PROFESSOR: Magno Cavalheiro Faria
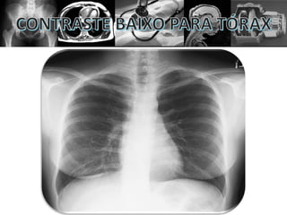
PORQUE IMAGEM É TUDO!
www.imagemradiologica.webnode.com
• CONTRASTE ALTO = ESCALA CURTA
• CONTRASTE BAIXO = ESCALA LONGA
• REGRA DOS 15%
• FATORES DE ALTERAÇÃO DO CONTRASTE
RADIOGRÁFICO
• FATORES DE RESOLUÇÃO
• INTERAÇÃO FOTOELÉTRICA:
Quando a radiação é totalmente absorvida
pela matéria.
• EFEITO COMPTON:
Quando a radiação interage com um
elétron externo da camada e espalha-se.
• Precisamos da estrutura a ser estudada.
(Corpo Humano)
• Precisamos da estrutura
tubo e mesa de exame.
• Precisaremos de um chassi + écran + Filme
radiográfico
• K7 – Placa de Imagem
• Densidade óptica é o grau de enegrecimento da
imagem;
• Aponta para a quantidade de radiação interage com a
película radiográfica.
• O mAs altera somente a quantidade ou a produção de
raios X. Ele é o fator primário de densidade e
secundário de contraste.
• Quanto maior o mAs maior o enegrecimento da
imagem
Como achar a fórmula do mAs
• O contraste é a diferenciação dos tecidos;
• O contraste é a absorção diferencial.
MAIS CONTRASTE
CONTRASTE
IMAGEM
PADRÃO
MENOS
CONTRASTE
MENOS
NITIDEZ
MAIS
CONTRASTE
MAIS
NITIDEZ
PERDE
DETALHES
PERDE
DETALHES
Contraste alto ou baixo não significam ser bom
ou ruim por si só. Diferentes estruturas precisam
de determinado tipo de contraste específico.
O contraste pode ser:
1- Contraste do objeto;
2- Contraste virtual;
3- Contraste radiográfico.
AR VÍSCERAS MÚSCULO OSSOS
PACIENTE
Interação fóton e tecidos
Depende da densidade da estrutura e da espessura.
É a absorção diferencial, ou seja, a atenuação da radiação
pelo objeto irradiado.
AR VÍSCERAS MÚSCULO OSSOS
PACIENTE
METAL
prótese
É o contraste descrito em uma película radiográfica, ou
seja, em uma radiografia. É a imagem final.
A imagem pode ser:
1- Virtual;
2- Radiante;
3- Luminosa;
4- Latente;
5- Radiográfica.
Imagem virtual
Imagem luminosa
Imagem latente
Imagem Radiante
FEIXE DE FÓTONS
IMAGEM RADIANTE
KV = 2 . E + K
• Uma regra geral é que quando aumentamos o
Kv, devemos diminuir o mAs;
• Quando diminuímos o mAs, devemos
aumentar o Kv
• Aumentanto o Kv, aumentamos também a
penetração do feixe, aumentamos a energia.
• O contraste radiográfico diminui.
• Fundo cinza: Falta enegrecimento = mA baixo
• Fundo escuro: o problema não é o mAs=
Excesso de Kv
Uma regra geral tem mostrado que um aumento
de 15% ou geralmente de 8 a 10KV aumenta a
densidade em seu dobro.
A utilidade disto se aplica na redução da dose de
radiação e uma imagem padrão que seja
exequível.
KV . 15
________________
100
=
VALOR A SER APLICADO
1- RADIAÇÃO SECUNDÁRIA E FATOR DE
DENSIDADE E ESPESSURA DO OBJETO
IRRADIADO;
2- USO DA GRADE ANTI-DIFUSORA E FATOR DE
(AIR GAP);
3- COLIMAÇÃO.
Razão ou coeficiente de grade:
É a relação entre a altura das tiras de chumbo
(espessura da Grade) ( h) e a distância entre as
lâminas (D).
Razão = h / D h : D
Ex: Grade 8:1
GAP
Formação da Imagem / Contraste – Colimação Adequada
Formação da Imagem / Contraste – Colimação Adequada
Formação da Imagem / Contraste – Colimação Errada
Formação da Imagem / Contraste – Colimação Errada
Formação da Imagem / Contraste – Colimação Errada
Formação da Imagem / Contraste – Colimação Errada
POR:
1-FATORES GEOMÉTRICOS;
2- PELO APARELHO FILME – ECRÂN;
3- MOVIMENTO.
POR:
1- TAMANHO DO PONTO FOCAL;
2- DISTÂNCIA FOCO RECEPTOR;
3- DISTÂNCIA OBJETO RECEPTOR.
+
GRANDE PONTO FOCAL = + PENUMBRA
+
PEQUENO PONTO FOCAL = - PENUMBRA
MOVIMENTOS VOLUNTÁRIOS X MOVIMENTOS INVOLUNTÁRIOS
TRABALHANDO COM O TEMPO PARA REDUÇÃO DA NITIDEZ
mAs= 200mA x 0,25s
50mAs
mAs= 500mA x 0,10s
50mAs
DOFi
DFoFi
Ampola de RX
Bucky vertical
com chassi e filme Objeto radiografado
DFO
2 metros
1 metro
Imagem
Radiográfica
Imagem
Radiográfica
DOFI DFOO
DFOFI
Ampola de RX
Bucky vertical
com chassi e filme Objeto radiografado
DOFI DFOO
Imagem
Radiográfica
Distorcida
DFOO
Imagem
Radiográfica
Ideal
DFOFI
Imagem
Radiográfica
Distorcida
DFOFI
Imagem
Radiográfica
Ideal
DFOFI
Imagem
Radiográfica
Ideal
DFOO
Para conseguirmos melhor resolução temos
que:
1- Pequeno ponto focal;
2- Aumentar a DFoFi;
3- Diminuir a DOF.
112
FATOR DE
QUALIDADE
CONTROLE PRIMÁRIO CONTROLE
SECUNDÁRIO
1- DENSIDADE
Enegrecimento da imagem.
 mAs (mA e tempo) kVp
2- CONTRASTE
Diferença de densidade nas
áreas adjacentes da imagem
radiográfica.
kV radiação secundária e
colimação + mAs
(secundário)
3- RESOLUÇÃO
Nitidez das estruturas na imagem.
Falta de nitidez é conhecida como
borramento.
 Fatores Geométricos
 Tamanho do ponto focal
 DFFi
 DOFi
 Velocidade filme-écran
 Movimento
4- DISTORÇÃO
Deformação do tamanho ou da
forma do objeto.
DFFi
DOFi
Alinhamento objeto/filme
Alinhamento e centralização do RC
Willhelm Conrad Röentgen

Prof magno formação da imagem