BACILOS GRAM POSITIVOSAna Claudia Souza Rodrigues2011
BGP Coryneformes
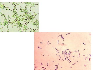
BGP REGULARES
BGP Esporulados
BGP Ramificados X Fungos
Bacilos Gram PositivosAnaeróbios: Propionibacterium, Actinomyces, Clostridium, Lactobacillus, Mobiluncus, Eubacterium e Bifidobacterium.Outros: Mycobacteriumaerotolerantes
Gêneros de BGP
TRIAGEM INICIALBacilos esporulados – Clostridium e BacillusÁcool-ácido resistentes – Nocardia (ramificado), MycobacteriumRamificado – Nocardia, Mycobacterium.Hemólise – alfa – ErisipelotrixBeta – Arcanobacterium, Gardnerella e Listeria.
CORINEFORMESPrincipais doenças: Actinomicose (Actinomyces), Antraz (B. anthracis), Intoxicação alimentar, sepse, endocardite, bacteremia, pneumonia(B. cereus, Rothia), vaginose, endometrite (Gardnerella), meningite, sepse, aborto (Listeria), abcesso cerebral e pulmonar (Nocardia) ou agentes oportunistas (Streptomyces).
CORYNEBACTERIUM DE IMPORTÂNCIA CLÍNICABGP, CATALASE POSITIVAS, IMÓVEIS.Retos ou ligeiramente curvos, com extremidades em geral arredondadas, com a forma de clava, podendo apresentar arranjos característicos em paliçada ou letras chinesas, podendo ou não apresentar grânulos metacromáticos, que são melhores visualizados através da coloração de Albert-Laybourn, e que caracterizam as bactérias conhecidas como difteróides.C. diphtheriae, C. ulcerans - podem produzir a toxina diftérica.C. jeikeium – Infecções hospitalares
DIFTERIAA infecção caracteriza-se por processo infeccioso localizado no trato respiratório e manifestações tóxicas no coração e nervos periféricos.Ocorre dor de garganta, dificuldade de deglutição, presença de pseudomembrana purulenta, dor no corpo, cefaléia, náuseas e febre. A morte pode ocorrer por obstrução respiratória (pescoço de touro) ou por miocardite (destruição celular). Pode ocorrer difteria cutânea com lesões necróticas e, eventualmente, presença de pseudomembrana.
CorynebacteriumColonizam pele, trato genito-urinário, aparelho respiratório e aparelho digestivo.C. diphtheriae – gene que codifica aexotoxina tox introduzido por um bacteriófago. A difteria ou crupe é uma doença infectocontagiosa causada pela toxina que provoca inflamação da mucosa da garganta, do nariz e, às vezes, da traquéia e dos brônquios.Difteria – portadores assintomáticos de bucofaringe e pele. Transmissão – gotículas respiratórias e contato cutâneo. Leite cru também já foi apontado como causador da doença.Incubação – 3 a 5 dias    Morte – 5 a 20%.A vacinação é eficiente.
C. diphteriaeCOLORAÇÃO – ALBERT LAYBORNMEIO SELETIVO - LOEFFER
ArcanobacteriumFaringites, geralmente hemolíticos.
Bacilos de DuoderleinGARDNERELLA
GARDNERELLA
IDENTIFICAÇÃO G. vaginalisHemólise beta – sangue de coelhoBacterioscopia: Pleomórficos, imóveis, Gram variáveis, cat -, oxid -.Mucosa vaginal – pH>4,5 e cheiro de peixe
LISTERIASete espécies - só a L. monocytogenesé importante para o homem. Móvel a temperatura ambiente (25 a 28oC) e imóvel a 37oC. Importância clínica - idosos e imunocomprometidos(meningite, encefalite ou sepse). Grávida - amnionite, infecção do feto com aborto, parto prematuro, meningite neonatal e sepse neonatal. Relacionados a contaminação de alimentos.
LISTERIACrescem em ágar sangue, ágar Chocolate, CLED, ágar nutriente, TSA e ágar Mueller Hinton, mas não em Mac Conkey. As colônias são pequenas.Bacilo Gram positivo anaeróbio facultativo, catalase positiva, oxidase negativa. Hemólise beta em ágar sangue de carneiro, CAMP positivo, motilidade positiva à temperatura ambiente. Diferenciar de S. agalactiae.
CUIDADO!!!Também causam meningitesPatógeno facultativo intracelular – macrófagos, células epiteliais, fibroblastos.Depois de penetrar na célula, o pH ácido do fagolisosoma que rodeia as bactérias, háativação de Iisteriolisina O e das enzimas de fosfolipasa C, o que conserva a liberaçãodas bactérias no citosol da célula. As bactérias se replicam e posteriormente se movematravés da célula para a célula adjacente.
BACILLUSGênero Bacillus- 50 espécies de bacilos anaeróbios facultativos que podem exibir a forma esporulada, corando-se mal pela violeta, quando em colônia mais velhas. As formas vegetativas são retas largas, podendo ser grandes, isolados ou em cadeias. A forma e localização dos endosporossão úteis para sua classificação:podem ser cilíndricos, ovais, redondos, e eventualmente com forma de feijãoposição central, sub-terminal, terminaldilatando ou não a célula mãe     Todos são móveis, exceto o B. anthracis e B. mycoides e a maioria é catalase positiva.
Principais gêneros esporulados
B. anthracisCutâneo – fatal em 20% dos casos (lesão na cabeça/pescoço). 2 a 3 dias – mancha ou pápula com vesículas. Indolor sem pus.Intestinal – semelhante, mas pode apresentar gastroenterites.
B. anthracisPulmonar – Inalado  Macrófagos do pulmão  sistema linfático  germinam esporos  sepse. Começam com dispneía e evoluem para choque e morte.
ESPORULADOS
BACILLUS/CLOSTRIDIUM - esporulados
ACTINOMICETOSProduzem estruturas ramificadas semelhante a hifas, CATALASE POSITIVANocardia – forma pulmonar e extrapulmonarCrescimento 72h, beta hemólise, uréia positivaRhodococcusStreptomyces – grânulos duros. Massa de BGP finos, cheiro de terra molhada, cresce bem em ágar Sabouraud (meio para fungos).
NOCARDIAÁlcool ácido resistentes débeis (possuem ác. Micólico em sua parede).Moléculas de trealose unidas ao ácido micólico fazem com que as nocardias assim como Mycobacterium possam formar fator Corda (fator de virulência que facilita a sobrevida bacteriana)
NOCARDIAEnfermidade broncopulmonar em pacientes imunodeprimidos ou imunocompetentes com doenças graves.Nocardiosecutanea: micetoma, enfermidadelinfocutânea, infecçãocutânea superficial comformação de abscessos e celulites.Evitameliminação pela fagocitose, se multiplicam no interior dos fagócitos. Infecções exógenas.Crescememmeios de cultura para bactériascomtensão de CO2
FASTIDIOSOSExigências especiais de condições de cultivo (CO2, crescimento lento de 48h com a necessidade de até 30 dias de incubação - Brucella, adição de fatores especiais de crescimento)Podem ser Gram negativos ou Gram lábeis, oxidase positivos e não crescem em MacConkey. Importantes em sítios estéreisPara realizar os testes bioquímicos é necessário meio CTA ou adicionar soro de coelho ou cavalo e inóculo bem denso.Principais gêneros: Brucella, Bordetella e Hamophylus
FASTIDIOSOSAlguns dos fastidiosos estão relacionados a contato com saliva, sangue, fezes, através de acidente perfuro-cortante ou mordida de animais domésticos ou silvestres (Pasteurella, Bartonella, Francisella e Brucella).Destaca-se ainda a necessidade de precauções especiais no manuseio de alguns destes agentes pelo potencial patogênico (Brucella e Francisella).
HAEMOPHILUSMicrobiota de orofaringe e nasofaringeImportante causador de meningite, pneumonia, pericardite, celulite em RN.Crianças até 5 anos – ITU, peritoniteÁgartripticase soja ou BHIAntibiograma - HTM
PROVA DO SATELITISMOÁgar sangue de carneiro – semear suspensão sol. Salina 1 a 2 McFarland.Semear uma estria de S.aureus (ATCC23922)Incubar 18 a 24 horas em tensão de CO2O crescimento de pequenas colônias em volta do S. aureusna região de hemólise indica reação positiva.
BORDETELLAMATERIAL - Swab ou aspirado de nasofaringe e semeadura imediata em meios específicos e em ágar sangue. Meio de Bordet & GengouImunofluorescênciaIsolamento e IdentificaçãoCocobacilos Gram negativos pequenos e aeróbios estritos. A safranina/fucsinadeve ser corada pelo Gram durante 2 minutos para melhorar a coloração. Enviar para laboratório de referência - confirmação
BORDETELLAB. pertussis (coqueluche- tosse comprida) e B. parapertussis.Crianças não vacinadas, com clínica bastante característica: Período prodrômico, que inicia 5 a 10 dias após a aquisição do agente (sintomas semelhantes a um resfriado ou gripe). Fase altamente contagiosa e com sintomas inespecíficos. Tratamento - EritromicinaPeríodo paroxístico - tosse convulsiva, persistente e característica seguida de inspiração ruidosa. Complicações – cianose, vômito, convulsões, insuficiência respiratória, encefalopatia, infecções secundárias, etc.  ATB não são eficazes.A convalescença ocorre cerca de quatro semanas após inicio dos primeiros sintomas.
BRUCELLAA brucelose - sintomas vagos -  febre baixa, calafrios, sudorese noturna, cefaléia, mialgia e artralgia. Pode ser acompanhada na forma crônica de alterações hematológicas importantes como leucopenia, pancitopenia, trombocitopenia, anemia hemolítica, etc.Está associado à ingestão de leite e derivados e carne de mamíferos, à veterinários, açougueiros ou trabalhadores rurais que manipulam carne e sangue destes animais e à acidentes em laboratórios.Material: Sangue, aspirado de medula, aspirado e biópsia de gânglios, fígado, baço, LCR
BRUCELLACrescem bem em Ágar sangue, ágar chocolate, TripticaseSoyÁgar e Brucellaágar(48 a 72 horas). Colônias são pequenas, brancas a creme, e ao Gram visualizam-se coco-bacilos bem finos e pequenos.
LEGIONELLALegionellapneumophilaDoença dos legionáriosPneumonia com ou sem sepsePode ocorrer infecções de partes moles e sinusite. Água contaminada. Largamente distribuída na natureza em ambiente úmido e água potável e ocasionalmente em chuveiros.
LegionellaOs sintomas são febre, mal-estar, mialgia e tosse. A pneumonia é a forma mais frequente de manifestação da doença, acompanhada dos mesmos sintomas acima descritos para a forma não pulmonar e em geral com tosse não produtiva.
FIM

Aula 6 - M

  • 1.
    BACILOS GRAM POSITIVOSAnaClaudia Souza Rodrigues2011
  • 2.
  • 3.
  • 4.
  • 5.
  • 6.
    Bacilos Gram PositivosAnaeróbios:Propionibacterium, Actinomyces, Clostridium, Lactobacillus, Mobiluncus, Eubacterium e Bifidobacterium.Outros: Mycobacteriumaerotolerantes
  • 8.
  • 9.
    TRIAGEM INICIALBacilos esporulados– Clostridium e BacillusÁcool-ácido resistentes – Nocardia (ramificado), MycobacteriumRamificado – Nocardia, Mycobacterium.Hemólise – alfa – ErisipelotrixBeta – Arcanobacterium, Gardnerella e Listeria.
  • 11.
    CORINEFORMESPrincipais doenças: Actinomicose(Actinomyces), Antraz (B. anthracis), Intoxicação alimentar, sepse, endocardite, bacteremia, pneumonia(B. cereus, Rothia), vaginose, endometrite (Gardnerella), meningite, sepse, aborto (Listeria), abcesso cerebral e pulmonar (Nocardia) ou agentes oportunistas (Streptomyces).
  • 12.
    CORYNEBACTERIUM DE IMPORTÂNCIACLÍNICABGP, CATALASE POSITIVAS, IMÓVEIS.Retos ou ligeiramente curvos, com extremidades em geral arredondadas, com a forma de clava, podendo apresentar arranjos característicos em paliçada ou letras chinesas, podendo ou não apresentar grânulos metacromáticos, que são melhores visualizados através da coloração de Albert-Laybourn, e que caracterizam as bactérias conhecidas como difteróides.C. diphtheriae, C. ulcerans - podem produzir a toxina diftérica.C. jeikeium – Infecções hospitalares
  • 14.
    DIFTERIAA infecção caracteriza-sepor processo infeccioso localizado no trato respiratório e manifestações tóxicas no coração e nervos periféricos.Ocorre dor de garganta, dificuldade de deglutição, presença de pseudomembrana purulenta, dor no corpo, cefaléia, náuseas e febre. A morte pode ocorrer por obstrução respiratória (pescoço de touro) ou por miocardite (destruição celular). Pode ocorrer difteria cutânea com lesões necróticas e, eventualmente, presença de pseudomembrana.
  • 15.
    CorynebacteriumColonizam pele, tratogenito-urinário, aparelho respiratório e aparelho digestivo.C. diphtheriae – gene que codifica aexotoxina tox introduzido por um bacteriófago. A difteria ou crupe é uma doença infectocontagiosa causada pela toxina que provoca inflamação da mucosa da garganta, do nariz e, às vezes, da traquéia e dos brônquios.Difteria – portadores assintomáticos de bucofaringe e pele. Transmissão – gotículas respiratórias e contato cutâneo. Leite cru também já foi apontado como causador da doença.Incubação – 3 a 5 dias Morte – 5 a 20%.A vacinação é eficiente.
  • 16.
    C. diphteriaeCOLORAÇÃO –ALBERT LAYBORNMEIO SELETIVO - LOEFFER
  • 17.
  • 18.
  • 19.
  • 20.
    IDENTIFICAÇÃO G. vaginalisHemólisebeta – sangue de coelhoBacterioscopia: Pleomórficos, imóveis, Gram variáveis, cat -, oxid -.Mucosa vaginal – pH>4,5 e cheiro de peixe
  • 21.
    LISTERIASete espécies -só a L. monocytogenesé importante para o homem. Móvel a temperatura ambiente (25 a 28oC) e imóvel a 37oC. Importância clínica - idosos e imunocomprometidos(meningite, encefalite ou sepse). Grávida - amnionite, infecção do feto com aborto, parto prematuro, meningite neonatal e sepse neonatal. Relacionados a contaminação de alimentos.
  • 22.
    LISTERIACrescem em ágarsangue, ágar Chocolate, CLED, ágar nutriente, TSA e ágar Mueller Hinton, mas não em Mac Conkey. As colônias são pequenas.Bacilo Gram positivo anaeróbio facultativo, catalase positiva, oxidase negativa. Hemólise beta em ágar sangue de carneiro, CAMP positivo, motilidade positiva à temperatura ambiente. Diferenciar de S. agalactiae.
  • 24.
    CUIDADO!!!Também causam meningitesPatógenofacultativo intracelular – macrófagos, células epiteliais, fibroblastos.Depois de penetrar na célula, o pH ácido do fagolisosoma que rodeia as bactérias, háativação de Iisteriolisina O e das enzimas de fosfolipasa C, o que conserva a liberaçãodas bactérias no citosol da célula. As bactérias se replicam e posteriormente se movematravés da célula para a célula adjacente.
  • 26.
    BACILLUSGênero Bacillus- 50espécies de bacilos anaeróbios facultativos que podem exibir a forma esporulada, corando-se mal pela violeta, quando em colônia mais velhas. As formas vegetativas são retas largas, podendo ser grandes, isolados ou em cadeias. A forma e localização dos endosporossão úteis para sua classificação:podem ser cilíndricos, ovais, redondos, e eventualmente com forma de feijãoposição central, sub-terminal, terminaldilatando ou não a célula mãe Todos são móveis, exceto o B. anthracis e B. mycoides e a maioria é catalase positiva.
  • 27.
  • 28.
    B. anthracisCutâneo –fatal em 20% dos casos (lesão na cabeça/pescoço). 2 a 3 dias – mancha ou pápula com vesículas. Indolor sem pus.Intestinal – semelhante, mas pode apresentar gastroenterites.
  • 29.
    B. anthracisPulmonar –Inalado  Macrófagos do pulmão  sistema linfático  germinam esporos  sepse. Começam com dispneía e evoluem para choque e morte.
  • 30.
  • 31.
  • 32.
    ACTINOMICETOSProduzem estruturas ramificadassemelhante a hifas, CATALASE POSITIVANocardia – forma pulmonar e extrapulmonarCrescimento 72h, beta hemólise, uréia positivaRhodococcusStreptomyces – grânulos duros. Massa de BGP finos, cheiro de terra molhada, cresce bem em ágar Sabouraud (meio para fungos).
  • 34.
    NOCARDIAÁlcool ácido resistentesdébeis (possuem ác. Micólico em sua parede).Moléculas de trealose unidas ao ácido micólico fazem com que as nocardias assim como Mycobacterium possam formar fator Corda (fator de virulência que facilita a sobrevida bacteriana)
  • 35.
    NOCARDIAEnfermidade broncopulmonar empacientes imunodeprimidos ou imunocompetentes com doenças graves.Nocardiosecutanea: micetoma, enfermidadelinfocutânea, infecçãocutânea superficial comformação de abscessos e celulites.Evitameliminação pela fagocitose, se multiplicam no interior dos fagócitos. Infecções exógenas.Crescememmeios de cultura para bactériascomtensão de CO2
  • 36.
    FASTIDIOSOSExigências especiais decondições de cultivo (CO2, crescimento lento de 48h com a necessidade de até 30 dias de incubação - Brucella, adição de fatores especiais de crescimento)Podem ser Gram negativos ou Gram lábeis, oxidase positivos e não crescem em MacConkey. Importantes em sítios estéreisPara realizar os testes bioquímicos é necessário meio CTA ou adicionar soro de coelho ou cavalo e inóculo bem denso.Principais gêneros: Brucella, Bordetella e Hamophylus
  • 37.
    FASTIDIOSOSAlguns dos fastidiososestão relacionados a contato com saliva, sangue, fezes, através de acidente perfuro-cortante ou mordida de animais domésticos ou silvestres (Pasteurella, Bartonella, Francisella e Brucella).Destaca-se ainda a necessidade de precauções especiais no manuseio de alguns destes agentes pelo potencial patogênico (Brucella e Francisella).
  • 39.
    HAEMOPHILUSMicrobiota de orofaringee nasofaringeImportante causador de meningite, pneumonia, pericardite, celulite em RN.Crianças até 5 anos – ITU, peritoniteÁgartripticase soja ou BHIAntibiograma - HTM
  • 41.
    PROVA DO SATELITISMOÁgarsangue de carneiro – semear suspensão sol. Salina 1 a 2 McFarland.Semear uma estria de S.aureus (ATCC23922)Incubar 18 a 24 horas em tensão de CO2O crescimento de pequenas colônias em volta do S. aureusna região de hemólise indica reação positiva.
  • 43.
    BORDETELLAMATERIAL - Swabou aspirado de nasofaringe e semeadura imediata em meios específicos e em ágar sangue. Meio de Bordet & GengouImunofluorescênciaIsolamento e IdentificaçãoCocobacilos Gram negativos pequenos e aeróbios estritos. A safranina/fucsinadeve ser corada pelo Gram durante 2 minutos para melhorar a coloração. Enviar para laboratório de referência - confirmação
  • 44.
    BORDETELLAB. pertussis (coqueluche-tosse comprida) e B. parapertussis.Crianças não vacinadas, com clínica bastante característica: Período prodrômico, que inicia 5 a 10 dias após a aquisição do agente (sintomas semelhantes a um resfriado ou gripe). Fase altamente contagiosa e com sintomas inespecíficos. Tratamento - EritromicinaPeríodo paroxístico - tosse convulsiva, persistente e característica seguida de inspiração ruidosa. Complicações – cianose, vômito, convulsões, insuficiência respiratória, encefalopatia, infecções secundárias, etc. ATB não são eficazes.A convalescença ocorre cerca de quatro semanas após inicio dos primeiros sintomas.
  • 45.
    BRUCELLAA brucelose -sintomas vagos - febre baixa, calafrios, sudorese noturna, cefaléia, mialgia e artralgia. Pode ser acompanhada na forma crônica de alterações hematológicas importantes como leucopenia, pancitopenia, trombocitopenia, anemia hemolítica, etc.Está associado à ingestão de leite e derivados e carne de mamíferos, à veterinários, açougueiros ou trabalhadores rurais que manipulam carne e sangue destes animais e à acidentes em laboratórios.Material: Sangue, aspirado de medula, aspirado e biópsia de gânglios, fígado, baço, LCR
  • 46.
    BRUCELLACrescem bem emÁgar sangue, ágar chocolate, TripticaseSoyÁgar e Brucellaágar(48 a 72 horas). Colônias são pequenas, brancas a creme, e ao Gram visualizam-se coco-bacilos bem finos e pequenos.
  • 48.
    LEGIONELLALegionellapneumophilaDoença dos legionáriosPneumoniacom ou sem sepsePode ocorrer infecções de partes moles e sinusite. Água contaminada. Largamente distribuída na natureza em ambiente úmido e água potável e ocasionalmente em chuveiros.
  • 49.
    LegionellaOs sintomas sãofebre, mal-estar, mialgia e tosse. A pneumonia é a forma mais frequente de manifestação da doença, acompanhada dos mesmos sintomas acima descritos para a forma não pulmonar e em geral com tosse não produtiva.
  • 50.