TREINAMENTO EM
ULTRASSONOGRAFIA
VETERINÁRIA
Dra. Cibele Figueira Carvalho
DVM; CBRV diplomate; MSc in Veterinary Medicine;
PhD and Post doctorate in Veterinary Diagnostic Imaging
CURITIBA, PR - 2016
Fígado e vias biliares
Fígado
anatomia topográfica:
relação com outros
órgãos e contornos
Fonte: Dyce, 1997
Fígado: anatomia
• dimensões e limites: extremidade cranial do
fígado começa no nível do 6 EIC e se estende
caudalmente até o 11 EIC; a porção mais
caudal do fígado é representada pelo processo
caudato do lobo caudato.
Fígado: anatomia
 Lobulação (quatro lobos e quatro sublobos):
- lobo lateral esquerdo (sublobo medial e lateral);
- lobo quadrado (parcialmente fundido)
- lobo direito (sublobo medial e lateral)
- lobo caudato (processo caudato e papilar)
Fígado: anatomia
Fonte: Nyland, 2004
Fígado: anatomia
 vascularização
Fonte: Carvalho, 2009
Fígado: anatomia
 Anatomia ultrassonográfica (pontos a
serem abordados):
- localização
- dimensões
- contornos e margens
- relação de ecogenicidade (variantes)
- lobulação
- vasos
 Localização topográfica
pontos de referência na cavidade:
- diafragma,
- ligamento/ gordura falciforme,
- rim direito,
- estômago
 Dimensões
Trabalhos na literatura (pouca aceitação);
Pontos de referência fora da cavidade:
- arco costal
Pontos de referência dentro da cavidade:
- > distância entre diafragma e estomago
- arredondamento das margens
Variações de conformação torácica:
- tórax profundo parecem <
 Contornos e margens
- afiladas e definidas
 Ecogenicidade
- Relação com outros órgãos
- Variantes da normalidade (espécie/ raça,
peso)
Mudanças sutis são difíceis de identificar
 Vascularização
- Vasos sanguíneos
veias hepáticas (nomeadas de acordo com
lobulação)
x
ramos portais intrahepáticos
- artéria hepática
 Vias biliares
- Intra hepáticas
- Extra hepáticas
Fígado: Protocolo de exame
 Equipamento
 Preparo do paciente
 Orientação da imagem
 Planos de varredura
 Equipamento:
aparelho e
transdutores
Fígado: Protocolo de exame
 Preparo do paciente:
- jejum
- limpeza TGI
- antifiséticos
- tricotomia
- gel
- posicionamento
Fígado: Protocolo de exame
Fígado: Protocolo de exame
 Orientação da
imagem no monitor
 Planos de varredura
(longitudinal e
transversal)
NYLAND, 2001
PLANOS TRANSVERSAIS
NYLAND, 2001
PLANOS LONGITUDINAIS
Fígado: Protocolo de exame
Fonte: CARVALHO, 2004
Fígado: Protocolo de exame
Fonte: CARVALHO, 2004
Fígado: Protocolo de exame
Fonte: CARVALHO, 2004
Fígado: Protocolo de exame
Fonte: CARVALHO, 2004
Fígado: Protocolo de exame
Fonte: CARVALHO, 2004
Fígado: Protocolo de exame
Fonte: CARVALHO, 2004
Fígado: Protocolo de exame
Fonte: CARVALHO, 2004
Fígado: Protocolo de exame
Fonte: CARVALHO, 2004
Fígado: normal
Fígado normal tórax profundo
Gás em cavidade gástrica
diafragma
Alterações Hepáticas
 Focal (sensíveis e não específicas)
 Difusa (pouca sensibilidade)
Alterações Focais
 Anecogênicas : cistos, abscessos,
hematomas e neoplasias
 Hipoecogênicas : abscessos,
hematomas, neoplasias , hiperplasias
 Hiperecogênicas : hiperplasia, fibrose,
abscesso, linfoma, calcificação
 Mistas : abscessos, hematomas e
neoplasias
 Cistos: congênitos ou
adquiridos, solitários
ou múltiplos, em
parênquima ou trato
biliar
 Características US
 Variáveis
Abscesso
Abscessos:
- Raros em pequenos animais;
- Associados a outras condições
predisponentes como doença biliar,
pancreatite, esteróides, corpos
estranhos perfurantes, torção lobar e
neoplasia hepática
calcificações
Nódulos sólidos e
hipoecogênicos:
- único (adenoma?)
- múltiplos (hiperplasia
nodular, cirrose,
metástases)
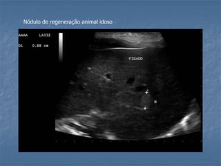
Nódulos de regeneração em animal idoso
Nódulo de regeneração animal idoso
CARCINOMA HEPÁTICO
Alterações Difusas
 Hipoecogênicas : hepatites, necrose,
congestão passiva, leucemia e linfoma
 Hiperecogênicas : lipidose ou
esteatose, fibrose, diabetes, cirrose,
linfoma, hepatopatia por esteróide,
colangiohepatite crônica e hepatopatias
tóxicas
LINFOMA
HEPATITE
(fígado em céu estrelado)
FÍGADO BRILHANTE
Aumento difuso da ecogenicidade
e atenuação do feixe sonoro
Aumento difuso da ecogenicidade
com atenuação do feixe sonoro (tipo II)
Cirrose do tipo I: hepatomegalia e
Aumento difuso da ecogenicidade
Paciente com início de cirrose desencadeada por uso contínuo
de medicamento
Parênquima hepático com micronodulações (classificação IIIa)
Parênquima hepático com macronodulações (IIIb)
LÍQUIDO
LIVRE
CIRROSE
HEPÁTICA
Parênquima hepático
com retração e fibrose evidente (IV)
Casos particulares
 Diabetes mellitus
 Sindrome de Cushing
 Esteatose felina
 Dermatite necrolítica superficial canina
(Síndrome hepatocutânea) – fígado com
aspecto de favo de mel
 Diabetes mellitus
 Sindrome de Cushing (hepatopatia esteroidal)
a
 Esteatose felina
 Esteatose canina
Alterações Vasculares
 Aumento do calibre dos vasos hepáticos
 Diminuição do calibre dos vasos
 Desvio do trajeto dos vasos
 ICCD
 Doença pericárdica, pulmonar,
dirofilariose, neoplasia cardíaca
 Insuficiência renal
 Super hidratação
 hérnia ou ruptura diafragmática
Aumento do calibre dos vasos
Dilatação de vasos portais
Veias
Hepáticas
V C C
Fonte: Nyland, 2001
Fonte: Nyland, 2004
Fonte: Carvalho, 2009
HIPERTENSÃO PORTAL
 Diagnóstico de hipertensão portal
deve ser concluído somente após
realização do estudo duplex Doppler
hepático
DIMINUIÇÃO DO CALIBRE DOS VASOS
 Displasia microvascular hepática
- microhepatia
- relação entre o calibre dos vasos (VP/Ao 0,7 a
1,25)
- vasos intrahepáticos pequenos ou não
visibilizados subdesenvolvidos ou ausentes
- correlação com shunt
 Diagnóstico histopatológico
 Atrofia hepática x shunt concomitante
 Sinais clínicos semelhantes ao shunt:
depressão, tontura, perda de apetite,
cegueira
 Raças predisponentes: Yorkshire, Cairn
Terrier, Maltes, Teckel, Poodle toy, Shih
Tzu, Lhasa Apso, Cocker Spaniel, West
Highland white Terrier
VP
D1 0.30 cm
Microhepatia, hipoplasia portal e
ou atresia portal
Relação VP/Ao 0,3 a 0,6 (normal
0,7 a 1,25)
Shunts ou desvios portossistêmicos
 Definição: comunicações vasculares
simples ou múltiplas que conduzem o
sangue oriundo do estômago, pâncreas,
baço e intestino desviando-o para a
circulação sistêmica sem passar pelo
fígado
 Sinais clínicos: de encefalopatia hepática (EH) dominam
o quadro clínico
- clearence hepático inadequado de toxinas (amônia,
mercaptanos, ácidos graxos de cadeia curta, ácido
gama-aminobutírico e benzodiazepínicos endógenos).
- atrofia hepática resultante da diminuição do fluxo
sanguíneo e conseqüente falta de nutrientes e fatores
hepatotrópicos (insulina e glucagon).
- complicação importante dos SPS pode ser a urolitíase
que ocorre por causa do aumento da excreção urinária
de amônia e de ácidos úricos. Pode ocorrer cálculos
renais, vesical e ureterais em até 50% dos animais com
SPS congênito (McCONKEY, 2000).
 Classificação:
 adquiridos: cirrose, colangiohepatite
crônica, neoplasia hepática e fístulas
arteriovenosas ; a hipertensão portal leva
ao desenvolvimento de múltiplos shunts
extrahepáticos que primariamente eram
vasos afuncionais remanescentes no
sistema portal (FERREL et al., 2003).
 Congênitos: vasos embrionários anômalos que
aparecem como desvios colaterais únicos ou
múltiplos (intra ou extra hepáticos);
- gatos sem raça definida e cães de raça pura
(Schnauzer miniatura, Yorkshire Terrier, Irish
Wolfhound, Cairn Terrier, Maltês, Golden
Retriever, Old English Sheepdog e Labrador
(BREZNOCK & WHITING, 1985). Pode ocorrer
também em Shitzu e Poodle toy e miniatura
(HUNT et al., 2000).
- Sexo
- Idade
 Intra hepáticos congênitos: raças de porte
grande (classificação)
 Extra hepáticos congênitos: raças de porte
pequeno (desvios de uma ou mais
tributárias do sistema portal em direção a
VCC ou a Azigos)
Classificação do shunt intra-hepático (SIH): a) divisional esquerdo ou
persistência de ducto venoso, o vaso anômalo desvia para a esquerda em
forma de ampola e se liga à VCC. b) Divisional central, há uma dilatação
focal da VP na porção central do fígado e se comunica com a VCC em
forma de um forame. c) Divisional direito, o vaso desvia para a direita
antes de comunicar com a VCC.
shunt extra-hepático congênito
Shunt extra-hepático
adquirido
FÍSTULAS ARTERIOVENOSAS (ASCITE)
Referências
 CARVALHO, C. F. Ultrassonografia em
pequenos animais. São Paulo: Roca, 2014.
2ed.
 NYLAND & MATTOON. Diagnostic Ultrasound
in Small Animals. 2001
 PENINCK, D. Ultrasonography in small animals –
Atlas and text book. 2014. 2ed.
Dúvidas...???
cursosdeultrassonografiavet@gmail.com

Aula Figado