Técnico em Radiologia




  TOMOGRAFIA
COMPUTADORIZADA
    Prof. Fábio Jose Marques
A tomografia computadorizada (TC),
originalmente apelidada tomografia
axial computadorizada/computorizada
(TAC), é um exame complementar de
diagnóstico por imagem, que consiste
numa imagem que representa uma
secção ou "fatia" do corpo.

É obtida através do processamento
por computador de informação
recolhida após expor o corpo a uma
sucessão de raios X.
A TC é um exame de fácil execução, não invasivo, não causa incómodo
ao paciente, que não precisa ser internado. Da uma melhor definição das
estruturas estudadas, delimita a exata anatomia melhor do que a
radiologia convencional e a ultra-sonografia e torna as alterações
patológicas mais evidentes.
(do grego ana, trazer de novo e mnesis,
memória) é uma entrevista.
TOMOGRAFIA



Tomografía vem do griego:
- Tomos : cortes o fatia.
- Grafein : desenhar uma
imagem ou gráfico.
- Axial : relativo ao eixo
- Computadorizada :
Processa dados por meio de
uma computadora.
Histórico:
No histórico da TC o nome W. K. Von Roentgen
(descobridor do raio x, 1895) é seguido em
importância pelo de J. Randon, matemático austríaco
que, em 1917, provou que um objeto tridimensional
poderia ser reconstruído matematicamente a partir de
um conjunto infinito de todas as projeções.

A aplicação prática das teorias de Randon só veio a
ter êxito à partir de 1956, na radioastronomia.

Em meados 1950, Allen M. Cormack, de Capetown,
África do Sul, interessado nas diferentes doses de
irradiação que tecidos de densidades diferentes
recebiam durante o processo de radioterapia,
idealizou que as doses podiam ser previstas
baseadas na distribuição de coeficientes de
atenuação que poderiam ser exibidos através de uma
escala de cinzas, em uma região de interesse.
O primeiro equipamento foi construído em um torno antigo e o
objeto a ser examinado constituía-se de um conjunto de peças de
plástico fixadas numa porção móvel que durante o teste girava a
ângulos desejados. Para irradiar o conjunto, foram utilizados
raios gama obtidos de uma fonte de amerício. A irradiação
originária desta fonte era avaliada por detectores de cristal de
iodeto de sódio e os sinais obtidos pelos detectores eram
transmitidos a um computador programado para reprodução
bidimensional das peças examinadas.
Em 1969, foi iniciada a construção do primeiro protótipo de um tomógrafo para utilização
clínica. O primeiro aparelho ficou pronto e instalado no Atkinson-Moreley's Hospital, em
outubro de 1971. A primeira tomografia computadorizada foi realizada em um paciente do
sexo feminino, de 41 anos, com suspeita de um tumor no lobo frontal esquerdo, e o exame
mostrou com perfeição a localização e as reais dimensões do tumor. Nesse primeiro
aparelho foi adotada uma matriz de 80 x 80 e o processamento foi realizado por um
computador do tipo ICL 1905.
A construção da primeira máquina de tomografia ocorreu em 1972 no "THORN EMI Central
Research Laboratories", na Inglaterra, por Godfrey Newbold Hounsfield.
O primeiro tomografo do Brasil foi instalado em São Paulo, no Hospital da Real e Benemérita
 Sociedade Portuguesa de Beneficência, em 1977. Logo depois, o primeiro aparelho do Rio
de Janeiro iniciou seu funcionamento, em 28 de julho de 1977, na Santa Casa da
Misericordia.
Godfrey Hounsfield apresento a Tomografía Axial Computadorizada em
1972, como um método de diagnostico, basado na formação de raios X,
cujas imágenes são captadas por um computador, obtendo dessa
forma imágenes digitais.
HHOUNSFIELD



Engenheiro eletrotécnico inglês nascido
em 1919, em Nottinghamshire, e falecido a
12 de agosto de 2004, Thames. Foi laureado
com o prêmio Nobel da fisiologia e da
Medicina em 1970, juntamente com o físico
norte-americano Allan Cormack, por ter
desenvolvido uma técnica importante de
diagnóstico, a Tomografia axial
computadorizada (TAC).
Principios Físicos
       da TC.

Para obter uma TC, o
paciente é colocado numa
mesa que se desloca para
o interior de um anel de
cerca de 70 cm de
diâmetro. À volta deste
encontra-se uma ampola
de Raios-X, num suporte
circular designado gantry.
Do lado oposto à ampola
encontra-se o detector
responsável por captar a
radiação e transmitir essa
informação              ao
computador ao qual está
conectado.
Principios Físicos de
          da TC.

TC,    é    uma    tomografía
realizada com o auxilio de um
computador.
O método utiliza um tubo de
raios x, que emite radiações
movendo-se em semicirculos,
em torno do paciente. En vez
do filme convencional, a
radiação    é   captada    por
sensores     conectados     ao
computador, que decodificam
a intensidade da radiação em
valores numéricos e os
transformam numa escala de
tons, que varia do branco ao
preto, passando por várias
tonalidades de cinza.
Principios Físicos de
          da TC.
Em      equipamentos      mais
modernos, é possivel realizar
reconstrução tridimensional,
dando noção de volume.
Os planos dos cortes são
selecionados pelo operador e,
através do computador, move-
se a mesa onde está o
paciente, de modo a examinar
as regiões desejadas.
A espessura do corte é
escolhida de acordo com o
volume do orgão ou lesão a
ser analisada. Utilizamos, para
estruturas muito pequenas,
cortes de 1 a 5 mm de
espessura, e para varredura
de    orgão     ou    estrutura
volumosa, cortes de 10 a
12mm.
Principios Físicos
           da TC.

As imagens tomográficas
podem ser obtidas em dois
planos básicos: o plano
axial (perpendicular ao maior
eixo do corpo) e o plano
coronal (paralelo a sutura
coronal do crânio, ou seja, é
uma visão frontal). Depois
de obtidas as imagens,
recursos computacionais
podem permitir
reconstruções no plano
sagital (paralelo a sutura
sagital do crânio) ou
reconstruções tri-
dimensionais.
1.- Es un generador de
rayos X que gira en el
sentido de la flecha.


2.- Es el haz de rayos X
generado en forma de
abanico.


3.- Es la sección de la
cabeza del paciente
"barrida" por el haz de
rayos X.


4.- Es la pantalla
fluorescente donde inciden
los rayos X.


5.- Es el detector que
traduce los impulsos
recibidos de la pantalla y
los envía a la computadora.
TOMOGRAFIA E SUA APLICAÇÃO
Importancia e uso:
Para que serve?

Sua utilidade médica é muito grande nos dias atuais, permitindo o
diagnóstico de muitas doenças, avaliação de sua gravidade e até
auxiliando no tratamento ao orientar procedimentos terapêuticos
invasivos.
Permite, por exemplo, detectar a
presença de neoplasias nos mais
variados segmentos do corpo e
avaliar sua localização,
agressividade local e extensão a
distâncias (metástases).

No caso das doenças infecciosas
pode fazer seu diagnóstico,
demonstrar os órgãos
acometidos, sua gravidade e a
presença de complicações, como
abscessos e fístulas.
No diagnóstico dos acidentes
vasculares do sistema nervoso central
tem importância decisiva para
estabelecimento da conduta
terapêutica, que é bastante distinta na
hemorragia e no infarto.

A tomografia tem ganhado importância
na prevenção de complicações de
doenças crônicas, como no enfisema
pulmonar e na doença coronariana. No
enfisema permite avaliar a presença de
tumores e processos inflamatórios,
além da caracterização da gravidade e
extensão da doença. Na doença
coronariana pode de forma não
invasiva identificar a presença de
placas de ateroma com potencial
obstrutivo, que podem evoluir para
infarto.
Tipos de diagnostico:

Para quem é indicado?

A utilização da tomografia computadorizada é muito vasta atingindo
quase todos os ramos da medicina.


        Pneumologia

        Cardiologia

        Neurologia

        Ortopedia

        Urologia
Tomografia Veterinaria
TOMOGRAFIA



Em 1987, a tomografía é
usada em Odontologia por
Schartz, Rotman, Chafetz e
Rodes
Odontologia




Maxilar                 Mandíbula
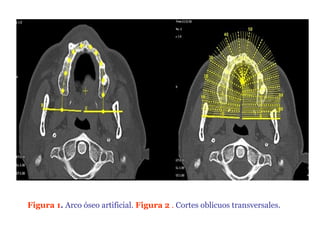
Figura 1. Arco óseo artificial. Figura 2 . Cortes oblicuos transversales.
Na Pneumologia, por exemplo, é útil para o diagnóstico das diferentes doenças torácicas
neoplásicas ou inflamatórias, permite avaliar sua extensão e realizar controle do tratamento.

Na Cardiologia pode estudar as doenças coronarianas e vasculares, inclusive aneurismas e
obstruções de vasos como a aorta e carótidas.

Na Neurologia tem destaque no diagnóstico de malformações, lesões traumáticas, nos
acidentes vasculares, em processos inflamatórios e tumorais, com grande importância na
conduta dos diferentes casos.

Na Ortopedia avalia fraturas, permitindo diagnóstico em alguns casos e melhor
caracterização anatômica das lesões, o que também pode ser verdade nos tumores ósseos
Na Otorrinolaringologia permite o reconhecimento de variações anatômicas, avaliar as
sinusites e sua complicações, além da necessidade de tratamento cirúrgico.

Na Urologia há grande utilidade no diagnóstico dos cálculos que quase sempre são
demonstrados e na avaliação da doença obstrutiva calculosa, com medida do tamanho dos
cálculos e de sua localização, visando a correta conduta terapêutica.


Na area Veterinaria.
Há ainda relevância na Cirurgia para estabelecimento de diagnóstico
das doenças, avaliação de complicações pré ou pós-operatórias e
para afastar procedimentos desnecessários nos casos de condições
não cirúrgicas.
Pode-se citar também a Oncologia, que a tomografia permite o
diagnóstico dos mais variados tumores, caracterizar sua
agressividade local e à distância, além de realizar controle evolutivo
pós-tratamento.




        Tumor cerebral                Metástasis Ganglios Linfaticos
Nos setores de Emergência a tomografia tem excepcional valor, aplicado
a condições traumáticas, por exemplo, do sistema nervoso, tórax,
abdome, coluna vertebral, etc.
Doenças inflamatórias, como a apendicite, pielonefrite e colite, nos
processos vasculares do sistema nervoso central (hemorragias e infartos)
e nos cálculos ureterais obstrutivos, como já mencionado.
VANTAGENS


1 - A principal vantagem da TC é que permite o
estudo de "fatias" ou secções transversais do
corpo humano vivo, ao contrário do que é dado
pela radiologia convencional, que consiste na
representação de todas as estruturas do corpo
sobrepostas. É assim obtida uma imagem em que
a percepção espacial é mais nítida.

2 - Outra vantagem consiste na maior distinção
entre dois tecidos. A TC permite distinguir
diferenças de densidade da ordem 0,5% entre
tecidos, ao passo que na radiologia convencional
este limiar situa-se nos 5%. Desta forma, é
possível a detecção ou o estudo de anomalias
que não seria possível senão através de métodos
invasivos, sendo assim um exame complementar
de diagnóstico de grande valor.

3 - Possibilidade de processar a imagem a
qualquer momento, através de dados
armazenados em discos magnéticos.
DESVANTAGENS

1 - Uma das principais desvantagens da TC é
devida ao fato de utilizar radiação X. Esta tem um
efeito negativo sobre o corpo humano, sobretudo
pela capacidade de causar mutações genéticas
visível, sobretudo em células que se estejam a
multiplicar rapidamente. Embora o risco de se
desenvolverem anomalias seja baixo, é
desaconselhada a realização de TCs em grávidas e
em crianças, devendo ser ponderado com cuidado
os riscos e os benefícios.

2 - Radiação ionizante e meio de contraste iodado,
o exame tornou-se com o passar dos anos um dos
principais métodos de diagnostico por imagem
para avaliação de estruturas anatômicas com
densidade significativa, oferecendo um diagnostico
rápido e cada vez mais confiável.

3 - O contraste pode causar prurido , erupção
cutânea, urticária, e uma sensação de calor no
interior, estas reações ocorrem são geralmente
transitórios.

4 - Uma reacção grave ou reação anafilática.
16/09/2009
Preços de exames e consultas em policlínicas
variam em até 200%
Quem utiliza os serviços de policlínicas de
saúde da Capital poderão pagar preços que
variam até 200%. A constatação é de uma
pesquisa divulgada nesta quarta-feira (16) pelo
Procon de João Pessoa. O serviço médico que
apresentou a maior variação de preço foi o
exame de eletrocardiograma, com preços entre
R$ 10,00 e R$ 30,00.
Um dos exames pesquisados, Tomografia
Computadorizada, foi encontrado nas seis
policlínicas pesquisadas com valores entre R$
190,00 e R$ 240,00, uma diferença de R$ 50,00
no valor do exame. Já uma consulta com
nutricionista está oscilando 75%, e pode ser
feita pagando preços compreendidos entre R$
20,00 e R$ 35,00.
A pesquisa foi realizada nas seguintes
policlínicas: AMIP (Centro), São Lucas (Centro),
São Luiz (Jaguaribe), Rodrigues de Aguiar
(Centro), Mangabeira (Mangabeira) e São José
(Cruz das Armas). Foram avaliados os preços
de 40 itens, entre exames e consultas médicas,
dentre eles raio X, ultrassonografias, testes
alérgicos e eletroencefalograma.
Hounsfield

A atenuação dos tecidos é medida em unidades ou escala de Hounsfield.
Os diversos tecidos do corpo humano possuem coeficientes de atenuação,
medidos com referencia na escala de Hounsfield, característicos:
Evolução
Evolução

 A aplicação clínica da tomografía computadorizada inicialmente foi para
avaliação do encéfalo, mas com a evolução dos tomógrafos foi observado
  que esta técnica de diagnóstico por imagem poderia avaliar todos os
                                sistemas




    1972                                                   2012
Tomógrafos

 Desde a introdução do uso clínico dos tomógrafos a partir do início dos
  anos de 1970, os sistemas já sofreram grandes evoluções. A diferença
    entre cada geração esta diretamente relacionada a quantidade de
                        detectores e sua fileiras.

1ª Geração
Utilizava um feixe fino de raios
x , um único detector que
acompanhava o tubo numa
rotação de 180 graus, cerca de
4 minutos e meio para
obtenção de uma única
imagem, limitado apenas a
tomografias de crânio.
Tomógrafos


2º Geração
Foram bastante melhorados com o feixe de raios x em forma de
leque com 30 ou mais detectores os tempos de exposição eram
mais curtos, cerca de 15 segundos por corte, e ainda limitado a
rotação de 180 graus.
Tomógrafos

3ª Geração
A terceira geração inclui um conjunto de até 960 detectores que giram
junto com o tubo numa rotação completa de 360 graus, e com isso os
tempos de aquisição de imagem foram significativamente reduzidos se
comparados aos tomógrafos de primeira e segunda geração.
Tomógrafos
                                                     lllllllllllllllllllllllllllll
4ª Geração ( Helicoidal)
Os tomógrafos de 4ª Geração foram desenvolvidos durante a década de
1980, possuem um anel fixo de 4800 detectores ou mais, cobrindo
totalmente o círculo completo do gantry, sendo assim a fileira de detector
não acompanha mais a rotação do tubo. Por meio de movimentos rotatórios
contínuos, curtos feixes de radiação são emitidos o que propicia menores
tempos de aquisição.
Aplicação

Com a evolução dos tomógrafos aumentando as fileiras de detectores e
diminuindo o tempo de rotação do tubo a modalidade de tomografia
computadorizada acabou por se tornar uma das mais utilizadas para a
pesquisa de diversos tipos de patologia, e com isso damos início a era
dos tomógrafos multislices ou multidetectores.
CONCLUÇÕES
Para o grupo a principal vantagem da TC é que permite o estudo de secções
transversais do corpo humano, ou seja, permite ampliar o que existia em
Radiologia Convencional (imagens em duas dimensões com estruturas
sobrepostas para imagens em 3 dimensões, ou com percepção espacial nítida).
Outra vantagem: a maior distinção entre dois tecidos. Em TC podem-se distinguir
até 0,5% de diferenças de densidade de tecidos, ao contrário da Radiologia
Convencional que se situava nos 5%.
Isto é uma melhoria sem paralelo em relação às capacidades da radiografia
convencional, pois permite a detecção ou o estudo de anomalias que não seria
possível senão através de métodos invasivos. Como exame complementar de
diagnóstico, a TC é de valor inestimável.

Tomografia computadorizada

  • 1.
    Técnico em Radiologia TOMOGRAFIA COMPUTADORIZADA Prof. Fábio Jose Marques
  • 2.
    A tomografia computadorizada(TC), originalmente apelidada tomografia axial computadorizada/computorizada (TAC), é um exame complementar de diagnóstico por imagem, que consiste numa imagem que representa uma secção ou "fatia" do corpo. É obtida através do processamento por computador de informação recolhida após expor o corpo a uma sucessão de raios X.
  • 3.
    A TC éum exame de fácil execução, não invasivo, não causa incómodo ao paciente, que não precisa ser internado. Da uma melhor definição das estruturas estudadas, delimita a exata anatomia melhor do que a radiologia convencional e a ultra-sonografia e torna as alterações patológicas mais evidentes.
  • 4.
    (do grego ana,trazer de novo e mnesis, memória) é uma entrevista.
  • 5.
    TOMOGRAFIA Tomografía vem dogriego: - Tomos : cortes o fatia. - Grafein : desenhar uma imagem ou gráfico. - Axial : relativo ao eixo - Computadorizada : Processa dados por meio de uma computadora.
  • 7.
    Histórico: No histórico daTC o nome W. K. Von Roentgen (descobridor do raio x, 1895) é seguido em importância pelo de J. Randon, matemático austríaco que, em 1917, provou que um objeto tridimensional poderia ser reconstruído matematicamente a partir de um conjunto infinito de todas as projeções. A aplicação prática das teorias de Randon só veio a ter êxito à partir de 1956, na radioastronomia. Em meados 1950, Allen M. Cormack, de Capetown, África do Sul, interessado nas diferentes doses de irradiação que tecidos de densidades diferentes recebiam durante o processo de radioterapia, idealizou que as doses podiam ser previstas baseadas na distribuição de coeficientes de atenuação que poderiam ser exibidos através de uma escala de cinzas, em uma região de interesse.
  • 8.
    O primeiro equipamentofoi construído em um torno antigo e o objeto a ser examinado constituía-se de um conjunto de peças de plástico fixadas numa porção móvel que durante o teste girava a ângulos desejados. Para irradiar o conjunto, foram utilizados raios gama obtidos de uma fonte de amerício. A irradiação originária desta fonte era avaliada por detectores de cristal de iodeto de sódio e os sinais obtidos pelos detectores eram transmitidos a um computador programado para reprodução bidimensional das peças examinadas.
  • 9.
    Em 1969, foiiniciada a construção do primeiro protótipo de um tomógrafo para utilização clínica. O primeiro aparelho ficou pronto e instalado no Atkinson-Moreley's Hospital, em outubro de 1971. A primeira tomografia computadorizada foi realizada em um paciente do sexo feminino, de 41 anos, com suspeita de um tumor no lobo frontal esquerdo, e o exame mostrou com perfeição a localização e as reais dimensões do tumor. Nesse primeiro aparelho foi adotada uma matriz de 80 x 80 e o processamento foi realizado por um computador do tipo ICL 1905. A construção da primeira máquina de tomografia ocorreu em 1972 no "THORN EMI Central Research Laboratories", na Inglaterra, por Godfrey Newbold Hounsfield. O primeiro tomografo do Brasil foi instalado em São Paulo, no Hospital da Real e Benemérita Sociedade Portuguesa de Beneficência, em 1977. Logo depois, o primeiro aparelho do Rio de Janeiro iniciou seu funcionamento, em 28 de julho de 1977, na Santa Casa da Misericordia.
  • 10.
    Godfrey Hounsfield apresentoa Tomografía Axial Computadorizada em 1972, como um método de diagnostico, basado na formação de raios X, cujas imágenes são captadas por um computador, obtendo dessa forma imágenes digitais.
  • 11.
    HHOUNSFIELD Engenheiro eletrotécnico inglêsnascido em 1919, em Nottinghamshire, e falecido a 12 de agosto de 2004, Thames. Foi laureado com o prêmio Nobel da fisiologia e da Medicina em 1970, juntamente com o físico norte-americano Allan Cormack, por ter desenvolvido uma técnica importante de diagnóstico, a Tomografia axial computadorizada (TAC).
  • 13.
    Principios Físicos da TC. Para obter uma TC, o paciente é colocado numa mesa que se desloca para o interior de um anel de cerca de 70 cm de diâmetro. À volta deste encontra-se uma ampola de Raios-X, num suporte circular designado gantry. Do lado oposto à ampola encontra-se o detector responsável por captar a radiação e transmitir essa informação ao computador ao qual está conectado.
  • 14.
    Principios Físicos de da TC. TC, é uma tomografía realizada com o auxilio de um computador. O método utiliza um tubo de raios x, que emite radiações movendo-se em semicirculos, em torno do paciente. En vez do filme convencional, a radiação é captada por sensores conectados ao computador, que decodificam a intensidade da radiação em valores numéricos e os transformam numa escala de tons, que varia do branco ao preto, passando por várias tonalidades de cinza.
  • 15.
    Principios Físicos de da TC. Em equipamentos mais modernos, é possivel realizar reconstrução tridimensional, dando noção de volume. Os planos dos cortes são selecionados pelo operador e, através do computador, move- se a mesa onde está o paciente, de modo a examinar as regiões desejadas. A espessura do corte é escolhida de acordo com o volume do orgão ou lesão a ser analisada. Utilizamos, para estruturas muito pequenas, cortes de 1 a 5 mm de espessura, e para varredura de orgão ou estrutura volumosa, cortes de 10 a 12mm.
  • 16.
    Principios Físicos da TC. As imagens tomográficas podem ser obtidas em dois planos básicos: o plano axial (perpendicular ao maior eixo do corpo) e o plano coronal (paralelo a sutura coronal do crânio, ou seja, é uma visão frontal). Depois de obtidas as imagens, recursos computacionais podem permitir reconstruções no plano sagital (paralelo a sutura sagital do crânio) ou reconstruções tri- dimensionais.
  • 17.
    1.- Es ungenerador de rayos X que gira en el sentido de la flecha. 2.- Es el haz de rayos X generado en forma de abanico. 3.- Es la sección de la cabeza del paciente "barrida" por el haz de rayos X. 4.- Es la pantalla fluorescente donde inciden los rayos X. 5.- Es el detector que traduce los impulsos recibidos de la pantalla y los envía a la computadora.
  • 21.
    TOMOGRAFIA E SUAAPLICAÇÃO
  • 22.
    Importancia e uso: Paraque serve? Sua utilidade médica é muito grande nos dias atuais, permitindo o diagnóstico de muitas doenças, avaliação de sua gravidade e até auxiliando no tratamento ao orientar procedimentos terapêuticos invasivos.
  • 23.
    Permite, por exemplo,detectar a presença de neoplasias nos mais variados segmentos do corpo e avaliar sua localização, agressividade local e extensão a distâncias (metástases). No caso das doenças infecciosas pode fazer seu diagnóstico, demonstrar os órgãos acometidos, sua gravidade e a presença de complicações, como abscessos e fístulas.
  • 24.
    No diagnóstico dosacidentes vasculares do sistema nervoso central tem importância decisiva para estabelecimento da conduta terapêutica, que é bastante distinta na hemorragia e no infarto. A tomografia tem ganhado importância na prevenção de complicações de doenças crônicas, como no enfisema pulmonar e na doença coronariana. No enfisema permite avaliar a presença de tumores e processos inflamatórios, além da caracterização da gravidade e extensão da doença. Na doença coronariana pode de forma não invasiva identificar a presença de placas de ateroma com potencial obstrutivo, que podem evoluir para infarto.
  • 25.
    Tipos de diagnostico: Paraquem é indicado? A utilização da tomografia computadorizada é muito vasta atingindo quase todos os ramos da medicina. Pneumologia Cardiologia Neurologia Ortopedia Urologia
  • 26.
  • 27.
    TOMOGRAFIA Em 1987, atomografía é usada em Odontologia por Schartz, Rotman, Chafetz e Rodes
  • 28.
  • 29.
    Figura 1. Arcoóseo artificial. Figura 2 . Cortes oblicuos transversales.
  • 30.
    Na Pneumologia, porexemplo, é útil para o diagnóstico das diferentes doenças torácicas neoplásicas ou inflamatórias, permite avaliar sua extensão e realizar controle do tratamento. Na Cardiologia pode estudar as doenças coronarianas e vasculares, inclusive aneurismas e obstruções de vasos como a aorta e carótidas. Na Neurologia tem destaque no diagnóstico de malformações, lesões traumáticas, nos acidentes vasculares, em processos inflamatórios e tumorais, com grande importância na conduta dos diferentes casos. Na Ortopedia avalia fraturas, permitindo diagnóstico em alguns casos e melhor caracterização anatômica das lesões, o que também pode ser verdade nos tumores ósseos Na Otorrinolaringologia permite o reconhecimento de variações anatômicas, avaliar as sinusites e sua complicações, além da necessidade de tratamento cirúrgico. Na Urologia há grande utilidade no diagnóstico dos cálculos que quase sempre são demonstrados e na avaliação da doença obstrutiva calculosa, com medida do tamanho dos cálculos e de sua localização, visando a correta conduta terapêutica. Na area Veterinaria.
  • 32.
    Há ainda relevânciana Cirurgia para estabelecimento de diagnóstico das doenças, avaliação de complicações pré ou pós-operatórias e para afastar procedimentos desnecessários nos casos de condições não cirúrgicas. Pode-se citar também a Oncologia, que a tomografia permite o diagnóstico dos mais variados tumores, caracterizar sua agressividade local e à distância, além de realizar controle evolutivo pós-tratamento. Tumor cerebral Metástasis Ganglios Linfaticos
  • 33.
    Nos setores deEmergência a tomografia tem excepcional valor, aplicado a condições traumáticas, por exemplo, do sistema nervoso, tórax, abdome, coluna vertebral, etc. Doenças inflamatórias, como a apendicite, pielonefrite e colite, nos processos vasculares do sistema nervoso central (hemorragias e infartos) e nos cálculos ureterais obstrutivos, como já mencionado.
  • 34.
    VANTAGENS 1 - Aprincipal vantagem da TC é que permite o estudo de "fatias" ou secções transversais do corpo humano vivo, ao contrário do que é dado pela radiologia convencional, que consiste na representação de todas as estruturas do corpo sobrepostas. É assim obtida uma imagem em que a percepção espacial é mais nítida. 2 - Outra vantagem consiste na maior distinção entre dois tecidos. A TC permite distinguir diferenças de densidade da ordem 0,5% entre tecidos, ao passo que na radiologia convencional este limiar situa-se nos 5%. Desta forma, é possível a detecção ou o estudo de anomalias que não seria possível senão através de métodos invasivos, sendo assim um exame complementar de diagnóstico de grande valor. 3 - Possibilidade de processar a imagem a qualquer momento, através de dados armazenados em discos magnéticos.
  • 35.
    DESVANTAGENS 1 - Umadas principais desvantagens da TC é devida ao fato de utilizar radiação X. Esta tem um efeito negativo sobre o corpo humano, sobretudo pela capacidade de causar mutações genéticas visível, sobretudo em células que se estejam a multiplicar rapidamente. Embora o risco de se desenvolverem anomalias seja baixo, é desaconselhada a realização de TCs em grávidas e em crianças, devendo ser ponderado com cuidado os riscos e os benefícios. 2 - Radiação ionizante e meio de contraste iodado, o exame tornou-se com o passar dos anos um dos principais métodos de diagnostico por imagem para avaliação de estruturas anatômicas com densidade significativa, oferecendo um diagnostico rápido e cada vez mais confiável. 3 - O contraste pode causar prurido , erupção cutânea, urticária, e uma sensação de calor no interior, estas reações ocorrem são geralmente transitórios. 4 - Uma reacção grave ou reação anafilática.
  • 36.
    16/09/2009 Preços de examese consultas em policlínicas variam em até 200% Quem utiliza os serviços de policlínicas de saúde da Capital poderão pagar preços que variam até 200%. A constatação é de uma pesquisa divulgada nesta quarta-feira (16) pelo Procon de João Pessoa. O serviço médico que apresentou a maior variação de preço foi o exame de eletrocardiograma, com preços entre R$ 10,00 e R$ 30,00. Um dos exames pesquisados, Tomografia Computadorizada, foi encontrado nas seis policlínicas pesquisadas com valores entre R$ 190,00 e R$ 240,00, uma diferença de R$ 50,00 no valor do exame. Já uma consulta com nutricionista está oscilando 75%, e pode ser feita pagando preços compreendidos entre R$ 20,00 e R$ 35,00. A pesquisa foi realizada nas seguintes policlínicas: AMIP (Centro), São Lucas (Centro), São Luiz (Jaguaribe), Rodrigues de Aguiar (Centro), Mangabeira (Mangabeira) e São José (Cruz das Armas). Foram avaliados os preços de 40 itens, entre exames e consultas médicas, dentre eles raio X, ultrassonografias, testes alérgicos e eletroencefalograma.
  • 37.
    Hounsfield A atenuação dostecidos é medida em unidades ou escala de Hounsfield. Os diversos tecidos do corpo humano possuem coeficientes de atenuação, medidos com referencia na escala de Hounsfield, característicos:
  • 38.
  • 39.
    Evolução A aplicaçãoclínica da tomografía computadorizada inicialmente foi para avaliação do encéfalo, mas com a evolução dos tomógrafos foi observado que esta técnica de diagnóstico por imagem poderia avaliar todos os sistemas 1972 2012
  • 40.
    Tomógrafos Desde aintrodução do uso clínico dos tomógrafos a partir do início dos anos de 1970, os sistemas já sofreram grandes evoluções. A diferença entre cada geração esta diretamente relacionada a quantidade de detectores e sua fileiras. 1ª Geração Utilizava um feixe fino de raios x , um único detector que acompanhava o tubo numa rotação de 180 graus, cerca de 4 minutos e meio para obtenção de uma única imagem, limitado apenas a tomografias de crânio.
  • 41.
    Tomógrafos 2º Geração Foram bastantemelhorados com o feixe de raios x em forma de leque com 30 ou mais detectores os tempos de exposição eram mais curtos, cerca de 15 segundos por corte, e ainda limitado a rotação de 180 graus.
  • 42.
    Tomógrafos 3ª Geração A terceirageração inclui um conjunto de até 960 detectores que giram junto com o tubo numa rotação completa de 360 graus, e com isso os tempos de aquisição de imagem foram significativamente reduzidos se comparados aos tomógrafos de primeira e segunda geração.
  • 43.
    Tomógrafos lllllllllllllllllllllllllllll 4ª Geração ( Helicoidal) Os tomógrafos de 4ª Geração foram desenvolvidos durante a década de 1980, possuem um anel fixo de 4800 detectores ou mais, cobrindo totalmente o círculo completo do gantry, sendo assim a fileira de detector não acompanha mais a rotação do tubo. Por meio de movimentos rotatórios contínuos, curtos feixes de radiação são emitidos o que propicia menores tempos de aquisição.
  • 45.
    Aplicação Com a evoluçãodos tomógrafos aumentando as fileiras de detectores e diminuindo o tempo de rotação do tubo a modalidade de tomografia computadorizada acabou por se tornar uma das mais utilizadas para a pesquisa de diversos tipos de patologia, e com isso damos início a era dos tomógrafos multislices ou multidetectores.
  • 46.
    CONCLUÇÕES Para o grupoa principal vantagem da TC é que permite o estudo de secções transversais do corpo humano, ou seja, permite ampliar o que existia em Radiologia Convencional (imagens em duas dimensões com estruturas sobrepostas para imagens em 3 dimensões, ou com percepção espacial nítida). Outra vantagem: a maior distinção entre dois tecidos. Em TC podem-se distinguir até 0,5% de diferenças de densidade de tecidos, ao contrário da Radiologia Convencional que se situava nos 5%. Isto é uma melhoria sem paralelo em relação às capacidades da radiografia convencional, pois permite a detecção ou o estudo de anomalias que não seria possível senão através de métodos invasivos. Como exame complementar de diagnóstico, a TC é de valor inestimável.