Anatomia do abdome superior
Anatomia do abdome superior
DEPARTAMENTO DE DIAGNÓSTICO POR IMAGEM(
DEPARTAMENTO DE DIAGNÓSTICO POR IMAGEM(H.U.
H.U.-
-UNOESTE)
UNOESTE)
DR.
DR.FÁBIO VINICIUS DAVOLI BIANCO
FÁBIO VINICIUS DAVOLI BIANCO
ESTÔMAGO
ESTÔMAGO
•
• CÁRDIA
CÁRDIA
•
• FUNDO
FUNDO
•
• CORPO
CORPO
•
• CORPO
CORPO
•
• CANAL PILÓRICO
CANAL PILÓRICO
Relações anatômicas
Relações anatômicas
Fundo
Fundo –
– hemicúpula
hemicúpula
diafragmática E.
diafragmática E.
Face anterior
Face anterior
–
– diafragma na região
diafragma na região
fúndica.
fúndica.
-
- lobo E do fígado.
lobo E do fígado.
-
- parede abdominal
parede abdominal
anterior.
anterior.
anterior.
anterior.
Face posterior
Face posterior
–
– superior
superior –
– parte do
parte do
diafragma, baço, supra
diafragma, baço, supra-
-renal
renal
E.
E.
-
- inferior
inferior –
– corpo / cauda
corpo / cauda
do pâncreas, mesocólon
do pâncreas, mesocólon
transverso.
transverso.
ESTOMAGO
Variações anatômicas do normal
Variações anatômicas do normal
Relações anatômicas
Relações anatômicas
Fundo
Fundo –
– hemicúpula
hemicúpula
diafragmática E.
diafragmática E.
Face anterior
Face anterior –
– diafragma
diafragma
na região fúndica.
na região fúndica.
-
- lobo E
lobo E
-
- lobo E
lobo E
do fígado.
do fígado.
-
- parede
parede
abdominal anterior.
abdominal anterior.
Face posterior
Face posterior –
– superior
superior –
–
parte do diafragma, baço,
parte do diafragma, baço,
supra
supra-
-renal E.
renal E.
-
- inferior
inferior
–
– corpo / cauda do
corpo / cauda do
pâncreas, mesocólon
pâncreas, mesocólon
transverso.
transverso.
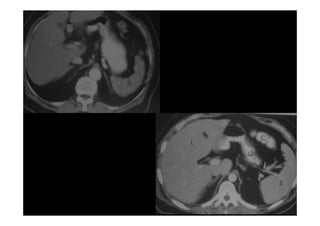
Anatomia da vesícula biliar.
Anatomia da vesícula biliar.
•
• Vesícula: estrutura cística de
Vesícula: estrutura cística de
paredes finas aderida a face
paredes finas aderida a face
infero
infero-
-medial do lobo direito
medial do lobo direito
do fígado
do fígado
•
• Relações da V.B.:
Relações da V.B.:
figado(acima),1
figado(acima),1-
-2 porção
2 porção
figado(acima),1
figado(acima),1-
-2 porção
2 porção
duodeno(posteriormente),
duodeno(posteriormente),
cólon transverso
cólon transverso
(inferiormente) e parede
(inferiormente) e parede
abdominal
abdominal
•
• divisão:corpo,colo e fundo
divisão:corpo,colo e fundo
•
• Vias biliares:ductos
Vias biliares:ductos
hepáticos,cístico e colédoco
hepáticos,cístico e colédoco
ART HEP
VP
COL
VES BILIAR
VMS
COL
COL
PORÇÃO INTRA PANCREÁTICA DO DUCTO COLÉDOCO AO LONGO DA FACE PÓSTERO
LATERAL DA CABEÇA DO PANCREAS
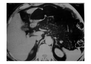
TRAJETO DO COLÉDOCO ATRAVÉS DO
LIGAMENTO HEPATODUODENAL NA PORTA
HEPATIS ATÉ O DUODENO
FÍGADO
FÍGADO
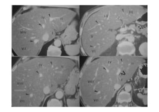
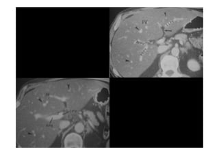
ANATOMIA SEGMENTAR DO FÍGADO
ANATOMIA SEGMENTAR DO FÍGADO
(COUINAUD)
(COUINAUD)
•
• LOBO CAUDADO SEG. I
LOBO CAUDADO SEG. I
•
• SEGMENTO SUPERIOR LATERAL ESQUERDO SEG.II
SEGMENTO SUPERIOR LATERAL ESQUERDO SEG.II
•
• SEGMENTO INFERIOR LATERAL ESQUERDO SEG III
SEGMENTO INFERIOR LATERAL ESQUERDO SEG III
•
•
•
• SEGMENTO MEDIAL ESQUERDO SEG IV
SEGMENTO MEDIAL ESQUERDO SEG IV
•
• SEGMENTO INFERIOR ANTERIOR DIREITO SEG V
SEGMENTO INFERIOR ANTERIOR DIREITO SEG V
•
• SEGMENTO SUPERIOR ANTERIOR DIREITO SEG VII
SEGMENTO SUPERIOR ANTERIOR DIREITO SEG VII
•
• SEGMENTO INFERIOR POSTERIOR DIREITO SEG VI
SEGMENTO INFERIOR POSTERIOR DIREITO SEG VI
•
• SEGMENTO SUPERIOR POSTERIOR DIREITO SEG VIII
SEGMENTO SUPERIOR POSTERIOR DIREITO SEG VIII
ANATOMIA VASCULAR
ANATOMIA VASCULAR
•
• VASOS AFERENTES(ENTRAM)
VASOS AFERENTES(ENTRAM)
-
-ARTÉRIAS HEPÁTICAS
ARTÉRIAS HEPÁTICAS
-
-VEIA PORTA
VEIA PORTA
•
• VASOS EFERENTES(SAEM)
VASOS EFERENTES(SAEM)
-
-VV. HEPÁTICAS QUE DRENAM PARA VCI
VV. HEPÁTICAS QUE DRENAM PARA VCI
A V.PORTA(VP) FORNECE 70% DO SANGUE QUE CHEGA NO FÍGADO E
A V.PORTA(VP) FORNECE 70% DO SANGUE QUE CHEGA NO FÍGADO E
SE ORIGINA POSTERIOR AO COLO DO PÂNCREAS DA
SE ORIGINA POSTERIOR AO COLO DO PÂNCREAS DA
CONFLUÊNCIA DAS VEIAS MESENTÉRICA SUPERIOR E ESPLÊNICA.
CONFLUÊNCIA DAS VEIAS MESENTÉRICA SUPERIOR E ESPLÊNICA.
CONFLUÊNCIA DAS VEIAS MESENTÉRICA SUPERIOR E ESPLÊNICA.
CONFLUÊNCIA DAS VEIAS MESENTÉRICA SUPERIOR E ESPLÊNICA.
NO HILO HEPÁTICO A VP DIVIDE
NO HILO HEPÁTICO A VP DIVIDE-
-SE EM VPD E VPE.
SE EM VPD E VPE.
A A.HEPÁTICA FORNECE 30% DO SANGUE PARA O FÍGADO E 50%
A A.HEPÁTICA FORNECE 30% DO SANGUE PARA O FÍGADO E 50%
DO OXIGENIO DISPONÍVEL.
DO OXIGENIO DISPONÍVEL.
GERALMENTE ORIGINA
GERALMENTE ORIGINA-
-SE DE UM RAMO DO TRONCO
SE DE UM RAMO DO TRONCO
CELÍACO(AGE+AH+AE)
CELÍACO(AGE+AH+AE)
NO HILO HEPÁTICO DIVIDE
NO HILO HEPÁTICO DIVIDE-
-SE EM RAMO DIREITO E ESQUERDO.
SE EM RAMO DIREITO E ESQUERDO.
AS VV. HEPÁTICAS DRENAM PARA A VCI.AS TRÊS VEIAS HEPÁTICAS
AS VV. HEPÁTICAS DRENAM PARA A VCI.AS TRÊS VEIAS HEPÁTICAS
(DIREITA, MÉDIA E ESQUERDA) SITUAM
(DIREITA, MÉDIA E ESQUERDA) SITUAM-
-SE PÓSTERO
SE PÓSTERO-
-SUPERIOR
SUPERIOR
AO FÍGADO E DRENAM PARA VCI LOGO ABAIXO DO DIAFRAGMA.
AO FÍGADO E DRENAM PARA VCI LOGO ABAIXO DO DIAFRAGMA.
PÂNCREAS
PÂNCREAS
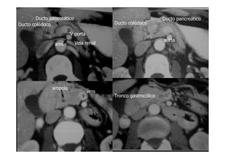
Ao nível da cabeça pancreática e do processo uncinado(u),a junção
do ducto pancreático comum com o ducto biliar comum(seta curva) é
definida.A artéria mesentérica superior situa-se anterior a aorta e
posterior a junção do colo e corpo do pâncreas.
Ao nível do colo pancreático,é visível o ducto pancreático
principal(seta aberta).
A v. porta situa-se imediatamente posterior ao colo do pâncreas e
lateral à artéria mesentérica superior.
(Ponta de seta)Artéria pancreato duodenal antero superior.
Ao nível do corpo pancreático observa-se um curto segmento do ducto
pancreático(ponta de seta).
Veia renal esquerda(seta curva).
Corpo e cauda pancreática(seta aberta maior).
Vv hepáticas não contrastadas.
Ducto pancreático
V porta
ams
Ducto colédoco Ducto colédoco
Ducto pancreático
aorta
Veia renal
ampola
vms
Tronco gastrocólico
BAÇO
BAÇO
•
•
•
• O BAÇO MEDE ATÉ 15CM DE COMPRIMENTO,LOCALIZADO NO
O BAÇO MEDE ATÉ 15CM DE COMPRIMENTO,LOCALIZADO NO
QUADRANTE SUPERIOR ESQUERDO QUE SE APRESENTA COM
QUADRANTE SUPERIOR ESQUERDO QUE SE APRESENTA COM
FORMATO ALONGADO.
FORMATO ALONGADO.
•
• O CONTORNO DA BORDA SUPERIOR LATERAL É CONVEXO SE
O CONTORNO DA BORDA SUPERIOR LATERAL É CONVEXO SE
AMOLDANDO A PAREDE ABDOMINAL E AO CONTORNO DO
AMOLDANDO A PAREDE ABDOMINAL E AO CONTORNO DO
DIAFRAGMA.
DIAFRAGMA.
•
• O HILO É ORIENTADO ANTERO MEDIALMENTE.
O HILO É ORIENTADO ANTERO MEDIALMENTE.
•
• A SUPERFÍCIE PÓSTERO
A SUPERFÍCIE PÓSTERO-
-MEDIAL DO BAÇO É CONCAVA ONDE SE
MEDIAL DO BAÇO É CONCAVA ONDE SE
AJUSTA AO FORMATO DO RIM ESQUERDO.
AJUSTA AO FORMATO DO RIM ESQUERDO.
•
• A SUPERFÍCIE MEDIAL ANTERIOR AO HILO ENCONTRA
A SUPERFÍCIE MEDIAL ANTERIOR AO HILO ENCONTRA-
-SE EM
SE EM
CONTATO COM O ESTÔMAGO
CONTATO COM O ESTÔMAGO
ANATOMIA VASCULAR
ANATOMIA VASCULAR
•
• VEIAS ESPLÊNICAS SEGUEM UM TRAJETO
VEIAS ESPLÊNICAS SEGUEM UM TRAJETO
RETO DO HILO ESPLENICO SEGUINDO
RETO DO HILO ESPLENICO SEGUINDO
TRANSVERSALMENTE AO LONGO DA
TRANSVERSALMENTE AO LONGO DA
FACE POSTERIOR DO CORPO E DA
FACE POSTERIOR DO CORPO E DA
FACE POSTERIOR DO CORPO E DA
FACE POSTERIOR DO CORPO E DA
CAUDA DO PÂNCREAS.
CAUDA DO PÂNCREAS.
•
• ARTÉRIA ESPLÊNICA,TORTUOSA RAMO
ARTÉRIA ESPLÊNICA,TORTUOSA RAMO
DO TRONCO CELÍACO.
DO TRONCO CELÍACO.
Referência bibliográfica
Referência bibliográfica
•
• Han/kim cortes anatómicos correlacionados
Han/kim cortes anatómicos correlacionados
com Tc y RM
com Tc y RM
•
• Tomografia computadorizada do corpo em
Tomografia computadorizada do corpo em
•
• Tomografia computadorizada do corpo em
Tomografia computadorizada do corpo em
correlação com ressonância
correlação com ressonância
magnética(J.K.T.Lee)
magnética(J.K.T.Lee)
•
• Interpretação radiológica (Paul & Juhl)
Interpretação radiológica (Paul & Juhl)
•
• Anatomy in Diagnostic Imaging(P.Fleckenstein)
Anatomy in Diagnostic Imaging(P.Fleckenstein)

anatomia_do_abdomem_superior.pdf

  • 1.
    Anatomia do abdomesuperior Anatomia do abdome superior DEPARTAMENTO DE DIAGNÓSTICO POR IMAGEM( DEPARTAMENTO DE DIAGNÓSTICO POR IMAGEM(H.U. H.U.- -UNOESTE) UNOESTE) DR. DR.FÁBIO VINICIUS DAVOLI BIANCO FÁBIO VINICIUS DAVOLI BIANCO
  • 2.
    ESTÔMAGO ESTÔMAGO • • CÁRDIA CÁRDIA • • FUNDO FUNDO • •CORPO CORPO • • CORPO CORPO • • CANAL PILÓRICO CANAL PILÓRICO
  • 3.
    Relações anatômicas Relações anatômicas Fundo Fundo– – hemicúpula hemicúpula diafragmática E. diafragmática E. Face anterior Face anterior – – diafragma na região diafragma na região fúndica. fúndica. - - lobo E do fígado. lobo E do fígado. - - parede abdominal parede abdominal anterior. anterior. anterior. anterior. Face posterior Face posterior – – superior superior – – parte do parte do diafragma, baço, supra diafragma, baço, supra- -renal renal E. E. - - inferior inferior – – corpo / cauda corpo / cauda do pâncreas, mesocólon do pâncreas, mesocólon transverso. transverso.
  • 4.
  • 5.
    Variações anatômicas donormal Variações anatômicas do normal
  • 6.
    Relações anatômicas Relações anatômicas Fundo Fundo– – hemicúpula hemicúpula diafragmática E. diafragmática E. Face anterior Face anterior – – diafragma diafragma na região fúndica. na região fúndica. - - lobo E lobo E - - lobo E lobo E do fígado. do fígado. - - parede parede abdominal anterior. abdominal anterior. Face posterior Face posterior – – superior superior – – parte do diafragma, baço, parte do diafragma, baço, supra supra- -renal E. renal E. - - inferior inferior – – corpo / cauda do corpo / cauda do pâncreas, mesocólon pâncreas, mesocólon transverso. transverso.
  • 7.
    Anatomia da vesículabiliar. Anatomia da vesícula biliar. • • Vesícula: estrutura cística de Vesícula: estrutura cística de paredes finas aderida a face paredes finas aderida a face infero infero- -medial do lobo direito medial do lobo direito do fígado do fígado • • Relações da V.B.: Relações da V.B.: figado(acima),1 figado(acima),1- -2 porção 2 porção figado(acima),1 figado(acima),1- -2 porção 2 porção duodeno(posteriormente), duodeno(posteriormente), cólon transverso cólon transverso (inferiormente) e parede (inferiormente) e parede abdominal abdominal • • divisão:corpo,colo e fundo divisão:corpo,colo e fundo • • Vias biliares:ductos Vias biliares:ductos hepáticos,cístico e colédoco hepáticos,cístico e colédoco
  • 10.
  • 11.
    COL PORÇÃO INTRA PANCREÁTICADO DUCTO COLÉDOCO AO LONGO DA FACE PÓSTERO LATERAL DA CABEÇA DO PANCREAS
  • 12.
    TRAJETO DO COLÉDOCOATRAVÉS DO LIGAMENTO HEPATODUODENAL NA PORTA HEPATIS ATÉ O DUODENO
  • 13.
  • 16.
    ANATOMIA SEGMENTAR DOFÍGADO ANATOMIA SEGMENTAR DO FÍGADO (COUINAUD) (COUINAUD) • • LOBO CAUDADO SEG. I LOBO CAUDADO SEG. I • • SEGMENTO SUPERIOR LATERAL ESQUERDO SEG.II SEGMENTO SUPERIOR LATERAL ESQUERDO SEG.II • • SEGMENTO INFERIOR LATERAL ESQUERDO SEG III SEGMENTO INFERIOR LATERAL ESQUERDO SEG III • • • • SEGMENTO MEDIAL ESQUERDO SEG IV SEGMENTO MEDIAL ESQUERDO SEG IV • • SEGMENTO INFERIOR ANTERIOR DIREITO SEG V SEGMENTO INFERIOR ANTERIOR DIREITO SEG V • • SEGMENTO SUPERIOR ANTERIOR DIREITO SEG VII SEGMENTO SUPERIOR ANTERIOR DIREITO SEG VII • • SEGMENTO INFERIOR POSTERIOR DIREITO SEG VI SEGMENTO INFERIOR POSTERIOR DIREITO SEG VI • • SEGMENTO SUPERIOR POSTERIOR DIREITO SEG VIII SEGMENTO SUPERIOR POSTERIOR DIREITO SEG VIII
  • 18.
    ANATOMIA VASCULAR ANATOMIA VASCULAR • •VASOS AFERENTES(ENTRAM) VASOS AFERENTES(ENTRAM) - -ARTÉRIAS HEPÁTICAS ARTÉRIAS HEPÁTICAS - -VEIA PORTA VEIA PORTA • • VASOS EFERENTES(SAEM) VASOS EFERENTES(SAEM) - -VV. HEPÁTICAS QUE DRENAM PARA VCI VV. HEPÁTICAS QUE DRENAM PARA VCI A V.PORTA(VP) FORNECE 70% DO SANGUE QUE CHEGA NO FÍGADO E A V.PORTA(VP) FORNECE 70% DO SANGUE QUE CHEGA NO FÍGADO E SE ORIGINA POSTERIOR AO COLO DO PÂNCREAS DA SE ORIGINA POSTERIOR AO COLO DO PÂNCREAS DA CONFLUÊNCIA DAS VEIAS MESENTÉRICA SUPERIOR E ESPLÊNICA. CONFLUÊNCIA DAS VEIAS MESENTÉRICA SUPERIOR E ESPLÊNICA. CONFLUÊNCIA DAS VEIAS MESENTÉRICA SUPERIOR E ESPLÊNICA. CONFLUÊNCIA DAS VEIAS MESENTÉRICA SUPERIOR E ESPLÊNICA. NO HILO HEPÁTICO A VP DIVIDE NO HILO HEPÁTICO A VP DIVIDE- -SE EM VPD E VPE. SE EM VPD E VPE. A A.HEPÁTICA FORNECE 30% DO SANGUE PARA O FÍGADO E 50% A A.HEPÁTICA FORNECE 30% DO SANGUE PARA O FÍGADO E 50% DO OXIGENIO DISPONÍVEL. DO OXIGENIO DISPONÍVEL. GERALMENTE ORIGINA GERALMENTE ORIGINA- -SE DE UM RAMO DO TRONCO SE DE UM RAMO DO TRONCO CELÍACO(AGE+AH+AE) CELÍACO(AGE+AH+AE) NO HILO HEPÁTICO DIVIDE NO HILO HEPÁTICO DIVIDE- -SE EM RAMO DIREITO E ESQUERDO. SE EM RAMO DIREITO E ESQUERDO. AS VV. HEPÁTICAS DRENAM PARA A VCI.AS TRÊS VEIAS HEPÁTICAS AS VV. HEPÁTICAS DRENAM PARA A VCI.AS TRÊS VEIAS HEPÁTICAS (DIREITA, MÉDIA E ESQUERDA) SITUAM (DIREITA, MÉDIA E ESQUERDA) SITUAM- -SE PÓSTERO SE PÓSTERO- -SUPERIOR SUPERIOR AO FÍGADO E DRENAM PARA VCI LOGO ABAIXO DO DIAFRAGMA. AO FÍGADO E DRENAM PARA VCI LOGO ABAIXO DO DIAFRAGMA.
  • 19.
  • 20.
    Ao nível dacabeça pancreática e do processo uncinado(u),a junção do ducto pancreático comum com o ducto biliar comum(seta curva) é definida.A artéria mesentérica superior situa-se anterior a aorta e posterior a junção do colo e corpo do pâncreas. Ao nível do colo pancreático,é visível o ducto pancreático principal(seta aberta). A v. porta situa-se imediatamente posterior ao colo do pâncreas e lateral à artéria mesentérica superior. (Ponta de seta)Artéria pancreato duodenal antero superior.
  • 21.
    Ao nível docorpo pancreático observa-se um curto segmento do ducto pancreático(ponta de seta). Veia renal esquerda(seta curva). Corpo e cauda pancreática(seta aberta maior). Vv hepáticas não contrastadas.
  • 22.
    Ducto pancreático V porta ams Ductocolédoco Ducto colédoco Ducto pancreático aorta Veia renal ampola vms Tronco gastrocólico
  • 25.
  • 26.
    • • • • O BAÇOMEDE ATÉ 15CM DE COMPRIMENTO,LOCALIZADO NO O BAÇO MEDE ATÉ 15CM DE COMPRIMENTO,LOCALIZADO NO QUADRANTE SUPERIOR ESQUERDO QUE SE APRESENTA COM QUADRANTE SUPERIOR ESQUERDO QUE SE APRESENTA COM FORMATO ALONGADO. FORMATO ALONGADO. • • O CONTORNO DA BORDA SUPERIOR LATERAL É CONVEXO SE O CONTORNO DA BORDA SUPERIOR LATERAL É CONVEXO SE AMOLDANDO A PAREDE ABDOMINAL E AO CONTORNO DO AMOLDANDO A PAREDE ABDOMINAL E AO CONTORNO DO DIAFRAGMA. DIAFRAGMA. • • O HILO É ORIENTADO ANTERO MEDIALMENTE. O HILO É ORIENTADO ANTERO MEDIALMENTE. • • A SUPERFÍCIE PÓSTERO A SUPERFÍCIE PÓSTERO- -MEDIAL DO BAÇO É CONCAVA ONDE SE MEDIAL DO BAÇO É CONCAVA ONDE SE AJUSTA AO FORMATO DO RIM ESQUERDO. AJUSTA AO FORMATO DO RIM ESQUERDO. • • A SUPERFÍCIE MEDIAL ANTERIOR AO HILO ENCONTRA A SUPERFÍCIE MEDIAL ANTERIOR AO HILO ENCONTRA- -SE EM SE EM CONTATO COM O ESTÔMAGO CONTATO COM O ESTÔMAGO
  • 27.
    ANATOMIA VASCULAR ANATOMIA VASCULAR • •VEIAS ESPLÊNICAS SEGUEM UM TRAJETO VEIAS ESPLÊNICAS SEGUEM UM TRAJETO RETO DO HILO ESPLENICO SEGUINDO RETO DO HILO ESPLENICO SEGUINDO TRANSVERSALMENTE AO LONGO DA TRANSVERSALMENTE AO LONGO DA FACE POSTERIOR DO CORPO E DA FACE POSTERIOR DO CORPO E DA FACE POSTERIOR DO CORPO E DA FACE POSTERIOR DO CORPO E DA CAUDA DO PÂNCREAS. CAUDA DO PÂNCREAS. • • ARTÉRIA ESPLÊNICA,TORTUOSA RAMO ARTÉRIA ESPLÊNICA,TORTUOSA RAMO DO TRONCO CELÍACO. DO TRONCO CELÍACO.
  • 30.
    Referência bibliográfica Referência bibliográfica • •Han/kim cortes anatómicos correlacionados Han/kim cortes anatómicos correlacionados com Tc y RM com Tc y RM • • Tomografia computadorizada do corpo em Tomografia computadorizada do corpo em • • Tomografia computadorizada do corpo em Tomografia computadorizada do corpo em correlação com ressonância correlação com ressonância magnética(J.K.T.Lee) magnética(J.K.T.Lee) • • Interpretação radiológica (Paul & Juhl) Interpretação radiológica (Paul & Juhl) • • Anatomy in Diagnostic Imaging(P.Fleckenstein) Anatomy in Diagnostic Imaging(P.Fleckenstein)