Incorporar apresentação
Baixado 11 vezes




























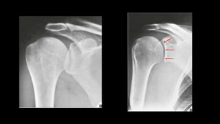
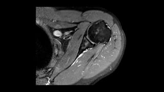
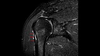
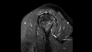
O documento aborda lesões no ombro, dividindo-as por faixas etárias: fraturas de clavícula em crianças, luxações em adultos e fraturas do úmero proximal em idosos. Descreve também técnicas de avaliação radiográfica e suas variações, incluindo incidências específicas para diagnóstico. Além disso, são mencionados métodos de imagem alternativos para a avaliação de partes moles e condições articulares.


























