TÉCNICAS RADIOLOGICAS Prof: Emerson Pereira de Sousa
PLANOS CORTES E LINHAS
CONCEITOS ANATÔMICOS GERAIS POSIÇÃO ANATÔMICA :  Na posição anatômica, o indivíduo está de pé, ereto, de frente para o observador, com os membros superiores (extremidades) posicionados lateralmente, as palmas das mãos voltadas para a frente e os pés apoiados no chão
PLANOS CORPÓREOS
PLANOS CORPÓREOS
POSIÇÕES DO CORPO
PROJEÇÕES E ROTAÇÕES É fundamental o conhecimento das terminologias utilizadas na confecção de uma radiografia, para termos um entendimento sobre o estadiamento do paciente e ou da parte.
OBRIGADO !!!!
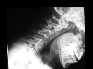
INCIDÊNCIA LATERAL VIAS ÁEREAS SUPERIORES
Posi ç ão do Paciente:  Ereto, se poss í vel, sentado ou em p é , na posi ç ão de perfil (pode ser realizada em perfil direito ou esquerdo e pode ser obtida em dec ú bito no tampo da mesa, se necess á rio); De modo a centralizar as vias respirat ó rias altas com o RC e com o centro do chassi (laringe e traqu é ia repousam anteriormente  à s v é rtebras cervicais e tor á cicas). Rodar os ombros posteriormente com os bra ç os pendentes, prendendo as mão para tr á s do dorso. Elevar o queixo ligeiramente e pedir para o paciente olhar reto  à  frente. Ajustar a altura do chassi, de modo a colocar a borda superior do chassi no n í vel do meato auditivo externo (MAE), que  é  a abertura do canal auricular externo. (se a  á rea principal de interesse for  à  traqu é ia e não a laringe); Raio Central :  P erpendicular ao centro do chassi ao n í vel de (6 ou (7, a meio caminho entre a proeminência laringea da cartilagem tireóidea e a incisura jugular;  DFoFi:  180 cm (72 polegadas), se poss í vel para minimizar a amplia ç ão; Colima ç ão   Colimar com a  á rea de interesse; Respira ç ão:  A exposi ç ão  é  feita durante uma inspira ç ão lenta e profunda para garantir o enchimento da traqu é ia e da laringe com ar.
Observa ç ão :  Sobre a centraliza ç ão e a exposi ç ão para a região  cervical: A centraliza ç ão deve ser em rela ç ão  à  proeminência  lar í ngea (C5), usando os fatores de exposi ç ão para tecidos moles em  perfil do pesco ç o, se a  á rea de interesse for principalmente  à  laringe e a por ç ão superior da traqu é ia.   Observa ç ão sobre a centraliza ç ão e a exposi ç ão para traqu é ia e a por ç ão distar da laringe:Se as por ç ões distal da laringe e superior e m é dia da traqu é ia são a  á rea principal de interesse, o chassi e o RC   devem ser rebaixados, de modo a colocar o RC na por ç ão superior da incisura jugular (T 1), com fatores de exposi ç ão aproximadamente  iguais aos da radiografia de t ó rax em perfil; Estruturas Mostradas:  A laringe e a traqu é ia devem estar repletas de ar e bem visualizadas; Crit é rios de Exposi ç ão:   A exposi ç ão ideal inclui a t é cnica usada para tecidos moles, na qual a laringe e a por ç ão superior da traqu é ia não são super expostas. As v é rtebras cervicais aparecerão sub expostas.
INCIDÊNCIA LATERAL VIAS AÉREAS SUPERRIORES
INCIDÊNCIA ANTERO-POSTERIOR  (AP) VIAS ÁEREAS SUPERIORES
Posição do Paciente:  Ortost á tica, se poss í vel, sentado ou em p é , com a parte posterior da cabe ç a e os dos ombros contra o chassi (pode ser realizada em dec ú bito, se necess á rio);   Alinhando o plano mediosagital com o RC e com a linha m é dia da grade ou da mesa. Elevar o queixo de modo que a linha  acantiomeatal esteja perpendicular ao chassi (a linha do acantio ou  á rea diretamente abaixo do nariz e do meato ou MAE); o paciente deve olhar diretamente para a frente. Ajustar a altura do chassi, de modo a colocar a sua parte superior 3 a 4 cm (1 a 1 1/2 polegada) abaixo do MAE; Raio Central:   Perpendicular ao centro do chassi ao n í vel de T1, cerca de 2,5 cm acima da incisura   jugular; DFoFi:  m í nimo, 102 cm  (40  polegadas); Colima ç ão:  Colimar a  á rea de interesse; Respira ç ão:  A exposi ç ão  é  feita durante uma inspira ç ão lenta e profunda para garantir o enchimento da traqu é ia e das vias respirat ó rias altas com ar.
Observa ç ão:  S obre a exposi ç ão: A exposi ç ão para essa incidência. AP deve ser aproximadamente igual  à  de uma incidência AP para coluna vertebral cervical e/ou tor á cica. Estruturas Mostradas:   A laringe e a traqu é ia, de C3 a T 4, devem estar repletas de ar e visualizadas atrav é s da coluna. A  á rea das v é rtebras cênicas proximais (a margem inferior da sombra da mand í bula e da base do crânio sobrepostas) at é  a região m é dia do t ó rax deve estar inclu í da. Posi ç ão sem rota ç ão, evidenciado pela aparência sim é trica das articula ç ões estenoclaviculares. A mand í bula deve  sobrepor  a base do crânio, com a coluna alinhada com o centro do filme ; Crit é rios de Exposi ç ão :  A exposi ç ão ideal deve ser apenas escura o suficiente para visualizar a traqu é ia repleta de ar atrav é s das v é rtebras cervicais e tor á cicas.
INCIDÊNCIA AP VIAS AÉREAS SUPERIORES
RADIOGRAFANDO A COLUNA CERVICAL TÉCNICAS RADIOLOGICAS
INTRODUÇÃO Coluna Vertebral: A coluna vertebral, comumente chamada de coluna espinhal, é uma complexa sucessão de muitos ossos chamados de vértebras (singular vértebra). Ela garante uma coluna de sustentação flexível para o tronco e a cabeça e também transmite o peso do tronco e da parte superior do corpo aos membros inferiores. Essa coluna está localizada no plano mediossagital, formando a região posterior ou dorsal do tronco ósseo do corpo. Como as vértebras adjacentes estão empilhadas verticalmente, aberturas em cada vértebra existem para criar um canal medular vertical tubular.
ENCÉFALO CERBELO MEDULA ESPINAL NERVOS ESPINAIS
DIVISÃO DA COLUNA VERTEBRAL Esta constituída de 33 peças esqueléticas, as  vértebras colocadas umas sobre as outras no sentido longitudinal, de modo a formar um  conjunto que estende pela nuca, tórax, abdome e pelve, donde reconhecemos sete vértebras cervicais, doze torácicas, cinco lombares, cinco sacrais e quatro coccigeas. As vértebras sacrais são fundidas em peça únicas. O sacro, alicerce da pelve, que se articula com os ossos do quadril.As vértebras coccigeas são rudimentares no homem não tem importância que lhes e conferida na espécies caudadas. Por ser um suporte de peso, a parte anterior das vértebras , corpo vertebral, aumenta de volume da porção cervical à lombar, uma vez que as vértebras inferiores têm sobrecarga de peso quando comparadas com as vértebras superiores.
INDICAÇÕES   CIFOSE:  Curvatura anormal ou exagerada; LORDOSE:  Curvatura anormal ou exagerada da coluna lombar; ESCOLIOSE:  Curvatura lateral anormal ou exagerada;  DOENÇA DE SCHEUERMANN:  Doença relativamente comum, causa desconhecida na juventude, com o desaparecimento no decorrer dos anos; ESPONDILITE:  Inflamação das vértebras; ESPONDILITE ANQUILOSANTE:  Doença de causa desconhecida, causa enrijecimento com inflamação das articulações sacroilíacas e calcificações para vertebral;  FACETAS;  Subluxações unilaterais; FRATURAS.
ANATOMIA BÁSICA C1 À C7 ÁXIS DENTE PROCESSO ONDONTOIDE CORPO VERTEBBRAL ÁXIS PROCESSO TRANVESO ATLAS TERCEIRA VERTEBRA QUARTA VERTEBRA QUINTA VERTEBRA SEXTA VERTEBRA VERTEBRA PROEMINENTE SETIMA VERTEBRA
7º VERTEBRA  CERVICAL 2º VERTEBRA CERVICAL PROCESSO ESPINHOSO FORAME VERTEBRAL LÂMINA DO ARCO DA VERTEBRA CORPO DA VERTEBRA PROCESSO ESPINHOSO CORPO DA VERTEBRA DENTE- PROCESSO ONDOTOIDE PROCESSO TRANSVERSO
MARCOS TOPOGRÁFICOS
MARCOS TOPOGRÁFICOS Marcos Topográficos: Marcos topográficos fornecem pontos palpáveis e úteis para o direcionamento do posicionamento radiográfico. Marcos podem ser úteis quando imagens radiográficas com boa colimação são exigidas para vértebras específicas. Existem variações entre pacientes devido às diferentes posturas, mas esses marcos representam proporções anatômicas de um paciente comum.
INCIDÊNCIAS P/ ATLAS E ÁXIS   TRANS-ORAL EM AP; PERFIL; MÉTODO DE JUDD EM PA; MÉTODO DE FUCH EM AP; MÉTODO DE OTTOMELLO.
ANATOMIA 1º E 2º VERTEBRA 1 1- ARCO ANTERIOR DA ATLAS 2 2- PROCESSO TRANSVERSO 3 3- PROCESSO ARTICULAR INFERIOR 4 4- PROCESSO ARTICULAR SUPERIOR ATLAS 1º VERTEBRA CERVICAL ÁXIS 2º VERTEBRA CERVICAL 5 5- DENTE( PROCESSO ONDONTOIDE) 6 6- PROCESSO ESPINHOSO 7 7- PROCESSO ARTICULAR SUPERIOR 8 8- PROCESSO TRASVERSO
1- ATLAS  ( PRIMEIRA VERTEBRA CERVICAL); 2-  ÁXIS  (SEGUNDA VERTEBRA CERVICAL); POSIÇAÕ ÂNTERO-POSTERIOR (AP), COM A BOCA ABERTA (TRANS-ORAL). 1 1- DENTE PROCESSO ONDONTÓIDE 2 2- PROCESSO ESPINHOSO 3 3- ARCO ANTERIOR DO ATLAS 4 4- PROCESSO TRANSVERSO ATLAS 5 5- PROCESSO TRANVERSO ÁXIS
ATLAS E ÁXIS AP (TRANS-ORAL) Posição do Paciente:   Decúbito dorsal ou posição ortostática, com os braços ao lado do corpo, posicionar a cabeça sobre a superfície da mesa, fornecendo imobilização, se necessário; Alinhando a linha médiosagital com alinha média da mesa ou da estaiva, observar cuidadosamente para que não haja rotação da cabeça, pedir para o paciente que abra a boca o máximo possível; Raio Central:  Perpendicular horizontal incidindo ao meio dos lábios; Filme:  18x24 em longitudinal e borda superior do chassi 3 cm acima do meato acústico externo (MAE); DFF:  de 100 cm.
ATLAS E ÁXIS AP (TRANS - ORAL)
CERVICAL EM PERFIL Posição do Paciente:  Ortostática, com os braços para traz e com as mãos dadas forçando os ombros para baixo; Alinhando a linha médio coronal com a linha média da estativa, estenda levemente o queixo para a frente (a fim de evitar a sobreposição da região cervical superior pela mandíbula); Raio Central:  Perpendicular horizontal, incidindo ao nível de C4; Filme:  18x24 em longitudinal, borda superior do chassi 3cm acima do meato acústico externo; DFF:  de 150 cm.
CERVICAL EM PERFIL
ESTRUTURAS DEMOSTRADAS
MÉTODO DE JUDD Posição do Paciente:   Deitado sobre a mesa, em decúbito ventral (PA) com o queixo sobre o tampo da mesa, estenda o queixo ao ponto que alinha mentomeatal esteja paralela ao filme,   Alinhando  a linha médiosargital com a LCM, observar cuidadosamente para que não aja rotação da cabeça; Raio Central:   Perpendicular ao filme incidindo na porção média do osso occipital; Filme:  18x24 em longitudinal. DFF:   de 100 cm.
MÉTODO DE JUDD
ESTRUTURAS DEMOSTRADAS
MÉTODO DE FUCH
MÉTODO DE FUCH Posição do paciente:  Deitado sobre a mesa em decúbito Dorsal, alinhar a linha médio sagital com a linha central da mesa; Elevar o queixo máximo possível ao ponto que fique alinhado com a linha mentomeatal, o occipital estará repousando no tampo da mesa; Raio Central:  Angulado cefálico ao ponto que fique paralelo a linha mentomeatal; Filme:  18x28 em longitudinal. DFF:   de 100 cm.
MÉTODO DE FUCH
MÉTODO DE OTTOMELLO Posição do Paciente:  Deitado sobre a mesa em decúbito dorsal com alinha mediosagital alinhado na linha média da mesa, observar cuidadosamente para que não aja rotação do tórax e da cabeça;Nesta incidência a mandíbula  tem que estar em movimento observar no momento de exposição que a cabeça não se mova;  Raio Central:  Perpendicular incidindo ao nível de C4; Filme:  18x24 longitudinal e borda superior 3 cm acima do meato acústico esterno; DFF:  de 100 cm.
MÉTODO DE OTTOMELLO
MÉTODO DE OTTOMELLO
CERVICAL EM AP Posição do Paciente:  Ortostática ou sobre a mesa em decúbito dorsal com os braços ao lado do corpo alinhar a linha mediosagital com a linha central da estativa;Pedir para o paciente que olhe para o horizonte elevando levemente seu mento, observar cuidadosamente para que não aja rotação da cabeça e do tórax; Raio Central:  Angulado cefálico de 15º a 20º, incidindo na cartilagem da tireóide; Filme:  18x24 longitudinal com bordo superior 3 cm acima do meato acústico esterno; DFF:  de 100 cm.
CERVICAL EM AP
CERVICAL EM PERFIL Posição do Paciente:  Ortostática, com os braços para traz e com as mãos dadas forçando os ombros para baixo; Alinhar a linha médio coronal com a LCE, estenda levemente o queixo para a frente (a fim de evitar a sobreposição da região cervical superior pela mandíbula); Raio Central:  Perpendicular horizontal, incidindo ao nível de C4; Filme:  18x24 em longitudinal, borda superior do chassi 3cm acima do meato acústico externo; DFF:  de 150 cm.
CERVICAL EM PERFIL
 
Posi ç ão do Paciente:   A posi ç ão ereta  é  preferida (sentado ou em p é ), mas a radiografia pode ser feita na posi ç ão deitada se a condi ç ão do paciente assim o exigir; Alinhe o plano coronal m é dio ao RC e  à  linha m é dia da mesa ou do porta-filme. Levante o bra ç o e o ombro do paciente pr ó ximos do filme, flexionando o coto ­ velo e deixando o antebra ç o apoiado na cabe ç a.   Posicione o bra ç o e o ombro distantes do filme para baixo e ligeiramente anteriores a fim de situar a cabe ç a umeral anteriormente  à s v é rtebras. Mantenha o t ó rax e a cabe ç a na posi ç ão mais lateral verdadeira poss í vel; Raio Central:  P erpendicular ao filme. RC centralizado em T1; DFF:  De 100 cm POSIÇÃO CERVICO TORÁCICO DO NADADOR (C4 – T7)
POSIÇÃO CERVICO TORÁCICO DO NADADOR (C4 – T7)
Posição do Paciente:  Ortostática, com os braços ao lado corpo, alinhar a linha mediosagital com a LCE; Deixar o corpo alinhado em AP em oblíqua anterior e PA para oblíqua posterior, fazer uma rotação do corpo todo de 45º; Raio Central:  para oblíquas anteriores angulado caudal de 15º a 20º cefálico, para oblíquas posteriores de 5º a 20º podálico; Filme:  18x24 cm longitudinal com borda superior 3 cm acima do meato acústico esterno; DFF:  de 100cm CERVICAL OBLÍQUAS
CERVICAL OBLÍQUAS
 
CERVICAL FLEXÃO Posição do Paciente:  Ortostática, com os braços para traz e com as mãos dadas forçando os ombros para baixo; Alinhar a linha médio coronal com a LCE, pedir para o paciente fazer uma flexão total do pescoço ou o máximo que ele puder, não realizar esta manobra em caso de suspeita de trauma; Raio Central:  Perpendicular na horizontal, incidindo a nível de C4(cartilagem tireóide); Filme:  18x24 em longitudinal e borda superior 3 cm acima do meato acústico esterno; DFF:  de 150 cm.
CERVICAL  FLEXÃO
 
CERVICAL EXTENSÃO   Posição do Paciente:  Ortostática, com os braços para traz e com as mãos dadas forçando os ombros para baixo; Alinhar a linha médio coronal com a LCE, pedir para o paciente fazer uma extensão total do pescoço ou o máximo que ele puder, não realizar esta manobra em caso de suspeita de trauma; Raio Central:  Perpendicular na horizontal, incidindo a nível de C4(cartilagem tireóide); Filme:  18x24 em longitudinal e borda superior 3 cm acima do meato acústico esterno; DFF:  de 150 cm.
CERVICAL EXTENSÃO
 
INCIDÊNCIA AP AXIAL – ARCO VERTEBRAL (PILARES) : COLUNA CERVICAL Posição do Paciente:   D ecúbito dorsal. com os braços ao lado do corpo.   Alinhe o plano médio sagital com a linha média da mesa. Faça a hiperextensão do pescoço se o paciente for capaz. Assegure-se de que não aja rotação da cabeça ou do tórax; Raio Central:   Com angulação caudal de 20° a 30°, para entrar ao nível da margem inferior da cartilagem tireóide; Filme:  24x30 em longitudinal; DFF:  100 cm;
INCIDÊNCIA AP AXIAL – ARCO VERTEBRAL (PILARES) : COLUNA CERVICAL
 
POR FAVOR NÃO ME PERGUNTEM  ACABEI DE ESQUECER O CONTEÚDO ESTUDADO!!! [email_address]

Aula de coluna cervical

  • 1.
  • 2.
    TÉCNICAS RADIOLOGICAS Prof:Emerson Pereira de Sousa
  • 3.
  • 4.
    CONCEITOS ANATÔMICOS GERAISPOSIÇÃO ANATÔMICA : Na posição anatômica, o indivíduo está de pé, ereto, de frente para o observador, com os membros superiores (extremidades) posicionados lateralmente, as palmas das mãos voltadas para a frente e os pés apoiados no chão
  • 5.
  • 6.
  • 7.
  • 8.
    PROJEÇÕES E ROTAÇÕESÉ fundamental o conhecimento das terminologias utilizadas na confecção de uma radiografia, para termos um entendimento sobre o estadiamento do paciente e ou da parte.
  • 9.
  • 10.
    INCIDÊNCIA LATERAL VIASÁEREAS SUPERIORES
  • 11.
    Posi ç ãodo Paciente: Ereto, se poss í vel, sentado ou em p é , na posi ç ão de perfil (pode ser realizada em perfil direito ou esquerdo e pode ser obtida em dec ú bito no tampo da mesa, se necess á rio); De modo a centralizar as vias respirat ó rias altas com o RC e com o centro do chassi (laringe e traqu é ia repousam anteriormente à s v é rtebras cervicais e tor á cicas). Rodar os ombros posteriormente com os bra ç os pendentes, prendendo as mão para tr á s do dorso. Elevar o queixo ligeiramente e pedir para o paciente olhar reto à frente. Ajustar a altura do chassi, de modo a colocar a borda superior do chassi no n í vel do meato auditivo externo (MAE), que é a abertura do canal auricular externo. (se a á rea principal de interesse for à traqu é ia e não a laringe); Raio Central : P erpendicular ao centro do chassi ao n í vel de (6 ou (7, a meio caminho entre a proeminência laringea da cartilagem tireóidea e a incisura jugular; DFoFi: 180 cm (72 polegadas), se poss í vel para minimizar a amplia ç ão; Colima ç ão Colimar com a á rea de interesse; Respira ç ão: A exposi ç ão é feita durante uma inspira ç ão lenta e profunda para garantir o enchimento da traqu é ia e da laringe com ar.
  • 12.
    Observa ç ão: Sobre a centraliza ç ão e a exposi ç ão para a região cervical: A centraliza ç ão deve ser em rela ç ão à proeminência lar í ngea (C5), usando os fatores de exposi ç ão para tecidos moles em perfil do pesco ç o, se a á rea de interesse for principalmente à laringe e a por ç ão superior da traqu é ia. Observa ç ão sobre a centraliza ç ão e a exposi ç ão para traqu é ia e a por ç ão distar da laringe:Se as por ç ões distal da laringe e superior e m é dia da traqu é ia são a á rea principal de interesse, o chassi e o RC devem ser rebaixados, de modo a colocar o RC na por ç ão superior da incisura jugular (T 1), com fatores de exposi ç ão aproximadamente iguais aos da radiografia de t ó rax em perfil; Estruturas Mostradas: A laringe e a traqu é ia devem estar repletas de ar e bem visualizadas; Crit é rios de Exposi ç ão: A exposi ç ão ideal inclui a t é cnica usada para tecidos moles, na qual a laringe e a por ç ão superior da traqu é ia não são super expostas. As v é rtebras cervicais aparecerão sub expostas.
  • 13.
    INCIDÊNCIA LATERAL VIASAÉREAS SUPERRIORES
  • 14.
    INCIDÊNCIA ANTERO-POSTERIOR (AP) VIAS ÁEREAS SUPERIORES
  • 15.
    Posição do Paciente: Ortost á tica, se poss í vel, sentado ou em p é , com a parte posterior da cabe ç a e os dos ombros contra o chassi (pode ser realizada em dec ú bito, se necess á rio); Alinhando o plano mediosagital com o RC e com a linha m é dia da grade ou da mesa. Elevar o queixo de modo que a linha acantiomeatal esteja perpendicular ao chassi (a linha do acantio ou á rea diretamente abaixo do nariz e do meato ou MAE); o paciente deve olhar diretamente para a frente. Ajustar a altura do chassi, de modo a colocar a sua parte superior 3 a 4 cm (1 a 1 1/2 polegada) abaixo do MAE; Raio Central: Perpendicular ao centro do chassi ao n í vel de T1, cerca de 2,5 cm acima da incisura jugular; DFoFi: m í nimo, 102 cm (40 polegadas); Colima ç ão: Colimar a á rea de interesse; Respira ç ão: A exposi ç ão é feita durante uma inspira ç ão lenta e profunda para garantir o enchimento da traqu é ia e das vias respirat ó rias altas com ar.
  • 16.
    Observa ç ão: S obre a exposi ç ão: A exposi ç ão para essa incidência. AP deve ser aproximadamente igual à de uma incidência AP para coluna vertebral cervical e/ou tor á cica. Estruturas Mostradas: A laringe e a traqu é ia, de C3 a T 4, devem estar repletas de ar e visualizadas atrav é s da coluna. A á rea das v é rtebras cênicas proximais (a margem inferior da sombra da mand í bula e da base do crânio sobrepostas) at é a região m é dia do t ó rax deve estar inclu í da. Posi ç ão sem rota ç ão, evidenciado pela aparência sim é trica das articula ç ões estenoclaviculares. A mand í bula deve sobrepor a base do crânio, com a coluna alinhada com o centro do filme ; Crit é rios de Exposi ç ão : A exposi ç ão ideal deve ser apenas escura o suficiente para visualizar a traqu é ia repleta de ar atrav é s das v é rtebras cervicais e tor á cicas.
  • 17.
    INCIDÊNCIA AP VIASAÉREAS SUPERIORES
  • 18.
    RADIOGRAFANDO A COLUNACERVICAL TÉCNICAS RADIOLOGICAS
  • 19.
    INTRODUÇÃO Coluna Vertebral:A coluna vertebral, comumente chamada de coluna espinhal, é uma complexa sucessão de muitos ossos chamados de vértebras (singular vértebra). Ela garante uma coluna de sustentação flexível para o tronco e a cabeça e também transmite o peso do tronco e da parte superior do corpo aos membros inferiores. Essa coluna está localizada no plano mediossagital, formando a região posterior ou dorsal do tronco ósseo do corpo. Como as vértebras adjacentes estão empilhadas verticalmente, aberturas em cada vértebra existem para criar um canal medular vertical tubular.
  • 20.
    ENCÉFALO CERBELO MEDULAESPINAL NERVOS ESPINAIS
  • 21.
    DIVISÃO DA COLUNAVERTEBRAL Esta constituída de 33 peças esqueléticas, as vértebras colocadas umas sobre as outras no sentido longitudinal, de modo a formar um conjunto que estende pela nuca, tórax, abdome e pelve, donde reconhecemos sete vértebras cervicais, doze torácicas, cinco lombares, cinco sacrais e quatro coccigeas. As vértebras sacrais são fundidas em peça únicas. O sacro, alicerce da pelve, que se articula com os ossos do quadril.As vértebras coccigeas são rudimentares no homem não tem importância que lhes e conferida na espécies caudadas. Por ser um suporte de peso, a parte anterior das vértebras , corpo vertebral, aumenta de volume da porção cervical à lombar, uma vez que as vértebras inferiores têm sobrecarga de peso quando comparadas com as vértebras superiores.
  • 22.
    INDICAÇÕES CIFOSE: Curvatura anormal ou exagerada; LORDOSE: Curvatura anormal ou exagerada da coluna lombar; ESCOLIOSE: Curvatura lateral anormal ou exagerada; DOENÇA DE SCHEUERMANN: Doença relativamente comum, causa desconhecida na juventude, com o desaparecimento no decorrer dos anos; ESPONDILITE: Inflamação das vértebras; ESPONDILITE ANQUILOSANTE: Doença de causa desconhecida, causa enrijecimento com inflamação das articulações sacroilíacas e calcificações para vertebral; FACETAS; Subluxações unilaterais; FRATURAS.
  • 23.
    ANATOMIA BÁSICA C1À C7 ÁXIS DENTE PROCESSO ONDONTOIDE CORPO VERTEBBRAL ÁXIS PROCESSO TRANVESO ATLAS TERCEIRA VERTEBRA QUARTA VERTEBRA QUINTA VERTEBRA SEXTA VERTEBRA VERTEBRA PROEMINENTE SETIMA VERTEBRA
  • 24.
    7º VERTEBRA CERVICAL 2º VERTEBRA CERVICAL PROCESSO ESPINHOSO FORAME VERTEBRAL LÂMINA DO ARCO DA VERTEBRA CORPO DA VERTEBRA PROCESSO ESPINHOSO CORPO DA VERTEBRA DENTE- PROCESSO ONDOTOIDE PROCESSO TRANSVERSO
  • 25.
  • 26.
    MARCOS TOPOGRÁFICOS MarcosTopográficos: Marcos topográficos fornecem pontos palpáveis e úteis para o direcionamento do posicionamento radiográfico. Marcos podem ser úteis quando imagens radiográficas com boa colimação são exigidas para vértebras específicas. Existem variações entre pacientes devido às diferentes posturas, mas esses marcos representam proporções anatômicas de um paciente comum.
  • 27.
    INCIDÊNCIAS P/ ATLASE ÁXIS TRANS-ORAL EM AP; PERFIL; MÉTODO DE JUDD EM PA; MÉTODO DE FUCH EM AP; MÉTODO DE OTTOMELLO.
  • 28.
    ANATOMIA 1º E2º VERTEBRA 1 1- ARCO ANTERIOR DA ATLAS 2 2- PROCESSO TRANSVERSO 3 3- PROCESSO ARTICULAR INFERIOR 4 4- PROCESSO ARTICULAR SUPERIOR ATLAS 1º VERTEBRA CERVICAL ÁXIS 2º VERTEBRA CERVICAL 5 5- DENTE( PROCESSO ONDONTOIDE) 6 6- PROCESSO ESPINHOSO 7 7- PROCESSO ARTICULAR SUPERIOR 8 8- PROCESSO TRASVERSO
  • 29.
    1- ATLAS ( PRIMEIRA VERTEBRA CERVICAL); 2- ÁXIS (SEGUNDA VERTEBRA CERVICAL); POSIÇAÕ ÂNTERO-POSTERIOR (AP), COM A BOCA ABERTA (TRANS-ORAL). 1 1- DENTE PROCESSO ONDONTÓIDE 2 2- PROCESSO ESPINHOSO 3 3- ARCO ANTERIOR DO ATLAS 4 4- PROCESSO TRANSVERSO ATLAS 5 5- PROCESSO TRANVERSO ÁXIS
  • 30.
    ATLAS E ÁXISAP (TRANS-ORAL) Posição do Paciente: Decúbito dorsal ou posição ortostática, com os braços ao lado do corpo, posicionar a cabeça sobre a superfície da mesa, fornecendo imobilização, se necessário; Alinhando a linha médiosagital com alinha média da mesa ou da estaiva, observar cuidadosamente para que não haja rotação da cabeça, pedir para o paciente que abra a boca o máximo possível; Raio Central: Perpendicular horizontal incidindo ao meio dos lábios; Filme: 18x24 em longitudinal e borda superior do chassi 3 cm acima do meato acústico externo (MAE); DFF: de 100 cm.
  • 31.
    ATLAS E ÁXISAP (TRANS - ORAL)
  • 32.
    CERVICAL EM PERFILPosição do Paciente: Ortostática, com os braços para traz e com as mãos dadas forçando os ombros para baixo; Alinhando a linha médio coronal com a linha média da estativa, estenda levemente o queixo para a frente (a fim de evitar a sobreposição da região cervical superior pela mandíbula); Raio Central: Perpendicular horizontal, incidindo ao nível de C4; Filme: 18x24 em longitudinal, borda superior do chassi 3cm acima do meato acústico externo; DFF: de 150 cm.
  • 33.
  • 34.
  • 35.
    MÉTODO DE JUDDPosição do Paciente: Deitado sobre a mesa, em decúbito ventral (PA) com o queixo sobre o tampo da mesa, estenda o queixo ao ponto que alinha mentomeatal esteja paralela ao filme, Alinhando a linha médiosargital com a LCM, observar cuidadosamente para que não aja rotação da cabeça; Raio Central: Perpendicular ao filme incidindo na porção média do osso occipital; Filme: 18x24 em longitudinal. DFF: de 100 cm.
  • 36.
  • 37.
  • 38.
  • 39.
    MÉTODO DE FUCHPosição do paciente: Deitado sobre a mesa em decúbito Dorsal, alinhar a linha médio sagital com a linha central da mesa; Elevar o queixo máximo possível ao ponto que fique alinhado com a linha mentomeatal, o occipital estará repousando no tampo da mesa; Raio Central: Angulado cefálico ao ponto que fique paralelo a linha mentomeatal; Filme: 18x28 em longitudinal. DFF: de 100 cm.
  • 40.
  • 41.
    MÉTODO DE OTTOMELLOPosição do Paciente: Deitado sobre a mesa em decúbito dorsal com alinha mediosagital alinhado na linha média da mesa, observar cuidadosamente para que não aja rotação do tórax e da cabeça;Nesta incidência a mandíbula tem que estar em movimento observar no momento de exposição que a cabeça não se mova; Raio Central: Perpendicular incidindo ao nível de C4; Filme: 18x24 longitudinal e borda superior 3 cm acima do meato acústico esterno; DFF: de 100 cm.
  • 42.
  • 43.
  • 44.
    CERVICAL EM APPosição do Paciente: Ortostática ou sobre a mesa em decúbito dorsal com os braços ao lado do corpo alinhar a linha mediosagital com a linha central da estativa;Pedir para o paciente que olhe para o horizonte elevando levemente seu mento, observar cuidadosamente para que não aja rotação da cabeça e do tórax; Raio Central: Angulado cefálico de 15º a 20º, incidindo na cartilagem da tireóide; Filme: 18x24 longitudinal com bordo superior 3 cm acima do meato acústico esterno; DFF: de 100 cm.
  • 45.
  • 46.
    CERVICAL EM PERFILPosição do Paciente: Ortostática, com os braços para traz e com as mãos dadas forçando os ombros para baixo; Alinhar a linha médio coronal com a LCE, estenda levemente o queixo para a frente (a fim de evitar a sobreposição da região cervical superior pela mandíbula); Raio Central: Perpendicular horizontal, incidindo ao nível de C4; Filme: 18x24 em longitudinal, borda superior do chassi 3cm acima do meato acústico externo; DFF: de 150 cm.
  • 47.
  • 48.
  • 49.
    Posi ç ãodo Paciente: A posi ç ão ereta é preferida (sentado ou em p é ), mas a radiografia pode ser feita na posi ç ão deitada se a condi ç ão do paciente assim o exigir; Alinhe o plano coronal m é dio ao RC e à linha m é dia da mesa ou do porta-filme. Levante o bra ç o e o ombro do paciente pr ó ximos do filme, flexionando o coto ­ velo e deixando o antebra ç o apoiado na cabe ç a. Posicione o bra ç o e o ombro distantes do filme para baixo e ligeiramente anteriores a fim de situar a cabe ç a umeral anteriormente à s v é rtebras. Mantenha o t ó rax e a cabe ç a na posi ç ão mais lateral verdadeira poss í vel; Raio Central: P erpendicular ao filme. RC centralizado em T1; DFF: De 100 cm POSIÇÃO CERVICO TORÁCICO DO NADADOR (C4 – T7)
  • 50.
    POSIÇÃO CERVICO TORÁCICODO NADADOR (C4 – T7)
  • 51.
    Posição do Paciente: Ortostática, com os braços ao lado corpo, alinhar a linha mediosagital com a LCE; Deixar o corpo alinhado em AP em oblíqua anterior e PA para oblíqua posterior, fazer uma rotação do corpo todo de 45º; Raio Central: para oblíquas anteriores angulado caudal de 15º a 20º cefálico, para oblíquas posteriores de 5º a 20º podálico; Filme: 18x24 cm longitudinal com borda superior 3 cm acima do meato acústico esterno; DFF: de 100cm CERVICAL OBLÍQUAS
  • 52.
  • 53.
  • 54.
    CERVICAL FLEXÃO Posiçãodo Paciente: Ortostática, com os braços para traz e com as mãos dadas forçando os ombros para baixo; Alinhar a linha médio coronal com a LCE, pedir para o paciente fazer uma flexão total do pescoço ou o máximo que ele puder, não realizar esta manobra em caso de suspeita de trauma; Raio Central: Perpendicular na horizontal, incidindo a nível de C4(cartilagem tireóide); Filme: 18x24 em longitudinal e borda superior 3 cm acima do meato acústico esterno; DFF: de 150 cm.
  • 55.
  • 56.
  • 57.
    CERVICAL EXTENSÃO Posição do Paciente: Ortostática, com os braços para traz e com as mãos dadas forçando os ombros para baixo; Alinhar a linha médio coronal com a LCE, pedir para o paciente fazer uma extensão total do pescoço ou o máximo que ele puder, não realizar esta manobra em caso de suspeita de trauma; Raio Central: Perpendicular na horizontal, incidindo a nível de C4(cartilagem tireóide); Filme: 18x24 em longitudinal e borda superior 3 cm acima do meato acústico esterno; DFF: de 150 cm.
  • 58.
  • 59.
  • 60.
    INCIDÊNCIA AP AXIAL– ARCO VERTEBRAL (PILARES) : COLUNA CERVICAL Posição do Paciente: D ecúbito dorsal. com os braços ao lado do corpo. Alinhe o plano médio sagital com a linha média da mesa. Faça a hiperextensão do pescoço se o paciente for capaz. Assegure-se de que não aja rotação da cabeça ou do tórax; Raio Central: Com angulação caudal de 20° a 30°, para entrar ao nível da margem inferior da cartilagem tireóide; Filme: 24x30 em longitudinal; DFF: 100 cm;
  • 61.
    INCIDÊNCIA AP AXIAL– ARCO VERTEBRAL (PILARES) : COLUNA CERVICAL
  • 62.
  • 63.
    POR FAVOR NÃOME PERGUNTEM ACABEI DE ESQUECER O CONTEÚDO ESTUDADO!!! [email_address]