Incorporar apresentação
Baixado 131 vezes



























































































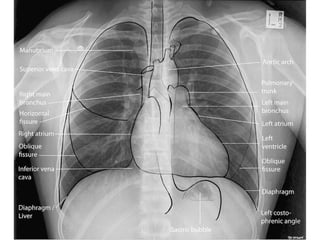
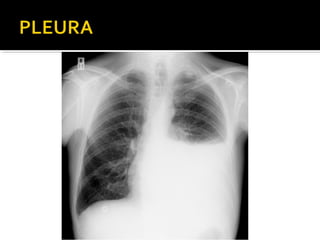
Este documento fornece parâmetros técnicos para realizar uma radiografia de tórax, incluindo posicionamento correto do paciente, dose adequada de radiação e estruturas anatômicas a serem avaliadas, como coração, pulmões, pleura, diafragma e ossos do tórax.

























































































