TOMOGRAFIA
COMPUTADORIZADA
Herculys Douglas
“Olhar dentro do Corpo Humano”
! Mas as estruturas anatômicas eram superpostas
! E o tecido mole não era bem diferenciado
O RX Permitia, pela primeira
vez, a visualização da
anatomia humana de forma
não invasiva.
PRIMEIRO APARELHO
MASSA PULMONAR
ESQUERDA
NEOPLASIA PULMONAR
EXTENSÃO PARA O
MEDIASTINO?
TC = ESTADIAMENTO
TOMOGRAFIA COMPUTADORIZADA
MASSA PULMONAR
INVASÃO MEDIASTINAL
ARTÉRIA PULMONAR
ENVOLVIDA
BE ENVOLVIDO
LINFONODOMEGALIAS
§ Gantry
§ Mesa
§ Gerador
§ Console
§ Computador
Externamente...
Mesa
Gantry
Console
Computador
Gerador
TOMOGRAFIA COMPUTADORIZADA
Recon & pós-processamento
Aquisição de dados
Geração de raios-x
COMO FUNCIONA?
1° PASSO: PLANOS SECCIONAISPLANO SECCIONAL
AXIAL
Superior à Inferior
AXIAL
CORONAL
Anterior à Posterior
CORONAL
Esquerda à Direita
SAGITAL
Rotinas de exame
Imagem Piloto
TERMINOLOGIA
RECONSTRUÇÃO 3D
Reformatações Multiplanares
Pulmão
Modo de Aquisição
1.25/3.75mm
Pausa de 15seg
Tempo Total de Scan 22seg
MIP Cerebro
MIP VR
3D/Angio
3D - Tórax
3D
120kV/230mA/2.5mmEsp/0.8seg
Volume Rendering MPVR/MIP
3D/Angio
Volume Rendering
Volume Rendering
Crânio Abdome
Volume Rendering MPR
Volume Rendering
Trauma
Facial
Reformatações Volumétricas
Pulmão
MPR 3D
Reformatações Volumétricas
Análises de vasos
Aorta
Volume Rendering
TOMOGRAFIA COMPUTADORIZADA
HIPODENSO E HIPERDENSO
TOMOGRAFIA COMPUTADORIZADA
TOMOGRAFIA COMPUTADORIZADA
TOMOGRAFIA COMPUTADORIZADA
TOMOGRAFIA COMPUTADORIZADA
MEIO DE CONTRASTE
MEIO DE CONTRASTE
Fase Arterial
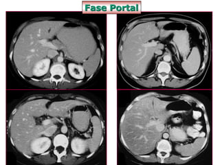
Fase Portal
Fase de Equilíbrio
BIÓPSIA PERCUTÂNEA GUIADA POR TC
BIÓPSIA PERCUTÂNEA GUIADA POR TC
BIÓPSIA PERCUTÂNEA GUIADA POR TC
BIÓPSIA PERCUTÂNEA GUIADA POR TC
BIÓPSIA PERCUTÂNEA GUIADA POR TC
BIÓPSIA PERCUTÂNEA GUIADA POR
FLUOROSCOPIA
NAVIGATOR - CÓLON
Endoscopia Navigator
NAVIGATOR - SUBMUCOSAL
Colonography
Reformatação Coronal
Colonography
Cólon
RECONSTRUÇÃO FACIAL FORENSE
RADIOLOGIA VETERINÁRIA
DESCUBRA O QUE TEM DE ERRADO...
DESCUBRA O QUE TEM DE ERRADO...
“Se você deseja 1 ano de prosperidade, cultive grãos.
Se você quer 10 anos de prosperidade, cultive árvores.
Se você deseja 100 anos de prosperidade, cultive gente”
Ditado Chinês
Quem vai garantir o futuro do Brasil?
TOMOGRAFIA COMPUTADORIZADA (TC)
TOMOGRAFIA COMPUTADORIZADA (TC)

TOMOGRAFIA COMPUTADORIZADA (TC)