Tuberculose
Mycobacteriumtuberculosisou Bacilo de Koch(BK). 
•Gram-positiva(coloração ácido-resistente) 
•ácidos micólicos
TRANSMISSÃO: 
Tosse,espirroouexpectoraçãodepessoasinfectadas. 
Disseminaçãoatravésdoardegotículasdesaliva-asbactériaspermanecememsuspensãonoardurantehoras; 
Traumacutâneo(raro); 
Ingestãodealimentoscutâneos(raro). 
Uma pessoa não tratada infecta de 10 a 15 pessoas por ano.
A Resposta InflamatóriaInicial ao Bacilo Tuberculoso 
•Mecanismos físicos de defesa do aparelho respiratório 
•Interação bacilo-receptor que dá início à infecção tuberculosa
•Macrófagos alíresidentes são das primeiras células a interagir com o bacilo. 
•Inicio com crescimento livre 
•Multiplicação dentro dos fagossomasdos macrófagos 
A Resposta InflamatóriaInicial ao Bacilo Tuberculoso
•Produção de citocinaspelos macrófagos 
•Células polimorfonucleares(Inespecífica) e monócitosNão há destruição total 
•Fusão do fagossomacom o lisossomaFagolisossoma 
•geneUreC, que impede a acidificação do fagossoma 
•Isotuberculosinolimpede a maturação do fagossoma 
•Inibição das enzimas lisossomais 
A Resposta InflamatóriaInicial ao Bacilo Tuberculoso
•(TNF-α) (IFN-γ) 
•(TGF-β)LT e (IFN-γ) 
•(TNF-α) e (IL-10) Inibem a ativação Macrofágica 
•processamento e apresentação de antígenos 
A Resposta InflamatóriaInicial ao Bacilo Tuberculoso
O Papel dos Linfócitos TnaPatogenia da Tuberculose 
•Macrófago Alveolar-Célula Apresentadora de antígeno
•Antígeno apresentado à célula TCD4 
•Secretam Citocinas e óxido nítrico 
•Resposta Imunológicas 
•Th1-Positiva (interleucinas 2 e 3 e o IFN-γ) 
-ativa células inflamatórias e fagocíticascapazes de inibir o crescimento bacteriano; 
-amplia a atividade fagocitária do macrófago, estimula a produção de peróxidos nos lisossomas. 
IFN-γ: “peça-chave”
•Resposta Th2-aceleradora (interleucinas 4, 5, 6 e 10) 
Essascitocinaspromovemacoalescênciadegranulomas,afagocitoseinespecíficaealiberaçãodeenzimaslisossômicas,entreelasoTNF-α,provocandodestruiçãotecidual. 
AIL-10atuacomopotenteinibidordaatividadecelularinflamatória,diminuindoproduçãodeóxidonítricoecitocinaspró- inflamação 
IL-4regulanegativamentearespostadeTh1
•Células T CD8 
Os linfócitos T CD8+ também atuam nos mecanismos efetores celulares que intervêm na resposta imune; o principal papel atribuído a esta população é a lise de células infectadas nas lesões que ainda contêm algumas bactérias e a esterilização dos granulomas.
O Papel dos Linfócitos B naPatogenia da Tuberculose 
•Ao reconhecerem o bacilo da tuberculose ou os seus antígenos, os linfócitos B se transformam em plasmócitossecretantesde anticorpos anti-M. tuberculosis; 
•No entanto, estes anticorpos não têm capacidade de penetrar nos macrófagos infectados e destruir o bacilo
Formação da LesãoGranulomatosana Tuberculose 
•Lesão granulomatosa 
•Necrose caseosa 
•Liquefação do cáseo 
•Escavação lesional
Granuloma 
•Macrófagos jovens 
•Macrófagos ativados (células epitelioides), 
•Gigantócitos(Tipo Langhans) 
•Linfócitos, plasmócitos, granulócitos 
•Fibras reticulares, fibroblastos, colágeno e outras substâncias por ele produzidas 
•Bacilos
Necrose 
•Induzido pelo M. tuberculosis, através do TNF- α. 
•Brancoamareladae rica em proteínas e egorduras liberadas pelo metabolismo bacilar 
•Pequena população bacilar devido à baixa tensão de oxigênio, baixo pH e acúmulo local de ácidos graxos 
•No interior dos macrófagos jovens do tecido de granulação circunjacenteo crescimento bacilar é intenso.
Liquefação 
•A liquefação ocorre quando o material caseosoamolece; 
•O foco caseosopode levar meses até se liquefazer. As proteinases, as nucleasese as lipasesdos macrófagos vivos e mortos liquefazem o material caseososólido; 
•Liquefação -Formação de cavidade -Contato com oxigênio -Aumento da população bacteriana
Formas Patogênicas da DoençaWilliam Osler–Parábola do Semador 
•“Algumas sementes caem pelo caminho e as aves do céu vêm e as devoram” 
•“Algumas caem sobre lugares pedregosos” 
•“Algumas caem entre espinhos e os espinhos crescem e as sufocam” 
•“Mas outras caem na terra boa, crescem e frutificam cem vezes mais”.
•1)faseprimária,comocomplexogânglio- pulmonar; 
•2)fasesecundária,emqueseabririamtodasasviasàdisseminaçãobacilar; 
•3)faseterciária,ondeocorreriaatuberculosevisceralisoladaequasenenhumadisseminação. 
Ranke
Granuloma
Primoinfecção
Complexo Ghon
Tuberculina 
•VÍDEO
•Hiv 
•Idosos 
•Crianças/def Nutri
Tuberculose Primária
Menígea 
•Estágio I -Em geral, tem duração de 1 a 2 semanas, caracterizando-se pela inespecificidade dos sintomas, podendo ocorrer febre, mialgias, sonolência, apatia, irritabilidade, cefaleia, anorexia, vomitos, dor abdominal e mudanças súbitas do humor, sintomas comuns a qualquer processo inespecífico
Menígea 
•estagio II :persistência dos sintomas sistêmicos e pelo surgimento de evidências de dano cerebral (sinais de lesão de nervos cranianos, exteriorizando-se por paresias, plegias, estrabismo
Menígea 
•Estagio III:Ocorre quando surge o déficit neurológico focal, opistótono, rigidez de nuca, alterações do ritmo cardíaco e da respiração e graus variados de perturbação da consciência, incluindo o coma
Ganglionar 
•mediastínico, hilar e paratraqueal;
tuberculose atelectásica
Pulmonar 
•pneumônica. 
•broncopneumônica 
•cavitária
cavitária
•hilo que representam disseminação linfática da doença. 
pneumônica.
hematogênica 
•Miliar 
•Linfátios e sangue
hipersensibilidade extrapulmonar 
•reação alérgica à tuberculina 
•freqüentemente comprometem a pele e o tecido subcutâneo 
•articulações (reumatismo de Poncet)
líquen escrofuloso
eritema nodoso
eritema indurado de Bazin
Uveite
Anos ou décadas após o estabelecimento da lesão primária, e na dependência da quebra do equilíbrio parasita versus hospedeiro. 
Acontecimento raro entre os infectados 
Razões para o desencadeamento da tuberculose secundária não são totalmente conhecidas ; 
Fatores Conhecidos
DesnutriçãoALCOOLISMOIdade AvançadaAIDS 
gastrectomiasDiabetesInsuficiência Renal/ Crônica 
paracoccidioidomicoseDROGAS IMUNOSSUPRESSORASFatores que interferem na imunidade do hospedeiro 
Interferem também no aparecimento da doença a carga bacilífera, sua virulência e o estado de hipersensibilidade do organismo.
Origem 
Reativação (Endógena)-Recrudescimento de um foco latente 
Exaustão da resposta imune local ou sistêmica 
Cepas mutantes de bacilos mais virulentos com maior capacidade de multiplicação 
Reinfecção (Exógena) -Sistema de defesa não é capaz de deter sua progressão 
O pulmão é o órgão mais comumente atingido, mas a enfermidade pode também afetar gânglios, pleura, rins, sistema nervoso central e ossos.
Na doença pulmonar, em sua forma pós-primária, os ápicessão mais frequentemente acometidos 
A resposta à multiplicação bacilar provoca necrose caseosa, que amolece e se liquefaz. 
Quanto maior a hipersensibilidade, maior a capacidade de liquefação das lesões e maior a destruição tecidual. 
Condições favoráveis - Multiplicaçãoapós a liquefação do cáseoe o aparecimento da cavidade, com rápido crescimento da população bacilífera.
Desenvolvimento para a formação de lesões cavitáriaspulmonares é a característicamais importante da tuberculose secundária. 
TCTórax:Cavitaçãodeparedesespessasempulmãoesquerdo.Notarnóduloscentrolobularestambémsugestivosdeatividadedadoença.
Destruição Progressiva do Parênquima Pulmonar 
Tratamento quimioterápico, mesmo que adequado, a reparação tecidual não recompõe o parênquima afetado; (Resultam alterações estruturais que, muitas vezes, são responsáveis por hemoptises volumosas). 
Colonização fúngica(“bola fúngica”) 
Exsudato Fibrinopurulento 
(Tratamento Quimioterápico) 
Tecido epitelial 
Se estabelece a partir do brônquio de drenagem 
Esse espaço desvitalizado do parênquima pulmonar acolhe conídios aspergilaresem seu interior, oferecendo ambiente escuro, úmido e aeróbio, excelente para o crescimento fúngico.
Aspergillusfumigatusé o fungo responsável pela grande maioria dos casos de colonização intracavitária.
Depoisdepenetrarnoorganismopelaviarespiratória,oM. tuberculosispodedisseminar-seeinstalar-seemqualquerórgão. 
Disseminaçãopodeocorrer,também,apartirdamanipulaçãocirúrgicaoudiagnósticadeumórgãodoente. 
Agrandemaioriadasformasextrapulmonaresaconteceemórgãossemcondiçõesótimasdecrescimentobacilar 
Instalaçãoinsidiosa,evoluçãolentaecomlesõespobresembacilos
Formas mais frequentes: 
•Pleural 
•Linfática 
•Ósteo-articular 
•Geniturinária 
•Intestinal 
(embora praticamente qualquer local do organismo possa ser afetado pela doença). 
Só não há descrição de tuberculose em unha e cabelo. 
Disseminação 
Linfo-hematogênica 
Hematogênica 
Por contigüidade 
Intracanalicular.
Disseminação 
Linfo-hematogênica 
Vaso Linfático 
Ducto Torácico 
Veia Cava S. 
Cavidade Cardíaca D. 
Artéria Pulmonar 
Cavidades Cardíacas E. 
(Vencendo a barreira física pulmonar) 
Outros Territórios 
Estaformadedisseminaçãogeralmenteocorrenaprimoinfecçãoedetermina,commaiorfrequência,tuberculoseganglionar,renal,adrenal, óssea,meningoencefálicaegenitalfeminina.
Disseminação 
Hematogênica 
oAberturadeumfocotuberculosonacorrentesanguínea. 
•Proximidadedeumlinfonodooudeumfococaseoso,intrapulmonarounão,comaparededeumvaso 
oAviahemáticafrequentementeocasionaformasdisseminadasagudasdadoença. 
Porcontiguidade 
oResponsávelpelamaioriadasformaspleural,apartirdopulmão, pericárdica,apartirdosgânglios,mediastinais,eperitoneal,apartirdosgângliosmesentéricos,etambémporalgumasformasdetuberculosecutânea. 
Intracanalicular 
oDeterminaocomprometimentodediferenteslocaisdopulmão 
oDesenvolvimentodatuberculosenotratourinárioinferioresistemagenitalmasculino,apartirdorim,enoendométrioeperitôneo,apartirdastrompasuterinas.
Tuberculose Óssea
Tuberculose urogenital. Histerossalpingografiademonstrando dilatação e irregularidade da trompa direita associada a divertículos (Setas)
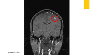
Tuberculoma
Tuberculose Primária no Esôfago
Tuberculose ganglionar e cicatrizes resultantes.
ENTREVISTA 28/10/2014 
CFA, 31 anos, presidiário , tabagista, negro, desnutrido. 
Sintomas: 
tosse seca contínua no início, depois com presença de secreção por mais de quatro semanas, transformando-se, na maioria das vezes, em uma tosse com pus ou sangue 
cansaço excessivo 
febre baixa geralmente à tarde 
sudorese noturna 
falta de apetite 
palidez 
emagrecimento acentuado 
rouquidão 
fraqueza 
prostração. 
Dificuldade de respirar 
Caso Clínico HOSPAM
RX
Catarro ao tossir ( coleta pela manha) 
Confirmação: presença do bacilo de koch 
Coleta de secreção do pulmão
Tuberculose slide

Tuberculose slide

  • 1.
  • 2.
    Mycobacteriumtuberculosisou Bacilo deKoch(BK). •Gram-positiva(coloração ácido-resistente) •ácidos micólicos
  • 3.
    TRANSMISSÃO: Tosse,espirroouexpectoraçãodepessoasinfectadas. Disseminaçãoatravésdoardegotículasdesaliva-asbactériaspermanecememsuspensãonoardurantehoras; Traumacutâneo(raro); Ingestãodealimentoscutâneos(raro). Uma pessoa não tratada infecta de 10 a 15 pessoas por ano.
  • 5.
    A Resposta InflamatóriaInicialao Bacilo Tuberculoso •Mecanismos físicos de defesa do aparelho respiratório •Interação bacilo-receptor que dá início à infecção tuberculosa
  • 6.
    •Macrófagos alíresidentes sãodas primeiras células a interagir com o bacilo. •Inicio com crescimento livre •Multiplicação dentro dos fagossomasdos macrófagos A Resposta InflamatóriaInicial ao Bacilo Tuberculoso
  • 7.
    •Produção de citocinaspelosmacrófagos •Células polimorfonucleares(Inespecífica) e monócitosNão há destruição total •Fusão do fagossomacom o lisossomaFagolisossoma •geneUreC, que impede a acidificação do fagossoma •Isotuberculosinolimpede a maturação do fagossoma •Inibição das enzimas lisossomais A Resposta InflamatóriaInicial ao Bacilo Tuberculoso
  • 8.
    •(TNF-α) (IFN-γ) •(TGF-β)LTe (IFN-γ) •(TNF-α) e (IL-10) Inibem a ativação Macrofágica •processamento e apresentação de antígenos A Resposta InflamatóriaInicial ao Bacilo Tuberculoso
  • 9.
    O Papel dosLinfócitos TnaPatogenia da Tuberculose •Macrófago Alveolar-Célula Apresentadora de antígeno
  • 10.
    •Antígeno apresentado àcélula TCD4 •Secretam Citocinas e óxido nítrico •Resposta Imunológicas •Th1-Positiva (interleucinas 2 e 3 e o IFN-γ) -ativa células inflamatórias e fagocíticascapazes de inibir o crescimento bacteriano; -amplia a atividade fagocitária do macrófago, estimula a produção de peróxidos nos lisossomas. IFN-γ: “peça-chave”
  • 11.
    •Resposta Th2-aceleradora (interleucinas4, 5, 6 e 10) Essascitocinaspromovemacoalescênciadegranulomas,afagocitoseinespecíficaealiberaçãodeenzimaslisossômicas,entreelasoTNF-α,provocandodestruiçãotecidual. AIL-10atuacomopotenteinibidordaatividadecelularinflamatória,diminuindoproduçãodeóxidonítricoecitocinaspró- inflamação IL-4regulanegativamentearespostadeTh1
  • 13.
    •Células T CD8 Os linfócitos T CD8+ também atuam nos mecanismos efetores celulares que intervêm na resposta imune; o principal papel atribuído a esta população é a lise de células infectadas nas lesões que ainda contêm algumas bactérias e a esterilização dos granulomas.
  • 14.
    O Papel dosLinfócitos B naPatogenia da Tuberculose •Ao reconhecerem o bacilo da tuberculose ou os seus antígenos, os linfócitos B se transformam em plasmócitossecretantesde anticorpos anti-M. tuberculosis; •No entanto, estes anticorpos não têm capacidade de penetrar nos macrófagos infectados e destruir o bacilo
  • 15.
    Formação da LesãoGranulomatosanaTuberculose •Lesão granulomatosa •Necrose caseosa •Liquefação do cáseo •Escavação lesional
  • 16.
    Granuloma •Macrófagos jovens •Macrófagos ativados (células epitelioides), •Gigantócitos(Tipo Langhans) •Linfócitos, plasmócitos, granulócitos •Fibras reticulares, fibroblastos, colágeno e outras substâncias por ele produzidas •Bacilos
  • 17.
    Necrose •Induzido peloM. tuberculosis, através do TNF- α. •Brancoamareladae rica em proteínas e egorduras liberadas pelo metabolismo bacilar •Pequena população bacilar devido à baixa tensão de oxigênio, baixo pH e acúmulo local de ácidos graxos •No interior dos macrófagos jovens do tecido de granulação circunjacenteo crescimento bacilar é intenso.
  • 19.
    Liquefação •A liquefaçãoocorre quando o material caseosoamolece; •O foco caseosopode levar meses até se liquefazer. As proteinases, as nucleasese as lipasesdos macrófagos vivos e mortos liquefazem o material caseososólido; •Liquefação -Formação de cavidade -Contato com oxigênio -Aumento da população bacteriana
  • 20.
    Formas Patogênicas daDoençaWilliam Osler–Parábola do Semador •“Algumas sementes caem pelo caminho e as aves do céu vêm e as devoram” •“Algumas caem sobre lugares pedregosos” •“Algumas caem entre espinhos e os espinhos crescem e as sufocam” •“Mas outras caem na terra boa, crescem e frutificam cem vezes mais”.
  • 21.
    •1)faseprimária,comocomplexogânglio- pulmonar; •2)fasesecundária,emqueseabririamtodasasviasàdisseminaçãobacilar; •3)faseterciária,ondeocorreriaatuberculosevisceralisoladaequasenenhumadisseminação. Ranke
  • 22.
  • 23.
  • 25.
  • 26.
  • 27.
  • 28.
  • 29.
    Menígea •Estágio I-Em geral, tem duração de 1 a 2 semanas, caracterizando-se pela inespecificidade dos sintomas, podendo ocorrer febre, mialgias, sonolência, apatia, irritabilidade, cefaleia, anorexia, vomitos, dor abdominal e mudanças súbitas do humor, sintomas comuns a qualquer processo inespecífico
  • 30.
    Menígea •estagio II:persistência dos sintomas sistêmicos e pelo surgimento de evidências de dano cerebral (sinais de lesão de nervos cranianos, exteriorizando-se por paresias, plegias, estrabismo
  • 31.
    Menígea •Estagio III:Ocorrequando surge o déficit neurológico focal, opistótono, rigidez de nuca, alterações do ritmo cardíaco e da respiração e graus variados de perturbação da consciência, incluindo o coma
  • 32.
  • 33.
  • 34.
  • 35.
  • 36.
    •hilo que representamdisseminação linfática da doença. pneumônica.
  • 37.
  • 38.
    hipersensibilidade extrapulmonar •reaçãoalérgica à tuberculina •freqüentemente comprometem a pele e o tecido subcutâneo •articulações (reumatismo de Poncet)
  • 39.
  • 40.
  • 41.
  • 42.
  • 43.
    Anos ou décadasapós o estabelecimento da lesão primária, e na dependência da quebra do equilíbrio parasita versus hospedeiro. Acontecimento raro entre os infectados Razões para o desencadeamento da tuberculose secundária não são totalmente conhecidas ; Fatores Conhecidos
  • 44.
    DesnutriçãoALCOOLISMOIdade AvançadaAIDS gastrectomiasDiabetesInsuficiênciaRenal/ Crônica paracoccidioidomicoseDROGAS IMUNOSSUPRESSORASFatores que interferem na imunidade do hospedeiro Interferem também no aparecimento da doença a carga bacilífera, sua virulência e o estado de hipersensibilidade do organismo.
  • 45.
    Origem Reativação (Endógena)-Recrudescimentode um foco latente Exaustão da resposta imune local ou sistêmica Cepas mutantes de bacilos mais virulentos com maior capacidade de multiplicação Reinfecção (Exógena) -Sistema de defesa não é capaz de deter sua progressão O pulmão é o órgão mais comumente atingido, mas a enfermidade pode também afetar gânglios, pleura, rins, sistema nervoso central e ossos.
  • 46.
    Na doença pulmonar,em sua forma pós-primária, os ápicessão mais frequentemente acometidos A resposta à multiplicação bacilar provoca necrose caseosa, que amolece e se liquefaz. Quanto maior a hipersensibilidade, maior a capacidade de liquefação das lesões e maior a destruição tecidual. Condições favoráveis - Multiplicaçãoapós a liquefação do cáseoe o aparecimento da cavidade, com rápido crescimento da população bacilífera.
  • 48.
    Desenvolvimento para aformação de lesões cavitáriaspulmonares é a característicamais importante da tuberculose secundária. TCTórax:Cavitaçãodeparedesespessasempulmãoesquerdo.Notarnóduloscentrolobularestambémsugestivosdeatividadedadoença.
  • 49.
    Destruição Progressiva doParênquima Pulmonar Tratamento quimioterápico, mesmo que adequado, a reparação tecidual não recompõe o parênquima afetado; (Resultam alterações estruturais que, muitas vezes, são responsáveis por hemoptises volumosas). Colonização fúngica(“bola fúngica”) Exsudato Fibrinopurulento (Tratamento Quimioterápico) Tecido epitelial Se estabelece a partir do brônquio de drenagem Esse espaço desvitalizado do parênquima pulmonar acolhe conídios aspergilaresem seu interior, oferecendo ambiente escuro, úmido e aeróbio, excelente para o crescimento fúngico.
  • 50.
    Aspergillusfumigatusé o fungoresponsável pela grande maioria dos casos de colonização intracavitária.
  • 51.
    Depoisdepenetrarnoorganismopelaviarespiratória,oM. tuberculosispodedisseminar-seeinstalar-seemqualquerórgão. Disseminaçãopodeocorrer,também,apartirdamanipulaçãocirúrgicaoudiagnósticadeumórgãodoente. Agrandemaioriadasformasextrapulmonaresaconteceemórgãossemcondiçõesótimasdecrescimentobacilar Instalaçãoinsidiosa,evoluçãolentaecomlesõespobresembacilos
  • 52.
    Formas mais frequentes: •Pleural •Linfática •Ósteo-articular •Geniturinária •Intestinal (embora praticamente qualquer local do organismo possa ser afetado pela doença). Só não há descrição de tuberculose em unha e cabelo. Disseminação Linfo-hematogênica Hematogênica Por contigüidade Intracanalicular.
  • 53.
    Disseminação Linfo-hematogênica VasoLinfático Ducto Torácico Veia Cava S. Cavidade Cardíaca D. Artéria Pulmonar Cavidades Cardíacas E. (Vencendo a barreira física pulmonar) Outros Territórios Estaformadedisseminaçãogeralmenteocorrenaprimoinfecçãoedetermina,commaiorfrequência,tuberculoseganglionar,renal,adrenal, óssea,meningoencefálicaegenitalfeminina.
  • 54.
    Disseminação Hematogênica oAberturadeumfocotuberculosonacorrentesanguínea. •Proximidadedeumlinfonodooudeumfococaseoso,intrapulmonarounão,comaparededeumvaso oAviahemáticafrequentementeocasionaformasdisseminadasagudasdadoença. Porcontiguidade oResponsávelpelamaioriadasformaspleural,apartirdopulmão, pericárdica,apartirdosgânglios,mediastinais,eperitoneal,apartirdosgângliosmesentéricos,etambémporalgumasformasdetuberculosecutânea. Intracanalicular oDeterminaocomprometimentodediferenteslocaisdopulmão oDesenvolvimentodatuberculosenotratourinárioinferioresistemagenitalmasculino,apartirdorim,enoendométrioeperitôneo,apartirdastrompasuterinas.
  • 56.
  • 57.
    Tuberculose urogenital. Histerossalpingografiademonstrandodilatação e irregularidade da trompa direita associada a divertículos (Setas)
  • 59.
  • 60.
  • 61.
    Tuberculose ganglionar ecicatrizes resultantes.
  • 62.
    ENTREVISTA 28/10/2014 CFA,31 anos, presidiário , tabagista, negro, desnutrido. Sintomas: tosse seca contínua no início, depois com presença de secreção por mais de quatro semanas, transformando-se, na maioria das vezes, em uma tosse com pus ou sangue cansaço excessivo febre baixa geralmente à tarde sudorese noturna falta de apetite palidez emagrecimento acentuado rouquidão fraqueza prostração. Dificuldade de respirar Caso Clínico HOSPAM
  • 63.
  • 65.
    Catarro ao tossir( coleta pela manha) Confirmação: presença do bacilo de koch Coleta de secreção do pulmão