Abdômen Agudo
R1 Gustavo Andreis
Hospital da Cidade de Passo Fundo
Introdução
Introdução
Atresia do piloro
Epidermólise Bullosa
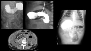
Estenose Hipertrófica do Piloro
• Espessamento e alongamento anormal da musculatura do
esfíncter pilórico – obstrução da via de saída gástrica
• Apresentação entre 2-12 semanas de vida
• Vômitos não biliosos pós-alimentares
• “oliva”
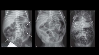
Obstrução Duodenal
• Atresia
• Estenose
Obstrução Duodenal - Atresia
• Falha embriológica na recanalização
• Pode ocorrer de forma isolada
• Diagnóstico pré-natal
• Polihidramnio + Sinal da dupla bolha
• Vômitos não biliosos ou biliosos nas primeiras 24Hr
• Geralmente após a papila de Vater
BYPASS
Grosfeld
Estenose Duodenal
• Pâncreas anular
• Membrana duodenal
• Má-rotações
Pâncreas Anular
• Encirclamento da 2ª
porção do duodeno pela
cabeça do pâncreas.
• 1-12:15 000
• 1-4:1000 adultos sint.
• Pediátrico:
• 1 dia – vômitos
• Pré-natal
Membrana duodenal
Má-rotação
• 1:500
• Volvo – isquemia
• 75% apresentação neonatal
• 10% após 1 ano de vida
• Clínica
• Vômitos biliosos
• Distensão abdominal
• Hemorragia gastrointestinal
• Associação com síndromes e outras desordens congênitas
• Atresia duodenal/jejunal
• Estenose
• Pâncreas anular
• Hirschsprung
• Intussuscepção
Embriologia
• Radiografia de trânsito de delgado:
• 93-100% Sensibilidade má rotação
• Falso positivo:
• Flacidez ligamentar
Atresia Jejunoileal
• 46-73% das atresias
• Isquemia mesentérica intra-
uterina afetando uma ou
múltiplas áreas de intestino já
formadas.
• Fibrose cística 20%
• Gastrosquise e onfalocele 17%
Íleo Meconial
• Obstrução por mecônio espesso no íleo terminal
• Fibrose cística
• Presente em 90% dos pacientes com íleo meconial
• Apresentação inicial em 15-20%
Neuhauser
Íleo Meconial
• Complicações pré-natais:
• Perfuração – peritonite meconial
• Cistos meconiais
• Atresias intestinais
• Volvo
Íleo Meconial
• Feminino, 2 dias
de vida, com
resíduos biliosos
em sonda
nasogástrica
Atresia colônica
• 2 – 15% das atresias intestinais
• Lesão vascular
• Anomalias de rotação
• Fator predisponente X Consequência
Imaturidade Funcional do Cólon
• Síndrome do cólon esquerdo curto, Plug
meconial,
• Dismotilidade colônica transitória benigna
• Atraso na maturação do plexo mioentérico
• Associação com
• Diabetes materna
• Sulfato de magnésio na pré-eclâmpsia
Current significance of
meconium plug syndrome
Doença de Hirschsprung
• 1 – 5000 nascidos
• Falha na migração distal das células da crista neural do nervo vago
• Migração porém sem capacidade de se proliferar
• Meninos:meninas 4:1
• Trissomia do 21 e outras anomalias de migração neural.
• Waardenburg, Shprintzen-Goldberg, McKusickKaufman, Bardet-Biedl,
Currarino syndrome e síndrome de Haddad.
Doença de Hirschsprung
• Apresentação clínica neonato
• Obstrução distal – distensão abdominal e vômitos biliosos
• Falha na passagem do mecônio nas primeiras 24hr
• Crianças
• Constipação, distensão abdominal, vômitos.
• Associação com enterocolite – constipação X diarreia
4 anos
Doença de Hirschsprung
• Razão retossigmoide < 0,9
• Aganglionose total do cólon
Doença de Hirschsprung
• Classificação
• Ultracurto: 4 cm do reto distal (tubo de enema)
• Curto segmento: sigmoide (80%)
• Segmento longo
• Aganglionose total cólon
Enterocolite necrosante
• Emergência gastrointestinal neonatal mais comum
• Uma das principais causas de óbito na UTI neonatal
• Multifatorial
• Imaturidade funcional intestinal
• Hipoxia/isquemia
• Microflora intestinal
• Prematuros - < 1500 g
• A termo – associado a malformações diversas,
principalmente cardíacas
• Sepse
• Hipotensão
Abdômen Agudo
R1 Gustavo Andreis
Hospital da Cidade de Passo Fundo

Abdômen agudo no Recém Nascido

  • 1.
    Abdômen Agudo R1 GustavoAndreis Hospital da Cidade de Passo Fundo
  • 2.
  • 3.
  • 4.
  • 5.
  • 7.
    Estenose Hipertrófica doPiloro • Espessamento e alongamento anormal da musculatura do esfíncter pilórico – obstrução da via de saída gástrica • Apresentação entre 2-12 semanas de vida • Vômitos não biliosos pós-alimentares • “oliva”
  • 10.
  • 11.
    Obstrução Duodenal -Atresia • Falha embriológica na recanalização • Pode ocorrer de forma isolada • Diagnóstico pré-natal • Polihidramnio + Sinal da dupla bolha • Vômitos não biliosos ou biliosos nas primeiras 24Hr • Geralmente após a papila de Vater BYPASS
  • 12.
  • 14.
    Estenose Duodenal • Pâncreasanular • Membrana duodenal • Má-rotações
  • 15.
    Pâncreas Anular • Encirclamentoda 2ª porção do duodeno pela cabeça do pâncreas. • 1-12:15 000 • 1-4:1000 adultos sint. • Pediátrico: • 1 dia – vômitos • Pré-natal
  • 17.
  • 18.
    Má-rotação • 1:500 • Volvo– isquemia • 75% apresentação neonatal • 10% após 1 ano de vida • Clínica • Vômitos biliosos • Distensão abdominal • Hemorragia gastrointestinal • Associação com síndromes e outras desordens congênitas • Atresia duodenal/jejunal • Estenose • Pâncreas anular • Hirschsprung • Intussuscepção
  • 19.
  • 20.
    • Radiografia detrânsito de delgado: • 93-100% Sensibilidade má rotação • Falso positivo: • Flacidez ligamentar
  • 24.
    Atresia Jejunoileal • 46-73%das atresias • Isquemia mesentérica intra- uterina afetando uma ou múltiplas áreas de intestino já formadas. • Fibrose cística 20% • Gastrosquise e onfalocele 17%
  • 27.
    Íleo Meconial • Obstruçãopor mecônio espesso no íleo terminal • Fibrose cística • Presente em 90% dos pacientes com íleo meconial • Apresentação inicial em 15-20% Neuhauser
  • 28.
    Íleo Meconial • Complicaçõespré-natais: • Perfuração – peritonite meconial • Cistos meconiais • Atresias intestinais • Volvo
  • 29.
    Íleo Meconial • Feminino,2 dias de vida, com resíduos biliosos em sonda nasogástrica
  • 31.
    Atresia colônica • 2– 15% das atresias intestinais • Lesão vascular • Anomalias de rotação • Fator predisponente X Consequência
  • 32.
    Imaturidade Funcional doCólon • Síndrome do cólon esquerdo curto, Plug meconial, • Dismotilidade colônica transitória benigna • Atraso na maturação do plexo mioentérico • Associação com • Diabetes materna • Sulfato de magnésio na pré-eclâmpsia Current significance of meconium plug syndrome
  • 33.
    Doença de Hirschsprung •1 – 5000 nascidos • Falha na migração distal das células da crista neural do nervo vago • Migração porém sem capacidade de se proliferar • Meninos:meninas 4:1 • Trissomia do 21 e outras anomalias de migração neural. • Waardenburg, Shprintzen-Goldberg, McKusickKaufman, Bardet-Biedl, Currarino syndrome e síndrome de Haddad.
  • 34.
    Doença de Hirschsprung •Apresentação clínica neonato • Obstrução distal – distensão abdominal e vômitos biliosos • Falha na passagem do mecônio nas primeiras 24hr • Crianças • Constipação, distensão abdominal, vômitos. • Associação com enterocolite – constipação X diarreia 4 anos
  • 35.
    Doença de Hirschsprung •Razão retossigmoide < 0,9 • Aganglionose total do cólon
  • 36.
    Doença de Hirschsprung •Classificação • Ultracurto: 4 cm do reto distal (tubo de enema) • Curto segmento: sigmoide (80%) • Segmento longo • Aganglionose total cólon
  • 37.
    Enterocolite necrosante • Emergênciagastrointestinal neonatal mais comum • Uma das principais causas de óbito na UTI neonatal • Multifatorial • Imaturidade funcional intestinal • Hipoxia/isquemia • Microflora intestinal • Prematuros - < 1500 g • A termo – associado a malformações diversas, principalmente cardíacas • Sepse • Hipotensão
  • 40.
    Abdômen Agudo R1 GustavoAndreis Hospital da Cidade de Passo Fundo