Anamnese, Exame Físico e Exames
     Complementares em
          Nefrologia

   Bruno Ribeiro de Almeida
Síndromes clínicas em Nefrologia


        Insuficiência Renal Crônica
        Insuficiência Renal Aguda
        Síndrome Nefrítica
        Síndrome Nefrótica
        Anormalidades urinárias assintomáticas
        Infecção do trato urinário
        Síndromes obstrutivas
        Síndromes tubulares
Anamnese
• Antecedentes pessoais: HAS, DM, cirurgias,
  infecções, traumas, medicações.
• Antecedentes Familiares
Exame físico
• Inspeção: hálito amoniacal, pele pálida e de
  tom amarelado, escoriações, unhas (half and
  half nails of Lindsay).
• Medidas da pressão arterial, palpação dos
  pulsos.
• Exame de fundo de olho.
• Palpação bimanual dos rins
• Punho-percussão do ângulo costo-vertebral
• Ausculta
Exame simples de urina
• Físico-química:
    Densidade urinária: 1,002-1,040
    pH: 4,5-7,0
    Proteínas AUSENTE: menor de 15 mg/dl
               + : 15- 30
              ++ : 100-300
             +++ : 300-500
            ++++: acima de 1000
Exame simples de urina
•   Físico-química:
-   Glicose
-   Bilirrubinas e Urobilinogênio
-   Corpos Cetônicos
-   Estearase leucocitária e Nitrito
-   Hemoglobina e Mioglobina
Exame simples de urina
•   Sedimento Urinário:
-   Células epiteliais
-   Cristais
-   Cilindros
-   Bactérias
-   Hemácias: 2/campo de grande aumento
-   Leucócitos: 3/campo de grande aumento
-   Eosinófilos na urina(Giemsa ou Wright)
CISTINA      OXALATO




          ESTRUVITA
Urocultura
• Natureza do organismo
• N° colônias: maior que 100.000 UFC/ml
Exames de imagem
•   Rx simples.
•   Ultra-sonografia.
•   Cintilografia renal.
•   Tomografia computadorizada.
•   Urografia excretora.
•   Uretrocistografia miccional.
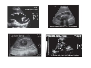
Ultra-sonografia
• Indicações:
 Obstruções do sistema coletor
 Nefrolitíase
 Distinção entre lesões císticas e sólidas
 Avaliação vascular
 Biópsia renal
• Limitações: ar, osso e tecido adiposo.
Infecção urinária

Bruno Ribeiro de Almeida
Introdução
• Principal infecção bacteriana comunitária ou
  hospitalar.
• Na gestante está relacionada com abortamento,
  prematuridade e baixo peso.
• Associação com litíase renal e necrose de papila
  renal.
• Influência da idade e sexo.
• Fatores de risco: cateterismo vesical de longa
  permanência, uropatias obstrutivas, relação sexual.
Mecanismos de defesa
•   Elevada osmolaridade
•   pH baixo
•   Elevada concentração de uréia
•   Alta concentração de ácidos orgânicos
•   Secreção prostática
•   Proteína de Tamm- Horsfall
•   Micção
Conceitos e Terminologia
 Cistite: processo inflamatório vesical. Sinais/Sintomas de dor/peso em
   BV + sintomas urinários irritativos.

 Pielonefrite Aguda(PNA): Infecção aguda bacteriana do rim e da pelve,
   com sintomas locais e

   sistêmicos(febre/calafrios/lombalgia/náuseas/vômitos/prostração/Gior
   dano)



 Pielonefrite Crônica(PNC): Deve ser empregado para o achado,
   patológico e/ou radiológico (UGE e Cintilografia/DMSA) inequívoco de
   inflamação pielocalicial com fibrose e deformidades anatômicas
   (cicatrizes corticais, lesões tubulointersticiais, deformidades caliciais
   do rim)
Conceitos e Terminologia
 Bacteriúria significativa: ≥100.000 colônias/ml. Alta probabilidade de ITU

 Bacteriúria não significativa:≤ 100.000 ufc/ml. Alta probabilidade de ser
  contaminação

 Bacteriúria assintomática: 02 culturas com crescimento de 105 UFC/ml da
  mesma bactéria sem sintomas

 ITU complicada: pelo menos uma das seguintes condições: litíase, obstrução,
  anormalidades anatômicas, alterações neurológicas, doença cística, IR, corpo
  estranho

 ITU não complicada: ausência de alterações funcionais e estruturais

 ITU recorrente: reaparece após a cura aparente.(3 ou mais episódios em 1 ano)
Via ascendente

• Etiologia

  – E. coli: 90%

  – Staphylococus
    saprophyticus: 5 –
    10%
  – Klebsiella, Proteus: 5-
    10%
                              E. coli. Scanning E.M. Shirley
                              Owens. Center for Electron Optics.
                              Michigan State University.
Fatores relacionados ao
                  hospedeiro
FATORES PREDISPONENTES:
 Relação sexual

 Métodos Contraceptivos

 Anormalidades do TU

 Transplante Renal

 Cateterismo urinário

 Senilidade

 DM, LES, SIDA, SN, QT, Neoplasias, Anemia falciforme
Via ascendente

• Colonização da
  uretra
• Colonização da
  bexiga urinária
• Colonização da
  árvore pielo-calicial
ITU em mulheres
• Fatores predisponentes:

   – Uretra mais curta
   – Efeito mecânico na
     relação sexual
   – Uso de diafragma
   – Uso de espermicida
   – Pós menopausa –
     diminuição de
     estrogênio
   – Anormalidades do
     trato urinário
   – Diabetes (idosas)
Quadro clínico
•   Infecção do trato urinário baixo:
-   Disúria
-   Polaciúria
-   Urgência miccional
•   Infecção do trato urinário alto:
-   Dor lombar
-   Febre
-   Sintomas sistêmicos
-   Sinal de Giordano
Exames complementares
• Exame sumário de urina:
- Leucocitúria(piúria): maior que 5/campo ou
  8000 leucócitos/ml.
- Cilindros leucocitários (60% dos pacientes).
- Hematúria (50%).
- Teste do Nitrito.
- Estearase leucocitária.
• Urocultura: Padrão-ouro maior que
  100000UFC/ml.
Exames complementares
• Situações com urocultura negativa e ITU:
- Uso de antimicrobianos no período do exame.
- Agentes com menor poder de
  replicação(Gram-positivos e fungos).
- Hiperidratação ou próxima a última micção.
- Contaminação com detergente.
Fatores relacionados com ITU
               complicada
• Sexo masculino
• Idade maior que 50 anos
• Gravidez
• Cateterismo vesical prolongado
• Instrumentação do trato urinário recente
• Infecções hospitalares
• Anormalidade funcional ou anatômica do trato urinário
• ITU na criança
• Uso de antimicrobiano recente
• Sintomas por mais de 7 dias
• Diabetes mellitus
• Imunosupressão
• Sintomas recorrentes
• ITU alta
Tomografia computadorizada
Tomografia computadorizada
Complicações
• Agudas: Abscesso perirrenal, pionefrose,
  orquiepididimite, necrose de papila renal e
  sepse.
• Tardias: Insuficiência Renal crônica e Litíase
  urinária.
Diagnósticos diferenciais
• Uretrites
• Vaginites

Exames Infecção Trato Urinário

  • 1.
    Anamnese, Exame Físicoe Exames Complementares em Nefrologia Bruno Ribeiro de Almeida
  • 2.
    Síndromes clínicas emNefrologia Insuficiência Renal Crônica Insuficiência Renal Aguda Síndrome Nefrítica Síndrome Nefrótica Anormalidades urinárias assintomáticas Infecção do trato urinário Síndromes obstrutivas Síndromes tubulares
  • 3.
    Anamnese • Antecedentes pessoais:HAS, DM, cirurgias, infecções, traumas, medicações. • Antecedentes Familiares
  • 4.
    Exame físico • Inspeção:hálito amoniacal, pele pálida e de tom amarelado, escoriações, unhas (half and half nails of Lindsay). • Medidas da pressão arterial, palpação dos pulsos. • Exame de fundo de olho. • Palpação bimanual dos rins • Punho-percussão do ângulo costo-vertebral • Ausculta
  • 9.
    Exame simples deurina • Físico-química: Densidade urinária: 1,002-1,040 pH: 4,5-7,0 Proteínas AUSENTE: menor de 15 mg/dl + : 15- 30 ++ : 100-300 +++ : 300-500 ++++: acima de 1000
  • 10.
    Exame simples deurina • Físico-química: - Glicose - Bilirrubinas e Urobilinogênio - Corpos Cetônicos - Estearase leucocitária e Nitrito - Hemoglobina e Mioglobina
  • 11.
    Exame simples deurina • Sedimento Urinário: - Células epiteliais - Cristais - Cilindros - Bactérias - Hemácias: 2/campo de grande aumento - Leucócitos: 3/campo de grande aumento - Eosinófilos na urina(Giemsa ou Wright)
  • 12.
    CISTINA OXALATO ESTRUVITA
  • 15.
    Urocultura • Natureza doorganismo • N° colônias: maior que 100.000 UFC/ml
  • 16.
    Exames de imagem • Rx simples. • Ultra-sonografia. • Cintilografia renal. • Tomografia computadorizada. • Urografia excretora. • Uretrocistografia miccional.
  • 17.
    Ultra-sonografia • Indicações:  Obstruçõesdo sistema coletor  Nefrolitíase  Distinção entre lesões císticas e sólidas  Avaliação vascular  Biópsia renal • Limitações: ar, osso e tecido adiposo.
  • 22.
  • 23.
    Introdução • Principal infecçãobacteriana comunitária ou hospitalar. • Na gestante está relacionada com abortamento, prematuridade e baixo peso. • Associação com litíase renal e necrose de papila renal. • Influência da idade e sexo. • Fatores de risco: cateterismo vesical de longa permanência, uropatias obstrutivas, relação sexual.
  • 24.
    Mecanismos de defesa • Elevada osmolaridade • pH baixo • Elevada concentração de uréia • Alta concentração de ácidos orgânicos • Secreção prostática • Proteína de Tamm- Horsfall • Micção
  • 25.
    Conceitos e Terminologia Cistite: processo inflamatório vesical. Sinais/Sintomas de dor/peso em BV + sintomas urinários irritativos.  Pielonefrite Aguda(PNA): Infecção aguda bacteriana do rim e da pelve, com sintomas locais e sistêmicos(febre/calafrios/lombalgia/náuseas/vômitos/prostração/Gior dano)  Pielonefrite Crônica(PNC): Deve ser empregado para o achado, patológico e/ou radiológico (UGE e Cintilografia/DMSA) inequívoco de inflamação pielocalicial com fibrose e deformidades anatômicas (cicatrizes corticais, lesões tubulointersticiais, deformidades caliciais do rim)
  • 26.
    Conceitos e Terminologia Bacteriúria significativa: ≥100.000 colônias/ml. Alta probabilidade de ITU  Bacteriúria não significativa:≤ 100.000 ufc/ml. Alta probabilidade de ser contaminação  Bacteriúria assintomática: 02 culturas com crescimento de 105 UFC/ml da mesma bactéria sem sintomas  ITU complicada: pelo menos uma das seguintes condições: litíase, obstrução, anormalidades anatômicas, alterações neurológicas, doença cística, IR, corpo estranho  ITU não complicada: ausência de alterações funcionais e estruturais  ITU recorrente: reaparece após a cura aparente.(3 ou mais episódios em 1 ano)
  • 27.
    Via ascendente • Etiologia – E. coli: 90% – Staphylococus saprophyticus: 5 – 10% – Klebsiella, Proteus: 5- 10% E. coli. Scanning E.M. Shirley Owens. Center for Electron Optics. Michigan State University.
  • 28.
    Fatores relacionados ao hospedeiro FATORES PREDISPONENTES:  Relação sexual  Métodos Contraceptivos  Anormalidades do TU  Transplante Renal  Cateterismo urinário  Senilidade  DM, LES, SIDA, SN, QT, Neoplasias, Anemia falciforme
  • 29.
    Via ascendente • Colonizaçãoda uretra • Colonização da bexiga urinária • Colonização da árvore pielo-calicial
  • 30.
    ITU em mulheres •Fatores predisponentes: – Uretra mais curta – Efeito mecânico na relação sexual – Uso de diafragma – Uso de espermicida – Pós menopausa – diminuição de estrogênio – Anormalidades do trato urinário – Diabetes (idosas)
  • 31.
    Quadro clínico • Infecção do trato urinário baixo: - Disúria - Polaciúria - Urgência miccional • Infecção do trato urinário alto: - Dor lombar - Febre - Sintomas sistêmicos - Sinal de Giordano
  • 32.
    Exames complementares • Examesumário de urina: - Leucocitúria(piúria): maior que 5/campo ou 8000 leucócitos/ml. - Cilindros leucocitários (60% dos pacientes). - Hematúria (50%). - Teste do Nitrito. - Estearase leucocitária. • Urocultura: Padrão-ouro maior que 100000UFC/ml.
  • 33.
    Exames complementares • Situaçõescom urocultura negativa e ITU: - Uso de antimicrobianos no período do exame. - Agentes com menor poder de replicação(Gram-positivos e fungos). - Hiperidratação ou próxima a última micção. - Contaminação com detergente.
  • 34.
    Fatores relacionados comITU complicada • Sexo masculino • Idade maior que 50 anos • Gravidez • Cateterismo vesical prolongado • Instrumentação do trato urinário recente • Infecções hospitalares • Anormalidade funcional ou anatômica do trato urinário • ITU na criança • Uso de antimicrobiano recente • Sintomas por mais de 7 dias • Diabetes mellitus • Imunosupressão • Sintomas recorrentes • ITU alta
  • 37.
  • 38.
  • 39.
    Complicações • Agudas: Abscessoperirrenal, pionefrose, orquiepididimite, necrose de papila renal e sepse. • Tardias: Insuficiência Renal crônica e Litíase urinária.
  • 40.