Doenças
Intersticiais
Um começo
Compartimentos intersticiais:
Interstício pulmonar é composto por 3 compartimentos de
tecido conjuntivo interrelacionados:
•Axial
•Periférico
•Septal
Distribuição das doenças:
É chave para a compreensão dos achados da TCAR.
Predominantemente central (axial) ou centrilobular:
• Favorece os feixes broncovasculares e estruturas
lobulares centrais.
Achados são mais graves centralmente que perifericamente
(Sarcoidose, Pneumonia de Hipersensibilidade, Bronquiolite)
Distribuição das doenças:
Predominantemente periférica:
• Favorece os compartimentos intralobular e periférico,
poupando o compartimento axial até um estágio avançado
da doença.
Achados mais graves perifericamente (Fibrose Pulmonar
Idiopática, Fibrose Relacionada a Drogas ou Doença do
Colágeno)
Distribuição das doenças:
Difusa:
• Doença difusamente distribuída por todos os
compartimentos (Granuloma Eosinofílico,
Linfangioleiomiomatose, Pneumoconioses, Linfangite
Carcinomatosa)
Padrões e DDX:
Existem 6 características primárias à TCAR:
1- Espessamento de Septos Interlobulares
2- Opacidades Lineares Irregulares
3- Cistos Aéreos
4- Nódulos
5- Opacidade em Vidro Fosco
6- Consolidação
Linhas
Áreas de maior atenuação
Áreas de menor atenuação
Espessamento dos septos Interlobulares
• Liso
Edema Agudo de Pulmão
• Irregular ou nodular
Linfangite, sarcoidose
Espessamento de Septos Interlobulares
(Linfangite Carcinomatosa)
Opacidades Lineares irregulares
Opacidade Lineares Irregulares:
DDX:
• Fibrose pulmonar idiopática (FPI),
• Pneumonia de hipersensibilidade crônica (PH),
• Sarcoidose (Sar)
• Asbestose (Asb).
Distribuição:
Central – Sar e PH
Periferica – FPI e Asb
Fibrose Pulmonar
Achados por Imagem
• Raio – X – geralmente normal
Avançada – redução volumétrica e opacidade reticulares
subpleurais com gradiente de apresentação ápico-basais.
• TCAR
Redução volumétrica
Opacidades reticulares subpleurais
Faveolamento (macro)
Bronquiectasias de tração
Gradiente de envolvimento apico-basal
Heterogenicidade espacial e temporal de distribuição
Achados por Imagem
Padrão nodular
Distribuição
Centrolobular
• Pneumonia de Hipersensibilidade
• Bronquiolite
• Disseminação endobronquica
Peri-linfatica
• Sarcoidose
• Silicose
• Linfangite
Aleatória
• Metastases (hematogênicas)
• TB miliar
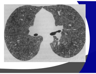
Nodulos centrolobulares
Pneumoconiose do trabalhador de carvao
Nódulos centrilobulares
(Pneumonia de Hipersensibilidade)
Arvore em brotamento
Disseminação endobrônquica
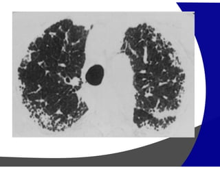
Nodulos perilinfaticos
Sarcoidose
Nodulos aleatorios
Tuberculose miliar
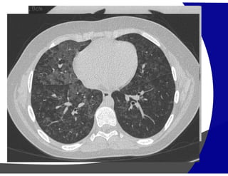
Aumento da atenuaçao pulmonar
Opacidades em Vidro fosco
Consolidação
Atenuação em vidro fosco
Pode ser resultado de alterações:
no espaço aereo
no intersticio
Causas:
• EAP
• Hemorragia
• Infecçoes
• Proteinose alveolar
• Pneumonias intersticiais
Opacidades em Vidro Fosco
(Pneumonia Descamativa Intersticial)
Opacidades em Vidro Fosco
(Pneumonia por Pneumocystis carinii)
Consolidação
Preenchimento do espaço áereo apagando as estruturas
vasculares
Causas
• Edema: insuficiência cardíaca, SARA
• Hemorragia: trauma
• Pus: infecção (pneumonia)
• Células: tumores
• Lipoproteína: proteinose alveolar
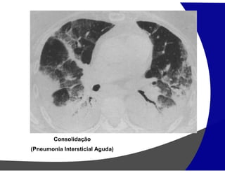
Consolidação
(Pneumonia Intersticial Aguda)
Cistos Áereos – Areas de menor atenuação
Enfisema
Cistos pulmonares (LAM, LIP, Histiocitose de células de Langerhans)
Bronquiectasia
Faveolamento
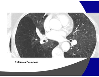
PADRÃO DE REDUÇÃO DE ATENUAÇÃO
“Manchas pretas”
Parasseptal
Centrolobular Panlobular
Enfisema Pulmonar
Cistos Aéreos
(Granuloma Eosinofílico ou Histiocitose
Pulmonar de Células de Langerhans)
Bronquiectasias
Faveolamento
Pneumonia intersticial Usual
INTERPRETAÇAO DA TCAR
Qual O padrão dominante?
• reticular
• nodular
• Aumento da atenuação
• Redução da atenuaçao
Localização no Lobo pulmonar secundário?
• centrolobular
• paraseptal
• panlobular
Existe um padrão de predominio?
• central x periferico
• superio x inferior
CORRELACIONAR COM A CLINICA
Espessamento dos septos interlobulares
Edema Pulmonar
Linfangite Carcinomatosa
Pneumonia intersticial linfocítica
Sarcoidose
Fibrose pulmonar
Silicose
Espessamento dos septos interlobulares
Predomina:
Edema Pulmonar
• Espessamento liso dos septos
• Veias pulmonares dilatadas
• Vidro fosco
• Distribuição decúbito dependente
Linfangite Carcinomatosa
• Espessamento irregular ou nodular
• Espessamento dos feixes broncovasculares
• Distribuição não dependente do decúbito
Pneumonia de Hipersensibil. Crônica (PH):
Muitas vezes os achados são iguais aos da FIP.
Dist. mais difusa + nódulos
Sarcoidose
Definicao: doença granulomatosa nao-caseosa que acomete
um ou mais orgãos ainda com etiologia desconhecida,
todavia aspectos inflamatorios auto-imunes e infecciosos
podem estar associados.
•Pulmão e o tecido linfático são os órgãos mais
frequentemente acometidos
• Pacientes jovens com 20 a 40 anos
• O sintomas são leves ate a fase terminal
•O diagnóstico muitas vezes e incidental
ESTÁGIOS DA SARCOIDOSE
• 0 – nao tem alteraçoes
• 1 – adenopatia hilar e paratraqueal
(ocorre em algum momento em ate 90% casos)
• 2 – Adenopatia com envolvimento do parenquima
Infiltrado reticular
reticulonodular
miliar
nodulos maiores
Obs: sarcoidose alveolar?
•3 – Envolvimento do parênquima sem adenopatia
•4 – Alteraçao fibrosa que evolui para insuficiência pulmonar
Achados a TCAR:
• pequenos nodulos (INCLUSIVE SUBPLEURAIS)
• infiltrado peribronquiovascular e apicais
• infiltrado reticular intraobular e subpleural
Achados atípicos:
• grandes nodulos
• lesões cavitadas (degeneração isquêmica dos granulomas
associados)
Asbestose:
Manifestações idênticas à FIP. Entretanto, asbestose
deve ser suspeitada quando são vistas placas
pleurais
Imageefrtt4y4y 4vcwttttttttttccccccccccccccccccccccccccm.pdf
Imageefrtt4y4y 4vcwttttttttttccccccccccccccccccccccccccm.pdf
Imageefrtt4y4y 4vcwttttttttttccccccccccccccccccccccccccm.pdf

Imageefrtt4y4y 4vcwttttttttttccccccccccccccccccccccccccm.pdf

  • 1.
  • 2.
    Compartimentos intersticiais: Interstício pulmonaré composto por 3 compartimentos de tecido conjuntivo interrelacionados: •Axial •Periférico •Septal
  • 4.
    Distribuição das doenças: Échave para a compreensão dos achados da TCAR. Predominantemente central (axial) ou centrilobular: • Favorece os feixes broncovasculares e estruturas lobulares centrais. Achados são mais graves centralmente que perifericamente (Sarcoidose, Pneumonia de Hipersensibilidade, Bronquiolite)
  • 5.
    Distribuição das doenças: Predominantementeperiférica: • Favorece os compartimentos intralobular e periférico, poupando o compartimento axial até um estágio avançado da doença. Achados mais graves perifericamente (Fibrose Pulmonar Idiopática, Fibrose Relacionada a Drogas ou Doença do Colágeno)
  • 6.
    Distribuição das doenças: Difusa: •Doença difusamente distribuída por todos os compartimentos (Granuloma Eosinofílico, Linfangioleiomiomatose, Pneumoconioses, Linfangite Carcinomatosa)
  • 7.
    Padrões e DDX: Existem6 características primárias à TCAR: 1- Espessamento de Septos Interlobulares 2- Opacidades Lineares Irregulares 3- Cistos Aéreos 4- Nódulos 5- Opacidade em Vidro Fosco 6- Consolidação Linhas Áreas de maior atenuação Áreas de menor atenuação
  • 9.
    Espessamento dos septosInterlobulares • Liso Edema Agudo de Pulmão • Irregular ou nodular Linfangite, sarcoidose
  • 10.
    Espessamento de SeptosInterlobulares (Linfangite Carcinomatosa)
  • 15.
  • 16.
    Opacidade Lineares Irregulares: DDX: •Fibrose pulmonar idiopática (FPI), • Pneumonia de hipersensibilidade crônica (PH), • Sarcoidose (Sar) • Asbestose (Asb). Distribuição: Central – Sar e PH Periferica – FPI e Asb
  • 17.
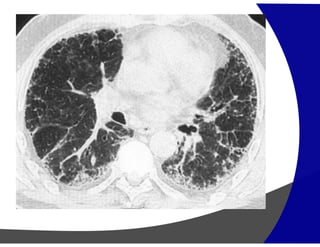
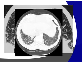
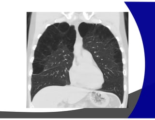
    Fibrose Pulmonar Achados porImagem • Raio – X – geralmente normal Avançada – redução volumétrica e opacidade reticulares subpleurais com gradiente de apresentação ápico-basais. • TCAR Redução volumétrica Opacidades reticulares subpleurais Faveolamento (macro) Bronquiectasias de tração Gradiente de envolvimento apico-basal Heterogenicidade espacial e temporal de distribuição
  • 18.
  • 23.
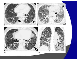
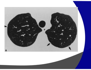
    Padrão nodular Distribuição Centrolobular • Pneumoniade Hipersensibilidade • Bronquiolite • Disseminação endobronquica Peri-linfatica • Sarcoidose • Silicose • Linfangite Aleatória • Metastases (hematogênicas) • TB miliar
  • 24.
  • 25.
  • 26.
  • 27.
  • 28.
  • 29.
    Aumento da atenuaçaopulmonar Opacidades em Vidro fosco Consolidação
  • 30.
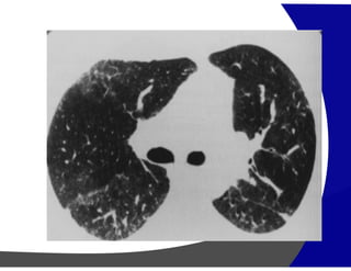
    Atenuação em vidrofosco Pode ser resultado de alterações: no espaço aereo no intersticio Causas: • EAP • Hemorragia • Infecçoes • Proteinose alveolar • Pneumonias intersticiais
  • 31.
    Opacidades em VidroFosco (Pneumonia Descamativa Intersticial)
  • 32.
    Opacidades em VidroFosco (Pneumonia por Pneumocystis carinii)
  • 33.
    Consolidação Preenchimento do espaçoáereo apagando as estruturas vasculares Causas • Edema: insuficiência cardíaca, SARA • Hemorragia: trauma • Pus: infecção (pneumonia) • Células: tumores • Lipoproteína: proteinose alveolar
  • 34.
  • 35.
    Cistos Áereos –Areas de menor atenuação Enfisema Cistos pulmonares (LAM, LIP, Histiocitose de células de Langerhans) Bronquiectasia Faveolamento
  • 36.
    PADRÃO DE REDUÇÃODE ATENUAÇÃO “Manchas pretas” Parasseptal Centrolobular Panlobular
  • 38.
  • 39.
    Cistos Aéreos (Granuloma Eosinofílicoou Histiocitose Pulmonar de Células de Langerhans)
  • 40.
  • 41.
  • 42.
    INTERPRETAÇAO DA TCAR QualO padrão dominante? • reticular • nodular • Aumento da atenuação • Redução da atenuaçao Localização no Lobo pulmonar secundário? • centrolobular • paraseptal • panlobular Existe um padrão de predominio? • central x periferico • superio x inferior CORRELACIONAR COM A CLINICA
  • 44.
    Espessamento dos septosinterlobulares Edema Pulmonar Linfangite Carcinomatosa Pneumonia intersticial linfocítica Sarcoidose Fibrose pulmonar Silicose
  • 45.
    Espessamento dos septosinterlobulares Predomina: Edema Pulmonar • Espessamento liso dos septos • Veias pulmonares dilatadas • Vidro fosco • Distribuição decúbito dependente Linfangite Carcinomatosa • Espessamento irregular ou nodular • Espessamento dos feixes broncovasculares • Distribuição não dependente do decúbito
  • 48.
    Pneumonia de Hipersensibil.Crônica (PH): Muitas vezes os achados são iguais aos da FIP. Dist. mais difusa + nódulos
  • 51.
    Sarcoidose Definicao: doença granulomatosanao-caseosa que acomete um ou mais orgãos ainda com etiologia desconhecida, todavia aspectos inflamatorios auto-imunes e infecciosos podem estar associados. •Pulmão e o tecido linfático são os órgãos mais frequentemente acometidos • Pacientes jovens com 20 a 40 anos • O sintomas são leves ate a fase terminal •O diagnóstico muitas vezes e incidental
  • 52.
    ESTÁGIOS DA SARCOIDOSE •0 – nao tem alteraçoes • 1 – adenopatia hilar e paratraqueal (ocorre em algum momento em ate 90% casos) • 2 – Adenopatia com envolvimento do parenquima Infiltrado reticular reticulonodular miliar nodulos maiores Obs: sarcoidose alveolar? •3 – Envolvimento do parênquima sem adenopatia •4 – Alteraçao fibrosa que evolui para insuficiência pulmonar
  • 57.
    Achados a TCAR: •pequenos nodulos (INCLUSIVE SUBPLEURAIS) • infiltrado peribronquiovascular e apicais • infiltrado reticular intraobular e subpleural Achados atípicos: • grandes nodulos • lesões cavitadas (degeneração isquêmica dos granulomas associados)
  • 61.
    Asbestose: Manifestações idênticas àFIP. Entretanto, asbestose deve ser suspeitada quando são vistas placas pleurais