LESÃO IATROGÊNICA DA VIA BILIAR Paolo R. Salvalaggio São Paulo, 28 de setembro de 2011
AGENDA   Definindo o problema Patogênese e fatores de risco Diagnóstico, manejo e planejamento cirúrgico Tratamento cirúrgico e modalidades complementares
DEFININDO O  PROBLEMA Incidência: Na era coleciste aberta: 0.1%-0.3%:  0.2%   Na era videolaparoscopia: - 0.2%-1.8%:  0.5% (1/200) - Não vem se alterando - Brasil=0.2% Aberta é mais segura que laparoscópica? McLean et al, Arch Surg 2006; 141: 643 Savassi-Rocha, Surg End 2003; 17:1356
Chile vs. Suécia?
DEFININDO O PROBLEMA Razões para maior erro com Vídeo: Operação banal Desorientação espacial (2D) Treinamento e curva de aprendizado Evitar conversão Não uso de colangiograma
DEFININDO O  PROBLEMA Fatores de risco: Homem, idoso, asiático, obeso Inflamação e sangramento Campo cirúrgico hostil Variação anatômica (25%) Erros técnicos e personalidade do cirurgião Sem colangiografia e uso de ótica de zero grau
DEFININDO O PROBLEMA Litígio nos EUA: 5 trabalhos  85% favorece paciente Erro técnico + reconhecimento tardio Pagamento médio de US$250mil  McLean et al, Arch Surg 2006; 141: 643
DEFININDO O PROBLEMA Litígio na Holanda: Fechamento de casos em 2a Média  EU$100mil ~30% favorece paciente Risco de litígio 0.06% das coleciste por vídeo De Reuver, JACS 2008; 206:328
DEFININDO O PROBLEMA Fatores de risco para processo: Cirurgiões que não fizeram residência, mas aprenderam em cursos Diagnóstico tardio Necessidade de re-op Múltiplas lesões: vasculares/intestino  Morte Alkhaffaf et al, Ann Surg, 2010; 251:682
DEFININDO O PROBLEMA Morbidade Múltiplas cirurgias, intervenções e procedimentos, internamentos: até ressecção e transplante Colangite Estudos de qualidade de vida controversos
DEFININDO O  PROBLEMA Mortalidade: Aumento de risco em cerca de 3x em estudo controlado Aumento risco até 50x, Brasil com MT de 4.2% Flum et al, JAMA; 290: 2168  Savassi-Rocha, Surg End 2003; 17:1356
PATOGÊNESE  Variações anatômicas Isquemia=falha de tratamento =estenose Fatores de risco Fatores técnicos Colangiograma
VASCULARIZAÇÃO Strasberg&Helton, HPB 2011; 13: 1
VASCULARIZAÇÃO Strasberg&Helton, HPB 2011; 13: 1
VASCULARIZAÇÃO Strasberg&Helton, HPB 2011; 13: 1
LESÃO AHD Strasberg&Helton, HPB 2011; 13: 1
LESÃO VIA BILIAR+AHD Strasberg&Helton, HPB 2011; 13: 1
PATOGÊNESE  Isquemia Até 32% das lesões de VB há lesão vascular Mais comum AHD Lesão grave com péssimo prognóstico inicial Falha da reconstrução inicial se lesão da AHD: reconstruir artéria ou aguardar ao invés de reparo imediato Estudos em cadáveres sem repercussão
PATOGÊNESE  Isquemia Lesões complexas Strasberg E3-5, Bismuth>3 CT angio MRA Angiografia
PREVENIR OU REMEDIAR?
MECANISMOS DE LESÃO MAIS COMUNS Confundir d. cístico com d. colédoco Confundir  d. cístico com d. Post Dir Confundir a. cística com AHD Clipagem errada e as cegas para conter sangramento Dissecção muito baixa Dissecar longe da vesícula Uso excessivo do cautério Strasberg, JACS 1995; 180:101
LESÃO MAIS COMUM Davidoff, Ann Surg, 1992; 215: 192
RECOMENDAÇÕES Sempre ter 1 ponto fixo Utilizar zoom “in and out”  Prosseguir com precisão próximos passos Hugh et al, Surgery, 2002; 132: 826
RECOMENDAÇÕES Critical view of safety Recomendação de multiplas sociedade cirurgicas americanas e europeias NÃO seccionar ou ligar até que… Wu&Linehan, SCNA 2010; 90: 787 Strasbert, JACS 1995; 180: 101
RECOMENDAÇÕES Stopping rules!!! Controlar sangramento precisamente Falha em progredir com passos, visualização prejudicada, incerteza da anatomia, falhas de tração ou preensão Converter, abortar ou usar coleciste parcial ou colecistostomia Strasberg, JACS 2005; 201: 604
RECOMENDAÇÕES Outros Usar ótica de 30 graus de rotina Consulta intraoperatória  Conversão NÃO é complicação Relacionamento e termo de consentimento Encaminhamento precoce
RECOMENDAÇÕES Evitar tração excessiva e direção errada NÃO dissecar junção cístico/colédoco McMahon, BJS, 1995; 82: 307
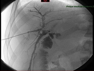
RECOMENDAÇÕES Colangiograma intraoperatório Técnica Não evita, mas diagnostica SABER INTERPRETAR US intraop como alternativa Strasberg, JACS, 1995; 180: 101 Massarweh, Surgery, 2008; 207:821 Flum, JAMA 2003; 289: 1639 Flum, JACS 2003: 196:385
RECOMENDAÇÕES Colangiograma
RECOMENDAÇÕES Alternativas técnicas Coleciste anterógrada ou “fundus down” Colecistostomia Colecistectomia subtotal Colecistoduodenostomia
CASO 57a, IRC, listado pra tx renal DMII, cego, amputado, IAM previo, HAS, obeso Colecistite aguda Fim da cirurgia: fístula biliar CONVERSÃO pós colangiograma sem lesão Fístula PO com resolução espontânea
APRESENTAÇÃO CLÍNICA   50% dx no intraop 10% diagnosticada na primeira semana fraqueza, dor, distensão, febre, icterícia, peritonite, bacteremia, colangite BIL>3, FA 300-500 70% diagnosticada nos primeiros 6 meses
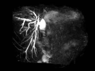
DIAGNÓSTICO   CT/US- coleções fora da fossa VB HIDA Aspirar e drenar Colangiografia ERCP: terapêutica, não ultrapassa obstr. total MRCP: mapeia vasos, VB, coleções PTC: até 7% de complicações
DIFERENCIAL CEP PC Trauma Mirizzi Radiação Outras cirurgias abdominais Manipulação da VB: endoscópica e radiológica
MANEJO Tem abcesso ou coleção que  necessite drenagem? Há fístula? Qual nível de lesão? Há lesão vascular concomitante? Há sofrimento hepático ou atrofia lobar concomitante?
MANEJO AB e tto de sépsis Corrigir coagulopatia e usar vit K Profilaxia pra DVT Correção dist. HE e função renal Suporte nutricional Cuidados com ferida Função hepática e HTN Portal
CLASSIFICAÇÕES  Bismuth Strasberg Hannover Way Neuhaus
CLASSIFICAÇÕES  Bismuth
CLASSIFICAÇÕES  Strasberg
PLANEJAMENTO CIRÚRGICO Tempo e número de reparos Tipo de lesão, com ou sem lesão vascular Expertise da equipe Estabilidade do paciente
PLANEJAMENTO CIRURGICO  Tratamento INTRAOP: Evitar fístula!!!! Preservar comprimento do ducto, mas lembrar da vascularização (reparo geralmente é alto) Certeza que todos os segmentos hepáticos estão drenados Usar anastomose sem tensão com tecidos saudáveis Hepaticojejunostomia é preferida Mercado,  Surg Endosc 2003; 17: 1351
PLANEJAMENTO CIRURGICO  Tratamento imediato (1a. SEMANA) Estável Com coleções drenadas sem infecção sem lesão vascular
CASO 32 anos CL de rotina e colega liga com lesão Strasberg E1 Transferida imediatamente com drenos Admitida ressuscitada, MRI sem lesão vascular Operada dia seguinte sem coleção Reparo HJ em 45 mim Alta no 5PO sem complic
PLANEJAMENTO CIRURGICO  Tratamento tardio (APOS 2-3MESES) Sépsis e coleções resolvidas Estado geral otimizado Lesões complexas=centro com expertise - HEPATICOJEJUNOSTOMIA EM Y ROUX  - ACESSO DHE: HEPP-COUINAUD  - ACESSO A PLACA HILAR: SETORECTOMIA IV-V - HEPATECTOMIA DIREITA - TRANSPLANTE DE FÍGADO
HEPP-COUINAUD
Stents?
RESULTADOS MB: 4-40% MT: 1.8-5% Reparo bem sucedido em 75-95%  …  interpretação…
PAPEL DO RADIOLOGISTA DX TTO
 
 
 
 
Internalização dos Drenos
 
 
TROCA DE DRENOS
 
 
PAPEL DO ENDOSCOPISTA DX TTO
Fístula biliar
Estenose coledociana
Stenting pós-operatório
CONCLUSÕES LIVB são graves: $, MB, MT Reconhecer fatores de risco e entender mecanismo para evitar Saber como proceder para DIAGNOSTICAR e MANEJAR a lesão Como proceder para manejar o paciente e qdo encaminhar o paciente!

Ev bset2011

  • 1.
    LESÃO IATROGÊNICA DAVIA BILIAR Paolo R. Salvalaggio São Paulo, 28 de setembro de 2011
  • 2.
    AGENDA Definindo o problema Patogênese e fatores de risco Diagnóstico, manejo e planejamento cirúrgico Tratamento cirúrgico e modalidades complementares
  • 3.
    DEFININDO O PROBLEMA Incidência: Na era coleciste aberta: 0.1%-0.3%: 0.2% Na era videolaparoscopia: - 0.2%-1.8%: 0.5% (1/200) - Não vem se alterando - Brasil=0.2% Aberta é mais segura que laparoscópica? McLean et al, Arch Surg 2006; 141: 643 Savassi-Rocha, Surg End 2003; 17:1356
  • 4.
  • 5.
    DEFININDO O PROBLEMARazões para maior erro com Vídeo: Operação banal Desorientação espacial (2D) Treinamento e curva de aprendizado Evitar conversão Não uso de colangiograma
  • 6.
    DEFININDO O PROBLEMA Fatores de risco: Homem, idoso, asiático, obeso Inflamação e sangramento Campo cirúrgico hostil Variação anatômica (25%) Erros técnicos e personalidade do cirurgião Sem colangiografia e uso de ótica de zero grau
  • 7.
    DEFININDO O PROBLEMALitígio nos EUA: 5 trabalhos 85% favorece paciente Erro técnico + reconhecimento tardio Pagamento médio de US$250mil McLean et al, Arch Surg 2006; 141: 643
  • 8.
    DEFININDO O PROBLEMALitígio na Holanda: Fechamento de casos em 2a Média EU$100mil ~30% favorece paciente Risco de litígio 0.06% das coleciste por vídeo De Reuver, JACS 2008; 206:328
  • 9.
    DEFININDO O PROBLEMAFatores de risco para processo: Cirurgiões que não fizeram residência, mas aprenderam em cursos Diagnóstico tardio Necessidade de re-op Múltiplas lesões: vasculares/intestino Morte Alkhaffaf et al, Ann Surg, 2010; 251:682
  • 10.
    DEFININDO O PROBLEMAMorbidade Múltiplas cirurgias, intervenções e procedimentos, internamentos: até ressecção e transplante Colangite Estudos de qualidade de vida controversos
  • 11.
    DEFININDO O PROBLEMA Mortalidade: Aumento de risco em cerca de 3x em estudo controlado Aumento risco até 50x, Brasil com MT de 4.2% Flum et al, JAMA; 290: 2168 Savassi-Rocha, Surg End 2003; 17:1356
  • 12.
    PATOGÊNESE Variaçõesanatômicas Isquemia=falha de tratamento =estenose Fatores de risco Fatores técnicos Colangiograma
  • 13.
  • 14.
  • 15.
  • 16.
  • 17.
    LESÃO VIA BILIAR+AHDStrasberg&Helton, HPB 2011; 13: 1
  • 18.
    PATOGÊNESE IsquemiaAté 32% das lesões de VB há lesão vascular Mais comum AHD Lesão grave com péssimo prognóstico inicial Falha da reconstrução inicial se lesão da AHD: reconstruir artéria ou aguardar ao invés de reparo imediato Estudos em cadáveres sem repercussão
  • 19.
    PATOGÊNESE IsquemiaLesões complexas Strasberg E3-5, Bismuth>3 CT angio MRA Angiografia
  • 20.
  • 21.
    MECANISMOS DE LESÃOMAIS COMUNS Confundir d. cístico com d. colédoco Confundir d. cístico com d. Post Dir Confundir a. cística com AHD Clipagem errada e as cegas para conter sangramento Dissecção muito baixa Dissecar longe da vesícula Uso excessivo do cautério Strasberg, JACS 1995; 180:101
  • 22.
    LESÃO MAIS COMUMDavidoff, Ann Surg, 1992; 215: 192
  • 23.
    RECOMENDAÇÕES Sempre ter1 ponto fixo Utilizar zoom “in and out” Prosseguir com precisão próximos passos Hugh et al, Surgery, 2002; 132: 826
  • 24.
    RECOMENDAÇÕES Critical viewof safety Recomendação de multiplas sociedade cirurgicas americanas e europeias NÃO seccionar ou ligar até que… Wu&Linehan, SCNA 2010; 90: 787 Strasbert, JACS 1995; 180: 101
  • 25.
    RECOMENDAÇÕES Stopping rules!!!Controlar sangramento precisamente Falha em progredir com passos, visualização prejudicada, incerteza da anatomia, falhas de tração ou preensão Converter, abortar ou usar coleciste parcial ou colecistostomia Strasberg, JACS 2005; 201: 604
  • 26.
    RECOMENDAÇÕES Outros Usarótica de 30 graus de rotina Consulta intraoperatória Conversão NÃO é complicação Relacionamento e termo de consentimento Encaminhamento precoce
  • 27.
    RECOMENDAÇÕES Evitar traçãoexcessiva e direção errada NÃO dissecar junção cístico/colédoco McMahon, BJS, 1995; 82: 307
  • 28.
    RECOMENDAÇÕES Colangiograma intraoperatórioTécnica Não evita, mas diagnostica SABER INTERPRETAR US intraop como alternativa Strasberg, JACS, 1995; 180: 101 Massarweh, Surgery, 2008; 207:821 Flum, JAMA 2003; 289: 1639 Flum, JACS 2003: 196:385
  • 29.
  • 30.
    RECOMENDAÇÕES Alternativas técnicasColeciste anterógrada ou “fundus down” Colecistostomia Colecistectomia subtotal Colecistoduodenostomia
  • 31.
    CASO 57a, IRC,listado pra tx renal DMII, cego, amputado, IAM previo, HAS, obeso Colecistite aguda Fim da cirurgia: fístula biliar CONVERSÃO pós colangiograma sem lesão Fístula PO com resolução espontânea
  • 32.
    APRESENTAÇÃO CLÍNICA 50% dx no intraop 10% diagnosticada na primeira semana fraqueza, dor, distensão, febre, icterícia, peritonite, bacteremia, colangite BIL>3, FA 300-500 70% diagnosticada nos primeiros 6 meses
  • 33.
    DIAGNÓSTICO CT/US- coleções fora da fossa VB HIDA Aspirar e drenar Colangiografia ERCP: terapêutica, não ultrapassa obstr. total MRCP: mapeia vasos, VB, coleções PTC: até 7% de complicações
  • 34.
    DIFERENCIAL CEP PCTrauma Mirizzi Radiação Outras cirurgias abdominais Manipulação da VB: endoscópica e radiológica
  • 35.
    MANEJO Tem abcessoou coleção que necessite drenagem? Há fístula? Qual nível de lesão? Há lesão vascular concomitante? Há sofrimento hepático ou atrofia lobar concomitante?
  • 36.
    MANEJO AB etto de sépsis Corrigir coagulopatia e usar vit K Profilaxia pra DVT Correção dist. HE e função renal Suporte nutricional Cuidados com ferida Função hepática e HTN Portal
  • 37.
    CLASSIFICAÇÕES BismuthStrasberg Hannover Way Neuhaus
  • 38.
  • 39.
  • 40.
    PLANEJAMENTO CIRÚRGICO Tempoe número de reparos Tipo de lesão, com ou sem lesão vascular Expertise da equipe Estabilidade do paciente
  • 41.
    PLANEJAMENTO CIRURGICO Tratamento INTRAOP: Evitar fístula!!!! Preservar comprimento do ducto, mas lembrar da vascularização (reparo geralmente é alto) Certeza que todos os segmentos hepáticos estão drenados Usar anastomose sem tensão com tecidos saudáveis Hepaticojejunostomia é preferida Mercado, Surg Endosc 2003; 17: 1351
  • 42.
    PLANEJAMENTO CIRURGICO Tratamento imediato (1a. SEMANA) Estável Com coleções drenadas sem infecção sem lesão vascular
  • 43.
    CASO 32 anosCL de rotina e colega liga com lesão Strasberg E1 Transferida imediatamente com drenos Admitida ressuscitada, MRI sem lesão vascular Operada dia seguinte sem coleção Reparo HJ em 45 mim Alta no 5PO sem complic
  • 44.
    PLANEJAMENTO CIRURGICO Tratamento tardio (APOS 2-3MESES) Sépsis e coleções resolvidas Estado geral otimizado Lesões complexas=centro com expertise - HEPATICOJEJUNOSTOMIA EM Y ROUX - ACESSO DHE: HEPP-COUINAUD - ACESSO A PLACA HILAR: SETORECTOMIA IV-V - HEPATECTOMIA DIREITA - TRANSPLANTE DE FÍGADO
  • 45.
  • 46.
  • 47.
    RESULTADOS MB: 4-40%MT: 1.8-5% Reparo bem sucedido em 75-95% … interpretação…
  • 48.
  • 49.
  • 50.
  • 51.
  • 52.
  • 53.
  • 54.
  • 55.
  • 56.
  • 57.
  • 58.
  • 59.
  • 60.
  • 61.
  • 62.
  • 63.
    CONCLUSÕES LIVB sãograves: $, MB, MT Reconhecer fatores de risco e entender mecanismo para evitar Saber como proceder para DIAGNOSTICAR e MANEJAR a lesão Como proceder para manejar o paciente e qdo encaminhar o paciente!

Notas do Editor

  • #3 Overall center follow-up reporting often inadequate -> reliance on select reports Single center studies - limited by power, bias from subject loss-to-follow-up
  • #4 Overall center follow-up reporting often inadequate -> reliance on select reports Single center studies - limited by power, bias from subject loss-to-follow-up
  • #5 Overall center follow-up reporting often inadequate -> reliance on select reports Single center studies - limited by power, bias from subject loss-to-follow-up
  • #6 Overall center follow-up reporting often inadequate -> reliance on select reports Single center studies - limited by power, bias from subject loss-to-follow-up
  • #7 Overall center follow-up reporting often inadequate -> reliance on select reports Single center studies - limited by power, bias from subject loss-to-follow-up
  • #8 Overall center follow-up reporting often inadequate -> reliance on select reports Single center studies - limited by power, bias from subject loss-to-follow-up
  • #9 Overall center follow-up reporting often inadequate -> reliance on select reports Single center studies - limited by power, bias from subject loss-to-follow-up
  • #10 Overall center follow-up reporting often inadequate -> reliance on select reports Single center studies - limited by power, bias from subject loss-to-follow-up
  • #11 Overall center follow-up reporting often inadequate -> reliance on select reports Single center studies - limited by power, bias from subject loss-to-follow-up
  • #12 Overall center follow-up reporting often inadequate -> reliance on select reports Single center studies - limited by power, bias from subject loss-to-follow-up
  • #13 Overall center follow-up reporting often inadequate -> reliance on select reports Single center studies - limited by power, bias from subject loss-to-follow-up
  • #14 Overall center follow-up reporting often inadequate -> reliance on select reports Single center studies - limited by power, bias from subject loss-to-follow-up
  • #15 Overall center follow-up reporting often inadequate -> reliance on select reports Single center studies - limited by power, bias from subject loss-to-follow-up
  • #16 Overall center follow-up reporting often inadequate -> reliance on select reports Single center studies - limited by power, bias from subject loss-to-follow-up
  • #17 Overall center follow-up reporting often inadequate -> reliance on select reports Single center studies - limited by power, bias from subject loss-to-follow-up
  • #18 Overall center follow-up reporting often inadequate -> reliance on select reports Single center studies - limited by power, bias from subject loss-to-follow-up
  • #19 Overall center follow-up reporting often inadequate -> reliance on select reports Single center studies - limited by power, bias from subject loss-to-follow-up
  • #20 Overall center follow-up reporting often inadequate -> reliance on select reports Single center studies - limited by power, bias from subject loss-to-follow-up
  • #22 Overall center follow-up reporting often inadequate -> reliance on select reports Single center studies - limited by power, bias from subject loss-to-follow-up
  • #23 Overall center follow-up reporting often inadequate -> reliance on select reports Single center studies - limited by power, bias from subject loss-to-follow-up
  • #24 Overall center follow-up reporting often inadequate -> reliance on select reports Single center studies - limited by power, bias from subject loss-to-follow-up
  • #25 Overall center follow-up reporting often inadequate -> reliance on select reports Single center studies - limited by power, bias from subject loss-to-follow-up
  • #26 Overall center follow-up reporting often inadequate -> reliance on select reports Single center studies - limited by power, bias from subject loss-to-follow-up
  • #27 Overall center follow-up reporting often inadequate -> reliance on select reports Single center studies - limited by power, bias from subject loss-to-follow-up
  • #28 Overall center follow-up reporting often inadequate -> reliance on select reports Single center studies - limited by power, bias from subject loss-to-follow-up
  • #29 Overall center follow-up reporting often inadequate -> reliance on select reports Single center studies - limited by power, bias from subject loss-to-follow-up
  • #30 Overall center follow-up reporting often inadequate -> reliance on select reports Single center studies - limited by power, bias from subject loss-to-follow-up
  • #31 Overall center follow-up reporting often inadequate -> reliance on select reports Single center studies - limited by power, bias from subject loss-to-follow-up
  • #33 Overall center follow-up reporting often inadequate -> reliance on select reports Single center studies - limited by power, bias from subject loss-to-follow-up
  • #34 Overall center follow-up reporting often inadequate -> reliance on select reports Single center studies - limited by power, bias from subject loss-to-follow-up
  • #35 Overall center follow-up reporting often inadequate -> reliance on select reports Single center studies - limited by power, bias from subject loss-to-follow-up
  • #36 Overall center follow-up reporting often inadequate -> reliance on select reports Single center studies - limited by power, bias from subject loss-to-follow-up
  • #37 Overall center follow-up reporting often inadequate -> reliance on select reports Single center studies - limited by power, bias from subject loss-to-follow-up
  • #38 Overall center follow-up reporting often inadequate -> reliance on select reports Single center studies - limited by power, bias from subject loss-to-follow-up
  • #39 Overall center follow-up reporting often inadequate -> reliance on select reports Single center studies - limited by power, bias from subject loss-to-follow-up
  • #40 Overall center follow-up reporting often inadequate -> reliance on select reports Single center studies - limited by power, bias from subject loss-to-follow-up
  • #41 Overall center follow-up reporting often inadequate -> reliance on select reports Single center studies - limited by power, bias from subject loss-to-follow-up
  • #42 Overall center follow-up reporting often inadequate -> reliance on select reports Single center studies - limited by power, bias from subject loss-to-follow-up
  • #43 Overall center follow-up reporting often inadequate -> reliance on select reports Single center studies - limited by power, bias from subject loss-to-follow-up
  • #45 Overall center follow-up reporting often inadequate -> reliance on select reports Single center studies - limited by power, bias from subject loss-to-follow-up
  • #48 Overall center follow-up reporting often inadequate -> reliance on select reports Single center studies - limited by power, bias from subject loss-to-follow-up
  • #49 Overall center follow-up reporting often inadequate -> reliance on select reports Single center studies - limited by power, bias from subject loss-to-follow-up
  • #60 Overall center follow-up reporting often inadequate -> reliance on select reports Single center studies - limited by power, bias from subject loss-to-follow-up
  • #64 Overall center follow-up reporting often inadequate -> reliance on select reports Single center studies - limited by power, bias from subject loss-to-follow-up