INCIDÊNCIAS
RADIOLÓGICAS
INCIDÊNCIAS RADIOLÓGICAS
INCIDÊNCIAS
•Incidência é um termo de posicionamento que, por
definição, descreve a direção ou trajetória do RX indicando a
entrada e saída do mesmo projetando a imagem no filme.
•É denominada o conjunto de posições adotado pela
estrutura analisada durante o ato operacional da radiografia
•Duas classes de incidências:
▫ Incidências de rotina (básicas)
▫ Incidências completares (especiais)
INCIDÊNCIAS DE ROTINA (BÁSICAS)
• Definidas como aquelas comumente feitas em todos os
pacientes que podem cooperar totalmente.
▫ AP, PA, PERFIL, OBLÍQUA.
INCIDÊNCIAS COMPLEMENTARES (especiais)
• Definidas como aquelas realizadas para melhor
demonstrar partes anatômicas específicas ou para
determinada patologia.
( Ex: Incidência de Laurell ou Muller = derrame pleural.)
INCIDÊNCIAS RADIOLÓGICAS
QUANTAS INCIDÊNCIAS DEVE TER?
Uma regra geral em radiologia diagnóstica sugere:
• São necessárias no mínimo duas incidências para a
maioria dos procedimentos radiológicos
• Razões: Como a radiografia se dá em um único
plano faz-se necessário mais de um plano para
confirmar a presença ou não de lesão, já que esta
pode aparecer em uma incidência, mas não na
outra.
POSICIONAMENTO:
•A posição anatômica sempre será usada como ponto de
partida para todo e qualquer posicionamento radiológico.
•Ao examinarmos radiografias devemos colocá-las de forma
que a parte radiografada do paciente esteja de frente para o
observador na posição anatômica.
INCIDÊNCIAS RADIOLÓGICAS
•Em pé, braços aduzidos, palmas das mãos voltadas para
frente, pés retos para frente e olhar no horizonte.
POSICIONAMENTO
POSICIONAMENTO DO CORPO
DECÚBITODECÚBITO
POSICIONAMENTO DO CORPO
OBLÍQUOOBLÍQUO
POSICIONAMENTO DO CORPO
IDENTIFICAÇÃO DA RADIOGRAFIA
Uma identificação correta diz que o numerador deve estar a
direita do paciente e a esquerda no momento de observação da
radiografia.
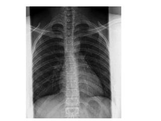
INCIDÊNCIAS
1. Incidência póstero-anterior (PA) - O RC entra na face
posterior e sai na face anterior.
2. Incidência ântero-posterior (AP) - O RC entra na face
anterior e sai na face posterior.
3. Perfil- O RC entra na face lateral e sai na face medial.
4. Incidências oblíquas (anterior ou posterior) (D ou E)
Ex: OAD (oblíqua anterior direita). Onde a face anterior direita
deverá estar voltada para o lado do filme.
INCIDÊNCIAS
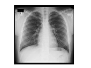
INCIDÊNCIAS DO TÓRAX
INCIDÊNCIAS DO TÓRAX
•1. Póstero-anterior: evitar a magnificação do coração e
possibilita o posicionamento dos ombros de tal forma que a
escápula fique fora do filme.
•2. Ântero-posterior: crianças pequenas e pacientes
acamados devido a dificuldade de posicionamento.
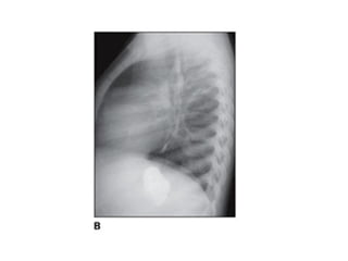
•3. Perfil: Usa-se perfil esquerdo para evitar magnificação do
coração. Sempre solicitada com a PA.
IDENTIFICAÇÃO DA RADIOGRAFIA
PA
Usa-se incidência PA
devido a localização
anatômica do coração.
Quanto mais perto do filme
menor a magnificação e
maior nitidez.
IDENTIFICAÇÃO DA RADIOGRAFIA
ESTRUTURAS MAIS
DEMONSTRADAS:
Pulmões, coração.
Usa-se o perfil com o
lado esquerdo próximo
do filme para evitar
que o coração seja
ampliado.
IDENTIFICAÇÃO DA RADIOGRAFIA
Pequenos derrames (50 ml) pleurais por demonstração de níveis
líquidos no espaço pleural.
IDENTIFICAÇÃO DA RADIOGRAFIA
***OAE e OPD –
pulmão direito,
traquéia, caixa torácica
com o coração e aorta à
frente da coluna
vertebral.
OAE
OPE
OPD
OAD
###OAD e OPE –
pulmão esquerdo,
traquéia, caixa
torácica com o
coração e a aorta à
frente da coluna
vertebral.
OAD OAE
INCIDÊNCIAS PUNHO E MÃO
INCIDÊNCIAS PUNHO E MÃO
INCIDÊNCIAS PUNHO E MÃO
INCIDÊNCIAS PUNHO E MÃO
INCIDÊNCIAS PUNHO E MÃO
INCIDÊNCIAS PUNHO E MÃO
Osso escafoide
Maior abertura e visualização ossos
do carpo região ulnar
INCIDÊNCIAS COTOVELO
INCIDÊNCIAS COTOVELO
AP
PERFIL
INCIDÊNCIAS COTOVELO
INCIDÊNCIAS OMBRO
INCIDÊNCIAS OMBRO
INCIDÊNCIAS OMBRO
Antero posterior –
rotação interna
INCIDÊNCIAS CLAVÍCULA E ESCÁPULA
INCIDÊNCIAS CLAVÍCULA E ESCÁPULA
INCIDÊNCIAS PÉ
INCIDÊNCIAS PÉ
INCIDÊNCIAS PÉ
Flexão plantar Rotação externa
INCIDÊNCIAS JOELHOS
INCIDÊNCIAS JOELHOS
PA
INCIDÊNCIAS PATELA
LATERAL
TANGENCIAL
INCIDÊNCIAS PELVE
IDENTIFICAÇÃO DA RADIOGRAFIA
UNILATERAL
ESTRUTURAS MAIS DEMONSTRADAS: Cabeça, colo do fêmur e tocantes.
INCIDÊNCIAS QUADRIL
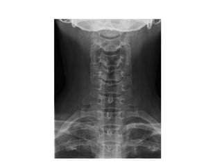
INCIDÊNCIA COLUNA
INCIDÊNCIA COLUNA CERVICAL
AP
ESTRUTURAS MAIS DEMONSTRADAS: Espaços articulares, corpos vertebrais e
processos espinhosos.
PERFIL
INCIDÊNCIA COLUNA CERVICAL
ESTRUTURAS MAIS DEMONSTRADAS: Estudo funcional para demonstrar os
movimentos das vértebras cervicais.
INCIDÊNCIA COLUNA CERVICAL
extensão flexão
INCIDÊNCIA COLUNA CERVICAL
ESTRUTURAS MAIS DEMONSTRADAS: Corpo e dente de C2 (ÁXIS), corpo
de C1 (ATLAS)
INCIDÊNCIA COLUNA TORÁCICA
INCIDÊNCIA COLUNA TORÁCICA
PERFIL / LATERAL
INCIDÊNCIA COLUNA LOMBAR
INCIDÊNCIA COLUNA LOMBAR
INCIDÊNCIAS ESCOLIOSE
COLUNA TOTAL ESCOLIOSE
INCIDÊNCIA SEIOS DA FACE
INCIDÊNCIA SEIOS DA FACE
INCIDÊNCIAS SEIOS DA FACE
IMAGENS
PA
legg

Aula 8 incidencias

Notas do Editor

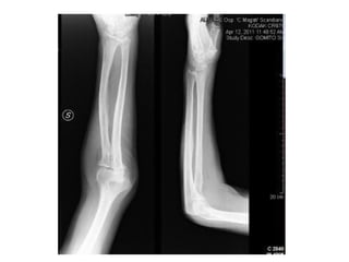
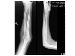
  • #5 3 razões: lembrar que a radiografia se dá em um único plano e, portanto, mais de um plano é importante para se ter certeza que a lesão existe ou não (já que esta pode aparecer em uma incidência, mas não na outra) e para determinar o alinhamento das fraturas. Aqui está o link para se falar de posicionamento
  • #6 A mesma fratura. Uma vista em ap e outra em perfil. Isso mostra que a mesma imagem toma formas diferentes dependendo da incidência. Por isso é importante ter duas incidências no mínimo, pois elas se complementam
  • #13 ADUÇÃO/ABDUÇÃO – DESVIO ULNAR/RADIAL – FLEXÃO/EXTENSÃO – INVERSÃO/EVERSÃOP