Cocos Gram-Positivos
Goiânia
2014
Prof. Me. Farm. Rodrigo Caixeta
Faculdade Unida de Campinas
Curso de Farmácia
PROCESSOS DE INVESTIGAÇÃO
MICROSCOPIA
GRAM, FORMA e ARRANJO
Teste
Bioquímico
?
Teste de
Susceptibilidade
?
Meio de Cultura
?
Taxonomia Bacteriana
RE FI C O FA G E
Reino – Filo – Classe – Ordem – Família – Gênero - Espécie
TÁXON SUFIXO EXEMPLO
Reino MONERA --------------------------
Filo Variável Elusimicrobia
Classe - ia Elusimicrobia
Ordem - ales Elusimicrobiales
Família - aceae Elusiomicrobiaceae
Gênero Variável Elusiomicrobium
Espécie Variável E. trichonymphae
Domínios: Archaea – Bacteria - Eucarya
Principais Famílias de interesse clínico
ICZN - International Comission on Zoological Nomenclature
1) Família Micrococcaceae
Gênero: Staphylococcus sp.
Espécies:
S. aureus S. auricularis S. epidermidis S. haemolyticus
S. capitis S. hominis S. saprophyticus S. caprae...
2) Família Streptococcaceae
Gênero: Streptococcus sp.
Espécies:
S. agalactiae S. anginosus S. bovis S. canis
S. mutans S. pyogenes S. pneumoniae S. viridans...
3) Família Enterococcaceae
Gênero: Enterococcus sp.
Espécies:
E. faecalis E. faecium E. avium E. galinarum
E. rafinosus E. casseliflavus E. durans...
4) Família Micrococcaceae
Gênero: Micrococcus sp.
Espécies:
M. antarcticus M. flavus M. luteus M. lylae
M. mucilaginosis M. roseus M. mortus...
5) Família Micrococcaceae
Gênero: Planococcus sp.
Espécies:
P. citri P. alkanoclasticus P. antarcticus P. columbae
P. donghaensis P. halophilus P. kocurii...
6) Família Aerococcaceae
Gênero: Aerococcus sp.
Espécies:
A. viridans A. sanguinicola A. suis A. urinaehominis
A. urinae A. urinaeequi A. christensenii...
7) Família Micrococcaceae
Gênero: Stomatococcus sp.
Espécies:
S. mucilaginosus...
Padrão de Crescimento em Placa
• Baseia-se na observação da colônia em Placa de ágar
ÁGAR SANGUE
Meio Diferencial e Não seletivo
- Extrato de carne de carneiro
- Peptona-caseína
- Cloreto de sódio
- Ágar
Incubação: 5% CO2 72h Temperatura Ambiente (25 °C)
 Colônia de Estafilococos:
- Grandes e Convexas
- Branco-porcelana ao amarelo
Colônia de Estreptococos: 
- Menores e Puntiformes
- Bege ou alaranjado
Padrão de Hemólise
• Baseia-se na capacidade de causar lise em hemácias
• Alfa-hemolítico: Lisa parcialmente as hemácias
• Beta-hemolítico: Lisa completamente as hemácias
• Gama-hemolítico: Não lisa hemácias
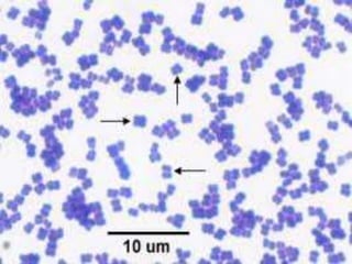
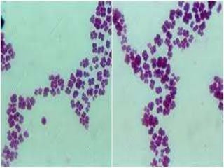
Morfologia
• Baseia-se na observação microscópica de forma, arranjos e tintura
FORMA: Cocos – esféricos ou ovais
TINTURA: Gram positivos – azul, violeta ou arroxeados
___________________________________________________________________
1) Staphylococcus sp.
ARRANJO: Estafilococos – em “cacho de uva” ou agrupados
2) Streptococcus sp.
ARRANJO: Estreptococos – em “colar de pérolas” ou agrupados
3) Enterococcus sp.
ARRANJO: Estreptococos – em “colar de pérolas” ou agrupados
4) Micrococcus sp.
ARRANJO: Tétrades ou Estafilococos – isolados, em “cacho de uva” ou agrupados
5) Planococcus sp.
ARRANJO: Tétrades – isolados ou em pares
6) Aerococcus sp.
ARRANJO: Estafilococos – em “cacho de uva” ou agrupados
7) Stomatococcus sp.
ARRANJO: Estafilococos – em “cacho de uva” ou agrupados
___________________________________________________________________
Padrão de Susceptibilidade
• Baseia-se na sensibilidade ou resistência aos antibacterianos
Teste Qualitativo
- Presença do Halo: SENSÍVEL
- Ausência do Halo: RESISTENTE
Teste Semi-Quantitativo (Kirby-Bauer)
- Cálculo do diâmetro do halo = CIM
Teste Quantitativo
- Diluições seriadas e CIM
TESTE DA CATALASE
ATENÇÃO: Ao coletar a
amostra, não carregar o
meio de cultura, pois
contém catalase no meio.
FALSO-POSITIVO
TESTE DA OXIDASE
A – POSITIVA
B – NEGATIVA
TESTE DE MOTILIDADE
Gênero: Staphylococcus spp.
Staphylococcus aureus
Altamente resistentes
• Microbiota humana: NASOFARINGE
• Contamina PELE, MUCOSAS e OBJETOS
• Forma de Transmissão: AEROSSÓIS
Cápsula – Proteína A – Toxina alfa – Toxina beta
ETA – ETB – Enterotoxinas – Toxina do Choque
Doenças causadas:
1. Síndrome de Choque Tóxico
2. Gastroenterite estafilocócica
3. Síndrome da Pele escaldada
4. Impetigo
5. Endocardite
6. Osteomielite
7. Pneumonia
CATALASE POSITIVOS
MOTILIDADE NEGATIVOS
OXIDASE NEGATIVOS
Gênero: Streptococcus spp.
Classificação de Lancefield (1933)
• Agrupamento segundo antígenos de Parede Celular
Grupo A – Grupo B – Grupo C – Grupo D – Grupo E – Grupo N
Nos grupos B e C estão contidos a maioria dos estreptococos de importância animal
Grupo A: Streptococcus pyogenes : beta-hemolítico.
Grupo B: Streptococcus agalactiae: pode ser beta ou gama-hemolítico.
Streptococcus pneumoniae (pneumococo): alfa-hemolítico
Streptococcus viridans: grupo com características muito similares. São frequentes
nos dentes e podem causar abcessos dentários ou endocardite. Uma espécie é
o Streptococcus mutans que pode causar cáries.
Grupo A: Bacitracina sensível SXT sensível CAMP negativo
Grupo B: Bacitracina resistente SXT sensível CAMP positivo
ÁGAR SANGUE
Streptococcus pyogenes
CATALASE NEGATIVOS
MOTILIDADE NEGATIVOS
OXIDASE NEGATIVOS
Doenças causadas:
1. Faringite
2. Escarlatina
3. Fasciite necrosante
4. Celulite
5. Erisipela
6. Impetigo
7. Síndrome do Choque tóxico
• Microbiota humana: LARINGE
• Contamina TONSILAS
• Forma de Transmissão:
CONTATO DIRETO AEROSSÓIS
BETA-HEMOLÍTICO
Cápsula – Proteína M – ESO – ESS – Exotoxinas
DNAses – Proteína F – Hialuronidase – Peptidase
COMPLICAÇÕES
Streptococcus agalactiae
CATALASE NEGATIVOS
MOTILIDADE NEGATIVOS
OXIDASE NEGATIVOS
BETA-HEMOLÍTICO
Doenças causadas:
1. Endometrite
2. Choque séptico
3. Febre puerperal
4. Meningite
5. Septicemia
6. Infecção do neonato
• Microbiota humana: PELE
• Contamina TGF
• Forma de Transmissão: CONTATO DIRETO
Cápsula – Hemolisina – Fator CAMP – Proteases
Endonucleases – Hialuronidase – Proteínas S
COMPLICAÇÕES
Streptococcus pneumoniae
Doenças causadas:
1. Pneumonia
2. Meningite
3. Septicemia
4. Sinusite
5. Otite média
6. Abcessos cerebrais
7. Osteomielite
8. Infecção do neonato
CATALASE NEGATIVOS
MOTILIDADE NEGATIVOS
OXIDASE NEGATIVOS
ALFA-HEMOLÍTICO
• Microbiota humana: TR
• Contamina TR
• Forma de Transmissão: AEROSSÓIS
Cápsula – Adesina – Pneumolisinas – Peróxido
Endonucleases – Fosforilcolina – Protease de IgA
COMPLICAÇÕES
Cocos Gram positivos

Cocos Gram positivos

  • 1.
    Cocos Gram-Positivos Goiânia 2014 Prof. Me.Farm. Rodrigo Caixeta Faculdade Unida de Campinas Curso de Farmácia
  • 2.
    PROCESSOS DE INVESTIGAÇÃO MICROSCOPIA GRAM,FORMA e ARRANJO Teste Bioquímico ? Teste de Susceptibilidade ? Meio de Cultura ?
  • 3.
    Taxonomia Bacteriana RE FIC O FA G E Reino – Filo – Classe – Ordem – Família – Gênero - Espécie TÁXON SUFIXO EXEMPLO Reino MONERA -------------------------- Filo Variável Elusimicrobia Classe - ia Elusimicrobia Ordem - ales Elusimicrobiales Família - aceae Elusiomicrobiaceae Gênero Variável Elusiomicrobium Espécie Variável E. trichonymphae Domínios: Archaea – Bacteria - Eucarya
  • 4.
    Principais Famílias deinteresse clínico ICZN - International Comission on Zoological Nomenclature 1) Família Micrococcaceae Gênero: Staphylococcus sp. Espécies: S. aureus S. auricularis S. epidermidis S. haemolyticus S. capitis S. hominis S. saprophyticus S. caprae... 2) Família Streptococcaceae Gênero: Streptococcus sp. Espécies: S. agalactiae S. anginosus S. bovis S. canis S. mutans S. pyogenes S. pneumoniae S. viridans... 3) Família Enterococcaceae Gênero: Enterococcus sp. Espécies: E. faecalis E. faecium E. avium E. galinarum E. rafinosus E. casseliflavus E. durans...
  • 5.
    4) Família Micrococcaceae Gênero:Micrococcus sp. Espécies: M. antarcticus M. flavus M. luteus M. lylae M. mucilaginosis M. roseus M. mortus... 5) Família Micrococcaceae Gênero: Planococcus sp. Espécies: P. citri P. alkanoclasticus P. antarcticus P. columbae P. donghaensis P. halophilus P. kocurii... 6) Família Aerococcaceae Gênero: Aerococcus sp. Espécies: A. viridans A. sanguinicola A. suis A. urinaehominis A. urinae A. urinaeequi A. christensenii... 7) Família Micrococcaceae Gênero: Stomatococcus sp. Espécies: S. mucilaginosus...
  • 6.
    Padrão de Crescimentoem Placa • Baseia-se na observação da colônia em Placa de ágar ÁGAR SANGUE Meio Diferencial e Não seletivo - Extrato de carne de carneiro - Peptona-caseína - Cloreto de sódio - Ágar Incubação: 5% CO2 72h Temperatura Ambiente (25 °C)  Colônia de Estafilococos: - Grandes e Convexas - Branco-porcelana ao amarelo Colônia de Estreptococos:  - Menores e Puntiformes - Bege ou alaranjado
  • 7.
    Padrão de Hemólise •Baseia-se na capacidade de causar lise em hemácias • Alfa-hemolítico: Lisa parcialmente as hemácias • Beta-hemolítico: Lisa completamente as hemácias • Gama-hemolítico: Não lisa hemácias
  • 8.
    Morfologia • Baseia-se naobservação microscópica de forma, arranjos e tintura FORMA: Cocos – esféricos ou ovais TINTURA: Gram positivos – azul, violeta ou arroxeados ___________________________________________________________________ 1) Staphylococcus sp. ARRANJO: Estafilococos – em “cacho de uva” ou agrupados 2) Streptococcus sp. ARRANJO: Estreptococos – em “colar de pérolas” ou agrupados 3) Enterococcus sp. ARRANJO: Estreptococos – em “colar de pérolas” ou agrupados 4) Micrococcus sp. ARRANJO: Tétrades ou Estafilococos – isolados, em “cacho de uva” ou agrupados 5) Planococcus sp. ARRANJO: Tétrades – isolados ou em pares 6) Aerococcus sp. ARRANJO: Estafilococos – em “cacho de uva” ou agrupados 7) Stomatococcus sp. ARRANJO: Estafilococos – em “cacho de uva” ou agrupados ___________________________________________________________________
  • 16.
    Padrão de Susceptibilidade •Baseia-se na sensibilidade ou resistência aos antibacterianos Teste Qualitativo - Presença do Halo: SENSÍVEL - Ausência do Halo: RESISTENTE Teste Semi-Quantitativo (Kirby-Bauer) - Cálculo do diâmetro do halo = CIM Teste Quantitativo - Diluições seriadas e CIM
  • 17.
    TESTE DA CATALASE ATENÇÃO:Ao coletar a amostra, não carregar o meio de cultura, pois contém catalase no meio. FALSO-POSITIVO
  • 18.
    TESTE DA OXIDASE A– POSITIVA B – NEGATIVA
  • 19.
  • 20.
  • 21.
    Staphylococcus aureus Altamente resistentes •Microbiota humana: NASOFARINGE • Contamina PELE, MUCOSAS e OBJETOS • Forma de Transmissão: AEROSSÓIS Cápsula – Proteína A – Toxina alfa – Toxina beta ETA – ETB – Enterotoxinas – Toxina do Choque Doenças causadas: 1. Síndrome de Choque Tóxico 2. Gastroenterite estafilocócica 3. Síndrome da Pele escaldada 4. Impetigo 5. Endocardite 6. Osteomielite 7. Pneumonia CATALASE POSITIVOS MOTILIDADE NEGATIVOS OXIDASE NEGATIVOS
  • 22.
    Gênero: Streptococcus spp. Classificaçãode Lancefield (1933) • Agrupamento segundo antígenos de Parede Celular Grupo A – Grupo B – Grupo C – Grupo D – Grupo E – Grupo N Nos grupos B e C estão contidos a maioria dos estreptococos de importância animal Grupo A: Streptococcus pyogenes : beta-hemolítico. Grupo B: Streptococcus agalactiae: pode ser beta ou gama-hemolítico. Streptococcus pneumoniae (pneumococo): alfa-hemolítico Streptococcus viridans: grupo com características muito similares. São frequentes nos dentes e podem causar abcessos dentários ou endocardite. Uma espécie é o Streptococcus mutans que pode causar cáries.
  • 23.
    Grupo A: Bacitracinasensível SXT sensível CAMP negativo Grupo B: Bacitracina resistente SXT sensível CAMP positivo ÁGAR SANGUE
  • 24.
    Streptococcus pyogenes CATALASE NEGATIVOS MOTILIDADENEGATIVOS OXIDASE NEGATIVOS Doenças causadas: 1. Faringite 2. Escarlatina 3. Fasciite necrosante 4. Celulite 5. Erisipela 6. Impetigo 7. Síndrome do Choque tóxico • Microbiota humana: LARINGE • Contamina TONSILAS • Forma de Transmissão: CONTATO DIRETO AEROSSÓIS BETA-HEMOLÍTICO Cápsula – Proteína M – ESO – ESS – Exotoxinas DNAses – Proteína F – Hialuronidase – Peptidase COMPLICAÇÕES
  • 25.
    Streptococcus agalactiae CATALASE NEGATIVOS MOTILIDADENEGATIVOS OXIDASE NEGATIVOS BETA-HEMOLÍTICO Doenças causadas: 1. Endometrite 2. Choque séptico 3. Febre puerperal 4. Meningite 5. Septicemia 6. Infecção do neonato • Microbiota humana: PELE • Contamina TGF • Forma de Transmissão: CONTATO DIRETO Cápsula – Hemolisina – Fator CAMP – Proteases Endonucleases – Hialuronidase – Proteínas S COMPLICAÇÕES
  • 26.
    Streptococcus pneumoniae Doenças causadas: 1.Pneumonia 2. Meningite 3. Septicemia 4. Sinusite 5. Otite média 6. Abcessos cerebrais 7. Osteomielite 8. Infecção do neonato CATALASE NEGATIVOS MOTILIDADE NEGATIVOS OXIDASE NEGATIVOS ALFA-HEMOLÍTICO • Microbiota humana: TR • Contamina TR • Forma de Transmissão: AEROSSÓIS Cápsula – Adesina – Pneumolisinas – Peróxido Endonucleases – Fosforilcolina – Protease de IgA COMPLICAÇÕES