínicosAspecto intra-operatório da prótese no cotovelo.
  • 230.
    Fonte: Portal daSBCOC – casos clínicos Radiografia de controle pós-operatório da prótese do cotovelo direito.
  • 231.
    Artigos de CirurgiaOrtopédica Medscape http://emedicine.medscape.com/orthopedic_surgery
  • 232.
    Orthopedic Surgery Articles Elbow CoronoidFracture Elbow Arthrocentesis Elbow Collateral Ligaments Elbow Dislocation in Emergency Medicine Floating Elbow Joint Reduction, Elbow Dislocation, Posterior Lateral Epicondylitis Surgery Lateral Humeral Condyle Fracture Medial Humeral Condyle Fracture Monteggia Fracture Olecranon Bursa Aspiration Olecranon Fractures Posterior Elbow Splinting Surgery for Medial Epicondylitis Ulnar Gutter Splinting
  • 233.