Universidade Federal de Santa Maria
      Diagnóstico por imagem
      VIAS AÉREAS – parte 1


            Professor: Carlos Jesus Pereira Haygert
         Monitora: Isadora Cristina Olesiak Cordenonsi
Referências bibliográficas –
Importante!

 Wiliam E. Brant, Clyde A. Helms; Fundamentals of
  Diagnostic Radiology; vol2, chapter 12;

 LANGE; Radiologia básica; 2° edição, capítulo 4;


 Stern; Chest Radiology; chapter 1, 2 e 13;


 http://www.slideshare.net/TARIK022/radiologa-torcica-
  3286791
Vias aéreas
 Fossas nasais
 Faringe
 Laringe
 Traquéia
 Brônquios
 Bronquíolos
 Alvéolos
TRAQUÉIA
Vias aéreas
Traquéia
Brônquios
Bronquíolos
Alvéolos
Vias aéreas
Traquéia
Brônquios
Bronquíolos
Alvéolos
Vias aéreas
Traquéia
Brônquios
Bronquíolos
Alvéolos
Vias aéreas
Traquéia
Brônquios
Bronquíolos
Alvéolos
Vias aéreas
Traquéia
Brônquios
Bronquíolos
Alvéolos
Vias aéreas
Traquéia       Anéis cartilaginosos em forma de C;
Brônquios
Bronquíolos
Alvéolos       Membrana traqueal posterior: músculo e tecido
                conjuntivo;

               Identações na parede lateral esquerda da
                traquéia distal  arco aórtico;
Vias aéreas
Traquéia       12cm;
Brônquios
Bronquíolos
Alvéolos       Transparência cilíndrica da cartilagem cricóide
                até os brônquios principais;

               Normal ligeiro desvio da traquéia para a direita;
Vias aéreas
Traquéia
Brônquios
Bronquíolos
Alvéolos
Vias aéreas
Traquéia       Linha paratraqueal direita (interface do LSD
Brônquios       com parede lateral direita da traquéia): não
Bronquíolos     deve ultrapassar 4mm ;
Alvéolos

               Parede paratraqueal esquerda circundada por
                tecido adiposo e vasos mediastinais 
                normalmente não é vista na radiografia;
Vias aéreas
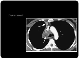
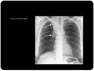
O que está anormal?
Vias aéreas
Traquéia

Traquéia em
bainha de sabre

Diâmetro coronal
menos que 2/3 do
diâmetro sagital

DPOC
Transmissão crônica
do aumento da
pressão intrapleural
E lesão por tosse
crônica;
Vias aéreas
Traquéia


Traquéia em
bainha de sabre
Vias aéreas
O que está anormal?
Vias aéreas
O que está anormal?


Brônquio traqueal
aberrante
Vias aéreas
O que está anormal?
Vias aéreas
O que está anormal?


Metástase para a
traquéia;


Muco pode ter
aspecto semelhante;


(no caso, metástase
de tumor de células
renais)
Vias aéreas
O que está anormal?
Vias aéreas
O que está anormal?


Amiloidose
traqueobrônquica
Depósitos de
amilóides de maneira
circunferencial
causando
estreitamento
irregular da traquéia;
Pneumonia e
atelectasia frequente;
Biópsia – vermelho
Congo
Vias aéreas
O que está anormal?
Vias aéreas
O que está anormal?
Traqueobroncopatia
osteocondroplásica


Depósito submucoso
ósseo e cartilaginoso
Depósitos nodulares ->
irregularidade
Preservação da parede
posterior membranosa da
traquéia;


Em geral placas
calcificadas;
Vias aéreas
O que está anormal?
Vias aéreas
O que está anormal?

Policondrite
recidivante

Doença inflamatória
sistêmica auto-imune

Destruição de cartilagem
auricular, nasal, laríngea,
árvore traqueobrônquica,
articulações;

Espessamento LISO e
DIFUSO;
Repare como a traquéia apresenta-se em um
exame em expiração...
O que foi visto até agora?
 Anatomia da traquéia (ver deslocamento: vai ser muito
  importante em atelectasias...);
 Apenas alguns exemplos de patologias da traquéia
     traquéia em bainha de sabre
     brônquio traqueal
     metástase traqueal
     amiloidose
     traqueobroncopatia osteocondroplásica
     policondrite recidivante ...
BRÔNQUIOS
PRINCIPAIS
LOBARES
SEGMENTARES
Vias aéreas
Traquéia       Brônquios principais originam-se da traquéia
Brônquios –     na carina;
PRINCIPAIS
LOBARES
Bronquíolos    Brônquio direito: ângulo mais obtuso com o
Alvéolos        eixo longo da traquéia;

               Direito(2,2cm) mais curto que o
                esquerdo(5cm);
Vias aéreas
Traquéia      BPD:   BLSD
Brônquios –
PRINCIPAIS
                     BI - BLM
LOBARES              BI – BLID
Bronquíolos
Alvéolos
              BPE:   BLSE
                     BLIE
BRÔNQUIOS
FISSURAS
Pulmões – lobos - fissuras
 Direito: 3 lobos (fissura oblíqua = maior e a horizontal =
  menor)
 Esquerdo : 2 lobos (fissura oblíqua)
Vias aéreas
Traquéia       Fissuras interlobares: invaginações da pleura;
Brônquios
Bronquíolos
Alvéolos
Cisura maior esquerda mais
verticalizada
Pleura visceral
Fissuras
 Completas ou incompletas


 Em boa parte dos indivíduos elas são Incompletas.


 HORIZONTAL(completa em 25% dos pacientes): completas
  lateralmente e incompletas medialmente, fundindo-se ao
  lobo adjacente;

 OBLÍQUA: fusão é mais comum na parte póstero-medial
Fissuras
 Por que devo saber que as fissuras podem ser incompletas?


 R: fluxo colateral pelos canais de Lambert e poros de Kohns
  pode permitir que o lobo permaneça aerado apesar da
  completa obstrução de seu brônquio;
Fissuras
 Canais de Lambert: vias aéreas acessórias entre bronquíolos
 respiratórios ou espaços aéreos ventilados por outras vias
 aéreas;

 Poros de Kohn: poros cilíndricos que comunicam alvéolos
 adjcentes;
Pleuras – derrame pleural intrafissural
Atelectasia
 Diminuição de volume do segmento, deslocamento de uma ou mais
  fissuras interlobares em direção à parte atelectasiada, desvio do mediastino
  para o lado envolvido, deslocamento hilar, estreitamento dos espaços
  intercostais e hiperinsuflação dos outros lobos / segmentos não atelectasiados
  de forma compensatória.
Ex: Colapso do
LSD


Observar
deslocamento de
fissura!
Atelectasia do lobo
superior direito
Atelectasia do Lobo Sup. D.
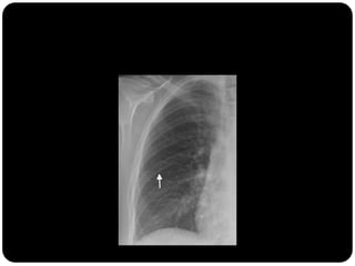
O que está anormal?
O que está anormal?
O que está anormal?
Atelectasia LSD


Sinal do S de Golden


Causado por
carcinoma
broncogênico


Note deslocamento
da fissura menor,
elevação da cúpula
diafragmática
direita...
Atelectasia do Lobo Médio
Impacto mínimo
sobre volume total
do hemisfério
direito (é o menor
dos lobos) LS e LI
inferior compensam
a perda de volume;
Atelectasia lobo
inferior direito
Observar:


Sinal de Luftsichel


Elevação
hemidiafrgma
esquerdo


Sinal da silhueta
(língula atelectasiada
também)
Atelectasia do lobo
inferior esquerdo


Atelectasias de lobos
inferiores deslocam
o hilo posterior e
medialmente;
Ateloectasia do lobo
inferior esquerdo
Atelectasia do LIE
 Atelectasia LIE:


 Opacidade triangular na área retrocardíaca
  em incidência frontal;

 Fissura oblíqua deslocada mais
  posteriormente e rodada em orientação
  mais sagital do que a orientação coronal
  normal;
 Atelectasia LIE:


 Ligamento pulmonar inferior: folha de
  tecido conjuntivo/ pleura visceral e parietal
  fundidas  ligação do LI ao mediastino;
  Se estende do hilo até o diafragma;
  TC: pequeno bico de pleura mediastinal
  dirigido lateralmente;
  responsável pela configuração triangular e
  colabamento medial do LIE;
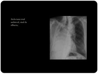
Atelectasia total
unilateral, sinal da
silhueta;
total unilateral
Atelectasia
          Obstrução de brônquio por carcinoma
           broncogênico sempre deve ser considerada
           em adulto com atelectasia lobar;

          Nas crianças: mais comum aspiração por
           CE;

          Obstrução VA menores: tampões de muco
           (comum em pacientes entubados ou doença
           crônica das VA);
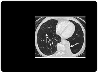
Tumor causando atelectasia
                           Tumor




     endobrônquico                 Fora do brônquio




   Câncer de pequenas               LN aumentados
   cels não diferenciado               causando
      Câncer de cels                 compressão
         escamosas                    extrínseca
Atelectasia passiva
Sinal da silhueta
Lobo médio: borra o contorno direito do coração.

Língula: borra o contorno esquerdo do coração.

Segmentos basais: borram o contorno do diafragma*** (olhar
  imagens anteriores para ver quais).
1. Qual lobo está afetado? Por quê?
É atelectasia?
1. Qual lobo está afetado? Por quê?
Lobo
médio(segmento
medial e lateral;
Borra contorno
cardíaco direito


E não é atelectasia!
A fissura horizontal
não está deslocada.
Qual lobo está afetado? Por quê?
Qual lobo está afetado? Por quê?
Língula pois borra
contorno cardíaco
esquerdo
Em que lobo está essa lesão?
Resposta: LID
Importância do
perfil;


Importância da
ausência do sinal da
silhueta;
Lembre-se!
         Hemidiafragma direito geralmente 1 a
          1,5cm mais alto que o esquerdo;

         Processos espinhosos das vértebras torácicas
          devem estar sobrepostos no centro da
          coluna de ar da traquéia;

         Borda cardíaca direita geralmente repousa
          logo à direita da coluna torácica;
Esquerdo






Pulmão direito
Superior: direito
 inferior: esquerdo
Vias aéreas
Traquéia       Pulmão direito:
Brônquios           LSD: anterior, apical e posterior;
Bronquíolos
                    LM: medial e lateral;
Alvéolos
                    LID: superior, basal medial, basal lateral,
                basal anterior, basal posterior;

               Pulmão esquerdo:
                   LSE: apicoposterior, anterior,
                superior(língula), inferior(língula);
                   LIE: segmento superior, basal antero-
                medial, basal lateral e basal posterior;
E agora?
            Se borrar arco aórtico qual o segmento
             afetado?
E agora?
            Se borrar arco aórtico qual o segmento
             afetado?

            Apico posterior (LSE)
E agora?
            Se borrar aorta ascendente qual o segmento
             afetado?
E agora?
            Se borrar aorta ascendente qual o segmento
             afetado?

            Anterior (LSD) ou segmento medial (LM)
O que foi visto até agora?
 Anatomia dos brônquios lobares e segmentares;
 Fissuras maior e menor (completas e incompletas);
 Divisão em lobos e segmentos;
 Apresentação das atelectasias- correlação com anatomia;
 Sinal do S de Golden;
 Sinal de Luftsichel
 Sinal da Silhueta....
Bronquíolos
Continua na próxima...
Referências bibliográficas
 Wiliam E. Brant, Clyde A. Helms; Fundamentals of
  Diagnostic Radiology; vol2, chapter 12;

 LANGE; Radiologia básica; 2° edição, capítulo 4;


 Stern; Chest Radiology

Vias aéreas parte 1 pdf eee