Prof. Priscila Freitas 
Graduada em Odontologia 
Especializando em Ortodontia
Periodontia é a área odontológica que estuda 
as estruturas periféricas aos dentes naturais ou 
não, servindo para inserir os dentes aos ossos 
maxilares e manter a integridade da mucosa 
mastigatória. 
2
Partes do Periodonto 
• Gengiva 
• Ligamento Periodontal 
• Cemento Radicular 
• Osso Alveolar 
3
Função do Periodonto 
A principal função do periodonto é inserir o 
dente no tecido ósseo dos maxilares e manter 
a integridade da superfície da mucosa 
mastigatória da cavidade bucal. 
4
5 
Tipos de Periodonto 
Gengiva 
Ligamento periodontal 
Cemento 
Osso Alveolar
6 
É formado pelas gengivas (gengiva marginal, 
gengiva inserida e gengiva interdentária). A 
gengiva é a parte da mucosa mastigatória que 
cobre o processo alveolar e circunda a porção 
cervical dos dentes. Ela consiste de uma 
camada epitelial e um tecido conjuntivo 
subjacente, chamado lâmina própria.
7 
Gengiva inserida 
Gengiva marginal 
Gengiva interdentária 
A gengiva é fixa, inserida em osso, não tem 
mobilidade.
8 
Características da gengiva saudável 
• Gengiva Sáudável 
– Textura: firme 
– Coloração: rosada 
– Superfície: aspecto de casca de laranja 
– Inserção: firme
9 
É formado pelo ligamento 
periodontal, osso alveolar e cemento. 
Tem as funções de sustentação, 
nutrição, sensitiva, formativa e 
sensorial.
10 
 Cemento
11 
Cemento Radicular 
Camada delgada que cobre a raiz do 
dente ou parte dele que se encaixa 
em osso alveolar e possui coloração 
amarelada.
12 
Cemento Radicular 
• Tecido mineralizado especializados 
• Semelhante ao tecido ósseo (menos 
mineralizado) 
• Avascularizado 
• Não inervado 
• Não sofre remodelação (formação contínua) 
• Função: 
– Insere fibras do LP 
– Reparo de danos na superfície radicular
13 
Ligamento Periodontal 
Sistema que liga o 
dente ao osso alveolar.
14 
Ligamento Periodontal 
A presença desse ligamento permite que forças produzidas 
durante a função mastigatória e outros contatos dentários 
sejam distribuidas e absorvidas pelo processo alveolar 
através do osso propriamente dito. Além disso, o LP também 
é essencial para a mobilidade dos dentes. O dente é unido 
aos osso por feixes de fibras colágenas que são divididas em: 
fibras da crista alveolar, fibras horizontais, fibras oblíquas, 
fibras apicais e fibras furcais.
15 
Osso Alveolar 
É a porção da maxila e da mandíbula que formam os alvéolos dos 
dentes e dão suporte a esses alvéolos. Desenvolve-se em 
associação com o desenvolvimento e a erupção dentária. O osso 
pode ser dividido em: osso compacto (osso alveolar propriamente 
dito, tambem chamado de lâmina dura, reveste o alvéolo e 
possuem canais por onde passam vasos sanguineos, linfáticos e 
fibras nervosas para o LP); e osso esponjoso (preenche as áreas 
entre os alvéolos e entre as paredes de osso compacto, ocupando a 
maior parte dos septos interdentais, esse osso contém trabéculas 
ósseas).
16 
Osso Alveolar
17 
Osso Alveolar 
 Funções: 
– Suporte para os elementos dentários 
– Nutrição 
– Absorção e distribuição de forças 
– Regulação dos movimentos de mastigação 
 Cemento + Ligamento + Osso = aparelho de 
inserção dental
• Fatores Determinante - é imperativo para que a 
doença ocorra 
• Fatores Predisponentes - interferem direta ou 
indiretamente na retenção de placa, facilitando a 
instalação e progressão da doença periodontal 
• Fatores Modificadores - agem modificando o curso 
da doença, podendo piorar ou proteger, e podem 
ser locais ou ambientais e sistêmicos 
18 
Fatores Etiológicos
19 
Placa bacteriana ou biofilme
20 
Placa bacteriana ou biofilme 
• Microorganismos: 
–Neisseria gonorrhoeae 
–Treponema pallidum 
–Streptococci sp. 
–Mycobacterium chelonae
21 
Placa bacteriana ou biofilme 
Comunidade microbiana que se forma sobre os 
dentes e outras superfícies não-renováveis 
presentes na cavidade bucal (implantes, coroa 
unitária ,aparelho ortodontico). Apresenta 
metabolismo próprio, e sistema de informação 
incipiente, sendo capazes de troca de 
informação entre as colônias.
22 
• Matéria Alba – acumulação leve de bactérias e células que 
não fazem parte de uma estrutura organizada e pode ser 
facilmente removida com jato de água 
• Placa bacteriana – bactérias presentes em matriz de 
glicoproteínas salivares e polissacarídeos extracelulares 
• Cálculo – depósito duro de placa calcificada, coberto por 
placa não-mineralizada.
23 
Placa bacteriana ou biofilme 
• Constituintes: 
– podem ser encontradas mais de 500 espécies 
– matriz contém: células epiteliais, macrófagos e 
linfócitos 
• localização: supra ou sub
24 
Cálculo dentário ou tártaro 
• Placa bacteriana mineralizada que se forma sobre a 
superfície de dentes, próteses, restaurações 
• Superficie porosa dificulta higienização
25 
Fatores que facilitam o acúmulo de 
tártaro!!!
26 
• Margem de restauração 
• Próteses mal adaptadas 
• Materiais dentais pouco polidos 
• Dentes apinhados 
• Aparelho ortodôntico 
• Tabagismo 
• Má Higiene 
Acúmulo de tártaro
27 
Acúmulo de tártaro
28 
Acúmulo de tártaro
29 
Acúmulo de tártaro
30 
Acúmulo de tártaro
31 
• Respiração bucal 
• Medicamentos (anti-convulsivantes, anticoncepcionais) 
• Diabetes 
• Aids 
• Fatores genéticos 
• Estresse
32 
Gengivite medicamentosa
33 
Gengivite por fatores genéticos (síndrome)
34
35 
As doenças periodontais mais comuns são a Gengivite 
e a Periodontite e caracterizam-se por processos 
inflamatórios que, no caso da Gengivite não há 
alteração óssea, pois a inflamação só atinge a gengiva, 
enquanto que na Periodontite leva à reabsorção do 
osso alveolar, podendo levar a perda do dente.
36 
O agente causador da doença é a placa bacteriana que se 
acumula sobre as superfícies do esmalte dentário e no 
sulco gengival. Com a evolução da inflamação gengival, as 
fibras e tecidos que suportam os dentes são 
comprometidos. Como decorrência, os dentes podem ficar 
com mobilidade: é a conhecida reabsorção óssea. 
Conforme o grau de destruição óssea pode ocorrer a perda 
dos dentes sem nenhuma sintomatologia dolorosa.
37 
DOENÇA PERIODONTAL 
gengivite periodontite
38 
O acúmulo de 
placa/cálculo, devido a 
má higienização, é o 
principal agente 
causador das doenças 
periodontais!
39 
Gengiva Saudável 
• Coloração: rosa pálido 
• Contorno: festonado 
• Consistência: firme 
• Aspecto de casca de laranja 
• Opaca 
• Ausência de Sangramento
40 
Gengivite 
A gengivite é uma doença causada pela placa 
bacteriana, é uma inflamação da gengiva, 
seguida de dor e sangramento, muitas vezes (na 
grande maioria), causada por placa bacteriana e 
calculo dental (tártaro).
41 
Gengivite 
• Estabelecimento de sinais clínicos de 
gengivite 
– Após 10-20 dias de não higienização 
– Existe variação entre indivíduos 
• Sinais clínicos 
– Vermelhidão 
– Tumefação 
– Maior tendência ao sangramento 
– Característica de Reversibilidade
42 
Sinais Clínicos 
• Vermelhidão 
• Tumefação 
• Maior tendência ao sangramento 
• Reversibilidade
43 
Sinais Clínicos 
Vermelhidão
44 
Sinais Clínicos 
Sangramento
45 
Sinais Clínicos 
Sangramento
46 
Sinais Clínicos 
Tumefação
47 
Sinais Clínicos 
Reversível
48 
Sinais Clínicos 
Gengiva Normal Gengivite 
Coloração Rosa-clara Vermelhidão 
Tamanho 
Papilar – preenche espaço 
interdental 
Marginal - término em lâmina 
de faca 
Profundidade de sulco < 3mm 
Edema 
Hiperplasiada 
Perda do contorno 
Consistência Firme Mole /Flácida 
Tendência ao 
sangramento 
Sem sangramento à sondagem 
Com sangramento à 
sondagem
49 
Sinais Clínicos
50 
Sinais Clínicos
51 
Gengivites não induzidas por placa 
• Deficiência Nutricional 
• Induzida por fármacos 
– Anti-convulcivante 
– Anti-hipertensivos 
– Imunossupressores 
• Reações alérgicas 
• Injúrias traumáticas
52 
Diagnóstico 
Para o diagnóstico da gengivite é importante a 
realização de: 
• Avaliação do controle de placa. 
• Avaliação da presença de sangramento. 
• Avaliação da saúde da individuo. 
• Avaliação de alterações sistêmicas ou presença de 
tabagismo que possam estar influenciando no 
estado periodontal
53 
Tratamento 
O tratamento pode se estender 
por várias sessões, individuais 
ou coletivas, cujo número irá 
depender do controle da 
doença.
54 
Tratamento 
• Remoção ou tratamento de fatores retentivos de 
placa 
• Raspagem e polimento supra gengival profissional. 
• Ações educativas para controle de placa 
• Monitoramento e controle dos fatores de risco 
como diabetes, gravidez, alterações hormonais, 
entre outros. Em caso da gengivite estar 
relacionada com fatores sistêmicos ou 
medicamentosos, deve ser avaliada a possibilidade 
de intervenção sobre esses fatores.
55 
Tratamento 
A gengivite é reversível, 
logo seu tratamento está 
voltado para 
manutenção de um boa 
higiene oral!
56 
Tratamento
57 
Tratamento 
A remoção do agente agressor faz 
com que a gengiva retorne a sua 
forma normal aliviando a dor e 
eliminando o sangramento.
58 
Tratamento 
• Controle de placa no 
consultório 
• Profilaxia e raspagem 
• Instrução de higiene oral 
• Escovação + Fio dental 
• Colaboração do Paciente
59 
Tratamento 
O principal autocuidado com a saúde bucal é 
a higienização dos dentes diariamente, que 
tem como objetivo a remoção do biofilme 
supragengival.
60
61 
A periodontite é um grupo de doenças 
que se caracteriza pela inflamação dos 
tecidos de sustentação e proteção dos 
dentes, acompanhada de perda de 
inserção, promovida pela placa 
bacteriana subgengival.
62
63 
Tipos de Periodontite 
• Periodontite Crônica 
• Periodontite Agressiva 
• Doenças Periodontais Necrosantes
64 
Tipos de Periodontite
65 
Periodontite Crônica 
A Periodontite é uma doença infecciosa, 
inflamatória, crônica que atinge uma grande 
quantidade de pacientes adultos. Ocorre de 
forma lenta, destruindo a sustentação do 
dente sem causar dor. A causa principal 
desta doença é a placa bacteriana.
66 
Periodontite Crônica 
• Características Clássicas 
– Inflamação gengival 
– Sangramento à sondagem 
– Redução da resistência tecidual 
– Perda de inserção gengival 
– Perda de tecido ósseo alveolar 
– Recessões gengivais
67 
Recessões gengivais
68 
Periodontite Crônica
69 
Periodontite Crônica
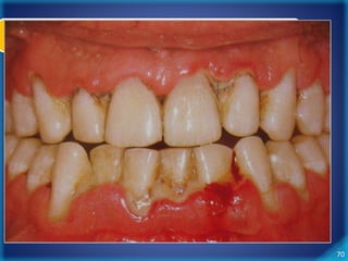
70 
Periodontite Crônica
71 
Periodontite Crônica
72
73
74 
Periodontite Crônica 
• Fator iniciador: Gengivite 
• Progressão e severidade: Relacionado ao hospedeiro 
• Progressão lenta e contínua 
– Fases de quiescência e exacerbação 
• Tipo de Periodontite mais freqüente 
• Não afeta todos os dentes da mesma maneira
75 
Periodontite Crônica 
1.Maior prevalência em adultos 
2. Quantidade de destruição é proporcional a higiene oral, fatores 
locais e de risco sistêmico 
3. Composição complexa da placa bacteriana. Presença de 
cálculo subgengival 
4. Localizada – 30% dos sítios afetados. Generalizada > 30% 
5. Iniciada e mantida pela placa bacteriana 
6. Patogenia e progressão influenciada pelo hospedeiro 
7. Progressão confirmada por meio de exames clínicos repetidos
76 
Periodontite Crônica 
• Fatores de risco 
– Tipo bacteriano 
– Idade 
– Tabagismo 
– Resposta do hospedeiro 
– Doenças sistêmicas 
– Estresse 
– Genética
77 
Periodontite Aguda 
• Periodontite de progressão rápida 
• Condição rara 
• Freqüentemente grave 
• Acomete indivíduos de idade precoce 
• Padrão hereditário 
• Quantidade de placa bacteriana desproporcional 
Rápida perda de inserção Rápida destruição óssea 
Concentração familiar de casos
78 
Periodontite Aguda 
Rápida destruição óssea
79 
Periodontite Necrosante 
• Tipos 
– Gengivite Ulcerativa Necrosante (GUN) 
– Periodontite Ulcerativa Necrosante (PUN) 
• DPs graves causada por placa e fatores genéticos 
• Progressão rápida 
• Debilitante
80 
Periodontite Necrosante 
• Doença Periodontal Necrosante 
– Ulceração e necrose da papila e margem gengival 
• Aspecto de cratera 
– Úlceras recobertas por pseudomembranas 
• Fibrina, tecido necrótico e massa bacteriana 
– SINTOMATOLOGIA DOLOROSA 
– Evolução rápida 
• Formação de seqüestros ósseos
81 
Periodontite Necrosante 
• Doença Periodontal Necrosante 
– Sangramento fácil 
– Odor fétido 
– Febre e mal estar 
– Linfoadenite 
– Higiene oral deficiente
82 
Periodontite Necrosante 
• Fatores Predisponentes 
– Infecção pelo HIV 
– Desnutrição 
– Tuberculose 
– Gengivoestomatite herpética 
– Malária 
– Etilismo e tabagismo 
– Estresse psicológico
83 
Diagnóstico 
• Fatores causais e modificadores: 
• Determinação da atividade da doença: definida pela 
perda de inserção aliada a sinais inflamatórios 
(sangramento, secreção). 
• Avaliação do controle de placa. 
• Avaliação das condições sistêmicas, tabagismo e 
consideração do risco sócioeconômico e uso de 
medicamentos
84 
Diagnóstico 
Apesar da placa bacteriana ser fator primário da doença 
periodontal, esta tem caráter multifatorial, de forma que o estado 
de saúde do paciente pode influenciar no estabelecimento e na 
progressão da doença. Por outro lado, hábitos nocivos que afetam 
negativamente a saúde sistêmica, como o tabagismo, o 
alcoolismo, o uso de drogas lícitas e ilícitas, o sedentarismo e o 
estresse podem também interferir negativamente nos tecidos 
periodontais.
85 
Tratamento 
• Tratamento da Gengivite, como descrito 
anteriormente, incluindo as ações educativas 
• Tratamento da Periodontite, por meio do controle da 
placa subgengival 
• O controle da placa subgengival é feito através da 
raspagem e alisamento subgengival 
• Em caso da periodontite estar relacionada a fatores 
sistêmicos ou hábitos nocivos, deve ser avaliada a 
possibilidade de intervenção sobre esses fatores
86 
Tratamento 
Raspagem + Limpeza
87 
Tratamento 
Raspagem + Limpeza
88 
Tratamento 
Raspagem + Limpeza
89 
Tratamento 
Outros fatores envolvidos
90 
Tratamento 
Esplintagem
91 
Tratamento 
Instrução de higiene
92 
Tratamento 
Autocuidado
93 
Tratamento 
Consultas de rotina
94 
Tratamento 
Extração dos dentes
95 
Dúvidas?

doença periodontal

  • 1.
    Prof. Priscila Freitas Graduada em Odontologia Especializando em Ortodontia
  • 2.
    Periodontia é aárea odontológica que estuda as estruturas periféricas aos dentes naturais ou não, servindo para inserir os dentes aos ossos maxilares e manter a integridade da mucosa mastigatória. 2
  • 3.
    Partes do Periodonto • Gengiva • Ligamento Periodontal • Cemento Radicular • Osso Alveolar 3
  • 4.
    Função do Periodonto A principal função do periodonto é inserir o dente no tecido ósseo dos maxilares e manter a integridade da superfície da mucosa mastigatória da cavidade bucal. 4
  • 5.
    5 Tipos dePeriodonto Gengiva Ligamento periodontal Cemento Osso Alveolar
  • 6.
    6 É formadopelas gengivas (gengiva marginal, gengiva inserida e gengiva interdentária). A gengiva é a parte da mucosa mastigatória que cobre o processo alveolar e circunda a porção cervical dos dentes. Ela consiste de uma camada epitelial e um tecido conjuntivo subjacente, chamado lâmina própria.
  • 7.
    7 Gengiva inserida Gengiva marginal Gengiva interdentária A gengiva é fixa, inserida em osso, não tem mobilidade.
  • 8.
    8 Características dagengiva saudável • Gengiva Sáudável – Textura: firme – Coloração: rosada – Superfície: aspecto de casca de laranja – Inserção: firme
  • 9.
    9 É formadopelo ligamento periodontal, osso alveolar e cemento. Tem as funções de sustentação, nutrição, sensitiva, formativa e sensorial.
  • 10.
  • 11.
    11 Cemento Radicular Camada delgada que cobre a raiz do dente ou parte dele que se encaixa em osso alveolar e possui coloração amarelada.
  • 12.
    12 Cemento Radicular • Tecido mineralizado especializados • Semelhante ao tecido ósseo (menos mineralizado) • Avascularizado • Não inervado • Não sofre remodelação (formação contínua) • Função: – Insere fibras do LP – Reparo de danos na superfície radicular
  • 13.
    13 Ligamento Periodontal Sistema que liga o dente ao osso alveolar.
  • 14.
    14 Ligamento Periodontal A presença desse ligamento permite que forças produzidas durante a função mastigatória e outros contatos dentários sejam distribuidas e absorvidas pelo processo alveolar através do osso propriamente dito. Além disso, o LP também é essencial para a mobilidade dos dentes. O dente é unido aos osso por feixes de fibras colágenas que são divididas em: fibras da crista alveolar, fibras horizontais, fibras oblíquas, fibras apicais e fibras furcais.
  • 15.
    15 Osso Alveolar É a porção da maxila e da mandíbula que formam os alvéolos dos dentes e dão suporte a esses alvéolos. Desenvolve-se em associação com o desenvolvimento e a erupção dentária. O osso pode ser dividido em: osso compacto (osso alveolar propriamente dito, tambem chamado de lâmina dura, reveste o alvéolo e possuem canais por onde passam vasos sanguineos, linfáticos e fibras nervosas para o LP); e osso esponjoso (preenche as áreas entre os alvéolos e entre as paredes de osso compacto, ocupando a maior parte dos septos interdentais, esse osso contém trabéculas ósseas).
  • 16.
  • 17.
    17 Osso Alveolar  Funções: – Suporte para os elementos dentários – Nutrição – Absorção e distribuição de forças – Regulação dos movimentos de mastigação  Cemento + Ligamento + Osso = aparelho de inserção dental
  • 18.
    • Fatores Determinante- é imperativo para que a doença ocorra • Fatores Predisponentes - interferem direta ou indiretamente na retenção de placa, facilitando a instalação e progressão da doença periodontal • Fatores Modificadores - agem modificando o curso da doença, podendo piorar ou proteger, e podem ser locais ou ambientais e sistêmicos 18 Fatores Etiológicos
  • 19.
  • 20.
    20 Placa bacterianaou biofilme • Microorganismos: –Neisseria gonorrhoeae –Treponema pallidum –Streptococci sp. –Mycobacterium chelonae
  • 21.
    21 Placa bacterianaou biofilme Comunidade microbiana que se forma sobre os dentes e outras superfícies não-renováveis presentes na cavidade bucal (implantes, coroa unitária ,aparelho ortodontico). Apresenta metabolismo próprio, e sistema de informação incipiente, sendo capazes de troca de informação entre as colônias.
  • 22.
    22 • MatériaAlba – acumulação leve de bactérias e células que não fazem parte de uma estrutura organizada e pode ser facilmente removida com jato de água • Placa bacteriana – bactérias presentes em matriz de glicoproteínas salivares e polissacarídeos extracelulares • Cálculo – depósito duro de placa calcificada, coberto por placa não-mineralizada.
  • 23.
    23 Placa bacterianaou biofilme • Constituintes: – podem ser encontradas mais de 500 espécies – matriz contém: células epiteliais, macrófagos e linfócitos • localização: supra ou sub
  • 24.
    24 Cálculo dentárioou tártaro • Placa bacteriana mineralizada que se forma sobre a superfície de dentes, próteses, restaurações • Superficie porosa dificulta higienização
  • 25.
    25 Fatores quefacilitam o acúmulo de tártaro!!!
  • 26.
    26 • Margemde restauração • Próteses mal adaptadas • Materiais dentais pouco polidos • Dentes apinhados • Aparelho ortodôntico • Tabagismo • Má Higiene Acúmulo de tártaro
  • 27.
  • 28.
  • 29.
  • 30.
  • 31.
    31 • Respiraçãobucal • Medicamentos (anti-convulsivantes, anticoncepcionais) • Diabetes • Aids • Fatores genéticos • Estresse
  • 32.
  • 33.
    33 Gengivite porfatores genéticos (síndrome)
  • 34.
  • 35.
    35 As doençasperiodontais mais comuns são a Gengivite e a Periodontite e caracterizam-se por processos inflamatórios que, no caso da Gengivite não há alteração óssea, pois a inflamação só atinge a gengiva, enquanto que na Periodontite leva à reabsorção do osso alveolar, podendo levar a perda do dente.
  • 36.
    36 O agentecausador da doença é a placa bacteriana que se acumula sobre as superfícies do esmalte dentário e no sulco gengival. Com a evolução da inflamação gengival, as fibras e tecidos que suportam os dentes são comprometidos. Como decorrência, os dentes podem ficar com mobilidade: é a conhecida reabsorção óssea. Conforme o grau de destruição óssea pode ocorrer a perda dos dentes sem nenhuma sintomatologia dolorosa.
  • 37.
    37 DOENÇA PERIODONTAL gengivite periodontite
  • 38.
    38 O acúmulode placa/cálculo, devido a má higienização, é o principal agente causador das doenças periodontais!
  • 39.
    39 Gengiva Saudável • Coloração: rosa pálido • Contorno: festonado • Consistência: firme • Aspecto de casca de laranja • Opaca • Ausência de Sangramento
  • 40.
    40 Gengivite Agengivite é uma doença causada pela placa bacteriana, é uma inflamação da gengiva, seguida de dor e sangramento, muitas vezes (na grande maioria), causada por placa bacteriana e calculo dental (tártaro).
  • 41.
    41 Gengivite •Estabelecimento de sinais clínicos de gengivite – Após 10-20 dias de não higienização – Existe variação entre indivíduos • Sinais clínicos – Vermelhidão – Tumefação – Maior tendência ao sangramento – Característica de Reversibilidade
  • 42.
    42 Sinais Clínicos • Vermelhidão • Tumefação • Maior tendência ao sangramento • Reversibilidade
  • 43.
    43 Sinais Clínicos Vermelhidão
  • 44.
    44 Sinais Clínicos Sangramento
  • 45.
    45 Sinais Clínicos Sangramento
  • 46.
    46 Sinais Clínicos Tumefação
  • 47.
    47 Sinais Clínicos Reversível
  • 48.
    48 Sinais Clínicos Gengiva Normal Gengivite Coloração Rosa-clara Vermelhidão Tamanho Papilar – preenche espaço interdental Marginal - término em lâmina de faca Profundidade de sulco < 3mm Edema Hiperplasiada Perda do contorno Consistência Firme Mole /Flácida Tendência ao sangramento Sem sangramento à sondagem Com sangramento à sondagem
  • 49.
  • 50.
  • 51.
    51 Gengivites nãoinduzidas por placa • Deficiência Nutricional • Induzida por fármacos – Anti-convulcivante – Anti-hipertensivos – Imunossupressores • Reações alérgicas • Injúrias traumáticas
  • 52.
    52 Diagnóstico Parao diagnóstico da gengivite é importante a realização de: • Avaliação do controle de placa. • Avaliação da presença de sangramento. • Avaliação da saúde da individuo. • Avaliação de alterações sistêmicas ou presença de tabagismo que possam estar influenciando no estado periodontal
  • 53.
    53 Tratamento Otratamento pode se estender por várias sessões, individuais ou coletivas, cujo número irá depender do controle da doença.
  • 54.
    54 Tratamento •Remoção ou tratamento de fatores retentivos de placa • Raspagem e polimento supra gengival profissional. • Ações educativas para controle de placa • Monitoramento e controle dos fatores de risco como diabetes, gravidez, alterações hormonais, entre outros. Em caso da gengivite estar relacionada com fatores sistêmicos ou medicamentosos, deve ser avaliada a possibilidade de intervenção sobre esses fatores.
  • 55.
    55 Tratamento Agengivite é reversível, logo seu tratamento está voltado para manutenção de um boa higiene oral!
  • 56.
  • 57.
    57 Tratamento Aremoção do agente agressor faz com que a gengiva retorne a sua forma normal aliviando a dor e eliminando o sangramento.
  • 58.
    58 Tratamento •Controle de placa no consultório • Profilaxia e raspagem • Instrução de higiene oral • Escovação + Fio dental • Colaboração do Paciente
  • 59.
    59 Tratamento Oprincipal autocuidado com a saúde bucal é a higienização dos dentes diariamente, que tem como objetivo a remoção do biofilme supragengival.
  • 60.
  • 61.
    61 A periodontiteé um grupo de doenças que se caracteriza pela inflamação dos tecidos de sustentação e proteção dos dentes, acompanhada de perda de inserção, promovida pela placa bacteriana subgengival.
  • 62.
  • 63.
    63 Tipos dePeriodontite • Periodontite Crônica • Periodontite Agressiva • Doenças Periodontais Necrosantes
  • 64.
    64 Tipos dePeriodontite
  • 65.
    65 Periodontite Crônica A Periodontite é uma doença infecciosa, inflamatória, crônica que atinge uma grande quantidade de pacientes adultos. Ocorre de forma lenta, destruindo a sustentação do dente sem causar dor. A causa principal desta doença é a placa bacteriana.
  • 66.
    66 Periodontite Crônica • Características Clássicas – Inflamação gengival – Sangramento à sondagem – Redução da resistência tecidual – Perda de inserção gengival – Perda de tecido ósseo alveolar – Recessões gengivais
  • 67.
  • 68.
  • 69.
  • 70.
  • 71.
  • 72.
  • 73.
  • 74.
    74 Periodontite Crônica • Fator iniciador: Gengivite • Progressão e severidade: Relacionado ao hospedeiro • Progressão lenta e contínua – Fases de quiescência e exacerbação • Tipo de Periodontite mais freqüente • Não afeta todos os dentes da mesma maneira
  • 75.
    75 Periodontite Crônica 1.Maior prevalência em adultos 2. Quantidade de destruição é proporcional a higiene oral, fatores locais e de risco sistêmico 3. Composição complexa da placa bacteriana. Presença de cálculo subgengival 4. Localizada – 30% dos sítios afetados. Generalizada > 30% 5. Iniciada e mantida pela placa bacteriana 6. Patogenia e progressão influenciada pelo hospedeiro 7. Progressão confirmada por meio de exames clínicos repetidos
  • 76.
    76 Periodontite Crônica • Fatores de risco – Tipo bacteriano – Idade – Tabagismo – Resposta do hospedeiro – Doenças sistêmicas – Estresse – Genética
  • 77.
    77 Periodontite Aguda • Periodontite de progressão rápida • Condição rara • Freqüentemente grave • Acomete indivíduos de idade precoce • Padrão hereditário • Quantidade de placa bacteriana desproporcional Rápida perda de inserção Rápida destruição óssea Concentração familiar de casos
  • 78.
    78 Periodontite Aguda Rápida destruição óssea
  • 79.
    79 Periodontite Necrosante • Tipos – Gengivite Ulcerativa Necrosante (GUN) – Periodontite Ulcerativa Necrosante (PUN) • DPs graves causada por placa e fatores genéticos • Progressão rápida • Debilitante
  • 80.
    80 Periodontite Necrosante • Doença Periodontal Necrosante – Ulceração e necrose da papila e margem gengival • Aspecto de cratera – Úlceras recobertas por pseudomembranas • Fibrina, tecido necrótico e massa bacteriana – SINTOMATOLOGIA DOLOROSA – Evolução rápida • Formação de seqüestros ósseos
  • 81.
    81 Periodontite Necrosante • Doença Periodontal Necrosante – Sangramento fácil – Odor fétido – Febre e mal estar – Linfoadenite – Higiene oral deficiente
  • 82.
    82 Periodontite Necrosante • Fatores Predisponentes – Infecção pelo HIV – Desnutrição – Tuberculose – Gengivoestomatite herpética – Malária – Etilismo e tabagismo – Estresse psicológico
  • 83.
    83 Diagnóstico •Fatores causais e modificadores: • Determinação da atividade da doença: definida pela perda de inserção aliada a sinais inflamatórios (sangramento, secreção). • Avaliação do controle de placa. • Avaliação das condições sistêmicas, tabagismo e consideração do risco sócioeconômico e uso de medicamentos
  • 84.
    84 Diagnóstico Apesarda placa bacteriana ser fator primário da doença periodontal, esta tem caráter multifatorial, de forma que o estado de saúde do paciente pode influenciar no estabelecimento e na progressão da doença. Por outro lado, hábitos nocivos que afetam negativamente a saúde sistêmica, como o tabagismo, o alcoolismo, o uso de drogas lícitas e ilícitas, o sedentarismo e o estresse podem também interferir negativamente nos tecidos periodontais.
  • 85.
    85 Tratamento •Tratamento da Gengivite, como descrito anteriormente, incluindo as ações educativas • Tratamento da Periodontite, por meio do controle da placa subgengival • O controle da placa subgengival é feito através da raspagem e alisamento subgengival • Em caso da periodontite estar relacionada a fatores sistêmicos ou hábitos nocivos, deve ser avaliada a possibilidade de intervenção sobre esses fatores
  • 86.
  • 87.
  • 88.
  • 89.
    89 Tratamento Outrosfatores envolvidos
  • 90.
  • 91.
  • 92.
  • 93.
  • 94.
  • 95.

Notas do Editor

  • #3 Historicamente , os pinos foram usados pela primeira vez em 1770 com Pierre Fauchard que usou pinos de madeira no interior de um canal radicular para reter uma coroa. Na década de 1980, a melhor escolha técnica de reconstrução coronária do dente tratado endodonticamente recaiu sobre os pinos metálicos fundidos. Com o desenvolvimento de novos materiais, aliado à evolução dos sistemas adesivos, houve no mercado o lançamento de diversos tipos de pinos pré-fabricados não metálicos, dentre os quais estão os pinos de fibra vidro.
  • #4 Historicamente , os pinos foram usados pela primeira vez em 1770 com Pierre Fauchard que usou pinos de madeira no interior de um canal radicular para reter uma coroa. Na década de 1980, a melhor escolha técnica de reconstrução coronária do dente tratado endodonticamente recaiu sobre os pinos metálicos fundidos. Com o desenvolvimento de novos materiais, aliado à evolução dos sistemas adesivos, houve no mercado o lançamento de diversos tipos de pinos pré-fabricados não metálicos, dentre os quais estão os pinos de fibra vidro.
  • #5 Historicamente , os pinos foram usados pela primeira vez em 1770 com Pierre Fauchard que usou pinos de madeira no interior de um canal radicular para reter uma coroa. Na década de 1980, a melhor escolha técnica de reconstrução coronária do dente tratado endodonticamente recaiu sobre os pinos metálicos fundidos. Com o desenvolvimento de novos materiais, aliado à evolução dos sistemas adesivos, houve no mercado o lançamento de diversos tipos de pinos pré-fabricados não metálicos, dentre os quais estão os pinos de fibra vidro.
  • #6 Historicamente , os pinos foram usados pela primeira vez em 1770 com Pierre Fauchard que usou pinos de madeira no interior de um canal radicular para reter uma coroa. Na década de 1980, a melhor escolha técnica de reconstrução coronária do dente tratado endodonticamente recaiu sobre os pinos metálicos fundidos. Com o desenvolvimento de novos materiais, aliado à evolução dos sistemas adesivos, houve no mercado o lançamento de diversos tipos de pinos pré-fabricados não metálicos, dentre os quais estão os pinos de fibra vidro.
  • #7 Historicamente , os pinos foram usados pela primeira vez em 1770 com Pierre Fauchard que usou pinos de madeira no interior de um canal radicular para reter uma coroa. Na década de 1980, a melhor escolha técnica de reconstrução coronária do dente tratado endodonticamente recaiu sobre os pinos metálicos fundidos. Com o desenvolvimento de novos materiais, aliado à evolução dos sistemas adesivos, houve no mercado o lançamento de diversos tipos de pinos pré-fabricados não metálicos, dentre os quais estão os pinos de fibra vidro.
  • #8 Historicamente , os pinos foram usados pela primeira vez em 1770 com Pierre Fauchard que usou pinos de madeira no interior de um canal radicular para reter uma coroa. Na década de 1980, a melhor escolha técnica de reconstrução coronária do dente tratado endodonticamente recaiu sobre os pinos metálicos fundidos. Com o desenvolvimento de novos materiais, aliado à evolução dos sistemas adesivos, houve no mercado o lançamento de diversos tipos de pinos pré-fabricados não metálicos, dentre os quais estão os pinos de fibra vidro.
  • #9 Historicamente , os pinos foram usados pela primeira vez em 1770 com Pierre Fauchard que usou pinos de madeira no interior de um canal radicular para reter uma coroa. Na década de 1980, a melhor escolha técnica de reconstrução coronária do dente tratado endodonticamente recaiu sobre os pinos metálicos fundidos. Com o desenvolvimento de novos materiais, aliado à evolução dos sistemas adesivos, houve no mercado o lançamento de diversos tipos de pinos pré-fabricados não metálicos, dentre os quais estão os pinos de fibra vidro.
  • #10 Historicamente , os pinos foram usados pela primeira vez em 1770 com Pierre Fauchard que usou pinos de madeira no interior de um canal radicular para reter uma coroa. Na década de 1980, a melhor escolha técnica de reconstrução coronária do dente tratado endodonticamente recaiu sobre os pinos metálicos fundidos. Com o desenvolvimento de novos materiais, aliado à evolução dos sistemas adesivos, houve no mercado o lançamento de diversos tipos de pinos pré-fabricados não metálicos, dentre os quais estão os pinos de fibra vidro.
  • #11 Historicamente , os pinos foram usados pela primeira vez em 1770 com Pierre Fauchard que usou pinos de madeira no interior de um canal radicular para reter uma coroa. Na década de 1980, a melhor escolha técnica de reconstrução coronária do dente tratado endodonticamente recaiu sobre os pinos metálicos fundidos. Com o desenvolvimento de novos materiais, aliado à evolução dos sistemas adesivos, houve no mercado o lançamento de diversos tipos de pinos pré-fabricados não metálicos, dentre os quais estão os pinos de fibra vidro.
  • #12 Historicamente , os pinos foram usados pela primeira vez em 1770 com Pierre Fauchard que usou pinos de madeira no interior de um canal radicular para reter uma coroa. Na década de 1980, a melhor escolha técnica de reconstrução coronária do dente tratado endodonticamente recaiu sobre os pinos metálicos fundidos. Com o desenvolvimento de novos materiais, aliado à evolução dos sistemas adesivos, houve no mercado o lançamento de diversos tipos de pinos pré-fabricados não metálicos, dentre os quais estão os pinos de fibra vidro.
  • #13 Historicamente , os pinos foram usados pela primeira vez em 1770 com Pierre Fauchard que usou pinos de madeira no interior de um canal radicular para reter uma coroa. Na década de 1980, a melhor escolha técnica de reconstrução coronária do dente tratado endodonticamente recaiu sobre os pinos metálicos fundidos. Com o desenvolvimento de novos materiais, aliado à evolução dos sistemas adesivos, houve no mercado o lançamento de diversos tipos de pinos pré-fabricados não metálicos, dentre os quais estão os pinos de fibra vidro.
  • #14 Historicamente , os pinos foram usados pela primeira vez em 1770 com Pierre Fauchard que usou pinos de madeira no interior de um canal radicular para reter uma coroa. Na década de 1980, a melhor escolha técnica de reconstrução coronária do dente tratado endodonticamente recaiu sobre os pinos metálicos fundidos. Com o desenvolvimento de novos materiais, aliado à evolução dos sistemas adesivos, houve no mercado o lançamento de diversos tipos de pinos pré-fabricados não metálicos, dentre os quais estão os pinos de fibra vidro.
  • #15 Historicamente , os pinos foram usados pela primeira vez em 1770 com Pierre Fauchard que usou pinos de madeira no interior de um canal radicular para reter uma coroa. Na década de 1980, a melhor escolha técnica de reconstrução coronária do dente tratado endodonticamente recaiu sobre os pinos metálicos fundidos. Com o desenvolvimento de novos materiais, aliado à evolução dos sistemas adesivos, houve no mercado o lançamento de diversos tipos de pinos pré-fabricados não metálicos, dentre os quais estão os pinos de fibra vidro.
  • #16 Historicamente , os pinos foram usados pela primeira vez em 1770 com Pierre Fauchard que usou pinos de madeira no interior de um canal radicular para reter uma coroa. Na década de 1980, a melhor escolha técnica de reconstrução coronária do dente tratado endodonticamente recaiu sobre os pinos metálicos fundidos. Com o desenvolvimento de novos materiais, aliado à evolução dos sistemas adesivos, houve no mercado o lançamento de diversos tipos de pinos pré-fabricados não metálicos, dentre os quais estão os pinos de fibra vidro.
  • #17 Historicamente , os pinos foram usados pela primeira vez em 1770 com Pierre Fauchard que usou pinos de madeira no interior de um canal radicular para reter uma coroa. Na década de 1980, a melhor escolha técnica de reconstrução coronária do dente tratado endodonticamente recaiu sobre os pinos metálicos fundidos. Com o desenvolvimento de novos materiais, aliado à evolução dos sistemas adesivos, houve no mercado o lançamento de diversos tipos de pinos pré-fabricados não metálicos, dentre os quais estão os pinos de fibra vidro.
  • #18 Historicamente , os pinos foram usados pela primeira vez em 1770 com Pierre Fauchard que usou pinos de madeira no interior de um canal radicular para reter uma coroa. Na década de 1980, a melhor escolha técnica de reconstrução coronária do dente tratado endodonticamente recaiu sobre os pinos metálicos fundidos. Com o desenvolvimento de novos materiais, aliado à evolução dos sistemas adesivos, houve no mercado o lançamento de diversos tipos de pinos pré-fabricados não metálicos, dentre os quais estão os pinos de fibra vidro.
  • #19 Historicamente , os pinos foram usados pela primeira vez em 1770 com Pierre Fauchard que usou pinos de madeira no interior de um canal radicular para reter uma coroa. Na década de 1980, a melhor escolha técnica de reconstrução coronária do dente tratado endodonticamente recaiu sobre os pinos metálicos fundidos. Com o desenvolvimento de novos materiais, aliado à evolução dos sistemas adesivos, houve no mercado o lançamento de diversos tipos de pinos pré-fabricados não metálicos, dentre os quais estão os pinos de fibra vidro.
  • #20 Historicamente , os pinos foram usados pela primeira vez em 1770 com Pierre Fauchard que usou pinos de madeira no interior de um canal radicular para reter uma coroa. Na década de 1980, a melhor escolha técnica de reconstrução coronária do dente tratado endodonticamente recaiu sobre os pinos metálicos fundidos. Com o desenvolvimento de novos materiais, aliado à evolução dos sistemas adesivos, houve no mercado o lançamento de diversos tipos de pinos pré-fabricados não metálicos, dentre os quais estão os pinos de fibra vidro.
  • #21 Historicamente , os pinos foram usados pela primeira vez em 1770 com Pierre Fauchard que usou pinos de madeira no interior de um canal radicular para reter uma coroa. Na década de 1980, a melhor escolha técnica de reconstrução coronária do dente tratado endodonticamente recaiu sobre os pinos metálicos fundidos. Com o desenvolvimento de novos materiais, aliado à evolução dos sistemas adesivos, houve no mercado o lançamento de diversos tipos de pinos pré-fabricados não metálicos, dentre os quais estão os pinos de fibra vidro.
  • #22 Historicamente , os pinos foram usados pela primeira vez em 1770 com Pierre Fauchard que usou pinos de madeira no interior de um canal radicular para reter uma coroa. Na década de 1980, a melhor escolha técnica de reconstrução coronária do dente tratado endodonticamente recaiu sobre os pinos metálicos fundidos. Com o desenvolvimento de novos materiais, aliado à evolução dos sistemas adesivos, houve no mercado o lançamento de diversos tipos de pinos pré-fabricados não metálicos, dentre os quais estão os pinos de fibra vidro.
  • #23 Historicamente , os pinos foram usados pela primeira vez em 1770 com Pierre Fauchard que usou pinos de madeira no interior de um canal radicular para reter uma coroa. Na década de 1980, a melhor escolha técnica de reconstrução coronária do dente tratado endodonticamente recaiu sobre os pinos metálicos fundidos. Com o desenvolvimento de novos materiais, aliado à evolução dos sistemas adesivos, houve no mercado o lançamento de diversos tipos de pinos pré-fabricados não metálicos, dentre os quais estão os pinos de fibra vidro.
  • #24 Historicamente , os pinos foram usados pela primeira vez em 1770 com Pierre Fauchard que usou pinos de madeira no interior de um canal radicular para reter uma coroa. Na década de 1980, a melhor escolha técnica de reconstrução coronária do dente tratado endodonticamente recaiu sobre os pinos metálicos fundidos. Com o desenvolvimento de novos materiais, aliado à evolução dos sistemas adesivos, houve no mercado o lançamento de diversos tipos de pinos pré-fabricados não metálicos, dentre os quais estão os pinos de fibra vidro.
  • #25 Historicamente , os pinos foram usados pela primeira vez em 1770 com Pierre Fauchard que usou pinos de madeira no interior de um canal radicular para reter uma coroa. Na década de 1980, a melhor escolha técnica de reconstrução coronária do dente tratado endodonticamente recaiu sobre os pinos metálicos fundidos. Com o desenvolvimento de novos materiais, aliado à evolução dos sistemas adesivos, houve no mercado o lançamento de diversos tipos de pinos pré-fabricados não metálicos, dentre os quais estão os pinos de fibra vidro.
  • #26 Historicamente , os pinos foram usados pela primeira vez em 1770 com Pierre Fauchard que usou pinos de madeira no interior de um canal radicular para reter uma coroa. Na década de 1980, a melhor escolha técnica de reconstrução coronária do dente tratado endodonticamente recaiu sobre os pinos metálicos fundidos. Com o desenvolvimento de novos materiais, aliado à evolução dos sistemas adesivos, houve no mercado o lançamento de diversos tipos de pinos pré-fabricados não metálicos, dentre os quais estão os pinos de fibra vidro.
  • #27 Historicamente , os pinos foram usados pela primeira vez em 1770 com Pierre Fauchard que usou pinos de madeira no interior de um canal radicular para reter uma coroa. Na década de 1980, a melhor escolha técnica de reconstrução coronária do dente tratado endodonticamente recaiu sobre os pinos metálicos fundidos. Com o desenvolvimento de novos materiais, aliado à evolução dos sistemas adesivos, houve no mercado o lançamento de diversos tipos de pinos pré-fabricados não metálicos, dentre os quais estão os pinos de fibra vidro.
  • #28 Historicamente , os pinos foram usados pela primeira vez em 1770 com Pierre Fauchard que usou pinos de madeira no interior de um canal radicular para reter uma coroa. Na década de 1980, a melhor escolha técnica de reconstrução coronária do dente tratado endodonticamente recaiu sobre os pinos metálicos fundidos. Com o desenvolvimento de novos materiais, aliado à evolução dos sistemas adesivos, houve no mercado o lançamento de diversos tipos de pinos pré-fabricados não metálicos, dentre os quais estão os pinos de fibra vidro.
  • #29 Historicamente , os pinos foram usados pela primeira vez em 1770 com Pierre Fauchard que usou pinos de madeira no interior de um canal radicular para reter uma coroa. Na década de 1980, a melhor escolha técnica de reconstrução coronária do dente tratado endodonticamente recaiu sobre os pinos metálicos fundidos. Com o desenvolvimento de novos materiais, aliado à evolução dos sistemas adesivos, houve no mercado o lançamento de diversos tipos de pinos pré-fabricados não metálicos, dentre os quais estão os pinos de fibra vidro.
  • #30 Historicamente , os pinos foram usados pela primeira vez em 1770 com Pierre Fauchard que usou pinos de madeira no interior de um canal radicular para reter uma coroa. Na década de 1980, a melhor escolha técnica de reconstrução coronária do dente tratado endodonticamente recaiu sobre os pinos metálicos fundidos. Com o desenvolvimento de novos materiais, aliado à evolução dos sistemas adesivos, houve no mercado o lançamento de diversos tipos de pinos pré-fabricados não metálicos, dentre os quais estão os pinos de fibra vidro.
  • #32 Historicamente , os pinos foram usados pela primeira vez em 1770 com Pierre Fauchard que usou pinos de madeira no interior de um canal radicular para reter uma coroa. Na década de 1980, a melhor escolha técnica de reconstrução coronária do dente tratado endodonticamente recaiu sobre os pinos metálicos fundidos. Com o desenvolvimento de novos materiais, aliado à evolução dos sistemas adesivos, houve no mercado o lançamento de diversos tipos de pinos pré-fabricados não metálicos, dentre os quais estão os pinos de fibra vidro.
  • #33 Historicamente , os pinos foram usados pela primeira vez em 1770 com Pierre Fauchard que usou pinos de madeira no interior de um canal radicular para reter uma coroa. Na década de 1980, a melhor escolha técnica de reconstrução coronária do dente tratado endodonticamente recaiu sobre os pinos metálicos fundidos. Com o desenvolvimento de novos materiais, aliado à evolução dos sistemas adesivos, houve no mercado o lançamento de diversos tipos de pinos pré-fabricados não metálicos, dentre os quais estão os pinos de fibra vidro.
  • #35 Historicamente , os pinos foram usados pela primeira vez em 1770 com Pierre Fauchard que usou pinos de madeira no interior de um canal radicular para reter uma coroa. Na década de 1980, a melhor escolha técnica de reconstrução coronária do dente tratado endodonticamente recaiu sobre os pinos metálicos fundidos. Com o desenvolvimento de novos materiais, aliado à evolução dos sistemas adesivos, houve no mercado o lançamento de diversos tipos de pinos pré-fabricados não metálicos, dentre os quais estão os pinos de fibra vidro.
  • #36 Historicamente , os pinos foram usados pela primeira vez em 1770 com Pierre Fauchard que usou pinos de madeira no interior de um canal radicular para reter uma coroa. Na década de 1980, a melhor escolha técnica de reconstrução coronária do dente tratado endodonticamente recaiu sobre os pinos metálicos fundidos. Com o desenvolvimento de novos materiais, aliado à evolução dos sistemas adesivos, houve no mercado o lançamento de diversos tipos de pinos pré-fabricados não metálicos, dentre os quais estão os pinos de fibra vidro.
  • #37 Historicamente , os pinos foram usados pela primeira vez em 1770 com Pierre Fauchard que usou pinos de madeira no interior de um canal radicular para reter uma coroa. Na década de 1980, a melhor escolha técnica de reconstrução coronária do dente tratado endodonticamente recaiu sobre os pinos metálicos fundidos. Com o desenvolvimento de novos materiais, aliado à evolução dos sistemas adesivos, houve no mercado o lançamento de diversos tipos de pinos pré-fabricados não metálicos, dentre os quais estão os pinos de fibra vidro.
  • #38 Historicamente , os pinos foram usados pela primeira vez em 1770 com Pierre Fauchard que usou pinos de madeira no interior de um canal radicular para reter uma coroa. Na década de 1980, a melhor escolha técnica de reconstrução coronária do dente tratado endodonticamente recaiu sobre os pinos metálicos fundidos. Com o desenvolvimento de novos materiais, aliado à evolução dos sistemas adesivos, houve no mercado o lançamento de diversos tipos de pinos pré-fabricados não metálicos, dentre os quais estão os pinos de fibra vidro.
  • #39 Historicamente , os pinos foram usados pela primeira vez em 1770 com Pierre Fauchard que usou pinos de madeira no interior de um canal radicular para reter uma coroa. Na década de 1980, a melhor escolha técnica de reconstrução coronária do dente tratado endodonticamente recaiu sobre os pinos metálicos fundidos. Com o desenvolvimento de novos materiais, aliado à evolução dos sistemas adesivos, houve no mercado o lançamento de diversos tipos de pinos pré-fabricados não metálicos, dentre os quais estão os pinos de fibra vidro.
  • #40 Historicamente , os pinos foram usados pela primeira vez em 1770 com Pierre Fauchard que usou pinos de madeira no interior de um canal radicular para reter uma coroa. Na década de 1980, a melhor escolha técnica de reconstrução coronária do dente tratado endodonticamente recaiu sobre os pinos metálicos fundidos. Com o desenvolvimento de novos materiais, aliado à evolução dos sistemas adesivos, houve no mercado o lançamento de diversos tipos de pinos pré-fabricados não metálicos, dentre os quais estão os pinos de fibra vidro.
  • #41 Historicamente , os pinos foram usados pela primeira vez em 1770 com Pierre Fauchard que usou pinos de madeira no interior de um canal radicular para reter uma coroa. Na década de 1980, a melhor escolha técnica de reconstrução coronária do dente tratado endodonticamente recaiu sobre os pinos metálicos fundidos. Com o desenvolvimento de novos materiais, aliado à evolução dos sistemas adesivos, houve no mercado o lançamento de diversos tipos de pinos pré-fabricados não metálicos, dentre os quais estão os pinos de fibra vidro.
  • #42 Historicamente , os pinos foram usados pela primeira vez em 1770 com Pierre Fauchard que usou pinos de madeira no interior de um canal radicular para reter uma coroa. Na década de 1980, a melhor escolha técnica de reconstrução coronária do dente tratado endodonticamente recaiu sobre os pinos metálicos fundidos. Com o desenvolvimento de novos materiais, aliado à evolução dos sistemas adesivos, houve no mercado o lançamento de diversos tipos de pinos pré-fabricados não metálicos, dentre os quais estão os pinos de fibra vidro.
  • #43 Historicamente , os pinos foram usados pela primeira vez em 1770 com Pierre Fauchard que usou pinos de madeira no interior de um canal radicular para reter uma coroa. Na década de 1980, a melhor escolha técnica de reconstrução coronária do dente tratado endodonticamente recaiu sobre os pinos metálicos fundidos. Com o desenvolvimento de novos materiais, aliado à evolução dos sistemas adesivos, houve no mercado o lançamento de diversos tipos de pinos pré-fabricados não metálicos, dentre os quais estão os pinos de fibra vidro.
  • #44 Historicamente , os pinos foram usados pela primeira vez em 1770 com Pierre Fauchard que usou pinos de madeira no interior de um canal radicular para reter uma coroa. Na década de 1980, a melhor escolha técnica de reconstrução coronária do dente tratado endodonticamente recaiu sobre os pinos metálicos fundidos. Com o desenvolvimento de novos materiais, aliado à evolução dos sistemas adesivos, houve no mercado o lançamento de diversos tipos de pinos pré-fabricados não metálicos, dentre os quais estão os pinos de fibra vidro.
  • #45 Historicamente , os pinos foram usados pela primeira vez em 1770 com Pierre Fauchard que usou pinos de madeira no interior de um canal radicular para reter uma coroa. Na década de 1980, a melhor escolha técnica de reconstrução coronária do dente tratado endodonticamente recaiu sobre os pinos metálicos fundidos. Com o desenvolvimento de novos materiais, aliado à evolução dos sistemas adesivos, houve no mercado o lançamento de diversos tipos de pinos pré-fabricados não metálicos, dentre os quais estão os pinos de fibra vidro.
  • #46 Historicamente , os pinos foram usados pela primeira vez em 1770 com Pierre Fauchard que usou pinos de madeira no interior de um canal radicular para reter uma coroa. Na década de 1980, a melhor escolha técnica de reconstrução coronária do dente tratado endodonticamente recaiu sobre os pinos metálicos fundidos. Com o desenvolvimento de novos materiais, aliado à evolução dos sistemas adesivos, houve no mercado o lançamento de diversos tipos de pinos pré-fabricados não metálicos, dentre os quais estão os pinos de fibra vidro.
  • #47 Historicamente , os pinos foram usados pela primeira vez em 1770 com Pierre Fauchard que usou pinos de madeira no interior de um canal radicular para reter uma coroa. Na década de 1980, a melhor escolha técnica de reconstrução coronária do dente tratado endodonticamente recaiu sobre os pinos metálicos fundidos. Com o desenvolvimento de novos materiais, aliado à evolução dos sistemas adesivos, houve no mercado o lançamento de diversos tipos de pinos pré-fabricados não metálicos, dentre os quais estão os pinos de fibra vidro.
  • #48 Historicamente , os pinos foram usados pela primeira vez em 1770 com Pierre Fauchard que usou pinos de madeira no interior de um canal radicular para reter uma coroa. Na década de 1980, a melhor escolha técnica de reconstrução coronária do dente tratado endodonticamente recaiu sobre os pinos metálicos fundidos. Com o desenvolvimento de novos materiais, aliado à evolução dos sistemas adesivos, houve no mercado o lançamento de diversos tipos de pinos pré-fabricados não metálicos, dentre os quais estão os pinos de fibra vidro.
  • #49 Historicamente , os pinos foram usados pela primeira vez em 1770 com Pierre Fauchard que usou pinos de madeira no interior de um canal radicular para reter uma coroa. Na década de 1980, a melhor escolha técnica de reconstrução coronária do dente tratado endodonticamente recaiu sobre os pinos metálicos fundidos. Com o desenvolvimento de novos materiais, aliado à evolução dos sistemas adesivos, houve no mercado o lançamento de diversos tipos de pinos pré-fabricados não metálicos, dentre os quais estão os pinos de fibra vidro.
  • #50 Historicamente , os pinos foram usados pela primeira vez em 1770 com Pierre Fauchard que usou pinos de madeira no interior de um canal radicular para reter uma coroa. Na década de 1980, a melhor escolha técnica de reconstrução coronária do dente tratado endodonticamente recaiu sobre os pinos metálicos fundidos. Com o desenvolvimento de novos materiais, aliado à evolução dos sistemas adesivos, houve no mercado o lançamento de diversos tipos de pinos pré-fabricados não metálicos, dentre os quais estão os pinos de fibra vidro.
  • #51 Historicamente , os pinos foram usados pela primeira vez em 1770 com Pierre Fauchard que usou pinos de madeira no interior de um canal radicular para reter uma coroa. Na década de 1980, a melhor escolha técnica de reconstrução coronária do dente tratado endodonticamente recaiu sobre os pinos metálicos fundidos. Com o desenvolvimento de novos materiais, aliado à evolução dos sistemas adesivos, houve no mercado o lançamento de diversos tipos de pinos pré-fabricados não metálicos, dentre os quais estão os pinos de fibra vidro.
  • #52 Historicamente , os pinos foram usados pela primeira vez em 1770 com Pierre Fauchard que usou pinos de madeira no interior de um canal radicular para reter uma coroa. Na década de 1980, a melhor escolha técnica de reconstrução coronária do dente tratado endodonticamente recaiu sobre os pinos metálicos fundidos. Com o desenvolvimento de novos materiais, aliado à evolução dos sistemas adesivos, houve no mercado o lançamento de diversos tipos de pinos pré-fabricados não metálicos, dentre os quais estão os pinos de fibra vidro.
  • #53 Historicamente , os pinos foram usados pela primeira vez em 1770 com Pierre Fauchard que usou pinos de madeira no interior de um canal radicular para reter uma coroa. Na década de 1980, a melhor escolha técnica de reconstrução coronária do dente tratado endodonticamente recaiu sobre os pinos metálicos fundidos. Com o desenvolvimento de novos materiais, aliado à evolução dos sistemas adesivos, houve no mercado o lançamento de diversos tipos de pinos pré-fabricados não metálicos, dentre os quais estão os pinos de fibra vidro.
  • #54 Historicamente , os pinos foram usados pela primeira vez em 1770 com Pierre Fauchard que usou pinos de madeira no interior de um canal radicular para reter uma coroa. Na década de 1980, a melhor escolha técnica de reconstrução coronária do dente tratado endodonticamente recaiu sobre os pinos metálicos fundidos. Com o desenvolvimento de novos materiais, aliado à evolução dos sistemas adesivos, houve no mercado o lançamento de diversos tipos de pinos pré-fabricados não metálicos, dentre os quais estão os pinos de fibra vidro.
  • #55 Historicamente , os pinos foram usados pela primeira vez em 1770 com Pierre Fauchard que usou pinos de madeira no interior de um canal radicular para reter uma coroa. Na década de 1980, a melhor escolha técnica de reconstrução coronária do dente tratado endodonticamente recaiu sobre os pinos metálicos fundidos. Com o desenvolvimento de novos materiais, aliado à evolução dos sistemas adesivos, houve no mercado o lançamento de diversos tipos de pinos pré-fabricados não metálicos, dentre os quais estão os pinos de fibra vidro.
  • #56 Historicamente , os pinos foram usados pela primeira vez em 1770 com Pierre Fauchard que usou pinos de madeira no interior de um canal radicular para reter uma coroa. Na década de 1980, a melhor escolha técnica de reconstrução coronária do dente tratado endodonticamente recaiu sobre os pinos metálicos fundidos. Com o desenvolvimento de novos materiais, aliado à evolução dos sistemas adesivos, houve no mercado o lançamento de diversos tipos de pinos pré-fabricados não metálicos, dentre os quais estão os pinos de fibra vidro.
  • #57 Historicamente , os pinos foram usados pela primeira vez em 1770 com Pierre Fauchard que usou pinos de madeira no interior de um canal radicular para reter uma coroa. Na década de 1980, a melhor escolha técnica de reconstrução coronária do dente tratado endodonticamente recaiu sobre os pinos metálicos fundidos. Com o desenvolvimento de novos materiais, aliado à evolução dos sistemas adesivos, houve no mercado o lançamento de diversos tipos de pinos pré-fabricados não metálicos, dentre os quais estão os pinos de fibra vidro.
  • #58 Historicamente , os pinos foram usados pela primeira vez em 1770 com Pierre Fauchard que usou pinos de madeira no interior de um canal radicular para reter uma coroa. Na década de 1980, a melhor escolha técnica de reconstrução coronária do dente tratado endodonticamente recaiu sobre os pinos metálicos fundidos. Com o desenvolvimento de novos materiais, aliado à evolução dos sistemas adesivos, houve no mercado o lançamento de diversos tipos de pinos pré-fabricados não metálicos, dentre os quais estão os pinos de fibra vidro.
  • #59 Historicamente , os pinos foram usados pela primeira vez em 1770 com Pierre Fauchard que usou pinos de madeira no interior de um canal radicular para reter uma coroa. Na década de 1980, a melhor escolha técnica de reconstrução coronária do dente tratado endodonticamente recaiu sobre os pinos metálicos fundidos. Com o desenvolvimento de novos materiais, aliado à evolução dos sistemas adesivos, houve no mercado o lançamento de diversos tipos de pinos pré-fabricados não metálicos, dentre os quais estão os pinos de fibra vidro.
  • #60 Historicamente , os pinos foram usados pela primeira vez em 1770 com Pierre Fauchard que usou pinos de madeira no interior de um canal radicular para reter uma coroa. Na década de 1980, a melhor escolha técnica de reconstrução coronária do dente tratado endodonticamente recaiu sobre os pinos metálicos fundidos. Com o desenvolvimento de novos materiais, aliado à evolução dos sistemas adesivos, houve no mercado o lançamento de diversos tipos de pinos pré-fabricados não metálicos, dentre os quais estão os pinos de fibra vidro.
  • #61 Historicamente , os pinos foram usados pela primeira vez em 1770 com Pierre Fauchard que usou pinos de madeira no interior de um canal radicular para reter uma coroa. Na década de 1980, a melhor escolha técnica de reconstrução coronária do dente tratado endodonticamente recaiu sobre os pinos metálicos fundidos. Com o desenvolvimento de novos materiais, aliado à evolução dos sistemas adesivos, houve no mercado o lançamento de diversos tipos de pinos pré-fabricados não metálicos, dentre os quais estão os pinos de fibra vidro.
  • #62 Historicamente , os pinos foram usados pela primeira vez em 1770 com Pierre Fauchard que usou pinos de madeira no interior de um canal radicular para reter uma coroa. Na década de 1980, a melhor escolha técnica de reconstrução coronária do dente tratado endodonticamente recaiu sobre os pinos metálicos fundidos. Com o desenvolvimento de novos materiais, aliado à evolução dos sistemas adesivos, houve no mercado o lançamento de diversos tipos de pinos pré-fabricados não metálicos, dentre os quais estão os pinos de fibra vidro.
  • #63 Historicamente , os pinos foram usados pela primeira vez em 1770 com Pierre Fauchard que usou pinos de madeira no interior de um canal radicular para reter uma coroa. Na década de 1980, a melhor escolha técnica de reconstrução coronária do dente tratado endodonticamente recaiu sobre os pinos metálicos fundidos. Com o desenvolvimento de novos materiais, aliado à evolução dos sistemas adesivos, houve no mercado o lançamento de diversos tipos de pinos pré-fabricados não metálicos, dentre os quais estão os pinos de fibra vidro.
  • #64 Historicamente , os pinos foram usados pela primeira vez em 1770 com Pierre Fauchard que usou pinos de madeira no interior de um canal radicular para reter uma coroa. Na década de 1980, a melhor escolha técnica de reconstrução coronária do dente tratado endodonticamente recaiu sobre os pinos metálicos fundidos. Com o desenvolvimento de novos materiais, aliado à evolução dos sistemas adesivos, houve no mercado o lançamento de diversos tipos de pinos pré-fabricados não metálicos, dentre os quais estão os pinos de fibra vidro.
  • #65 Historicamente , os pinos foram usados pela primeira vez em 1770 com Pierre Fauchard que usou pinos de madeira no interior de um canal radicular para reter uma coroa. Na década de 1980, a melhor escolha técnica de reconstrução coronária do dente tratado endodonticamente recaiu sobre os pinos metálicos fundidos. Com o desenvolvimento de novos materiais, aliado à evolução dos sistemas adesivos, houve no mercado o lançamento de diversos tipos de pinos pré-fabricados não metálicos, dentre os quais estão os pinos de fibra vidro.
  • #66 Historicamente , os pinos foram usados pela primeira vez em 1770 com Pierre Fauchard que usou pinos de madeira no interior de um canal radicular para reter uma coroa. Na década de 1980, a melhor escolha técnica de reconstrução coronária do dente tratado endodonticamente recaiu sobre os pinos metálicos fundidos. Com o desenvolvimento de novos materiais, aliado à evolução dos sistemas adesivos, houve no mercado o lançamento de diversos tipos de pinos pré-fabricados não metálicos, dentre os quais estão os pinos de fibra vidro.
  • #67 Historicamente , os pinos foram usados pela primeira vez em 1770 com Pierre Fauchard que usou pinos de madeira no interior de um canal radicular para reter uma coroa. Na década de 1980, a melhor escolha técnica de reconstrução coronária do dente tratado endodonticamente recaiu sobre os pinos metálicos fundidos. Com o desenvolvimento de novos materiais, aliado à evolução dos sistemas adesivos, houve no mercado o lançamento de diversos tipos de pinos pré-fabricados não metálicos, dentre os quais estão os pinos de fibra vidro.
  • #68 Historicamente , os pinos foram usados pela primeira vez em 1770 com Pierre Fauchard que usou pinos de madeira no interior de um canal radicular para reter uma coroa. Na década de 1980, a melhor escolha técnica de reconstrução coronária do dente tratado endodonticamente recaiu sobre os pinos metálicos fundidos. Com o desenvolvimento de novos materiais, aliado à evolução dos sistemas adesivos, houve no mercado o lançamento de diversos tipos de pinos pré-fabricados não metálicos, dentre os quais estão os pinos de fibra vidro.
  • #69 Historicamente , os pinos foram usados pela primeira vez em 1770 com Pierre Fauchard que usou pinos de madeira no interior de um canal radicular para reter uma coroa. Na década de 1980, a melhor escolha técnica de reconstrução coronária do dente tratado endodonticamente recaiu sobre os pinos metálicos fundidos. Com o desenvolvimento de novos materiais, aliado à evolução dos sistemas adesivos, houve no mercado o lançamento de diversos tipos de pinos pré-fabricados não metálicos, dentre os quais estão os pinos de fibra vidro.
  • #70 Historicamente , os pinos foram usados pela primeira vez em 1770 com Pierre Fauchard que usou pinos de madeira no interior de um canal radicular para reter uma coroa. Na década de 1980, a melhor escolha técnica de reconstrução coronária do dente tratado endodonticamente recaiu sobre os pinos metálicos fundidos. Com o desenvolvimento de novos materiais, aliado à evolução dos sistemas adesivos, houve no mercado o lançamento de diversos tipos de pinos pré-fabricados não metálicos, dentre os quais estão os pinos de fibra vidro.
  • #71 Historicamente , os pinos foram usados pela primeira vez em 1770 com Pierre Fauchard que usou pinos de madeira no interior de um canal radicular para reter uma coroa. Na década de 1980, a melhor escolha técnica de reconstrução coronária do dente tratado endodonticamente recaiu sobre os pinos metálicos fundidos. Com o desenvolvimento de novos materiais, aliado à evolução dos sistemas adesivos, houve no mercado o lançamento de diversos tipos de pinos pré-fabricados não metálicos, dentre os quais estão os pinos de fibra vidro.
  • #72 Historicamente , os pinos foram usados pela primeira vez em 1770 com Pierre Fauchard que usou pinos de madeira no interior de um canal radicular para reter uma coroa. Na década de 1980, a melhor escolha técnica de reconstrução coronária do dente tratado endodonticamente recaiu sobre os pinos metálicos fundidos. Com o desenvolvimento de novos materiais, aliado à evolução dos sistemas adesivos, houve no mercado o lançamento de diversos tipos de pinos pré-fabricados não metálicos, dentre os quais estão os pinos de fibra vidro.
  • #73 Historicamente , os pinos foram usados pela primeira vez em 1770 com Pierre Fauchard que usou pinos de madeira no interior de um canal radicular para reter uma coroa. Na década de 1980, a melhor escolha técnica de reconstrução coronária do dente tratado endodonticamente recaiu sobre os pinos metálicos fundidos. Com o desenvolvimento de novos materiais, aliado à evolução dos sistemas adesivos, houve no mercado o lançamento de diversos tipos de pinos pré-fabricados não metálicos, dentre os quais estão os pinos de fibra vidro.
  • #74 Historicamente , os pinos foram usados pela primeira vez em 1770 com Pierre Fauchard que usou pinos de madeira no interior de um canal radicular para reter uma coroa. Na década de 1980, a melhor escolha técnica de reconstrução coronária do dente tratado endodonticamente recaiu sobre os pinos metálicos fundidos. Com o desenvolvimento de novos materiais, aliado à evolução dos sistemas adesivos, houve no mercado o lançamento de diversos tipos de pinos pré-fabricados não metálicos, dentre os quais estão os pinos de fibra vidro.
  • #75 Historicamente , os pinos foram usados pela primeira vez em 1770 com Pierre Fauchard que usou pinos de madeira no interior de um canal radicular para reter uma coroa. Na década de 1980, a melhor escolha técnica de reconstrução coronária do dente tratado endodonticamente recaiu sobre os pinos metálicos fundidos. Com o desenvolvimento de novos materiais, aliado à evolução dos sistemas adesivos, houve no mercado o lançamento de diversos tipos de pinos pré-fabricados não metálicos, dentre os quais estão os pinos de fibra vidro.
  • #76 Historicamente , os pinos foram usados pela primeira vez em 1770 com Pierre Fauchard que usou pinos de madeira no interior de um canal radicular para reter uma coroa. Na década de 1980, a melhor escolha técnica de reconstrução coronária do dente tratado endodonticamente recaiu sobre os pinos metálicos fundidos. Com o desenvolvimento de novos materiais, aliado à evolução dos sistemas adesivos, houve no mercado o lançamento de diversos tipos de pinos pré-fabricados não metálicos, dentre os quais estão os pinos de fibra vidro.
  • #77 Historicamente , os pinos foram usados pela primeira vez em 1770 com Pierre Fauchard que usou pinos de madeira no interior de um canal radicular para reter uma coroa. Na década de 1980, a melhor escolha técnica de reconstrução coronária do dente tratado endodonticamente recaiu sobre os pinos metálicos fundidos. Com o desenvolvimento de novos materiais, aliado à evolução dos sistemas adesivos, houve no mercado o lançamento de diversos tipos de pinos pré-fabricados não metálicos, dentre os quais estão os pinos de fibra vidro.
  • #78 Historicamente , os pinos foram usados pela primeira vez em 1770 com Pierre Fauchard que usou pinos de madeira no interior de um canal radicular para reter uma coroa. Na década de 1980, a melhor escolha técnica de reconstrução coronária do dente tratado endodonticamente recaiu sobre os pinos metálicos fundidos. Com o desenvolvimento de novos materiais, aliado à evolução dos sistemas adesivos, houve no mercado o lançamento de diversos tipos de pinos pré-fabricados não metálicos, dentre os quais estão os pinos de fibra vidro.
  • #79 Historicamente , os pinos foram usados pela primeira vez em 1770 com Pierre Fauchard que usou pinos de madeira no interior de um canal radicular para reter uma coroa. Na década de 1980, a melhor escolha técnica de reconstrução coronária do dente tratado endodonticamente recaiu sobre os pinos metálicos fundidos. Com o desenvolvimento de novos materiais, aliado à evolução dos sistemas adesivos, houve no mercado o lançamento de diversos tipos de pinos pré-fabricados não metálicos, dentre os quais estão os pinos de fibra vidro.
  • #80 Historicamente , os pinos foram usados pela primeira vez em 1770 com Pierre Fauchard que usou pinos de madeira no interior de um canal radicular para reter uma coroa. Na década de 1980, a melhor escolha técnica de reconstrução coronária do dente tratado endodonticamente recaiu sobre os pinos metálicos fundidos. Com o desenvolvimento de novos materiais, aliado à evolução dos sistemas adesivos, houve no mercado o lançamento de diversos tipos de pinos pré-fabricados não metálicos, dentre os quais estão os pinos de fibra vidro.
  • #81 Historicamente , os pinos foram usados pela primeira vez em 1770 com Pierre Fauchard que usou pinos de madeira no interior de um canal radicular para reter uma coroa. Na década de 1980, a melhor escolha técnica de reconstrução coronária do dente tratado endodonticamente recaiu sobre os pinos metálicos fundidos. Com o desenvolvimento de novos materiais, aliado à evolução dos sistemas adesivos, houve no mercado o lançamento de diversos tipos de pinos pré-fabricados não metálicos, dentre os quais estão os pinos de fibra vidro.
  • #82 Historicamente , os pinos foram usados pela primeira vez em 1770 com Pierre Fauchard que usou pinos de madeira no interior de um canal radicular para reter uma coroa. Na década de 1980, a melhor escolha técnica de reconstrução coronária do dente tratado endodonticamente recaiu sobre os pinos metálicos fundidos. Com o desenvolvimento de novos materiais, aliado à evolução dos sistemas adesivos, houve no mercado o lançamento de diversos tipos de pinos pré-fabricados não metálicos, dentre os quais estão os pinos de fibra vidro.
  • #83 Historicamente , os pinos foram usados pela primeira vez em 1770 com Pierre Fauchard que usou pinos de madeira no interior de um canal radicular para reter uma coroa. Na década de 1980, a melhor escolha técnica de reconstrução coronária do dente tratado endodonticamente recaiu sobre os pinos metálicos fundidos. Com o desenvolvimento de novos materiais, aliado à evolução dos sistemas adesivos, houve no mercado o lançamento de diversos tipos de pinos pré-fabricados não metálicos, dentre os quais estão os pinos de fibra vidro.
  • #84 Historicamente , os pinos foram usados pela primeira vez em 1770 com Pierre Fauchard que usou pinos de madeira no interior de um canal radicular para reter uma coroa. Na década de 1980, a melhor escolha técnica de reconstrução coronária do dente tratado endodonticamente recaiu sobre os pinos metálicos fundidos. Com o desenvolvimento de novos materiais, aliado à evolução dos sistemas adesivos, houve no mercado o lançamento de diversos tipos de pinos pré-fabricados não metálicos, dentre os quais estão os pinos de fibra vidro.
  • #85 Historicamente , os pinos foram usados pela primeira vez em 1770 com Pierre Fauchard que usou pinos de madeira no interior de um canal radicular para reter uma coroa. Na década de 1980, a melhor escolha técnica de reconstrução coronária do dente tratado endodonticamente recaiu sobre os pinos metálicos fundidos. Com o desenvolvimento de novos materiais, aliado à evolução dos sistemas adesivos, houve no mercado o lançamento de diversos tipos de pinos pré-fabricados não metálicos, dentre os quais estão os pinos de fibra vidro.
  • #86 Historicamente , os pinos foram usados pela primeira vez em 1770 com Pierre Fauchard que usou pinos de madeira no interior de um canal radicular para reter uma coroa. Na década de 1980, a melhor escolha técnica de reconstrução coronária do dente tratado endodonticamente recaiu sobre os pinos metálicos fundidos. Com o desenvolvimento de novos materiais, aliado à evolução dos sistemas adesivos, houve no mercado o lançamento de diversos tipos de pinos pré-fabricados não metálicos, dentre os quais estão os pinos de fibra vidro.
  • #87 Historicamente , os pinos foram usados pela primeira vez em 1770 com Pierre Fauchard que usou pinos de madeira no interior de um canal radicular para reter uma coroa. Na década de 1980, a melhor escolha técnica de reconstrução coronária do dente tratado endodonticamente recaiu sobre os pinos metálicos fundidos. Com o desenvolvimento de novos materiais, aliado à evolução dos sistemas adesivos, houve no mercado o lançamento de diversos tipos de pinos pré-fabricados não metálicos, dentre os quais estão os pinos de fibra vidro.
  • #88 Historicamente , os pinos foram usados pela primeira vez em 1770 com Pierre Fauchard que usou pinos de madeira no interior de um canal radicular para reter uma coroa. Na década de 1980, a melhor escolha técnica de reconstrução coronária do dente tratado endodonticamente recaiu sobre os pinos metálicos fundidos. Com o desenvolvimento de novos materiais, aliado à evolução dos sistemas adesivos, houve no mercado o lançamento de diversos tipos de pinos pré-fabricados não metálicos, dentre os quais estão os pinos de fibra vidro.
  • #89 Historicamente , os pinos foram usados pela primeira vez em 1770 com Pierre Fauchard que usou pinos de madeira no interior de um canal radicular para reter uma coroa. Na década de 1980, a melhor escolha técnica de reconstrução coronária do dente tratado endodonticamente recaiu sobre os pinos metálicos fundidos. Com o desenvolvimento de novos materiais, aliado à evolução dos sistemas adesivos, houve no mercado o lançamento de diversos tipos de pinos pré-fabricados não metálicos, dentre os quais estão os pinos de fibra vidro.
  • #90 Historicamente , os pinos foram usados pela primeira vez em 1770 com Pierre Fauchard que usou pinos de madeira no interior de um canal radicular para reter uma coroa. Na década de 1980, a melhor escolha técnica de reconstrução coronária do dente tratado endodonticamente recaiu sobre os pinos metálicos fundidos. Com o desenvolvimento de novos materiais, aliado à evolução dos sistemas adesivos, houve no mercado o lançamento de diversos tipos de pinos pré-fabricados não metálicos, dentre os quais estão os pinos de fibra vidro.
  • #91 Historicamente , os pinos foram usados pela primeira vez em 1770 com Pierre Fauchard que usou pinos de madeira no interior de um canal radicular para reter uma coroa. Na década de 1980, a melhor escolha técnica de reconstrução coronária do dente tratado endodonticamente recaiu sobre os pinos metálicos fundidos. Com o desenvolvimento de novos materiais, aliado à evolução dos sistemas adesivos, houve no mercado o lançamento de diversos tipos de pinos pré-fabricados não metálicos, dentre os quais estão os pinos de fibra vidro.
  • #92 Historicamente , os pinos foram usados pela primeira vez em 1770 com Pierre Fauchard que usou pinos de madeira no interior de um canal radicular para reter uma coroa. Na década de 1980, a melhor escolha técnica de reconstrução coronária do dente tratado endodonticamente recaiu sobre os pinos metálicos fundidos. Com o desenvolvimento de novos materiais, aliado à evolução dos sistemas adesivos, houve no mercado o lançamento de diversos tipos de pinos pré-fabricados não metálicos, dentre os quais estão os pinos de fibra vidro.
  • #93 Historicamente , os pinos foram usados pela primeira vez em 1770 com Pierre Fauchard que usou pinos de madeira no interior de um canal radicular para reter uma coroa. Na década de 1980, a melhor escolha técnica de reconstrução coronária do dente tratado endodonticamente recaiu sobre os pinos metálicos fundidos. Com o desenvolvimento de novos materiais, aliado à evolução dos sistemas adesivos, houve no mercado o lançamento de diversos tipos de pinos pré-fabricados não metálicos, dentre os quais estão os pinos de fibra vidro.
  • #94 Historicamente , os pinos foram usados pela primeira vez em 1770 com Pierre Fauchard que usou pinos de madeira no interior de um canal radicular para reter uma coroa. Na década de 1980, a melhor escolha técnica de reconstrução coronária do dente tratado endodonticamente recaiu sobre os pinos metálicos fundidos. Com o desenvolvimento de novos materiais, aliado à evolução dos sistemas adesivos, houve no mercado o lançamento de diversos tipos de pinos pré-fabricados não metálicos, dentre os quais estão os pinos de fibra vidro.
  • #95 Historicamente , os pinos foram usados pela primeira vez em 1770 com Pierre Fauchard que usou pinos de madeira no interior de um canal radicular para reter uma coroa. Na década de 1980, a melhor escolha técnica de reconstrução coronária do dente tratado endodonticamente recaiu sobre os pinos metálicos fundidos. Com o desenvolvimento de novos materiais, aliado à evolução dos sistemas adesivos, houve no mercado o lançamento de diversos tipos de pinos pré-fabricados não metálicos, dentre os quais estão os pinos de fibra vidro.
  • #96 Historicamente , os pinos foram usados pela primeira vez em 1770 com Pierre Fauchard que usou pinos de madeira no interior de um canal radicular para reter uma coroa. Na década de 1980, a melhor escolha técnica de reconstrução coronária do dente tratado endodonticamente recaiu sobre os pinos metálicos fundidos. Com o desenvolvimento de novos materiais, aliado à evolução dos sistemas adesivos, houve no mercado o lançamento de diversos tipos de pinos pré-fabricados não metálicos, dentre os quais estão os pinos de fibra vidro.