(DII)
Estima-se que mais de 1 milhão de
Americanos têm colite ulcerativa ou
doença de Crohn, as duas formas mais
comuns de doença inflamatória
intestinal.
Essas condições, que podem ser muito
dolorosas e debilitantes, são causadas
por um processo inflamatório crônica do
trato digestivo.
ETIOLOGIA
 Ninguém conhece exatamente o
que causa a Doença inflamatória
intestinal (DII), entretanto o
sistema imunológico, fatores
genéticos e comportamentais
podem estar envolvidos.
 Meio Ambiente. Porque DII
ocorre mais frequentemente entre
pessoas que vivem em cidades e
regiões industrializadas, é possível
que fatores ambientais, incluindo
dieta rica em gordura ou alimentos
refinados possam ser
responsabilizados
 Hereditariedade. Quinze a vinte por
cento das pessoas com colite ulcerativa
ou doença de Crohn tem um dos pais,
um dos irmãos ou um dos filhos com o
mesmo problema. Os pesquisadores já
encontraram um gene que pode ser
responsável pela suscetibilidade à DII.
 Sistema imunológico. bactéria ou
vírus desconhecido. O trato digestivo
começaria a ficar inflamado quando o
sistema imunológico do corpo inicia a
batalha contra os microorganismos
invasores. Também seria possível que a
inflamação se originasse do próprio
dano causado pelo vírus ou pela
bactéria.
DOENÇAS INFLAMATÓRIAS
INTESTINAIS
 Doença de Crohn (DC) pode
ocorrer em qualquer parte do trato
digestivo, frequentemente
atacando todas as camadas (trans
mural) dos tecidos afetados.
 Colite ulcerativa inespecifica (CUI),
comumente ataca somente a
mucosa do cólon e do reto.
PREVALÊNCIA - DII
 Trinta por cento das pessoas com esta
doença estão entre a idade de 10 e 19
anos e a maioria está entre 15 e 35
anos. A média de idade para
diagnóstico é de 27 anos.
 Igual número de homens e mulheres.
 Raça branca tem um risco maior de
desenvolver a doença. Os judeus e
descendentes de europeus possuem um
risco cinco vezes maior do que os
outros brancos de desenvolver a
doença.
.
SINTOMATOLOGIA - DII
 Diarréia crônica
 Dor abdominal e cólica
 Sangue nas fezes
 Fadiga
 Anorexia
 Perda de peso
 Febre
EXAMES COMPLEMENTARES
DII
 Exame proctológico
 Exames laboratoriais
 Colonoscopia
 Histológico
 RX – enema opaco
 TC Abdome
 Ultrasom endoscópico
 Ultra som endoretal
CÂNCER E DII
 Câncer de colon em pacientes
portadores de CUI.
 Duração da doença (quanto maior
tempo da doença, maior o risco)
 Faixa etária – 4 década
 Sintomatologia semelhante
DIAGNOSTICO DIFERENCIAL
 Retocolite esquistossomótica
 Amebíase
 Colite pseudo-granulomatosa
 Tuberculose
 Colite eosinofilica
 DST
 Shiguelose
DOENÇA DE CROHN
 A descrição original da doença de Crohn,
efetuada por Crohn Henzberg e
Oppenheimer em 1932, localizava o
distúrbio em segmentos do íleo, sendo
inicialmente denominada ileíte terminal.
Posteriormente, Crohn e Oppenheimer
descreveram 52 casos de granulomas
intestinais, dos quais 13 pacientes tinham
acometimento ileal, recebendo então a
denominação de ILEÍTE REGIONAL,
atualmente reconhecida como Doença de
Crohn (DC).
DOENÇA DE CROHN
 Enterite regional ou colite granulomatosa
 Inflamação focal, assimétrica, transmural,
recorrente, ocasionalmente granulomatosa
 Pode afetar todo trato gastro-intestinal (íleo
terminal e cólon)
 Complicações sistêmicas e extra-intestinais
PATOLOGIA - DC
 Exclusiva em delgado
 Íleo-colite
 Apenas no cólon
 Restrita a área anorretal
 O cólon é comprometido em 50% dos casos
e o reto é relativamente poupado
 Doença colônica isolada – mais freq cólon
distal
PATOLOGIA - DC
 Processo inflamatório transmural → fístulas,
abscessos, aderências
 Úlceras aftóides, puntiformes ou lineares
 Áreas lesadas entremeadas por mucosa normal
→ pedras de calçamento (cobblestone)
 Mesentério espessado, fibrótico
 Granuloma de células gigantes em 25 a 80%
GRANULOMA NÃO CASEOSOGRANULOMA NÃO CASEOSO
Úlceras orais, cálculo biliar, osteoporose, fístula para parede
abdominal
Suboclusão intestinal na DCSuboclusão intestinal na DC
Inflamação do cólon esquerdo poupando reto
Fatores de exacerbação
DC
 Infecções (respiratórias ou intestinais)
 Tabagismo
 AINES
 Estresse
Identificar margem ileal livre de doença – margem mesentérica afiladaIdentificar margem ileal livre de doença – margem mesentérica afilada
DOENÇA DE CROHN
 A DC se caracteriza por episódios de exacerbação e
remissão, com quadro clínico variável de acordo com
a localização e extensão da doença.
 As lesões podem aparecer da cavidade oral ao ânus,
com preferência ao intestino delgado e grosso.
 O acometimento exclusivo do intestino delgado
ocorre em 27% dos casos, do grosso em 40% e
simultâneo em 30% dos casos.
 Associam-se em mais de 50% dos casos a
manifestações extra-intestinais, que podem atingir
qualquer órgão.
 É mais freqüente em adultos jovens, incidindo em
igual freqüência em ambos os sexos.
TRATAMENTO CLINICO
DC
1. Aminosalicilatos (5-ASA)
2. Sulfasalazina (5-ASA + SULFAPIRIDINA)
3. Corticosteroides
4. Imunosupressores: Azathioprine (Imuran®), 6-MP
(Purinethol®), ...
5. Antibióticos: metronidazole, ampicillin, ciprofloxacin, ...
TRATAMENTO CLÍNICO - DC
 Ac Monoclonais: Infliximab (Remicad):
Ac anti-TNFα
 TNFα
- induz citocinas pró-inflamatórias (IL1 e IL6)
- aumento da migração de linfócitos por maior permeabilidade
- ativa eosinófilos e neutrófilos
 Dose de 5mg/kg em 2h (repetir com 2, 4 e 6 sem)Dose de 5mg/kg em 2h (repetir com 2, 4 e 6 sem)
 Melhor resposta em 8 semMelhor resposta em 8 sem
 Indicação:Indicação:
- Doença grave em pacientes dependentes de corticóides- Doença grave em pacientes dependentes de corticóides
- fístulas perianais múltiplas- fístulas perianais múltiplas
TRATAMENTO CIRÚRGICO – D.CROHN
regras cirúrgicas
 Tratar exclusivamente as complicações
que motivaram a cirúrgica.
 Não extirpar segmentos intestinais só
por estarem acometidos.
 Ao abordar as complicações não
estender a ressecção cirúrgica.
TRATAMENTO CIRÚRGICO
D. CROHN
Considerações para a indicação cirúrgica
 Se todos os recursos clínicos foram
bem aplicados
 Estado nutricional do paciente
 Infecção associada
 Como, quando e por quanto tempo foi
utilizado a corticoterapia
 Cirurgias anteriores
 Riscos associados
RECORRÊNCIA PÓS CIRÚRGICA
D. CROHN
Após completa ressecção do segmento
intestinal:
• 20% - segunda cirurgia em 5 anos
• 50% - segunda cirurgia em 10 anos
• 75% - segunda cirurgia em 15 anos
DOENÇA DE CROHN
 Os doentes com colite exclusiva extensa e
incontinência anal podem se beneficiar da
indicação da proctocolectomia total com
ileostomia definitiva, uma vez que apresentam
baixo índice de recorrência pós-operatória.
A indicação deve ser precoce, nos casos de
incontinência anal, uma vez que o retardo da
indicação cirúrgica nestes doentes faz com que
sejam submetidos a múltiplos tratamentos
cirúrgicos, expondo-os a morbilidade dos
procedimentos e resultando em sofrimento
adicional.
Em doentes com entero-colite, a conduta deve
ser conservadora, uma vez que os índices de
recorrência neste grupo são elevados.
COLITE ULCERATIVA
manifestação
 Crônica ativa (benigna ou grave)
 Fulminante
ETIOPATOGÊNESE - CUI
 Fumo
- RCU é 2 a 6x mais freqüente em
não fumantes
- 75% desenvolvem a doença após
pararem de fumar
- os fumantes intermitentes e
doentes apresentam reativação
quando não estão fumando
MANIFESTAÇÕES SISTÊMICAS
CUI
 Osteoarticulares (artrites,..)
 Cutâneas (eritema nodoso,piodermite
grangrenosa,...)
 Oculares (uveites,...)
 Hepáticas
 Colangite esclerosante (80% dos
pacientes são portadores de CUI)
QUADRO CLÍNICO - CUI
 Envolvimento hepático de 15 a 50%
 Colangite esclerosante em 1 a 5%
- astenia, prurido, icterícia, dor
abdominal e febre
- ↑ dos marcadores de colestase
TRATAMENTO CIRÚRGICO - CUI
 Cirurgia de urgência
 Cirurgia eletiva (extensas com
gravidade, neoplasia)
 Técnica operatória: colectomia total,
proctolectomia com ileostomia
definitiva, proctocolectomia com ileo-
ânus anastomose com reservatorio
ileal.
 O tratamento clínico não cura a doença,
sendo ineficaz na maioria dos casos de
retocolite universal. As indicações para
tratamento cirúrgico são a intratabilidade
clínica, retardo do crescimento,
manifestações extra-intestinais e associação
com câncer.
 A intratabilidade clínica é a indicação mais
freqüente, o que verificamos em nossa
casuística, representando 92,96 % das
indicações eletivas.

Doença inflamatória intestinal

  • 1.
    (DII) Estima-se que maisde 1 milhão de Americanos têm colite ulcerativa ou doença de Crohn, as duas formas mais comuns de doença inflamatória intestinal. Essas condições, que podem ser muito dolorosas e debilitantes, são causadas por um processo inflamatório crônica do trato digestivo.
  • 2.
    ETIOLOGIA  Ninguém conheceexatamente o que causa a Doença inflamatória intestinal (DII), entretanto o sistema imunológico, fatores genéticos e comportamentais podem estar envolvidos.
  • 3.
     Meio Ambiente.Porque DII ocorre mais frequentemente entre pessoas que vivem em cidades e regiões industrializadas, é possível que fatores ambientais, incluindo dieta rica em gordura ou alimentos refinados possam ser responsabilizados
  • 4.
     Hereditariedade. Quinzea vinte por cento das pessoas com colite ulcerativa ou doença de Crohn tem um dos pais, um dos irmãos ou um dos filhos com o mesmo problema. Os pesquisadores já encontraram um gene que pode ser responsável pela suscetibilidade à DII.
  • 5.
     Sistema imunológico.bactéria ou vírus desconhecido. O trato digestivo começaria a ficar inflamado quando o sistema imunológico do corpo inicia a batalha contra os microorganismos invasores. Também seria possível que a inflamação se originasse do próprio dano causado pelo vírus ou pela bactéria.
  • 6.
    DOENÇAS INFLAMATÓRIAS INTESTINAIS  Doençade Crohn (DC) pode ocorrer em qualquer parte do trato digestivo, frequentemente atacando todas as camadas (trans mural) dos tecidos afetados.  Colite ulcerativa inespecifica (CUI), comumente ataca somente a mucosa do cólon e do reto.
  • 7.
    PREVALÊNCIA - DII Trinta por cento das pessoas com esta doença estão entre a idade de 10 e 19 anos e a maioria está entre 15 e 35 anos. A média de idade para diagnóstico é de 27 anos.  Igual número de homens e mulheres.  Raça branca tem um risco maior de desenvolver a doença. Os judeus e descendentes de europeus possuem um risco cinco vezes maior do que os outros brancos de desenvolver a doença. .
  • 8.
    SINTOMATOLOGIA - DII Diarréia crônica  Dor abdominal e cólica  Sangue nas fezes  Fadiga  Anorexia  Perda de peso  Febre
  • 9.
    EXAMES COMPLEMENTARES DII  Exameproctológico  Exames laboratoriais  Colonoscopia  Histológico  RX – enema opaco  TC Abdome  Ultrasom endoscópico  Ultra som endoretal
  • 10.
    CÂNCER E DII Câncer de colon em pacientes portadores de CUI.  Duração da doença (quanto maior tempo da doença, maior o risco)  Faixa etária – 4 década  Sintomatologia semelhante
  • 11.
    DIAGNOSTICO DIFERENCIAL  Retocoliteesquistossomótica  Amebíase  Colite pseudo-granulomatosa  Tuberculose  Colite eosinofilica  DST  Shiguelose
  • 12.
    DOENÇA DE CROHN A descrição original da doença de Crohn, efetuada por Crohn Henzberg e Oppenheimer em 1932, localizava o distúrbio em segmentos do íleo, sendo inicialmente denominada ileíte terminal. Posteriormente, Crohn e Oppenheimer descreveram 52 casos de granulomas intestinais, dos quais 13 pacientes tinham acometimento ileal, recebendo então a denominação de ILEÍTE REGIONAL, atualmente reconhecida como Doença de Crohn (DC).
  • 13.
    DOENÇA DE CROHN Enterite regional ou colite granulomatosa  Inflamação focal, assimétrica, transmural, recorrente, ocasionalmente granulomatosa  Pode afetar todo trato gastro-intestinal (íleo terminal e cólon)  Complicações sistêmicas e extra-intestinais
  • 14.
    PATOLOGIA - DC Exclusiva em delgado  Íleo-colite  Apenas no cólon  Restrita a área anorretal  O cólon é comprometido em 50% dos casos e o reto é relativamente poupado  Doença colônica isolada – mais freq cólon distal
  • 15.
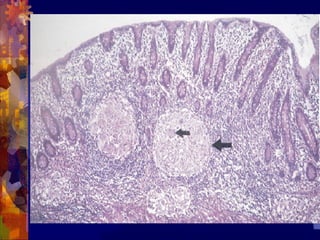
    PATOLOGIA - DC Processo inflamatório transmural → fístulas, abscessos, aderências  Úlceras aftóides, puntiformes ou lineares  Áreas lesadas entremeadas por mucosa normal → pedras de calçamento (cobblestone)  Mesentério espessado, fibrótico  Granuloma de células gigantes em 25 a 80%
  • 16.
  • 20.
    Úlceras orais, cálculobiliar, osteoporose, fístula para parede abdominal
  • 21.
    Suboclusão intestinal naDCSuboclusão intestinal na DC
  • 22.
    Inflamação do cólonesquerdo poupando reto
  • 24.
    Fatores de exacerbação DC Infecções (respiratórias ou intestinais)  Tabagismo  AINES  Estresse
  • 25.
    Identificar margem ileallivre de doença – margem mesentérica afiladaIdentificar margem ileal livre de doença – margem mesentérica afilada
  • 26.
    DOENÇA DE CROHN A DC se caracteriza por episódios de exacerbação e remissão, com quadro clínico variável de acordo com a localização e extensão da doença.  As lesões podem aparecer da cavidade oral ao ânus, com preferência ao intestino delgado e grosso.  O acometimento exclusivo do intestino delgado ocorre em 27% dos casos, do grosso em 40% e simultâneo em 30% dos casos.  Associam-se em mais de 50% dos casos a manifestações extra-intestinais, que podem atingir qualquer órgão.  É mais freqüente em adultos jovens, incidindo em igual freqüência em ambos os sexos.
  • 27.
    TRATAMENTO CLINICO DC 1. Aminosalicilatos(5-ASA) 2. Sulfasalazina (5-ASA + SULFAPIRIDINA) 3. Corticosteroides 4. Imunosupressores: Azathioprine (Imuran®), 6-MP (Purinethol®), ... 5. Antibióticos: metronidazole, ampicillin, ciprofloxacin, ...
  • 28.
    TRATAMENTO CLÍNICO -DC  Ac Monoclonais: Infliximab (Remicad): Ac anti-TNFα  TNFα - induz citocinas pró-inflamatórias (IL1 e IL6) - aumento da migração de linfócitos por maior permeabilidade - ativa eosinófilos e neutrófilos  Dose de 5mg/kg em 2h (repetir com 2, 4 e 6 sem)Dose de 5mg/kg em 2h (repetir com 2, 4 e 6 sem)  Melhor resposta em 8 semMelhor resposta em 8 sem  Indicação:Indicação: - Doença grave em pacientes dependentes de corticóides- Doença grave em pacientes dependentes de corticóides - fístulas perianais múltiplas- fístulas perianais múltiplas
  • 29.
    TRATAMENTO CIRÚRGICO –D.CROHN regras cirúrgicas  Tratar exclusivamente as complicações que motivaram a cirúrgica.  Não extirpar segmentos intestinais só por estarem acometidos.  Ao abordar as complicações não estender a ressecção cirúrgica.
  • 30.
    TRATAMENTO CIRÚRGICO D. CROHN Consideraçõespara a indicação cirúrgica  Se todos os recursos clínicos foram bem aplicados  Estado nutricional do paciente  Infecção associada  Como, quando e por quanto tempo foi utilizado a corticoterapia  Cirurgias anteriores  Riscos associados
  • 31.
    RECORRÊNCIA PÓS CIRÚRGICA D.CROHN Após completa ressecção do segmento intestinal: • 20% - segunda cirurgia em 5 anos • 50% - segunda cirurgia em 10 anos • 75% - segunda cirurgia em 15 anos
  • 32.
    DOENÇA DE CROHN Os doentes com colite exclusiva extensa e incontinência anal podem se beneficiar da indicação da proctocolectomia total com ileostomia definitiva, uma vez que apresentam baixo índice de recorrência pós-operatória. A indicação deve ser precoce, nos casos de incontinência anal, uma vez que o retardo da indicação cirúrgica nestes doentes faz com que sejam submetidos a múltiplos tratamentos cirúrgicos, expondo-os a morbilidade dos procedimentos e resultando em sofrimento adicional. Em doentes com entero-colite, a conduta deve ser conservadora, uma vez que os índices de recorrência neste grupo são elevados.
  • 33.
    COLITE ULCERATIVA manifestação  Crônicaativa (benigna ou grave)  Fulminante
  • 34.
    ETIOPATOGÊNESE - CUI Fumo - RCU é 2 a 6x mais freqüente em não fumantes - 75% desenvolvem a doença após pararem de fumar - os fumantes intermitentes e doentes apresentam reativação quando não estão fumando
  • 35.
    MANIFESTAÇÕES SISTÊMICAS CUI  Osteoarticulares(artrites,..)  Cutâneas (eritema nodoso,piodermite grangrenosa,...)  Oculares (uveites,...)  Hepáticas  Colangite esclerosante (80% dos pacientes são portadores de CUI)
  • 36.
    QUADRO CLÍNICO -CUI  Envolvimento hepático de 15 a 50%  Colangite esclerosante em 1 a 5% - astenia, prurido, icterícia, dor abdominal e febre - ↑ dos marcadores de colestase
  • 38.
    TRATAMENTO CIRÚRGICO -CUI  Cirurgia de urgência  Cirurgia eletiva (extensas com gravidade, neoplasia)  Técnica operatória: colectomia total, proctolectomia com ileostomia definitiva, proctocolectomia com ileo- ânus anastomose com reservatorio ileal.
  • 39.
     O tratamentoclínico não cura a doença, sendo ineficaz na maioria dos casos de retocolite universal. As indicações para tratamento cirúrgico são a intratabilidade clínica, retardo do crescimento, manifestações extra-intestinais e associação com câncer.  A intratabilidade clínica é a indicação mais freqüente, o que verificamos em nossa casuística, representando 92,96 % das indicações eletivas.