Promoção da
Saúde Bucal
CB-EF GEIGISLAINE RIBEIRO RODRIGUES
Marinha do Brasil
Centro de Instrução Almirante Wandenkolk
Departamento de Saúde
TÓPICOS Promoção de Saúde Bucal
 Para que servem os dentes
 Limpeza Mecânica e Química
 Acompanhamento Profissional
 Alimentação Correta
 Perigoso para os dentes
 Inimigo dos Dentes
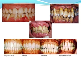
 Gengivite
 Placa Bacteriana
 O Tártaro
 Periodontite
 Fases da Periodontite
 Evidenciação de Placa Bacteriana
 Método
 Como escovar os dentes corretamente
 Escolher a escova dental corretamente
 Quantidade de creme dental
 Como passar o fio ou fita dental corretamente
Apresentação
• CURSO AUXILIAR DE PRAÇAS – CAP 2011
• BACHAREL EM ENFERMAGEM, FACULDADE DE ENFERMAGEM LUIZA
DE MARILLAC (SÃO CAMILO) – 2012
• CURSO TÉCNICA DE ADESTRAMENTO - 2013
• POS GRADUADA EM ENFERMAGEM DERMATOLÓGICA -
UNIVERSIDADE CELSO LISBOA - 2014
• UNIDADE MÉDICA NÍVEL II – MEDICINA OPERATIVA - 2014
Promoção de Saúde Bucal
Indolor;
Baixo custo;
Alcança diversos públicos alvos
(idade e condição sócio-econômica);
Fácil aplicação.
Para que servem os dentes ?
Triturar os alimentos;
Iniciar a digestão dos alimentos;
Auxiliar na fala e na comunicação;
Sorrir;
Ser feliz;
Limpeza Mecânica e Química
Acompanhamento
profissional
Dentista
Alimentação correta
Hábitos saudáveis (proteínas, minerais e vitaminas)
Perigoso para os dentes
Inimigos dos dentes
 Sujeira;
 Preguiça de escovar os
dentes;
 Dormir sem limpar a boca;
 Fugir do dentista;
 Comer bala ou doces toda
hora sem escovar os dentes;
Gengivite
É uma inflamação da gengiva - é o estágio inicial da
doença da gengiva e a mais fácil de ser tratada. A
causa direta da doença é a placa - uma película viscosa
e incolor de bactérias que se forma, de maneira
constante, nos dentes e na gengiva.
Se a placa não for removida pela escovação e uso de fio
dental diários, ela produz toxinas (ácidos) que irritam a
mucosa da gengiva causando a gengivite.
Neste estágio inicial da doença gengival, os danos podem ser
revertidos, uma vez que o osso e o tecido conjuntivo que
segura os dentes no lugar ainda não foram atingidos.
Entretanto, se a
gengivite não for
tratada, ela pode evoluir
para uma periodontite e
causar danos
permanentes aos
dentes.
Placa Bacteriana
 É uma película pegajosa e incolor,
constituída de bactérias e restos
alimentares que se forma sobre os
dentes.
 É a principal causa de cárie e
gengivite. Se não for removida
diariamente, endurece e forma o
tártaro.
Placa Bacteriana
O Tártaro
•O tártaro é uma formação do
depósito de placas bacterianas
que reagem quimicamente
com fosfato de cálcio da
saliva, originando uma camada
endurecida sobre os dentes.
•Deve ser removida pelo
dentista e pode ser prevenido
pela escovação e uso do fio
dental.
Periodontite
A periodontite é a inflamação que atinge os tecidos
periodontais, provocando a destruição desses, e do osso
alveolar, responsável pela fixação do dente.
Com sua evolução, há o amolecimento do dente
devido à perda óssea, ocasionando a perda do dente
(provocada pela presença do tártaro).
Fases da Periodontite
Evidenciação de Placa Bacteriana
•Facilita a visualização da placa bacteriana, permitindo melhor higiene bucal dos
pacientes.
• Auxilia na prevenção da cárie e no controle de doenças bucais, detectando a placa
dental na fase inicial.
Método
O paciente faz uso do evidenciador de placa bacteriana, seja na forma de
comprimido mastigável ou na forma de líquido.
A boca vai ficar, de forma geral, manchada de vermelho ou algum tom próximo
do vermelho.
Nos locais do dente que existe um acúmulo maior de placa bacteriana, as
manchas serão mais fortes e marcadas.
Esses locais, terão que ser submetidos ao tratamento de raspagem dental ou se
for um caso mais simples, somente com um bom hábito de limpeza, será
resolvido.
Um fator muito importante no uso do evidenciador de placa bacteriana é o fato
da possibilidade do aprendizado. Quando o evidenciador de placa é utilizado, se
tem em mente, que o fator principal é a educação. Ensinar para o paciente o que
está sendo feito de errado e novas técnica de limpeza dental.
Como escovar os dentes
corretamente?
 Remoção diária da placa bacteriana;
Escovar após as refeições;
Escovar antes de dormir;
Escolher a escova dental
corretamente
Quantidade de creme dental
45 graus
Movimentos vibratórios de pequena amplitude
03 dentes de cada vez
45 graus
Posição inclinada da escovaPosição inclinada da escova
Cuidado durante a escovação da língua
Não encostar na garganta
Perigo de causar ânsia de vomito
NÃO ESQUECER DE ESCOVAR A LÍNGUA!
Como passar o fio ou fita dental
corretamente ?
Pedaço de fio dental = 40 cm
Movimento de engraxar sapato
Coloca o fio dental entre os dentes
sem machucar a gengiva
Fio Dental em Condições Especiais
Passa-Fio Escovas Interdentarias
Dúvidas?
Perguntas?
OBRIGADA!!!

Saúde bucal

  • 1.
    Promoção da Saúde Bucal CB-EFGEIGISLAINE RIBEIRO RODRIGUES Marinha do Brasil Centro de Instrução Almirante Wandenkolk Departamento de Saúde
  • 2.
    TÓPICOS Promoção deSaúde Bucal  Para que servem os dentes  Limpeza Mecânica e Química  Acompanhamento Profissional  Alimentação Correta  Perigoso para os dentes  Inimigo dos Dentes  Gengivite  Placa Bacteriana  O Tártaro  Periodontite  Fases da Periodontite  Evidenciação de Placa Bacteriana  Método  Como escovar os dentes corretamente  Escolher a escova dental corretamente  Quantidade de creme dental  Como passar o fio ou fita dental corretamente
  • 3.
    Apresentação • CURSO AUXILIARDE PRAÇAS – CAP 2011 • BACHAREL EM ENFERMAGEM, FACULDADE DE ENFERMAGEM LUIZA DE MARILLAC (SÃO CAMILO) – 2012 • CURSO TÉCNICA DE ADESTRAMENTO - 2013 • POS GRADUADA EM ENFERMAGEM DERMATOLÓGICA - UNIVERSIDADE CELSO LISBOA - 2014 • UNIDADE MÉDICA NÍVEL II – MEDICINA OPERATIVA - 2014
  • 4.
    Promoção de SaúdeBucal Indolor; Baixo custo; Alcança diversos públicos alvos (idade e condição sócio-econômica); Fácil aplicação.
  • 5.
    Para que servemos dentes ? Triturar os alimentos; Iniciar a digestão dos alimentos; Auxiliar na fala e na comunicação; Sorrir; Ser feliz;
  • 6.
  • 7.
  • 8.
    Alimentação correta Hábitos saudáveis(proteínas, minerais e vitaminas)
  • 9.
  • 10.
    Inimigos dos dentes Sujeira;  Preguiça de escovar os dentes;  Dormir sem limpar a boca;  Fugir do dentista;  Comer bala ou doces toda hora sem escovar os dentes;
  • 11.
    Gengivite É uma inflamaçãoda gengiva - é o estágio inicial da doença da gengiva e a mais fácil de ser tratada. A causa direta da doença é a placa - uma película viscosa e incolor de bactérias que se forma, de maneira constante, nos dentes e na gengiva.
  • 12.
    Se a placanão for removida pela escovação e uso de fio dental diários, ela produz toxinas (ácidos) que irritam a mucosa da gengiva causando a gengivite.
  • 13.
    Neste estágio inicialda doença gengival, os danos podem ser revertidos, uma vez que o osso e o tecido conjuntivo que segura os dentes no lugar ainda não foram atingidos. Entretanto, se a gengivite não for tratada, ela pode evoluir para uma periodontite e causar danos permanentes aos dentes.
  • 15.
    Placa Bacteriana  Éuma película pegajosa e incolor, constituída de bactérias e restos alimentares que se forma sobre os dentes.  É a principal causa de cárie e gengivite. Se não for removida diariamente, endurece e forma o tártaro.
  • 16.
  • 17.
    O Tártaro •O tártaroé uma formação do depósito de placas bacterianas que reagem quimicamente com fosfato de cálcio da saliva, originando uma camada endurecida sobre os dentes. •Deve ser removida pelo dentista e pode ser prevenido pela escovação e uso do fio dental.
  • 18.
    Periodontite A periodontite éa inflamação que atinge os tecidos periodontais, provocando a destruição desses, e do osso alveolar, responsável pela fixação do dente. Com sua evolução, há o amolecimento do dente devido à perda óssea, ocasionando a perda do dente (provocada pela presença do tártaro).
  • 20.
  • 22.
    Evidenciação de PlacaBacteriana •Facilita a visualização da placa bacteriana, permitindo melhor higiene bucal dos pacientes. • Auxilia na prevenção da cárie e no controle de doenças bucais, detectando a placa dental na fase inicial.
  • 23.
    Método O paciente fazuso do evidenciador de placa bacteriana, seja na forma de comprimido mastigável ou na forma de líquido. A boca vai ficar, de forma geral, manchada de vermelho ou algum tom próximo do vermelho. Nos locais do dente que existe um acúmulo maior de placa bacteriana, as manchas serão mais fortes e marcadas. Esses locais, terão que ser submetidos ao tratamento de raspagem dental ou se for um caso mais simples, somente com um bom hábito de limpeza, será resolvido. Um fator muito importante no uso do evidenciador de placa bacteriana é o fato da possibilidade do aprendizado. Quando o evidenciador de placa é utilizado, se tem em mente, que o fator principal é a educação. Ensinar para o paciente o que está sendo feito de errado e novas técnica de limpeza dental.
  • 25.
    Como escovar osdentes corretamente?  Remoção diária da placa bacteriana; Escovar após as refeições; Escovar antes de dormir;
  • 27.
    Escolher a escovadental corretamente
  • 28.
  • 29.
  • 30.
    Movimentos vibratórios depequena amplitude 03 dentes de cada vez
  • 31.
  • 32.
    Posição inclinada daescovaPosição inclinada da escova
  • 33.
    Cuidado durante aescovação da língua Não encostar na garganta Perigo de causar ânsia de vomito NÃO ESQUECER DE ESCOVAR A LÍNGUA!
  • 34.
    Como passar ofio ou fita dental corretamente ? Pedaço de fio dental = 40 cm Movimento de engraxar sapato Coloca o fio dental entre os dentes sem machucar a gengiva
  • 35.
    Fio Dental emCondições Especiais Passa-Fio Escovas Interdentarias
  • 36.
  • 38.