SARA/ SDRA Vanessa Gurgel Adeodato R2 CM
Definição Síndrome causada por uma lesão inflamatória nos pulmões, clinicamente caracterizada por falência respiratória aguda
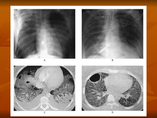
Critérios diagnósticos Início agudo Presença de condição predispondente Infiltrados bilaterais no R-x de tórax PaO2/FiO2 < 200 para SARA e < 300 para LPA Ausência de evidência de I.C Esq
SARA x Edema Cardiogênico História clínica BNP Ecocardiograma POAP Raio -X
Condições predisponentes Causas diretas (pulmonares): - Pneumonia; aspiração de conteúdo gástrico;  contusão pulmonar Causas indiretas (extra-pulmonares): *Sepse Trauma severo com choque e múltiplas transfusões Pancreatite aguda Fratura de ossos longos; Grande queimado Bypass cardiopulmonar Hipertensão intracraniana Produtos sanguíneos
Diagnóstico Diferencial Hemorragia alveolar difusa PNM intersticial aguda PNM eosinofílica aguda idiopática Neoplasia disseminada
Patogênese Fases da SARA: Aguda ou Exsudativa
Patogênese
Patogênese 2)  Fase Fibroproliferativa
 
Lesão pulmonar induzida pela ventilação Barotrauma Atelectasia cíclica “ Baby- lung” Biotrauma
Injúria Pulmonar
Manejo da SARA
Ventilation with Lower Tidal Volumes as Compared with Traditional Tidal Volumes for Acute Lung Injury and the Acute Respiratory Distress Syndrome The Acute Respiratory Distress Syndrome Network   Grande estudo que comparou tratamento com VC tradicional (10  a 15ml/kg) com ventilação com baixo VC ( 4 a 9ml/kg do peso predito) Objetivos eram avaliar mortalidade intra-hospitalar  e percentagem livre de ventilação mecânica aos 28 dias
 
Resultados
Consequências do uso de  VC  Hipercapnia permissiva: - Vasoconstrição e hipertensão pulmonar   - Efeitos pró-arritmicos pela descarga simpática - Vasodilatação cerebral levando ao  da PIC
Higher versus Lower Positive End-Expiratory Pressures in Patients with the Acute Respiratory Distress Syndrome The National Heart, Lung, and Blood Institute ARDS Clinical Trials Network   Randomizaram 549 pacientes. Um grupo usando PEEP baixa ( 8.3±3.2 cm de água) e o outro PEEP alta (13.2±3.5 cm de água) Conclusões do estudo: - “ Pacientes com SARA que receberam VM com baixo VC e Pressão Plato < 30, os desfechos clínicos foram semelhantes independente do valor da PEEP”.
Comparison of Two Fluid-Management Strategies in Acute Lung Injury The National Heart, Lung, and Blood Institute Acute Respiratory Distress Syndrome (ARDS) Clinical Trials Network   Estudo que comparou estratégia conservadora ( BH de  –136 ± 491 ml)  com uma liberal ( BH de  6992 ± 502 ml)  no manejo de fluidos de pacientes com SARA Conclusões do trabalho: “  Apesar de não ter havido diferença na mortalidade, a estratégia conservadora melhorou a função pulmonar e encurtou a duração da VM e de cuidados intensivos, sem piorar a falência de outros órgãos”.
Efficacy and Safety of Corticosteroids for Persistent Acute Respiratory Distress Syndrome The National Heart, Lung, and Blood Institute Acute Respiratory Distress Syndrome (ARDS) Clinical Trials Network   Randomizaram 180 pacientes com SARA com pelo menos 7 dias de duração para receber metilprednisona ou placebo. Resultados: Houve melhora da fisiologia cardiopulmonar  Não houve diminuição da mortalidade Não houve aumento de complicações infecciosas, porém foi associado a maior fraqueza neuromuscular Conclusão do estudo: - O uso rotineiro de corticóide na SARA não está indicado
Lung Recruitment in Patients with the Acute Respiratory Distress Syndrome Luciano Gattinoni, M.D., F.R.C.P., Pietro Caironi, M.D., Massimo Cressoni   O estudo submeteu 68 pacientes a PEEPs de 5, 15 e 45 cm de água e observaram a percentagem de pulmão recrutável através do uso de TC durante a manobra. A porcentagem de pulmão potencialmente recrutável é extremamente variável entre os pacientes e está muito associado a resposta a PEEP.
Efeito da PEEP
The Acute Respiratory Distress Syndrome, Mechanical Ventilation, and the Prone Position Apesar de ter havido aumento da PaO2 no grupo pronado, não houve diferença estatística na mortalidade entre os grupos. Considerações/ limitações do estudo Faltam mais estudos para corroborar o uso da pronação na SARA, porém na prática, tenta-se realizar essa manobra quando todos os outros recursos já foram utilizados, e o paciente mantém-se com relação PaO2/FiO2 < 150.
Recrutamento Manobra para tentar tornar o pulmão homogênio através da PEEP ou Pronação Paciente bem sedado e com bloqueador neuromuscular Fazer medidas da complacência pulmonar SARA pulmonar x extra-pulmonar
Ventilação na SARA Calcule o valor do peso predito:  Homem = 50 + 0.91 [altura (cm) - 152.4]  Mulher = 45.5 + 0.91 [altura (cm) - 152.4]  Escolha o modo de ventilação:  Volume corrente inicial de  8 ml/kg PP  Reduza o VC para 7 e depois para 6 ml/kg em 1-3 horas  Ajuste FR (10 a 35)  Cheque a pressão de Platô a cada 4 horas ou a cada ajuste na PEEP ou VC   Se Pplat >30 cmH2O, diminua o volume em 1 ml/kg PP  Se Pplat <25 cmH2O e VC <6 ml/kg, aumente o volume em 1 mL/kg  até Pplat >25 cmH2O ou VC = 6 ml/kg.  Oxigenação Arterial e PEEP : Use as combinações de  FiO2/PEEP para atingir o alvo de oxigenação (SO2 >85%):  FiO2  0.3  0.4  0.5  0.6  0.7  0.8  0.9  1.0  PEEP  5  5-8  8-10  10  10-14  14  14-18  18-22
Considerações Finais As complicações da SARA estão relacionadas a VM (ex. barotrauma) ou a cuidados intensivos (ex. PNM nosocomial) A principal causa de morte se deve a falência de múltiplos órgãos e não a insuficiência respiratória em si. A mortalidade tem diminuido, principalmente nos casos não associados a sepse
Considerações finais Suporte hemodinâmico e cuidados intensivos  (ATBs, nutrição, prevenção de tromboses, etc) Ventilação protetora, usando baixos VC, pressão de platô < 30, ajuste da PEEP para que fique com a menor FiO2 possível e sem causar distúrbio hemodinâmico. E caso necessário, tentar manobra de recrutamento.
Obrigada! Obrigada! Obrigada!

Sara

  • 1.
    SARA/ SDRA VanessaGurgel Adeodato R2 CM
  • 2.
    Definição Síndrome causadapor uma lesão inflamatória nos pulmões, clinicamente caracterizada por falência respiratória aguda
  • 3.
    Critérios diagnósticos Inícioagudo Presença de condição predispondente Infiltrados bilaterais no R-x de tórax PaO2/FiO2 < 200 para SARA e < 300 para LPA Ausência de evidência de I.C Esq
  • 4.
    SARA x EdemaCardiogênico História clínica BNP Ecocardiograma POAP Raio -X
  • 5.
    Condições predisponentes Causasdiretas (pulmonares): - Pneumonia; aspiração de conteúdo gástrico; contusão pulmonar Causas indiretas (extra-pulmonares): *Sepse Trauma severo com choque e múltiplas transfusões Pancreatite aguda Fratura de ossos longos; Grande queimado Bypass cardiopulmonar Hipertensão intracraniana Produtos sanguíneos
  • 6.
    Diagnóstico Diferencial Hemorragiaalveolar difusa PNM intersticial aguda PNM eosinofílica aguda idiopática Neoplasia disseminada
  • 7.
    Patogênese Fases daSARA: Aguda ou Exsudativa
  • 8.
  • 9.
    Patogênese 2) Fase Fibroproliferativa
  • 10.
  • 11.
    Lesão pulmonar induzidapela ventilação Barotrauma Atelectasia cíclica “ Baby- lung” Biotrauma
  • 12.
  • 13.
  • 14.
    Ventilation with LowerTidal Volumes as Compared with Traditional Tidal Volumes for Acute Lung Injury and the Acute Respiratory Distress Syndrome The Acute Respiratory Distress Syndrome Network Grande estudo que comparou tratamento com VC tradicional (10 a 15ml/kg) com ventilação com baixo VC ( 4 a 9ml/kg do peso predito) Objetivos eram avaliar mortalidade intra-hospitalar e percentagem livre de ventilação mecânica aos 28 dias
  • 15.
  • 16.
  • 17.
    Consequências do usode VC Hipercapnia permissiva: - Vasoconstrição e hipertensão pulmonar - Efeitos pró-arritmicos pela descarga simpática - Vasodilatação cerebral levando ao da PIC
  • 18.
    Higher versus LowerPositive End-Expiratory Pressures in Patients with the Acute Respiratory Distress Syndrome The National Heart, Lung, and Blood Institute ARDS Clinical Trials Network Randomizaram 549 pacientes. Um grupo usando PEEP baixa ( 8.3±3.2 cm de água) e o outro PEEP alta (13.2±3.5 cm de água) Conclusões do estudo: - “ Pacientes com SARA que receberam VM com baixo VC e Pressão Plato < 30, os desfechos clínicos foram semelhantes independente do valor da PEEP”.
  • 19.
    Comparison of TwoFluid-Management Strategies in Acute Lung Injury The National Heart, Lung, and Blood Institute Acute Respiratory Distress Syndrome (ARDS) Clinical Trials Network Estudo que comparou estratégia conservadora ( BH de –136 ± 491 ml) com uma liberal ( BH de 6992 ± 502 ml) no manejo de fluidos de pacientes com SARA Conclusões do trabalho: “ Apesar de não ter havido diferença na mortalidade, a estratégia conservadora melhorou a função pulmonar e encurtou a duração da VM e de cuidados intensivos, sem piorar a falência de outros órgãos”.
  • 20.
    Efficacy and Safetyof Corticosteroids for Persistent Acute Respiratory Distress Syndrome The National Heart, Lung, and Blood Institute Acute Respiratory Distress Syndrome (ARDS) Clinical Trials Network Randomizaram 180 pacientes com SARA com pelo menos 7 dias de duração para receber metilprednisona ou placebo. Resultados: Houve melhora da fisiologia cardiopulmonar Não houve diminuição da mortalidade Não houve aumento de complicações infecciosas, porém foi associado a maior fraqueza neuromuscular Conclusão do estudo: - O uso rotineiro de corticóide na SARA não está indicado
  • 21.
    Lung Recruitment inPatients with the Acute Respiratory Distress Syndrome Luciano Gattinoni, M.D., F.R.C.P., Pietro Caironi, M.D., Massimo Cressoni O estudo submeteu 68 pacientes a PEEPs de 5, 15 e 45 cm de água e observaram a percentagem de pulmão recrutável através do uso de TC durante a manobra. A porcentagem de pulmão potencialmente recrutável é extremamente variável entre os pacientes e está muito associado a resposta a PEEP.
  • 22.
  • 23.
    The Acute RespiratoryDistress Syndrome, Mechanical Ventilation, and the Prone Position Apesar de ter havido aumento da PaO2 no grupo pronado, não houve diferença estatística na mortalidade entre os grupos. Considerações/ limitações do estudo Faltam mais estudos para corroborar o uso da pronação na SARA, porém na prática, tenta-se realizar essa manobra quando todos os outros recursos já foram utilizados, e o paciente mantém-se com relação PaO2/FiO2 < 150.
  • 24.
    Recrutamento Manobra paratentar tornar o pulmão homogênio através da PEEP ou Pronação Paciente bem sedado e com bloqueador neuromuscular Fazer medidas da complacência pulmonar SARA pulmonar x extra-pulmonar
  • 25.
    Ventilação na SARACalcule o valor do peso predito: Homem = 50 + 0.91 [altura (cm) - 152.4] Mulher = 45.5 + 0.91 [altura (cm) - 152.4] Escolha o modo de ventilação: Volume corrente inicial de 8 ml/kg PP Reduza o VC para 7 e depois para 6 ml/kg em 1-3 horas Ajuste FR (10 a 35) Cheque a pressão de Platô a cada 4 horas ou a cada ajuste na PEEP ou VC  Se Pplat >30 cmH2O, diminua o volume em 1 ml/kg PP Se Pplat <25 cmH2O e VC <6 ml/kg, aumente o volume em 1 mL/kg até Pplat >25 cmH2O ou VC = 6 ml/kg. Oxigenação Arterial e PEEP : Use as combinações de FiO2/PEEP para atingir o alvo de oxigenação (SO2 >85%): FiO2 0.3 0.4 0.5 0.6 0.7 0.8 0.9 1.0 PEEP 5 5-8 8-10 10 10-14 14 14-18 18-22
  • 26.
    Considerações Finais Ascomplicações da SARA estão relacionadas a VM (ex. barotrauma) ou a cuidados intensivos (ex. PNM nosocomial) A principal causa de morte se deve a falência de múltiplos órgãos e não a insuficiência respiratória em si. A mortalidade tem diminuido, principalmente nos casos não associados a sepse
  • 27.
    Considerações finais Suportehemodinâmico e cuidados intensivos (ATBs, nutrição, prevenção de tromboses, etc) Ventilação protetora, usando baixos VC, pressão de platô < 30, ajuste da PEEP para que fique com a menor FiO2 possível e sem causar distúrbio hemodinâmico. E caso necessário, tentar manobra de recrutamento.
  • 28.