SEMIOLIGA UFMT
FACULDADE DE MEDICINA - UFMT
2016
PROF. HILDEVALDO MONTEIRO FORTES
É expressamente proibida a modificação
ou edição deste material
É permitida a divulgação deste material, desde que
citada a fonte
Todos os direitos reservados à Liga Acadêmica de
Semiologia Médica da UFMT – Semioliga – e autor do conteúdo
Esta aula pode ser acompanhada com o áudio disponível
no canal da Semioliga do Youtube
Acesse https://goo.gl/QsamQ9
Curta a fanpage da Semioliga UFMT no facebook
https://facebook.com/semioligaufmt
SÍNDROMES RESPIRATÓRIAS
 1. BRÔNQUICAS.
 2. PARENQUIMATOSAS.
 3.PLEURAIS.
SÍNDROMES BRÔNQUICAS
 ENVOLVIMENTO DA ÁRVORE TRAQUEO-
BRÔNQUICA, COM SINTOMAS E SINAIS
RELACIONADOS AO COMPROMETIMENTO
FUNCIONAL E ESTRUTURAL DA MESMA.
SÍNDROMES BRÔNQUICAS
 ESFORÇO RESPIRATÓRIO VARIÁVEL (DISPNÉIA)
 TOSSE
 EXPECTORAÇÃO
 RUÍDOS ADVENTÍCIOS (RONCOS E SIBILOS)
 FRÊMITO TÓRACO-VOCAL
SÍNDROMES BRÔNQUICAS
 BRONQUITE AGUDA
 BRONQUITE CRÔNICA
 ASMA BRÔNQUICA
 BRONQUIECTASIA
 OBSTRUÇÃO BRÔNQUICA
(ATELECTASIA/ENFISEMA LOCALIZADO)
SÍNDROMES BRÔNQUICAS
 FISIOPATOLOGIA:
 .INFLAMAÇÃO – EDEMA, HIPERSECREÇÃO
 .OBSTRUÇÃO – EDEMA, HIPERSECREÇÃO,
BRONCOESPASMO, ESTREITAMENTOS E
ANGULAÇÕES
 COMPROMETIMENTO DIFUSO OU LOCALIZADO.
BRONQUITE
ETIOLOGIA
AGUDA CRÔNICA
 ALÉRGICA
 VIRAL
 BACTERIANA
 TÓXICA
 TABAGISMO
 POLUIÇÃO AMBIENTAL
 ALÉRGICA/TÓXICA
 INFECÇÃO DE REPETIÇÃO
 SINUSOPATIA CÔNICA
BRONQUITE
SINTOMAS
AGUDA CRÔNICA
 TAQUIPNÉIA
 DISPNÉIA
 TOSSE SECA OU POUCO
PRODUTIVA
 EXPECTORAÇÃO HIALINA
OU MUCÓIDE
 ESFORÇO RESPIRATÓRIO E
DOR RETRO-ESTERNAL
 TAQUIPNÉIA
 DISPNÉIA
 TOSSE PRODUTIVA
 EXPECTORAÇÃO
AMARELADA,
ESVERDEADA OU ESCURA
 ESFORÇO RESPIRATÓRIO
BRONQUITE
SINAIS
AGUDA CRÔNICA
 BIOTIPO INESPECÍFICO
 FACIES DE SOFRIMENTO
 TAQUIPNÉIA
 ESFORÇO RESPIRATÓRIO
(DISPNÉIA E TIRAGEM)
 FTV NORMAL , AUMENTADO
OU REDUZIDO
 HIPERSONORIDADE
 MV DIMINUIDO COM OU
SEM ESTERTORES
BRÔNQUICOS
 RONCOS E SIBILOS
 BREVILINEO OU OBESO
 PLETÓRA FACIAL (BLUE
BLOATER )
 TAQUIPNÉIA
 ESFORÇO RESPIRATÓRIO
 FTV NORMAL, AUMENTADO
OU REDUZIDO
 HIPERSONORIDADE
 MV DIMINUIDO COM
ESTERTORES BRÔNQUICOS
E/OU ALVEOLARES
 RONCOS E SIBILOS
HIPER-INSUFLAÇÃO
ASMA BRÔNQUICA
 DOENÇA INFLAMATÓRIA DAS VIAS AÉREAS
 HIPERREATIVIDADE BRÔNQUICA
 EPISÓDIOS RECORRENTES DE ESPASMO
BRÔNQUICO, COM DISPNÉIA, OPRESSÃO
TORÁCICA, SIBILOS E TOSSE
 TOSSE SECA OU PRODUTIVA, COM
EXPECTORAÇÃO MUCÓIDE
 REVERSÍVEL EXPONTÂNEAMENTE OU COM
TRATAMENTO
ASMA BRÔNQUICA
SINTOMAS SINAIS
 FACIES DE SOFRIMENTO
AGUDO
 ANSIEDADE
 PALIDEZ
 SUDORESE FRIA
 TOSSE SECA OU COM
EXPECTORAÇÃO MUCÓIDE
 POSIÇÃO ANCORADA DE
ESFORÇO RESPIRATÓRIO
 EXPANSIBILIDADE REDUZIDA
 FTV REDUZIDO
 HIPERSONORIDADE
 MV REDUZIDO
 RONCOS E SIBILOS
 TEMPO EXPIRATÓRIO
AUMENTADO
 ESTERTORES BRÔNQUICOS
 ESTERTORES ALVEOLARES
(INFECÇÃO)
BRONQUIECTASIA
 DILATAÇÃO BRÔNQUICA IRREVERSÍVEL POR
DESTRUIÇÃO DAS ESTRUTURAS ANATÔMICAS
QUE FORMAM A PAREDE
 PÓS-INFECÇÃO (PNEUMONIA)
 PÓS-OBSTRUÇÃO ( CORPO ESTRANHO, ROLHAS
DE SECREÇÃO, TUMORES BRÔNQUICOS,
CONGÊNITA)
BRONQUIECTASIA
SINTOMAS SINAIS
 FACIES DE DOENÇA CRÔNICA
 INFECÇÃO DE REPETIÇÃO
 FEBRE OU FEBRÍCULA SEM
CAUSA APARENTE
 TOSSE PRODUTIVA CRÔNICA
 BRONCORRÉIA E DRENAGEM
POSTURAL
 HEMOPTÓICOS OU
HEMOPTISE
 VÔMICA EVENTUAL
 ESTADO GERAL NORMAL OU
EMAGRECIMENTO
 CIANOSE COM
HIPOCRATISMO DIGITAL
 EXPANSIBILIDADE REDUZIDA
 FTV REDUZIDO, NORMAL OU
AUMENTADO
 MV REDUZIDO
 RONCOS E SIBILOS
 ESTERTORES BRÔNQUICOS E
ALVEOLARES
OBSTRUÇÃO BRÔNQUICA
 EXTRAMURAL: LINFONODOS, PINÇAMENTOS OU
DILATAÇÕES VASCULARES, COLEÇÕES OU
MASSAS PARENQUIMATOSAS, RETRAÇÕES
FIBRÓTICAS
 PARIETAL: INFECÇÕES, TUMORES,
CONDROMALÁCIA, ESTENOSES FIBRÓTICAS
 LUMINAL: CORPO ESTRANHO, ROLHAS DE
SECREÇÃO, COÁGULOS
OBSTRUÇÃO BRÔNQUICA
SINTOMAS DEPENDENTES SINAIS FREQUENTES
 DO TIPO E GRAU DA
OBSTRUÇÃO
 DO TEMPO DE
INSTALAÇÃO
 DA LOCALIZAÇÃO NA
ÁRVORE TRAQUEO-
BRÔNQUICA
 COMUM: MUDANÇAS NO
PADRÃO DA TOSSE OU DA
EXPECTORAÇÃO
 MUDANÇA NO PADRÃO DA
TOSSE OU DA
EXPECTORAÇÃO
 RUÍDO RESPIRATÓRIO FIXO
 EXPANSÃO OU RETRAÇÃO
LOCALIZADA
 TOSSE SECA OU PRODUTIVA
COM HEMOPTÓICOS
 DISPNÉIA
 DOR PLEURÍTICA
OBSTRUÇÃO BRÔNQUICA
SINAIS
ATELECTASIA ENFISEMA LOCALIZADO
 OBSTRUÇÃO BRONQUICA
COMPLETA
 RETRAÇÃO TORÁCICA OU
INTERCOSTAL
 DESVIO HOMOLATERAL DO
MEDIASTINO ( TRAQUÉIA)
 EXPANSIBILIDADE REDUZIDA
 FTV AUSENTE
 MACICEZ LOCALIZADA
 MV AUSENTE
 RONCOS OU SIBILOS
LOCALIZADOS
 ATRITO PLEURAL EVENTUAL
 OBSTRUÇÃO BRÔNQUICA
INCOMPLETA, COM MECANISMO
VALVULAR
 ABAULAMENTO TORÁCICO OU
INTERCOSTAL
 DESVIO CONTRA LATERAL DO
MEDIASTINO ( TRAQUÉIA )
 EXPANSIBILIDADE REDUZIDA
 FTV REDUZIDO OU AUSENTE
 HIPERSONORIDADE LOCALIZADA
 MV REDUZIDO OU AUSENTE
 RONCOS OU SIBILOS
LOCALIZADOS
 ESTERTORES BRÔNQUICOS OU
ALVEOLARES EVENTUAIS
ATELECTASIA
SÍNDROMES PARENQUIMATOSAS
 ENVOLVIMENTO DA UNIDADE FUNCIONAL DO
PULMÃO ( ÁCINOS> LÓBULOS> SEGMENTOS>
LOBOS ), COM PREENCHIMENTO PELA
SUBSTITUIÇÃO DO AR POR MATERIAL NÃO
GASOSO OU POR DESTRUIÇÃO ESTRUTURAL,
COM SUBSTITUIÇÃO DO PARÊNQUIMA POR
COMPONENTE SÓLIDO, LÍQUIDO OU GASOSO
CONSOLIDAÇÃO
SINTOMAS SINAIS
 TOSSE PRODUTIVA
 EXPECTORAÇÃO (
HIALINA, PURULENTA,
RÓSEA, SANQUINOLENTA )
 DISPNÉIA
 OUTROS DEPENDENTES
DA ETIOLOGIA
 TAQUIPNÉIA
 ESFORÇO RESPIRATÓRIO (
TIRAGEM )
 EXPANSIBILIDADE REDUZIDA
 FTV E RESSONÂNCIA VOCAL
AUMENTADOS
 MACICEZ
 BRONCOFONIA ( SOPRO
TUBÁRIO E PECTORILÓQUIA
AFONICA )
 MV REDUZIDO
 ESTERTORES BRÔNQUICOS E
ALVEOLARES
 ATRITO PLEURAL EVENTUAL
OPACIDADE
SINTOMAS SINAIS
 OLIGOSSINTOMÁTICOS
OU ESPECÍFICOS
 COMPRESSIVOS
 INVASIVOS
 COMPLICAÇÕES POR
RUPTURAS
 RETRAÇÕES OU
ABAULAMENTOS
 EXPANSIBILIDADE NORMAL
OU REDUZIDA
 FTV REDUZIDO OU AUSENTE
 MACICEZ
 MV REDUZIDO OU AUSENTE
 RONCOS E SIBILOS
EVENTUAIS
 ESTERTORES BRÔNQUICOS E
ALVEOLARES EVENTUAIS
RAREFAÇÃO PARENQUIMATOSA
ENFISEMA
SINTOMAS SINAIS
 MAGRO, LONGILÍNEO –
PINK PUFFER
 TOSSE SECA OU POUCO
PRODUTIVA
 DISPNÉIA PROGRESSIVA
AOS ESFORÇOS
 ANCORAGEM
 TORAX EM TONEL
 ESFORÇO RESPIRATÓRIO
 TIRAGEM
 EXPANSIBILIDADE REDUZIDA
 FTV REDUZIDO
 HIPERSONORIDADE
 MV REDUZIDO, COM TEMPO
EXPIRATÓRIO AUMENTADO
 POUCOS RUIDOS
ADVENTÍCIOS
ENFISEMA
ENFISEMA
RAREFAÇÃO PARENQUIMATOSA
CAVIDADES
SINTOMAS SINAIS
 OLIGOSSINTOMÁTICOS
OU ESPECÍFICOS
 INSPEÇÃO NORMAL
 EXPANSIBILIDADE NORMAL
OU COM REDUÇÃO FOCAL
 FTV COM REDUÇÃO FOCAL
 HIPERSONORIDADE FOCA
 MV REDUZIDO OU AUSENTE
FOCALMENTE
 SOPRO ANFÓRICO FOCAL
 SEM ESTERTORES
BRÔNQUICOS OU
ALVEOLARES
SÍNDROMES PLEURAIS
 ESPAÇO PLEURAL: CAVIDADE “VIRTUAL”,
LUBRIFICADA POR LÍQUIDO QUE CIRCULA DO
FOLHETO PARIETAL PARA O VISCERAL
 PRODUÇÃO DO LÍQUIDO DE TRÍADE DE
FORMAÇÃO DE EDEMA, DRENAGEM LINFÁTICA E
OUTROS.
SÍNDROMES PLEURAIS
 DECORRENTE DO AFASTAMENTO DOS FOLHETOS
PLEURAIS, COM FORMAÇÃO DE UMA CAVIDADE
REAL, PELA PRESENÇA DE MATERIAL LÍQUIDO,
SÓLIDO OU GASOSO NA CAVIDADE
 MATERIAL LÍQUIDO: TRANSUDATO, EXSUDATO,
SANGUE, LINFA, FLUIDOS OUTROS
 MATERIAL GASOSO: AR
 MATERIAL SÓLIDO: PROCESSO EXPANSIVO,
PROFIFERAÇÃO CELULAR DOS FOLHETOS,
DEPÓSITOS DE CÁLCIO OU OUTROS
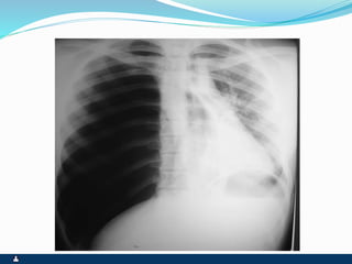
DERRAME PLEURAL
SINTOMAS SINAIS
 DEPENDENTES DA
ETIOLOGIA
 DOR PLEURÍTICA
 TOSSE SECA
 DISPÉIA
 TAQUIPNÉIA
 ABAULAMENTO HOMOLATRAL
DO TÓRAX E ESPAÇOS
INTERCOSTAIS
 DESVIO CONTRALATERAL DO
MEDIASTINO
 EXPANSIBILIDADE REDUZIDA
 FTV ABOLIDO
 MACICEZ
 MV ABOLIDO
 ESTERTORES BRÔNQUICOS E
ALVEOLARES NAS ÁREAS DE
TRANSIÇÃO
 COLUNA MACIÇA EM T11 – SINAL
DE SIGNORELLI
DERRAME PLEURAL LOCULADO
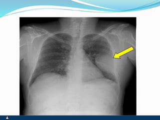
PNEUMOTÓRAX
RUPTURA DE UM DOS FOLHETOS
SINTOMAS SINAIS
 PRIMÁRIO ( ESPONTÂNEO
) SECUNDÁRIO(
TRAUMA,IATROGÊNICO )
 INÍCIO SÚBITO
 DOR PLEURÍCA INTENSA
 TOSSE SECA
 DISPNÉIA
 FACIES DE DOENÇA
AGUDA,ANSIEDADE E
SUDORESE
 EXPANSIBILIDADE REDUZIDA
 DESVIO CONTRALATERAL DO
MEDIASTINO
 ABAULAMENTO
HOMOLATERAL DOS
ESPAÇOS INTERCOSTAIS
 FTV ABOLIDO
 TIMPANISMO
 MV ABOLIDO
 RUIDOS ADVENTÍCIOS
AUSENTES
 ENFISEMA SUBCUTÂNEO
EVENTUAL
ENFISEMA SUBCUTÂNEO
ESPESSAMENTO PLEURAL
SINTOMAS SINAIS
 DEPENDENTE DA
ETIOLOGIA
 EXPANSIBILIDADE
REDUZIDA
 FTV REDUZIDO OU
AUSENTE
 MACICEZ
 MV REDUZIDO OU
AUSENTE
 ATRITO PLEURAL
EVENTUAL
SEMIOLIGA UFMT
FACULDADE DE MEDICINA - UFMT
2016
PROF. HILDEVALDO MONTEIRO FORTES

Síndromes Respiratórias - Semioliga UFMT

  • 1.
    SEMIOLIGA UFMT FACULDADE DEMEDICINA - UFMT 2016 PROF. HILDEVALDO MONTEIRO FORTES
  • 2.
    É expressamente proibidaa modificação ou edição deste material É permitida a divulgação deste material, desde que citada a fonte Todos os direitos reservados à Liga Acadêmica de Semiologia Médica da UFMT – Semioliga – e autor do conteúdo
  • 3.
    Esta aula podeser acompanhada com o áudio disponível no canal da Semioliga do Youtube Acesse https://goo.gl/QsamQ9 Curta a fanpage da Semioliga UFMT no facebook https://facebook.com/semioligaufmt
  • 4.
    SÍNDROMES RESPIRATÓRIAS  1.BRÔNQUICAS.  2. PARENQUIMATOSAS.  3.PLEURAIS.
  • 5.
    SÍNDROMES BRÔNQUICAS  ENVOLVIMENTODA ÁRVORE TRAQUEO- BRÔNQUICA, COM SINTOMAS E SINAIS RELACIONADOS AO COMPROMETIMENTO FUNCIONAL E ESTRUTURAL DA MESMA.
  • 6.
    SÍNDROMES BRÔNQUICAS  ESFORÇORESPIRATÓRIO VARIÁVEL (DISPNÉIA)  TOSSE  EXPECTORAÇÃO  RUÍDOS ADVENTÍCIOS (RONCOS E SIBILOS)  FRÊMITO TÓRACO-VOCAL
  • 7.
    SÍNDROMES BRÔNQUICAS  BRONQUITEAGUDA  BRONQUITE CRÔNICA  ASMA BRÔNQUICA  BRONQUIECTASIA  OBSTRUÇÃO BRÔNQUICA (ATELECTASIA/ENFISEMA LOCALIZADO)
  • 8.
    SÍNDROMES BRÔNQUICAS  FISIOPATOLOGIA: .INFLAMAÇÃO – EDEMA, HIPERSECREÇÃO  .OBSTRUÇÃO – EDEMA, HIPERSECREÇÃO, BRONCOESPASMO, ESTREITAMENTOS E ANGULAÇÕES  COMPROMETIMENTO DIFUSO OU LOCALIZADO.
  • 12.
    BRONQUITE ETIOLOGIA AGUDA CRÔNICA  ALÉRGICA VIRAL  BACTERIANA  TÓXICA  TABAGISMO  POLUIÇÃO AMBIENTAL  ALÉRGICA/TÓXICA  INFECÇÃO DE REPETIÇÃO  SINUSOPATIA CÔNICA
  • 13.
    BRONQUITE SINTOMAS AGUDA CRÔNICA  TAQUIPNÉIA DISPNÉIA  TOSSE SECA OU POUCO PRODUTIVA  EXPECTORAÇÃO HIALINA OU MUCÓIDE  ESFORÇO RESPIRATÓRIO E DOR RETRO-ESTERNAL  TAQUIPNÉIA  DISPNÉIA  TOSSE PRODUTIVA  EXPECTORAÇÃO AMARELADA, ESVERDEADA OU ESCURA  ESFORÇO RESPIRATÓRIO
  • 14.
    BRONQUITE SINAIS AGUDA CRÔNICA  BIOTIPOINESPECÍFICO  FACIES DE SOFRIMENTO  TAQUIPNÉIA  ESFORÇO RESPIRATÓRIO (DISPNÉIA E TIRAGEM)  FTV NORMAL , AUMENTADO OU REDUZIDO  HIPERSONORIDADE  MV DIMINUIDO COM OU SEM ESTERTORES BRÔNQUICOS  RONCOS E SIBILOS  BREVILINEO OU OBESO  PLETÓRA FACIAL (BLUE BLOATER )  TAQUIPNÉIA  ESFORÇO RESPIRATÓRIO  FTV NORMAL, AUMENTADO OU REDUZIDO  HIPERSONORIDADE  MV DIMINUIDO COM ESTERTORES BRÔNQUICOS E/OU ALVEOLARES  RONCOS E SIBILOS
  • 16.
  • 17.
    ASMA BRÔNQUICA  DOENÇAINFLAMATÓRIA DAS VIAS AÉREAS  HIPERREATIVIDADE BRÔNQUICA  EPISÓDIOS RECORRENTES DE ESPASMO BRÔNQUICO, COM DISPNÉIA, OPRESSÃO TORÁCICA, SIBILOS E TOSSE  TOSSE SECA OU PRODUTIVA, COM EXPECTORAÇÃO MUCÓIDE  REVERSÍVEL EXPONTÂNEAMENTE OU COM TRATAMENTO
  • 19.
    ASMA BRÔNQUICA SINTOMAS SINAIS FACIES DE SOFRIMENTO AGUDO  ANSIEDADE  PALIDEZ  SUDORESE FRIA  TOSSE SECA OU COM EXPECTORAÇÃO MUCÓIDE  POSIÇÃO ANCORADA DE ESFORÇO RESPIRATÓRIO  EXPANSIBILIDADE REDUZIDA  FTV REDUZIDO  HIPERSONORIDADE  MV REDUZIDO  RONCOS E SIBILOS  TEMPO EXPIRATÓRIO AUMENTADO  ESTERTORES BRÔNQUICOS  ESTERTORES ALVEOLARES (INFECÇÃO)
  • 22.
    BRONQUIECTASIA  DILATAÇÃO BRÔNQUICAIRREVERSÍVEL POR DESTRUIÇÃO DAS ESTRUTURAS ANATÔMICAS QUE FORMAM A PAREDE  PÓS-INFECÇÃO (PNEUMONIA)  PÓS-OBSTRUÇÃO ( CORPO ESTRANHO, ROLHAS DE SECREÇÃO, TUMORES BRÔNQUICOS, CONGÊNITA)
  • 24.
    BRONQUIECTASIA SINTOMAS SINAIS  FACIESDE DOENÇA CRÔNICA  INFECÇÃO DE REPETIÇÃO  FEBRE OU FEBRÍCULA SEM CAUSA APARENTE  TOSSE PRODUTIVA CRÔNICA  BRONCORRÉIA E DRENAGEM POSTURAL  HEMOPTÓICOS OU HEMOPTISE  VÔMICA EVENTUAL  ESTADO GERAL NORMAL OU EMAGRECIMENTO  CIANOSE COM HIPOCRATISMO DIGITAL  EXPANSIBILIDADE REDUZIDA  FTV REDUZIDO, NORMAL OU AUMENTADO  MV REDUZIDO  RONCOS E SIBILOS  ESTERTORES BRÔNQUICOS E ALVEOLARES
  • 26.
    OBSTRUÇÃO BRÔNQUICA  EXTRAMURAL:LINFONODOS, PINÇAMENTOS OU DILATAÇÕES VASCULARES, COLEÇÕES OU MASSAS PARENQUIMATOSAS, RETRAÇÕES FIBRÓTICAS  PARIETAL: INFECÇÕES, TUMORES, CONDROMALÁCIA, ESTENOSES FIBRÓTICAS  LUMINAL: CORPO ESTRANHO, ROLHAS DE SECREÇÃO, COÁGULOS
  • 27.
    OBSTRUÇÃO BRÔNQUICA SINTOMAS DEPENDENTESSINAIS FREQUENTES  DO TIPO E GRAU DA OBSTRUÇÃO  DO TEMPO DE INSTALAÇÃO  DA LOCALIZAÇÃO NA ÁRVORE TRAQUEO- BRÔNQUICA  COMUM: MUDANÇAS NO PADRÃO DA TOSSE OU DA EXPECTORAÇÃO  MUDANÇA NO PADRÃO DA TOSSE OU DA EXPECTORAÇÃO  RUÍDO RESPIRATÓRIO FIXO  EXPANSÃO OU RETRAÇÃO LOCALIZADA  TOSSE SECA OU PRODUTIVA COM HEMOPTÓICOS  DISPNÉIA  DOR PLEURÍTICA
  • 28.
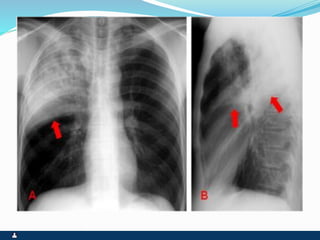
    OBSTRUÇÃO BRÔNQUICA SINAIS ATELECTASIA ENFISEMALOCALIZADO  OBSTRUÇÃO BRONQUICA COMPLETA  RETRAÇÃO TORÁCICA OU INTERCOSTAL  DESVIO HOMOLATERAL DO MEDIASTINO ( TRAQUÉIA)  EXPANSIBILIDADE REDUZIDA  FTV AUSENTE  MACICEZ LOCALIZADA  MV AUSENTE  RONCOS OU SIBILOS LOCALIZADOS  ATRITO PLEURAL EVENTUAL  OBSTRUÇÃO BRÔNQUICA INCOMPLETA, COM MECANISMO VALVULAR  ABAULAMENTO TORÁCICO OU INTERCOSTAL  DESVIO CONTRA LATERAL DO MEDIASTINO ( TRAQUÉIA )  EXPANSIBILIDADE REDUZIDA  FTV REDUZIDO OU AUSENTE  HIPERSONORIDADE LOCALIZADA  MV REDUZIDO OU AUSENTE  RONCOS OU SIBILOS LOCALIZADOS  ESTERTORES BRÔNQUICOS OU ALVEOLARES EVENTUAIS
  • 30.
  • 31.
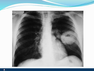
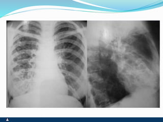
    SÍNDROMES PARENQUIMATOSAS  ENVOLVIMENTODA UNIDADE FUNCIONAL DO PULMÃO ( ÁCINOS> LÓBULOS> SEGMENTOS> LOBOS ), COM PREENCHIMENTO PELA SUBSTITUIÇÃO DO AR POR MATERIAL NÃO GASOSO OU POR DESTRUIÇÃO ESTRUTURAL, COM SUBSTITUIÇÃO DO PARÊNQUIMA POR COMPONENTE SÓLIDO, LÍQUIDO OU GASOSO
  • 32.
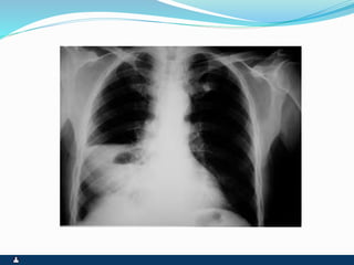
    CONSOLIDAÇÃO SINTOMAS SINAIS  TOSSEPRODUTIVA  EXPECTORAÇÃO ( HIALINA, PURULENTA, RÓSEA, SANQUINOLENTA )  DISPNÉIA  OUTROS DEPENDENTES DA ETIOLOGIA  TAQUIPNÉIA  ESFORÇO RESPIRATÓRIO ( TIRAGEM )  EXPANSIBILIDADE REDUZIDA  FTV E RESSONÂNCIA VOCAL AUMENTADOS  MACICEZ  BRONCOFONIA ( SOPRO TUBÁRIO E PECTORILÓQUIA AFONICA )  MV REDUZIDO  ESTERTORES BRÔNQUICOS E ALVEOLARES  ATRITO PLEURAL EVENTUAL
  • 36.
    OPACIDADE SINTOMAS SINAIS  OLIGOSSINTOMÁTICOS OUESPECÍFICOS  COMPRESSIVOS  INVASIVOS  COMPLICAÇÕES POR RUPTURAS  RETRAÇÕES OU ABAULAMENTOS  EXPANSIBILIDADE NORMAL OU REDUZIDA  FTV REDUZIDO OU AUSENTE  MACICEZ  MV REDUZIDO OU AUSENTE  RONCOS E SIBILOS EVENTUAIS  ESTERTORES BRÔNQUICOS E ALVEOLARES EVENTUAIS
  • 42.
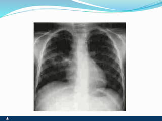
    RAREFAÇÃO PARENQUIMATOSA ENFISEMA SINTOMAS SINAIS MAGRO, LONGILÍNEO – PINK PUFFER  TOSSE SECA OU POUCO PRODUTIVA  DISPNÉIA PROGRESSIVA AOS ESFORÇOS  ANCORAGEM  TORAX EM TONEL  ESFORÇO RESPIRATÓRIO  TIRAGEM  EXPANSIBILIDADE REDUZIDA  FTV REDUZIDO  HIPERSONORIDADE  MV REDUZIDO, COM TEMPO EXPIRATÓRIO AUMENTADO  POUCOS RUIDOS ADVENTÍCIOS
  • 44.
  • 45.
  • 48.
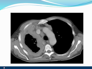
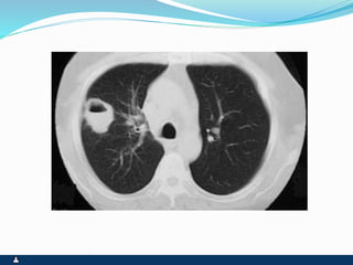
    RAREFAÇÃO PARENQUIMATOSA CAVIDADES SINTOMAS SINAIS OLIGOSSINTOMÁTICOS OU ESPECÍFICOS  INSPEÇÃO NORMAL  EXPANSIBILIDADE NORMAL OU COM REDUÇÃO FOCAL  FTV COM REDUÇÃO FOCAL  HIPERSONORIDADE FOCA  MV REDUZIDO OU AUSENTE FOCALMENTE  SOPRO ANFÓRICO FOCAL  SEM ESTERTORES BRÔNQUICOS OU ALVEOLARES
  • 50.
    SÍNDROMES PLEURAIS  ESPAÇOPLEURAL: CAVIDADE “VIRTUAL”, LUBRIFICADA POR LÍQUIDO QUE CIRCULA DO FOLHETO PARIETAL PARA O VISCERAL  PRODUÇÃO DO LÍQUIDO DE TRÍADE DE FORMAÇÃO DE EDEMA, DRENAGEM LINFÁTICA E OUTROS.
  • 51.
    SÍNDROMES PLEURAIS  DECORRENTEDO AFASTAMENTO DOS FOLHETOS PLEURAIS, COM FORMAÇÃO DE UMA CAVIDADE REAL, PELA PRESENÇA DE MATERIAL LÍQUIDO, SÓLIDO OU GASOSO NA CAVIDADE  MATERIAL LÍQUIDO: TRANSUDATO, EXSUDATO, SANGUE, LINFA, FLUIDOS OUTROS  MATERIAL GASOSO: AR  MATERIAL SÓLIDO: PROCESSO EXPANSIVO, PROFIFERAÇÃO CELULAR DOS FOLHETOS, DEPÓSITOS DE CÁLCIO OU OUTROS
  • 52.
    DERRAME PLEURAL SINTOMAS SINAIS DEPENDENTES DA ETIOLOGIA  DOR PLEURÍTICA  TOSSE SECA  DISPÉIA  TAQUIPNÉIA  ABAULAMENTO HOMOLATRAL DO TÓRAX E ESPAÇOS INTERCOSTAIS  DESVIO CONTRALATERAL DO MEDIASTINO  EXPANSIBILIDADE REDUZIDA  FTV ABOLIDO  MACICEZ  MV ABOLIDO  ESTERTORES BRÔNQUICOS E ALVEOLARES NAS ÁREAS DE TRANSIÇÃO  COLUNA MACIÇA EM T11 – SINAL DE SIGNORELLI
  • 56.
  • 57.
    PNEUMOTÓRAX RUPTURA DE UMDOS FOLHETOS SINTOMAS SINAIS  PRIMÁRIO ( ESPONTÂNEO ) SECUNDÁRIO( TRAUMA,IATROGÊNICO )  INÍCIO SÚBITO  DOR PLEURÍCA INTENSA  TOSSE SECA  DISPNÉIA  FACIES DE DOENÇA AGUDA,ANSIEDADE E SUDORESE  EXPANSIBILIDADE REDUZIDA  DESVIO CONTRALATERAL DO MEDIASTINO  ABAULAMENTO HOMOLATERAL DOS ESPAÇOS INTERCOSTAIS  FTV ABOLIDO  TIMPANISMO  MV ABOLIDO  RUIDOS ADVENTÍCIOS AUSENTES  ENFISEMA SUBCUTÂNEO EVENTUAL
  • 62.
  • 63.
    ESPESSAMENTO PLEURAL SINTOMAS SINAIS DEPENDENTE DA ETIOLOGIA  EXPANSIBILIDADE REDUZIDA  FTV REDUZIDO OU AUSENTE  MACICEZ  MV REDUZIDO OU AUSENTE  ATRITO PLEURAL EVENTUAL
  • 68.
    SEMIOLIGA UFMT FACULDADE DEMEDICINA - UFMT 2016 PROF. HILDEVALDO MONTEIRO FORTES