C.M.S. Adão Pereira Nunes
       Odontologia
O que é Saúde Bucal?
   A Saúde Bucal é composta por vários fatores , que juntos colaboram para uma
   boa higiene bucal:

 Hálito puro e sorriso saudável são o resultado de uma boa higiene bucal. Isso
  significa que:
 Seus dentes ficam limpos e livres de resíduos alimentares;
 A gengiva não sangra nem dói durante a escovação e o uso do fio dental;
 O mau hálito deixa de ser um problema permanente.
 Consulte o dentista de sua equipe caso as suas gengivas doam ou sangrem
  quando você escova os dentes ou usa fio dental, e principalmente se estiver
  experimentando um problema de mau hálito. Essas manifestações podem ser
  a indicação da existência de um problema mais grave.
 Seu dentista pode ensiná-lo a usar técnicas corretas de higiene bucal e indicar
  as áreas que exigem atenção extra durante a escovação e o uso do fio dental.
Como garantir uma boa higiene
               bucal?
• Uma boa higiene bucal é uma das medidas mais importantes que você
  pode adotar para manter os seus dentes e gengivas em ordem. Dentes
  saudáveis não só contribuem para que você tenha uma boa aparência,
  mas são também importantes para que você possa falar bem e
  mastigar corretamente os alimentos. Manter uma boca saudável é
  importante para o bem-estar geral das pessoas.

• Os cuidados diários preventivos, tais como uma boa escovação e o uso
  correto do fio dental, ajudam a evitar que os problemas dentários se
  tornem mais graves. Devemos ter em mente que a prevenção é a
  maneira mais econômica, menos dolorida e menos preocupante de se
  cuidar da saúde bucal e que ao se fazer prevenção estamos evitando o
  tratamento de problemas que se tornariam graves.
Escovação:
Escovar bem os dentes e usar o fio dental diariamente.
Ingerir alimentos balanceados e evitar comer entre as principais refeições.
Usar produtos de higiene bucal, inclusive creme dental, que contenham flúor.
Usar enxaguante bucal com flúor, se seu dentista recomendar.
Garantir que as crianças abaixo de 12 anos tomem água potável fluoretada ou
suplementos de flúor, se habitarem regiões onde não haja flúor na água.
Escovação:
Escovação:
SIM
• Escolha uma escova dental com cerdas macias.
• Use creme dental com flúor em quantidade aproximada ao
  tamanho de uma ervilha.
• Sempre enxágue sua escova dental após utilizá-la e lembre-se
  de guardá-la em local onde as cerdas possam secar sem que
  sejam pressionadas ou comprimidas.
• Substitua sua escova dental quando ela estiver gasta, com as
  cerdas deformadas. Os dentistas recomendam a troca da
  escova a cada 3 meses.
• Use o fio dental pelo menos uma vez ao dia para remover a
  placa que a escova não conseguiu alcançar.
NÃO...
• Compartilhe sua escova de dentes.
• Se esqueça de escovar os dentes,
  principalmente antes de dormir. À noite, a
  produção de saliva é reduzida, portanto os
  dentes estão mais suscetíveis a problemas.
Flúor
• O flúor é um elemento natural que fortalece o
  esmalte, camada exterior dos dentes. O Flúor
  faz com que os dentes fiquem mais resistentes
  e os protege contra as cáries. É como um
  "protetor" invisível, particularmente
  importante para crianças em crescimento.
Maneiras de se obter flúor:
O flúor pode ser obtido de várias fontes:
• Creme dental.
• Enxaguante Bucal Com Flúor — deve ser utilizado
  diariamente.
• Flúor em Gel — fórmula concentrada, aplicada pelo
  dentista em uma visita ao consultório.
• Água Fluorada.
O que é fluorose? Por que
                  ocorre?
• A fluorose é uma alteração que ocorre devido ao excesso de ingestão de flúor,
  durante a formação dos dentes. Ela se manifesta principalmente pela alteração
  de cor do esmalte, que pode assumir uma tonalidade esbranquiçada ou exibir
  pequenas manchas ou linhas brancas. Nos casos mais graves, adquire uma
  coloração acastanhada ou marrom, podendo haver perda de estrutura dental;
  nesses casos, mais fácil de desgastar fisiologicamente.

• Atualmente, a maior causa de fluorose é a ingestão de produtos fluoretados
  em locais onde já existe água fluoretada, sendo que o mais comum é o
  dentifrício fluoretado, que muitas crianças engolem durante a escovação. O
  enxaguatório contendo flúor também poderá contribuir, se for indicado para
  crianças que ainda não tenham controle adequado da deglutição.
O que é fluorose? Por que
         ocorre?
Dicas para prevenção de Fluorose
• Evite dar a seus filhos menores de 3 anos
  pasta dental com flúor, existe hoje no
  mercada pasta dental sem flúor.....
• Só utilize pasta dental com flúor nas crianças
  que cospem, para evitar a ingestão do
  mesmo.
Fio Dental
• O fio dental ajuda a prevenir doenças da
  gengiva, remove a placa e restos de comida
  entre os dentes (principalmente próximo à
  linha da gengiva) e alcança lugares onde a
  escova dental não chega.
A Transmissão da Cárie
                          Não existem dúvidas!

     A cárie dental, sendo uma doença provocada por bactéria, pode ser
                       transmitida através do beijo.

     Entretanto, há uma fase da vida em que isso pode acontecer com mais
facilidade, trata-se do período entre os seis meses e quatro anos de idade.
      Nessa fase, as crianças entram em contato com muitas bactérias que
  irão permanecer em sua boca durante toda a vida, sem causar nenhum
    dano. Por esta razão, o organismo não produz anticorpos contra tais
                                 bactérias.
A Transmissão da Cárie
• Caso a criança receba um beijo, ou se alimente utilizando uma colher em
  conjunto com o adulto que possua cárie, provavelmente seu organismo
  irá reconhecer a bactéria causadora da cárie dental, e não mais
  produzirá defesas contra esta bactéria, fazendo com que a criança inicie
  um processo de cárie dental.

•         Na fase adulta, dificilmente o beijo transmitirá a cárie, pois se este
    adulto não foi contaminado quando criança, seu organismo receberá
    estas bactérias e iniciará um processo natural de defesa.
          Assim, cuidar de seus dentes é a melhor maneira de evitar que seu
    filho desenvolva a cárie dental.
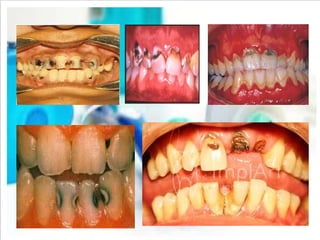
Doença Periodontal
ESCOVE SEUS DENTES

     SE NÃO......
MANTENHA UM SORRISO
     SAUDÁVEL
Saúde bucal

Saúde bucal

  • 1.
    C.M.S. Adão PereiraNunes Odontologia
  • 2.
    O que éSaúde Bucal? A Saúde Bucal é composta por vários fatores , que juntos colaboram para uma boa higiene bucal:  Hálito puro e sorriso saudável são o resultado de uma boa higiene bucal. Isso significa que:  Seus dentes ficam limpos e livres de resíduos alimentares;  A gengiva não sangra nem dói durante a escovação e o uso do fio dental;  O mau hálito deixa de ser um problema permanente.  Consulte o dentista de sua equipe caso as suas gengivas doam ou sangrem quando você escova os dentes ou usa fio dental, e principalmente se estiver experimentando um problema de mau hálito. Essas manifestações podem ser a indicação da existência de um problema mais grave.  Seu dentista pode ensiná-lo a usar técnicas corretas de higiene bucal e indicar as áreas que exigem atenção extra durante a escovação e o uso do fio dental.
  • 3.
    Como garantir umaboa higiene bucal? • Uma boa higiene bucal é uma das medidas mais importantes que você pode adotar para manter os seus dentes e gengivas em ordem. Dentes saudáveis não só contribuem para que você tenha uma boa aparência, mas são também importantes para que você possa falar bem e mastigar corretamente os alimentos. Manter uma boca saudável é importante para o bem-estar geral das pessoas. • Os cuidados diários preventivos, tais como uma boa escovação e o uso correto do fio dental, ajudam a evitar que os problemas dentários se tornem mais graves. Devemos ter em mente que a prevenção é a maneira mais econômica, menos dolorida e menos preocupante de se cuidar da saúde bucal e que ao se fazer prevenção estamos evitando o tratamento de problemas que se tornariam graves.
  • 4.
    Escovação: Escovar bem osdentes e usar o fio dental diariamente. Ingerir alimentos balanceados e evitar comer entre as principais refeições. Usar produtos de higiene bucal, inclusive creme dental, que contenham flúor. Usar enxaguante bucal com flúor, se seu dentista recomendar. Garantir que as crianças abaixo de 12 anos tomem água potável fluoretada ou suplementos de flúor, se habitarem regiões onde não haja flúor na água.
  • 6.
  • 7.
  • 8.
    SIM • Escolha umaescova dental com cerdas macias. • Use creme dental com flúor em quantidade aproximada ao tamanho de uma ervilha. • Sempre enxágue sua escova dental após utilizá-la e lembre-se de guardá-la em local onde as cerdas possam secar sem que sejam pressionadas ou comprimidas. • Substitua sua escova dental quando ela estiver gasta, com as cerdas deformadas. Os dentistas recomendam a troca da escova a cada 3 meses. • Use o fio dental pelo menos uma vez ao dia para remover a placa que a escova não conseguiu alcançar.
  • 9.
    NÃO... • Compartilhe suaescova de dentes. • Se esqueça de escovar os dentes, principalmente antes de dormir. À noite, a produção de saliva é reduzida, portanto os dentes estão mais suscetíveis a problemas.
  • 10.
    Flúor • O flúoré um elemento natural que fortalece o esmalte, camada exterior dos dentes. O Flúor faz com que os dentes fiquem mais resistentes e os protege contra as cáries. É como um "protetor" invisível, particularmente importante para crianças em crescimento.
  • 11.
    Maneiras de seobter flúor: O flúor pode ser obtido de várias fontes: • Creme dental. • Enxaguante Bucal Com Flúor — deve ser utilizado diariamente. • Flúor em Gel — fórmula concentrada, aplicada pelo dentista em uma visita ao consultório. • Água Fluorada.
  • 12.
    O que éfluorose? Por que ocorre? • A fluorose é uma alteração que ocorre devido ao excesso de ingestão de flúor, durante a formação dos dentes. Ela se manifesta principalmente pela alteração de cor do esmalte, que pode assumir uma tonalidade esbranquiçada ou exibir pequenas manchas ou linhas brancas. Nos casos mais graves, adquire uma coloração acastanhada ou marrom, podendo haver perda de estrutura dental; nesses casos, mais fácil de desgastar fisiologicamente. • Atualmente, a maior causa de fluorose é a ingestão de produtos fluoretados em locais onde já existe água fluoretada, sendo que o mais comum é o dentifrício fluoretado, que muitas crianças engolem durante a escovação. O enxaguatório contendo flúor também poderá contribuir, se for indicado para crianças que ainda não tenham controle adequado da deglutição.
  • 13.
    O que éfluorose? Por que ocorre?
  • 14.
    Dicas para prevençãode Fluorose • Evite dar a seus filhos menores de 3 anos pasta dental com flúor, existe hoje no mercada pasta dental sem flúor..... • Só utilize pasta dental com flúor nas crianças que cospem, para evitar a ingestão do mesmo.
  • 15.
    Fio Dental • Ofio dental ajuda a prevenir doenças da gengiva, remove a placa e restos de comida entre os dentes (principalmente próximo à linha da gengiva) e alcança lugares onde a escova dental não chega.
  • 16.
    A Transmissão daCárie Não existem dúvidas! A cárie dental, sendo uma doença provocada por bactéria, pode ser transmitida através do beijo. Entretanto, há uma fase da vida em que isso pode acontecer com mais facilidade, trata-se do período entre os seis meses e quatro anos de idade. Nessa fase, as crianças entram em contato com muitas bactérias que irão permanecer em sua boca durante toda a vida, sem causar nenhum dano. Por esta razão, o organismo não produz anticorpos contra tais bactérias.
  • 17.
    A Transmissão daCárie • Caso a criança receba um beijo, ou se alimente utilizando uma colher em conjunto com o adulto que possua cárie, provavelmente seu organismo irá reconhecer a bactéria causadora da cárie dental, e não mais produzirá defesas contra esta bactéria, fazendo com que a criança inicie um processo de cárie dental. • Na fase adulta, dificilmente o beijo transmitirá a cárie, pois se este adulto não foi contaminado quando criança, seu organismo receberá estas bactérias e iniciará um processo natural de defesa. Assim, cuidar de seus dentes é a melhor maneira de evitar que seu filho desenvolva a cárie dental.
  • 18.
  • 23.
    ESCOVE SEUS DENTES SE NÃO......
  • 25.