Sistema Digestórioparte IIUNIFENASProfa Vera Ângelo
ObjetivosOG: reconhecer as principais alterações patológicas, macro e microscópicas de afecções gástricasOE: reconhecer as principais alterações patológicas, macro e microscópicas das gastrites agudas e crônicas.reconhecer as principais alterações patológica, macro e microscópicas das ulcerações benignas: gástricas e duodenais.reconhecer as principais alterações patológica, macro e microscópicas das neoplasias gástricas  
Sistema digestivoCélula parietal
Gastropatia aguda:Reação aguda da mucosa gástrica frente a agentes variáveis.Dura +\- 5 dias e cessada a causa, a mucosa volta a normalidade. Etiologia:- Medicamentos (aspirina);                - bebidas alcoólicas               - estresse               - sais biliares               - álcalis e ácidos fortes               - intoxicação alimentar               - agentes biológicos (vírus, bactérias).
Gastropatia aguda:  Mecanismos patogênicos mais comuns:aumento da secreção ácida. redução da produção de íons HCO3-. lesão direta da parede da mucosa  permitindo a retrodifusão de íons H-.
Gastropatia aguda: Macroscopia:Enantema esparso, difuso, petequial
Erosões
Sinais de sangramento recenteMicroscopia:         - presença de erosões edema
fibrina
exsudato inflamatório: predomínio de neutrófilos
Gastrite crônica:Tem início insidioso, de evolução lenta e gradativa ao longo de anos ou décadas. São assintomáticos ou oligossintomáticos. O diagnóstico histológico da gastrite crônica se baseia na presença da reação inflamatória na mucosa caracterizada por exsudato de mono e polimorfonucleares, em proporção e intensidade variáveis
Classificação das gastrites crônicas:Gastrite antral(tipo B) tem etiologia bacteriana (H. pylori). Gastrite do corpo (tipo A) etiologia auto-imune (desenvolvimento de Ac contra células parietais). Atinge a mucosa oxíntica e pode evoluir rápido para atrofia. A mucosa do antro parece normal. Pangastrite (tipo AB) também de etiologia bacteriana."Diferentes cepas associadas as diferentes reações do hospedeiro levam a instalação de um dos tipos ". Têm maior tendência ao aparecimento de alterações do crescimento e diferenciação celular do epitélio glandular do que aqueles com gastrite somente antral.
Gastrite antral(tipo B) tem etiologia bacteriana (H. pylori).  Avaliar à macroscopia:- enantema :  esparso, difuso                      leve, moderado e intensoáreas sugestivas de metaplasia intestinal
Gastrite antral(tipo B)
Gastrite linfocítica
Etiologia bacteriana (H. pylori). Graduar +\4+
Gastrite do corpo (tipo A) etiologia auto-imune (desenvolvimento de Ac contra células parietais). Perda de células parietais e diminuição da síntese do Fator Intrínseco: absorção insuficiente de Vit.B12 (Anemia perniciosa).     Maior predisposição ao carcinoma gástrico.      Acometimento preferencial da mucosa oxíntica.Presença de Ac circulantes para células parietais e para o Fator Intrínseco levando à destruição das células parietais e à hipo/acloridria e hipergastrinemia (hiperplasia secundária de G).
Outros:Doença de Ménétrier: é uma hiperplasia das células mucosas superficiais da mucosa gástrica, mais comum em homens na 4a à 6a décadas. Na realidade, não é gastrite (isto é, não há inflamação), nem hipertrófica (o que há é uma hiperplasia das células epiteliais). A causa é desconhecida
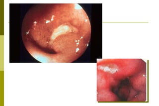
Úlcera pépticaDefinição: Lesão escavada, geralmente solitáriaResultado de digestão ácido pépticaFreqüência: Variável 5-10% da população adulta. UP intestinal é mais freqüente que a gástrica.Eghomens são mais acometidos que mulheres (há aumento da incidência após a menopausa).
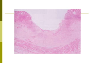
Úlcera pépticaMacroscopia: em gerallesão é única. Lesão arredondada ou ovalada, com diâmetro em torno de 0,5 ou 2,0 cm.As bordas são regulares, pouco elevadas e cortadas a pique, tendendo a se afunilar à medida que se aprofundam na parede do órgão. O fundo pode ser limpo ou recoberto por material necrótico brancacento, tecido de granulação avermelhado ou por tecido fibroso.
Úlcera péptica:  ClassificaçãoSuperficial -até a submucosa. Profunda -até a muscular própria ou até a serosa. Perfurante -ultrapassa todas as camadas da parede e se abre na cavidade peritoneal. Penetrante -ultrapassa todas as camadas, mas fica tamponada por órgãos vizinhos. Calosa - caracterizada pela proliferação exuberante de tecido conjuntivo fibroso nas bordas e no fundo da úlcera. A neoformação conjuntiva protege contra a perfuração mas, pode provocar deformação ou estenose do órgão ou semi obstrução da luz.
Úlcera péptica:  microscopia Úlcera péptica ativa: camada de tecido necrótico (fibrinóide), presente no fundo da lesão; camada de exsudato celular (predomínio de neutrófilos);  camada  de tecido de granulação;  camada de tecido fibroso cicatricial. Úlcera péptica inativa:necrose escassa,exudatode neutrófilos é discreto.em alguns indivíduos grande camada fibrosa pode ser observada.
Úlcera péptica: conseqüências e complicações:A hemorragia é a mais comum (discretas ou maciça com hematêmase ou melena). Pode ocorrer perfuração com formação de aderências (pela peritonite). Estenoses e/ou deformações do órgãoCancerização?.
Tumores de estômagoLesões/Condições pré-cancerosas:Adenomas ou pólipos adenomatosos Dieta : nitratos (conservante alimentar), nitritos, benzopireno (carne defumada). A produção interna de nitrosaminas é inibida pelas vitaminas C e E. Metaplasia intestinal e displasia gástrica ( pangastrite; gastrite crônica atrófica do corpo/ anemia perniciosa: adenomas e presença de nódulos hiperplásicos constituídos por células argirófilas). Gastrectomia : úlcera da boca anastomótica (aparecem de 15-20 anos depois). H. pylori (polêmico: somente algumas cepas e em certos ambientes). Doença de Ménètrier  Câncer "in situ" Úlcera péptica gástricas
Tumores do estômagoPrecoce (incipiente):
 Atinge  mucosa, submucosa, com ou sem acometimento nodal.
Tem bom prognóstico (sobrevida de 5 anos para 99% Ca restrito a mucosa e 95% quando atinge submucosa). Microscopicamente:  diferenciado (estrutura de adenocarcinoma tubular e está relacionado com áreas de metaplasia intestinal),
 indiferenciado. Localizaçã: mais freqüente no antro na pequena curvatura.
Tumores de estômago: macroscopia:Avançado:-Atinge a muscular e pode chegar a serosa - Sobrevida de 5 anos de 50-70% se infiltrou até a muscular e de 8-20% se acomete serosa. Tipos: nodular, vegetante ou polipóide;
infiltrante (circunscrito ou anular, difuso ou linite plástica: onde ocorre espessamento da parede com fibrose intensa: "estômago em cantil");
 ulcerado (bordas elevadas, irregulares e de fundo “sujo”).
Tipos histológicos (Classificação de Láuren):tipo intestinal: originam-se das células da metaplasia intestinal.
 glândulas intestinais e vacúolos de mucina.tipo difuso:infiltrativo, sem formar glândulas em agrupamentos.
 ocorre formação de cordões celulares.
 presença de células em anel de sinete
 pouco diferenciado.

Síndromes Digestórias - 2010

  • 1.
  • 2.
    ObjetivosOG: reconhecer asprincipais alterações patológicas, macro e microscópicas de afecções gástricasOE: reconhecer as principais alterações patológicas, macro e microscópicas das gastrites agudas e crônicas.reconhecer as principais alterações patológica, macro e microscópicas das ulcerações benignas: gástricas e duodenais.reconhecer as principais alterações patológica, macro e microscópicas das neoplasias gástricas  
  • 4.
  • 5.
    Gastropatia aguda:Reação agudada mucosa gástrica frente a agentes variáveis.Dura +\- 5 dias e cessada a causa, a mucosa volta a normalidade. Etiologia:- Medicamentos (aspirina); - bebidas alcoólicas - estresse - sais biliares - álcalis e ácidos fortes - intoxicação alimentar - agentes biológicos (vírus, bactérias).
  • 6.
    Gastropatia aguda:  Mecanismospatogênicos mais comuns:aumento da secreção ácida. redução da produção de íons HCO3-. lesão direta da parede da mucosa permitindo a retrodifusão de íons H-.
  • 7.
    Gastropatia aguda: Macroscopia:Enantemaesparso, difuso, petequial
  • 8.
  • 9.
    Sinais de sangramentorecenteMicroscopia: - presença de erosões edema
  • 10.
  • 11.
  • 13.
    Gastrite crônica:Tem inícioinsidioso, de evolução lenta e gradativa ao longo de anos ou décadas. São assintomáticos ou oligossintomáticos. O diagnóstico histológico da gastrite crônica se baseia na presença da reação inflamatória na mucosa caracterizada por exsudato de mono e polimorfonucleares, em proporção e intensidade variáveis
  • 14.
    Classificação das gastritescrônicas:Gastrite antral(tipo B) tem etiologia bacteriana (H. pylori). Gastrite do corpo (tipo A) etiologia auto-imune (desenvolvimento de Ac contra células parietais). Atinge a mucosa oxíntica e pode evoluir rápido para atrofia. A mucosa do antro parece normal. Pangastrite (tipo AB) também de etiologia bacteriana."Diferentes cepas associadas as diferentes reações do hospedeiro levam a instalação de um dos tipos ". Têm maior tendência ao aparecimento de alterações do crescimento e diferenciação celular do epitélio glandular do que aqueles com gastrite somente antral.
  • 15.
    Gastrite antral(tipo B)tem etiologia bacteriana (H. pylori). Avaliar à macroscopia:- enantema : esparso, difuso leve, moderado e intensoáreas sugestivas de metaplasia intestinal
  • 16.
  • 17.
  • 18.
    Etiologia bacteriana (H.pylori). Graduar +\4+
  • 19.
    Gastrite do corpo(tipo A) etiologia auto-imune (desenvolvimento de Ac contra células parietais). Perda de células parietais e diminuição da síntese do Fator Intrínseco: absorção insuficiente de Vit.B12 (Anemia perniciosa). Maior predisposição ao carcinoma gástrico. Acometimento preferencial da mucosa oxíntica.Presença de Ac circulantes para células parietais e para o Fator Intrínseco levando à destruição das células parietais e à hipo/acloridria e hipergastrinemia (hiperplasia secundária de G).
  • 20.
    Outros:Doença de Ménétrier:é uma hiperplasia das células mucosas superficiais da mucosa gástrica, mais comum em homens na 4a à 6a décadas. Na realidade, não é gastrite (isto é, não há inflamação), nem hipertrófica (o que há é uma hiperplasia das células epiteliais). A causa é desconhecida
  • 21.
    Úlcera pépticaDefinição: Lesãoescavada, geralmente solitáriaResultado de digestão ácido pépticaFreqüência: Variável 5-10% da população adulta. UP intestinal é mais freqüente que a gástrica.Eghomens são mais acometidos que mulheres (há aumento da incidência após a menopausa).
  • 22.
    Úlcera pépticaMacroscopia: emgerallesão é única. Lesão arredondada ou ovalada, com diâmetro em torno de 0,5 ou 2,0 cm.As bordas são regulares, pouco elevadas e cortadas a pique, tendendo a se afunilar à medida que se aprofundam na parede do órgão. O fundo pode ser limpo ou recoberto por material necrótico brancacento, tecido de granulação avermelhado ou por tecido fibroso.
  • 23.
    Úlcera péptica: ClassificaçãoSuperficial -até a submucosa. Profunda -até a muscular própria ou até a serosa. Perfurante -ultrapassa todas as camadas da parede e se abre na cavidade peritoneal. Penetrante -ultrapassa todas as camadas, mas fica tamponada por órgãos vizinhos. Calosa - caracterizada pela proliferação exuberante de tecido conjuntivo fibroso nas bordas e no fundo da úlcera. A neoformação conjuntiva protege contra a perfuração mas, pode provocar deformação ou estenose do órgão ou semi obstrução da luz.
  • 24.
    Úlcera péptica: microscopia Úlcera péptica ativa: camada de tecido necrótico (fibrinóide), presente no fundo da lesão; camada de exsudato celular (predomínio de neutrófilos); camada de tecido de granulação; camada de tecido fibroso cicatricial. Úlcera péptica inativa:necrose escassa,exudatode neutrófilos é discreto.em alguns indivíduos grande camada fibrosa pode ser observada.
  • 25.
    Úlcera péptica: conseqüênciase complicações:A hemorragia é a mais comum (discretas ou maciça com hematêmase ou melena). Pode ocorrer perfuração com formação de aderências (pela peritonite). Estenoses e/ou deformações do órgãoCancerização?.
  • 31.
    Tumores de estômagoLesões/Condiçõespré-cancerosas:Adenomas ou pólipos adenomatosos Dieta : nitratos (conservante alimentar), nitritos, benzopireno (carne defumada). A produção interna de nitrosaminas é inibida pelas vitaminas C e E. Metaplasia intestinal e displasia gástrica ( pangastrite; gastrite crônica atrófica do corpo/ anemia perniciosa: adenomas e presença de nódulos hiperplásicos constituídos por células argirófilas). Gastrectomia : úlcera da boca anastomótica (aparecem de 15-20 anos depois). H. pylori (polêmico: somente algumas cepas e em certos ambientes). Doença de Ménètrier Câncer "in situ" Úlcera péptica gástricas
  • 35.
  • 36.
    Atinge mucosa, submucosa, com ou sem acometimento nodal.
  • 37.
    Tem bom prognóstico(sobrevida de 5 anos para 99% Ca restrito a mucosa e 95% quando atinge submucosa). Microscopicamente: diferenciado (estrutura de adenocarcinoma tubular e está relacionado com áreas de metaplasia intestinal),
  • 38.
    indiferenciado. Localizaçã:mais freqüente no antro na pequena curvatura.
  • 39.
    Tumores de estômago:macroscopia:Avançado:-Atinge a muscular e pode chegar a serosa - Sobrevida de 5 anos de 50-70% se infiltrou até a muscular e de 8-20% se acomete serosa. Tipos: nodular, vegetante ou polipóide;
  • 40.
    infiltrante (circunscrito ouanular, difuso ou linite plástica: onde ocorre espessamento da parede com fibrose intensa: "estômago em cantil");
  • 41.
    ulcerado (bordaselevadas, irregulares e de fundo “sujo”).
  • 42.
    Tipos histológicos (Classificaçãode Láuren):tipo intestinal: originam-se das células da metaplasia intestinal.
  • 43.
    glândulas intestinaise vacúolos de mucina.tipo difuso:infiltrativo, sem formar glândulas em agrupamentos.
  • 44.
    ocorre formaçãode cordões celulares.
  • 45.
    presença decélulas em anel de sinete
  • 46.