Desordens Degenerativas
Gustavo Andreis
R3 – Radiologia e Diagnóstico por Imagem
Hospital de Clínicas de Passo Fundo
Introdução
• Demência
• Perda de função cerebral relacionado a memória, pensamento, linguagem, julgamento
e comportamento
• Muitas causas mas, geralmente processo degenerativo
• Neurodegeneração
• Morte de neurônios de uma parte específico do cérebro, medula ou nervos periféricos
Introdução
• Demência
• Perda de função cerebral relacionado a memória, pensamento, linguagem, julgamento
e comportamento
• Muitas causas mas, geralmente processo degenerativo
• Neurodegeneração
• Morte de neurônios de uma parte específico do cérebro, medula ou nervos periféricos
• Demência geralmente envolve neurodegeneração porém, neurodegeneração
nem sempre desenvolve demência
Introdução
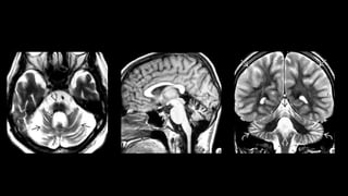
• Gânglios da base
• Sistema neuronal complexo
• Integração e execução motora, cognitiva, emocional e funcional;
• Sistema dopaminérgico estriatonigral
• Encontrado ao longo do cérebro, predominantemente no mesencéfalo
• Formado por:
• Gânglios da base: Núcleo caudado, putamen e globo pálido
• Substância nigra
• Núcleo subtalâmico
Substância nigra
Pars reticularis
Pars compacta
Substância nigra
Núcleos vermelhos
Núcleo subtalâmicoNúcleo subtalâmico
Introdução
• Parkinson
• Atrofia de múltiplos sistemas
• Paralisia progressiva supranuclear
• Degeneração corticobasal
• Esclerose lateral amiotrófica
• Degeneração Walleriana
• Degeneração olivar hipertrófica
• Ataxia espinocerebelar
• Hemiatrofia cerebral (Dyke-Davidoff-Masson)
Introdução
• Parkinson
• Atrofia de múltiplos sistemas
• Paralisia progressiva supranuclear
• Degeneração corticobasal
• Esclerose lateral amiotrófica
• Degeneração Walleriana
• Degeneração olivar hipertrófica
• Ataxia espinocerebelar
• Hemiatrofia cerebral (Dyke-Davidoff-Masson)
Doença de Parkinson
• Doença neurodegenerativa multissistêmica
• Parkinsonismo: Tremores, bradicinesia e rigidez
• 75% Doença de Parkinson
• Parkinson + demência = Demência da doença de Parkinson
• Parkinson + outros = Parkinson Plus
Doença de Parkinson
• Clínica
• Desordem neurodegenerativa
• Histopatologia
• Doença de corpos de Lewy
• Imunohistoquímica
• Sinucleinopatia
Introdução
• Etiologia
• Degeneração de neurônios dopaminérgicos (60%)
• Redução da dopamina no corpo estriado (80%)
• Idade
• Genética
Introdução
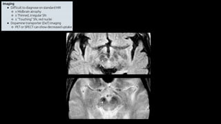
• Patologia
• Atrofia mesencéfalo, com formato em “borboleta”
• Despigmentação da substância nigra
• Presença de corpúsculos de Lewy
• Tratamento
• Levodopa
• Sistema de estimulação cerebral profundo (DBS) no núcleo subtalâmico
Introdução
• Parkinson
• Atrofia de múltiplos sistemas
• Paralisia progressiva supranuclear
• Degeneração corticobasal
• Esclerose lateral amiotrófica
• Degeneração Walleriana
• Degeneração olivar hipertrófica
• Ataxia espinocerebelar
• Hemiatrofia cerebral (Dyke-Davidoff-Masson)
Introdução
• Parkinson
• Atrofia de múltiplos sistemas
• Paralisia progressiva supranuclear
• Degeneração corticobasal
• Esclerose lateral amiotrófica
• Degeneração Walleriana
• Degeneração olivar hipertrófica
• Ataxia espinocerebelar
• Hemiatrofia cerebral (Dyke-Davidoff-Masson)
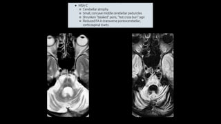
Atrofia de múltiplos sistemas
• Síndrome Parkinson Plus
• Atrofia de múltiplos sistemas (mais comum)
• Paralisia supranuclear progressiva
• Degeneração corticobasal
Introdução
• Parkinson
• Atrofia de múltiplos sistemas
• Paralisia progressiva supranuclear
• Degeneração corticobasal
• Esclerose lateral amiotrófica
• Degeneração Walleriana
• Degeneração olivar hipertrófica
• Ataxia espinocerebelar
• Hemiatrofia cerebral (Dyke-Davidoff-Masson)
Introdução
• Parkinson
• Atrofia de múltiplos sistemas
• Paralisia progressiva supranuclear
• Degeneração corticobasal
• Esclerose lateral amiotrófica
• Degeneração Walleriana
• Degeneração olivar hipertrófica
• Ataxia espinocerebelar
• Hemiatrofia cerebral (Dyke-Davidoff-Masson)
Paralisia supranuclear progressiva
• Paralisia supranuclear do olhar;
• Instabilidade postural
• Demência leve
Paralisia supranuclear progressiva
• Taupatia
• Fibrilação
• Menos solúvel
• Propriedade de estabilização-microtubular reduzida
• Despigmentação substância nigra e locus ceruleus
Placa tectal
Introdução
• Parkinson
• Atrofia de múltiplos sistemas
• Paralisia progressiva supranuclear
• Degeneração corticobasal
• Esclerose lateral amiotrófica
• Degeneração Walleriana
• Degeneração olivar hipertrófica
• Ataxia espinocerebelar
• Hemiatrofia cerebral (Dyke-Davidoff-Masson)
Introdução
• Parkinson
• Atrofia de múltiplos sistemas
• Paralisia progressiva supranuclear
• Degeneração corticobasal
• Esclerose lateral amiotrófica
• Degeneração Walleriana
• Degeneração olivar hipertrófica
• Ataxia espinocerebelar
• Hemiatrofia cerebral (Dyke-Davidoff-Masson)
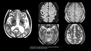
Degeneração corticobasal
• Inclusões TAU em neurônios e na glia
• Atrofia frontotemporal assimétrica
• Áreas motoras e sensoriais
• Preservação do occipital e parietal
• Atrofia e despigmentação da substância nigra
• “alien limb phenomenon”
• Sintomas parkinsoninsmo não respondem ao Levodopa
• Distúrbios cognitivos, linguagem (afasia não fluente)
Putaminal rim; giro pré-frontal e córtex perirolândico;
temporal e occipital preservado
Introdução
• Parkinson
• Atrofia de múltiplos sistemas
• Paralisia progressiva supranuclear
• Degeneração corticobasal
• Esclerose lateral amiotrófica
• Degeneração Walleriana
• Degeneração olivar hipertrófica
• Ataxia espinocerebelar
• Hemiatrofia cerebral (Dyke-Davidoff-Masson)
Introdução
• Parkinson
• Atrofia de múltiplos sistemas
• Paralisia progressiva supranuclear
• Degeneração corticobasal
• Esclerose lateral amiotrófica
• Degeneração Walleriana
• Degeneração olivar hipertrófica
• Ataxia espinocerebelar
• Hemiatrofia cerebral (Dyke-Davidoff-Masson)
Esclerose lateral amiotrófica
• Doença do neurônio motor
• Atrofia muscular generalizada
• Membros, músculos intercostais e diafragma
• Sinais de lesão em neurônios
motores primários e secundários;
• Tempo de vida após diagnóstico de
3-4 anos
• 10% sobrevivem mais de 10 anos
Tratos corticoespinhais
Introdução
• Parkinson
• Atrofia de múltiplos sistemas
• Paralisia progressiva supranuclear
• Degeneração corticobasal
• Esclerose lateral amiotrófica
• Degeneração Walleriana
• Degeneração olivar hipertrófica
• Ataxia espinocerebelar
• Hemiatrofia cerebral (Dyke-Davidoff-Masson)
Introdução
• Parkinson
• Atrofia de múltiplos sistemas
• Paralisia progressiva supranuclear
• Degeneração corticobasal
• Esclerose lateral amiotrófica
• Degeneração Walleriana
• Degeneração olivar hipertrófica
• Ataxia espinocerebelar
• Hemiatrofia cerebral (Dyke-Davidoff-Masson)
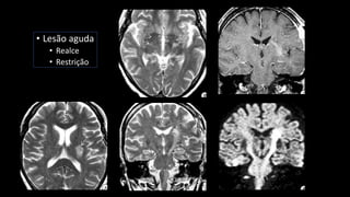
Degeneração Walleriana
• Lesão aguda
• Realce
• Restrição
Introdução
• Parkinson
• Atrofia de múltiplos sistemas
• Paralisia progressiva supranuclear
• Degeneração corticobasal
• Esclerose lateral amiotrófica
• Degeneração Walleriana
• Degeneração olivar hipertrófica
• Ataxia espinocerebelar
• Hemiatrofia cerebral (Dyke-Davidoff-Masson)
Introdução
• Parkinson
• Atrofia de múltiplos sistemas
• Paralisia progressiva supranuclear
• Degeneração corticobasal
• Esclerose lateral amiotrófica
• Degeneração Walleriana
• Degeneração olivar hipertrófica
• Ataxia espinocerebelar
• Hemiatrofia cerebral (Dyke-Davidoff-Masson)
Degeneração olivar hipertrófica
Núcleo denteado
Núcleo denteado
Núcleo denteado
Triangulo de Guillain-Mollaret
Pós-cirúrgico de meduloblastoma no
núcleo denteado do lado direito
Infarto mesencéfalo
Introdução
• Parkinson
• Atrofia de múltiplos sistemas
• Paralisia progressiva supranuclear
• Degeneração corticobasal
• Esclerose lateral amiotrófica
• Degeneração Walleriana
• Degeneração olivar hipertrófica
• Ataxia espinocerebelar
• Hemiatrofia cerebral (Dyke-Davidoff-Masson)
Introdução
• Parkinson
• Atrofia de múltiplos sistemas
• Paralisia progressiva supranuclear
• Degeneração corticobasal
• Esclerose lateral amiotrófica
• Degeneração Walleriana
• Degeneração olivar hipertrófica
• Ataxia espinocerebelar
• Hemiatrofia cerebral (Dyke-Davidoff-Masson)
Ataxia espinocerebelar
• Grupo de desordens clinicamente e geneticamente heterogêneo
• Mais de 60 tipos
• Herdada e progressiva
• Subdivisão
• Autossômicas recessivas
• Friedreich ataxia
• Autossômicas dominantes
• Adultos
• Distúrbios de macha, movimento ocular, mácula
Introdução
• Parkinson
• Atrofia de múltiplos sistemas
• Paralisia progressiva supranuclear
• Degeneração corticobasal
• Esclerose lateral amiotrófica
• Degeneração Walleriana
• Degeneração olivar hipertrófica
• Ataxia espinocerebelar
• Hemiatrofia cerebral (Dyke-Davidoff-Masson)
Introdução
• Parkinson
• Atrofia de múltiplos sistemas
• Paralisia progressiva supranuclear
• Degeneração corticobasal
• Esclerose lateral amiotrófica
• Degeneração Walleriana
• Degeneração olivar hipertrófica
• Ataxia espinocerebelar
• Hemiatrofia cerebral (Dyke-Davidoff-Masson)
Hemiatrofia cerebral (Dyke-Davidoff-Masson)
• Insulto cerebral in utero ou neonatal
• Infarto, trauma ou infecção
Desordens Degenerativas
Gustavo Andreis
R3 – Radiologia e Diagnóstico por Imagem
Hospital de Clínicas de Passo Fundo
Encefalopatias Espongiformes
Transmissíveis - Doenças Priônicas
Encefalopatias Espongiformes Transmissíveis
Doenças Priônicas
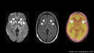
Encefalopatias Espongiformes Transmissíveis
Doenças Priônicas
Koeller et al., Radiographics. 2017
Creutzfeldt-Jakob
• 0,25 a 2 casos/milhão
• Tríade
• Demência rapidamente progressiva
• Mioclonia
• EEC com padrão periódico de onda aguda seguida por onda lenta (complexos
ponta-onda) em frequência aproximada de 1/seg
• Sobrevida média inferior a 1 ano após início dos sintomas.
Koeller et al., Radiographics. 2017
Encefalopatias Espongiformes Transmissíveis
Doenças Priônicas
• Perda neuronal rapidamente progressiva com degeneração
espongiforme, gliose, perda sináptica e ausência de resposta
inflamatória.
• Acentuada atrofia difusa do parênquima cerebral e cerebelar.
Koeller et al., Radiographics. 2017
Koeller et al., Radiographics. 2017
Atrofia Cortical Posterior
Atrofia Cortical Posterior
• Doença neurodegenerativa caracterizada por:
• Declínio gradual das funções visuais superiores
• Preservação da outras funções cognitivas
• Agnosia digital
• Acalculia
• Apraxia ocular
• Variante Parkinson?
• Acúmulo de emaranhados fibrilares e placas senis
Atrofia Cortical Posterior
• Parietal, occipital e têmporo-occipital
• atrofia

Alterações Degenerativas Cerebrais

  • 1.
    Desordens Degenerativas Gustavo Andreis R3– Radiologia e Diagnóstico por Imagem Hospital de Clínicas de Passo Fundo
  • 2.
    Introdução • Demência • Perdade função cerebral relacionado a memória, pensamento, linguagem, julgamento e comportamento • Muitas causas mas, geralmente processo degenerativo • Neurodegeneração • Morte de neurônios de uma parte específico do cérebro, medula ou nervos periféricos
  • 3.
    Introdução • Demência • Perdade função cerebral relacionado a memória, pensamento, linguagem, julgamento e comportamento • Muitas causas mas, geralmente processo degenerativo • Neurodegeneração • Morte de neurônios de uma parte específico do cérebro, medula ou nervos periféricos • Demência geralmente envolve neurodegeneração porém, neurodegeneração nem sempre desenvolve demência
  • 4.
    Introdução • Gânglios dabase • Sistema neuronal complexo • Integração e execução motora, cognitiva, emocional e funcional; • Sistema dopaminérgico estriatonigral • Encontrado ao longo do cérebro, predominantemente no mesencéfalo • Formado por: • Gânglios da base: Núcleo caudado, putamen e globo pálido • Substância nigra • Núcleo subtalâmico
  • 6.
  • 7.
  • 8.
  • 9.
  • 10.
    Introdução • Parkinson • Atrofiade múltiplos sistemas • Paralisia progressiva supranuclear • Degeneração corticobasal • Esclerose lateral amiotrófica • Degeneração Walleriana • Degeneração olivar hipertrófica • Ataxia espinocerebelar • Hemiatrofia cerebral (Dyke-Davidoff-Masson)
  • 11.
    Introdução • Parkinson • Atrofiade múltiplos sistemas • Paralisia progressiva supranuclear • Degeneração corticobasal • Esclerose lateral amiotrófica • Degeneração Walleriana • Degeneração olivar hipertrófica • Ataxia espinocerebelar • Hemiatrofia cerebral (Dyke-Davidoff-Masson)
  • 12.
    Doença de Parkinson •Doença neurodegenerativa multissistêmica • Parkinsonismo: Tremores, bradicinesia e rigidez • 75% Doença de Parkinson • Parkinson + demência = Demência da doença de Parkinson • Parkinson + outros = Parkinson Plus
  • 13.
    Doença de Parkinson •Clínica • Desordem neurodegenerativa • Histopatologia • Doença de corpos de Lewy • Imunohistoquímica • Sinucleinopatia
  • 14.
    Introdução • Etiologia • Degeneraçãode neurônios dopaminérgicos (60%) • Redução da dopamina no corpo estriado (80%) • Idade • Genética
  • 15.
    Introdução • Patologia • Atrofiamesencéfalo, com formato em “borboleta” • Despigmentação da substância nigra • Presença de corpúsculos de Lewy • Tratamento • Levodopa • Sistema de estimulação cerebral profundo (DBS) no núcleo subtalâmico
  • 20.
    Introdução • Parkinson • Atrofiade múltiplos sistemas • Paralisia progressiva supranuclear • Degeneração corticobasal • Esclerose lateral amiotrófica • Degeneração Walleriana • Degeneração olivar hipertrófica • Ataxia espinocerebelar • Hemiatrofia cerebral (Dyke-Davidoff-Masson)
  • 21.
    Introdução • Parkinson • Atrofiade múltiplos sistemas • Paralisia progressiva supranuclear • Degeneração corticobasal • Esclerose lateral amiotrófica • Degeneração Walleriana • Degeneração olivar hipertrófica • Ataxia espinocerebelar • Hemiatrofia cerebral (Dyke-Davidoff-Masson)
  • 22.
    Atrofia de múltiplossistemas • Síndrome Parkinson Plus • Atrofia de múltiplos sistemas (mais comum) • Paralisia supranuclear progressiva • Degeneração corticobasal
  • 26.
    Introdução • Parkinson • Atrofiade múltiplos sistemas • Paralisia progressiva supranuclear • Degeneração corticobasal • Esclerose lateral amiotrófica • Degeneração Walleriana • Degeneração olivar hipertrófica • Ataxia espinocerebelar • Hemiatrofia cerebral (Dyke-Davidoff-Masson)
  • 27.
    Introdução • Parkinson • Atrofiade múltiplos sistemas • Paralisia progressiva supranuclear • Degeneração corticobasal • Esclerose lateral amiotrófica • Degeneração Walleriana • Degeneração olivar hipertrófica • Ataxia espinocerebelar • Hemiatrofia cerebral (Dyke-Davidoff-Masson)
  • 28.
    Paralisia supranuclear progressiva •Paralisia supranuclear do olhar; • Instabilidade postural • Demência leve
  • 29.
    Paralisia supranuclear progressiva •Taupatia • Fibrilação • Menos solúvel • Propriedade de estabilização-microtubular reduzida • Despigmentação substância nigra e locus ceruleus
  • 30.
  • 32.
    Introdução • Parkinson • Atrofiade múltiplos sistemas • Paralisia progressiva supranuclear • Degeneração corticobasal • Esclerose lateral amiotrófica • Degeneração Walleriana • Degeneração olivar hipertrófica • Ataxia espinocerebelar • Hemiatrofia cerebral (Dyke-Davidoff-Masson)
  • 33.
    Introdução • Parkinson • Atrofiade múltiplos sistemas • Paralisia progressiva supranuclear • Degeneração corticobasal • Esclerose lateral amiotrófica • Degeneração Walleriana • Degeneração olivar hipertrófica • Ataxia espinocerebelar • Hemiatrofia cerebral (Dyke-Davidoff-Masson)
  • 34.
    Degeneração corticobasal • InclusõesTAU em neurônios e na glia • Atrofia frontotemporal assimétrica • Áreas motoras e sensoriais • Preservação do occipital e parietal • Atrofia e despigmentação da substância nigra • “alien limb phenomenon” • Sintomas parkinsoninsmo não respondem ao Levodopa • Distúrbios cognitivos, linguagem (afasia não fluente)
  • 35.
    Putaminal rim; giropré-frontal e córtex perirolândico; temporal e occipital preservado
  • 36.
    Introdução • Parkinson • Atrofiade múltiplos sistemas • Paralisia progressiva supranuclear • Degeneração corticobasal • Esclerose lateral amiotrófica • Degeneração Walleriana • Degeneração olivar hipertrófica • Ataxia espinocerebelar • Hemiatrofia cerebral (Dyke-Davidoff-Masson)
  • 37.
    Introdução • Parkinson • Atrofiade múltiplos sistemas • Paralisia progressiva supranuclear • Degeneração corticobasal • Esclerose lateral amiotrófica • Degeneração Walleriana • Degeneração olivar hipertrófica • Ataxia espinocerebelar • Hemiatrofia cerebral (Dyke-Davidoff-Masson)
  • 38.
    Esclerose lateral amiotrófica •Doença do neurônio motor • Atrofia muscular generalizada • Membros, músculos intercostais e diafragma • Sinais de lesão em neurônios motores primários e secundários; • Tempo de vida após diagnóstico de 3-4 anos • 10% sobrevivem mais de 10 anos
  • 39.
  • 41.
    Introdução • Parkinson • Atrofiade múltiplos sistemas • Paralisia progressiva supranuclear • Degeneração corticobasal • Esclerose lateral amiotrófica • Degeneração Walleriana • Degeneração olivar hipertrófica • Ataxia espinocerebelar • Hemiatrofia cerebral (Dyke-Davidoff-Masson)
  • 42.
    Introdução • Parkinson • Atrofiade múltiplos sistemas • Paralisia progressiva supranuclear • Degeneração corticobasal • Esclerose lateral amiotrófica • Degeneração Walleriana • Degeneração olivar hipertrófica • Ataxia espinocerebelar • Hemiatrofia cerebral (Dyke-Davidoff-Masson)
  • 43.
  • 45.
    • Lesão aguda •Realce • Restrição
  • 46.
    Introdução • Parkinson • Atrofiade múltiplos sistemas • Paralisia progressiva supranuclear • Degeneração corticobasal • Esclerose lateral amiotrófica • Degeneração Walleriana • Degeneração olivar hipertrófica • Ataxia espinocerebelar • Hemiatrofia cerebral (Dyke-Davidoff-Masson)
  • 47.
    Introdução • Parkinson • Atrofiade múltiplos sistemas • Paralisia progressiva supranuclear • Degeneração corticobasal • Esclerose lateral amiotrófica • Degeneração Walleriana • Degeneração olivar hipertrófica • Ataxia espinocerebelar • Hemiatrofia cerebral (Dyke-Davidoff-Masson)
  • 48.
  • 49.
    Núcleo denteado Núcleo denteado Núcleodenteado Triangulo de Guillain-Mollaret
  • 50.
    Pós-cirúrgico de meduloblastomano núcleo denteado do lado direito
  • 51.
  • 52.
    Introdução • Parkinson • Atrofiade múltiplos sistemas • Paralisia progressiva supranuclear • Degeneração corticobasal • Esclerose lateral amiotrófica • Degeneração Walleriana • Degeneração olivar hipertrófica • Ataxia espinocerebelar • Hemiatrofia cerebral (Dyke-Davidoff-Masson)
  • 53.
    Introdução • Parkinson • Atrofiade múltiplos sistemas • Paralisia progressiva supranuclear • Degeneração corticobasal • Esclerose lateral amiotrófica • Degeneração Walleriana • Degeneração olivar hipertrófica • Ataxia espinocerebelar • Hemiatrofia cerebral (Dyke-Davidoff-Masson)
  • 54.
    Ataxia espinocerebelar • Grupode desordens clinicamente e geneticamente heterogêneo • Mais de 60 tipos • Herdada e progressiva • Subdivisão • Autossômicas recessivas • Friedreich ataxia • Autossômicas dominantes • Adultos • Distúrbios de macha, movimento ocular, mácula
  • 56.
    Introdução • Parkinson • Atrofiade múltiplos sistemas • Paralisia progressiva supranuclear • Degeneração corticobasal • Esclerose lateral amiotrófica • Degeneração Walleriana • Degeneração olivar hipertrófica • Ataxia espinocerebelar • Hemiatrofia cerebral (Dyke-Davidoff-Masson)
  • 57.
    Introdução • Parkinson • Atrofiade múltiplos sistemas • Paralisia progressiva supranuclear • Degeneração corticobasal • Esclerose lateral amiotrófica • Degeneração Walleriana • Degeneração olivar hipertrófica • Ataxia espinocerebelar • Hemiatrofia cerebral (Dyke-Davidoff-Masson)
  • 58.
    Hemiatrofia cerebral (Dyke-Davidoff-Masson) •Insulto cerebral in utero ou neonatal • Infarto, trauma ou infecção
  • 60.
    Desordens Degenerativas Gustavo Andreis R3– Radiologia e Diagnóstico por Imagem Hospital de Clínicas de Passo Fundo
  • 62.
  • 63.
  • 65.
    Encefalopatias Espongiformes Transmissíveis DoençasPriônicas Koeller et al., Radiographics. 2017
  • 66.
    Creutzfeldt-Jakob • 0,25 a2 casos/milhão • Tríade • Demência rapidamente progressiva • Mioclonia • EEC com padrão periódico de onda aguda seguida por onda lenta (complexos ponta-onda) em frequência aproximada de 1/seg • Sobrevida média inferior a 1 ano após início dos sintomas. Koeller et al., Radiographics. 2017
  • 67.
    Encefalopatias Espongiformes Transmissíveis DoençasPriônicas • Perda neuronal rapidamente progressiva com degeneração espongiforme, gliose, perda sináptica e ausência de resposta inflamatória. • Acentuada atrofia difusa do parênquima cerebral e cerebelar. Koeller et al., Radiographics. 2017
  • 69.
    Koeller et al.,Radiographics. 2017
  • 70.
  • 71.
    Atrofia Cortical Posterior •Doença neurodegenerativa caracterizada por: • Declínio gradual das funções visuais superiores • Preservação da outras funções cognitivas • Agnosia digital • Acalculia • Apraxia ocular • Variante Parkinson? • Acúmulo de emaranhados fibrilares e placas senis
  • 72.
    Atrofia Cortical Posterior •Parietal, occipital e têmporo-occipital • atrofia