I-CURSO DE ATENDIMENTO PRÉHOSPITALAR E UTI DO CENTRO DE
ESTUDOS DO HOSPITAL DA
RESTAURAÇÃO

Cuidados de Enfermagem no
Paciente Crítico
Prof. Enf. Fernando Ramos Gonçalves – Msc
Intensivista-HR
1. Trauma: Considerações
Iniciais
O Traumatizado  Prioritário
 Funções Vitais Comprometidas;
 Lesões Orgânicas;
 Medo;
 Angustias.
Atendimento
 Condições Vitais;
 Rápido Diagnóstico;
 Tempo.
Considerações Acerca do Tempo de Atendimento
 Morte Imediatas  Segundos a minutos após

o acidente ( 50% das Mortes)  Lesões do
Tronco Cerebral; Medula Espinhal; Lesões da
Aorta e/ grandes vasos  Como Evitar=
PREVENÇÃO.

 Mortes

Mediatas/Precoces Minutos a
algumas horas
( 30% Mortes), ocorrem
devido
a
hematomas
Cerebrais;
Hemopneumotórax;
Lesões
hepáticas,
Esplênicas e Fraturas Pélvicas provocando
sangramento intenso.
PACIENTES SALVÁVEIS
 Mortes Tardias 

Dias ou Semanas após o
trauma ( 20% das Mortes) Infecções; Falência
Orgânica Qualidade do Atendimento Préhospitalar e Hospitalar.

 A vítima na UTI

Encontra-se na terceira Fase.
Ocorre o estabelecimento de
seqüelas e qualidade de vida

limites entre
2. ABC do Trauma
A-Vias Aéreas e Controle da Coluna Cervical

Fonte: Trauma.org ( Trauma Imagebank)
B-Respiração e Ventilação

Fonte: Sanches, L.M. UNICAMP
C- Circulação com Controle de Hemorragias


Exame Físico, Reposição Volêmica

D- Avaliação do Estado Neurológico



Nível de Consciência
Exame Pupilar

E- Exposição do Paciente com Controle da
hipotermia


Respeito ao Paciente, e prevenção de danos orgânicos provocados pela hipotermia
Avaliação Pupilar

Fonte: Exame Clínico Celmo Celeno Porto
3. A chegada na UTI
Valorizar na história : Cena do trauma, várias
fases da ressuscitação, respostas ao tratamento.
Reavaliação Secundária dirigida a história do
trauma.
Lesões não identificadas / Aparecimento tardio.
O politraumatizado na UTI
Histórico
Conhecimento dos fatos ocorridos
Alergias
Tratamentos
Informações do prontuário
Hábitos
Exame Físico
Subsidiar a assistência de Enfermagem;
Prevenir complicações;
Sistemático e contínuo;
Conhecimento técnico;
4. Monitorizar continuamente
A) Manutenção e controle da coluna
cervical
Colar cervical até descartar lesão cervical;
Mover em bloco;
Fonte: Sanches, L.M. UNICAMP
Olhos de Guaxinim

Sinal de Batlle ( batalha)

Fonte: Trauma.org ( Trauma Imagebank)

Fonte: Trauma.org ( Trauma Imagebank)
B) Avaliação Respiratória Contínua :
Gasometria Arterial
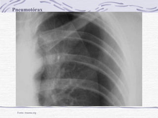
Pneumotórax
Hemotórax
Pneumotórax

Fonte: Arquivo Pessoal Prof. Fernando Ramos
Pneumotórax

Fonte: trauma.org
Enfisema Subcutâneo

Fonte>: Trauma.org
Enfisema Subcutâneo

Fonte: Trauma.org
Hemotórax

Fonte: trauma.org
Trauma por Cinto de Segurança

Fonte: Trauma.org
Lesão por Cinto de Segurança

Fonte: trauma.org
C) Atentar para sinais de sangramento :
Incisões, drenos, lesões, fixadores;
Perfusão periférica, alterações respiratórias
Alterações hemodinâmicas;
Acompanhar exames laboratoriais;
(*Hb/Ht nem sempre acusam hemorragias
imediatas)
Fixador Externo

Fonte: Arquivo Pessoal Prof. Fernando Ramos
Acidente por Serra elétrica

Fonte: arquivo pessoal Prof. Fernando Ramos
D-Distúrbios Hidro-Eletrolíticos
Balanço Hídrico Rigoroso;
Eletrólitos;
Podem perder a auto regulação.
E-Nutrição
Importância da Nutrição precoce;
F- Controle da Dor
Pode explicar:
Alterações respiratórias;
inquietação/Irritabilidade
Decúbito;
Dobras dos lençóis;
Medicar;
Elevar a autoestima
Politraumatizado- Ac. motociclistico

Politraumatizado- Ag. Arma Branca

Fonte: arquivo pessoal Prof. Fernando Ramos

Fonte: arquivo pessoal Prof. Fernando Ramos
Bexigoma

Isq. Crítica com Necrose MID

Fonte: arquivo pessoal Prof. Fernando Ramos

Fonte: arquivo pessoal Prof. Fernando Ramos
Litíase Uretral

Fonte: arquivo pessoal Prof. Fernando Ramos
Artefatos na Tomografia Cervical

Fonte: arquivo pessoal Prof. Fernando Ramos
Corpo estranho

Fonte: arquivo pessoal Prof. Fernando Ramos
RX

Fonte: arquivo pessoal Prof. Fernando Ramos
Toracotomia

Fonte: arquivo pessoal Prof. Fernando Ramos
Fonte: arquivo pessoal Prof. Fernando Ramos
Tecido de Granulação
Trajeto do PAF em Crânio
5. Quem é o Enfermeiro da
UTI?
Integrante e participante da equipe
multiprofissional;
Elo de ligação Paciente-Equipe-família;
Estabilidade Emocional;
Elo de União entre os profissionais;
Respeita e se faz respeitar;
Raciocínio rápido e lógico;
Visão gerencial: recursos humanos,
equipamentos
Realizar procedimentos de maior
complexidade;
Atualização constante do
conhecimento;
Domina o funcionamento dos
equipamentos;
Lidera a equipe de Enfermagem.
Fonte: www.medicinaintensiva.com.br

Fonte: www.medicinaintensiva.com.br
6.Considerações Finais
Instabilidade de paciente e família;
Lesões tardias;
Preocupação com os diversos sistemas
orgânicos;
Manutenção dos padrões vitais;
Se, morte encefálicapreservar os
órgãos: T.A. normal, Hidratação,
Controle da Hipotermia; Ventilação
mecânica, etc.
ASSOCIEM-SE.... FORÇA E UNIÃO NA TERAPIA INTENSIVA

www.amib.org.br

www.sotipe.org.br
“A humildade é o primeiro degrau para a sabedoria”
(Gandhi)

Obrigado pela Atenção!!!!!!

Aula atendimento ao_paciente_critico.ppt-iraja edison