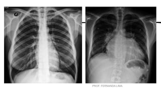
POSICIONAMENTO DE
TORAX
ANATOMIA BÁSICA E ROTINA DE
POSICIONAMENTO DE TÓRAX
PROF. FERNANDA LIMA
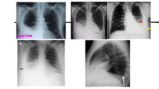
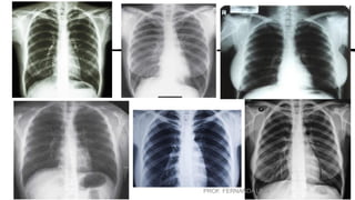
TORAX
PROF. FERNANDA LIMA
A anatomia radiográfica do tórax é divida em três seções:
•caixa torácica,
•sistema respiratório
•mediastino.
PROF. FERNANDA LIMA
ANATOMIA
• A CAIXA TORÁCICA fornece uma estrutura de proteção.
• Esterno tem três divisões.
• Manúbrio, corpo, processo xifoide.
• Duas Clavículas
• Duas Escápulas
• 12 pares de costelas que circundam o tórax.
PROF. FERNANDA LIMA
Sistema respiratório - A respiração consiste na troca de substâncias
gasosas entre o ar que respiramos e a corrente sanguínea.
• Faringe
• Traqueia
• Brônquios; Bronquíolos; Alvéolos
• Pulmões.
• Diafragma formato de cúpula,
músculo primário da inspiração.
• Cada metade do diafragma denomina-
se hemicúpula; hemidiafragma.
(“hemi” significa metade).
PROF. FERNANDA LIMA
PROF. FERNANDA LIMA
Mediastino -
A porção mediana da cavidade torácica, localizada entre os pulmões, é denominada mediastino.
PROF. FERNANDA LIMA
PROF. FERNANDA LIMA
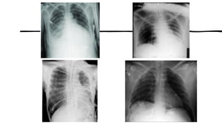
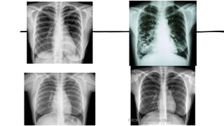
TIPOS FÍSICOS
PROF. FERNANDA LIMA
TIPOS FÍSICOS
PROF. FERNANDA LIMA
PROF. FERNANDA LIMA
PROF. FERNANDA LIMA
PROF. FERNANDA LIMA
PROF. FERNANDA LIMA
Movimentos
respiratórios
Inspiração
A entrada de ar nos pulmões, a inspiração, dá-se pela contração da
musculatura diafragma e dos músculos intercostais (músculos que
estão entre as costelas).
Expiração
Em seguida ocorre a saída de ar dos pulmões, a expiração,
acontece o relaxamento da musculatura do diafragma e dos
músculos intercostais, eleva-se o diafragma e as costelas abaixam,
diminuindo assim o volume da caixa torácica, expulsando o ar dos
pulmões.
PROF. FERNANDA LIMA
PROF. FERNANDA LIMA
PROF. FERNANDA LIMA
GRAU DE
INSPIRAÇÃO
• •Identificar e contar os pares
de costelas.
• (O 1º e 2º pares são os mais
difíceis de localizar.)
• •Inspirar da maneira mais
profunda possível e então prender
a respiração de modo a aerar os
pulmões por completo.
• (Fazer uma segunda inspiração
profunda antes de prender a
respiração permite uma inspiração
ainda mais profunda)
PROF. FERNANDA LIMA
• Observar o grau de
deslocamento
do diafragma para baixo
através da contagem dos
pares de costelas
projetadas acima
das cúpulas do
diafragma.
• Uma regra geral para a
média dos adultos
é “mostrar” um mínimo
de dez costelas no tórax
em PA ideal.
PROF. FERNANDA LIMA
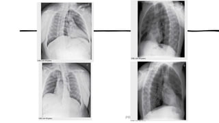
POSICIONAMENTOS DE ROTINA - TÓRAX
• INDICAÇÕES CLÍNICAS (P/ Posição Ortostática)
• •Derrames pleurais
• •Pneumotórax
• •Atelectasia e sinais de infecção.
• ROTINA BÁSICA TÓRAX
• •PA (Posteroanterior)
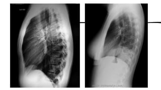
• •Perfil Esquerdo
PROF. FERNANDA LIMA
PROF. FERNANDA LIMA
OBSERVAÇÃO
PROF. FERNANDA LIMA
PROF. FERNANDA LIMA
PROF. FERNANDA LIMA
PROF. FERNANDA LIMA
PROF. FERNANDA LIMA
PROF. FERNANDA LIMA
PROF. FERNANDA LIMA
PROF. FERNANDA LIMA
PROF. FERNANDA LIMA
PROF. FERNANDA LIMA
PROF. FERNANDA LIMA
PROF. FERNANDA LIMA
PROF. FERNANDA LIMA
PROF. FERNANDA LIMA
POSICIONAMENTOS DE ROTINA ESPECIAIS
PARA TÓRAX
• AP em decúbito dorsal ou reclinado (semiereta)
• Decúbito lateral
• Apicolordótica
• Oblíqua anterior e posterior
PROF. FERNANDA LIMA
PROF. FERNANDA LIMA
PROF. FERNANDA LIMA
PROF. FERNANDA LIMA
PROF. FERNANDA LIMA
FATORES TÉCNICOS:
• DFR mínima − 183 cm (se possível)
• Tamanho do RI – 35 × 43 cm (14 × 17
polegadas),
longitudinal
• Grade
• Sistemas analógicos ou digitais –
faixa de 100 a 125 kV
• Identificar (D.D ou Semiereto) e
RI
identificando o lado Direito.
Indicações Clínicas
•Esta incidência irá mostrar lesões envolvendo
os pulmões, o diafragma e o mediastino.
AP EM D.DORSAL ou
RECLINADO (semiereto)
PROF. FERNANDA LIMA
RC
• RC angulado no sentido caudal para ficar
perpendicular ao eixo longitudinal do
esterno (geralmente requer ± 5° de
angulação caudal a fim de evitar que as
clavículas obscureçam os ápices)
• RC no nível da T7, 8 a 10 cm (3 a 4
polegadas) abaixo da incisura jugular.
RESPIRAÇÃO
• A exposição é realizada no final da
segunda inspiração profunda.
PROTEÇÃO
• Proteger tecidos radiossensíveis fora da
região de interesse.
PROF. FERNANDA LIMA
PROF. FERNANDA LIMA
PROF. FERNANDA LIMA
CRITÉRIOS DE
AVALIAÇÃO
ANATOMIA DEMONSTRADA
• São observados ambos os pulmões, dos ápices até
os seios costofrênicos e a traqueia, preenchida por
ar, do nível da T1 para baixo. • As sombras hilares,
o coração, os grandes vasos e a caixa torácica são
evidenciados.
POSIÇÃO
• Queixo suficientemente elevado para impedir sua
superposição sobre os ápices. • Rotação anterior
dos ombros o suficiente para impedir a
das escápulas nos campos
superposição
pulmonares.
EXPOSIÇÃO
• Sem artefato de movimento, evidenciado pelos
contornos bem definidos das costelas, diafragma,
e da silhueta cardíaca. • Contraste com ampla
escala de tons de cinza objetivando a visualização
da fina trama vascular nos pulmões.
PROF. FERNANDA LIMA
AP – DECÚBITO LATERAL
(Método de Laurell)
FATORES TÉCNICOS:
• DFR mínima − 183 cm
• Tamanho do RI – 35 × 43 cm (14 ×
posicionando
transversalmente (em relação à
posição do paciente)
• Grade
• Sistemas analógicos ou digitais –
faixa de 110 a 125 kV
• Identificar como “decúbito”
Indicações Clínicas
• Pequenos derrames pleurais são
demonstrados pela presença de níveis
hidroaéreos no espaço pleural.
•Pequenas quantidades de ar na
cavidade pleural podem indicar um possível
pneumotórax.
PROF. FERNANDA LIMA
POSICIONAMENTO DO
PACIENTE
• Coxim radiotransparente abaixo do paciente.
• Paciente deitado sobre o lado direito no decúbito
lateral direito ou sobre o lado esquerdo no decúbito
lateral esquerdo.
• Queixo do paciente erguido e ambos os braços
erguidos acima da cabeça para não haver
superposição sobre o campo pulmonar; as costas do
paciente firmemente apoiadas contra o RI; maca
travada para impedir que o paciente se mova para
frente e sofra uma queda; travesseiro sob a cabeça.
• Joelhos levemente fletidos e plano coronal paralelo
ao RI sem rotação do corpo.
POSIÇÃO DA PARTE
• Ajustar a altura do RI centralizando o ponto central
do tórax em relação ao RI.
• Ajustar o paciente e a maca para centralizar o plano
mediossagital e a T7 no RC.
PROF. FERNANDA LIMA
OBSERVAÇÕES
• Identificar corretamente o lado com um D ou E
com o objetivo de indicar qual lado do tórax
está para baixo.
• Em caso de suspeita de líquido na cavidade pleural
(derrame pleural), o lado suspeito deve estar para
baixo. Não cortar este lado do tórax. do corpo do
paciente. Este indicador deve ser colocado nA
identificação deve marcar o lado esquerdo ou
direitoo RI antes da exposição.
• Para a avaliação de possíveis pequenas quantidades
de ar na cavidade pleural (pneumotórax), o lado
afetado deve ficar para cima, com cuidado para não
cortar este lado do tórax.
PROF. FERNANDA LIMA
RC
• RC horizontal, direcionado para o centro
da RI, no nível da T7. Um feixe
horizontal deve ser usado para mostrar
níveis hidroaéreos ou pneumotórax.
RESPIRAÇÃO
final da
• A exposição é realizada no
segunda inspiração profunda.
PROTEÇÃO
• Proteger tecidos radiossensíveis fora
da região de interesse.
PROF. FERNANDA LIMA
PROF. FERNANDA LIMA
ANATOMIA DEMONSTRADA
• Pulmões totalmente visualizados, incluindo ápices,
os dois seios costofrênicos e as duas bordas
laterais das costelas.
POSIÇÃO
• Sem rotação, a distância entre a coluna vertebral e
as bordas laterais das costelas em ambos os lados
deve ser igual. • Os braços não devem estar
superpostos aos campos pulmonares superiores.
EXPOSIÇÃO
• Sem movimentação; deve haver definição do
diafragma, costelas, bordas cardíacas e trama
pulmonar. • Exposição ideal, com visualização
parcial de vértebras e costelas através da sombra
cardíaca.
PROF. FERNANDA LIMA
POSIÇÃO
OBLÍQUA
Posições oblíquas do tórax, abdome ou pelve são definidas pela
parte mais próxima ao RI ou pela parte do corpo pela qual o RC sai.
Posições oblíquas posteriores direita e esquerda (OPD e OPE)
• Descreve as posições oblíquas específicas no qual o lado
posterior esquerdo ou direito do corpo está próximo ao RI.
Obs: Também podem ser referidas como incidências
oblíquas AP, pois o RC entra numa superfície anterior e sai
posteriormente.
Posições oblíqua anterior direita e esquerda (OAD e OAE)
• Esses termos se referem às posições oblíquas nas quais o
lado anterior direito ou esquerdo do corpo está próximo ao
RI, e pode estar em posição ereta ou recumbente. Obs:
Também podem ser descritas como incidências oblíquas PA,
se a posição de esclarecimento for incluída, tais como as
posições OAD ou OAE.
PROF. FERNANDA LIMA
TÓRAX: OBLÍQUAS ANTERIORES e POSTERIORES
(OAD e OAE)
FATORES TÉCNICOS:
• DFR mínima − 183 cm
• Tamanho do RI – 35 × 43 cm (14 ×
17 polegadas), longitudinal
• Grade
• Sistemas analógicos ou digitais –
faixa de 110 a 125 kV
Indicações Clínicas
•Investigar patologia envolvendo os campos
pulmonares, traqueia e estruturas do mediastino.
• Determinar o tamanho e os contornos do coração
e grandes vasos.
PROF. FERNANDA LIMA
RC
• RC perpendicular, direcionado ao nível
da T7 (8 a 10 cm abaixo do nível da
proeminência vertebral).
RESPIRAÇÃO
• A exposição é realizada no
segunda inspiração profunda.
PROTEÇÃO
• Proteger tecidos radiossensíveis fora
da região de interesse.
PROF. FERNANDA LIMA
PROF. FERNANDA LIMA
Observação
Nas oblíquas anteriores, o lado de interesse geralmente é
o lado mais distante do RI. Assim, a OAD proporciona a
melhor visualização do pulmão esquerdo.
Certos posicionamentos para estudos do coração e dos
grandes vasos requerem posições oblíquas com um
aumento na rotação do tórax de 45° a 60°.
Uma rotação menor (15° a 20°) pode ser valiosa para
melhor visualização das várias áreas pulmonares no caso
de uma possível doença pulmonar.
Exceção
As oblíquas posteriores ortostáticas ou em decúbito
podem ser realizadas se o paciente não consegue ficar
em pé para obter oblíquas anteriores ou outras incidências
necessárias.
PROF. FERNANDA LIMA
ANATOMIA
DEMONSTRADA
• Ambos os pulmões devem ser incluídos dos ápices
até os seios costofrênicos. • Traqueia cheia de ar,
grandes vasos e contornos cardíacos são mais bem
visualizados na posição OAE a 60 graus.
POSIÇÃO
• Na rotação de 45 graus, a distância da margem
externa das costelas até a coluna vertebral no lado
mais afastado do RI deve ter aproximadamente
duas vezes a distância do lado mais próximo ao RI. RC
centralizado no nível da T7.
EXPOSIÇÃO
• Sem movimentação; os contornos do diafragma e
do coração devem aparecer bem definidos.
Exposição e contraste ótimos ideais para a
contornos das costelas, com exceção das áreas
superpostas ao coração.
PROF. FERNANDA LIMA
TÓRAX: OBLÍQUAS ANTERIORES e POSTERIORES
(OPD e OPE)
FATORES TÉCNICOS:
• DFR mínima − 183 cm
• Tamanho do RI – 35 × 43 cm (14 ×
17 polegadas), longitudinal
• Grade
• Sistemas analógicos ou digitais –
faixa de 110 a 125 kV
Indicações Clínicas
• Investigar patologia envolvendo os campos
pulmonares, traqueia e estruturas do mediastino.
• Determinar o tamanho e os contornos do
coração e grandes vasos.
PROF. FERNANDA LIMA
POSICIONAMENTO DO
PACIENTE
• Paciente ereto, rodado 45 graus com a
superfície posterior do ombro direito
apoiada contra o RI para a OPD e vice versa.
• O braço mais próximo do RI deve ficar
levantado e apoiado na cabeça; o outro
braço fica apoiado no quadril com a palma
da mão para fora.
• Paciente olhando para frente.
POSIÇÃO DA PARTE
• Borda superior do RI cerca de 2 cm acima da
proeminência vertebral.
• Tórax centralizado em relação ao RC e ao RI
Posicionamento do Paciente
(em Decúbito)
•Caso o paciente não possa ficar de
pé ou sentar, é possível fazer as
incidências oblíquas posteriores na
mesa.
•Colocar suportes embaixo da cabeça
do paciente e elevando também
quadril e ombros.
PROF. FERNANDA LIMA
PROF. FERNANDA LIMA
OBRIGADA!
PROF. FERNANDA LIMA

POSICIONAMENTO RADIOGRAFICO DE TORAX

  • 1.
    POSICIONAMENTO DE TORAX ANATOMIA BÁSICAE ROTINA DE POSICIONAMENTO DE TÓRAX PROF. FERNANDA LIMA
  • 2.
  • 3.
    A anatomia radiográficado tórax é divida em três seções: •caixa torácica, •sistema respiratório •mediastino. PROF. FERNANDA LIMA
  • 4.
    ANATOMIA • A CAIXATORÁCICA fornece uma estrutura de proteção. • Esterno tem três divisões. • Manúbrio, corpo, processo xifoide. • Duas Clavículas • Duas Escápulas • 12 pares de costelas que circundam o tórax. PROF. FERNANDA LIMA
  • 5.
    Sistema respiratório -A respiração consiste na troca de substâncias gasosas entre o ar que respiramos e a corrente sanguínea. • Faringe • Traqueia • Brônquios; Bronquíolos; Alvéolos • Pulmões. • Diafragma formato de cúpula, músculo primário da inspiração. • Cada metade do diafragma denomina- se hemicúpula; hemidiafragma. (“hemi” significa metade). PROF. FERNANDA LIMA
  • 6.
  • 7.
    Mediastino - A porçãomediana da cavidade torácica, localizada entre os pulmões, é denominada mediastino. PROF. FERNANDA LIMA
  • 8.
  • 9.
  • 10.
  • 11.
  • 12.
  • 13.
  • 14.
  • 15.
    Movimentos respiratórios Inspiração A entrada dear nos pulmões, a inspiração, dá-se pela contração da musculatura diafragma e dos músculos intercostais (músculos que estão entre as costelas). Expiração Em seguida ocorre a saída de ar dos pulmões, a expiração, acontece o relaxamento da musculatura do diafragma e dos músculos intercostais, eleva-se o diafragma e as costelas abaixam, diminuindo assim o volume da caixa torácica, expulsando o ar dos pulmões. PROF. FERNANDA LIMA
  • 16.
  • 17.
  • 18.
    GRAU DE INSPIRAÇÃO • •Identificare contar os pares de costelas. • (O 1º e 2º pares são os mais difíceis de localizar.) • •Inspirar da maneira mais profunda possível e então prender a respiração de modo a aerar os pulmões por completo. • (Fazer uma segunda inspiração profunda antes de prender a respiração permite uma inspiração ainda mais profunda) PROF. FERNANDA LIMA
  • 19.
    • Observar ograu de deslocamento do diafragma para baixo através da contagem dos pares de costelas projetadas acima das cúpulas do diafragma. • Uma regra geral para a média dos adultos é “mostrar” um mínimo de dez costelas no tórax em PA ideal. PROF. FERNANDA LIMA
  • 20.
    POSICIONAMENTOS DE ROTINA- TÓRAX • INDICAÇÕES CLÍNICAS (P/ Posição Ortostática) • •Derrames pleurais • •Pneumotórax • •Atelectasia e sinais de infecção. • ROTINA BÁSICA TÓRAX • •PA (Posteroanterior) • •Perfil Esquerdo PROF. FERNANDA LIMA
  • 21.
  • 22.
  • 23.
  • 24.
  • 25.
  • 26.
  • 27.
  • 28.
  • 29.
  • 30.
  • 31.
  • 32.
  • 33.
  • 34.
  • 35.
  • 36.
    POSICIONAMENTOS DE ROTINAESPECIAIS PARA TÓRAX • AP em decúbito dorsal ou reclinado (semiereta) • Decúbito lateral • Apicolordótica • Oblíqua anterior e posterior PROF. FERNANDA LIMA
  • 37.
  • 38.
  • 39.
  • 40.
    PROF. FERNANDA LIMA FATORESTÉCNICOS: • DFR mínima − 183 cm (se possível) • Tamanho do RI – 35 × 43 cm (14 × 17 polegadas), longitudinal • Grade • Sistemas analógicos ou digitais – faixa de 100 a 125 kV • Identificar (D.D ou Semiereto) e RI identificando o lado Direito. Indicações Clínicas •Esta incidência irá mostrar lesões envolvendo os pulmões, o diafragma e o mediastino. AP EM D.DORSAL ou RECLINADO (semiereto)
  • 41.
    PROF. FERNANDA LIMA RC •RC angulado no sentido caudal para ficar perpendicular ao eixo longitudinal do esterno (geralmente requer ± 5° de angulação caudal a fim de evitar que as clavículas obscureçam os ápices) • RC no nível da T7, 8 a 10 cm (3 a 4 polegadas) abaixo da incisura jugular. RESPIRAÇÃO • A exposição é realizada no final da segunda inspiração profunda. PROTEÇÃO • Proteger tecidos radiossensíveis fora da região de interesse.
  • 42.
  • 43.
  • 44.
    PROF. FERNANDA LIMA CRITÉRIOSDE AVALIAÇÃO ANATOMIA DEMONSTRADA • São observados ambos os pulmões, dos ápices até os seios costofrênicos e a traqueia, preenchida por ar, do nível da T1 para baixo. • As sombras hilares, o coração, os grandes vasos e a caixa torácica são evidenciados. POSIÇÃO • Queixo suficientemente elevado para impedir sua superposição sobre os ápices. • Rotação anterior dos ombros o suficiente para impedir a das escápulas nos campos superposição pulmonares. EXPOSIÇÃO • Sem artefato de movimento, evidenciado pelos contornos bem definidos das costelas, diafragma, e da silhueta cardíaca. • Contraste com ampla escala de tons de cinza objetivando a visualização da fina trama vascular nos pulmões.
  • 45.
    PROF. FERNANDA LIMA AP– DECÚBITO LATERAL (Método de Laurell) FATORES TÉCNICOS: • DFR mínima − 183 cm • Tamanho do RI – 35 × 43 cm (14 × posicionando transversalmente (em relação à posição do paciente) • Grade • Sistemas analógicos ou digitais – faixa de 110 a 125 kV • Identificar como “decúbito” Indicações Clínicas • Pequenos derrames pleurais são demonstrados pela presença de níveis hidroaéreos no espaço pleural. •Pequenas quantidades de ar na cavidade pleural podem indicar um possível pneumotórax.
  • 46.
    PROF. FERNANDA LIMA POSICIONAMENTODO PACIENTE • Coxim radiotransparente abaixo do paciente. • Paciente deitado sobre o lado direito no decúbito lateral direito ou sobre o lado esquerdo no decúbito lateral esquerdo. • Queixo do paciente erguido e ambos os braços erguidos acima da cabeça para não haver superposição sobre o campo pulmonar; as costas do paciente firmemente apoiadas contra o RI; maca travada para impedir que o paciente se mova para frente e sofra uma queda; travesseiro sob a cabeça. • Joelhos levemente fletidos e plano coronal paralelo ao RI sem rotação do corpo. POSIÇÃO DA PARTE • Ajustar a altura do RI centralizando o ponto central do tórax em relação ao RI. • Ajustar o paciente e a maca para centralizar o plano mediossagital e a T7 no RC.
  • 47.
    PROF. FERNANDA LIMA OBSERVAÇÕES •Identificar corretamente o lado com um D ou E com o objetivo de indicar qual lado do tórax está para baixo. • Em caso de suspeita de líquido na cavidade pleural (derrame pleural), o lado suspeito deve estar para baixo. Não cortar este lado do tórax. do corpo do paciente. Este indicador deve ser colocado nA identificação deve marcar o lado esquerdo ou direitoo RI antes da exposição. • Para a avaliação de possíveis pequenas quantidades de ar na cavidade pleural (pneumotórax), o lado afetado deve ficar para cima, com cuidado para não cortar este lado do tórax.
  • 48.
    PROF. FERNANDA LIMA RC •RC horizontal, direcionado para o centro da RI, no nível da T7. Um feixe horizontal deve ser usado para mostrar níveis hidroaéreos ou pneumotórax. RESPIRAÇÃO final da • A exposição é realizada no segunda inspiração profunda. PROTEÇÃO • Proteger tecidos radiossensíveis fora da região de interesse.
  • 49.
  • 50.
    PROF. FERNANDA LIMA ANATOMIADEMONSTRADA • Pulmões totalmente visualizados, incluindo ápices, os dois seios costofrênicos e as duas bordas laterais das costelas. POSIÇÃO • Sem rotação, a distância entre a coluna vertebral e as bordas laterais das costelas em ambos os lados deve ser igual. • Os braços não devem estar superpostos aos campos pulmonares superiores. EXPOSIÇÃO • Sem movimentação; deve haver definição do diafragma, costelas, bordas cardíacas e trama pulmonar. • Exposição ideal, com visualização parcial de vértebras e costelas através da sombra cardíaca.
  • 51.
    PROF. FERNANDA LIMA POSIÇÃO OBLÍQUA Posiçõesoblíquas do tórax, abdome ou pelve são definidas pela parte mais próxima ao RI ou pela parte do corpo pela qual o RC sai. Posições oblíquas posteriores direita e esquerda (OPD e OPE) • Descreve as posições oblíquas específicas no qual o lado posterior esquerdo ou direito do corpo está próximo ao RI. Obs: Também podem ser referidas como incidências oblíquas AP, pois o RC entra numa superfície anterior e sai posteriormente. Posições oblíqua anterior direita e esquerda (OAD e OAE) • Esses termos se referem às posições oblíquas nas quais o lado anterior direito ou esquerdo do corpo está próximo ao RI, e pode estar em posição ereta ou recumbente. Obs: Também podem ser descritas como incidências oblíquas PA, se a posição de esclarecimento for incluída, tais como as posições OAD ou OAE.
  • 52.
    PROF. FERNANDA LIMA TÓRAX:OBLÍQUAS ANTERIORES e POSTERIORES (OAD e OAE) FATORES TÉCNICOS: • DFR mínima − 183 cm • Tamanho do RI – 35 × 43 cm (14 × 17 polegadas), longitudinal • Grade • Sistemas analógicos ou digitais – faixa de 110 a 125 kV Indicações Clínicas •Investigar patologia envolvendo os campos pulmonares, traqueia e estruturas do mediastino. • Determinar o tamanho e os contornos do coração e grandes vasos.
  • 53.
    PROF. FERNANDA LIMA RC •RC perpendicular, direcionado ao nível da T7 (8 a 10 cm abaixo do nível da proeminência vertebral). RESPIRAÇÃO • A exposição é realizada no segunda inspiração profunda. PROTEÇÃO • Proteger tecidos radiossensíveis fora da região de interesse.
  • 54.
  • 55.
    PROF. FERNANDA LIMA Observação Nasoblíquas anteriores, o lado de interesse geralmente é o lado mais distante do RI. Assim, a OAD proporciona a melhor visualização do pulmão esquerdo. Certos posicionamentos para estudos do coração e dos grandes vasos requerem posições oblíquas com um aumento na rotação do tórax de 45° a 60°. Uma rotação menor (15° a 20°) pode ser valiosa para melhor visualização das várias áreas pulmonares no caso de uma possível doença pulmonar. Exceção As oblíquas posteriores ortostáticas ou em decúbito podem ser realizadas se o paciente não consegue ficar em pé para obter oblíquas anteriores ou outras incidências necessárias.
  • 56.
    PROF. FERNANDA LIMA ANATOMIA DEMONSTRADA •Ambos os pulmões devem ser incluídos dos ápices até os seios costofrênicos. • Traqueia cheia de ar, grandes vasos e contornos cardíacos são mais bem visualizados na posição OAE a 60 graus. POSIÇÃO • Na rotação de 45 graus, a distância da margem externa das costelas até a coluna vertebral no lado mais afastado do RI deve ter aproximadamente duas vezes a distância do lado mais próximo ao RI. RC centralizado no nível da T7. EXPOSIÇÃO • Sem movimentação; os contornos do diafragma e do coração devem aparecer bem definidos. Exposição e contraste ótimos ideais para a contornos das costelas, com exceção das áreas superpostas ao coração.
  • 57.
    PROF. FERNANDA LIMA TÓRAX:OBLÍQUAS ANTERIORES e POSTERIORES (OPD e OPE) FATORES TÉCNICOS: • DFR mínima − 183 cm • Tamanho do RI – 35 × 43 cm (14 × 17 polegadas), longitudinal • Grade • Sistemas analógicos ou digitais – faixa de 110 a 125 kV Indicações Clínicas • Investigar patologia envolvendo os campos pulmonares, traqueia e estruturas do mediastino. • Determinar o tamanho e os contornos do coração e grandes vasos.
  • 58.
    PROF. FERNANDA LIMA POSICIONAMENTODO PACIENTE • Paciente ereto, rodado 45 graus com a superfície posterior do ombro direito apoiada contra o RI para a OPD e vice versa. • O braço mais próximo do RI deve ficar levantado e apoiado na cabeça; o outro braço fica apoiado no quadril com a palma da mão para fora. • Paciente olhando para frente. POSIÇÃO DA PARTE • Borda superior do RI cerca de 2 cm acima da proeminência vertebral. • Tórax centralizado em relação ao RC e ao RI Posicionamento do Paciente (em Decúbito) •Caso o paciente não possa ficar de pé ou sentar, é possível fazer as incidências oblíquas posteriores na mesa. •Colocar suportes embaixo da cabeça do paciente e elevando também quadril e ombros.
  • 59.
  • 60.
  • 61.