Epidemiologia
e Saúde Bucal
Saúde Coletiva III
Profª Roseane Cordeiro
Epidemiologia
Medronho, 2009.
“Ciência que estuda o processo saúde-
doença na sociedade, promoção ou
recuperação da saúde individual e
coletiva , produzindo informação e
conhecimento para tomada de decisão.”
Ou seja...
EPI Sobre
DEMO População
LOGIA Estudo
A epidemiologia
 Estudo dos determinantes de saúde-
enfermidade
 Análise das situações de saúde
 Avaliação de tecnologias e processos no
campo da saúde
Epidemiologia Descritiva
 Estuda a frequência e distribuição dos
parâmetros de saúde ou de fatores de
risco das doenças nas populações.
Epidemiologia Analítica
 Testa hipóteses de relações causais.
 Ela é uma ciência fundamental para a
saúde pública;
 Tem dado grandes contribuições à
melhoria da saúde das populações;
 É essencial no processo de identificação
e mapeamento de doenças emergentes.
Grécia antiga...
 As explicações sobre o processo saúde-
doença eram baseadas em concepções
mágico-religiosas.
 Medicina grega: Ausclepius (Esculápio)
Hygeia Ações preventivas, higiene.
Panacea Deusa da cura.
Histórico da epidemiologia...
 Abordagem racional
 Hipócrates, pai da Medicina.
 Doenças que afetavam
grande parte da população.
460 a.C. – 377 a. C
Segundo Hipócrates...
 Saúde: equilíbrio entre o homem e seu
meio.(De ares, águas e lugares)
 Doença: desequilíbrio de quatro humores
fundamentais: sangue, linfa, bile amarela
e bile negra.
Império Romano
 Construção de aquedutos, hábitos de
banhos diários, banhos públicos :
aumento da higiene pessoal.
 Contagem da população: realização do
censo. Estudo descritivo
 Galeno , médico particular do
Imperador Marco Aurélio.
Cláudio Galeno(201 – 130 a.C.)
Idade Média
 Caráter mágico-religioso
 Domínio da Igreja Católica
 Doença=castigo
 Criação dos primeiros hospitais
Medicina árabe
 Base – medicina hipocrática.
 Avanços farmacêuticos e técnicas
cirúrgicas.
 Descrição da varíola, asma e alergia
 Hospitais: centros de cura da doença,
escola de medicina.
 Avicena (989-1037) – Cânon da medicina.
 Averróes (1126-1198) – Precursor do
Higienismo.
Saber Clínico
Estatística Medicina
Social
EPIDEMIOLOGIA
Saber Clínico
 Tradição anglo-saxônica:
 Thomas Sydenham – Médico e precursor
da ciência epidemiológica . “História
Natural das Enfermidades”.
 Tradição francesa:
 Foucault - Medicina do coletivo:
Medicina Veterinária.
 Academia de Medicina de Paris -
epidemia no rebanho ovino. 1ª vez
conta-se doença para sua eliminação.
ESTATÍSTICA
Medida do Estado
“Conjunto de atributos
de uma nação.”
-Hermann Conring
 Raíz política
 Necessidade de contar o
povo e o exército com
disciplina e saúde.
 Teoria das probabilidades
(Blaise Pascal – Daniel
Bernouilli)
 Pierre Simon Laplace :
aperfeiçoou os métodos
aplicando-os a questões
de mortalidade e outros
fenômenos em saúde.
Blaise Pascal
Daniel Bernouilli
 Em 1825, Alexandre Louis
publica estudo estatístico
sobre 1960 casos de
tuberculose. Precursor da
avaliação da eficácia pela
Estatística.
 1839: William Farr cria o
registro anual de mortalidade
e morbidade para a
Inglaterra o País de Gales. –
Sistema de informação em
saúde.
Intervenções do Estado na
saúde da população
 França (1789) : Medicina Urbana
 Alemanha: Política Médica, medidas
compulsórias de controle e vigilância das
enfermidades. Imposição de regras de
higiene.
 Inglaterra: Revolução industrial –
medicina do trabalhador
Medicina Social
 1838 – Guérin : Abordagem coletiva da
saúde, elaborou termo medicina social.
 Rudolf Virchow: Movimento médico-
social na Alemanha. Exílio interno, se
voltou à patologia.
London Epidemiological
Society
 Criada em 1850
 Florence Nightingale – mãe fundadora
da Enfermagem
 John Snow – Pai da Epidemiologia
Florence Nightingale
John Snow
Acreditava que cólera e peste negra eram
causadas por poluição, ar viciado.
Antecipou-se à teoria microbiana de
Pasteur.
Em 1850 , concluiu que os casos de coléra
morbo no bairro londrino Soho, estavam
atribuidos à distribuição de água , pela
bomba localizada na Broad Street.
1813-1858
 Nas décadas seguintes: avanço da
medicina clínica.
 Achados de Claude Bernard, Rudolf
Virchow, Louis Pasteur e Robert Koch.
 Medicina social do colonialismo
Bernard, Virchow, Pasteur e Koch.
 Estatística Médica (EUA)
 1872: American Public Health Association
Epidemiologia no mundo
 1910 - Relatório de Flexner:
“separou individual do
coletivo na saúde.”
 1918: Inauguração da John
Hopkings School of Hygiene
and Public Health, Baltimore,
EUA. – Modelo para escolas
de saúde pública
 Wade Hampton Frost : primeiro professor
de epidemiologia do mundo (John
Hopkins)
 Major Greenwood : primeiro professor de
epidemiologia e estatística
Wade
Frost
Major
Greenwod
 Crise 1929: retomada
do caráter social das
doenças.
Conceito de risco
 1919: conceito de risco, utilizado por
William Topley. (cobaias)
 Populações humanas: 1921, William
Howard Jr.
 Formalizado em 1933, por Wade
Hampton Frost
 Décadas de 30 e 40(EUA) – Incorporação
da prevenção na formação de
profissionais de saúde.
 Após II Guerra Mundial: realização de
inquéritos epidemiológicos.
 1950: Aperfeiçoamento das técnicas
epidemiológicas.
 1960: matematização da disciplina.
 1954: criação da Internacional
Epidemiological Association
 1964: American Journal of Epidemiology.
 1970: Epidemiologia como instrumento de
investigação sobre o complexo saúde-
doença.
 1970 e 1980: 3 tendências da
Epidemiologia:
- Clínica
- Bases matemáticas
- Abordagem critica
 Atualmente , ampliação da
epidemiologia: farmacoepidemiologia,
epidemiologia genética e epidemiologia
dos serviços de saúde.
Epidemiologia no Brasil
 1903: Presidente Rodrigues Alves nomeia
Oswaldo Cruz para Diretoria Geral de
Saúde Pública.
 1904: Revolta da Vacina
Carlos Chagas
 1905: Controle do surto de malária.
 1909: descoberta do agente etiológico
da Doença de Chagas.
 1945: Faculdade de Higiene e
Saúde Pública em SP.
 1970: Sistema Nacional de
Vigilância Epidemiológica
 1979: Criação da ABRASCO
 Barreto – Bases Medline/Pubmed , entre
1985 e 2004 : 211.727 artigos relacionados
a Epidemiologia
Epidemiologia e Saúde Bucal
 1980 – Implantação do CD no Sistema
Único de Saúde.
 Em 2008 - 37,1% dos CD estavam
inseridos no SUS ( MS e CFO).
 Atuação do CD no SUS:
- Levantamentos epidemiológicos
- Planejamento de atividades preventivas
e ações de saúde.
- Serviços a grupos com necessidades
específicas.
Descrição dos estudos
epidemiológicos
 Objetivos:
- Avaliar a carga de doença que se abate
sobre a população.
- Identificar mudanças na distribuição de
doenças no tempo e espaço.
- Reconhecer grupos com necessidades
mais específicas
- Denunciar desigualdades nas
distribuições de doenças
- Reconhecer oportunidades de
intervenção potencialmente mais efetivas
Índices
Vários índices e indicadores de saúde são
empregados para descrever a distribuição
populacional das doenças bucais.
São formas de medir a saúde bucal da
população.
Índices CPO e ceo
 Klein e Palmer (1937) : estudo descritivo
de saúde bucal em crianças indígenas
 CPO-D : Nº de dentes
 CPO-S: Nº de superfícies
Critérios para levantamento
epidemiológico:
 Dente é considerado presente quando
qualquer parte da sua coroa clínica
estiver atravessado a mucosa gengival;
 Na presença de um dente decíduo e
permanente ocupando o mesmo lugar ,
deve-se considerar o permanente.
 No caso de dúvida entre hígido e
cariado, considerar hígido.
 Dúvida entre cariado e restaurado,
considerar restaurado;
 Dúvida entre cariado e extração
indicada considerar cariado.
CPO-D
 Considerar cariado:
 Sulco, fissura ou superfície que apresente
cavidade evidente, tecido amolecido ou
descoloração do esmalte.
 Considerar como hígidos:
 Quando não há evidência de lesão no
dente.
 Os estágios iniciais não são levados em
consideração(manchas esbranquiçadas)
 Considerados restaurados:
 Dentes com restauração em resina
composta e amálgama.
Cálculo do CPO-D
 Fórmula para cálculo do levantamento
epidemiológico:
 CPO-D/ceo-d Individual: Soma dos
dentes C+P+O=CPOD
ICPO-D/Iceo-d : Somas do CPO-D / Nº de
pessoas examinadas
CPO-S
 Nos dentes anteriores – 4 superfícies
 Nos dentes posteriores – 5 superfíicies
 Considerar a condição de
cariado,perdido, obturado como no
CPO-D
Cálculo do CPO-S/ceo-s
 Individual: Soma dos nºs de superficies
atingidas
 ICPO-S/Iceo-s: Cpo-s/ceo-s total / nº de
pessoas examinadas
Índice de Higiene Oral
Simplificado (IHO-S)
 Proposto por Greene e Vermillion (1964)
 Utilização de corantes nas superfícies:
-VESTIBULARES: 16,26,11 e 31
- LINGUAIS: 36 e 46
* No caso do dente índice estar ausente,
deve-se substituí-lo pelo subsequente.
Escores
0 – Nenhum resíduo ou mancha.
1 - Resíduo cobrindo não mais
que 1/3 da superfície dentária.
2 - Resíduo cobrindo mais do
que 1/3, mas não mais do que
2/3 da superfície dentária.
3 - Resíduos cobrindo mais que
2/3 da superfície dentária.
Cálculo do IHO-S
 Soma dos scores/ nº de dentes
examinados.
 IHO-S coletivo : Soma dos IHO-S / nº de
pessoas examinadas
INTERPRETAÇÃO CLÍNICA SCORES
BOA 0,0-0,6
REGULAR 0,7-1,8
RUIM 1,9-3,0
DÚVIDAS?????????????????
EXERCÍCIOS

Epidemiologia e saúde bucal

  • 1.
    Epidemiologia e Saúde Bucal SaúdeColetiva III Profª Roseane Cordeiro
  • 2.
  • 3.
    Medronho, 2009. “Ciência queestuda o processo saúde- doença na sociedade, promoção ou recuperação da saúde individual e coletiva , produzindo informação e conhecimento para tomada de decisão.”
  • 4.
    Ou seja... EPI Sobre DEMOPopulação LOGIA Estudo
  • 5.
    A epidemiologia  Estudodos determinantes de saúde- enfermidade  Análise das situações de saúde  Avaliação de tecnologias e processos no campo da saúde
  • 6.
    Epidemiologia Descritiva  Estudaa frequência e distribuição dos parâmetros de saúde ou de fatores de risco das doenças nas populações.
  • 7.
    Epidemiologia Analítica  Testahipóteses de relações causais.
  • 8.
     Ela éuma ciência fundamental para a saúde pública;  Tem dado grandes contribuições à melhoria da saúde das populações;  É essencial no processo de identificação e mapeamento de doenças emergentes.
  • 10.
    Grécia antiga...  Asexplicações sobre o processo saúde- doença eram baseadas em concepções mágico-religiosas.  Medicina grega: Ausclepius (Esculápio) Hygeia Ações preventivas, higiene. Panacea Deusa da cura.
  • 11.
    Histórico da epidemiologia... Abordagem racional  Hipócrates, pai da Medicina.  Doenças que afetavam grande parte da população. 460 a.C. – 377 a. C
  • 12.
    Segundo Hipócrates...  Saúde:equilíbrio entre o homem e seu meio.(De ares, águas e lugares)  Doença: desequilíbrio de quatro humores fundamentais: sangue, linfa, bile amarela e bile negra.
  • 13.
    Império Romano  Construçãode aquedutos, hábitos de banhos diários, banhos públicos : aumento da higiene pessoal.  Contagem da população: realização do censo. Estudo descritivo  Galeno , médico particular do Imperador Marco Aurélio. Cláudio Galeno(201 – 130 a.C.)
  • 14.
    Idade Média  Carátermágico-religioso  Domínio da Igreja Católica  Doença=castigo  Criação dos primeiros hospitais
  • 15.
    Medicina árabe  Base– medicina hipocrática.  Avanços farmacêuticos e técnicas cirúrgicas.  Descrição da varíola, asma e alergia  Hospitais: centros de cura da doença, escola de medicina.  Avicena (989-1037) – Cânon da medicina.  Averróes (1126-1198) – Precursor do Higienismo.
  • 16.
  • 17.
    Saber Clínico  Tradiçãoanglo-saxônica:  Thomas Sydenham – Médico e precursor da ciência epidemiológica . “História Natural das Enfermidades”.  Tradição francesa:  Foucault - Medicina do coletivo: Medicina Veterinária.  Academia de Medicina de Paris - epidemia no rebanho ovino. 1ª vez conta-se doença para sua eliminação.
  • 18.
    ESTATÍSTICA Medida do Estado “Conjuntode atributos de uma nação.” -Hermann Conring
  • 19.
     Raíz política Necessidade de contar o povo e o exército com disciplina e saúde.  Teoria das probabilidades (Blaise Pascal – Daniel Bernouilli)  Pierre Simon Laplace : aperfeiçoou os métodos aplicando-os a questões de mortalidade e outros fenômenos em saúde. Blaise Pascal Daniel Bernouilli
  • 20.
     Em 1825,Alexandre Louis publica estudo estatístico sobre 1960 casos de tuberculose. Precursor da avaliação da eficácia pela Estatística.  1839: William Farr cria o registro anual de mortalidade e morbidade para a Inglaterra o País de Gales. – Sistema de informação em saúde.
  • 21.
    Intervenções do Estadona saúde da população  França (1789) : Medicina Urbana  Alemanha: Política Médica, medidas compulsórias de controle e vigilância das enfermidades. Imposição de regras de higiene.  Inglaterra: Revolução industrial – medicina do trabalhador
  • 22.
    Medicina Social  1838– Guérin : Abordagem coletiva da saúde, elaborou termo medicina social.  Rudolf Virchow: Movimento médico- social na Alemanha. Exílio interno, se voltou à patologia.
  • 23.
    London Epidemiological Society  Criadaem 1850  Florence Nightingale – mãe fundadora da Enfermagem  John Snow – Pai da Epidemiologia Florence Nightingale
  • 24.
    John Snow Acreditava quecólera e peste negra eram causadas por poluição, ar viciado. Antecipou-se à teoria microbiana de Pasteur. Em 1850 , concluiu que os casos de coléra morbo no bairro londrino Soho, estavam atribuidos à distribuição de água , pela bomba localizada na Broad Street. 1813-1858
  • 26.
     Nas décadasseguintes: avanço da medicina clínica.  Achados de Claude Bernard, Rudolf Virchow, Louis Pasteur e Robert Koch.  Medicina social do colonialismo Bernard, Virchow, Pasteur e Koch.
  • 27.
     Estatística Médica(EUA)  1872: American Public Health Association
  • 28.
    Epidemiologia no mundo 1910 - Relatório de Flexner: “separou individual do coletivo na saúde.”  1918: Inauguração da John Hopkings School of Hygiene and Public Health, Baltimore, EUA. – Modelo para escolas de saúde pública
  • 29.
     Wade HamptonFrost : primeiro professor de epidemiologia do mundo (John Hopkins)  Major Greenwood : primeiro professor de epidemiologia e estatística Wade Frost Major Greenwod
  • 30.
     Crise 1929:retomada do caráter social das doenças.
  • 31.
    Conceito de risco 1919: conceito de risco, utilizado por William Topley. (cobaias)  Populações humanas: 1921, William Howard Jr.  Formalizado em 1933, por Wade Hampton Frost
  • 32.
     Décadas de30 e 40(EUA) – Incorporação da prevenção na formação de profissionais de saúde.  Após II Guerra Mundial: realização de inquéritos epidemiológicos.
  • 33.
     1950: Aperfeiçoamentodas técnicas epidemiológicas.  1960: matematização da disciplina.
  • 34.
     1954: criaçãoda Internacional Epidemiological Association  1964: American Journal of Epidemiology.
  • 35.
     1970: Epidemiologiacomo instrumento de investigação sobre o complexo saúde- doença.
  • 36.
     1970 e1980: 3 tendências da Epidemiologia: - Clínica - Bases matemáticas - Abordagem critica
  • 37.
     Atualmente ,ampliação da epidemiologia: farmacoepidemiologia, epidemiologia genética e epidemiologia dos serviços de saúde.
  • 38.
    Epidemiologia no Brasil 1903: Presidente Rodrigues Alves nomeia Oswaldo Cruz para Diretoria Geral de Saúde Pública.
  • 39.
  • 40.
    Carlos Chagas  1905:Controle do surto de malária.  1909: descoberta do agente etiológico da Doença de Chagas.
  • 41.
     1945: Faculdadede Higiene e Saúde Pública em SP.  1970: Sistema Nacional de Vigilância Epidemiológica  1979: Criação da ABRASCO
  • 42.
     Barreto –Bases Medline/Pubmed , entre 1985 e 2004 : 211.727 artigos relacionados a Epidemiologia
  • 43.
    Epidemiologia e SaúdeBucal  1980 – Implantação do CD no Sistema Único de Saúde.  Em 2008 - 37,1% dos CD estavam inseridos no SUS ( MS e CFO).
  • 44.
     Atuação doCD no SUS: - Levantamentos epidemiológicos - Planejamento de atividades preventivas e ações de saúde. - Serviços a grupos com necessidades específicas.
  • 45.
    Descrição dos estudos epidemiológicos Objetivos: - Avaliar a carga de doença que se abate sobre a população. - Identificar mudanças na distribuição de doenças no tempo e espaço. - Reconhecer grupos com necessidades mais específicas
  • 46.
    - Denunciar desigualdadesnas distribuições de doenças - Reconhecer oportunidades de intervenção potencialmente mais efetivas
  • 47.
    Índices Vários índices eindicadores de saúde são empregados para descrever a distribuição populacional das doenças bucais. São formas de medir a saúde bucal da população.
  • 48.
  • 49.
     Klein ePalmer (1937) : estudo descritivo de saúde bucal em crianças indígenas  CPO-D : Nº de dentes  CPO-S: Nº de superfícies
  • 50.
    Critérios para levantamento epidemiológico: Dente é considerado presente quando qualquer parte da sua coroa clínica estiver atravessado a mucosa gengival;  Na presença de um dente decíduo e permanente ocupando o mesmo lugar , deve-se considerar o permanente.  No caso de dúvida entre hígido e cariado, considerar hígido.
  • 51.
     Dúvida entrecariado e restaurado, considerar restaurado;  Dúvida entre cariado e extração indicada considerar cariado.
  • 52.
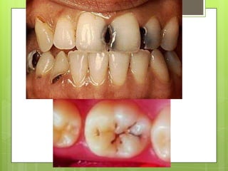
    CPO-D  Considerar cariado: Sulco, fissura ou superfície que apresente cavidade evidente, tecido amolecido ou descoloração do esmalte.
  • 54.
     Considerar comohígidos:  Quando não há evidência de lesão no dente.  Os estágios iniciais não são levados em consideração(manchas esbranquiçadas)
  • 56.
     Considerados restaurados: Dentes com restauração em resina composta e amálgama.
  • 58.
    Cálculo do CPO-D Fórmula para cálculo do levantamento epidemiológico:  CPO-D/ceo-d Individual: Soma dos dentes C+P+O=CPOD ICPO-D/Iceo-d : Somas do CPO-D / Nº de pessoas examinadas
  • 59.
    CPO-S  Nos dentesanteriores – 4 superfícies  Nos dentes posteriores – 5 superfíicies  Considerar a condição de cariado,perdido, obturado como no CPO-D
  • 60.
    Cálculo do CPO-S/ceo-s Individual: Soma dos nºs de superficies atingidas  ICPO-S/Iceo-s: Cpo-s/ceo-s total / nº de pessoas examinadas
  • 61.
    Índice de HigieneOral Simplificado (IHO-S)  Proposto por Greene e Vermillion (1964)  Utilização de corantes nas superfícies: -VESTIBULARES: 16,26,11 e 31 - LINGUAIS: 36 e 46 * No caso do dente índice estar ausente, deve-se substituí-lo pelo subsequente.
  • 62.
    Escores 0 – Nenhumresíduo ou mancha. 1 - Resíduo cobrindo não mais que 1/3 da superfície dentária. 2 - Resíduo cobrindo mais do que 1/3, mas não mais do que 2/3 da superfície dentária. 3 - Resíduos cobrindo mais que 2/3 da superfície dentária.
  • 63.
    Cálculo do IHO-S Soma dos scores/ nº de dentes examinados.  IHO-S coletivo : Soma dos IHO-S / nº de pessoas examinadas INTERPRETAÇÃO CLÍNICA SCORES BOA 0,0-0,6 REGULAR 0,7-1,8 RUIM 1,9-3,0
  • 64.
  • 66.