Aorta torácica e seus ramos
Parte II: aneurismas e síndromes
          aórticas agudas
            29/03/2012
    MR3 ROBERTO CORRÊA
Aneurisma aórtico
Definição: dilatação localizada permanente da aorta
       1,5 vez superior ao diâmetro normal.
 Considera-se aneurismática a aorta com diâmetro
   superior a 40-50mm (ascendente) e 30-40mm
                   (descendente).
Causas mais frequentes: HAS e aterosclerose: 80%.
Aneurismas verdadeiros incluem todas camadas da
                       parede.
  Pseudoaneurisma: inflamatório ou traumático.
Aneurisma aórtico
   A maioria dos aneurismas tem configuração
    fusiforme (80%); os demais são saculares;
  Classificados quanto à localização e etiologia.
 O diagnóstico à angiotomografia é inequívoco,
    demonstrado pelo aumento do diâmetro;
Outros achados: trombo, calcificação e ulceração.
Aneurisma aterosclerótico
     Representam a maioria dos aneurismas;
           Mais comum em homens;
       Associado: HAS, DAC, DPOC e ICC;
           Tendência a ser fusiforme;
      Segmento descendente e infrarrenal;
Concomitância de aneurisma abdominal quando há
        aneurisma na descendente: 29%.
Aneurisma aterosclerótico
 Cerca de 90% dos aneurismas abdominais são
infrarrenais, sendo comum o envolvimento das
             ilíacas e hipogástricas;
O envolvimento das ilíacas externas é incomum;
 Aneurisma da aorta suprarrenal é incomum.
Aneurisma aterosclerótico
   Os aneurismas da aorta torácica e abdominal são
     classificados de acordo com a classificação de
                        Crawford
  I – Compromete toda a extensão da aorta torácica
       descendente e porção da aorta abdominal
 II – Compromete toda a extensão da aorta torácica
         descendente e toda a aorta abdominal
   III – Compromete a porção média distal da aorta
    torácica descendente e segmentos variados ou
                 toda a aorta abdominal.
IV – Compromete toda ou parte da aorta abdominal.
    Não compromete a aorta torácica descendente.
• Haaga JR, Dogra VS, Forsting M, et al. TC e RM uma abordagem do corpo humano completa. Editora Mosby-Elsevier, 2009 ..
• Haaga JR, Dogra VS, Forsting M, et al. TC e RM uma abordagem do corpo humano completa. Editora Mosby-Elsevier, 2009




                 Haaga JR, Dogra VS, Forsting M, et al. TC e RM uma abordagem do corpo humano completa. Editora Mosby-Elsevier, 2009.
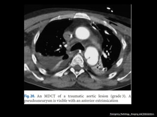
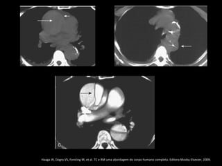
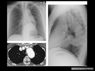
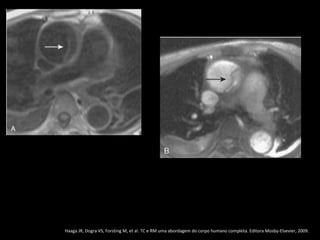
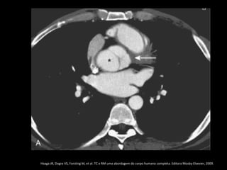
Pseudoaneurisma pós-traumáticos
    Segundo tipo mais comum de aneurismas,
envolvendo a aorta torácica e a principal causa de
             aneurismas em jovens.
              Configuração sacular;
   Resultam de transecção parcial da parede e
      apresentam expansão com o tempo;
O istmo aórtico é o principal segmento envolvido
          em cerca de 90% dos casos;
      Pseudoaneurismas pós-operatórios.
RM: T1 com gadolínio.




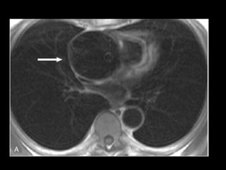
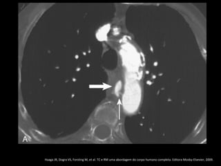
                                            Pseudoaneurisma crônico


                Haaga JR, Dogra VS, Forsting M, et al. TC e RM uma abordagem do corpo humano completa. Editora Mosby-Elsevier, 2009.
Trauma torácico: coice de um cavalo




Haaga JR, Dogra VS, Forsting M, et al. TC e RM uma abordagem do corpo humano completa. Editora Mosby-Elsevier, 2009.
História remota de acidente automotor




Haaga JR, Dogra VS, Forsting M, et al. TC e RM uma abordagem do corpo humano completa. Editora Mosby-Elsevier, 2009.
Ectasia anuloaórtica
 Caracterizada pela dilatação do seio de Valsalva
com distorção da junção sinotubular que assume
        configuração em forma de pera;
Causas: MARFAN, homocistinúria, Ehlers-Danlos e
             osteogênese imperfeita;
           Idiopática em 1/3 dos casos;
Ectasia anuloaórtica
                       Marfan:
   •Doença multissistêmica do tecido conjuntivo;
         • Afeta igualmente ambos os sexos;
     • Manifestações CV, SNC, Pulmonares, etc;
• CV: ectasia anuloaórtica, com ou sem insuficiência
da valva aórtica, dissecção, aneurisma, dilatação da
              artéria pulmonar e PVM.
Haaga JR, Dogra VS, Forsting M, et al. TC e RM uma abordagem do corpo humano completa. Editora Mosby-Elsevier, 2009.
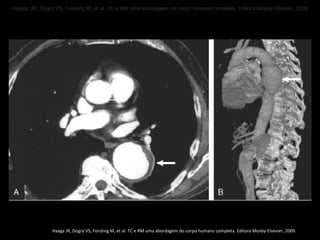
Complicações do aneurisma aórtico
        Ruptura é a complicação mais grave;
        Taxas de mortalidade entre 70-94%;
      Mortalidade no tratamento eletivo: 4%;
    Sinais de ruptura: descontinuidade de uma
calcificação circunferencial, presença de crescente
  periférico com densidade aumentada, parede
posterior indistinta e extravazamento de meio de
                     contraste;
Complicações do aneurisma aórtico
O sinal do crescente hiperdenso na parede da aorta
 representa hematoma agudo com sangue contido
        no interior do trombo do aneurisma;
   Diagnosticado melhor na fase sem contraste;
      Ruptura da aorta: infiltração da gordura
mediastinal, hemomediastino, hemopericárdio ou
                     hemotórax;
  Formação de fístula: 3ª. Porção do duodeno é o
  segmento mais afetado (fístula aortoentérica);
Sinal do crescente hiperdenso




                 http://emedicine.medscape.com/article/416776-overview#a20
• Haaga JR, Dogra VS, Forsting M, et al. TC e RM uma abordagem do corpo humano completa. Editora Mosby-Elsevier, 2009 .




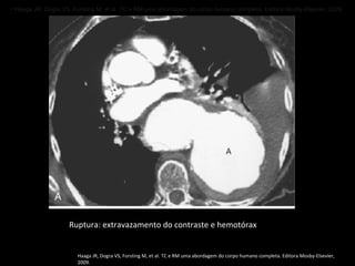
                    Ruptura: extravazamento do contraste e hemotórax


                       Haaga JR, Dogra VS, Forsting M, et al. TC e RM uma abordagem do corpo humano completa. Editora Mosby-Elsevier,
                       2009.
Haaga JR, Dogra VS, Forsting M, et al. TC e RM uma abordagem do corpo humano completa. Editora Mosby-Elsevier, 2009.
Aneurisma aórtico roto contido




                    http://emedicine.medscape.com/article/416397-overview
Síndrome aórtica aguda



        1. Dissecção aórtica;
2. Úlcera aterosclerótica penetrante;
         3. Ruptura da aorta;
Dissecção aórtica
           Condição ameaçadora à vida;
        Diagnóstico e tratamento imediatos;
  Fisiopatologia: laceração da íntima que permite
 acesso do sangue à camada média com separação
          da camada intimal e adventícia;
         HAS é o fator etiológico principal;
      Outros fatores: Marfan e Turner, defeitos
congênitos da valva aórtica, coarctação, aneurisma,
         aortite, gravidez e uso de cocaína.
Dissecção aórtica
             Classificadas em:
 •Aguda: dentro de 2 semanas do início dos
                 sintomas;
        • Crônica: após esse prazo;

        •Classificação pela localização:
  • Stanford A: acomete a aorta ascendente;
• Stanford B: acomete apenas a descendente.
http://www.clinicasaadi.com.br/adm/fotos/36269d75ce191e665fa9c98d37e304ee.pdf
Dissecção aórtica
                Achados de imagem:
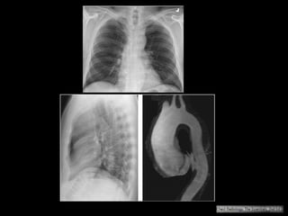
                      RX tórax:
• Valor limitado: em 50% dos casos está normal;
           • Alargamento do mediastino;
         • Sinal da calcificação deslocada;
Dissecção aórtica
             Achados de imagem:
                Angiotomografia
             • Método de escolha;
                  • Protocolo:
Fase sem contraste: da croça até a bifurcação: útil
 para diagnóstico de hematoma intramural e de
            derrames hemorrágicos;
             Colimação de 2,5mm.
http://www.clinicasaadi.com.br/adm/fotos/36269d75ce191e665fa9c98d37e304ee.pdf
Haaga JR, Dogra VS, Forsting M, et al. TC e RM uma abordagem do corpo humano completa. Editora Mosby-Elsevier, 2009.
Dissecção aórtica
                 Angiotomografia
              • Fase com contraste:
         Colimação fina: 0,625 a 1,5 mm;
Estuda-se do opérculo torácico até a sínfise púbica;
             Delay: usar bolus timing;
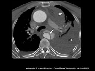
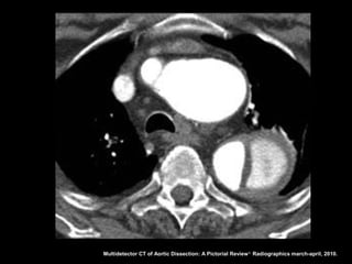
Dissecção aórtica
                   Angiotomografia
  Diagnóstico: identificação do flap intimal, que se
 apresenta como uma fina membrana separando a
               luz falsa da verdadeira;
   Sensibilidade e especifidade acima de 95% na
              detecção do flap intimal;
Após diagnóstico: localizar, definir envolvimento de
   ramos aórticos e identificar fatores agravantes
            relacionados à própria aorta.
Haaga JR, Dogra VS, Forsting M, et al. TC e RM uma abordagem do corpo humano completa. Editora Mosby-Elsevier, 2009.
Haaga JR, Dogra VS, Forsting M, et al. TC e RM uma abordagem do corpo humano completa. Editora Mosby-Elsevier, 2009.
Haaga JR, Dogra VS, Forsting M, et al. TC e RM uma abordagem do corpo humano completa. Editora Mosby-Elsevier, 2009.
Haaga JR, Dogra VS, Forsting M, et al. TC e RM uma abordagem do corpo humano completa. Editora Mosby-Elsevier, 2009.
Haaga JR, Dogra VS, Forsting M, et al. TC e RM uma abordagem do corpo humano completa. Editora Mosby-Elsevier,
2009.
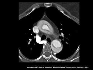
Multidetector CT of Aortic Dissection: A Pictorial Review 1. Radiographics march-april, 2010.
Multidetector CT of Aortic Dissection: A Pictorial Review 1. Radiographics march-april, 2010.
Multidetector CT of Aortic Dissection: A Pictorial Review 1. Radiographics march-april, 2010.
Multidetector CT of Aortic Dissection: A Pictorial Review 1. Radiographics march-april, 2010.
Multidetector CT of Aortic Dissection: A Pictorial Review 1. Radiographics march-april, 2010.
Multidetector CT of Aortic Dissection: A Pictorial Review 1. Radiographics march-april, 2010.
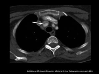
Dissecção aórtica
                    Tratamento:
                Stanford A: cirúrgico
 O acometimento da aorta ascendente ocorre em
              50-75% das dissecções;
  Complicações fatais relacionados à extensão da
dissecção às coronárias, valva aórtica, pericárdio ou
                       pleura;
     Artefatos de movimento na raiz da aorta;
     Fase adicional curta com gating cardíaco.
Artefato de movimento da aorta




Multidetector CT of Aortic Dissection: A Pictorial Review 1. Radiographics march-april, 2010.
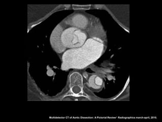
Dissecção aórtica
                       Stanford B
   O flap intimal localiza-se após a emergência da
              artéria subclávia esquerda;
É importante localizar os sítios de laceração porque
   a cirurgia e os procedimentos de colocação de
  prótese objetivam a oclusão das lacerações para
     induzir a formação de trombo na luz falsa;
Multidetector CT of Aortic Dissection: A Pictorial Review 1. Radiographics march-april, 2010.
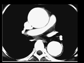
Definição da luz
  •A luz falsa com frequência tem área transversal
              maior devido ao fluxo lento;
• A luz verdadeira encontra-se comprimida em 80%
                       dos casos;
   • A falsa luz tem maior propensão à trombose;
  • Quando uma luz envolve a outra, a luz interna
           invariavelmente é a verdadeira;
     • O fluxo sanguíneo lento leva a retardo na
               opacificação da luz falsa.
Multidetector CT of Aortic Dissection: A Pictorial Review 1. Radiographics march-april, 2010.
Multidetector CT of Aortic Dissection: A Pictorial Review 1. Radiographics march-april, 2010.
Multidetector CT of Aortic Dissection: A Pictorial Review 1. Radiographics march-april, 2010.
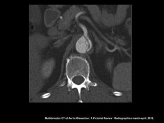
Sinal Mercedes-Benz




Multidetector CT of Aortic Dissection: A Pictorial Review 1. Radiographics march-april, 2010.
Úlcera Aterosclerótica Penetrante
 Definição: ulceração de uma placa aterosclerótica
erodindo a camada intimal e alcançando a camada
                      média;
Tipicamente localiza-se no arco aórtico ou na aorta
 torácica descendente, podendo estar associada à
   quantidade variável de hematoma intramural;
      Raramente ocorre na aorta ascendente;
Úlcera Aterosclerótica Penetrante
 Fase sem contraste: mostra aterosclerose extensa
            com hematoma intramural;
 Fase contrastada: coleção de contraste fora da luz
   da aorta. Podem ser únicas ou múltiplas. Com
frequência associa-se a espessamento da parede da
                       aorta;
A úlcera pode ser assintomática ou complicar com a
   formação de pseudoaneurismas, dissecção ou
                      ruptura.
http://www.clinicasaadi.com.br/adm/fotos/36269d75ce191e665fa9c98d37e304ee.pdf
Haaga JR, Dogra VS, Forsting M, et al. TC e RM uma abordagem do corpo humano completa. Editora Mosby-Elsevier, 2009.
Haaga JR, Dogra VS, Forsting M, et al. TC e RM uma abordagem do corpo humano completa. Editora Mosby-Elsevier, 2009.
Haaga JR, Dogra VS, Forsting M, et al. TC e RM uma abordagem do corpo humano completa. Editora Mosby-Elsevier, 2009.
Thanks

Síndromes aórticas agudas

  • 1.
    Aorta torácica eseus ramos Parte II: aneurismas e síndromes aórticas agudas 29/03/2012 MR3 ROBERTO CORRÊA
  • 2.
    Aneurisma aórtico Definição: dilataçãolocalizada permanente da aorta 1,5 vez superior ao diâmetro normal. Considera-se aneurismática a aorta com diâmetro superior a 40-50mm (ascendente) e 30-40mm (descendente). Causas mais frequentes: HAS e aterosclerose: 80%. Aneurismas verdadeiros incluem todas camadas da parede. Pseudoaneurisma: inflamatório ou traumático.
  • 3.
    Aneurisma aórtico A maioria dos aneurismas tem configuração fusiforme (80%); os demais são saculares; Classificados quanto à localização e etiologia. O diagnóstico à angiotomografia é inequívoco, demonstrado pelo aumento do diâmetro; Outros achados: trombo, calcificação e ulceração.
  • 6.
    Aneurisma aterosclerótico Representam a maioria dos aneurismas; Mais comum em homens; Associado: HAS, DAC, DPOC e ICC; Tendência a ser fusiforme; Segmento descendente e infrarrenal; Concomitância de aneurisma abdominal quando há aneurisma na descendente: 29%.
  • 7.
    Aneurisma aterosclerótico Cercade 90% dos aneurismas abdominais são infrarrenais, sendo comum o envolvimento das ilíacas e hipogástricas; O envolvimento das ilíacas externas é incomum; Aneurisma da aorta suprarrenal é incomum.
  • 11.
    Aneurisma aterosclerótico Os aneurismas da aorta torácica e abdominal são classificados de acordo com a classificação de Crawford I – Compromete toda a extensão da aorta torácica descendente e porção da aorta abdominal II – Compromete toda a extensão da aorta torácica descendente e toda a aorta abdominal III – Compromete a porção média distal da aorta torácica descendente e segmentos variados ou toda a aorta abdominal. IV – Compromete toda ou parte da aorta abdominal. Não compromete a aorta torácica descendente.
  • 12.
    • Haaga JR,Dogra VS, Forsting M, et al. TC e RM uma abordagem do corpo humano completa. Editora Mosby-Elsevier, 2009 .. • Haaga JR, Dogra VS, Forsting M, et al. TC e RM uma abordagem do corpo humano completa. Editora Mosby-Elsevier, 2009 Haaga JR, Dogra VS, Forsting M, et al. TC e RM uma abordagem do corpo humano completa. Editora Mosby-Elsevier, 2009.
  • 13.
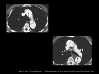
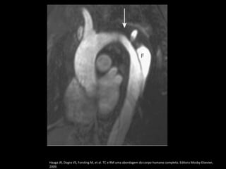
    Pseudoaneurisma pós-traumáticos Segundo tipo mais comum de aneurismas, envolvendo a aorta torácica e a principal causa de aneurismas em jovens. Configuração sacular; Resultam de transecção parcial da parede e apresentam expansão com o tempo; O istmo aórtico é o principal segmento envolvido em cerca de 90% dos casos; Pseudoaneurismas pós-operatórios.
  • 14.
    RM: T1 comgadolínio. Pseudoaneurisma crônico Haaga JR, Dogra VS, Forsting M, et al. TC e RM uma abordagem do corpo humano completa. Editora Mosby-Elsevier, 2009.
  • 18.
    Trauma torácico: coicede um cavalo Haaga JR, Dogra VS, Forsting M, et al. TC e RM uma abordagem do corpo humano completa. Editora Mosby-Elsevier, 2009.
  • 19.
    História remota deacidente automotor Haaga JR, Dogra VS, Forsting M, et al. TC e RM uma abordagem do corpo humano completa. Editora Mosby-Elsevier, 2009.
  • 20.
    Ectasia anuloaórtica Caracterizadapela dilatação do seio de Valsalva com distorção da junção sinotubular que assume configuração em forma de pera; Causas: MARFAN, homocistinúria, Ehlers-Danlos e osteogênese imperfeita; Idiopática em 1/3 dos casos;
  • 21.
    Ectasia anuloaórtica Marfan: •Doença multissistêmica do tecido conjuntivo; • Afeta igualmente ambos os sexos; • Manifestações CV, SNC, Pulmonares, etc; • CV: ectasia anuloaórtica, com ou sem insuficiência da valva aórtica, dissecção, aneurisma, dilatação da artéria pulmonar e PVM.
  • 22.
    Haaga JR, DograVS, Forsting M, et al. TC e RM uma abordagem do corpo humano completa. Editora Mosby-Elsevier, 2009.
  • 23.
    Complicações do aneurismaaórtico Ruptura é a complicação mais grave; Taxas de mortalidade entre 70-94%; Mortalidade no tratamento eletivo: 4%; Sinais de ruptura: descontinuidade de uma calcificação circunferencial, presença de crescente periférico com densidade aumentada, parede posterior indistinta e extravazamento de meio de contraste;
  • 24.
    Complicações do aneurismaaórtico O sinal do crescente hiperdenso na parede da aorta representa hematoma agudo com sangue contido no interior do trombo do aneurisma; Diagnosticado melhor na fase sem contraste; Ruptura da aorta: infiltração da gordura mediastinal, hemomediastino, hemopericárdio ou hemotórax; Formação de fístula: 3ª. Porção do duodeno é o segmento mais afetado (fístula aortoentérica);
  • 25.
    Sinal do crescentehiperdenso http://emedicine.medscape.com/article/416776-overview#a20
  • 26.
    • Haaga JR,Dogra VS, Forsting M, et al. TC e RM uma abordagem do corpo humano completa. Editora Mosby-Elsevier, 2009 . Ruptura: extravazamento do contraste e hemotórax Haaga JR, Dogra VS, Forsting M, et al. TC e RM uma abordagem do corpo humano completa. Editora Mosby-Elsevier, 2009.
  • 27.
    Haaga JR, DograVS, Forsting M, et al. TC e RM uma abordagem do corpo humano completa. Editora Mosby-Elsevier, 2009.
  • 28.
    Aneurisma aórtico rotocontido http://emedicine.medscape.com/article/416397-overview
  • 29.
    Síndrome aórtica aguda 1. Dissecção aórtica; 2. Úlcera aterosclerótica penetrante; 3. Ruptura da aorta;
  • 30.
    Dissecção aórtica Condição ameaçadora à vida; Diagnóstico e tratamento imediatos; Fisiopatologia: laceração da íntima que permite acesso do sangue à camada média com separação da camada intimal e adventícia; HAS é o fator etiológico principal; Outros fatores: Marfan e Turner, defeitos congênitos da valva aórtica, coarctação, aneurisma, aortite, gravidez e uso de cocaína.
  • 32.
    Dissecção aórtica Classificadas em: •Aguda: dentro de 2 semanas do início dos sintomas; • Crônica: após esse prazo; •Classificação pela localização: • Stanford A: acomete a aorta ascendente; • Stanford B: acomete apenas a descendente.
  • 35.
  • 36.
    Dissecção aórtica Achados de imagem: RX tórax: • Valor limitado: em 50% dos casos está normal; • Alargamento do mediastino; • Sinal da calcificação deslocada;
  • 37.
    Dissecção aórtica Achados de imagem: Angiotomografia • Método de escolha; • Protocolo: Fase sem contraste: da croça até a bifurcação: útil para diagnóstico de hematoma intramural e de derrames hemorrágicos; Colimação de 2,5mm.
  • 38.
  • 39.
    Haaga JR, DograVS, Forsting M, et al. TC e RM uma abordagem do corpo humano completa. Editora Mosby-Elsevier, 2009.
  • 40.
    Dissecção aórtica Angiotomografia • Fase com contraste: Colimação fina: 0,625 a 1,5 mm; Estuda-se do opérculo torácico até a sínfise púbica; Delay: usar bolus timing;
  • 41.
    Dissecção aórtica Angiotomografia Diagnóstico: identificação do flap intimal, que se apresenta como uma fina membrana separando a luz falsa da verdadeira; Sensibilidade e especifidade acima de 95% na detecção do flap intimal; Após diagnóstico: localizar, definir envolvimento de ramos aórticos e identificar fatores agravantes relacionados à própria aorta.
  • 42.
    Haaga JR, DograVS, Forsting M, et al. TC e RM uma abordagem do corpo humano completa. Editora Mosby-Elsevier, 2009.
  • 43.
    Haaga JR, DograVS, Forsting M, et al. TC e RM uma abordagem do corpo humano completa. Editora Mosby-Elsevier, 2009.
  • 44.
    Haaga JR, DograVS, Forsting M, et al. TC e RM uma abordagem do corpo humano completa. Editora Mosby-Elsevier, 2009.
  • 45.
    Haaga JR, DograVS, Forsting M, et al. TC e RM uma abordagem do corpo humano completa. Editora Mosby-Elsevier, 2009.
  • 46.
    Haaga JR, DograVS, Forsting M, et al. TC e RM uma abordagem do corpo humano completa. Editora Mosby-Elsevier, 2009.
  • 47.
    Multidetector CT ofAortic Dissection: A Pictorial Review 1. Radiographics march-april, 2010.
  • 48.
    Multidetector CT ofAortic Dissection: A Pictorial Review 1. Radiographics march-april, 2010.
  • 49.
    Multidetector CT ofAortic Dissection: A Pictorial Review 1. Radiographics march-april, 2010.
  • 50.
    Multidetector CT ofAortic Dissection: A Pictorial Review 1. Radiographics march-april, 2010.
  • 51.
    Multidetector CT ofAortic Dissection: A Pictorial Review 1. Radiographics march-april, 2010.
  • 52.
    Multidetector CT ofAortic Dissection: A Pictorial Review 1. Radiographics march-april, 2010.
  • 53.
    Dissecção aórtica Tratamento: Stanford A: cirúrgico O acometimento da aorta ascendente ocorre em 50-75% das dissecções; Complicações fatais relacionados à extensão da dissecção às coronárias, valva aórtica, pericárdio ou pleura; Artefatos de movimento na raiz da aorta; Fase adicional curta com gating cardíaco.
  • 54.
    Artefato de movimentoda aorta Multidetector CT of Aortic Dissection: A Pictorial Review 1. Radiographics march-april, 2010.
  • 55.
    Dissecção aórtica Stanford B O flap intimal localiza-se após a emergência da artéria subclávia esquerda; É importante localizar os sítios de laceração porque a cirurgia e os procedimentos de colocação de prótese objetivam a oclusão das lacerações para induzir a formação de trombo na luz falsa;
  • 56.
    Multidetector CT ofAortic Dissection: A Pictorial Review 1. Radiographics march-april, 2010.
  • 57.
    Definição da luz •A luz falsa com frequência tem área transversal maior devido ao fluxo lento; • A luz verdadeira encontra-se comprimida em 80% dos casos; • A falsa luz tem maior propensão à trombose; • Quando uma luz envolve a outra, a luz interna invariavelmente é a verdadeira; • O fluxo sanguíneo lento leva a retardo na opacificação da luz falsa.
  • 58.
    Multidetector CT ofAortic Dissection: A Pictorial Review 1. Radiographics march-april, 2010.
  • 59.
    Multidetector CT ofAortic Dissection: A Pictorial Review 1. Radiographics march-april, 2010.
  • 60.
    Multidetector CT ofAortic Dissection: A Pictorial Review 1. Radiographics march-april, 2010.
  • 61.
    Sinal Mercedes-Benz Multidetector CTof Aortic Dissection: A Pictorial Review 1. Radiographics march-april, 2010.
  • 62.
    Úlcera Aterosclerótica Penetrante Definição: ulceração de uma placa aterosclerótica erodindo a camada intimal e alcançando a camada média; Tipicamente localiza-se no arco aórtico ou na aorta torácica descendente, podendo estar associada à quantidade variável de hematoma intramural; Raramente ocorre na aorta ascendente;
  • 63.
    Úlcera Aterosclerótica Penetrante Fase sem contraste: mostra aterosclerose extensa com hematoma intramural; Fase contrastada: coleção de contraste fora da luz da aorta. Podem ser únicas ou múltiplas. Com frequência associa-se a espessamento da parede da aorta; A úlcera pode ser assintomática ou complicar com a formação de pseudoaneurismas, dissecção ou ruptura.
  • 64.
  • 65.
    Haaga JR, DograVS, Forsting M, et al. TC e RM uma abordagem do corpo humano completa. Editora Mosby-Elsevier, 2009.
  • 66.
    Haaga JR, DograVS, Forsting M, et al. TC e RM uma abordagem do corpo humano completa. Editora Mosby-Elsevier, 2009.
  • 67.
    Haaga JR, DograVS, Forsting M, et al. TC e RM uma abordagem do corpo humano completa. Editora Mosby-Elsevier, 2009.
  • 68.