Bactérias
 Biologia, Nutrição e Divisão bacteriana
 Mecanismos de Patogenicidade
 Cocos GRAM-POSITIVOS: Staphylococcus,
Streptococcus e Enterococcus
Biologia, Nutrição e Divisão bacteriana
 As bactérias são:
 Organismos unicelulares e procariontes,
relativamente simples e muito pequeno;
 Nutrição:
 Ocorre predominantemente pela absorção.
 Divisão:
 Por fissão binária;
 Eubactérias e Archaea;
Eubactérias e Archaeabacterias
 Eubactérias:
 Gram-negativas (parede celular fina)
 Bactérias não-fotossintetizantes
 Bactérias fotossintéticas anaeróbicas
 Cianobacterias
 Gram-positivas (parede celular espessa)
 Bastonetes
 Cocos
 Sem parede celular
 Micoplasmas
 Actinomicetos
 Archaea:
 Parede celular incomum
 Arquibacterias
Grupos de Bactérias – Bergey’s Manual Exemplos
Espiroquetas Treponema, Borrelia, Leptospira
Bactérias Gram-Negativas Aeróbicas/ Microaerofilas, Moveis, Helicoidais/
Vibrioides
Campylobacter, Helicobacter
Bastonetes e Cocos Gram-Negativos Aeróbicos Pseudomonas, Bordetella,
Legionella, Neisseria, Moraxella, Brucella
Bastonetes Gram-Negativos Anaeróbicos Facultativos Escherichia, Salmonella, Shigella, Klebsiella, Serratia, Proteus, Yersinia,
Enterobacter,Vibrio,Pasteurella, Hemophilus
Gardnerella G.vaginalis
Bastonetes Anaeróbicos, Gram - Negativos, Retos, Curvos e Helicoidais. Bacteroides, Fusobacterium.
Bactérias Dissimilatorias Redutoras de Sulfato ou de Enxofre. Desulfovibrio
Cocos Anaeróbicos Gram-Negativos Veillonella
Riquetsias e Clamidias Rickettsia typhi, C. trachomatis
Micoplasmas M. pneumoniae, Ureaplasma
Cocos Gram-Positivos Staphylococcus aureus, Streptococcus pneumoniaea, Enterococcus, Lactococcus
Bastonetes e Cocos Gram-Positivos Formadores de Esporos Sporosarcina,Bacillus anthracis, Clostridium tetani, C.botulinum, C. perfringes.
Bastonetes Gram-Positivos Regulares Não - Formadores e Esporos Lactobacillus, Listeria monocytogenes
Bastonetes Gram-Positivos Irregulares Não - Formadores e Esporos Corynebacterium diphteriae,Propionibacterium acnes, Actinomyces
Micobacteria Micobacterium tuberculosis e Micobacterium leprae.
Nocardias Nocardia asteroides
Bactérias Deslizantes, Embainhadas, que Brotam e/ou São Pedunculadas: Caulobacter, Cytophaga, Hyphomicrobium, Sphaerotilus natans
Bactérias Quimioautotroficas Nitrobacter e Nitrosomas
Thiobacillus
Bactérias Fototroficas Bactérias Verdes e Púrpuras Cianobacterias
Actinomicetos Streptomyces
Archaea Halobacterium e Halococcus
Sulfolobus e Metanogeneas
Flora Normal (Microbiota Normal)
 1º Contato: lactobacilos
da vagina da mãe –
intestino do recém-
nascido.
 Ambiente: respiração e
alimentação.
 Adulto normal: 1 x 1014
células bacterianas.
Staphylococcus, Propionibacterium,
Corynebacterium, Candida,Pityrosporum
Staphylococcus,Difteroides
Lactobacillus Corynebacterium,
Streptococcus, Candida
Fusobacterium,Actinomyces,Treponema,
Bacteroides
Staphylococcus,Difteroides,
Streptococcus, Hemophilus,
Neisseria
Bacteroides,Lactobacillus,Enterococcus,Escherichia coli
Proteus,Klebsiella,Enterobacter,Bifidobacterium,Citrobacter
Fusobacterium,Candida
Staphylococcus,Micrococos,Enterococcus
Difteroides,Pseudomonas ,Klebsiella
Proteus,Streptococcus,Clostridium
Lactobacillus,Candida,Trichomonas
Flora Normal (Microbiota Normal)
Microbiota Normal - Hospedeiro
 Antagonismo microbiano: microbiota
normal pode beneficiar o hospedeiro
prevenindo o crescimento excessivo de
microrganismos nocivos.
 Competição de nutrientes
 Produção de substancias nocivas
 Afetando condições como: pH e oxigênio
Microbiota Normal - Hospedeiro
 Simbiose , Relação simbiótica ou Relação
simbiôntica: associação de dois organismos
(geralmente de espécies diferentes) vivendo
juntos.
 Comensalismo: É uma relação simbiótica que é
benéfica para um organismo sem acarretar
qualquer conseqüência para o outro.
Microbiota Normal - Hospedeiro
 Mutualismo: É uma relação simbiótica benéfica
para ambos os organismos (isto é, uma relação
mutuamente benéfica).
E. coli
Vitamina K
Microbiota Normal - Hospedeiro
 Parasitismo: É uma relação simbiótica benéfica
para um organismo (parasita) e danosa para outro
(hospedeiro).
Microrganismos Oportunistas
 São organismos que não causam doença em
seu habitat normal, em uma pessoa saudável,
mas que pode se tornar patogênico sob certas
circunstancias.
 AIDS – Pneumocystis carinii (pneumonia)
Cooperação entre microrganismos
 Sinergismo: Quando dois ou mais microrganismos se
unem e agem em conjunto para produzir uma doença que
nenhum dos dois, isoladamente, poderia causar. Pode ser
definido como sinergismo ou relação sinérgica (infecções
sinérgicas).
Fusobacterium, Actinomyces,
Prevotella e espiroquetas -
Gengivite
Definições
 Patologia : estudo cientifico da doença
 Etiologia: causa da doença
 Patogenos: microrganismos causadores de doença.
 Patogenicidade: capacidade de causar doença.
 Patogênese: forma com que a doença se desenvolve.
 Infecção: invasão ou colonização do corpo por
microrganismos patogênicos.
 Doença: estado anormal em que parte do corpo ou todo ele
não estão ajustados corretamente ou são incapazes de realizar
suas funções normais.
Doença
Infecciosa
Patógenos (Microrganismos
causadores de doença infecciosa)
infecção
Geralmente o termo ´´infecção`` é utilizado como sinônimo de ´´doença infecciosa``
Porém, muitos microbiologistas utilizam a palavra ´´infecção`` para se referir ao
fato do patógeno se alojar no organismo do hospedeiro, podendo ou não
causar doença (neste caso o indivíduo pode ser um portador).
Doença Infecciosa - Infecção
Aguda
Desenvolve-se rapidamente, mas dura apenas um
período curto (gripe).
sarampo
Crônica
Desenvolve-se mais lentamente, e as reações do corpo
podem ser menos grave, mas a doença provavelmente
será continua ou recorrente por longos períodos
(Tuberculose). Tuberculose
Subaguda
Doença intermediaria entre aguda e crônica (bacterioses)
Gravidade ou Duração de uma
Doença
Infecção local
(Espinhas, furúnculos
e abscessos,)
Infecção Generalizada
Vários órgãos estão
infectados pelo patógeno
(sarampo).
Falta de tratamento
Infecção Localizada
Área limitada
Infecção Sistêmica
Disseminação pelo sangue ou linfa
Extensão do Envolvimento do
Hospedeiro
Desenvolvimento da Doença
EXPOSIÇÃO AO PATÓGENO
PERÍODO DE INCUBAÇÃO
PERÍODO PRODRÔMICO
PERÍODO DE DOENÇA
MORTE
CONVALESCÊNCIA
Reservatórios de Infecção
 Reservatórios Humanos – Portadores: são
reservatórios vivos da infecção (AIDS).
 Reservatórios Animais – Zoonoses: doenças que
ocorrem primariamente em animais selvagens e
domésticos e podem ser transmitidas aos seres
humanos (Raiva).
 Reservatórios inanimados – solo e água.
Transmissão de Doenças
 Transmissão por contato:
 Direto – pessoa a pessoa (toque, beijo, relação
sexual): resfriado, infecção estafilococicas,
gonorréia.
 Indireto – objeto inanimado (fomite: toalha,
tecidos,copos, seringas): HIV, oxiúros.
 Perdigotos – gotículas: tosse, espirro, risada ou
conversa (< 1m): Influenza, coqueluche
Transmissão de Doenças
 Transmissão por veículos:
 Água – água contaminada com esgoto não tratado ou
inadequadamente tratado (cólera).
 Alimentos– alimentos incompletamente cozidos, mal
refrigerados ou preparados em condições pouco
higiênicas (teníase).
 Ar– gotículas que percorrem mais de 1 m (tuberculose).
 Outros: sangue, líquidos corporais, drogas e líquidos
intravenosos.
Transmissão de Doenças
 Transmissão por vetores:
 Artrópodes:
 Transmissão mecânica: transporte passivo de
patógenos nas patas do inseto ou outras partes do
corpo.
 Transmissão biológica: transporte ativo – picada,
defecação, vomito.
EXPOSIÇÃO AO PATÓGENO
PERÍODO DE INCUBAÇÃO
PERÍODO PRODRÔMICO
PERÍODO DE DOENÇA
MORTE CONVALESCÊNCIA
Tempo que decorre entre a chegada do
patógeno e o aparecimento dos sinais e
sintomas
O paciente está indisposto, porém ainda
não apresenta a doença
É o tempo em que o paciente apresenta os
sinais e sintomas típicos associados a
doença.
Tempo de recuperação.
Desenvolvimento da Doença
Portas de Entrada
• Membranas mucosas
•Trato respiratório
•Trato gastrintestinal
•Trato geniturinário
•Conjuntiva
•Pele
•Via parenteral
Aderência
Adesinas ou ligantes
Glicoproteinas ou lipoproteinas
Numero de Microrganismos
invasores
Penetração ou Evasão
das Defesas do
Hospedeiro
•Cápsulas - Virulência
•Componentes da parede
celular (proteína M)
•Enzimas (leucocidinas)
Lesão as Células do
Hospedeiro/ Efeitos
Citopaticos
•Lesão direta
•Toxinas
•Exotoxinas
(proteínas)
•Endotoxinas
(lipideos A)
•Hipersensibilidade
Mecanismos de
Patogenicidade
Staphylococcus
• Família: Micrococcacea
• Planococcus,
• Micrococcus,
• Stomatococcus,
• Staphylococcus.
• Staphylococcus: 33 espécies
- 17 podem ser isoladas de
amostras biológicas
humanas.
Staphylococcus
O gênero Staphylococcus é composto por várias espécies:
S. lugundensis
S. schleiferi
S. sciuri
S. lentus
S. caseolyticus
S. hyicus
S. chromogenes
S. intermedius
S. delphini
S. carnosus
S. simulans
S. cohnii
S. xylosus
S. saprophyticus
S. gallinarium
S. kloosii
S. equorum
S. arlettae
S. epidermidis
S. capitis
S. warnei
S. caprae
S. hominis
S. aureus
S. auricularis
S. haemolyticus
S.pulvereri
S.saccharolyticus
S. pasteuri
S. felis
S. muscae
S. piscifermentans
S. vitulus
Staphylococcus
.
Cocos Gram-positivos medindo 0,5 a 1,5 mm
de diâmetro, imóveis, catalase positiva, não
esporulados, aeróbios facultativos,
usualmente ocorrem em aglomerados
característicos (cacho de uvas).
Staphylococcus aureus
O nome “aureus” significa “dourado” em
latim, qualidade atribuída ao pigmento
amarelado característico produzido pela
bactéria.
Staphylococcus aureus
• De todas as espécies do gênero, o S. aureus é
o mais importante.
• É responsável pelo segundo maior número de
infecções em seres humanos.
Staphylococcus aureus
 Infecções cutâneas: Foliculite, Impetigo,
Furúnculos, Carbúnculos.
 Foliculite: infecção do folículo piloso –
obstrução.
Staphylococcus aureus
 Infecções cutâneas: Foliculite, Impetigo,
Furúnculos, Carbúnculos.
 Furúnculos e Carbúnculos (vários sítios de
drenagem): infecção do folículo piloso ou
glândulas sebáceas– obstrução- tecido
subcutâneo.
Staphylococcus aureus
 Infecções cutâneas: Foliculite, Impetigo,
Furúnculos, Carbúnculos.
 Impetigo: vesículas de paredes delgadas, que se
rompem e formam crostas.
Staphylococcus aureus
 Infecções cutâneas
Staphylococcus aureus
 Infecções cutâneas
Staphylococcus aureus
 Infecções profundas:
 Bacteremia (abscessos metastaticos),
 Endocardite,
 Pneumonia,
 Meningite,
 Artrite bacteriana.
 Feridas cirúrgicas, queimaduras...
Staphylococcus aureus
 Fatores de virulência:
 Cápsula
 Impedir a fagocitose;
 Aderência
 Proteína A
 Presente na parede celular;
 Uni-se a região Fc da IgG – interferindo a
opsonização --- fagocitose;
Staphylococcus aureus
 Fatores de virulência:
 Enzimas:
 Catalase – atua inativando peróxido de hidrogênio e
radicais livres tóxicos formados no interior das células
fagocitárias.
 Coagulase ou fator de agregação - recobre as células
bacterianas com fibrina – opsonizacao – fagocitose.
 Fibrinolisina – degrada coágulos de fibrina –
disseminação da infecção.
Staphylococcus aureus
 Fatores de virulência:
 Hemolisinas:
 Alfa - hemolisina – tem ação letal sobre leucócitos
polimorfonucleares e eritrócitos (Agar sangue).
 Beta - hemolisina – tem ação contra uma variedade de
células (Agar sangue).
Staphylococcus aureus
 Fatores de virulência:
 Toxinas:
 Leucocidinas : leucócitos;
 Exfoliatinas ou Toxinas epidermoliticas: dissolvem a
matriz mucopolissacaridica da epiderme – Síndrome
estafilococica da pele escaldada.
Síndrome da Pele Escaldada - Exfoliatina
(Gottifried Ritter, 1878)
 Formação de bolhas;
 Aparecimento de áreas
descamadas em carne
viva.
 Recém-nascidos e
lactentes.
Síndrome da
Pele Escaldada
Exfoliatina
Staphylococcus aureus
 Fatores de virulência:
 Toxinas:
 Enterotoxinas A e E : Intoxicação estafilococica
alimentar.
 Mecanismo desconhecido – peristaltismo intestinal
 Diarréia e vomito – 2 a 8 horas.
Staphylococcus aureus
 Fatores de virulência:
 Toxinas:
 Toxina da síndrome do choque tóxico 1: Síndrome
do choque tóxico
 Febre, hipotensão, vertigem ortostatica, eritrodermia
(rash),vômitos, diarréia, insuficiência renal, cefaléia,
calafrios, faringite e conjuntivite.
 Mecanismo – não esclarecido
Staphylococcus epidermidis
A segunda espécie mais importante do gênero
Staphylococcus.
E uma espécie bem menos virulenta do que S.
aureus.
Staphylococcus epidermidis
• Não apresentam a produção de coagulase
• Algumas cepas apresentam a produção muito
tímida de certas enzimas
• Esta espécie tem muitos fatores de adesão,
sendo perigosa para pacientes que fazem uso
de material invasivo de plástico (cateter,
próteses, etc.).
Staphylococcus epidermidis
• Pode causar:
• Endocardite;
• Infecções por cateter;
• Bacteremia;
• Infecções de feridas;
• Infecções urinarias;
• Infecções em locais com prótese...
Staphylococcus saprophyticus
• Não apresentam a produção de coagulase
• Frequentemente causa infecção do trato
urinário, especialmente em mulheres,
podendo chegar a causar cistite, uretrite e
pielonefrite, e em casos extremos bacteremia.
Diagnostico laboratorial
Coleta (swab)
Gram
Agar Sangue
18-24 h / 370C
Testes
de Identificação
Caldo
de
Enriquecimento
18-24 h / 370C
Diagnóstico Laboratorial
 Prova da Catalase:
 Consiste em colocar uma amostra de bactéria em
contato com o peróxido de hidrogênio, e
pesquisar a formação de bolhas de oxigênio.
2H2O2 2H2O + ↑O2
catalase
Staphylococcus
+
Streptococcus
-
Diagnóstico Laboratorial
 Prova da Coagulase: A produção de coagulase é
exclusiva ao Staphylococcus aureus.
coagulase
Fibrinogênio Fibrina
No laboratório clínico, faz-se um ensaio com plasma de coelho. A
bactéria em questão é inoculada num tubo com plasma de coelho.
Se o plasma coagular, a espécie é S. aureus.
Se não coagular deixar mais 20h, totalizando 24h verificar novamente
Identificação de Staphylococcus
Coco GRAM +
catalase
+
Streptococcaceae
-
Staphylococcus spp.
Coagulase
+
Staphylococcus
aureus
Staphylococcus
Coagulase negativa
-
Padrões de Hemólise
Streptococcus
 Fisiologia e Estrutura:
 Cocos Gram positivos em
cadeias curtas ou longas,
catalase negativos,
anaeróbios facultativos,
nutricionalmente exigentes.
 Crescem em Agar sangue .
 Colônias > 0,5 mm - Grupos
A,C,G
 Colônias < 0,5 mm - “Grupo
viridans”, “Grupo milleri
Classificação dos Estreptococos
 Característica Hemolítica: Hemólise em
Placas de Agar Sangue
Classificação dos Estreptococos
Classificação sorológica realizada no
Instituto Rockfeller / N. York/USA - 1933
Rebecca Lancefield 1895-1981
Classificação dos Estreptococos
 Grupos Sorológicos: 20 grupos – Grupos de
Lancefield: Carboidrato C (variações na
composição) – parede celular.
(A,B,C,D,E,F,G,H,K,L,M,N,O,P,Q,R,S,t,U e V).
 Grupo A - Streptococcus pyogenes
 Grupo B - Streptococcus agalactiae
 Grupo C - S. equi, S. dysgalactiae
 Grupo D - S. bovis, S. equinus
 Grupo viridans - S. mitis, S. mutans, S. salivarius
 Grupo milleri - S. anginosus, S. intermedius
Estudo do Gênero Streptococcus
 Principais Espécies:
 S. pyogenes – grupo “A”
 S. agalactiae – grupo “ B”
 S. pneumoniae
 S. viridans
 Enterococcus faecali
Streptococcus pyogenes
Beta hemolítico do Grupo A
Streptococcus pyogenes
 Fatores de virulência:
 Fibrila – possibilita a fixação da bactéria a
mucosa faringoamigdalina.
 Composição: Proteína M e o acido lipoteicoico.
 Presente na parede celular
 Interação com a fibronectina – receptor das células da
mucosa do hospedeiro.
 Invasão não e bem conhecido.
Streptococcus pyogenes
 Fatores de virulência:
 Toxina eritrogenica (Streptococcal pyogenes exotoxin -
Spe):
 Dissemina pela via hematogenica
 Altera a permeabilidade capilar
 Origina eritemas característicos da escarlatina.
 Cápsula – fagocitose;
 Proteína M – fagocitose;
 Estreptolisina O – lesa as hemácias e outras células.
Streptococcus pyogenes
 Infecções mais freqüentes, localizam-se:
 Faringe e Amídalas (faringoamigdalites)
 Pele (piodermites – Impetigo - e erisipela)
*** Bacteremia
*** Febre reumática
*** Glomerulonefrite
*** Outras infecções
Streptococcus pyogenes
A resposta imunológica gerada leva à
formação de anticorpos com reação cruzada
entre certos antígenos estreptocócicos e os
tecidos humanos, e pode ser responsável pela
patologia associada com essas seqüelas não
purulentas.
Erisipela
Febre Escarlatina
Aspectos Clínicos
Faringo-AmigdaliteFebre Escarlatina
Aspectos Clínicos
Streptococcus agalactiae
 Algumas amostras podem não produzir hemólise beta.
 Colonizam o trato respiratório superior, trato intestinal baixo
e vagina, de modo que 5 a 40% das gestantes podem estar
colonizadas, possibilitando infecção em recém nascidos.
 São inicialmente reconhecidos como causadores de sepsis
puerperal e infecções neonatais ou perinatais.
 A infecção pode ocorrer no útero, no momento do nascimento
ou nos primeiros meses de vida.
 Doença Neonatal:
 Bacteremia, pneumonia, meningite
 Pós parto:
 Endometrite, infecção de ferida cirúrgica
Streptococcus pneumoniae
(Pneumococos)
 Cocos capsulados, Gram positivos, 0,5 - 1,2 mm, em forma
de diplococos lanceolados, podem ser encontrados em
cadeias curtas ou ocasionalmente em células isoladas.
 Colônias Lisas - capsuladas e virulentas
 Colônias Rugosas - ausência de cápsula
Streptococcus pneumoniae
(Pneumococos)
 No Agar sangue formam colônias de 0,5 a 1mm de diâmetro,
apresentando hemólise tipo alfa (parcial), mucoides de acordo
com a presença de cápsula, verificando-se geralmente uma
depressão central decorrente de autólise.
 Necessitam de um meio complexo e o estímulo de CO2 para
o crescimento.
Streptococcus pneumoniae
(Pneumococos)
 Pneumonia
 Ocorre quando os mecanismos de defesa estão
comprometidos, permitindo colonização do trato
respiratório superior e migração para a árvore
brônquica, geralmente posterior a uma virose ou
mesmo após casos de sarampo.
*** Meningite, Septicemia, Otite media, sinusite
Enterococcus
 Algumas espécies: E. faecalis, E. faecium, E.
casselifavus , etc.
 Bacteremias, Endocardite, Infecções do trato
urinário e biliar, infecções de feridas,
infecções pélvicas e intra-abdominais.
Diagnostico laboratorial
Coleta (swab)
Gram
Agar Sangue
18-24 h / 370C
Testes
de Identificação
Caldo
de
Enriquecimento
18-24 h / 370C
Crescimento em Agar Sangue
 HEMÓLISE APRESENTADA:
 Total – Beta hemólise
 Parcial – Alfa hemólise
 Ausência de hemólise - Gama
Diagnóstico Laboratorial
 Prova da Catalase:
 Consiste em colocar uma amostra de bactéria em
contato com o peróxido de hidrogênio, e
pesquisar a formação de bolhas de oxigênio.
2H2O2 2H2O + ↑O2
catalase
Micrococcaceae
+
As bactérias desta família são
catalase POSITIVAS
Streptococcaceae
-
As bactérias desta família são
catalase NEGATIVAS
Teste da Bacitracina
 O teste da bacitracina é realizado para a identificação
presuntiva de Streptococcus pyogenes (estreptococos
beta hemolítico de grupo A de Lancefield), uma vez
que 95% das amostras são sensíveis a este
antimicrobiano.
 Para a realização do teste, semeia-se uma placa de ágar-
sangue com a amostra beta-hemolítica em identificação.
 No centro da área semeada deposita-se um disco contendo
bacitracina.
 As culturas são incubadas a 37oC durante 24 horas.
 A observação de um halo de inibição do crescimento ao
redor do disco indica susceptibildiade.
Teste da Optoquina
a) A partir da placa de semeadura primária,
selecionam-se três ou quatro colônias bem isoladas
do microrganismo a ser testado e inocula-se por
estrias, a metade de uma placa de agar sangue de
b) Coloca-se um disco padronizado contendo 5mg de
optoquina, no centro da área inoculada, incubando-
se a 35-37°C durante 18-24 horas, em uma jarra com
vela (5% a 10% de CO2).
c) O aparecimento de uma zona de inibição de 14-
18mm indica, presuntivamente, a presença do
Streptococcus pneumoniae.
SEQUENCIA DIAGNOSTICA
STAPHYLOCOCCUS
STREPTOCOCCUS
Teste da Bile Esculina
a) A partir da placa de agar sangue, inocula-se duas a
três colônias suspeitas no meio de agar bile esculina,
inclinado em tubos 13x100. Incubar a 37°C durante
18-24 horas.
b) Se ocorrer um enegrecimento na superfície inclinada
do meio, a prova é considerada positiva e identifica
presuntivamente amostras de Enterococcus e
Streptococcus do grupo sorológico "D". Havendo
uma modificação discreta ou nenhuma alteração no
meio, o teste é considerado negativo.
Teste da Bile Esculina
CANSEI!

Aula 05 bacterias

  • 1.
    Bactérias  Biologia, Nutriçãoe Divisão bacteriana  Mecanismos de Patogenicidade  Cocos GRAM-POSITIVOS: Staphylococcus, Streptococcus e Enterococcus
  • 2.
    Biologia, Nutrição eDivisão bacteriana  As bactérias são:  Organismos unicelulares e procariontes, relativamente simples e muito pequeno;  Nutrição:  Ocorre predominantemente pela absorção.  Divisão:  Por fissão binária;  Eubactérias e Archaea;
  • 3.
    Eubactérias e Archaeabacterias Eubactérias:  Gram-negativas (parede celular fina)  Bactérias não-fotossintetizantes  Bactérias fotossintéticas anaeróbicas  Cianobacterias  Gram-positivas (parede celular espessa)  Bastonetes  Cocos  Sem parede celular  Micoplasmas  Actinomicetos  Archaea:  Parede celular incomum  Arquibacterias
  • 4.
    Grupos de Bactérias– Bergey’s Manual Exemplos Espiroquetas Treponema, Borrelia, Leptospira Bactérias Gram-Negativas Aeróbicas/ Microaerofilas, Moveis, Helicoidais/ Vibrioides Campylobacter, Helicobacter Bastonetes e Cocos Gram-Negativos Aeróbicos Pseudomonas, Bordetella, Legionella, Neisseria, Moraxella, Brucella Bastonetes Gram-Negativos Anaeróbicos Facultativos Escherichia, Salmonella, Shigella, Klebsiella, Serratia, Proteus, Yersinia, Enterobacter,Vibrio,Pasteurella, Hemophilus Gardnerella G.vaginalis Bastonetes Anaeróbicos, Gram - Negativos, Retos, Curvos e Helicoidais. Bacteroides, Fusobacterium. Bactérias Dissimilatorias Redutoras de Sulfato ou de Enxofre. Desulfovibrio Cocos Anaeróbicos Gram-Negativos Veillonella Riquetsias e Clamidias Rickettsia typhi, C. trachomatis Micoplasmas M. pneumoniae, Ureaplasma Cocos Gram-Positivos Staphylococcus aureus, Streptococcus pneumoniaea, Enterococcus, Lactococcus Bastonetes e Cocos Gram-Positivos Formadores de Esporos Sporosarcina,Bacillus anthracis, Clostridium tetani, C.botulinum, C. perfringes. Bastonetes Gram-Positivos Regulares Não - Formadores e Esporos Lactobacillus, Listeria monocytogenes Bastonetes Gram-Positivos Irregulares Não - Formadores e Esporos Corynebacterium diphteriae,Propionibacterium acnes, Actinomyces Micobacteria Micobacterium tuberculosis e Micobacterium leprae. Nocardias Nocardia asteroides Bactérias Deslizantes, Embainhadas, que Brotam e/ou São Pedunculadas: Caulobacter, Cytophaga, Hyphomicrobium, Sphaerotilus natans Bactérias Quimioautotroficas Nitrobacter e Nitrosomas Thiobacillus Bactérias Fototroficas Bactérias Verdes e Púrpuras Cianobacterias Actinomicetos Streptomyces Archaea Halobacterium e Halococcus Sulfolobus e Metanogeneas
  • 5.
    Flora Normal (MicrobiotaNormal)  1º Contato: lactobacilos da vagina da mãe – intestino do recém- nascido.  Ambiente: respiração e alimentação.  Adulto normal: 1 x 1014 células bacterianas.
  • 6.
    Staphylococcus, Propionibacterium, Corynebacterium, Candida,Pityrosporum Staphylococcus,Difteroides LactobacillusCorynebacterium, Streptococcus, Candida Fusobacterium,Actinomyces,Treponema, Bacteroides Staphylococcus,Difteroides, Streptococcus, Hemophilus, Neisseria Bacteroides,Lactobacillus,Enterococcus,Escherichia coli Proteus,Klebsiella,Enterobacter,Bifidobacterium,Citrobacter Fusobacterium,Candida Staphylococcus,Micrococos,Enterococcus Difteroides,Pseudomonas ,Klebsiella Proteus,Streptococcus,Clostridium Lactobacillus,Candida,Trichomonas Flora Normal (Microbiota Normal)
  • 7.
    Microbiota Normal -Hospedeiro  Antagonismo microbiano: microbiota normal pode beneficiar o hospedeiro prevenindo o crescimento excessivo de microrganismos nocivos.  Competição de nutrientes  Produção de substancias nocivas  Afetando condições como: pH e oxigênio
  • 8.
    Microbiota Normal -Hospedeiro  Simbiose , Relação simbiótica ou Relação simbiôntica: associação de dois organismos (geralmente de espécies diferentes) vivendo juntos.  Comensalismo: É uma relação simbiótica que é benéfica para um organismo sem acarretar qualquer conseqüência para o outro.
  • 9.
    Microbiota Normal -Hospedeiro  Mutualismo: É uma relação simbiótica benéfica para ambos os organismos (isto é, uma relação mutuamente benéfica). E. coli Vitamina K
  • 10.
    Microbiota Normal -Hospedeiro  Parasitismo: É uma relação simbiótica benéfica para um organismo (parasita) e danosa para outro (hospedeiro).
  • 11.
    Microrganismos Oportunistas  Sãoorganismos que não causam doença em seu habitat normal, em uma pessoa saudável, mas que pode se tornar patogênico sob certas circunstancias.  AIDS – Pneumocystis carinii (pneumonia)
  • 12.
    Cooperação entre microrganismos Sinergismo: Quando dois ou mais microrganismos se unem e agem em conjunto para produzir uma doença que nenhum dos dois, isoladamente, poderia causar. Pode ser definido como sinergismo ou relação sinérgica (infecções sinérgicas). Fusobacterium, Actinomyces, Prevotella e espiroquetas - Gengivite
  • 13.
    Definições  Patologia :estudo cientifico da doença  Etiologia: causa da doença  Patogenos: microrganismos causadores de doença.  Patogenicidade: capacidade de causar doença.  Patogênese: forma com que a doença se desenvolve.  Infecção: invasão ou colonização do corpo por microrganismos patogênicos.  Doença: estado anormal em que parte do corpo ou todo ele não estão ajustados corretamente ou são incapazes de realizar suas funções normais.
  • 14.
    Doença Infecciosa Patógenos (Microrganismos causadores dedoença infecciosa) infecção Geralmente o termo ´´infecção`` é utilizado como sinônimo de ´´doença infecciosa`` Porém, muitos microbiologistas utilizam a palavra ´´infecção`` para se referir ao fato do patógeno se alojar no organismo do hospedeiro, podendo ou não causar doença (neste caso o indivíduo pode ser um portador). Doença Infecciosa - Infecção
  • 15.
    Aguda Desenvolve-se rapidamente, masdura apenas um período curto (gripe). sarampo Crônica Desenvolve-se mais lentamente, e as reações do corpo podem ser menos grave, mas a doença provavelmente será continua ou recorrente por longos períodos (Tuberculose). Tuberculose Subaguda Doença intermediaria entre aguda e crônica (bacterioses) Gravidade ou Duração de uma Doença
  • 16.
    Infecção local (Espinhas, furúnculos eabscessos,) Infecção Generalizada Vários órgãos estão infectados pelo patógeno (sarampo). Falta de tratamento Infecção Localizada Área limitada Infecção Sistêmica Disseminação pelo sangue ou linfa Extensão do Envolvimento do Hospedeiro
  • 17.
    Desenvolvimento da Doença EXPOSIÇÃOAO PATÓGENO PERÍODO DE INCUBAÇÃO PERÍODO PRODRÔMICO PERÍODO DE DOENÇA MORTE CONVALESCÊNCIA
  • 18.
    Reservatórios de Infecção Reservatórios Humanos – Portadores: são reservatórios vivos da infecção (AIDS).  Reservatórios Animais – Zoonoses: doenças que ocorrem primariamente em animais selvagens e domésticos e podem ser transmitidas aos seres humanos (Raiva).  Reservatórios inanimados – solo e água.
  • 19.
    Transmissão de Doenças Transmissão por contato:  Direto – pessoa a pessoa (toque, beijo, relação sexual): resfriado, infecção estafilococicas, gonorréia.  Indireto – objeto inanimado (fomite: toalha, tecidos,copos, seringas): HIV, oxiúros.  Perdigotos – gotículas: tosse, espirro, risada ou conversa (< 1m): Influenza, coqueluche
  • 20.
    Transmissão de Doenças Transmissão por veículos:  Água – água contaminada com esgoto não tratado ou inadequadamente tratado (cólera).  Alimentos– alimentos incompletamente cozidos, mal refrigerados ou preparados em condições pouco higiênicas (teníase).  Ar– gotículas que percorrem mais de 1 m (tuberculose).  Outros: sangue, líquidos corporais, drogas e líquidos intravenosos.
  • 21.
    Transmissão de Doenças Transmissão por vetores:  Artrópodes:  Transmissão mecânica: transporte passivo de patógenos nas patas do inseto ou outras partes do corpo.  Transmissão biológica: transporte ativo – picada, defecação, vomito.
  • 22.
    EXPOSIÇÃO AO PATÓGENO PERÍODODE INCUBAÇÃO PERÍODO PRODRÔMICO PERÍODO DE DOENÇA MORTE CONVALESCÊNCIA Tempo que decorre entre a chegada do patógeno e o aparecimento dos sinais e sintomas O paciente está indisposto, porém ainda não apresenta a doença É o tempo em que o paciente apresenta os sinais e sintomas típicos associados a doença. Tempo de recuperação. Desenvolvimento da Doença
  • 23.
    Portas de Entrada •Membranas mucosas •Trato respiratório •Trato gastrintestinal •Trato geniturinário •Conjuntiva •Pele •Via parenteral Aderência Adesinas ou ligantes Glicoproteinas ou lipoproteinas Numero de Microrganismos invasores Penetração ou Evasão das Defesas do Hospedeiro •Cápsulas - Virulência •Componentes da parede celular (proteína M) •Enzimas (leucocidinas) Lesão as Células do Hospedeiro/ Efeitos Citopaticos •Lesão direta •Toxinas •Exotoxinas (proteínas) •Endotoxinas (lipideos A) •Hipersensibilidade Mecanismos de Patogenicidade
  • 24.
    Staphylococcus • Família: Micrococcacea •Planococcus, • Micrococcus, • Stomatococcus, • Staphylococcus. • Staphylococcus: 33 espécies - 17 podem ser isoladas de amostras biológicas humanas.
  • 25.
    Staphylococcus O gênero Staphylococcusé composto por várias espécies: S. lugundensis S. schleiferi S. sciuri S. lentus S. caseolyticus S. hyicus S. chromogenes S. intermedius S. delphini S. carnosus S. simulans S. cohnii S. xylosus S. saprophyticus S. gallinarium S. kloosii S. equorum S. arlettae S. epidermidis S. capitis S. warnei S. caprae S. hominis S. aureus S. auricularis S. haemolyticus S.pulvereri S.saccharolyticus S. pasteuri S. felis S. muscae S. piscifermentans S. vitulus
  • 26.
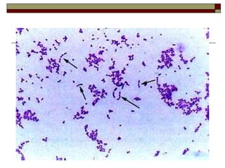
    Staphylococcus . Cocos Gram-positivos medindo0,5 a 1,5 mm de diâmetro, imóveis, catalase positiva, não esporulados, aeróbios facultativos, usualmente ocorrem em aglomerados característicos (cacho de uvas).
  • 27.
    Staphylococcus aureus O nome“aureus” significa “dourado” em latim, qualidade atribuída ao pigmento amarelado característico produzido pela bactéria.
  • 28.
    Staphylococcus aureus • Detodas as espécies do gênero, o S. aureus é o mais importante. • É responsável pelo segundo maior número de infecções em seres humanos.
  • 29.
    Staphylococcus aureus  Infecçõescutâneas: Foliculite, Impetigo, Furúnculos, Carbúnculos.  Foliculite: infecção do folículo piloso – obstrução.
  • 30.
    Staphylococcus aureus  Infecçõescutâneas: Foliculite, Impetigo, Furúnculos, Carbúnculos.  Furúnculos e Carbúnculos (vários sítios de drenagem): infecção do folículo piloso ou glândulas sebáceas– obstrução- tecido subcutâneo.
  • 31.
    Staphylococcus aureus  Infecçõescutâneas: Foliculite, Impetigo, Furúnculos, Carbúnculos.  Impetigo: vesículas de paredes delgadas, que se rompem e formam crostas.
  • 32.
  • 33.
  • 34.
    Staphylococcus aureus  Infecçõesprofundas:  Bacteremia (abscessos metastaticos),  Endocardite,  Pneumonia,  Meningite,  Artrite bacteriana.  Feridas cirúrgicas, queimaduras...
  • 35.
    Staphylococcus aureus  Fatoresde virulência:  Cápsula  Impedir a fagocitose;  Aderência  Proteína A  Presente na parede celular;  Uni-se a região Fc da IgG – interferindo a opsonização --- fagocitose;
  • 36.
    Staphylococcus aureus  Fatoresde virulência:  Enzimas:  Catalase – atua inativando peróxido de hidrogênio e radicais livres tóxicos formados no interior das células fagocitárias.  Coagulase ou fator de agregação - recobre as células bacterianas com fibrina – opsonizacao – fagocitose.  Fibrinolisina – degrada coágulos de fibrina – disseminação da infecção.
  • 37.
    Staphylococcus aureus  Fatoresde virulência:  Hemolisinas:  Alfa - hemolisina – tem ação letal sobre leucócitos polimorfonucleares e eritrócitos (Agar sangue).  Beta - hemolisina – tem ação contra uma variedade de células (Agar sangue).
  • 38.
    Staphylococcus aureus  Fatoresde virulência:  Toxinas:  Leucocidinas : leucócitos;  Exfoliatinas ou Toxinas epidermoliticas: dissolvem a matriz mucopolissacaridica da epiderme – Síndrome estafilococica da pele escaldada.
  • 39.
    Síndrome da PeleEscaldada - Exfoliatina (Gottifried Ritter, 1878)  Formação de bolhas;  Aparecimento de áreas descamadas em carne viva.  Recém-nascidos e lactentes.
  • 40.
  • 41.
    Staphylococcus aureus  Fatoresde virulência:  Toxinas:  Enterotoxinas A e E : Intoxicação estafilococica alimentar.  Mecanismo desconhecido – peristaltismo intestinal  Diarréia e vomito – 2 a 8 horas.
  • 42.
    Staphylococcus aureus  Fatoresde virulência:  Toxinas:  Toxina da síndrome do choque tóxico 1: Síndrome do choque tóxico  Febre, hipotensão, vertigem ortostatica, eritrodermia (rash),vômitos, diarréia, insuficiência renal, cefaléia, calafrios, faringite e conjuntivite.  Mecanismo – não esclarecido
  • 43.
    Staphylococcus epidermidis A segundaespécie mais importante do gênero Staphylococcus. E uma espécie bem menos virulenta do que S. aureus.
  • 44.
    Staphylococcus epidermidis • Nãoapresentam a produção de coagulase • Algumas cepas apresentam a produção muito tímida de certas enzimas • Esta espécie tem muitos fatores de adesão, sendo perigosa para pacientes que fazem uso de material invasivo de plástico (cateter, próteses, etc.).
  • 45.
    Staphylococcus epidermidis • Podecausar: • Endocardite; • Infecções por cateter; • Bacteremia; • Infecções de feridas; • Infecções urinarias; • Infecções em locais com prótese...
  • 46.
    Staphylococcus saprophyticus • Nãoapresentam a produção de coagulase • Frequentemente causa infecção do trato urinário, especialmente em mulheres, podendo chegar a causar cistite, uretrite e pielonefrite, e em casos extremos bacteremia.
  • 47.
  • 48.
    Coleta (swab) Gram Agar Sangue 18-24h / 370C Testes de Identificação Caldo de Enriquecimento 18-24 h / 370C
  • 49.
    Diagnóstico Laboratorial  Provada Catalase:  Consiste em colocar uma amostra de bactéria em contato com o peróxido de hidrogênio, e pesquisar a formação de bolhas de oxigênio. 2H2O2 2H2O + ↑O2 catalase
  • 50.
  • 52.
    Diagnóstico Laboratorial  Provada Coagulase: A produção de coagulase é exclusiva ao Staphylococcus aureus. coagulase Fibrinogênio Fibrina
  • 53.
    No laboratório clínico,faz-se um ensaio com plasma de coelho. A bactéria em questão é inoculada num tubo com plasma de coelho. Se o plasma coagular, a espécie é S. aureus. Se não coagular deixar mais 20h, totalizando 24h verificar novamente
  • 55.
    Identificação de Staphylococcus CocoGRAM + catalase + Streptococcaceae - Staphylococcus spp. Coagulase + Staphylococcus aureus Staphylococcus Coagulase negativa -
  • 56.
  • 62.
    Streptococcus  Fisiologia eEstrutura:  Cocos Gram positivos em cadeias curtas ou longas, catalase negativos, anaeróbios facultativos, nutricionalmente exigentes.  Crescem em Agar sangue .  Colônias > 0,5 mm - Grupos A,C,G  Colônias < 0,5 mm - “Grupo viridans”, “Grupo milleri
  • 66.
    Classificação dos Estreptococos Característica Hemolítica: Hemólise em Placas de Agar Sangue
  • 67.
    Classificação dos Estreptococos Classificaçãosorológica realizada no Instituto Rockfeller / N. York/USA - 1933 Rebecca Lancefield 1895-1981
  • 68.
    Classificação dos Estreptococos Grupos Sorológicos: 20 grupos – Grupos de Lancefield: Carboidrato C (variações na composição) – parede celular. (A,B,C,D,E,F,G,H,K,L,M,N,O,P,Q,R,S,t,U e V).  Grupo A - Streptococcus pyogenes  Grupo B - Streptococcus agalactiae  Grupo C - S. equi, S. dysgalactiae  Grupo D - S. bovis, S. equinus  Grupo viridans - S. mitis, S. mutans, S. salivarius  Grupo milleri - S. anginosus, S. intermedius
  • 69.
    Estudo do GêneroStreptococcus  Principais Espécies:  S. pyogenes – grupo “A”  S. agalactiae – grupo “ B”  S. pneumoniae  S. viridans  Enterococcus faecali
  • 70.
  • 71.
    Streptococcus pyogenes  Fatoresde virulência:  Fibrila – possibilita a fixação da bactéria a mucosa faringoamigdalina.  Composição: Proteína M e o acido lipoteicoico.  Presente na parede celular  Interação com a fibronectina – receptor das células da mucosa do hospedeiro.  Invasão não e bem conhecido.
  • 72.
    Streptococcus pyogenes  Fatoresde virulência:  Toxina eritrogenica (Streptococcal pyogenes exotoxin - Spe):  Dissemina pela via hematogenica  Altera a permeabilidade capilar  Origina eritemas característicos da escarlatina.  Cápsula – fagocitose;  Proteína M – fagocitose;  Estreptolisina O – lesa as hemácias e outras células.
  • 73.
    Streptococcus pyogenes  Infecçõesmais freqüentes, localizam-se:  Faringe e Amídalas (faringoamigdalites)  Pele (piodermites – Impetigo - e erisipela) *** Bacteremia *** Febre reumática *** Glomerulonefrite *** Outras infecções
  • 74.
    Streptococcus pyogenes A respostaimunológica gerada leva à formação de anticorpos com reação cruzada entre certos antígenos estreptocócicos e os tecidos humanos, e pode ser responsável pela patologia associada com essas seqüelas não purulentas.
  • 75.
  • 76.
  • 77.
  • 78.
  • 79.
    Streptococcus agalactiae  Algumasamostras podem não produzir hemólise beta.  Colonizam o trato respiratório superior, trato intestinal baixo e vagina, de modo que 5 a 40% das gestantes podem estar colonizadas, possibilitando infecção em recém nascidos.  São inicialmente reconhecidos como causadores de sepsis puerperal e infecções neonatais ou perinatais.  A infecção pode ocorrer no útero, no momento do nascimento ou nos primeiros meses de vida.  Doença Neonatal:  Bacteremia, pneumonia, meningite  Pós parto:  Endometrite, infecção de ferida cirúrgica
  • 80.
    Streptococcus pneumoniae (Pneumococos)  Cocoscapsulados, Gram positivos, 0,5 - 1,2 mm, em forma de diplococos lanceolados, podem ser encontrados em cadeias curtas ou ocasionalmente em células isoladas.  Colônias Lisas - capsuladas e virulentas  Colônias Rugosas - ausência de cápsula
  • 81.
    Streptococcus pneumoniae (Pneumococos)  NoAgar sangue formam colônias de 0,5 a 1mm de diâmetro, apresentando hemólise tipo alfa (parcial), mucoides de acordo com a presença de cápsula, verificando-se geralmente uma depressão central decorrente de autólise.  Necessitam de um meio complexo e o estímulo de CO2 para o crescimento.
  • 82.
    Streptococcus pneumoniae (Pneumococos)  Pneumonia Ocorre quando os mecanismos de defesa estão comprometidos, permitindo colonização do trato respiratório superior e migração para a árvore brônquica, geralmente posterior a uma virose ou mesmo após casos de sarampo. *** Meningite, Septicemia, Otite media, sinusite
  • 83.
    Enterococcus  Algumas espécies:E. faecalis, E. faecium, E. casselifavus , etc.  Bacteremias, Endocardite, Infecções do trato urinário e biliar, infecções de feridas, infecções pélvicas e intra-abdominais.
  • 84.
  • 85.
    Coleta (swab) Gram Agar Sangue 18-24h / 370C Testes de Identificação Caldo de Enriquecimento 18-24 h / 370C
  • 86.
    Crescimento em AgarSangue  HEMÓLISE APRESENTADA:  Total – Beta hemólise  Parcial – Alfa hemólise  Ausência de hemólise - Gama
  • 87.
    Diagnóstico Laboratorial  Provada Catalase:  Consiste em colocar uma amostra de bactéria em contato com o peróxido de hidrogênio, e pesquisar a formação de bolhas de oxigênio. 2H2O2 2H2O + ↑O2 catalase
  • 88.
    Micrococcaceae + As bactérias destafamília são catalase POSITIVAS Streptococcaceae - As bactérias desta família são catalase NEGATIVAS
  • 89.
    Teste da Bacitracina O teste da bacitracina é realizado para a identificação presuntiva de Streptococcus pyogenes (estreptococos beta hemolítico de grupo A de Lancefield), uma vez que 95% das amostras são sensíveis a este antimicrobiano.  Para a realização do teste, semeia-se uma placa de ágar- sangue com a amostra beta-hemolítica em identificação.  No centro da área semeada deposita-se um disco contendo bacitracina.  As culturas são incubadas a 37oC durante 24 horas.  A observação de um halo de inibição do crescimento ao redor do disco indica susceptibildiade.
  • 91.
    Teste da Optoquina a)A partir da placa de semeadura primária, selecionam-se três ou quatro colônias bem isoladas do microrganismo a ser testado e inocula-se por estrias, a metade de uma placa de agar sangue de b) Coloca-se um disco padronizado contendo 5mg de optoquina, no centro da área inoculada, incubando- se a 35-37°C durante 18-24 horas, em uma jarra com vela (5% a 10% de CO2). c) O aparecimento de uma zona de inibição de 14- 18mm indica, presuntivamente, a presença do Streptococcus pneumoniae.
  • 93.
  • 94.
    Teste da BileEsculina a) A partir da placa de agar sangue, inocula-se duas a três colônias suspeitas no meio de agar bile esculina, inclinado em tubos 13x100. Incubar a 37°C durante 18-24 horas. b) Se ocorrer um enegrecimento na superfície inclinada do meio, a prova é considerada positiva e identifica presuntivamente amostras de Enterococcus e Streptococcus do grupo sorológico "D". Havendo uma modificação discreta ou nenhuma alteração no meio, o teste é considerado negativo.
  • 95.
    Teste da BileEsculina
  • 96.