Micoses Profundas e Sistêmicas
Micoses: classificação
• Micoses Subcutâneas
– Esporotricose-Sporothrix schenckii
– Cromomicose-Phialophora, Cladosporium e Fonsecaea
– Micetomas-Pseudoallescheria, Madurella, Acremonium
– Doença de Jorge Lobo- Lacazia loboi
• Micoses Sistêmicas
– Paracoccidioidomicose- P. brasiliensis
– Histoplasmose- Histoplasma capsulatum
– Criptococose- Cryptococcus neoformans
– Coccidioidomicose – Coccidiodes immitis e C. posadasii
Histoplasmose
Def. Doença sistêmica causada pelo fungo Histoplasma
capsulatum que ocorre em climas temperados e
tropicais através do mundo.
- encontrado no solo em locais ricos em fezes de aves
e morcegos
- cosmopolita
- dimórfico
-filamento a temp. ambiente
-levedura em parasitismo
- Infecção por inalação
EPIDEMIOLOGIA
• Ampla distribuição geográfica
• Áreas endêmicas: América Latina, América do Norte, Caribe,
África e sudeste da Ásia
• Na Ámerica: estende-se desde o sul do Canadá até as regiões
da Argentina
• Zonas endêmicas importantes: vales dos rios Mississippi-Ohio
na América do Norte; bacia do rio da Prata e Serra do Mar na
América do Sul.
• Transmissão inter-humana: NÃO EXISTE
Histoplasmose no Brasil
• Rio Grande do Sul: 111 pacientes de 1977 a 2002, desses
63,1% tinham AIDS.
Unis G. RSBMT. 2004; 37(6):463
• Minas gerais: 18 casos em 10 anos, 17 com co-infecção pelo
HIV.
Borges AS. RSBMT. 1997; 30(2): 119.
• Ceará: de 1999 a 2012 foram encontrados 330 casos de
histoplasmose disseminada em pacientes com AIDS.
EPIDEMIOLOGIA
• Ampla distribuição geográfica
• Áreas endêmicas: América Latina, América do Norte, Caribe,
África e sudeste da Ásia
• Na Ámerica: estende-se desde o sul do Canadá até as regiões
da Argentina
• Zonas endêmicas importantes: vales dos rios Mississippi-Ohio
na América do Norte (30 milhões de casos) ; bacia do rio da
Prata e Serra do Mar na América do Sul.
• Transmissão inter-humana: NÃO EXISTE
Histoplasmose no Brasil
• Rio Grande do Sul: 111 pacientes de 1977 a 2002, desses
63,1% tinham AIDS.
Unis G. RSBMT. 2004; 37(6):463
• Minas gerais: 18 casos em 10 anos, 17 com co-infecção pelo
HIV.
Borges AS. RSBMT. 1997; 30(2): 119.
• Ceará: de 1999 a 2012 foram encontrados 310 casos de
histoplasmose disseminada em pacientes com AIDS.
Patogênese
HISTOPLASMOSE
• Micose sistêmica produzida pelo Histoplasma capsulatum
var. capsulatum
• Transmissão inalatória
• Não há transmissão inter-humana nem de animal p/
homem
• Disseminação linfo-hematogênica p/ baço, fígado e medula
óssea
• Formas clínicas:
– Pulmonar
– Disseminada
HISTOPLASMOSE: PATOGÊNESE
• Influenciam as manifestações clínicas:
• magnitude da exposição: números de partículas de fungos
inaladas.
• estado imunológico do hospedeiro: linfócitos T CD4 são os
principais responsáveis pela destruição do fungo.
• virulência da cepa.
Histoplasma capsulatum
Filamentosa
Reservatório
• Solo, poeira e animais
• Vísceras e fezes de morcegos
• Solo e ar de cavernas habitadas por morcegos
• Fezes de pássaros, galinheiros
• Túneis, chaminés, construções antigas, jardins e parques
públicos c/ pombos, morcegos e árvores decaídas
• Epidemias em explorações de cavernas ou sítios ricos em
fezes de pássaros
Formas clínicas
Afinidade pelo SRE
• Pulmonar
– Aguda
– Crônica
• Disseminada
– Aguda (progressiva)
– Crônica
Formas clínicas
• Apresentação e evolução clínica depende:
– Número de microconídios inalados
– “Status” imune do hospedeiro
Formas clínicas
HISTOP. PULMONAR AGUDA
• Pacientes imunocompetentes
• PI = 3 a 21ds
• Quadro gripal (febre, cefaléia, astenia, tosse seca,
anorexia, mialgia) auto-limitado
• Remissão espontânea em 6 semanas
• Rx: infiltrados em bases pulmonares + adenomegalia
mediastinal
• Nódulos calcificados em pulmão ou linfonodos
Formas clínicas
HISTOP. PULMONAR CRÔNICA (HPC)
• Adultos c/ DPOC, eg tabagistas  50 anos
• Fat. predisponente: defeito na arquitetura pulmonar →
impede resolução da micose
• Q. clínico (febre, tosse, escarro purulento ou hemoptóico,
perda de peso, dispnéia, dor torácica)
• Evolução de anos, c/ progressão/remissão
• RX: envolvimento simétrico, ápices, cavitações
Formas disseminadas
 Fat. predisponente: deficit imunidade
 Aids
 Doenças onco-hematológicas
 Neoplasias
 Corticoterapia
 Transplante de órgãos
 Diabetes tipo II
 Corticoterapia  doses
 Idade avançada
 Etilismo ou tabagismo
Grave
Moderado
Formas clínicas
HISTOP. DISSEMINADA AGUDA
• Imunodepressão grave: aids, onco-hemato, Febre, 
peso, diarréia, vômitos, sintomas respiratórios,
hepatoesplenomegalia, adenomegalia, lesões
cutâneo-mucosas, pancitopenia
• Alguns casos: envolvimento SNC, falência
respiratória, falência de múltiplos órgãos
Formas clínicas
HISTOP. DISSEMINADA AGUDA (HDA)
• Lesões cutâneo-mucosas:
– América Latina: 80% dos casos
– EUA: 6 – 10% dos casos
• Pele
– Polimorfismo: múltiplas micropápulas, úlceras
granulomatosas, nódulos
• Mucosa
– Menos freqüentes; úlceras em orofaringe e laringe
Histoplasmose e AIDS
Formas clínicas
HISTOP. DISSEMINADA CRÔNICA
• Imunodepressão moderada
• Lesões mucocutâneas freqüentes
• Comp laríngeo:
– 50% dos casos
– disfonia, odinofagia, dispnéia, tosse, expectoração
• Comp cav oral e orofaringe:
– 40% dos casos
– úlceras e granulomas – dor, odinofagia, sialorréia, macroglossia
– Úlcera em língua é comum
Formas clínicas
HISTOP. DISSEMINADA CRÔNICA (HDC)
• Lesões cutâneas: 10% dos casos – polimorfismo
• Comprometimento pulmonar: 10 – 20%
• Envolvimento de adrenais: 10%
Histoplasmose disseminada:
mucosa e pele
• Geralmente, se localizam na face, tronco e membros
superiores
• Apresentam-se como quadro clínico inicial dominante
• Tendem a desaparecer nas primeiras semanas de
terapêutica
• Adquire importância porque constituem um meio de
diagnóstico fácil nestes pacientes
Histoplasmose Disseminada e
Pulmão
Histoplasmose e Aids
Histoplasmose: estudo de 28 casos HIV
positivos
Sintomas %
Febre 100
Com calafrios 72
Adinamia 79
Perda de peso 79
Diarréia 75
Tosse 75
Com escarro 50
Histoplasmose: estudo de 28 casos HIV-
positivos
Hemoglobina 74% < 9,5 mg/dl
Leucócitos 50% < 2.800
LDH 72% > 700 mU/ml
TAP 71% < 40
Rx de Tórax 74% alterado
Histoplasmose e Aids
Diagnóstico
• Ex. direto – cultura – biópsia – escarro, lesões, sangue
– Hemocultura (+) em 75% dos casos
– Hemocultura (-), Cultura medula óssea (+),
• Acs específicos (Imunodifusão):
 após 3-4 sem: > 1/32 ou 4x basal /  após resol. clín.
• Histoplasmina:
– (+) 3-4 sem após primo-infecção
Tratamento
HISTOP. PULMONAR AGUDA
 Anfotericina B, IV → ITZ oral p/ 3 meses (ausência de remissão ou
imunodeprimido)
HISTOP. PULMONAR CRÔNICA
 Anfotericina B, IV → ITZ oral p/ 12-24 meses
HISTOP. DISSEMINADA CRÔNICA
 Anfotericina B, IV → ITZ oral p/ 6-18 meses
HISTOP. DISSEMINADA AGUDA
 Anfotericina B, IV + ITZ oral p/ ..........
 Aids: indução – 12 sem / Manutenção – toda a vida
CryptococcusCryptococcus
neoformansneoformans
LevedurasLeveduras
I - Introdução
• A criptococose é uma infecção subaguda ou
crônica causada pelo Cryptococcus neoformans,
uma levedura que raramente se dissemina em
indivíduos sadios e que tem tropismo pelo SNC.
Cryptococcus neoformans
Patógeno ou oportunista?
1) Características básicas para produzir
infecçcão:
– Formas viáveis <4µm
de diâmetro
Patógeno ou oportunista?
2) Fatores de virulência que afetam o grau de
patogenicidade
– Cápsula
– Produtos de metabolismo
– Produção de melanina
– Produção de manitol
– Superóxido dismutase
– Proteases
– Fosfolipase B
– Lisofosfolipase
II - Epidemiologia e Transmissão
• Cosmopolita
• Isolamento de solo e matéria orgânica
– Fezes de pombos e outras aves
– Eucalipto
• Transmissão: Inalação do fungo
Rota de infecçãoRota de infecção
• Aids
• Corticoterapia
• Linfoma
• Diabetes mellitus
• Transplante renal
• Doenças do colágeno
III – Fatores predisponentes
IV – Formas clínicas
• Pulmonar
• Meningoencefálica
• Disseminada
Mitchell & Perfect, Clin Microb Rev, 1995, 8:515.
V - Manifestações Clínicas
• Pulmonar
– Imunocompetentes - infiltrados pulmonares que se resolvem
espontaneamente, resultando em granulomas cicatrizados
– Imunocomprometidos
• Infecção primária ou reativação de focos pré-existentes
• Disseminação
• Estabelecimento de infecção no SNC
– Tosse, febre, perda de peso, dispnéia
– Rx: nódulos isolados ou múltiplos nos campos pulmonares
médio e inferior
Criptococose
Criptococose
V - Manifestações Clínicas
• Meningoencefalite
– Ocorre em 40 a 86% dos casos disseminados
– Cefaléia, febre, distúrbio do comportamento
VI - Manifestações Clínicas
• Cutânea
– 10 a 15% dos casos de criptococose
– Pápulas, vesículas, nódulos, granulomas superficiais
e tumores
– Lesões herpetiformes e lesões tipo molusco
contagioso
Criptococose - Aids
Criptococose - Aids
Criptococose
Criptococose
VII - Diagnóstico Laboratorial
• Exame direto com Tinta-da-China (nankin)
– Pesquisa do agente etiológico no material suspeito -
escarro, líquor, urina e sangue
• Cultura: LCR e sangue
• Sorologia: Crypto látex
– Detecção de Ag capsular de C. neoformans no LCR,
soro e urina: sens: 83-100%
• Biópsia c/ histopatológico: PAS e Mucicarmim
Exame direto: cápsulaExame direto: cápsula
Cultura em Ágar Sabouraud dextroseCultura em Ágar Sabouraud dextrose
Colônias mucóidesColônias mucóides
HistopatológicoHistopatológico
CryptococcusCryptococcus sppspp
MucicarmimMucicarmim
VIII - Tratamento
• O êxito do tratamento depende do
diagnóstico precoce e do estado geral do
paciente
• Anfotericina B
• Anfotericina B associada a 5-
fluorocitosina
• Fluconazol
• Voriconazol
Fatores de virulência
• Produção de D-manitol
– Sobrevivência no hospedeiro – inibe danos oxidativos
• Superoxido dismutase (SOD)
– Produção ↑ com ↑ da temperatura
• Proteases
– Digerem proteínas plasmáticas
• Fosfolipases
– Ruptura de membranas
Criptococose
Fatores de risco
• AIDS
• Linfoma
• Terapia com corticosteróides
• ↓ CD4
Micoses Pulmonares
• Aspergillus:
- Existem mais de 200 espécies de Aspergillus que podem
causar doença no homem.
- Encontrado no ar, na água e no solo. Coloniza com grande
frequência o trato respiratório alto de indivíduos normais.
- É descrito a ocorrência de surtos de infecção invasiva
pulmonar em pacientes de risco, após reformas de hospital.
• Aspergilose: constitui espectro amplo de doenças no
hospedeiro humano, cujas manifestações clínicas dependem
basicamente da resposta imunológica do mesmo, classicamente
definidas como formas invasiva, saprofítica e alérgica.
• A doença invasiva inclui:
- Infecção do trato respiratório inferior, seios da face e pele como
portas de entrada.
- SNC, aparelho cardiovascular e outros sítios podem ser
acometidos como consequência de disseminação hematogênica
ou por invasão direta de focos de infecção contíguos.
- O envolvimento saprófita do Aspergillus inclui o aspergiloma.
- Na condição alérgica destacam-se a aspergilose
broncopulmonar alérgica e a sinusite.
Doenças causadas por várias espécies de Aspergillus
• Colonização
• Aspergiloma
– Pulmomar
– Seio paranasal
• Doença alérgica
• Aspergilose invasiva
– Doença aguda invasiva
• Pulmonar, dos seios paranasais ou disseminada
Aspergilose Pulmonar Invasiva
• A situação clínica mais frequente é a de um paciente com
neutropenia persistente, geralmente superior a 10 dias, que
apresenta quadro de febre persistente apesar da
antibioticoterapia de amplo espectro.
• Em não neutropênicos e usuários de corticosteróides podem
apresentar aspergilose invasiva com instalação mais insidiosa. Es
Quadro clínico de tosse, eventualmente dor pleural, febre baixa
ou ausente e lesão nodular ou cavitária em pulmões.
Aspergilose Pulmonar Invasiva
• Exames complementares:
- TC de Tórax: sinal do halo (nódulo cercado por imagem em vidro
fosco).
- Cultura com crescimento do fungo( LBA).
- Detecção de galactomanana, polissacarídeo da parede do
Aspergillus e, portanto, marcador da antigenemia.
- Outro marcador potencial é o β-D glucan; sua presença significa
infecção fúngica invasiva, porém não é específico.
Aspergiloma Pulmonar
(bola fúngica)
• Lesões cavitárias pulmonares têm risco para desenvolvimento de
colonização intracavitária pulmonar por fungos (bola fúngica),
sendo Aspergillus spp o gênero de fungo mais comumente
envolvido no processo, por isso denominado aspergiloma.
• 10% dos pacientes com cavitação secundária à tuberculose
desenvolvem aspergiloma em período de 3 anos de seguimento.
• Normalmente assintomático. Em alguns casos hemoptise.
Aspergiloma Pulmonar
(bola fúngica)
• Tratamento: cirúrgico.
• Em alguns casos opta-se por tratamento clínico ou infusão de
anfotericina B na cavitação.
Aspergilose Broncopulmonar
Alérgica
Critérios maiores: Critérios menores:
asma presença de tampões de muco no escarro
infiltrados pulmonares migratórios expectoração hemóptica; elevada taxa de
eosinófilos no escarro
bronquiectasias proximais impactação mucóide
alta taxa de eosinófilos no sangue reação cutânea tardia
valor da IgE sérica acima de 1000ng/mL presença de Aspergillus no escarro
IgE e IgG específicas contra o A. fumigatus
precipitinas contra antígeno de A.
fumigatus
resposta cutânea imediata.
Fatores de virulência
• Relativos: dep. do hospedeiro
• Catalase
• Proteases
– Elastase (tec.pulmonar 30% elastina)
• Serina protease e metaloproteinase
• Toxinas
– Gliotoxina (imunossupressor)
– Aflatoxina (carcinogênica)
Aspergilose
Diagnóstico laboratorial
• Material clínico: escarro, Aspirado bronco-
pulmonar, tecido pulmonar
• Exame direto
• Cultura
• Sorologia
• Exame histopatológico
Aspergilose/Aspergiloma
Aspergillus spp
Diagnóstico laboratorial
Exame direto
(escarro)
Aspergilose
Tratamento
•ALÉRGICA: esteróides
•ASPERGILOMA: cirurgia e anfotericina B
•LOCAL, SUPERFICIAL: nistatina
•INVASIVA:
- Cirurgia
- Anfotericina B, itraconazol
***Alta taxa de mortalidade
MICOSES PULMONARES
 RADIOLOGIA - ABPARADIOLOGIA - ABPA
MICOSES PULMONARES
 RADIOLOGIA - ABPARADIOLOGIA - ABPA
MICOSES PULMONARES
 RADIOLOGIA - ABPARADIOLOGIA - ABPA
MICOSES PULMONARES
 TERAPÊUTICA - ABPA
Prednisona via oral.
Itraconazol – pode diminuir a dose
necessária de corticosteróide.
MICOSES PULMONARES
 RADIOLOGIA – ASPERGILOMARADIOLOGIA – ASPERGILOMA
MICOSES PULMONARES
 RADIOLOGIA – ASPERGILOMARADIOLOGIA – ASPERGILOMA
MICOSES PULMONARES
 RADIOLOGIA – ASPERGILOMARADIOLOGIA – ASPERGILOMA
MICOSES PULMONARES
 TERAPÊUTICA – ASPERGILOMATERAPÊUTICA – ASPERGILOMA
Paciente assintomático: observação
Hemoptise potencialmente letal: cirurgia
Indicação cirúrgica sem condições clínicas:
embolização de a. brônquica.
Antifúngico intracavitário: ?
MICOSES PULMONARES
 DIAGNÓSTICO – ASPERGILOMA
Geralmente clínica + radiologia são
suficientes
MICOSES PULMONARES
 RADIOLOGIA – ASPERGILOSE INVASIVARADIOLOGIA – ASPERGILOSE INVASIVA
MICOSES PULMONARES
 PATOLOGIA – ASPERGILOSE INVASIVAPATOLOGIA – ASPERGILOSE INVASIVA
MICOSES PULMONARES
 RADIOLOGIA – ABPA + ASPERGILOMARADIOLOGIA – ABPA + ASPERGILOMA

Micoses pulmonares e sistemicas

  • 1.
  • 2.
    Micoses: classificação • MicosesSubcutâneas – Esporotricose-Sporothrix schenckii – Cromomicose-Phialophora, Cladosporium e Fonsecaea – Micetomas-Pseudoallescheria, Madurella, Acremonium – Doença de Jorge Lobo- Lacazia loboi • Micoses Sistêmicas – Paracoccidioidomicose- P. brasiliensis – Histoplasmose- Histoplasma capsulatum – Criptococose- Cryptococcus neoformans – Coccidioidomicose – Coccidiodes immitis e C. posadasii
  • 3.
    Histoplasmose Def. Doença sistêmicacausada pelo fungo Histoplasma capsulatum que ocorre em climas temperados e tropicais através do mundo. - encontrado no solo em locais ricos em fezes de aves e morcegos - cosmopolita - dimórfico -filamento a temp. ambiente -levedura em parasitismo - Infecção por inalação
  • 4.
    EPIDEMIOLOGIA • Ampla distribuiçãogeográfica • Áreas endêmicas: América Latina, América do Norte, Caribe, África e sudeste da Ásia • Na Ámerica: estende-se desde o sul do Canadá até as regiões da Argentina • Zonas endêmicas importantes: vales dos rios Mississippi-Ohio na América do Norte; bacia do rio da Prata e Serra do Mar na América do Sul. • Transmissão inter-humana: NÃO EXISTE
  • 5.
    Histoplasmose no Brasil •Rio Grande do Sul: 111 pacientes de 1977 a 2002, desses 63,1% tinham AIDS. Unis G. RSBMT. 2004; 37(6):463 • Minas gerais: 18 casos em 10 anos, 17 com co-infecção pelo HIV. Borges AS. RSBMT. 1997; 30(2): 119. • Ceará: de 1999 a 2012 foram encontrados 330 casos de histoplasmose disseminada em pacientes com AIDS.
  • 6.
    EPIDEMIOLOGIA • Ampla distribuiçãogeográfica • Áreas endêmicas: América Latina, América do Norte, Caribe, África e sudeste da Ásia • Na Ámerica: estende-se desde o sul do Canadá até as regiões da Argentina • Zonas endêmicas importantes: vales dos rios Mississippi-Ohio na América do Norte (30 milhões de casos) ; bacia do rio da Prata e Serra do Mar na América do Sul. • Transmissão inter-humana: NÃO EXISTE
  • 7.
    Histoplasmose no Brasil •Rio Grande do Sul: 111 pacientes de 1977 a 2002, desses 63,1% tinham AIDS. Unis G. RSBMT. 2004; 37(6):463 • Minas gerais: 18 casos em 10 anos, 17 com co-infecção pelo HIV. Borges AS. RSBMT. 1997; 30(2): 119. • Ceará: de 1999 a 2012 foram encontrados 310 casos de histoplasmose disseminada em pacientes com AIDS.
  • 8.
  • 9.
    HISTOPLASMOSE • Micose sistêmicaproduzida pelo Histoplasma capsulatum var. capsulatum • Transmissão inalatória • Não há transmissão inter-humana nem de animal p/ homem • Disseminação linfo-hematogênica p/ baço, fígado e medula óssea • Formas clínicas: – Pulmonar – Disseminada
  • 10.
    HISTOPLASMOSE: PATOGÊNESE • Influenciamas manifestações clínicas: • magnitude da exposição: números de partículas de fungos inaladas. • estado imunológico do hospedeiro: linfócitos T CD4 são os principais responsáveis pela destruição do fungo. • virulência da cepa.
  • 11.
  • 12.
    Reservatório • Solo, poeirae animais • Vísceras e fezes de morcegos • Solo e ar de cavernas habitadas por morcegos • Fezes de pássaros, galinheiros • Túneis, chaminés, construções antigas, jardins e parques públicos c/ pombos, morcegos e árvores decaídas • Epidemias em explorações de cavernas ou sítios ricos em fezes de pássaros
  • 13.
    Formas clínicas Afinidade peloSRE • Pulmonar – Aguda – Crônica • Disseminada – Aguda (progressiva) – Crônica
  • 14.
    Formas clínicas • Apresentaçãoe evolução clínica depende: – Número de microconídios inalados – “Status” imune do hospedeiro
  • 15.
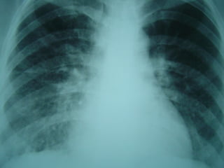
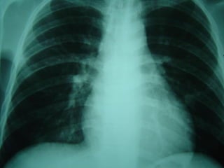
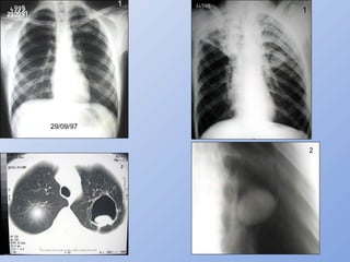
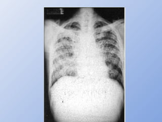
    Formas clínicas HISTOP. PULMONARAGUDA • Pacientes imunocompetentes • PI = 3 a 21ds • Quadro gripal (febre, cefaléia, astenia, tosse seca, anorexia, mialgia) auto-limitado • Remissão espontânea em 6 semanas • Rx: infiltrados em bases pulmonares + adenomegalia mediastinal • Nódulos calcificados em pulmão ou linfonodos
  • 17.
    Formas clínicas HISTOP. PULMONARCRÔNICA (HPC) • Adultos c/ DPOC, eg tabagistas  50 anos • Fat. predisponente: defeito na arquitetura pulmonar → impede resolução da micose • Q. clínico (febre, tosse, escarro purulento ou hemoptóico, perda de peso, dispnéia, dor torácica) • Evolução de anos, c/ progressão/remissão • RX: envolvimento simétrico, ápices, cavitações
  • 19.
    Formas disseminadas  Fat.predisponente: deficit imunidade  Aids  Doenças onco-hematológicas  Neoplasias  Corticoterapia  Transplante de órgãos  Diabetes tipo II  Corticoterapia  doses  Idade avançada  Etilismo ou tabagismo Grave Moderado
  • 20.
    Formas clínicas HISTOP. DISSEMINADAAGUDA • Imunodepressão grave: aids, onco-hemato, Febre,  peso, diarréia, vômitos, sintomas respiratórios, hepatoesplenomegalia, adenomegalia, lesões cutâneo-mucosas, pancitopenia • Alguns casos: envolvimento SNC, falência respiratória, falência de múltiplos órgãos
  • 21.
    Formas clínicas HISTOP. DISSEMINADAAGUDA (HDA) • Lesões cutâneo-mucosas: – América Latina: 80% dos casos – EUA: 6 – 10% dos casos • Pele – Polimorfismo: múltiplas micropápulas, úlceras granulomatosas, nódulos • Mucosa – Menos freqüentes; úlceras em orofaringe e laringe
  • 25.
  • 27.
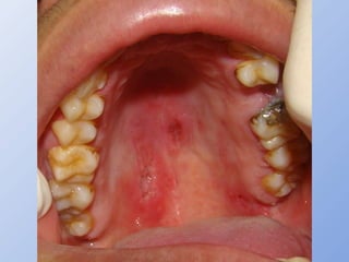
    Formas clínicas HISTOP. DISSEMINADACRÔNICA • Imunodepressão moderada • Lesões mucocutâneas freqüentes • Comp laríngeo: – 50% dos casos – disfonia, odinofagia, dispnéia, tosse, expectoração • Comp cav oral e orofaringe: – 40% dos casos – úlceras e granulomas – dor, odinofagia, sialorréia, macroglossia – Úlcera em língua é comum
  • 28.
    Formas clínicas HISTOP. DISSEMINADACRÔNICA (HDC) • Lesões cutâneas: 10% dos casos – polimorfismo • Comprometimento pulmonar: 10 – 20% • Envolvimento de adrenais: 10%
  • 29.
    Histoplasmose disseminada: mucosa epele • Geralmente, se localizam na face, tronco e membros superiores • Apresentam-se como quadro clínico inicial dominante • Tendem a desaparecer nas primeiras semanas de terapêutica • Adquire importância porque constituem um meio de diagnóstico fácil nestes pacientes
  • 43.
  • 48.
  • 49.
    Histoplasmose: estudo de28 casos HIV positivos Sintomas % Febre 100 Com calafrios 72 Adinamia 79 Perda de peso 79 Diarréia 75 Tosse 75 Com escarro 50
  • 50.
    Histoplasmose: estudo de28 casos HIV- positivos Hemoglobina 74% < 9,5 mg/dl Leucócitos 50% < 2.800 LDH 72% > 700 mU/ml TAP 71% < 40 Rx de Tórax 74% alterado
  • 51.
  • 52.
    Diagnóstico • Ex. direto– cultura – biópsia – escarro, lesões, sangue – Hemocultura (+) em 75% dos casos – Hemocultura (-), Cultura medula óssea (+), • Acs específicos (Imunodifusão):  após 3-4 sem: > 1/32 ou 4x basal /  após resol. clín. • Histoplasmina: – (+) 3-4 sem após primo-infecção
  • 53.
    Tratamento HISTOP. PULMONAR AGUDA Anfotericina B, IV → ITZ oral p/ 3 meses (ausência de remissão ou imunodeprimido) HISTOP. PULMONAR CRÔNICA  Anfotericina B, IV → ITZ oral p/ 12-24 meses HISTOP. DISSEMINADA CRÔNICA  Anfotericina B, IV → ITZ oral p/ 6-18 meses HISTOP. DISSEMINADA AGUDA  Anfotericina B, IV + ITZ oral p/ ..........  Aids: indução – 12 sem / Manutenção – toda a vida
  • 54.
  • 55.
    I - Introdução •A criptococose é uma infecção subaguda ou crônica causada pelo Cryptococcus neoformans, uma levedura que raramente se dissemina em indivíduos sadios e que tem tropismo pelo SNC.
  • 56.
  • 57.
    Patógeno ou oportunista? 1)Características básicas para produzir infecçcão: – Formas viáveis <4µm de diâmetro
  • 58.
    Patógeno ou oportunista? 2)Fatores de virulência que afetam o grau de patogenicidade – Cápsula – Produtos de metabolismo – Produção de melanina – Produção de manitol – Superóxido dismutase – Proteases – Fosfolipase B – Lisofosfolipase
  • 59.
    II - Epidemiologiae Transmissão • Cosmopolita • Isolamento de solo e matéria orgânica – Fezes de pombos e outras aves – Eucalipto • Transmissão: Inalação do fungo
  • 60.
  • 61.
    • Aids • Corticoterapia •Linfoma • Diabetes mellitus • Transplante renal • Doenças do colágeno III – Fatores predisponentes
  • 62.
    IV – Formasclínicas • Pulmonar • Meningoencefálica • Disseminada Mitchell & Perfect, Clin Microb Rev, 1995, 8:515.
  • 63.
    V - ManifestaçõesClínicas • Pulmonar – Imunocompetentes - infiltrados pulmonares que se resolvem espontaneamente, resultando em granulomas cicatrizados – Imunocomprometidos • Infecção primária ou reativação de focos pré-existentes • Disseminação • Estabelecimento de infecção no SNC – Tosse, febre, perda de peso, dispnéia – Rx: nódulos isolados ou múltiplos nos campos pulmonares médio e inferior
  • 64.
  • 65.
  • 66.
    V - ManifestaçõesClínicas • Meningoencefalite – Ocorre em 40 a 86% dos casos disseminados – Cefaléia, febre, distúrbio do comportamento
  • 67.
    VI - ManifestaçõesClínicas • Cutânea – 10 a 15% dos casos de criptococose – Pápulas, vesículas, nódulos, granulomas superficiais e tumores – Lesões herpetiformes e lesões tipo molusco contagioso
  • 68.
  • 69.
  • 71.
  • 72.
  • 73.
    VII - DiagnósticoLaboratorial • Exame direto com Tinta-da-China (nankin) – Pesquisa do agente etiológico no material suspeito - escarro, líquor, urina e sangue • Cultura: LCR e sangue • Sorologia: Crypto látex – Detecção de Ag capsular de C. neoformans no LCR, soro e urina: sens: 83-100% • Biópsia c/ histopatológico: PAS e Mucicarmim
  • 74.
  • 75.
    Cultura em ÁgarSabouraud dextroseCultura em Ágar Sabouraud dextrose Colônias mucóidesColônias mucóides
  • 76.
  • 77.
    VIII - Tratamento •O êxito do tratamento depende do diagnóstico precoce e do estado geral do paciente • Anfotericina B • Anfotericina B associada a 5- fluorocitosina • Fluconazol • Voriconazol
  • 78.
    Fatores de virulência •Produção de D-manitol – Sobrevivência no hospedeiro – inibe danos oxidativos • Superoxido dismutase (SOD) – Produção ↑ com ↑ da temperatura • Proteases – Digerem proteínas plasmáticas • Fosfolipases – Ruptura de membranas
  • 79.
    Criptococose Fatores de risco •AIDS • Linfoma • Terapia com corticosteróides • ↓ CD4
  • 80.
    Micoses Pulmonares • Aspergillus: -Existem mais de 200 espécies de Aspergillus que podem causar doença no homem. - Encontrado no ar, na água e no solo. Coloniza com grande frequência o trato respiratório alto de indivíduos normais. - É descrito a ocorrência de surtos de infecção invasiva pulmonar em pacientes de risco, após reformas de hospital.
  • 81.
    • Aspergilose: constituiespectro amplo de doenças no hospedeiro humano, cujas manifestações clínicas dependem basicamente da resposta imunológica do mesmo, classicamente definidas como formas invasiva, saprofítica e alérgica. • A doença invasiva inclui: - Infecção do trato respiratório inferior, seios da face e pele como portas de entrada. - SNC, aparelho cardiovascular e outros sítios podem ser acometidos como consequência de disseminação hematogênica ou por invasão direta de focos de infecção contíguos.
  • 82.
    - O envolvimentosaprófita do Aspergillus inclui o aspergiloma. - Na condição alérgica destacam-se a aspergilose broncopulmonar alérgica e a sinusite.
  • 83.
    Doenças causadas porvárias espécies de Aspergillus • Colonização • Aspergiloma – Pulmomar – Seio paranasal • Doença alérgica • Aspergilose invasiva – Doença aguda invasiva • Pulmonar, dos seios paranasais ou disseminada
  • 84.
    Aspergilose Pulmonar Invasiva •A situação clínica mais frequente é a de um paciente com neutropenia persistente, geralmente superior a 10 dias, que apresenta quadro de febre persistente apesar da antibioticoterapia de amplo espectro. • Em não neutropênicos e usuários de corticosteróides podem apresentar aspergilose invasiva com instalação mais insidiosa. Es Quadro clínico de tosse, eventualmente dor pleural, febre baixa ou ausente e lesão nodular ou cavitária em pulmões.
  • 85.
    Aspergilose Pulmonar Invasiva •Exames complementares: - TC de Tórax: sinal do halo (nódulo cercado por imagem em vidro fosco). - Cultura com crescimento do fungo( LBA). - Detecção de galactomanana, polissacarídeo da parede do Aspergillus e, portanto, marcador da antigenemia. - Outro marcador potencial é o β-D glucan; sua presença significa infecção fúngica invasiva, porém não é específico.
  • 86.
    Aspergiloma Pulmonar (bola fúngica) •Lesões cavitárias pulmonares têm risco para desenvolvimento de colonização intracavitária pulmonar por fungos (bola fúngica), sendo Aspergillus spp o gênero de fungo mais comumente envolvido no processo, por isso denominado aspergiloma. • 10% dos pacientes com cavitação secundária à tuberculose desenvolvem aspergiloma em período de 3 anos de seguimento. • Normalmente assintomático. Em alguns casos hemoptise.
  • 87.
    Aspergiloma Pulmonar (bola fúngica) •Tratamento: cirúrgico. • Em alguns casos opta-se por tratamento clínico ou infusão de anfotericina B na cavitação.
  • 89.
    Aspergilose Broncopulmonar Alérgica Critérios maiores:Critérios menores: asma presença de tampões de muco no escarro infiltrados pulmonares migratórios expectoração hemóptica; elevada taxa de eosinófilos no escarro bronquiectasias proximais impactação mucóide alta taxa de eosinófilos no sangue reação cutânea tardia valor da IgE sérica acima de 1000ng/mL presença de Aspergillus no escarro IgE e IgG específicas contra o A. fumigatus precipitinas contra antígeno de A. fumigatus resposta cutânea imediata.
  • 90.
    Fatores de virulência •Relativos: dep. do hospedeiro • Catalase • Proteases – Elastase (tec.pulmonar 30% elastina) • Serina protease e metaloproteinase • Toxinas – Gliotoxina (imunossupressor) – Aflatoxina (carcinogênica)
  • 91.
    Aspergilose Diagnóstico laboratorial • Materialclínico: escarro, Aspirado bronco- pulmonar, tecido pulmonar • Exame direto • Cultura • Sorologia • Exame histopatológico
  • 92.
  • 93.
    Aspergilose Tratamento •ALÉRGICA: esteróides •ASPERGILOMA: cirurgiae anfotericina B •LOCAL, SUPERFICIAL: nistatina •INVASIVA: - Cirurgia - Anfotericina B, itraconazol ***Alta taxa de mortalidade
  • 94.
    MICOSES PULMONARES  RADIOLOGIA- ABPARADIOLOGIA - ABPA
  • 95.
    MICOSES PULMONARES  RADIOLOGIA- ABPARADIOLOGIA - ABPA
  • 96.
    MICOSES PULMONARES  RADIOLOGIA- ABPARADIOLOGIA - ABPA
  • 97.
    MICOSES PULMONARES  TERAPÊUTICA- ABPA Prednisona via oral. Itraconazol – pode diminuir a dose necessária de corticosteróide.
  • 98.
    MICOSES PULMONARES  RADIOLOGIA– ASPERGILOMARADIOLOGIA – ASPERGILOMA
  • 99.
    MICOSES PULMONARES  RADIOLOGIA– ASPERGILOMARADIOLOGIA – ASPERGILOMA
  • 100.
    MICOSES PULMONARES  RADIOLOGIA– ASPERGILOMARADIOLOGIA – ASPERGILOMA
  • 101.
    MICOSES PULMONARES  TERAPÊUTICA– ASPERGILOMATERAPÊUTICA – ASPERGILOMA Paciente assintomático: observação Hemoptise potencialmente letal: cirurgia Indicação cirúrgica sem condições clínicas: embolização de a. brônquica. Antifúngico intracavitário: ?
  • 102.
    MICOSES PULMONARES  DIAGNÓSTICO– ASPERGILOMA Geralmente clínica + radiologia são suficientes
  • 103.
    MICOSES PULMONARES  RADIOLOGIA– ASPERGILOSE INVASIVARADIOLOGIA – ASPERGILOSE INVASIVA
  • 104.
    MICOSES PULMONARES  PATOLOGIA– ASPERGILOSE INVASIVAPATOLOGIA – ASPERGILOSE INVASIVA
  • 105.
    MICOSES PULMONARES  RADIOLOGIA– ABPA + ASPERGILOMARADIOLOGIA – ABPA + ASPERGILOMA

Notas do Editor

  • #16 Aparece precocemente o eritema nodoso ou multiforme, mas a associação com histoplasmose pode não ser aparente por várias semanas
  • #53 Aparece precocemente o eritema nodoso ou multiforme, mas a associação com histoplasmose pode não ser aparente por várias semanas