Caso Clínico
Narjara Dourado
MR1 – Clínica Médica
Identificação e Queixa principal

• Data da admissão: 29/06/12
• Identificação:
 ▫ RMS, 39 anos, sexo masculino, solteiro, pardo,
   ensino fundamental incompleto, desempregado,
   católico, natural e procedente de Salvador-BA.
• Queixa Principal:
 ▫ Hemoptise, tosse produtiva e dor pleurítica há 1
   mês.
História Clínica
• HMA:
 • Paciente refere que há mais de 1 mês vem
   apresentando tosse produtiva com expectoração
   amarelada associada a dor torácica ventilatório-
   dependente a direita de forte intensidade. Refere
   escarros hemoptóicos há 2 semanas. Nega febre e
   refere sudorese noturna. Relata perda ponderal de
   +- 2kg neste período.
História Clínica

• HMA
 ▫ Refere ainda internamento prévio há 2 meses, em
   hospital de Minas Gerais com quadro clínico
   semelhante, sendo tratado para tuberculose por 2
   meses (SIC)
Interrogatório Sistemático
• Geral: refere anorexia e astenia. Nega cefaléia e tontura.

• Pele: refere lesões pruriginosas difusas

• Seg cefálico: Nega cefaléia, turvação visual, odinofagia.
  Nega alterações oculares ou nasais.

• AR: vide HMA;

• ACV: nega síncope e palpitações
Interrogatório Sistemático
• TGI: evacuação diária, 1 X ao dia, sem alterações de cor
  ou consistência.

• AGU: Nega disúria, hematúria, uretrite, dor supra-
  púbica.

• Neurológico: Refere insônia, nega síncope ou episódios
  convulsivos.

• Osteoarticular: Dor no MSD, em queimação
História Clínica
• Antecedentes Médicos
 • HAS há 3 meses

 • Relata passado de pneumonia e TB

 • Nega DM, neoplasia e outras comorbidades

 • Refere alergia a abacaxi
História Clínica
• Antecedentes familiares
 • Pai falecido em acidente automobílisto. Mãe
   falecida devido a AVC.
 • Nega história de neoplasia na família

• Hábitos de vida
 • Etilista (2 litros de destilados/dia) desde os 14
   anos e tabagista (75 anos-maço). Abstêmio há 1
   mês
 • Nega uso de drogas ilícitas.
História Clínica
• História Social

 • É morador de rua há 20 anos (após falecimento da
   mãe). Define-se como andarilho que viaja pelo
   país. Há 1 mês estava morando em um albergue.
Exame Físico
• Geral
  ▫ REG, LOTE, fascies de dor, acianótico, anictérico,
    corado, hidratado, pouco colaborativo

• Sinais Vitais
  ▫ FC:68 bpm             FR: 20 irpm
  ▫ PA: 150x80mmHg

• Cabeça e pescoço
  ▫ ausência de estase de jugular, linfonodos não
    palpáveis.
Exame Físico
• Pele
  ▫ Lesões papulares e algumas crostosas, pruriginosas, em
    tronco, MMSS e MMII. Numerosas tatuagens no corpo.
    Baqueteamento digital ?

• Tórax/Aparelho respiratório
  ▫ Tórax simétrico de conformação habitual, expansibilidade
    diminuída, MV diminuído no 1/3 superior de HTX D, sem
    RA, FTV preservados. Tórax doloroso a palpação.

• Aparelho cardiovascular
  ▫ RCR em 2T, bulhas rítmicas e normofonéticas, sem sopros .
Exame Físico

• Abdome
 ▫ Plano, flácido, RHA presentes. Timpânico, doloroso a
   palpação profunda de FID, sem sinais de irritação.
   Fígado palpável a 2cm do rebordo costal D. Traube
   livre

• Extremidades
 ▫ Bem perfundidas, sem edemas.

• Sistema Nervoso
 ▫ Vigil, sem alterações em pares cranianos, linguagem
   articulada e adequada.
RESUMO
• Paciente masculino, 39 anos, com história de tosse
  produtiva com expectoração amarelada associada a dor
  torácica ventilatório-dependente a direita há 1 mês.
  Referia escarros hemoptóicos há 2 semanas. Nega febre
  e refere sudorese noturna e perda ponderal de +- 2kg
  neste período. Passado de TB(SIC). Tabagista e etilista
  importante. Morador de rua. Ao exame, REG, corado,
  eupneico. Lesões papulares e crostosas,pruriginosas em
  tronco, MMSS e MMII. AR: MV diminuído no 1/3
  superior de HTX D, sem RA, FTV preservados. Tórax
  doloroso a palpação.
SUSPEITAS DIAGNÓSTICAS
EXAMES COMPLEMENTARES
                  29/06/12
 Hemoglobina        14,2
 Hematócrito         44
 VGM / HGM        84,6/27,3
 Leucócitos        12300
 Bastões             0%
 Segmentados        61%
 Linfócitos         27%
 Linf. Atípicos      ---
 Eosinófilos         4%
 Monócitos           2%
 Plaquetas         413000
EXAMES COMPLEMENTARES
                   29/06/12
  Na                   136
  K                    4,4
  Uréia                23
  Creatinina           0,9
  Ca                   9,1
  FA                   146
  GGT                  28
  TGO                  36
  TGP                  19
  Bilirrubinas   T – 0,3 D – 0,2
EXAMES COMPLEMENTARES

             29/06/12
  TP         114%
  RNI        0,93
EXAMES COMPLEMENTARES
• Sumário de Urina 10/07/12
    pH: 5; Prot: 1+; Hemoglobina 2+; Nitrito negativo;
     04 piócitos/campo; 20 hemácias/campo; raras
     bactérias, filamento de muco, presença de células
     epiteliais

• Proteinúria de 24 H 13/07/12
    223 g
EXAMES COMPLEMENTARES
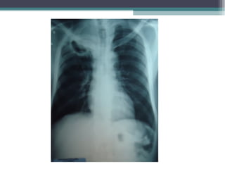
• Rx do Tórax (29/06/12)

 ▫ Redução da transparência em terço superior do
   pulmão direito com cavidade de parede espessa
   em permeio. Avaliar processo granulomatoso em
   atividade.
 ▫ Seios costo frênicos livres e coração e vasos da
   base sem alterações.
EXAMES COMPLEMENTARES

• Pesquisa de BAAR no escarro (23/07/10):
  negativa

• PPD (27/07/12): Não reator
Evolução
EXAMES COMPLEMENTARES
• TC de crânio:
 ▫ Normal


• TC de tórax
EXAMES COMPLEMENTARES
• TC de Tórax (03/07/12)
    Massa heterogênea com áreas de necrose em permeio
     medindo cerca de 9,0x 12 cm, localizada em ápice de pulmão
     direito, sem planos de clivagem com estruturas mediastinais
     adjacentes
    Notam-se lesões osteolíticas em corpos vertebrais dorsais
     superiores e costelas adjacentes, além de invasão da parede
     torácica deste lado
    Linfonodos aumentados predominantemente em espaço pré-
     traqueal
    Achados descritos sugestivos de processo blastomatoso
     primário de pulmão
EXAMES COMPLEMENTARES
• RNM de coluna torácica (07/08/12)
    Lesão expansiva sólida e heterogênea de provável
     natureza neoplásica com contornos regulares e
     limites imprecisos localizada no ápice do hemitórax
     direito e envolvendo os corpos vertebrais de T1, T2 e
     T3 em alguns arcos costais ipsilaterais, projetando-
     se para o interior do canal vertebral e determinando
     efeito compressivo sobre a medula espinhal.
EXAMES COMPLEMENTARES
• Biópsia de pulmão (19/09/12):

 ▫ Carcinoma de não pequenas células
SUSPEITA DIAGNÓSTICA ?



• TUMOR DE PANCOAST
SÍNDROME DE PANCOAST
Tumor de Pancoast
• Introdução
 ▫ Tumor do sulco superior
 ▫ Tumor do sulco pulmonar superior

    Neoplasia localizada na região apical
     pleuropulmonar, adjacente aos vasos subclávios
Síndrome de Pancoast
• Patologia

 ▫ A maioria dos tumores de sulco superior são
   câncer de pulmão não pequenas células
    Carcinoma de células escamosas principalmente

 ▫ Carcinoma de pequenas células são responsáveis
   por 5%
Síndrome de Pancoast
• Patologia
 ▫ Outros mais raros
      Mesotelioma
      Linfoma
      Plasmocitoma
      Metástases
      Nódulos amilóides
      Infecções – tuberculose, fungos, cisto hidático,
       sequela de pneumonia
Tumor de Pancoast
• Quadro Clínico
 ▫ Dor no ombro e no braço ipsilateral (na
   distribuição de C8, T1 e T2)
 ▫ Síndrome de Horner
    Ptose palpebral, miose, anidrose facial
 ▫ Fraqueza e atrofia dos músculos da mão
 ▫ Sintomas pulmonares como tosse, hemoptise e
   dispnéia são incomuns
Tumor de Pancoast
• Quadro Clínico
 ▫ Dor no ombro
    Presente em 44 a 96 % dos casos
    É o sintoma inicial mais comum
    Dor é provocada pela invasão do plexo braquial ou
     extensão do tumor até a pleura parietal, fáscia
     endotorácica, 1º e 2º arcos costais ou corpos
     vertebrais
Tumor de Pancoast
• Quadro Clínico
 ▫ Dor no ombro

    Pode irradiar-se para pescoço e cabeça, face medial
     da escápula, axila anterior, braço, trajeto do nervo
     ulnar

    Atraso no diagnóstico
Tumor de Pancoast
• Quadro Clínico
 ▫ Síndrome de Horner
    Ptose ipsilateral com estreitamento da fenda
     palpebral
    Miose
    Enoftalmia
    Anidrose
Tumor de Pancoast
• Quadro Clínico
 ▫ Síndrome de Horner
    É causada pelo envolvimento da cadeia simpática
     paravertebral e do gânglio cervical inferior
     (estrelado)
    Prevalência: 14 – 50% em pacientes com Tumor de
     Pancoast
    Rubor ipsilateral e aumento da transpiração pode
     ocorrer em fases iniciais
Tumor de Pancoast
• Quadro Clínico
 ▫ Síndrome de Horner

    Sinal de Harlequin – rubor e suor contra-lateral,
     especialmente durante o exercício
Tumor de Pancoast
• Quadro Clínico
 ▫ Complicações neurológicas
    Extensão do tumor para C8 e raízes nervosas de T1 e
     T2
      Fraqueza e atrofia dos músculos intrínsecos da mão
      Dor e parestesia do 4º e 5º quirodáctilos e da região
       medial do braço e antebraço

    Invasão da medula em 25 % - paraplegia
Tumor de Pancoast
• Quadro Clínico
 ▫ Outros achados

    Perda de peso importante – 25 a 35%

    Neuropatia do frênico ou laríngeo recorrente
Tumor de Pancoast
• Avaliação radiológica

 ▫ Rx do tórax:
    Opacidade apical > 5mm
    Destruição óssea
Tumor de Pancoast
• Avaliação radiológica
 ▫ TC de Tórax
      Informações adicionais sobre extensão do tumor
      Presença de nódulos pulmonares satélite
      Doença Parenquimatosa
      Linfadenopatia cervical
Tumor de Pancoast
• Avaliação radiológica
 ▫ RNM do tórax

    Envolvimento do plexo braquial e vasos subclávios
    Avaliar invasão de corpos vertebrais e canal medular

 ▫ PET – CT é mais precisa para avaliação de
   linfonodos mediastinais
Tumor de Pancoast
• Diagnóstico

 ▫ Biópsia percutânea por agulha – promove o
   diagnóstico em 90% dos casos
    Abordagem posterior ou cervical
Tumor de Pancoast
• Diagnóstico

 ▫ Videotoracoscopia ou toracotomia podem ser
   realizadas

 ▫ Localização periférica do tumor diminui o
   rendimento diagnóstico da broncoscopia e
   citologia do escarro
Tumor de Pancoast
• Estadiamento
 ▫ TC de abdome e tórax
    Avaliar mediastino, fígado, glandulas supra-renais
     para possíveis focos de metástases

 ▫ TC de crânio
    Elevada propensão para metástase cerebral do
     carcinoma broncogênico
Tumor de Pancoast
• Estadiamento

 ▫ PET-scan
    Linfonodos mediastinais e metástases à distância

 ▫ Mediastinoscopia
    Estadiamento cirúrgico do mediastino se o PET scan
     não está disponível
Tumor de Pancoast
• Tratamento
 ▫ Pacientes sem doença metastática:
    Quimiorradioterapia seguida por ressecção cirurgica

 ▫ Doença localmente avançada, inoperável:
    Quimiorradioterapia

 ▫ Doença metastática
    Radioterapia ou quimioterapia para atenuar os
     sintomas
Tumor de Pancoast
• Fatores Prognósticos
 ▫ Estágio do tumor

 ▫ Mau prognóstico:
    Síndrome de Horner
    Extensão do tumor para base do pescoço, corpos
     vertebrais ou grandes vasos
    Envolvimento de linfonodos do mediastino
Tumor de Pancoast
• Fatores Prognósticos

 ▫ Bom prognóstico:
    Perda de peso menor do 5%
    Controle local do tumor por radiação ou cirurgia
    Alívio da dor após tratamento
Referências Bibliográficas
• Pancoast's syndrome and superior (pulmonary)
  sulcus tumors – Uptodate

• Horner's syndrome – Uptodate

• Cecil – Tratado de Medicina Interna, 22 edição
OBRIGADA!!

Sessão caso

  • 1.
  • 2.
    Identificação e Queixaprincipal • Data da admissão: 29/06/12 • Identificação: ▫ RMS, 39 anos, sexo masculino, solteiro, pardo, ensino fundamental incompleto, desempregado, católico, natural e procedente de Salvador-BA. • Queixa Principal: ▫ Hemoptise, tosse produtiva e dor pleurítica há 1 mês.
  • 3.
    História Clínica • HMA: • Paciente refere que há mais de 1 mês vem apresentando tosse produtiva com expectoração amarelada associada a dor torácica ventilatório- dependente a direita de forte intensidade. Refere escarros hemoptóicos há 2 semanas. Nega febre e refere sudorese noturna. Relata perda ponderal de +- 2kg neste período.
  • 4.
    História Clínica • HMA ▫ Refere ainda internamento prévio há 2 meses, em hospital de Minas Gerais com quadro clínico semelhante, sendo tratado para tuberculose por 2 meses (SIC)
  • 5.
    Interrogatório Sistemático • Geral:refere anorexia e astenia. Nega cefaléia e tontura. • Pele: refere lesões pruriginosas difusas • Seg cefálico: Nega cefaléia, turvação visual, odinofagia. Nega alterações oculares ou nasais. • AR: vide HMA; • ACV: nega síncope e palpitações
  • 6.
    Interrogatório Sistemático • TGI:evacuação diária, 1 X ao dia, sem alterações de cor ou consistência. • AGU: Nega disúria, hematúria, uretrite, dor supra- púbica. • Neurológico: Refere insônia, nega síncope ou episódios convulsivos. • Osteoarticular: Dor no MSD, em queimação
  • 7.
    História Clínica • AntecedentesMédicos • HAS há 3 meses • Relata passado de pneumonia e TB • Nega DM, neoplasia e outras comorbidades • Refere alergia a abacaxi
  • 8.
    História Clínica • Antecedentesfamiliares • Pai falecido em acidente automobílisto. Mãe falecida devido a AVC. • Nega história de neoplasia na família • Hábitos de vida • Etilista (2 litros de destilados/dia) desde os 14 anos e tabagista (75 anos-maço). Abstêmio há 1 mês • Nega uso de drogas ilícitas.
  • 9.
    História Clínica • HistóriaSocial • É morador de rua há 20 anos (após falecimento da mãe). Define-se como andarilho que viaja pelo país. Há 1 mês estava morando em um albergue.
  • 10.
    Exame Físico • Geral ▫ REG, LOTE, fascies de dor, acianótico, anictérico, corado, hidratado, pouco colaborativo • Sinais Vitais ▫ FC:68 bpm FR: 20 irpm ▫ PA: 150x80mmHg • Cabeça e pescoço ▫ ausência de estase de jugular, linfonodos não palpáveis.
  • 11.
    Exame Físico • Pele ▫ Lesões papulares e algumas crostosas, pruriginosas, em tronco, MMSS e MMII. Numerosas tatuagens no corpo. Baqueteamento digital ? • Tórax/Aparelho respiratório ▫ Tórax simétrico de conformação habitual, expansibilidade diminuída, MV diminuído no 1/3 superior de HTX D, sem RA, FTV preservados. Tórax doloroso a palpação. • Aparelho cardiovascular ▫ RCR em 2T, bulhas rítmicas e normofonéticas, sem sopros .
  • 12.
    Exame Físico • Abdome ▫ Plano, flácido, RHA presentes. Timpânico, doloroso a palpação profunda de FID, sem sinais de irritação. Fígado palpável a 2cm do rebordo costal D. Traube livre • Extremidades ▫ Bem perfundidas, sem edemas. • Sistema Nervoso ▫ Vigil, sem alterações em pares cranianos, linguagem articulada e adequada.
  • 13.
    RESUMO • Paciente masculino,39 anos, com história de tosse produtiva com expectoração amarelada associada a dor torácica ventilatório-dependente a direita há 1 mês. Referia escarros hemoptóicos há 2 semanas. Nega febre e refere sudorese noturna e perda ponderal de +- 2kg neste período. Passado de TB(SIC). Tabagista e etilista importante. Morador de rua. Ao exame, REG, corado, eupneico. Lesões papulares e crostosas,pruriginosas em tronco, MMSS e MMII. AR: MV diminuído no 1/3 superior de HTX D, sem RA, FTV preservados. Tórax doloroso a palpação.
  • 14.
  • 15.
    EXAMES COMPLEMENTARES 29/06/12 Hemoglobina 14,2 Hematócrito 44 VGM / HGM 84,6/27,3 Leucócitos 12300 Bastões 0% Segmentados 61% Linfócitos 27% Linf. Atípicos --- Eosinófilos 4% Monócitos 2% Plaquetas 413000
  • 16.
    EXAMES COMPLEMENTARES 29/06/12 Na 136 K 4,4 Uréia 23 Creatinina 0,9 Ca 9,1 FA 146 GGT 28 TGO 36 TGP 19 Bilirrubinas T – 0,3 D – 0,2
  • 17.
    EXAMES COMPLEMENTARES 29/06/12 TP 114% RNI 0,93
  • 18.
    EXAMES COMPLEMENTARES • Sumáriode Urina 10/07/12  pH: 5; Prot: 1+; Hemoglobina 2+; Nitrito negativo; 04 piócitos/campo; 20 hemácias/campo; raras bactérias, filamento de muco, presença de células epiteliais • Proteinúria de 24 H 13/07/12  223 g
  • 21.
    EXAMES COMPLEMENTARES • Rxdo Tórax (29/06/12) ▫ Redução da transparência em terço superior do pulmão direito com cavidade de parede espessa em permeio. Avaliar processo granulomatoso em atividade. ▫ Seios costo frênicos livres e coração e vasos da base sem alterações.
  • 22.
    EXAMES COMPLEMENTARES • Pesquisade BAAR no escarro (23/07/10): negativa • PPD (27/07/12): Não reator
  • 23.
  • 24.
    EXAMES COMPLEMENTARES • TCde crânio: ▫ Normal • TC de tórax
  • 26.
    EXAMES COMPLEMENTARES • TCde Tórax (03/07/12)  Massa heterogênea com áreas de necrose em permeio medindo cerca de 9,0x 12 cm, localizada em ápice de pulmão direito, sem planos de clivagem com estruturas mediastinais adjacentes  Notam-se lesões osteolíticas em corpos vertebrais dorsais superiores e costelas adjacentes, além de invasão da parede torácica deste lado  Linfonodos aumentados predominantemente em espaço pré- traqueal  Achados descritos sugestivos de processo blastomatoso primário de pulmão
  • 27.
    EXAMES COMPLEMENTARES • RNMde coluna torácica (07/08/12)  Lesão expansiva sólida e heterogênea de provável natureza neoplásica com contornos regulares e limites imprecisos localizada no ápice do hemitórax direito e envolvendo os corpos vertebrais de T1, T2 e T3 em alguns arcos costais ipsilaterais, projetando- se para o interior do canal vertebral e determinando efeito compressivo sobre a medula espinhal.
  • 28.
    EXAMES COMPLEMENTARES • Biópsiade pulmão (19/09/12): ▫ Carcinoma de não pequenas células
  • 29.
    SUSPEITA DIAGNÓSTICA ? •TUMOR DE PANCOAST
  • 30.
  • 31.
    Tumor de Pancoast •Introdução ▫ Tumor do sulco superior ▫ Tumor do sulco pulmonar superior  Neoplasia localizada na região apical pleuropulmonar, adjacente aos vasos subclávios
  • 32.
    Síndrome de Pancoast •Patologia ▫ A maioria dos tumores de sulco superior são câncer de pulmão não pequenas células  Carcinoma de células escamosas principalmente ▫ Carcinoma de pequenas células são responsáveis por 5%
  • 33.
    Síndrome de Pancoast •Patologia ▫ Outros mais raros  Mesotelioma  Linfoma  Plasmocitoma  Metástases  Nódulos amilóides  Infecções – tuberculose, fungos, cisto hidático, sequela de pneumonia
  • 34.
    Tumor de Pancoast •Quadro Clínico ▫ Dor no ombro e no braço ipsilateral (na distribuição de C8, T1 e T2) ▫ Síndrome de Horner  Ptose palpebral, miose, anidrose facial ▫ Fraqueza e atrofia dos músculos da mão ▫ Sintomas pulmonares como tosse, hemoptise e dispnéia são incomuns
  • 35.
    Tumor de Pancoast •Quadro Clínico ▫ Dor no ombro  Presente em 44 a 96 % dos casos  É o sintoma inicial mais comum  Dor é provocada pela invasão do plexo braquial ou extensão do tumor até a pleura parietal, fáscia endotorácica, 1º e 2º arcos costais ou corpos vertebrais
  • 37.
    Tumor de Pancoast •Quadro Clínico ▫ Dor no ombro  Pode irradiar-se para pescoço e cabeça, face medial da escápula, axila anterior, braço, trajeto do nervo ulnar  Atraso no diagnóstico
  • 38.
    Tumor de Pancoast •Quadro Clínico ▫ Síndrome de Horner  Ptose ipsilateral com estreitamento da fenda palpebral  Miose  Enoftalmia  Anidrose
  • 40.
    Tumor de Pancoast •Quadro Clínico ▫ Síndrome de Horner  É causada pelo envolvimento da cadeia simpática paravertebral e do gânglio cervical inferior (estrelado)  Prevalência: 14 – 50% em pacientes com Tumor de Pancoast  Rubor ipsilateral e aumento da transpiração pode ocorrer em fases iniciais
  • 41.
    Tumor de Pancoast •Quadro Clínico ▫ Síndrome de Horner  Sinal de Harlequin – rubor e suor contra-lateral, especialmente durante o exercício
  • 43.
    Tumor de Pancoast •Quadro Clínico ▫ Complicações neurológicas  Extensão do tumor para C8 e raízes nervosas de T1 e T2  Fraqueza e atrofia dos músculos intrínsecos da mão  Dor e parestesia do 4º e 5º quirodáctilos e da região medial do braço e antebraço  Invasão da medula em 25 % - paraplegia
  • 44.
    Tumor de Pancoast •Quadro Clínico ▫ Outros achados  Perda de peso importante – 25 a 35%  Neuropatia do frênico ou laríngeo recorrente
  • 45.
    Tumor de Pancoast •Avaliação radiológica ▫ Rx do tórax:  Opacidade apical > 5mm  Destruição óssea
  • 47.
    Tumor de Pancoast •Avaliação radiológica ▫ TC de Tórax  Informações adicionais sobre extensão do tumor  Presença de nódulos pulmonares satélite  Doença Parenquimatosa  Linfadenopatia cervical
  • 48.
    Tumor de Pancoast •Avaliação radiológica ▫ RNM do tórax  Envolvimento do plexo braquial e vasos subclávios  Avaliar invasão de corpos vertebrais e canal medular ▫ PET – CT é mais precisa para avaliação de linfonodos mediastinais
  • 50.
    Tumor de Pancoast •Diagnóstico ▫ Biópsia percutânea por agulha – promove o diagnóstico em 90% dos casos  Abordagem posterior ou cervical
  • 51.
    Tumor de Pancoast •Diagnóstico ▫ Videotoracoscopia ou toracotomia podem ser realizadas ▫ Localização periférica do tumor diminui o rendimento diagnóstico da broncoscopia e citologia do escarro
  • 52.
    Tumor de Pancoast •Estadiamento ▫ TC de abdome e tórax  Avaliar mediastino, fígado, glandulas supra-renais para possíveis focos de metástases ▫ TC de crânio  Elevada propensão para metástase cerebral do carcinoma broncogênico
  • 53.
    Tumor de Pancoast •Estadiamento ▫ PET-scan  Linfonodos mediastinais e metástases à distância ▫ Mediastinoscopia  Estadiamento cirúrgico do mediastino se o PET scan não está disponível
  • 54.
    Tumor de Pancoast •Tratamento ▫ Pacientes sem doença metastática:  Quimiorradioterapia seguida por ressecção cirurgica ▫ Doença localmente avançada, inoperável:  Quimiorradioterapia ▫ Doença metastática  Radioterapia ou quimioterapia para atenuar os sintomas
  • 55.
    Tumor de Pancoast •Fatores Prognósticos ▫ Estágio do tumor ▫ Mau prognóstico:  Síndrome de Horner  Extensão do tumor para base do pescoço, corpos vertebrais ou grandes vasos  Envolvimento de linfonodos do mediastino
  • 56.
    Tumor de Pancoast •Fatores Prognósticos ▫ Bom prognóstico:  Perda de peso menor do 5%  Controle local do tumor por radiação ou cirurgia  Alívio da dor após tratamento
  • 57.
    Referências Bibliográficas • Pancoast'ssyndrome and superior (pulmonary) sulcus tumors – Uptodate • Horner's syndrome – Uptodate • Cecil – Tratado de Medicina Interna, 22 edição
  • 58.

Notas do Editor

  • #35 Devido a localização periferica, sintomas pulmonares como tosse, hemoptise e dispnéia não são comuns
  • #38 Os pacientes frequentemente recebem tto para osteoartrite cervical ou bursite no ombro, levando a um atraso no diagnóstico de 5 a 10 meses.
  • #41 3º: pode ocorrer antes do desenvolvimento completo da sd, devido a irritação da cadeia simpatica pelo tu, antes da invasão franca.
  • #42 Sinal de Harlequin: devido a resposta excessiva pela via simpatica intacta.
  • #52 Videotoracoscopia ou toracotomia podem ser realizadas se técnicas menos invasivas não são diagnósticas
  • #53 TC ou RNM do cranio