UNIFENAS Profa. Vera Ângelo 2010   2006 Hemograma
Hemograma inclui: ERITROGRAMA - contagem global de eritrócitos  - hematócrito hemoglobina cálculo dos índices hematimétricos histogramas de eritrócitos (analisador  Coulter ) análise do esfregaço sanguíneo LEUCOGRAMA contagem global de leucócitos - contagem diferencial de leucócitos  Contagem global de plaquetas
Orientações para a coleta: Jejum (Ideal). Não é necessário.  Em caso de emergência: 3 h após as principais refeições  Não realizar após grandes esforços físicos. Colocar identificação do paciente, indicação diagnóstica e breve história clínica. Indicar uso de medicamentos. - Colher em frasco com anticoagulante EDTA.  Hemograma
Hemograma
 
Hemograma inclui: ERITROGRAMA - contagem global de eritrócitos  - hematócrito hemoglobina cálculo dos índices hematimétricos histogramas de eritrócitos (analisador  Coulter ) análise do esfregaço sanguíneo LEUCOGRAMA contagem global de leucócitos - contagem diferencial de leucócitos (neutro, eosino, baso, mono, linfo) Contagem global de plaquetas
Eritrograma inclui: Contagem de hemácias:   São bicôncovas. Anucleadas. coloração acidófila, mais pálida no centro e coloração um pouco mais escura na periferia. Valores variam com sexo e idade.  Valores normais: 4,5-5,1 x 10 6  L (mulheres). 4,5-5,9 x 10 6  L (homens).
 
Eritrograma : Hematócrito:  índice definido pelo volume de todas as hemácias de uma amostra sobre o volume total desta amostra. Valores variam com o sexo e idade  Valores de referência: 35,9-44,6%(mulheres) 41,5-50,4% (homens).
Eritrograma inclui: A  HEMOGLOBINA  (Hb) é uma metaloproteína que contém ferro e que permite o transporte de O 2.   TIPOS: Fetal: Hemoglobina F (α2γ2)  Adultos:  Hemoglobina A (α2β2) - O tipo mais comum.  Hemaglobina A2 (α2δ2) - cadeias δ são sintetizadas no último trimestre após o parto, seu nível normal é 2.5%  Hemoglobina F (α2γ2) - No adultos a Hemoglobina S
CHCM ( Concentração de Hemoglobina Corpuscular média) é a concentração média de hemoglobina. CHCM baixo (< 32): Anemia  hipocrômicas. CHCM alto (> 36): Anemia  hipercrômicas (???) CHCM no intervalo de normalidade.   As hemácias  são consideradas   normocrômicas .  .  Eritrograma inclui:
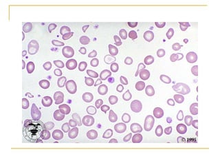
VCM  (Volume Corpuscular Médio):  índice que orienta na observação do tamanho das hemácias e no diagnóstico da anemia. VCM baixo: anemia  microcítica  (< 80fl, para adultos).  EX: anemia ferropriva e as síndromes talassêmicas. VCM alto:   macrocíticas   (> 96fl, para adultos).  Ex: anemia megaloblásticas e perniciosa..  VCM normal. (80 - 96fl, para adultos). Não há anemia. Hemácias  normocíticas Eritrograma inclui:
Esfregaço sanguíneo : corado por May-Grünwald-Giemsa
ANÁLISE DO ESFREGAÇO: Alterações da cor das hemácias Diminuição da concentração de hemoglobina e conseqüente redução da cor: hemácias  hipocrômicas ; Presença de hemácias com diferentes concentrações de hemoglobina chamada de  anisocromia ; Presença de grande número de reticulócitos, que caracteristicamente têm uma cor azulada,  e que junto com a cor normal, produz a chamada  policromasia .
Hipocromia
Policromasia :  hemácias jovens. (reticulócitos)
ESFREGAÇO: Alterações no tamanho das hemácias Hemácias de pequeno tamanho: hemácias  microcíticas ; Aumento do tamanho das hemácias: hemácias   macrocíticas ; ou megaloblásticas. Hemácias de diferentes tamanhos:  anisocitose ;
MICROCITOSE Alterações no tamanho das hemácias
MACROCITOSE Alterações no tamanho das hemácias
MEGALOCITOSE Alterações no tamanho das hemácias
Anemia microcitica e hipocromica
POIQUILOCITOSE :    é a denominação da variação das formas das hemácias.  Exemplos: Drepanócitos Esferócitos   Eliptócitos Hemácias em alvo   Esquisócitos   Acantócitos   Crenadas Etc. ESFREGAÇO:  Alteração na morfologia das hemácias
Tipos: 1-  Drepanócitos : . Forma de foice . Drepanocitose. Anemia falciforme
2 - Esferócitos Hemácias pequenas de forma esférica e hiper corada.  Esferocitose hereditária e anemia hemolíticas auto-imune .                             
   Hemácias elípticas e ovaladas. Ovolacitose hereditária ou eliptocitose, anemias carenciais    e mais raramente nas talassemias 3- Eliptócitos\ovalócitos                             
4- Esquisócitos   Fragmentos de hemácias de tamanhos diferentes e com formas bizarras. Aparece   em casos de próteses valvulares e vasculares,  microangiopatias, síndrome hemolítica-urêmica e na coagulação intravascular disseminada.                               
5- Dacriócitos Hemácias em forma de lágrima, que correm provavelmente por retardo da saída  da medula óssea. Aparece na metaplasia mielóide, esplenomegalia, na anemia megaloblástica, na talassemia  em grande quantidade na mielofibrose .                             
5- Estomatócitos    Células em forma de  “  boca” Estomatocitose hereditária   Alcoolismo, cirrose, doenças hepáticas obstrutivas   Eritrócitos com alterações na bomba de Na/
6- Hemácias em alvo (codócitos) células cujas membranas são grandes havendo uma palidez e um alvo central mais corado): aparece em hemoglobinopatias C, E ou S, nas  talassemias e em pacientes com doença hepática
  Hemácias pequenas com projeções irregulares.  Célula peculiar  abeta lipoproteinemia hereditária, presente também em outras dislipidemias, na cirrose hepática, na hepatite do recém-nascido, na anemia hemolítica, após  esplenectomia . 7- Acantócitos
 
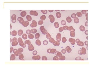
rouleaux
Caso clínico 1
Hemograma inclui: ERITROGRAMA - contagem global de eritrócitos  - hematócrito hemoglobina cálculo dos índices hemantimétricos histogramas de eritrócitos (analisador  Coulter ) análise do esfregaço sanguíneo LEUCOGRAMA contagem global de leucócitos - contagem diferencial de leucócitos (neutro, eosino, baso, mono, linfo) Contagem global de plaquetas
- contagem global e diferencial de leucócitos e suas alterações quantitativas e qualitativas.  - os leucócitos totais são expressos em mil/mm3.  a contagem diferencial é de grande importância, podendo definir perfis patológicos Os leucócitos podem ser divididos em granulócitos (mielócito, metamielócito, bastão, neutrófilos, eosinófilos e basófilos), monócitos e linfócitos   LEUCOGRAMA
- contagem global e diferencial de leucócitos e suas alterações quantitativas e qualitativas.  a contagem diferencial é de grande importância, podendo definir perfis patológicos. Os leucócitos podem ser divididos em granulócitos (mielócito, metamielócito, bastão, neutrófilos, eosinófilos e basófilos), monócitos e linfócitos. Leucócitos totais: 4,4-11,0 x 103  L. Diferencial de leucócitos (valores médios): neutrófilos segmentados (56% de 1800 a 7800), bastonestes (3% de 0 a 700), eosinófilos (2,7% de 0 a 450), basófilos (0,3 de 0 a 200) linfócitos (34% de 1000 a 4800) e monócitos (4% de 0 a 800). LUC(Large unstained cell, que podem representar linfócitos reativos, blastos, precursores linfáticos): 0-5%  LEUCOGRAMA
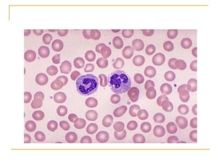
LEUCOGRAMA: Granulócitos leucócitos mais comuns no sangue (55-70%). têm núcleo segmentado, com  2 a 5 lobos conectados  entre si através de finas fitas de cromatina.  Pode parecer ser multinucleado. O aumento do seu número está relacionado com processos agudos. NEUTRÓFILOS
LEUCOGRAMA: Correspondem a  2-5% do total de leucócitos, e são distinguíveis pelos seus grânulos acidofílicos (vermelho/laranja). O núcleo tem usualmente apenas 2 lobos. Funções: respostas alérgicas e defesa contra parasitas. EOSINÓFILOS
LEUCOGRAMA: Compreendem menos de 1% do total de leucócitos,e são distinguidos pelos grânulos azul escuro específicos proeminentes que contém histamina, e heparina. O núcleo está usualmente obscurecido pelo densidade dos grânulos. Estão associados com a resposta imune inata a antígenos externos, assim como na ocorrência de asma e anafilaxias.   BASÓFILOS
LEUCOGRAMA São as maiores células vistas no esfregaço sangüíneo e constituem 5 a 8% dos leucócitos.  Seu núcleo pode ser em forma de “U” com cromatina aparentemente reticular.  O citoplasma dos monócitos contém numerosos grânulos lisossomais, os quais dão uma aparência acinzentada de  vidro fosco.  Podem sair da corrente sangüínea e se tornar macrófagos tissulares MONÓCITOS
LEUCOGRAMA: É uma célula arredondada ou ovalada com núcleo que ocupa a maior parte da célula.  O nucléolo pode estar presente, mas a cromatina densa impede a distinção.  Em geral, são menores que os monócitos.  Participam da resposta imune adquirida. LINFOCITOS
 
 
 
 
Hemograma inclui: ERITROGRAMA - contagem global de eritrócitos  - hematócrito hemoglobina cálculo dos índices hemantimétricos histogramas de eritrócitos (analisador  Coulter ) análise do esfregaço sanguíneo LEUCOGRAMA contagem global de leucócitos - contagem diferencial de leucócitos (neutro, eosino, baso, mono, linfo) Contagem global de plaquetas
Plaquetas   A avaliação das plaquetas pode ser feita de forma quantitativa, expressa em mm 3 , e de modo qualitativo, pela avaliação das características analisadas no esfregaço corado. As alterações quantitativas podem ser tanto o aumento da quantidade de plaquetas, chamada  trombocitose , quanto a diminuição, denominada  plaquetopenia .
 
 
Policitemia: aumento do número de hemácias no sangue.  Anemia:  diminuição do número de hemácias no sangue Leucocitose: aumento no número total de leucócitos.  Leucopenia: diminuição do número total de leucócitos Trombocitopenia: diminuição do número normal de plaquetas.  Pancitopenia: diminuição em número das três populações celulares.  Definições
Linfocitose: aumento do número de linfócitos.  Linfopenia: diminuição do número de linfócitos.  Neutrofilia: aumento do número de neutrófilos.  Neutropenia: diminuição do número de neutrófilos.  Eosinofilia: aumento do número de eosinófilos.  Monocitose: aumento do número de monócitos.  Desvio à esquerda: aumento do número de bastões acima de 5/mm³, ou presença de formas mais imaturas como mielócitos e metamielócitos.  Definições
neutrofilia
Valores de referência  (Checar valores com o laboratório de referência). ( Diagnósticos Clínicos e tratamento por Métodos laboratoriais . Henry JB, 19ª ed Manole LTDA, 1999. pg1459-1460).   Hemácias: 4,5-5,1 x 10 6  L(mulheres), 4,5-5,9 x 10 6  L (homens). Hemoglobina: 12,0-15,6 g/dl (mulheres), 13,5-17,5 g/dl (homens). Hematócrito: 35,9-44,6%(mulheres), 41,5-50,4% (homens). VCM= 80 a 96    m 3  HCM= 27,5 a 33,2 pg CHCM= 33,4 a 35,5 g/dl   Plaquetas: 150 000 a 450 000/ mm 3 Leucócitos totais: 4,4-11,0 x 10 3  L. Diferencial de leucócitos (valores médios): neutrófilos segmentados (56% de 1800 a 7800), bastonestes (3% de 0 a 700), eosinófilos (2,7% de 0 a 450), basófilos (0,3 de 0 a 200) linfócitos (34% de 1000 a 4800) e monócitos (4% de 0 a 800). LUC(Large unstained cell, que podem representar linfócitos reativos, blastos, precursores linfáticos): 0-5%
Considerações finais

Hematologia 2010

  • 1.
    UNIFENAS Profa. VeraÂngelo 2010 2006 Hemograma
  • 2.
    Hemograma inclui: ERITROGRAMA- contagem global de eritrócitos - hematócrito hemoglobina cálculo dos índices hematimétricos histogramas de eritrócitos (analisador Coulter ) análise do esfregaço sanguíneo LEUCOGRAMA contagem global de leucócitos - contagem diferencial de leucócitos Contagem global de plaquetas
  • 3.
    Orientações para acoleta: Jejum (Ideal). Não é necessário. Em caso de emergência: 3 h após as principais refeições Não realizar após grandes esforços físicos. Colocar identificação do paciente, indicação diagnóstica e breve história clínica. Indicar uso de medicamentos. - Colher em frasco com anticoagulante EDTA. Hemograma
  • 4.
  • 5.
  • 6.
    Hemograma inclui: ERITROGRAMA- contagem global de eritrócitos - hematócrito hemoglobina cálculo dos índices hematimétricos histogramas de eritrócitos (analisador Coulter ) análise do esfregaço sanguíneo LEUCOGRAMA contagem global de leucócitos - contagem diferencial de leucócitos (neutro, eosino, baso, mono, linfo) Contagem global de plaquetas
  • 7.
    Eritrograma inclui: Contagemde hemácias: São bicôncovas. Anucleadas. coloração acidófila, mais pálida no centro e coloração um pouco mais escura na periferia. Valores variam com sexo e idade. Valores normais: 4,5-5,1 x 10 6  L (mulheres). 4,5-5,9 x 10 6  L (homens).
  • 8.
  • 9.
    Eritrograma : Hematócrito: índice definido pelo volume de todas as hemácias de uma amostra sobre o volume total desta amostra. Valores variam com o sexo e idade Valores de referência: 35,9-44,6%(mulheres) 41,5-50,4% (homens).
  • 10.
    Eritrograma inclui: A HEMOGLOBINA (Hb) é uma metaloproteína que contém ferro e que permite o transporte de O 2. TIPOS: Fetal: Hemoglobina F (α2γ2) Adultos: Hemoglobina A (α2β2) - O tipo mais comum. Hemaglobina A2 (α2δ2) - cadeias δ são sintetizadas no último trimestre após o parto, seu nível normal é 2.5% Hemoglobina F (α2γ2) - No adultos a Hemoglobina S
  • 11.
    CHCM ( Concentraçãode Hemoglobina Corpuscular média) é a concentração média de hemoglobina. CHCM baixo (< 32): Anemia hipocrômicas. CHCM alto (> 36): Anemia hipercrômicas (???) CHCM no intervalo de normalidade. As hemácias são consideradas normocrômicas . . Eritrograma inclui:
  • 12.
    VCM (VolumeCorpuscular Médio): índice que orienta na observação do tamanho das hemácias e no diagnóstico da anemia. VCM baixo: anemia microcítica (< 80fl, para adultos). EX: anemia ferropriva e as síndromes talassêmicas. VCM alto: macrocíticas (> 96fl, para adultos). Ex: anemia megaloblásticas e perniciosa.. VCM normal. (80 - 96fl, para adultos). Não há anemia. Hemácias normocíticas Eritrograma inclui:
  • 13.
    Esfregaço sanguíneo :corado por May-Grünwald-Giemsa
  • 14.
    ANÁLISE DO ESFREGAÇO:Alterações da cor das hemácias Diminuição da concentração de hemoglobina e conseqüente redução da cor: hemácias hipocrômicas ; Presença de hemácias com diferentes concentrações de hemoglobina chamada de anisocromia ; Presença de grande número de reticulócitos, que caracteristicamente têm uma cor azulada, e que junto com a cor normal, produz a chamada policromasia .
  • 15.
  • 16.
    Policromasia : hemácias jovens. (reticulócitos)
  • 17.
    ESFREGAÇO: Alterações notamanho das hemácias Hemácias de pequeno tamanho: hemácias microcíticas ; Aumento do tamanho das hemácias: hemácias macrocíticas ; ou megaloblásticas. Hemácias de diferentes tamanhos: anisocitose ;
  • 18.
    MICROCITOSE Alterações notamanho das hemácias
  • 19.
    MACROCITOSE Alterações notamanho das hemácias
  • 20.
    MEGALOCITOSE Alterações notamanho das hemácias
  • 21.
  • 22.
    POIQUILOCITOSE :   é a denominação da variação das formas das hemácias. Exemplos: Drepanócitos Esferócitos Eliptócitos Hemácias em alvo Esquisócitos Acantócitos Crenadas Etc. ESFREGAÇO: Alteração na morfologia das hemácias
  • 23.
    Tipos: 1- Drepanócitos : . Forma de foice . Drepanocitose. Anemia falciforme
  • 24.
    2 - EsferócitosHemácias pequenas de forma esférica e hiper corada. Esferocitose hereditária e anemia hemolíticas auto-imune .                             
  • 25.
      Hemáciaselípticas e ovaladas. Ovolacitose hereditária ou eliptocitose, anemias carenciais   e mais raramente nas talassemias 3- Eliptócitos\ovalócitos                             
  • 26.
    4- Esquisócitos  Fragmentos de hemácias de tamanhos diferentes e com formas bizarras. Aparece em casos de próteses valvulares e vasculares, microangiopatias, síndrome hemolítica-urêmica e na coagulação intravascular disseminada.                             
  • 27.
    5- Dacriócitos Hemáciasem forma de lágrima, que correm provavelmente por retardo da saída da medula óssea. Aparece na metaplasia mielóide, esplenomegalia, na anemia megaloblástica, na talassemia em grande quantidade na mielofibrose .                             
  • 28.
    5- Estomatócitos   Células em forma de “  boca” Estomatocitose hereditária Alcoolismo, cirrose, doenças hepáticas obstrutivas Eritrócitos com alterações na bomba de Na/
  • 29.
    6- Hemácias emalvo (codócitos) células cujas membranas são grandes havendo uma palidez e um alvo central mais corado): aparece em hemoglobinopatias C, E ou S, nas talassemias e em pacientes com doença hepática
  • 30.
      Hemácias pequenascom projeções irregulares. Célula peculiar abeta lipoproteinemia hereditária, presente também em outras dislipidemias, na cirrose hepática, na hepatite do recém-nascido, na anemia hemolítica, após esplenectomia . 7- Acantócitos
  • 31.
  • 32.
  • 33.
  • 34.
    Hemograma inclui: ERITROGRAMA- contagem global de eritrócitos - hematócrito hemoglobina cálculo dos índices hemantimétricos histogramas de eritrócitos (analisador Coulter ) análise do esfregaço sanguíneo LEUCOGRAMA contagem global de leucócitos - contagem diferencial de leucócitos (neutro, eosino, baso, mono, linfo) Contagem global de plaquetas
  • 35.
    - contagem globale diferencial de leucócitos e suas alterações quantitativas e qualitativas. - os leucócitos totais são expressos em mil/mm3. a contagem diferencial é de grande importância, podendo definir perfis patológicos Os leucócitos podem ser divididos em granulócitos (mielócito, metamielócito, bastão, neutrófilos, eosinófilos e basófilos), monócitos e linfócitos LEUCOGRAMA
  • 36.
    - contagem globale diferencial de leucócitos e suas alterações quantitativas e qualitativas. a contagem diferencial é de grande importância, podendo definir perfis patológicos. Os leucócitos podem ser divididos em granulócitos (mielócito, metamielócito, bastão, neutrófilos, eosinófilos e basófilos), monócitos e linfócitos. Leucócitos totais: 4,4-11,0 x 103  L. Diferencial de leucócitos (valores médios): neutrófilos segmentados (56% de 1800 a 7800), bastonestes (3% de 0 a 700), eosinófilos (2,7% de 0 a 450), basófilos (0,3 de 0 a 200) linfócitos (34% de 1000 a 4800) e monócitos (4% de 0 a 800). LUC(Large unstained cell, que podem representar linfócitos reativos, blastos, precursores linfáticos): 0-5% LEUCOGRAMA
  • 37.
    LEUCOGRAMA: Granulócitos leucócitosmais comuns no sangue (55-70%). têm núcleo segmentado, com 2 a 5 lobos conectados entre si através de finas fitas de cromatina. Pode parecer ser multinucleado. O aumento do seu número está relacionado com processos agudos. NEUTRÓFILOS
  • 38.
    LEUCOGRAMA: Correspondem a 2-5% do total de leucócitos, e são distinguíveis pelos seus grânulos acidofílicos (vermelho/laranja). O núcleo tem usualmente apenas 2 lobos. Funções: respostas alérgicas e defesa contra parasitas. EOSINÓFILOS
  • 39.
    LEUCOGRAMA: Compreendem menosde 1% do total de leucócitos,e são distinguidos pelos grânulos azul escuro específicos proeminentes que contém histamina, e heparina. O núcleo está usualmente obscurecido pelo densidade dos grânulos. Estão associados com a resposta imune inata a antígenos externos, assim como na ocorrência de asma e anafilaxias. BASÓFILOS
  • 40.
    LEUCOGRAMA São asmaiores células vistas no esfregaço sangüíneo e constituem 5 a 8% dos leucócitos. Seu núcleo pode ser em forma de “U” com cromatina aparentemente reticular. O citoplasma dos monócitos contém numerosos grânulos lisossomais, os quais dão uma aparência acinzentada de vidro fosco. Podem sair da corrente sangüínea e se tornar macrófagos tissulares MONÓCITOS
  • 41.
    LEUCOGRAMA: É umacélula arredondada ou ovalada com núcleo que ocupa a maior parte da célula. O nucléolo pode estar presente, mas a cromatina densa impede a distinção. Em geral, são menores que os monócitos. Participam da resposta imune adquirida. LINFOCITOS
  • 42.
  • 43.
  • 44.
  • 45.
  • 46.
    Hemograma inclui: ERITROGRAMA- contagem global de eritrócitos - hematócrito hemoglobina cálculo dos índices hemantimétricos histogramas de eritrócitos (analisador Coulter ) análise do esfregaço sanguíneo LEUCOGRAMA contagem global de leucócitos - contagem diferencial de leucócitos (neutro, eosino, baso, mono, linfo) Contagem global de plaquetas
  • 47.
    Plaquetas A avaliação das plaquetas pode ser feita de forma quantitativa, expressa em mm 3 , e de modo qualitativo, pela avaliação das características analisadas no esfregaço corado. As alterações quantitativas podem ser tanto o aumento da quantidade de plaquetas, chamada trombocitose , quanto a diminuição, denominada plaquetopenia .
  • 48.
  • 49.
  • 50.
    Policitemia: aumento donúmero de hemácias no sangue. Anemia: diminuição do número de hemácias no sangue Leucocitose: aumento no número total de leucócitos. Leucopenia: diminuição do número total de leucócitos Trombocitopenia: diminuição do número normal de plaquetas. Pancitopenia: diminuição em número das três populações celulares. Definições
  • 51.
    Linfocitose: aumento donúmero de linfócitos. Linfopenia: diminuição do número de linfócitos. Neutrofilia: aumento do número de neutrófilos. Neutropenia: diminuição do número de neutrófilos. Eosinofilia: aumento do número de eosinófilos. Monocitose: aumento do número de monócitos. Desvio à esquerda: aumento do número de bastões acima de 5/mm³, ou presença de formas mais imaturas como mielócitos e metamielócitos. Definições
  • 52.
  • 53.
    Valores de referência (Checar valores com o laboratório de referência). ( Diagnósticos Clínicos e tratamento por Métodos laboratoriais . Henry JB, 19ª ed Manole LTDA, 1999. pg1459-1460).   Hemácias: 4,5-5,1 x 10 6  L(mulheres), 4,5-5,9 x 10 6  L (homens). Hemoglobina: 12,0-15,6 g/dl (mulheres), 13,5-17,5 g/dl (homens). Hematócrito: 35,9-44,6%(mulheres), 41,5-50,4% (homens). VCM= 80 a 96  m 3 HCM= 27,5 a 33,2 pg CHCM= 33,4 a 35,5 g/dl   Plaquetas: 150 000 a 450 000/ mm 3 Leucócitos totais: 4,4-11,0 x 10 3  L. Diferencial de leucócitos (valores médios): neutrófilos segmentados (56% de 1800 a 7800), bastonestes (3% de 0 a 700), eosinófilos (2,7% de 0 a 450), basófilos (0,3 de 0 a 200) linfócitos (34% de 1000 a 4800) e monócitos (4% de 0 a 800). LUC(Large unstained cell, que podem representar linfócitos reativos, blastos, precursores linfáticos): 0-5%
  • 54.