HUSM
SERVIÇO DE DIAGNÓSTICO POR IMAGEM




   TROMBOEMBOLIA PULMONAR




           R3 RÉGIS SILVA
TEP

-A embolia pulmonar ocorre como conseqüência de um trombo, formado no
sistema venoso profundo, que se desprende e, atravessando as cavidades direitas
do coração, obstrui a artéria pulmonar ou um de seus ramos.


-No ocidente, sua incidência na população geral é estimada em 5/10.000
pacientes, com mortalidade quatro vezes maior quando o tratamento não é
instituído.


-Em aproximadamente 70% dos casos de TEP, a TVP está presente nos mmii,
muitas vezes sem evidências clínicas.
TEP
                              Diagnóstico clínico
-Do diagnóstico e risco.


-A elaboração diagnóstica de TEV envolve vários fatores a serem analisados
conjuntamente.


-Probabilidade pré-teste, seleção de exames e estratégias diagnósticas.


-Dosagem do d-dímero.


-Gases sanguíneos.


-ECG
TEP
TEP




      Christopher Study; JAMA 2006;295:172-179
Achados na radiografia de tórax

-Baixa sensibilidade e especificidade, porém tem função de excluir outras condições
que podem simular clinicamente TEP.




               Westermark sign of pulmonary embolism. The right hilum is large, and vessels beyond the
               hilum in the right lower lobe are small.




                                                                                                         Imaging of Diseases
TEP
                     Radiografia de tórax




Posteroanterior radiograph showing discoid atelectasis in a patient with pulmonary
embolism.
                                                                     Imaging of Diseases of the Chest Fifth Edition, 2010 Elsevier
Radiografia de tórax




 cone shape (Hampton hump)



                             Imaging of Diseases of the Chest Fifth Edition, 2010
                Elsevier
cavitating pulmonary infarct.

                                Imaging of Diseases of the Chest Fifth Edition, 2010
               Elsevier
Cintilografia

-Cintilografia tem sido considerada uma alternativa entre as tecnicas de diagnóstico por imagem
quando o paciente não pode ser submetido a angiotomografia.
-Em 2/3 dos casos os achados são inconclusivos.




    Pulmonary infarct. A, A perfusion defect is visible in the lingular region of the left lung (left posterior oblique view). B, A 81 mKr ventilation
    scan shows a defect at the same site, but it is clearly smaller than the corresponding perfusion defect, typical of pulmonary infarction.
Angiotomografia

-Padrão ouro para o diagnóstico.


-Sua acurácia tornou-se maior com os equipamentos MDT.


-Identificação de êmbolos, sinais indiretos e diagnósticos alternativos.


-Defeito de enchimento parcial.


-Defeito de enchimento completo.


-Achados parenquimatosos
    -   Consolidação
    -   Oligemia
    -   Atelectasia laminar
Achados da angiotomografia


-Paciente de 32 anos com dor no peito.




                                                       RadioGraphics 2004; 24:1219 –1238
-Mulher de 45 anos se apresenta no PS com dor no peito.




                                                          RadioGraphics 2004; 24:1219 –1238
-Homem com dispnéia severa e dor torácica.




                                             RadioGraphics 2004; 24:1219 –1238
-Paciente com episódio de síncope um mês após cirurgia de câncer de colon




                                           Imaging of Diseases of the Chest Fifth Edition, 2010 Elsevier
-Homem de 66 anos com dor torácica e dispnéia




                                                RadioGraphics 2004; 24:1219 –1238
-Mulher de 87 anos assintomática.




                                    RadioGraphics 2004; 24:1219 –1238
-Tromboembolismo pulmonar agudo.




                                   Imaging of Diseases of the Chest Fifth Edition, 2010 Elsevier
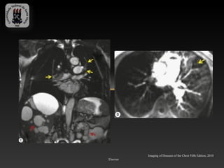
-Discrepância acentuada no tamanho das artérias pulmonares segmentares e
subsegmentares entre os dois lados.




                                          Imaging of Diseases of the Chest Fifth Edition, 2010 Elsevier
-Linfonodos mimetizando tromboembolismo pulmonar




                                       Imaging of Diseases of the Chest Fifth Edition, 2010 Elsevier
-Mulher de 58 anos com dispnéia e dor torácica.




                                                  RadioGraphics 2004; 24:1219 –1238
Venotomografia X ultrassonografia com Doppler

-Parte integrante da avaliação da TEP é avaliacão da TVP.


-Venografia convencional foi substituida pela US Doppler.


-Mais recentemente a TC foi capaz de demonstrar trombose na pelve e mmii,
porém seu uso e controverso em relação a US Doppler.


-A avaliacão deve ser desde o nível do acetábulo até o joelho.
Imaging of Diseases of the Chest Fifth Edition, 2010
Elsevier
-Venotomografia de mulher de 76 anos.




                                        AJR 2007; 189:156–161
-Homem de 18 anos com dor torácica, dispnéia e tosse




                                                       AJR 2009; 192:654–661
- Mulher de 52 anos que apresentou-se com dor no peito, falta de ar e edema de
membro inferior com angiotomografia de tórax normal.




                                               AJR 2009; 192:654–661
-Homem com 49 anos e falta de ar, angiotomografia de torax normal




                                                           AJR 2009; 192:654–661
TROMBOEMBOLIA PULMONAR CRÔNICA

-É definida como a embolia que permanece por um período de pelo menos três
meses após o evento agudo.
-Muitos pacientes são assintomáticos, quando tem o principal sintoma é a
dispnéia progressiva.
-O processo pode resultar em hipertensão pulmonar.
-Achados da angiotomografia:
    -   Localização excêntrica dos êmbolos.
    -   Racanalização
    -   Membrana intraluminal
    -   Calcificação no interior do êmbolo
    -   Dilatacão das anterias pulmonares
    -   Áreas de parênquima com vascularização reduzida.
-Paciente com TEP crônico.




                             Imaging of Diseases of the Chest Fifth Edition, 2010 Elsevier
-Homem de 27 anos com dispnéia e TEP crônico.




                                                RadioGraphics 2004; 24:1219 –1238
-Paciente de 62 anos com dispnéia e TEP crônico.




                                                   RadioGraphics 2004; 24:1219 –1238
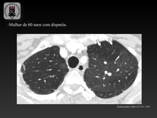
-Mulher de 60 anos com dispnéia.




                                   RadioGraphics 2004; 24:1219 –1238
TEP crônico




              RadioGraphics 2004; 24:1219 –1238
-Paciente com doença tromboembólica crônica




                                               Imaging of Diseases of the Chest Fifth Edition, 2010
                                    Elsevier
Ressonância magnética



-É uma alternativa quando o paciente não pode ser submetido a contraste iodado
ou a exposição à irradiação é motivo de preocupação.


-Pouca capacidade de identificar alterações pulmonares que simulem TEP.


-Limitações referentes as condicões clínicas do paciente.
-Paciente com tromboembolismo pulmonar.




                                          Imaging of Diseases of the Chest Fifth Edition, 2010 Elsevier
- Paciente masculino, 59 anos, com dispnéia severa e tromboembolismo em
artérias pulmonares e lobares




                                                   Imaging of Diseases of the Chest Fifth Edition, 2010
                                    Elsevier
Imaging of Diseases of the Chest Fifth Edition, 2010
Elsevier
Diagnóstico de TEP em gestantes

-A queixa de dispnéia e edema de mmii é queixa comum em gestantes.


-TEV é mais comum no puerpério.


-A investigação de TEV na gestante exige a realização de método de boa acurácia
e com risco aceitável para mãe e para o feto.


-Probabilidade pré teste, achados da radiografia de tórax, cintilografia perfusional
e ecocardiograma.


-D-dímero aceitavel se menor do que 500µg/l
Referência
Tep
Tep
Tep

Tep

  • 1.
    HUSM SERVIÇO DE DIAGNÓSTICOPOR IMAGEM TROMBOEMBOLIA PULMONAR R3 RÉGIS SILVA
  • 2.
    TEP -A embolia pulmonarocorre como conseqüência de um trombo, formado no sistema venoso profundo, que se desprende e, atravessando as cavidades direitas do coração, obstrui a artéria pulmonar ou um de seus ramos. -No ocidente, sua incidência na população geral é estimada em 5/10.000 pacientes, com mortalidade quatro vezes maior quando o tratamento não é instituído. -Em aproximadamente 70% dos casos de TEP, a TVP está presente nos mmii, muitas vezes sem evidências clínicas.
  • 3.
    TEP Diagnóstico clínico -Do diagnóstico e risco. -A elaboração diagnóstica de TEV envolve vários fatores a serem analisados conjuntamente. -Probabilidade pré-teste, seleção de exames e estratégias diagnósticas. -Dosagem do d-dímero. -Gases sanguíneos. -ECG
  • 4.
  • 5.
    TEP Christopher Study; JAMA 2006;295:172-179
  • 6.
    Achados na radiografiade tórax -Baixa sensibilidade e especificidade, porém tem função de excluir outras condições que podem simular clinicamente TEP. Westermark sign of pulmonary embolism. The right hilum is large, and vessels beyond the hilum in the right lower lobe are small. Imaging of Diseases
  • 7.
    TEP Radiografia de tórax Posteroanterior radiograph showing discoid atelectasis in a patient with pulmonary embolism. Imaging of Diseases of the Chest Fifth Edition, 2010 Elsevier
  • 8.
    Radiografia de tórax cone shape (Hampton hump) Imaging of Diseases of the Chest Fifth Edition, 2010 Elsevier
  • 9.
    cavitating pulmonary infarct. Imaging of Diseases of the Chest Fifth Edition, 2010 Elsevier
  • 10.
    Cintilografia -Cintilografia tem sidoconsiderada uma alternativa entre as tecnicas de diagnóstico por imagem quando o paciente não pode ser submetido a angiotomografia. -Em 2/3 dos casos os achados são inconclusivos. Pulmonary infarct. A, A perfusion defect is visible in the lingular region of the left lung (left posterior oblique view). B, A 81 mKr ventilation scan shows a defect at the same site, but it is clearly smaller than the corresponding perfusion defect, typical of pulmonary infarction.
  • 11.
    Angiotomografia -Padrão ouro parao diagnóstico. -Sua acurácia tornou-se maior com os equipamentos MDT. -Identificação de êmbolos, sinais indiretos e diagnósticos alternativos. -Defeito de enchimento parcial. -Defeito de enchimento completo. -Achados parenquimatosos - Consolidação - Oligemia - Atelectasia laminar
  • 12.
    Achados da angiotomografia -Pacientede 32 anos com dor no peito. RadioGraphics 2004; 24:1219 –1238
  • 13.
    -Mulher de 45anos se apresenta no PS com dor no peito. RadioGraphics 2004; 24:1219 –1238
  • 14.
    -Homem com dispnéiasevera e dor torácica. RadioGraphics 2004; 24:1219 –1238
  • 15.
    -Paciente com episódiode síncope um mês após cirurgia de câncer de colon Imaging of Diseases of the Chest Fifth Edition, 2010 Elsevier
  • 16.
    -Homem de 66anos com dor torácica e dispnéia RadioGraphics 2004; 24:1219 –1238
  • 17.
    -Mulher de 87anos assintomática. RadioGraphics 2004; 24:1219 –1238
  • 18.
    -Tromboembolismo pulmonar agudo. Imaging of Diseases of the Chest Fifth Edition, 2010 Elsevier
  • 19.
    -Discrepância acentuada notamanho das artérias pulmonares segmentares e subsegmentares entre os dois lados. Imaging of Diseases of the Chest Fifth Edition, 2010 Elsevier
  • 20.
    -Linfonodos mimetizando tromboembolismopulmonar Imaging of Diseases of the Chest Fifth Edition, 2010 Elsevier
  • 21.
    -Mulher de 58anos com dispnéia e dor torácica. RadioGraphics 2004; 24:1219 –1238
  • 22.
    Venotomografia X ultrassonografiacom Doppler -Parte integrante da avaliação da TEP é avaliacão da TVP. -Venografia convencional foi substituida pela US Doppler. -Mais recentemente a TC foi capaz de demonstrar trombose na pelve e mmii, porém seu uso e controverso em relação a US Doppler. -A avaliacão deve ser desde o nível do acetábulo até o joelho.
  • 23.
    Imaging of Diseasesof the Chest Fifth Edition, 2010 Elsevier
  • 24.
    -Venotomografia de mulherde 76 anos. AJR 2007; 189:156–161
  • 25.
    -Homem de 18anos com dor torácica, dispnéia e tosse AJR 2009; 192:654–661
  • 26.
    - Mulher de52 anos que apresentou-se com dor no peito, falta de ar e edema de membro inferior com angiotomografia de tórax normal. AJR 2009; 192:654–661
  • 27.
    -Homem com 49anos e falta de ar, angiotomografia de torax normal AJR 2009; 192:654–661
  • 28.
    TROMBOEMBOLIA PULMONAR CRÔNICA -Édefinida como a embolia que permanece por um período de pelo menos três meses após o evento agudo. -Muitos pacientes são assintomáticos, quando tem o principal sintoma é a dispnéia progressiva. -O processo pode resultar em hipertensão pulmonar. -Achados da angiotomografia: - Localização excêntrica dos êmbolos. - Racanalização - Membrana intraluminal - Calcificação no interior do êmbolo - Dilatacão das anterias pulmonares - Áreas de parênquima com vascularização reduzida.
  • 29.
    -Paciente com TEPcrônico. Imaging of Diseases of the Chest Fifth Edition, 2010 Elsevier
  • 30.
    -Homem de 27anos com dispnéia e TEP crônico. RadioGraphics 2004; 24:1219 –1238
  • 31.
    -Paciente de 62anos com dispnéia e TEP crônico. RadioGraphics 2004; 24:1219 –1238
  • 32.
    -Mulher de 60anos com dispnéia. RadioGraphics 2004; 24:1219 –1238
  • 33.
    TEP crônico RadioGraphics 2004; 24:1219 –1238
  • 34.
    -Paciente com doençatromboembólica crônica Imaging of Diseases of the Chest Fifth Edition, 2010 Elsevier
  • 35.
    Ressonância magnética -É umaalternativa quando o paciente não pode ser submetido a contraste iodado ou a exposição à irradiação é motivo de preocupação. -Pouca capacidade de identificar alterações pulmonares que simulem TEP. -Limitações referentes as condicões clínicas do paciente.
  • 36.
    -Paciente com tromboembolismopulmonar. Imaging of Diseases of the Chest Fifth Edition, 2010 Elsevier
  • 37.
    - Paciente masculino,59 anos, com dispnéia severa e tromboembolismo em artérias pulmonares e lobares Imaging of Diseases of the Chest Fifth Edition, 2010 Elsevier
  • 38.
    Imaging of Diseasesof the Chest Fifth Edition, 2010 Elsevier
  • 39.
    Diagnóstico de TEPem gestantes -A queixa de dispnéia e edema de mmii é queixa comum em gestantes. -TEV é mais comum no puerpério. -A investigação de TEV na gestante exige a realização de método de boa acurácia e com risco aceitável para mãe e para o feto. -Probabilidade pré teste, achados da radiografia de tórax, cintilografia perfusional e ecocardiograma. -D-dímero aceitavel se menor do que 500µg/l
  • 40.