Estomatologia Cassius Torres-Pereira Professor Adjunto de Estomatologia e  Metodologia Científica  UFPR
Disciplina de Diagnóstico Bucal
Referência em Estomatologia – SUS Área Metropolitana de Curitiba
Protocolo de encaminhamento
Protocolo de encaminhamento
Casuística - Produtividade 2006 940 .................................................................. consultas 264 ...................................... procedimentos cirúrgicos 222 ................ procedimentos de tomada radiográfica 280 ............. exames anatomopatológicos e citológicos
http://br.groups.yahoo.com/group/diagbucal /
http://br.groups.yahoo.com/group/diagbucal /
Estomatologia Que especialidade é essa? Prática Clínica Privada  Prática Clínica Pública  Academia
Estomatologia Lesões fundamentais Variações da normalidade Epidemiologia das doenças bucais
Lesões Fundamentais Lesões sólidas Lesões com perda tecidual Lesões de conteúdo líquido
Lesões Fundamentais Lesões sólidas Pápula Nódulo Massa Nodular Placa
Lesões Fundamentais - Nódulo
Lesões Fundamentais – Placa
Lesões Fundamentais Lesões com perda tecidual Atrofia Erosão Úlcera/Ulceração/Fissura
Lesões Fundamentais – Atrofia
Lesões Fundamentais – Atrofia
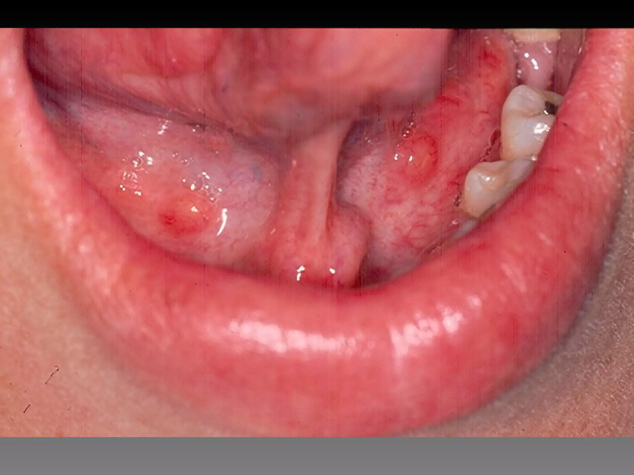
Lesões Fundamentais Lesões com conteúdo líquido Vesícula Bolha Pústula / Hemoflictena
Lesões Fundamentais – Vesícula e Bolha Conteúdo líquido:  vesícula ou bolha
Lesões Fundamentais – Pústula
Lesões Fundamentais – Outras
 
Variações da Normalidade  e Pseudo-patologias
 
 
 
 
 
 
 
 
 
 
 
 
 
 
 
 
 
 
Epidemiologia das Lesões Bucais
Epidemiologia das  Lesões Bucais Disciplina de Diagnóstico Bucal UFPR e Laboratório de Anátomo-Patologia do Unicenp (2003) 3% Papiloma 2,5% Carcinoma 3,7% Cisto de natureza odontogênica 3,7% Processo inflamatório crônico inespecífico 4,2% Cisto radicular 4,2% Hiperqueratose/acantose 6,7% Atipia epitelial 9,2% Mucocele 11% Fibroma 20,2% Hiperplasia fibrosa inflamatória
Epidemiologia das  Lesões Bucais Disciplina de Diagnóstico Bucal UFPR e Laboratório de Anátomo-Patologia do Unicenp (2003) 2,4% Líquen plano 1,2% Candidíase 1,2% Sialoadenite Crônica 1,2% Cisto Dentígero 1,2% Ceratocisto 1,2% Cisto de Erupção e Fibrose Cicatricial 1,2% Granuloma piogênico 1,8% Granuloma dentário 1,8% Fibroblastoma 1,8% Granuloma periférico de células gigantes
Educação em Estomatologia

Especialidade