TUMORES DA GLÂNDULA SUPRA RENAL ADRENALECTOMIA LAPAROSCÓPICA  TRANSPERITONEAL Dr. Guilherme Camarcio Neiva Urologista
 
Anatomia Cranial / medial aos rins Sem correlação funcional Peso: 3-5g
vascularização arterial Sistema arterial: frênica inferior aorta  renal As faces anterior, posterior e inferolateral são pouco vascularizadas
vascularização arterial
Adrenal: vascularização venosa Direita: supero-medial > v. cava Esquerda: infero-medial > v. renal
Drenagem venosa Esquerda Direita
Fisiologia Cortex: aldosterona, corticosterona, cortisona, cortisol e desoxicortisona Medula: nor e adrenalina
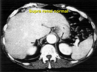
Diagnóstico  Clínico  / laboratorial: variável USG Imagens: TC RNM
Supra renal normal
Mielolipoma
Hemorragia da supra renal
Feocromocitoma
Linfoma
 
 
 
PRINCIPAIS INCIDENTALOMAS DA SUPRA-RENAL Siekarizza JL, Bernardino ME, Samaam NA.  Suprarenal mass and its differential diagnosis Urology 18: pp. 625-32, 1981. PATOLOGIA  FREQÜÊNCIA % Adenoma cortical 70 - 94 Adenocarcinoma cortical 0 – 25 Feocromocitoma 0 – 11 Cistos 4 - 22  Mielolipoma 7 – 15 Metástases 0 – 73 Outros  (pseudocistos, granulomas, lipomas, hamartomas) 0 - 10
ESTUDOS DE IMAGENS INCIDENTALOMAS   Exames % Tomografias 0,35 RNM 1,5 Adenomas  95 Resnek RH, Armstrong P. imaging in endocrinology. The adrenal gland. Clin Endocrinol (Oxf), 40: 561, 1994. Korobkin M, Brodeur FJ, Francis IR et al.  Delayed enhanced CT for differentiation of benign from malignant adrenal masses radiology, 200: 737, 1996
ESTUDO DE IMAGENS TC % Sensibilidade  85  Especificidade  100  Densidade  0 - 30 (UH) Hounsfield Resnek RH, Armstrong P. imaging in endocrinology. The adrenal gland. Clin Endocrinol (Oxf), 40: 561, 1994. Korobkin M, Brodeur Fj, Francis IR et al.  Delayed enhanced CT for differentiation of benign from malignant adrenal masses radiology, 200: 737, 1996
ESTUDOS RADIOISOTÓPICOS MIBG  I - 131 Sensibilidade  86 % Especificidade  99 % Resnek RH, Armstrong P. imaging in endocrinology. The adrenal gland. Clin Endocrinol (Oxf), 40: 561, 1994. Korobkin M, Brodeur FJ, Francis IR et al.  Delayed enhanced CT for differentiation of benign from malignant adrenal masses radiology, 200: 737, 1996 FEOCROMOCITOMAS
TUMORES SUPRA-RENAIS TUMORES % Corticais  70 - 95 Não funcionantes Funcionantes  7 - 12 Catecolaminas (feocromocitoma) Glicocorticóides (Cushing) Mineralocorticóides (Aldosteronoma) Estrógenos / andrógenos Lucon AM, Latronico AC. Doenças benignas e malignas das supra-renais. In: Barata HS, Carvalhal GF. Urologia - Princípios e Prática. Pp. 581-7, ed. ArtMed. 1999
FEOCROMOCITOMA Clínica % Hipertensão  82 Cefaléia  49 Palpitações  40 Sudorese  37 Tremor / agitação / ansiedade Catecolaminas Goldstein RE, et al.  Clinical Experience Over 48 years with feocromocytoma Ann surg 1999; 229(6) 755-764
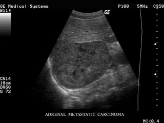
TUMORES METASTÁTICOS 6 – 38 % Mama Pulmão Rim Linfomas Melanomas História prévia tumores Lucon AM, Latronico AC. Doenças benignas e malignas das supra-renais. In: Barata HS, Carvalhal GF. Urologia - Princípios e Prática. Pp. 581-7, ed. ArtMed. 1999
INCIDENTALOMA DE ADRENAL Incidentalomas com indicação de remoção cirúrgica  Qualquer lesão acima de  5cm  > risco malignidade Lesões funcionantes de qualquer tamanho  Lesões não funcionantes >  3cm , em pacientes com menos de 50 anos de idade Crescimento de lesões em acompanhamento anual ou semestral / evidente
CIRÚRGIAS POR VÍDEO Supra-renal / gold standard Fácil acesso Menos sangramento Decréscimo dor pós-operatório Curta permanência hospitalar Rápida recuperação Retorno às atividades
INSTRUMENTOS NECESSÁRIOS Ótica de 30 ° / 10mm Trocateres 5 e 10-12mm (2) Trocater / balão de dissecção / (U.S. Surgical, Norwalk, CT) Trocater Bluntip (U.S. Surgical) / retroperitoneal Bisturí harmônico  Tesoura eletrocirurgica monopolar / bipolar 5mm Hook 5mm Forceps atraumático 5mm Aplicador de endoclip / hem-o-lok Endo-GIA vascular (U.S. Surgical) Irrigador / aspirador Dissectores / afastadores / endocatch bag / lapsac
POSIÇÃO DE TROCATERES TRANSPERITONEAL
ADRENALECTOMIA TRANSPERITONEAL ACESSO / PREPARAÇÃO  DIREITA
ADRENALECTOMIA TRANSPERITONEAL ACESSO / PREPARAÇÃO  ESQUERDA
RESULTADOS DE TRABALHOS PUBLICADOS COM MAIS DE  20 CASOS DE ADRENALECTOMIA LAPAROSCÓPICA Mirandolino e Colaboradores, Adrenalectomia Laparoscópica - Videocirurgia em Urologia – Técnicas e Resultados, Ed. Roca - 2007 Estudos Pacientes (nº) Tempo operatório (min) Taxa de conversão (%) Complicações (%) Internação (dias) Bendinelli Brunt Castilho Duh Filliponi Gagner Gill Henry Mancini Miccoli  Rutherford Smith Terachi Thompson Vargas  60 24 94 23 50 88 110 50 172 25 67 28 100 50 20 96 183 117 226 - 123 188,6 147 132 109 123 152 240 167 155 1,6 0 5,1 0 0 3 - 8 7 0 - 3,5 3 12 10 6 - 21,3 4 0 12 19 8 8,7 - 4,5 3,5 15 6 10 3,4 3,2 6,1 2,2 2,5 2,4 1,9 5 5,8 3 5,1 2,3 7,2 3,1 3,2
RESULTADOS DE PUBLICAÇÕES RECENTES DE ADRENALECTOMIA LAPAROSCÓPICA  Stephen Y. Nakada, Essential Urologic Laparoscopy, Ed. Humana Press - 2003 Autores Cirurgias  Numero de pacientes Abordagem cirúrgica  Tempo (min) Complicações  (%) Mortalidade  (%) Conversão  (%) Guazzoni et al. 2001 Henry et al. 2000 Porpiglia et al. 2001 Valeri et al. 2001 Lezoche et al. 2000 Terachi et al. 2000 Terachi et al. 2001 Saloman et al. 2001 Bonjer et al. 2000 161 169 72 78 108 311 59 115 111 Trans  Trans  Trans  Trans Trans  Trans  Retro Retro Retro  160 129 130 94-120 NR NR NR 118 114 2,8 7,5 16 2,6 2,8 8 12 15,5 11 0 0 0 1,3 0,9 0 0 0 0,9 Nr 5,0 4,0 2,6 0,9 3,2 5,1 0,8 5,0
COMPLICAÇÕES Eventos % Conversão  7,9 Sangramentos  4,7 Lesões outros órgãos  0,7 Infecções  1,4 Comp. Pulmonares  0,9 Cardíacas  0,3 Tromboembolismo  0,01 Brunt LM - The Positive Impact of Laparoscopic on complications of adrenal surg.  Endos. 2002; 16(2) 252-257
OBRIGADO !

ADRENALECTOMIA LAPAROSCÓPICA TRANSPERITONEAL

  • 1.
    TUMORES DA GLÂNDULASUPRA RENAL ADRENALECTOMIA LAPAROSCÓPICA TRANSPERITONEAL Dr. Guilherme Camarcio Neiva Urologista
  • 2.
  • 3.
    Anatomia Cranial /medial aos rins Sem correlação funcional Peso: 3-5g
  • 4.
    vascularização arterial Sistemaarterial: frênica inferior aorta renal As faces anterior, posterior e inferolateral são pouco vascularizadas
  • 5.
  • 6.
    Adrenal: vascularização venosaDireita: supero-medial > v. cava Esquerda: infero-medial > v. renal
  • 7.
  • 8.
    Fisiologia Cortex: aldosterona,corticosterona, cortisona, cortisol e desoxicortisona Medula: nor e adrenalina
  • 9.
    Diagnóstico Clínico / laboratorial: variável USG Imagens: TC RNM
  • 10.
  • 11.
  • 12.
  • 13.
  • 14.
  • 15.
  • 16.
  • 17.
  • 18.
    PRINCIPAIS INCIDENTALOMAS DASUPRA-RENAL Siekarizza JL, Bernardino ME, Samaam NA. Suprarenal mass and its differential diagnosis Urology 18: pp. 625-32, 1981. PATOLOGIA FREQÜÊNCIA % Adenoma cortical 70 - 94 Adenocarcinoma cortical 0 – 25 Feocromocitoma 0 – 11 Cistos 4 - 22 Mielolipoma 7 – 15 Metástases 0 – 73 Outros (pseudocistos, granulomas, lipomas, hamartomas) 0 - 10
  • 19.
    ESTUDOS DE IMAGENSINCIDENTALOMAS Exames % Tomografias 0,35 RNM 1,5 Adenomas 95 Resnek RH, Armstrong P. imaging in endocrinology. The adrenal gland. Clin Endocrinol (Oxf), 40: 561, 1994. Korobkin M, Brodeur FJ, Francis IR et al. Delayed enhanced CT for differentiation of benign from malignant adrenal masses radiology, 200: 737, 1996
  • 20.
    ESTUDO DE IMAGENSTC % Sensibilidade 85 Especificidade 100 Densidade 0 - 30 (UH) Hounsfield Resnek RH, Armstrong P. imaging in endocrinology. The adrenal gland. Clin Endocrinol (Oxf), 40: 561, 1994. Korobkin M, Brodeur Fj, Francis IR et al. Delayed enhanced CT for differentiation of benign from malignant adrenal masses radiology, 200: 737, 1996
  • 21.
    ESTUDOS RADIOISOTÓPICOS MIBG I - 131 Sensibilidade 86 % Especificidade 99 % Resnek RH, Armstrong P. imaging in endocrinology. The adrenal gland. Clin Endocrinol (Oxf), 40: 561, 1994. Korobkin M, Brodeur FJ, Francis IR et al. Delayed enhanced CT for differentiation of benign from malignant adrenal masses radiology, 200: 737, 1996 FEOCROMOCITOMAS
  • 22.
    TUMORES SUPRA-RENAIS TUMORES% Corticais 70 - 95 Não funcionantes Funcionantes 7 - 12 Catecolaminas (feocromocitoma) Glicocorticóides (Cushing) Mineralocorticóides (Aldosteronoma) Estrógenos / andrógenos Lucon AM, Latronico AC. Doenças benignas e malignas das supra-renais. In: Barata HS, Carvalhal GF. Urologia - Princípios e Prática. Pp. 581-7, ed. ArtMed. 1999
  • 23.
    FEOCROMOCITOMA Clínica %Hipertensão 82 Cefaléia 49 Palpitações 40 Sudorese 37 Tremor / agitação / ansiedade Catecolaminas Goldstein RE, et al. Clinical Experience Over 48 years with feocromocytoma Ann surg 1999; 229(6) 755-764
  • 24.
    TUMORES METASTÁTICOS 6– 38 % Mama Pulmão Rim Linfomas Melanomas História prévia tumores Lucon AM, Latronico AC. Doenças benignas e malignas das supra-renais. In: Barata HS, Carvalhal GF. Urologia - Princípios e Prática. Pp. 581-7, ed. ArtMed. 1999
  • 25.
    INCIDENTALOMA DE ADRENALIncidentalomas com indicação de remoção cirúrgica Qualquer lesão acima de 5cm > risco malignidade Lesões funcionantes de qualquer tamanho Lesões não funcionantes > 3cm , em pacientes com menos de 50 anos de idade Crescimento de lesões em acompanhamento anual ou semestral / evidente
  • 26.
    CIRÚRGIAS POR VÍDEOSupra-renal / gold standard Fácil acesso Menos sangramento Decréscimo dor pós-operatório Curta permanência hospitalar Rápida recuperação Retorno às atividades
  • 27.
    INSTRUMENTOS NECESSÁRIOS Óticade 30 ° / 10mm Trocateres 5 e 10-12mm (2) Trocater / balão de dissecção / (U.S. Surgical, Norwalk, CT) Trocater Bluntip (U.S. Surgical) / retroperitoneal Bisturí harmônico Tesoura eletrocirurgica monopolar / bipolar 5mm Hook 5mm Forceps atraumático 5mm Aplicador de endoclip / hem-o-lok Endo-GIA vascular (U.S. Surgical) Irrigador / aspirador Dissectores / afastadores / endocatch bag / lapsac
  • 28.
    POSIÇÃO DE TROCATERESTRANSPERITONEAL
  • 29.
  • 30.
  • 31.
    RESULTADOS DE TRABALHOSPUBLICADOS COM MAIS DE 20 CASOS DE ADRENALECTOMIA LAPAROSCÓPICA Mirandolino e Colaboradores, Adrenalectomia Laparoscópica - Videocirurgia em Urologia – Técnicas e Resultados, Ed. Roca - 2007 Estudos Pacientes (nº) Tempo operatório (min) Taxa de conversão (%) Complicações (%) Internação (dias) Bendinelli Brunt Castilho Duh Filliponi Gagner Gill Henry Mancini Miccoli Rutherford Smith Terachi Thompson Vargas 60 24 94 23 50 88 110 50 172 25 67 28 100 50 20 96 183 117 226 - 123 188,6 147 132 109 123 152 240 167 155 1,6 0 5,1 0 0 3 - 8 7 0 - 3,5 3 12 10 6 - 21,3 4 0 12 19 8 8,7 - 4,5 3,5 15 6 10 3,4 3,2 6,1 2,2 2,5 2,4 1,9 5 5,8 3 5,1 2,3 7,2 3,1 3,2
  • 32.
    RESULTADOS DE PUBLICAÇÕESRECENTES DE ADRENALECTOMIA LAPAROSCÓPICA Stephen Y. Nakada, Essential Urologic Laparoscopy, Ed. Humana Press - 2003 Autores Cirurgias Numero de pacientes Abordagem cirúrgica Tempo (min) Complicações (%) Mortalidade (%) Conversão (%) Guazzoni et al. 2001 Henry et al. 2000 Porpiglia et al. 2001 Valeri et al. 2001 Lezoche et al. 2000 Terachi et al. 2000 Terachi et al. 2001 Saloman et al. 2001 Bonjer et al. 2000 161 169 72 78 108 311 59 115 111 Trans Trans Trans Trans Trans Trans Retro Retro Retro 160 129 130 94-120 NR NR NR 118 114 2,8 7,5 16 2,6 2,8 8 12 15,5 11 0 0 0 1,3 0,9 0 0 0 0,9 Nr 5,0 4,0 2,6 0,9 3,2 5,1 0,8 5,0
  • 33.
    COMPLICAÇÕES Eventos %Conversão 7,9 Sangramentos 4,7 Lesões outros órgãos 0,7 Infecções 1,4 Comp. Pulmonares 0,9 Cardíacas 0,3 Tromboembolismo 0,01 Brunt LM - The Positive Impact of Laparoscopic on complications of adrenal surg. Endos. 2002; 16(2) 252-257
  • 34.