Patologia Especial Veterinária 2010 – 1 AULA 01 Profa. Josiane Bonel-Raposo
Anatomia e Histologia Insuficiência Hepática  Padrões de Lesão Hepática Hepatopatias Neoplasias
 
 
 
 
 
 
 
 
 
 
Cápsula de Glisson Parênquima: Lâminas de hepatócitos Sinusóides Áreas portais: veia porta,  artéria hepática,  vasos linfáticos, ductos biliares e nervos
 
Veia porta: sangue venoso com nutrientes Artéria hepática: sangue arterial com oxigênio Misturam-se nos sinusóides Fluxo biliar é o oposto ao do sangue
 
Metabolismo da bilirrubina Metabolismo dos ácidos graxos Metabolismo de carboidratos e lipídios Metabolismo de xenobióticos Síntese protéica
Etiopatogenia Metabolismo normal das gorduras
Aporte excessivo de ácidos graxos para o fígado Diminuição no volume de oxidação dos ácidos graxos Síntese excessiva de triglicerídeos Falha na formação da lipoproteína
Aporte excessivo de ácidos graxos para o fígado Dieta rica em gorduras Cetose
Diminuição no volume de oxidação dos ácidos graxos Anemia Hipóxia Tóxicos
Síntese excessiva de triglicérides no RER Álcool
Falha na formação da lipoproteína Déficit protéico na dieta Falha na liberação de proteínas no hepatócito Distúrbio na síntese protéica
 
Fígado normal Degeneração gordurosa
H-E Sudan IV
Cetose Doença metabólica que resulta da mobilização de CH e AGV prejudicados. Ocorre quando o metabolismo das gorduras se torna excessivo devido ao aumento nas necessidades de energia.
Final da gestação Partos gemelares
Vacas prenhes ou em lactação Demanda contínua por glicose e aminoácidos Pico da lactação
 
Anatomia e Histologia Padrões de lesão Hepática Insuficiência  hepática Hepatopatias Neoplasias
Necrose Normal Normal Agressão tóxica aguda Sem agressão adicional Agressão repetida Agressão repetida Fibrose inicial Fibrose progressiva Cirrose
Necrose Regeneração Fibrose Cirrose Hiperplasia de Ductos Biliares
 
 
 
 
Inflamações Fígado Hepatite aguda Hepatite crônica Trato biliar Colangite Colangio-hepatite
Individual Periportal Mediozonal Centrolobular Massiva  ou maciça (Hepatose dietética)
Regeneração Fibrose (Cirrose) Hiperplasia biliar
Regeneração
Regeneração
Regeneração Fibrose (Cirrose) Hiperplasia biliar
Fibrose
Fibrose
 
Regeneração Fibrose (Cirrose) Hiperplasia biliar
Hiperplasia biliar
Anatomia e Histologia Padrões de lesão Hepática Insuficiência  hepática Hepatopatias Neoplasmas
Icterícia Fotossensibilização Distúrbios Metabólicos Tendências hemorrágicas Hipoalbuminemia e edemas Encefalopatia Hepática
Conceito Alterações Extra-hepáticas
Icterícia Fotossensibilização Doenças hemorrágicas Encefalopatia hepática
 
 
Intoxicação crônica por cobre
 
 
Leptospirose Icterícia pré-hepática
 
 
Icterícia Fotossensibilização Distúrbios metabólicos Encefalopatia hepática
Fotossensibilização Primária Substância fotodinâmica exógena Fotossensibilização Hepatógena Lesão no fígado
Subst. fotodinâmica
Ammi majus
Ammi majus
 
 
Rúmen Fígado Clorofila Clorofila Filoeritrina
Brachiaria  sp.
Brachiaria  sp.
Brachiaria  sp.
Brachiaria  sp.
Brachiaria  sp.
Brachiaria  sp.
Myoporum laetum
Myoporum laetum
Myoporum laetum
Myoporum laetum
 
Icterícia Fotossensibilização Distúrbios metabólicos Encefalopatia hepática
Diátese hemorrágica Deficiência dos fatores de coagulação
 
 
 
 
Icterícia Fotossensibilização Doenças hemorrágicas Encefalopatia hepática
Coma hepático, encefalopatia portossistêmica
 

Hepático 1

Notas do Editor

  • #6 The cut surface of the liver reveals to the naked eye small,1.5 to 2 mm circular structures with a darker dot in the center and 4-5 darker dots at the periphery. These are the liver lobules. Notice a large radical of the hepatic vein and a large branch of the portal vein with adjacent bile duct.
  • #8 Ácino hepático: é a unidade funcional do fígado. Compreende massa de parênquima dependente do suprimento sangüíneo através do trato porta. As células estão dispostas em zonas concêntricas que cercam os vasos aferentes terminais. Zona 1 (periportal) – mais próxima ao espaço porta, é a primeira a receber sangue com alto conteúdo de oxigênio, insulina e glucagon. Tem alta taxa metabólica e é a última a sofrer necrose e a primeira a mostrar sinais de regeneração. Zona 3 (centrilobular) – mais próxima às veias hepáticas terminais, recebe sangue por último. Aqui estão muitas das enzimas que participam de biotransformação (NADPH citocromo P450-redutase). Zona 2 (mediolobular) – recebe sangue com conteúdo intermediário de oxigênio.
  • #9 - While the boundaries of the lobule are well visible,those of the acinus are unrecognizable under the microscope.  Arising like a berry, a grape (latin "acinus") on the vine around the terminal portal vein,artery and bile duct, the liver simple acinus forms a mass of liver cells and sinusoids which drain toward two adjacent central veins.   This structure was demonstrated by Rappaport et al.(1) by injecting dyes in the portal vein.
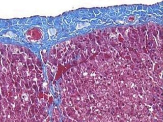
  • #10 In the section of equine liver below (Masson's trichrome stain), the capsule and septae are stained blue , while hepatocytes are magenta . Notice how the capsule extends as a septum into the liver about one-third of the way from left, immediately below a large capsular blood vessel.
  • #11 In the section of equine liver below (Masson's trichrome stain), the capsule and septae are stained blue , while hepatocytes are magenta . Notice how the capsule extends as a septum into the liver about one-third of the way from left, immediately below a large capsular blood vessel.
  • #12 - While the boundaries of the lobule are well visible,those of the acinus are unrecognizable under the microscope.  Arising like a berry, a grape (latin "acinus") on the vine around the terminal portal vein,artery and bile duct, the liver simple acinus forms a mass of liver cells and sinusoids which drain toward two adjacent central veins.   This structure was demonstrated by Rappaport et al.(1) by injecting dyes in the portal vein.
  • #13 In the section of equine liver below (Masson's trichrome stain), the capsule and septae are stained blue , while hepatocytes are magenta . Notice how the capsule extends as a septum into the liver about one-third of the way from left, immediately below a large capsular blood vessel.
  • #26 O fígado tende a ficar com volume bem aumentado, amarelado e friável. Aspecto macroscópico da Degeneração gordurosa. A) Fígado de aspecto normal. B) Fígado com degeneração gordurosa. Apresenta bordos arredondados e coloração amarelada.
  • #27 Vacuolização (formação de vacúolos). Por que a gordura além de ficar solta no citoplasma se acumula nas organelas principalmente no retículo endoplasmático liso, que é a organela responsável pela metabolização da gordura. No microscópio é analisado apenas buraco, pois no processo de preparação da lâmina a gordura é retirada (vacúolos intercitoplasmáticos). vacúolos pequenos - microvesículas; doença crônica e lenta, acúmulo devagar. vacúolos grandes - macrovesículas; inanição, acúmulo rápido Diferenciação histológica de hidrópica e gordurosa - hidrópica: por mais extensa o núcleo permanece central. - gordurosa: o núcleo pode ser comprimido na periferia. Em doenças hepatotrópicas: hidrópica e gordurosa. - neste caso a diferenciação é feita por corte de congelação e coloração ("sudan IV ou III" e/ou "Oil-red-O"). É usado micrótomo especial que congela a peça, ao contrário da parafina. O congelamento é rápido e não deteriora o material devido a não formar cristais. A gordura não foi lavada na preparação e esses corantes tem afinidade pela gordura, cora de vermelho ou laranja. Não usa-se hematoxilina e eosina.