Conceitos básicos de qualidade
de imagemde imagem
4º Período Tec.Rad.
UNCISAL
2009-1
Profa. Maria Lúcia Lima Soares
Qualidade de imagem
• Acurácia com a qual as estruturas estudadas
serão reproduzidas na imagem
Densidade / Contraste / Resolução / Distorção
Período de transição:
• Filme/ecran → Tecnologia digital
• Processamento quimico/filmes
computadores/detectorescomputadores/detectores
O que não muda:
• Anatomia
• Posicionamento
• Proteção radiológica
Aparelhos simples
de baixa
miliamperagem
Seriógrafos sofisticados
com fluoroscopia
Tecnologia digital
RADIOGRAFIA CONVENCIONAL
Radiografia convencional
• Imagem bidimensional
• Chassi = écran (tela intensificadora) + filme
• Processamento químico do filme:
• Revelação• Revelação
• Fixação
• Lavagem
• Secagem
Radiografia convencional
• “Cópia impressa”
• Deposição de prata metálica sobre uma base• Deposição de prata metálica sobre uma base
de poliéster
• Permanente / Não pode ser alterada
FILME
• Fina camada de emulsão fotográfica sobre base plástica
transparente
Emulsão dupla
(a maioria dos filmes –(a maioria dos filmes –
diminui a exposição)
Emulsão simples
(mamografia - necessidade de
maior detalhe)
BASE
Sustentação ao material que será sensibilizado
Características físicas :
• Estabilidade (resistência ao calor e a imersão em• Estabilidade (resistência ao calor e a imersão em
químicos)
• Flexíbilidade ( manuseio)
• Adequada absorção de água, facilitando o processo de
revelação
• Transparência
EMULSÃO
– Componente de ativação no qual a imagem é formada.
– Cristais de brometo de prata (AgBr) misturados à gelatina que
os mantém em posiçãoos mantém em posição
– Aos microcristais de brometo de prata é adicionada uma
pequena quantidade de iodeto de prata (AgI) (até 10%), para
aumentar a sensibilidade
– A gelatina é transparente, por isto transmite luz, e
suficientemente porosa para permitir que penetrem os
compostos químicos durante a revelação até alcançar os cristais
de prata
IMAGEM LATENTE
• A imagem latente é formada pela exposição dos
cristais de prata à luz convertendo os íons de prata
(AgBr,AgI) em prata metálica (Agº). Não é visível até o
filme ser revelado
• Processo químico transforma a imagem latente em
imagem visível.
IMAGEM RADIOGRÁFICA
• Quando sensibilizado por um fóton de raio-X
ou pela luz visível, os cátions de prata
presentes na emulsão fotográfica – AgBr, AgI -
(íons positivos) são neutralizados,(íons positivos) são neutralizados,
transformando-se em metal (Ag0) radiopaco
• Os sais de prata que não foram sensibilizados
pelo raio-X ou pela luz são radiotransparentes
CHASSI
• Contém o filme e écran
• Protege o filme contra a luz
• Parte anterior - Aluminio - permite a
passagem dos RXpassagem dos RX
• Parte posterior - metal mais resistente
• Interior - écrans intensificadores
• Feltro entre o ecran e a parte posterior -
protege e comprime o filme contra o ecran
• Dimensões: 13x18, 18x24, 24x30, 35x35,
35x43
ÉCRAN = TELA INTENSIFICADORA
• Luminescência = emissão de luz por uma
substância quando submetida a estímulo (luz,
reação quimica, radiação ionizante)
• Fluorescência = quando a luz é emitida• Fluorescência = quando a luz é emitida
instantaneamente (10 -8 seg do estímulo)
Convertem por fluorescencia o padrão de RX
emergentes do paciente em um padrão
luminoso com a mesma distribuição espacial
ÉCRAN = TELA INTENSIFICADORA
• O filme é mais sensível à luz que aos RX
• Écran transforma os fótons de RX em luz visível através de efeito
fotoelétrico
• Composição: do écran
– Camada plástica: protege a camada de fósforo contra umidade/estática
– Camada de fósforo – emite luz quando excitado por RX
– Camada refletora: óxido de Mg ou dióxido de titânio (redireciona os fótons espalhados)
• Permite reduzir a dose e tempo de exposição
Camada Protetora
Fósforo
Camada refletora
Base plástica
• A luz emitida pelo écran ioniza os àtomos de
prata levando a deposição de cristais de prata
metálica formando a imagem latente (nãometálica formando a imagem latente (não
visível ainda) no filme
• No processo de revelação a imagem latente
torna-se visível
Tratar o chassi com carinho!
Artefatos
– Inadequada manipulação dos filme
– Sujeira na processadora
– Presença de corpos estranhos dentro do chassi
– Contaminação por químicos– Contaminação por químicos
– corpos estranhos (pó, fios de cabelos, fiapos...)
– bolhas de ar
– Respingos de diversos líquidos
ARTEFATOS
Estática = ambientes sêcos
/ faíscas
Fiapo de tecido Écran mal conservado
• Falta de
contacto entre
écran e filme
na parte
superior
FATORES DE EXPOSIÇÃO NAS
IMAGENS FILME-ÉCRAN
• A exposição gerada pelo tubo de RX pode ser
controlada selecionando-se kVp, mA e tempo
• Em tese, uma mesma combinação destes três
parâmetros produziria sempre a mesmaparâmetros produziria sempre a mesma
densidade radiológica, em qualquer situação,
diferentes aparelhos, diferentes pacientes, etc.....
• Mas não é bem assim..........
DENSIDADE
“Enegrecimento da imagem de um filme radiográfico”
ALTA DENSIDADE = IMAGEM ESCURA
(MUITO mAs)
BAIXA DENSIDADE = IMAGEM CLARA
(POUCO mAs)
CONTRASTECONTRASTE
Diferença visível na densidade de estruturas adjacentes em
uma radiografia
MUITO kVp = BAIXO CONTRASTE
• A imagem tende a ficar
cinza
• Não se distingue
músculos, gordura
• Estruturas ósseas
acinzentadas
POUCO kVp = ALTO CONTRASTE
• A imagem tende a ficar
com muito “preto e
branco”
• Não é possível distinguir
tecidos moles
• Estruturas ósseas
muito brancas
FATORES DE EXPOSIÇÃO
• Kilovoltagem (kV)
– Controla a energia cinética / penetração do feixe
de RX e o contraste da radiografia
Miliamperagem (mA)• Miliamperagem (mA)
– Controla a intensidade do feixe de RX (nº
elétrons), a densidade da radiografia e a dose para
o paciente
MILIAMPERAGEM
Intensidade (número de elétrons) do feixe de RXIntensidade (número de elétrons) do feixe de RX
1 Ampere = 1 C/s = 6.3 x 1018 electrons/ segundo
CONTROLA A DENSIDADE RADIOGRÁFICA
A corrente do tubo: miliamperagem
• A “quantidade” de fótons do feixe de RX é
diretamente proporcional ao valor de mA
• O mA não pode ser ajustado independendemente• O mA não pode ser ajustado independendemente
mas em conjunto com kV e tempo e depende do
ponto focal
• Nos aparelhos modernos selecionamos mAs
Ao alterar o mAs estamos
afetando o número e não aafetando o número e não a
energia dos elétrons
mAs muito alto tende a enegrecer a radiografia
mAs baixo – o enegrecimento do filme diminui
mAs muito baixo – o fundo fica cinza claro
FOCO (PONTO FOCAL)
• Foco: ponto no anodo (+) onde os e- colidem e
geram os RX
• Catodo (-): 2 filamentos (FF/FG)
– Cada filamento fica dentro de um corpo focador– Cada filamento fica dentro de um corpo focador
que direciona os elétrons para o foco
• Comutador eletronico seleciona o foco
Anodo Catodo
Anodo Catodo
+
_
FF FG
Foco fino / Foco grosso
FF: FEIXE MAIS COMPACTO > DETALHE
– Produz mais calor em uma àrea menor
– Não suporta alto mA / tempo curto
– Aumenta artefatos de movimento
Foco Grosso Foco Fino
– Aumenta artefatos de movimento
FG: PENUMBRA < DETALHE
– Suporta alto mA com tempo curto
– Perde detalhe
Penumbra
Filme Filme
FOCO FINO E FOCO GROSSO
• PARA OBSERVAR DETALHES:
– FOCO FINO:
– Baixo mA– Baixo mA
• PACIENTES QUE NÃO PODEM FICAR IMÓVEIS:
– FOCO GROSSO
– Aumentar mA para reduzir o tempo e manter
o produto mAs
mAs
• Produto: mA x tempo de exposição
– 100 mA x 0.10 segundos = 10 mAs
– 200 mA x 0.05 segundos = 10 mAs
• Mantendo constante o produto mAs a• Mantendo constante o produto mAs a
exposição será a mesma
• Vale apenas se o mA e o tempo do aparelho
estiverem devidamente calibrados
DENSIDADE RADIOGRÁFICA
SUPEREXPOSIÇÃO SUBEXPOSIÇÃO
REGRA DO 30 - 50
Para alterar a densidade radiográfica são
necessárias alterações no mAs
• ALGUMA ALTERAÇÃO:
• variação de 20-30% do mAs
• ALTERAÇÃO SIGNIFICATIVA :
• variação de 50% do mAs
• Densidade diminuída
(“cinza”)
• Densidade aumentada
MAS X DENSIDADE DA IMAGEM
A B
- 25% mAS + 50%
mAs
• Densidade aumentada
(“preto”)
Ideal
Densidade
diminuida
Densidade
aumentada
ALTERANDO mAs
20%
100%
150%
Densidade diminuida
mAs muito baixo
Densidade ainda baixa
mAs insuficiente
Densidade aumentada
mAs alto
Densidade aumentada
mAs excessivo
Densidade/mAs (% de brilho) – exemplo
ilustrativo
base + 10% + 40%+ 20% + 70%
base - 10% - 80%- 40%- 20%
SUPER-EXPOSIÇÃO = REDUZIR 50% mAs
• Esta imagem foi obtida com• Esta imagem foi obtida com
60 mAs
• Para clareá-la é necessário
utilizar 30 mAs
SUB-EXPOSIÇÃO = DOBRAR mAs
• Esta imagem foi obtida• Esta imagem foi obtida
com 30 mAs.
• Para escurecê-la devemos
usar 60 mAs
O que há de errado aqui?
• Fatores técnicos
corretos
• O problema é a
revelação!!revelação!!
CALIBRAÇÃO
• Em um aparelho bem calibrado as exposições
com os mesmos fatores produzem imagens
idênticas
Falta calibração – muita variabilidade na
exposição
Calibração adequada - exposição não
varia
kilovoltagem
Governa a penetração do
feixe e o contraste
radiográfico
Pico de kilovoltagem (kVp)
• Corresponde a energia cinética (velocidade) do feixe de
RX → fornece energia para acelerar os elétrons
• GOVERNA A PENETRAÇÃO DO FEIXE DE RX
• Alto kV: feixe “rápido” – penetra profundamente os• Alto kV: feixe “rápido” – penetra profundamente os
tecido e alcança o filme com alta energia
• Baixo kV: feixe “lento” - absorvido pelos tecidos,
alcançando o filme com baixa energia
• RESPONSÁVEL PELO CONTRASTE DA IMAGEM RADIOGRÁFICA
Contraste = capacidade de diferenciar as
nuances entre o branco e o preto
• A penetração do feixe de RX controla o
contraste da imagem radiográfica – a escala
de cinza
CONTRASTE RADIOGRÁFICO
Uma estrutura só será visibilizada se apresentar
“contraste” em relação as estruturas vizinhas
Radiografias com contraste extremo não tem
utilidade clínicautilidade clínica
kV ALTO
POUCO CONTRASTE
kV BAIXO
MUITO CONTRASTE
CONTRASTE
BAIXO CONTRASTE
• O excesso de kVp
“atravessa” as estruturas e
imprime o filme sem
permitir diferenciá-las
ALTO CONTRASTE
• O baixo kVp produz feixe
com baixa energia cinética,
incapaz de atravessar o osso
• PRETO E BRANCOpermitir diferenciá-las
• CINZA
• PRETO E BRANCO
kVp ( % de contraste)
base -10% -80%-40%-20%
Alto kV
base + 10% +40%+ 20% +80%
Baixo kV
KVP E CONTRASTE RADIOGRÁFICO
MÉDIO A ALTO KV
Escala de cinza mais larga
BAIXO CONTRASTE ALTO CONTRASTE
BAIXO KV
Escala de cinza estreita
BAIXO CONTRASTE
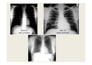
Tórax
ALTO CONTRASTE
Mama
Degraus mais suaves Degraus mais abruptos
kVp e radiação espalhada
• kVp e a densidade do tecido ou parte do
corpo tem significativo impacto sobre a
radiação espalhada:
– Alto kVp = mais radiação espalhada
– Baixo kVp = menos radiação espalhada
kVp x DOSE
• 50 kV: 79% ef.fotoelétrico, 21% Compton,
< 1% sem interação
• 80 kVp: 46% ef.fotoelétrico, 52% Compton,
2% sem interação2% sem interação
• 110 kVp:23% ef.fotoelétrico, 70% Compton,
7% sem interação
A medida que a porcentagem do feixe sem
interação com os tecidos, o paciente é menos
exposto
PICO DE KILOVOLTAGEM (kVp)
• kVp ideal depende àrea do corpo e
dimensões do filme para assegurar adequada
penetraçãopenetração
Selecionando a técnica
• Ajustar kv e mAs é um exercício
de equilíbrio
• Quando kVp aumenta o mAs
deve diminuirdeve diminuir
• Estamos equilibrando densidade
e contraste da imagem
radiográfica
ESTRUTURAS DENSAS = OSSO/METAL
Absorvem práticamente toda a radiação incidente
A radiação não imprime o filme
ESTRUTURAS INTERMEDIÁRIAS =
TECIDOS MOLES
Absorvem parcialmente a radiação incidente
Parte da radiação imprime o filme
ESTRUTURAS QUE CONTEM GÁS/AR
Não absorvem a radiação incidente
A radiação incidente imprime o filme
Ajustando o kV
• A intensidade (energia cinética) do feixe de RX
aumenta exponencialmente com o aumento
do kVp
• Aumentando o kVp• Aumentando o kVp
• o feixe de RX torna-se mais penetrante
• o contraste radiográfico diminui
• O filme de RX é muito mais sensível às
variações de kVp do que mA e tempo
kV ALTO
Feixe com maior energia
Radiografia super-exposta
kV BAIXO
Feixe de baixa energia
Radiografia sub-exposta
Ajustando o kV
• A radiografia está muito penetrada – tendendo a
diminuir o contraste entre as estruturas torácicas
Radiografia muito penetrada
• Baixo contraste
• Não demonstra as estruturas ósseas
• Excesso de kVp
• Imagem “cinza” tendendo ao “preto”• Imagem “cinza” tendendo ao “preto”
(densidade alta)
Radiografia muito penetrada
• Baixo contraste
• Estruturas ósseas mal
visibilizadas
• Fundo cinza (mA• Fundo cinza (mA
insuficiente)
• Usar a regra do 50/15
(mA/kV)
• A radiografia está pouco penetrada tendendo ao
extremo preto/branco
Radiografia pouco penetrada
• Alto contraste
• Falta penetração
• Falta kV
Radiografia pouco penetrada
• Alto contraste
• Estruturas densas pouco penetradas
• Usar a regra do 50/15 (manter a densidade e
diminuir o contraste)diminuir o contraste)
Radiografia pouco penetrada
• Alto contraste
• Fundo negro (mA correto)
• Os tecidos moles não são• Os tecidos moles não são
visibilizados
• Usar a regra do 50/15
(manter a densidade e
diminuir o contraste)
kVp e TIPO DE TECIDO
• O tipo de tecido vai determinar o quanto de
kVp será necessário
• Ar menos denso
• Gordura intermediário• Gordura intermediário
• Musculo mais denso que gordura
• Osso mais denso
Ossos – são “preto e branco”
Tecidos moles = tem muitas nuances de cinza
kVp x TECIDOS
• A medida que envelhecemos, perdemos
massa muscular e osso, o kVp deve ser
reduzido para compensar
• Pacientes musculosos / obesos requerem
mais kVp para assegurar adequada
penetração
• Em suspeita de doenças que alteram a
densidade óssea, o kVp deve ser balanceado
Paciente obeso
90 kV 120 kV
+ 25%
Falta penetração Falta penetraçãoPenetração adequada
DICA
Como saber que parâmetros mudar?
OLHE O “FUNDO”
Fundo cinza
mA insuficiente
Falta enegrecimento
(mA)
Fundo escuro
O problema não é o mAs
Excesso de kV
Muito clara = sub-exposta
• Silhuetas anatômicas visíveis:
– mAs
OLHE A RADIOGRAFIA TODA
–
• Silhuetas anatômicas não visíveis:
– kVp
OLHE A RADIOGRAFIA TODA
Muito escura = super-exposta
Ossos muito brancos:
• kV
Ossos “cinza”:
• mAs
O QUE FALTA?
TORÁX COM BOA EXPOSIÇÃO
6 mAs / 110 kV
TÓRAX SUPEREXPOSTO
6 mAs / 140 kV
TÓRAX SUB-EXPOSTO
4 mA/40 kV
REGRA DOS 15% DA KILOVOLTAGEM:
1. Aumento de 15% no kV
equivale a dobrar o mAsequivale a dobrar o mAs
15% O KVP DOBRA A DENSIDADE RADIOGRÁFICA
– quando o aumento de mAs não é adequado– quando o aumento de mAs não é adequado
– quando o equipamento não permite o aumento do
mAs
2. Reduzir 15% de kVp
equivale a reduzir a densidade
em 50% ( mAs em 50%)em 50% ( mAs em 50%)
ASSOCIANDO KV E MAS
Para o contraste da imagem e manter a
mesma densidade
Aumento de 15% no kVp• Aumento de 15% no kVp
• Redução de 50% do mAs
Para o contraste da imagem e manter
a mesma densidade
• Redução de 15% no kVp• Redução de 15% no kVp
• Aumento de 100% do mAs
Para alterar o kV (contraste) sempre
compensar o mA (densidade)
Para 15% kVp, mAs em 50%.
Para 15% kVp, dobrar mAs
Para 8% kVp = mAs em 25%Para 8% kVp = mAs em 25%
Para 8% kVp = mAs em 25%
Entre 60 and 90 kVp ajuste de 10 kVp tem o
mesmo efeito que 15%.
Contraste radiográfico
Estruturas com densidades
muito diferentes
Estruturas com densidades
muito próximas
ALTO kV = BAIXO contraste
BAIXO kV = ALTO contraste
Técnica de Alto Contraste
Baixo kV / Alto mAs
Técnica de Baixo Contraste
Alto kV / Baixo mAs
Tórax com baixo kV e alto mAs Mama com alto kV e baixo mAs
Contraste
Um nódulo pulmonar
(branco) contrasta com
“fundo” preto (pulmão)
Um tumor (branco) no mediastino ou atrás dele
não contrasta com “fundo branco” (mediastino)
na radiografia PA pouco penetrada
CONTRASTE RADIOGRÁFICO
Menor o kVp maior o contraste
Maior o kVp menor o contraste
Alto kV
Reduz o Contraste
Baixo kV
Aumenta o Contraste
CONTRASTE X KVP
• Radiografias alto kV tem pouco contraste
(branco e preto) e tendem a esconder
importantes informações, na imagem.
Baseline Alto kV
Reduz o Contraste
Uma radiografia feita com kV e mAs balanceados, adequada à
parte do corpo que se quer examinar, mostra a escala de
cinza, do branco ao preto, produzindo uma maior gama de
informação ao radiologista.
Baixo kV
Alto contraste
Alto kV
Baixo contrasteAlto contraste Baixo contraste
MANTER A MESMA DENSIDADE E
AUMENTAR O CONTRASTE
15% no kVp - 50% mAs
15% no kVp - 100% mAs.
AJUSTANDO KV E MAS UTILIZANDO A
REGRA DOS 15%
1. O kVp deve ser ajustado para
aumentar o contraste
2. kVp muito baixo = imagem pouco
Baseline + 15% kV
2. kVp muito baixo = imagem pouco
ou sub-penetrada
3. kVp muito alto = imagem muito ou
super-penetrada (sem contraste)
- 15% kV + 30% kV
kVp de BASE
• O kVp está adequado para
penetrar o osso e visibilizar os
tecidos molestecidos moles
• Escala de cinza ideal
• Contraste adequado entre ossos e
tecidos moles
• Baixa exposição
kVp
• Menos níveis de cinza em relação a imagem de base
• Menos contraste comparado com a imagem de base (preto e
branco)
• Maior exposição do paciente
+ 15% kVpBase + 30 kVp
kVp
• Maior contraste que a imagem de base
• Reduz a escala de cinza
• Menor exposição do paciente
Base - 15 kvp
Falta kV kV adequado
Reduz a escala de cinza (menos
tons disponíveis)
Alto contraste
Aumenta a escala de cinza (mais
tons disponíveis)
Contraste adequado ( )
COMBINANDO KV E MAS
Combinando kV / mAs
• Os valores de kV e mAs combinados nem sempre
produzirão a mesma densidade radiográfica
• Depende de vários fatores:
1. Tipo de gerador1. Tipo de gerador
2. Tubo de RX
3. Sensibilidade do filme
4. Uso de grades
5. Paciente
6. Distância
1.Geradores Trifásicos (de potencial constante)
• Necessitam de kV e mAs relativamente
menores que os monofásicos para produzir a
mesma densidade radiográfica
• Se usarmos Tabelas Técnicas de Geradores• Se usarmos Tabelas Técnicas de Geradores
monofásicos em sistemas com gerador
trifásico, vamos aumentar a exposição
2.Tubo de RX
• Os tubos de RX não produzem a mesma
quantidade de exposição para um mesmo kV
e mAs
• O processo de filtração do feixe varia• O processo de filtração do feixe varia
dependendo do tipo de tubo
• A exposição pode diminuir com o
envelhecimento do tubo
3.Sensibilidade do filme
• Depende do filme e do écran
• Filmes rápidos são mais sensíveis e necessitam
menos radiação
• A sensibilidade pode variar dependendo da• A sensibilidade pode variar dependendo da
temperatura do revelador e também varia de
um lote para outro
4.Uso de grades
• Ao passar de exame sem grade (fator de
penetração de grade = 1) para exames com
grade (fator de penetração de grade = 0.2), é
necessário multiplicar o mAs por um fator 5necessário multiplicar o mAs por um fator 5
• Lembrar que quanto maior o campo, maior é a
quantidade de radiação espalhada
5.Paciente
• A penetração depende da espessura do corpo do
paciente e também do tipo de tecido que se
deseja examinar
• Mudanças na espessura do corpo de um paciente
para outro podem ser compensadas mudando-separa outro podem ser compensadas mudando-se
kV ou mAs
• Pacientes musculosos requerem nos fatores
de exposição
• Pacientes idosos requerem dos fatores de
exposição
Exemplos
• Relação entre kV e espessura do corpo:
kV = 50 + 2x (cm)
• Ex: 15 cm - 80 kV / 20 cm - 90 kV
• Quanto ao mAs
Para cada incremento de 5 cm na espessura é
necessário multiplicar o mAs por 2
6.Distância
MAs novo= [D2 (nova) / D1 (antiga)]
mAs (antigo)
• Ao dobrar a distância foco-filme é necessário
quadriplicar o mAs para manter a mesmaquadriplicar o mAs para manter a mesma
exposição
• Aumentando a distância foco-filme aumenta a
definição, reduz a distorção e a dose,mas
necessita do mAs
7.Tempo de exposição
• A exposição é diretamente proporcional ao
tempo
• O tempo deve ser selecionado junto com mA
• Tempo curto minimiza a distorção decorrente do
movimento
• Tempo curto minimiza a distorção decorrente do
movimento
Erros de Exposição: erro do operador ou o tempo
real não corresponde àquele que o seletor
mostra
RADIAÇÃO ESPALHADA
Àrea do feixe
Espessura do corpo
kV
RADIAÇÃO ESPALHADA
kV
Conceito
• Quando o feixe de RX atravessa o corpo do paciente
grande parte dos fótons, ao invés de serem absorvidos
pelo efeito Fotoelétrico são desviados por efeito
Comptom para fora do corpo produzindo a indesejável
radiação espalhadaradiação espalhada
• A radiação espalhada segue uma rota diferente do
feixe primário e resulta em perda do contraste e da
definição da imagem
• Parte desta radiação espalhada deixará o corpo do
paciente na mesma direção do feixe primário levando a
uma exposição extra do receptor de imagens
Radiação espalhada
• Quando radiografamos partes do corpo mais
longas (> espessura do feixe) ou mais espessas e
quando utilizamos alto kV, produz-se radiação
espalhada
• Quanto mais intenso o feixe, mais radiação
espalhada é produzida
• Com baixo kV, feixe pouco penetrante, a radiação
espalhada é absorvida próximo ao local onde é
produzida
Contraste virtual
• Lembrar que o contraste virtual é definido como
o contraste obtido após o feixe ter atravessado o
corpo do paciente ANTES DE ATINGIR O FILME
A radiação espalhada “contamina” o contraste• A radiação espalhada “contamina” o contraste
virtual e impede que seja de 100%
• Quanto mais radiação espalhada,menor será o
contraste da imagem no filme
Contraste por radiação espalhada
Sem radiação espalhada
Fator de espalhamento=1
Com radiação espalhada
Fator de espalhamento=4
Sem espalhamento o contraste do filme seria= contraste virtual
Efeitos no organismo
Radiação atinge
diretamente o
útero
Radiação
espalhada
atinge o útero
EFEITOS NO FILME
Fonte primária
Radiação
espalhada
Radiação
primária +
espalhada
Razão de Grade
GRADES
Paciente
Grade
Receptor
Razão de Grade
Grades
• Placas de chumbo (0.05mm de
espessura / 2 a 5 mm de altura)
alinhadas com o feixe primário
• Entre as placas de chumbo são• Entre as placas de chumbo são
interpostas placas de alumínio
ou outro material que permita a
passagem do feixe primário
(espaçadas em torno de 0.25 a
0.40 mm)
• O chumbo absorve a maior parte
da radiação espalhada
Tipos de grade
• Focada – linhas
divergentes.
Deve ser usadaDeve ser usada
em distâncias
focais
específicas
• Paralela
• Cruzadas
Grade ideal
• Deveria absorver toda a radiação espalhada
• Na prática todas as grades deixam passar um
pouco de radiação secundária e absorvempouco de radiação secundária e absorvem
parte da radiação primária
Razão e frequência de grade
• A habilidade da grade em
controlar a radiação espalhada
• Razão de grade : razão entre a
altura das placas e o espaço
entre elas. Quanto maior aentre elas. Quanto maior a
razão, maior é a absorção da
radiação espalhada. Varia de 4 a
16
• Frequencia de grade : numero
de placas por centímetro. Varia
de 1 a 100 linhas por centímetro.
Razão e frequência de grade
• Quanto maior a razão e a frequência, mais
radiação é necessária para produzir a imagem
• Grades de baixa razão são limitadas a baixos kVs• Grades de baixa razão são limitadas a baixos kVs
– Grade 5:1 é limitada para fatores de exposição
abaixo de 90 kVp.
• Grades de alta razão podem ser usadas até 125
kVp
• Grades estacionárias com baixas razões ( ~6) e
frequencia em torno de 45 são utilizadas nos RX
portáteis pois toleram melhor o desalinhamento
do feixe
• As grades são utilizadas para as partes do corpo• As grades são utilizadas para as partes do corpo
com espessura maior que 12 cm e técnicas acima
de 70 kv
• Em radiografias de extremidades não são
utilizadas pois o espalhamento é desprezível
Razão da grade mAs em relação a
técnica sem grade
RX transmitidos a 80 kV
Espalhada Primária
5:1 X 2 18% 75%
6:1 X 3 14% 72%
8:1 X 4 10% 70%
12:1 X 5 5% 68%
Mudando a razão da grade, os fatores de exposição tem que ser alterados para
compensar a absorção da grade
• Grades com razão alta requerem aumento de
dose, aumentam o desgaste do tubo e exigem
posicionamento preciso
Frequência de grade
Alta frequencia: produzem linhas
quase invisíveis e não há
necessidade de se moverem durante
a exposição
Baixa frequencia: mostram linhas na
imagem . São utilizadas nos “buckies”.
Movem-se durante a exposição para que as
linhas fiquem “borradas” e não distorçam
as imagens
Razão de grade e técnica
• 8 mAs e 74 kVp podem ser usados para obter
uma imagem de coluna lombar sem grade.
• para obter uma imagem de coluna lombar
com razão de grade 5:1 podem ser usados 16com razão de grade 5:1 podem ser usados 16
mAs e 74 kVp
• O fator de conversão nesse caso é 2 – dobrar
o mAs
• O Fator de Conversão é obtido dividindo-se o
nôvo mAs pelo antigo
Sem grade
• Coluna Lombar necessita
grade
• Há muita radiação espalhada
por ser uma àrea extensa e depor ser uma àrea extensa e de
grande espessura
Grade de baixa razão e frequencia
• AP coluna Lombar,
• Razão 5:1 / 80 linhas/cm
remove a maior parte da
radiação espalhadaradiação espalhada
• Da exposição sem grade para
a exposição com grade 5:1 o
mAs deve ser dobrado
• As linhas de grade são visíveis
Grade de alta razão e frequência
• Razão 10:1 com 100
linhas /cm
• Práticamente não se
vê as linhas de gradevê as linhas de grade
• Requer radiação 5
vezes maior
AIR GAP X GRADE
• Quando o corpo está
longe do filme, a radiação
espalhada se dispersa no
ar
• Esse método é conhecido
como “Air-gap”
“AIR GAP”
• Sem usar grade
reduzimos a
exposição 5 vezes
sem grande perda
da qualidade de
imagem
DESALINHAMENTO DA GRADE
• Grades focadas de alta frequencia devem estar
muito bem alinhadas em relação ao feixe
• Mínimo desalinhamento faz com que a grade
remova radiação primária – desalinhamento
maior que 2 º resulta em “cutoff”maior que 2 º resulta em “cutoff”
DISTÂNCIA FOCO-FILME
• Se as linhas de grade
não estão paralelas ao
feixe primário devido afeixe primário devido a
mudanças na distância
foco-filme, ocorerrá
fenômeno de “cutoff”
ANGULAÇÃO DO TUBO
• Se o tubo está
angulado em
relação as linhas de
grade ocorrerá
fenomeno de
“cutoff”
ANGULAÇÃO DA GRADE
• Causa mais
comum de
“cutoff”
GRADE INVERTIDA
• Grade focada
invertida – apenas
o centro do feixe
atravessa a grade
Fontes
• http://w3.palmer.edu/russell.wilson/LC232_X-
ray
• http://www.sprawls.org
• http://www.gehealthcare.com• http://www.gehealthcare.com
• http://www.impactscan.org/
• Bontrager KL; Lampignano JP. Tratado de
posicionamento radiográfico e anatomia
associada. 6ª Edição traduzida.
Mosby/Elsevier. 2005

Conceitos basicos de qualidade da imagem

  • 1.
    Conceitos básicos dequalidade de imagemde imagem 4º Período Tec.Rad. UNCISAL 2009-1 Profa. Maria Lúcia Lima Soares
  • 2.
    Qualidade de imagem •Acurácia com a qual as estruturas estudadas serão reproduzidas na imagem Densidade / Contraste / Resolução / Distorção
  • 3.
    Período de transição: •Filme/ecran → Tecnologia digital • Processamento quimico/filmes computadores/detectorescomputadores/detectores O que não muda: • Anatomia • Posicionamento • Proteção radiológica
  • 4.
    Aparelhos simples de baixa miliamperagem Seriógrafossofisticados com fluoroscopia Tecnologia digital
  • 5.
  • 6.
    Radiografia convencional • Imagembidimensional • Chassi = écran (tela intensificadora) + filme • Processamento químico do filme: • Revelação• Revelação • Fixação • Lavagem • Secagem
  • 7.
    Radiografia convencional • “Cópiaimpressa” • Deposição de prata metálica sobre uma base• Deposição de prata metálica sobre uma base de poliéster • Permanente / Não pode ser alterada
  • 8.
    FILME • Fina camadade emulsão fotográfica sobre base plástica transparente Emulsão dupla (a maioria dos filmes –(a maioria dos filmes – diminui a exposição) Emulsão simples (mamografia - necessidade de maior detalhe)
  • 9.
    BASE Sustentação ao materialque será sensibilizado Características físicas : • Estabilidade (resistência ao calor e a imersão em• Estabilidade (resistência ao calor e a imersão em químicos) • Flexíbilidade ( manuseio) • Adequada absorção de água, facilitando o processo de revelação • Transparência
  • 10.
    EMULSÃO – Componente deativação no qual a imagem é formada. – Cristais de brometo de prata (AgBr) misturados à gelatina que os mantém em posiçãoos mantém em posição – Aos microcristais de brometo de prata é adicionada uma pequena quantidade de iodeto de prata (AgI) (até 10%), para aumentar a sensibilidade – A gelatina é transparente, por isto transmite luz, e suficientemente porosa para permitir que penetrem os compostos químicos durante a revelação até alcançar os cristais de prata
  • 11.
    IMAGEM LATENTE • Aimagem latente é formada pela exposição dos cristais de prata à luz convertendo os íons de prata (AgBr,AgI) em prata metálica (Agº). Não é visível até o filme ser revelado • Processo químico transforma a imagem latente em imagem visível.
  • 12.
    IMAGEM RADIOGRÁFICA • Quandosensibilizado por um fóton de raio-X ou pela luz visível, os cátions de prata presentes na emulsão fotográfica – AgBr, AgI - (íons positivos) são neutralizados,(íons positivos) são neutralizados, transformando-se em metal (Ag0) radiopaco • Os sais de prata que não foram sensibilizados pelo raio-X ou pela luz são radiotransparentes
  • 13.
    CHASSI • Contém ofilme e écran • Protege o filme contra a luz • Parte anterior - Aluminio - permite a passagem dos RXpassagem dos RX • Parte posterior - metal mais resistente • Interior - écrans intensificadores • Feltro entre o ecran e a parte posterior - protege e comprime o filme contra o ecran • Dimensões: 13x18, 18x24, 24x30, 35x35, 35x43
  • 14.
    ÉCRAN = TELAINTENSIFICADORA • Luminescência = emissão de luz por uma substância quando submetida a estímulo (luz, reação quimica, radiação ionizante) • Fluorescência = quando a luz é emitida• Fluorescência = quando a luz é emitida instantaneamente (10 -8 seg do estímulo) Convertem por fluorescencia o padrão de RX emergentes do paciente em um padrão luminoso com a mesma distribuição espacial
  • 15.
    ÉCRAN = TELAINTENSIFICADORA • O filme é mais sensível à luz que aos RX • Écran transforma os fótons de RX em luz visível através de efeito fotoelétrico • Composição: do écran – Camada plástica: protege a camada de fósforo contra umidade/estática – Camada de fósforo – emite luz quando excitado por RX – Camada refletora: óxido de Mg ou dióxido de titânio (redireciona os fótons espalhados) • Permite reduzir a dose e tempo de exposição Camada Protetora Fósforo Camada refletora Base plástica
  • 16.
    • A luzemitida pelo écran ioniza os àtomos de prata levando a deposição de cristais de prata metálica formando a imagem latente (nãometálica formando a imagem latente (não visível ainda) no filme • No processo de revelação a imagem latente torna-se visível
  • 17.
    Tratar o chassicom carinho! Artefatos – Inadequada manipulação dos filme – Sujeira na processadora – Presença de corpos estranhos dentro do chassi – Contaminação por químicos– Contaminação por químicos – corpos estranhos (pó, fios de cabelos, fiapos...) – bolhas de ar – Respingos de diversos líquidos
  • 18.
    ARTEFATOS Estática = ambientessêcos / faíscas Fiapo de tecido Écran mal conservado
  • 19.
    • Falta de contactoentre écran e filme na parte superior
  • 20.
    FATORES DE EXPOSIÇÃONAS IMAGENS FILME-ÉCRAN
  • 21.
    • A exposiçãogerada pelo tubo de RX pode ser controlada selecionando-se kVp, mA e tempo • Em tese, uma mesma combinação destes três parâmetros produziria sempre a mesmaparâmetros produziria sempre a mesma densidade radiológica, em qualquer situação, diferentes aparelhos, diferentes pacientes, etc..... • Mas não é bem assim..........
  • 22.
    DENSIDADE “Enegrecimento da imagemde um filme radiográfico”
  • 23.
    ALTA DENSIDADE =IMAGEM ESCURA (MUITO mAs)
  • 24.
    BAIXA DENSIDADE =IMAGEM CLARA (POUCO mAs)
  • 25.
    CONTRASTECONTRASTE Diferença visível nadensidade de estruturas adjacentes em uma radiografia
  • 26.
    MUITO kVp =BAIXO CONTRASTE • A imagem tende a ficar cinza • Não se distingue músculos, gordura • Estruturas ósseas acinzentadas
  • 27.
    POUCO kVp =ALTO CONTRASTE • A imagem tende a ficar com muito “preto e branco” • Não é possível distinguir tecidos moles • Estruturas ósseas muito brancas
  • 28.
    FATORES DE EXPOSIÇÃO •Kilovoltagem (kV) – Controla a energia cinética / penetração do feixe de RX e o contraste da radiografia Miliamperagem (mA)• Miliamperagem (mA) – Controla a intensidade do feixe de RX (nº elétrons), a densidade da radiografia e a dose para o paciente
  • 29.
    MILIAMPERAGEM Intensidade (número deelétrons) do feixe de RXIntensidade (número de elétrons) do feixe de RX 1 Ampere = 1 C/s = 6.3 x 1018 electrons/ segundo CONTROLA A DENSIDADE RADIOGRÁFICA
  • 30.
    A corrente dotubo: miliamperagem • A “quantidade” de fótons do feixe de RX é diretamente proporcional ao valor de mA • O mA não pode ser ajustado independendemente• O mA não pode ser ajustado independendemente mas em conjunto com kV e tempo e depende do ponto focal • Nos aparelhos modernos selecionamos mAs
  • 31.
    Ao alterar omAs estamos afetando o número e não aafetando o número e não a energia dos elétrons
  • 32.
    mAs muito altotende a enegrecer a radiografia
  • 33.
    mAs baixo –o enegrecimento do filme diminui mAs muito baixo – o fundo fica cinza claro
  • 34.
    FOCO (PONTO FOCAL) •Foco: ponto no anodo (+) onde os e- colidem e geram os RX • Catodo (-): 2 filamentos (FF/FG) – Cada filamento fica dentro de um corpo focador– Cada filamento fica dentro de um corpo focador que direciona os elétrons para o foco • Comutador eletronico seleciona o foco Anodo Catodo Anodo Catodo + _ FF FG
  • 35.
    Foco fino /Foco grosso FF: FEIXE MAIS COMPACTO > DETALHE – Produz mais calor em uma àrea menor – Não suporta alto mA / tempo curto – Aumenta artefatos de movimento Foco Grosso Foco Fino – Aumenta artefatos de movimento FG: PENUMBRA < DETALHE – Suporta alto mA com tempo curto – Perde detalhe Penumbra Filme Filme
  • 36.
    FOCO FINO EFOCO GROSSO • PARA OBSERVAR DETALHES: – FOCO FINO: – Baixo mA– Baixo mA • PACIENTES QUE NÃO PODEM FICAR IMÓVEIS: – FOCO GROSSO – Aumentar mA para reduzir o tempo e manter o produto mAs
  • 37.
    mAs • Produto: mAx tempo de exposição – 100 mA x 0.10 segundos = 10 mAs – 200 mA x 0.05 segundos = 10 mAs • Mantendo constante o produto mAs a• Mantendo constante o produto mAs a exposição será a mesma • Vale apenas se o mA e o tempo do aparelho estiverem devidamente calibrados
  • 38.
  • 39.
    REGRA DO 30- 50 Para alterar a densidade radiográfica são necessárias alterações no mAs • ALGUMA ALTERAÇÃO: • variação de 20-30% do mAs • ALTERAÇÃO SIGNIFICATIVA : • variação de 50% do mAs
  • 40.
    • Densidade diminuída (“cinza”) •Densidade aumentada MAS X DENSIDADE DA IMAGEM A B - 25% mAS + 50% mAs • Densidade aumentada (“preto”) Ideal Densidade diminuida Densidade aumentada
  • 41.
    ALTERANDO mAs 20% 100% 150% Densidade diminuida mAsmuito baixo Densidade ainda baixa mAs insuficiente Densidade aumentada mAs alto Densidade aumentada mAs excessivo
  • 42.
    Densidade/mAs (% debrilho) – exemplo ilustrativo base + 10% + 40%+ 20% + 70% base - 10% - 80%- 40%- 20%
  • 43.
    SUPER-EXPOSIÇÃO = REDUZIR50% mAs • Esta imagem foi obtida com• Esta imagem foi obtida com 60 mAs • Para clareá-la é necessário utilizar 30 mAs
  • 44.
    SUB-EXPOSIÇÃO = DOBRARmAs • Esta imagem foi obtida• Esta imagem foi obtida com 30 mAs. • Para escurecê-la devemos usar 60 mAs
  • 45.
    O que háde errado aqui? • Fatores técnicos corretos • O problema é a revelação!!revelação!!
  • 46.
    CALIBRAÇÃO • Em umaparelho bem calibrado as exposições com os mesmos fatores produzem imagens idênticas Falta calibração – muita variabilidade na exposição Calibração adequada - exposição não varia
  • 47.
    kilovoltagem Governa a penetraçãodo feixe e o contraste radiográfico
  • 48.
    Pico de kilovoltagem(kVp) • Corresponde a energia cinética (velocidade) do feixe de RX → fornece energia para acelerar os elétrons • GOVERNA A PENETRAÇÃO DO FEIXE DE RX • Alto kV: feixe “rápido” – penetra profundamente os• Alto kV: feixe “rápido” – penetra profundamente os tecido e alcança o filme com alta energia • Baixo kV: feixe “lento” - absorvido pelos tecidos, alcançando o filme com baixa energia • RESPONSÁVEL PELO CONTRASTE DA IMAGEM RADIOGRÁFICA
  • 49.
    Contraste = capacidadede diferenciar as nuances entre o branco e o preto • A penetração do feixe de RX controla o contraste da imagem radiográfica – a escala de cinza
  • 50.
    CONTRASTE RADIOGRÁFICO Uma estruturasó será visibilizada se apresentar “contraste” em relação as estruturas vizinhas Radiografias com contraste extremo não tem utilidade clínicautilidade clínica
  • 51.
    kV ALTO POUCO CONTRASTE kVBAIXO MUITO CONTRASTE
  • 52.
    CONTRASTE BAIXO CONTRASTE • Oexcesso de kVp “atravessa” as estruturas e imprime o filme sem permitir diferenciá-las ALTO CONTRASTE • O baixo kVp produz feixe com baixa energia cinética, incapaz de atravessar o osso • PRETO E BRANCOpermitir diferenciá-las • CINZA • PRETO E BRANCO
  • 53.
    kVp ( %de contraste) base -10% -80%-40%-20% Alto kV base + 10% +40%+ 20% +80% Baixo kV
  • 54.
    KVP E CONTRASTERADIOGRÁFICO MÉDIO A ALTO KV Escala de cinza mais larga BAIXO CONTRASTE ALTO CONTRASTE BAIXO KV Escala de cinza estreita BAIXO CONTRASTE Tórax ALTO CONTRASTE Mama Degraus mais suaves Degraus mais abruptos
  • 55.
    kVp e radiaçãoespalhada • kVp e a densidade do tecido ou parte do corpo tem significativo impacto sobre a radiação espalhada: – Alto kVp = mais radiação espalhada – Baixo kVp = menos radiação espalhada
  • 56.
    kVp x DOSE •50 kV: 79% ef.fotoelétrico, 21% Compton, < 1% sem interação • 80 kVp: 46% ef.fotoelétrico, 52% Compton, 2% sem interação2% sem interação • 110 kVp:23% ef.fotoelétrico, 70% Compton, 7% sem interação A medida que a porcentagem do feixe sem interação com os tecidos, o paciente é menos exposto
  • 57.
    PICO DE KILOVOLTAGEM(kVp) • kVp ideal depende àrea do corpo e dimensões do filme para assegurar adequada penetraçãopenetração
  • 58.
    Selecionando a técnica •Ajustar kv e mAs é um exercício de equilíbrio • Quando kVp aumenta o mAs deve diminuirdeve diminuir • Estamos equilibrando densidade e contraste da imagem radiográfica
  • 59.
    ESTRUTURAS DENSAS =OSSO/METAL Absorvem práticamente toda a radiação incidente A radiação não imprime o filme
  • 60.
    ESTRUTURAS INTERMEDIÁRIAS = TECIDOSMOLES Absorvem parcialmente a radiação incidente Parte da radiação imprime o filme
  • 61.
    ESTRUTURAS QUE CONTEMGÁS/AR Não absorvem a radiação incidente A radiação incidente imprime o filme
  • 62.
    Ajustando o kV •A intensidade (energia cinética) do feixe de RX aumenta exponencialmente com o aumento do kVp • Aumentando o kVp• Aumentando o kVp • o feixe de RX torna-se mais penetrante • o contraste radiográfico diminui • O filme de RX é muito mais sensível às variações de kVp do que mA e tempo
  • 63.
    kV ALTO Feixe commaior energia Radiografia super-exposta
  • 64.
    kV BAIXO Feixe debaixa energia Radiografia sub-exposta
  • 65.
    Ajustando o kV •A radiografia está muito penetrada – tendendo a diminuir o contraste entre as estruturas torácicas
  • 66.
    Radiografia muito penetrada •Baixo contraste • Não demonstra as estruturas ósseas • Excesso de kVp • Imagem “cinza” tendendo ao “preto”• Imagem “cinza” tendendo ao “preto” (densidade alta)
  • 67.
    Radiografia muito penetrada •Baixo contraste • Estruturas ósseas mal visibilizadas • Fundo cinza (mA• Fundo cinza (mA insuficiente) • Usar a regra do 50/15 (mA/kV)
  • 68.
    • A radiografiaestá pouco penetrada tendendo ao extremo preto/branco
  • 69.
    Radiografia pouco penetrada •Alto contraste • Falta penetração • Falta kV
  • 70.
    Radiografia pouco penetrada •Alto contraste • Estruturas densas pouco penetradas • Usar a regra do 50/15 (manter a densidade e diminuir o contraste)diminuir o contraste)
  • 71.
    Radiografia pouco penetrada •Alto contraste • Fundo negro (mA correto) • Os tecidos moles não são• Os tecidos moles não são visibilizados • Usar a regra do 50/15 (manter a densidade e diminuir o contraste)
  • 72.
    kVp e TIPODE TECIDO • O tipo de tecido vai determinar o quanto de kVp será necessário • Ar menos denso • Gordura intermediário• Gordura intermediário • Musculo mais denso que gordura • Osso mais denso Ossos – são “preto e branco” Tecidos moles = tem muitas nuances de cinza
  • 73.
    kVp x TECIDOS •A medida que envelhecemos, perdemos massa muscular e osso, o kVp deve ser reduzido para compensar • Pacientes musculosos / obesos requerem mais kVp para assegurar adequada penetração • Em suspeita de doenças que alteram a densidade óssea, o kVp deve ser balanceado
  • 74.
    Paciente obeso 90 kV120 kV + 25% Falta penetração Falta penetraçãoPenetração adequada
  • 75.
    DICA Como saber queparâmetros mudar?
  • 76.
    OLHE O “FUNDO” Fundocinza mA insuficiente Falta enegrecimento (mA) Fundo escuro O problema não é o mAs Excesso de kV
  • 77.
    Muito clara =sub-exposta • Silhuetas anatômicas visíveis: – mAs OLHE A RADIOGRAFIA TODA – • Silhuetas anatômicas não visíveis: – kVp
  • 78.
    OLHE A RADIOGRAFIATODA Muito escura = super-exposta Ossos muito brancos: • kV Ossos “cinza”: • mAs
  • 79.
  • 80.
    TORÁX COM BOAEXPOSIÇÃO 6 mAs / 110 kV
  • 81.
  • 82.
  • 83.
    REGRA DOS 15%DA KILOVOLTAGEM: 1. Aumento de 15% no kV equivale a dobrar o mAsequivale a dobrar o mAs
  • 84.
    15% O KVPDOBRA A DENSIDADE RADIOGRÁFICA – quando o aumento de mAs não é adequado– quando o aumento de mAs não é adequado – quando o equipamento não permite o aumento do mAs
  • 85.
    2. Reduzir 15%de kVp equivale a reduzir a densidade em 50% ( mAs em 50%)em 50% ( mAs em 50%)
  • 86.
  • 87.
    Para o contrasteda imagem e manter a mesma densidade Aumento de 15% no kVp• Aumento de 15% no kVp • Redução de 50% do mAs
  • 88.
    Para o contrasteda imagem e manter a mesma densidade • Redução de 15% no kVp• Redução de 15% no kVp • Aumento de 100% do mAs
  • 89.
    Para alterar okV (contraste) sempre compensar o mA (densidade) Para 15% kVp, mAs em 50%. Para 15% kVp, dobrar mAs Para 8% kVp = mAs em 25%Para 8% kVp = mAs em 25% Para 8% kVp = mAs em 25% Entre 60 and 90 kVp ajuste de 10 kVp tem o mesmo efeito que 15%.
  • 90.
    Contraste radiográfico Estruturas comdensidades muito diferentes Estruturas com densidades muito próximas ALTO kV = BAIXO contraste BAIXO kV = ALTO contraste Técnica de Alto Contraste Baixo kV / Alto mAs Técnica de Baixo Contraste Alto kV / Baixo mAs
  • 91.
    Tórax com baixokV e alto mAs Mama com alto kV e baixo mAs
  • 92.
    Contraste Um nódulo pulmonar (branco)contrasta com “fundo” preto (pulmão) Um tumor (branco) no mediastino ou atrás dele não contrasta com “fundo branco” (mediastino) na radiografia PA pouco penetrada
  • 93.
    CONTRASTE RADIOGRÁFICO Menor okVp maior o contraste Maior o kVp menor o contraste Alto kV Reduz o Contraste Baixo kV Aumenta o Contraste
  • 94.
    CONTRASTE X KVP •Radiografias alto kV tem pouco contraste (branco e preto) e tendem a esconder importantes informações, na imagem. Baseline Alto kV Reduz o Contraste
  • 95.
    Uma radiografia feitacom kV e mAs balanceados, adequada à parte do corpo que se quer examinar, mostra a escala de cinza, do branco ao preto, produzindo uma maior gama de informação ao radiologista.
  • 96.
    Baixo kV Alto contraste AltokV Baixo contrasteAlto contraste Baixo contraste
  • 97.
    MANTER A MESMADENSIDADE E AUMENTAR O CONTRASTE 15% no kVp - 50% mAs 15% no kVp - 100% mAs.
  • 98.
    AJUSTANDO KV EMAS UTILIZANDO A REGRA DOS 15% 1. O kVp deve ser ajustado para aumentar o contraste 2. kVp muito baixo = imagem pouco Baseline + 15% kV 2. kVp muito baixo = imagem pouco ou sub-penetrada 3. kVp muito alto = imagem muito ou super-penetrada (sem contraste) - 15% kV + 30% kV
  • 99.
    kVp de BASE •O kVp está adequado para penetrar o osso e visibilizar os tecidos molestecidos moles • Escala de cinza ideal • Contraste adequado entre ossos e tecidos moles • Baixa exposição
  • 100.
    kVp • Menos níveisde cinza em relação a imagem de base • Menos contraste comparado com a imagem de base (preto e branco) • Maior exposição do paciente + 15% kVpBase + 30 kVp
  • 101.
    kVp • Maior contrasteque a imagem de base • Reduz a escala de cinza • Menor exposição do paciente Base - 15 kvp
  • 102.
    Falta kV kVadequado Reduz a escala de cinza (menos tons disponíveis) Alto contraste Aumenta a escala de cinza (mais tons disponíveis) Contraste adequado ( )
  • 103.
  • 104.
    Combinando kV /mAs • Os valores de kV e mAs combinados nem sempre produzirão a mesma densidade radiográfica • Depende de vários fatores: 1. Tipo de gerador1. Tipo de gerador 2. Tubo de RX 3. Sensibilidade do filme 4. Uso de grades 5. Paciente 6. Distância
  • 105.
    1.Geradores Trifásicos (depotencial constante) • Necessitam de kV e mAs relativamente menores que os monofásicos para produzir a mesma densidade radiográfica • Se usarmos Tabelas Técnicas de Geradores• Se usarmos Tabelas Técnicas de Geradores monofásicos em sistemas com gerador trifásico, vamos aumentar a exposição
  • 106.
    2.Tubo de RX •Os tubos de RX não produzem a mesma quantidade de exposição para um mesmo kV e mAs • O processo de filtração do feixe varia• O processo de filtração do feixe varia dependendo do tipo de tubo • A exposição pode diminuir com o envelhecimento do tubo
  • 107.
    3.Sensibilidade do filme •Depende do filme e do écran • Filmes rápidos são mais sensíveis e necessitam menos radiação • A sensibilidade pode variar dependendo da• A sensibilidade pode variar dependendo da temperatura do revelador e também varia de um lote para outro
  • 108.
    4.Uso de grades •Ao passar de exame sem grade (fator de penetração de grade = 1) para exames com grade (fator de penetração de grade = 0.2), é necessário multiplicar o mAs por um fator 5necessário multiplicar o mAs por um fator 5 • Lembrar que quanto maior o campo, maior é a quantidade de radiação espalhada
  • 109.
    5.Paciente • A penetraçãodepende da espessura do corpo do paciente e também do tipo de tecido que se deseja examinar • Mudanças na espessura do corpo de um paciente para outro podem ser compensadas mudando-separa outro podem ser compensadas mudando-se kV ou mAs • Pacientes musculosos requerem nos fatores de exposição • Pacientes idosos requerem dos fatores de exposição
  • 110.
    Exemplos • Relação entrekV e espessura do corpo: kV = 50 + 2x (cm) • Ex: 15 cm - 80 kV / 20 cm - 90 kV • Quanto ao mAs Para cada incremento de 5 cm na espessura é necessário multiplicar o mAs por 2
  • 111.
    6.Distância MAs novo= [D2(nova) / D1 (antiga)] mAs (antigo) • Ao dobrar a distância foco-filme é necessário quadriplicar o mAs para manter a mesmaquadriplicar o mAs para manter a mesma exposição • Aumentando a distância foco-filme aumenta a definição, reduz a distorção e a dose,mas necessita do mAs
  • 112.
    7.Tempo de exposição •A exposição é diretamente proporcional ao tempo • O tempo deve ser selecionado junto com mA • Tempo curto minimiza a distorção decorrente do movimento • Tempo curto minimiza a distorção decorrente do movimento Erros de Exposição: erro do operador ou o tempo real não corresponde àquele que o seletor mostra
  • 113.
  • 114.
    Àrea do feixe Espessurado corpo kV RADIAÇÃO ESPALHADA kV
  • 115.
    Conceito • Quando ofeixe de RX atravessa o corpo do paciente grande parte dos fótons, ao invés de serem absorvidos pelo efeito Fotoelétrico são desviados por efeito Comptom para fora do corpo produzindo a indesejável radiação espalhadaradiação espalhada • A radiação espalhada segue uma rota diferente do feixe primário e resulta em perda do contraste e da definição da imagem • Parte desta radiação espalhada deixará o corpo do paciente na mesma direção do feixe primário levando a uma exposição extra do receptor de imagens
  • 116.
    Radiação espalhada • Quandoradiografamos partes do corpo mais longas (> espessura do feixe) ou mais espessas e quando utilizamos alto kV, produz-se radiação espalhada • Quanto mais intenso o feixe, mais radiação espalhada é produzida • Com baixo kV, feixe pouco penetrante, a radiação espalhada é absorvida próximo ao local onde é produzida
  • 117.
    Contraste virtual • Lembrarque o contraste virtual é definido como o contraste obtido após o feixe ter atravessado o corpo do paciente ANTES DE ATINGIR O FILME A radiação espalhada “contamina” o contraste• A radiação espalhada “contamina” o contraste virtual e impede que seja de 100% • Quanto mais radiação espalhada,menor será o contraste da imagem no filme
  • 118.
    Contraste por radiaçãoespalhada Sem radiação espalhada Fator de espalhamento=1 Com radiação espalhada Fator de espalhamento=4 Sem espalhamento o contraste do filme seria= contraste virtual
  • 119.
    Efeitos no organismo Radiaçãoatinge diretamente o útero Radiação espalhada atinge o útero
  • 120.
    EFEITOS NO FILME Fonteprimária Radiação espalhada Radiação primária + espalhada
  • 121.
  • 122.
    Grades • Placas dechumbo (0.05mm de espessura / 2 a 5 mm de altura) alinhadas com o feixe primário • Entre as placas de chumbo são• Entre as placas de chumbo são interpostas placas de alumínio ou outro material que permita a passagem do feixe primário (espaçadas em torno de 0.25 a 0.40 mm) • O chumbo absorve a maior parte da radiação espalhada
  • 123.
    Tipos de grade •Focada – linhas divergentes. Deve ser usadaDeve ser usada em distâncias focais específicas • Paralela • Cruzadas
  • 124.
    Grade ideal • Deveriaabsorver toda a radiação espalhada • Na prática todas as grades deixam passar um pouco de radiação secundária e absorvempouco de radiação secundária e absorvem parte da radiação primária
  • 125.
    Razão e frequênciade grade • A habilidade da grade em controlar a radiação espalhada • Razão de grade : razão entre a altura das placas e o espaço entre elas. Quanto maior aentre elas. Quanto maior a razão, maior é a absorção da radiação espalhada. Varia de 4 a 16 • Frequencia de grade : numero de placas por centímetro. Varia de 1 a 100 linhas por centímetro.
  • 126.
    Razão e frequênciade grade • Quanto maior a razão e a frequência, mais radiação é necessária para produzir a imagem • Grades de baixa razão são limitadas a baixos kVs• Grades de baixa razão são limitadas a baixos kVs – Grade 5:1 é limitada para fatores de exposição abaixo de 90 kVp. • Grades de alta razão podem ser usadas até 125 kVp
  • 127.
    • Grades estacionáriascom baixas razões ( ~6) e frequencia em torno de 45 são utilizadas nos RX portáteis pois toleram melhor o desalinhamento do feixe • As grades são utilizadas para as partes do corpo• As grades são utilizadas para as partes do corpo com espessura maior que 12 cm e técnicas acima de 70 kv • Em radiografias de extremidades não são utilizadas pois o espalhamento é desprezível
  • 128.
    Razão da grademAs em relação a técnica sem grade RX transmitidos a 80 kV Espalhada Primária 5:1 X 2 18% 75% 6:1 X 3 14% 72% 8:1 X 4 10% 70% 12:1 X 5 5% 68% Mudando a razão da grade, os fatores de exposição tem que ser alterados para compensar a absorção da grade
  • 129.
    • Grades comrazão alta requerem aumento de dose, aumentam o desgaste do tubo e exigem posicionamento preciso
  • 130.
    Frequência de grade Altafrequencia: produzem linhas quase invisíveis e não há necessidade de se moverem durante a exposição Baixa frequencia: mostram linhas na imagem . São utilizadas nos “buckies”. Movem-se durante a exposição para que as linhas fiquem “borradas” e não distorçam as imagens
  • 131.
    Razão de gradee técnica • 8 mAs e 74 kVp podem ser usados para obter uma imagem de coluna lombar sem grade. • para obter uma imagem de coluna lombar com razão de grade 5:1 podem ser usados 16com razão de grade 5:1 podem ser usados 16 mAs e 74 kVp • O fator de conversão nesse caso é 2 – dobrar o mAs • O Fator de Conversão é obtido dividindo-se o nôvo mAs pelo antigo
  • 132.
    Sem grade • ColunaLombar necessita grade • Há muita radiação espalhada por ser uma àrea extensa e depor ser uma àrea extensa e de grande espessura
  • 133.
    Grade de baixarazão e frequencia • AP coluna Lombar, • Razão 5:1 / 80 linhas/cm remove a maior parte da radiação espalhadaradiação espalhada • Da exposição sem grade para a exposição com grade 5:1 o mAs deve ser dobrado • As linhas de grade são visíveis
  • 134.
    Grade de altarazão e frequência • Razão 10:1 com 100 linhas /cm • Práticamente não se vê as linhas de gradevê as linhas de grade • Requer radiação 5 vezes maior
  • 135.
    AIR GAP XGRADE • Quando o corpo está longe do filme, a radiação espalhada se dispersa no ar • Esse método é conhecido como “Air-gap”
  • 136.
    “AIR GAP” • Semusar grade reduzimos a exposição 5 vezes sem grande perda da qualidade de imagem
  • 137.
    DESALINHAMENTO DA GRADE •Grades focadas de alta frequencia devem estar muito bem alinhadas em relação ao feixe • Mínimo desalinhamento faz com que a grade remova radiação primária – desalinhamento maior que 2 º resulta em “cutoff”maior que 2 º resulta em “cutoff”
  • 138.
    DISTÂNCIA FOCO-FILME • Seas linhas de grade não estão paralelas ao feixe primário devido afeixe primário devido a mudanças na distância foco-filme, ocorerrá fenômeno de “cutoff”
  • 139.
    ANGULAÇÃO DO TUBO •Se o tubo está angulado em relação as linhas de grade ocorrerá fenomeno de “cutoff”
  • 140.
    ANGULAÇÃO DA GRADE •Causa mais comum de “cutoff”
  • 141.
    GRADE INVERTIDA • Gradefocada invertida – apenas o centro do feixe atravessa a grade
  • 142.
    Fontes • http://w3.palmer.edu/russell.wilson/LC232_X- ray • http://www.sprawls.org •http://www.gehealthcare.com• http://www.gehealthcare.com • http://www.impactscan.org/ • Bontrager KL; Lampignano JP. Tratado de posicionamento radiográfico e anatomia associada. 6ª Edição traduzida. Mosby/Elsevier. 2005