PNEUMOTORAX e
BRONQUIECTASIA
1
PNEUMOTÓ
RAX
01.
2
DEFINIÇÃO
O pneumotórax é a presença de
ar entre o pulmão e a parede
torácica, causando colapso
pulmonar.
3
ETIOLOGIA:
➔ Espontâneo:
◆ Primário: ocorre sem doença pulmonar subjacente.
◆ Secundário: associado a doenças pulmonares,
➔ Traumático: por trauma torácico aberto ou fechado.
➔ Hipertensivo: forma grave, com acúmulo progressivo de ar e compressão
mediastinal.
➔ Pneumotórax iatrogênico: é provocado por intervenções médicas.
4
CLASSIFICAÇÃO
01. Espontâneo
primário
➔ Jovens altos e magros
➔ Tabagismo (aumenta o
risco em até 20x)
➔ História familiar
➔ DPOC com bolhas de
enfisema
➔ Asma grave
➔ Infecções pulmonares
➔ Fibrose cística
➔ Trauma torácico
fechado (exemplo:
fraturas de costela)
➔ Trauma penetrante
(ferimentos por arma
branca ou de fogo)
02. Espontâneo
secundário
03. Traumático
5
FISIOPATOLO
GIA
O pulmão permanece expandido
devido à pressão intrapleural ser
inferior à atmosférica.
No pneumotórax, o ar de fora do tórax
ou do próprio pulmão entra no espaço
pleural, a pressão intrapleural
aumenta, e o volume pulmonar
diminui.
6
ACHADOS
RADIOLÓGI
COS
➔ Linha pleural visível sem vasos
pulmonares além dela;
➔ Aumento da radiotransparência;
➔ Pulmão colapsado na região
medial;
➔ No pneumotórax hipertensivo:
desvio do mediastino,
achatamento do hemidiafragma.
7
Radiografia de tórax (e modelo esquemático ao lado) mostrando
hipotransparência torácica avascular. A massa branca no campo pulmonar
inferior direito consiste no pulmão colabado, inclusive, com ar dentro da cisura.
Também notamos a presença da linha de pleura (esta torna-se visível na
vigência de um pneumotórax por se dobrar em torno de si mesma).
8
9
MANIFESTAÇÕES CLÍNICAS
Quadro clínico
clássico
➔ Dor torácica súbita,
pleurítica e unilateral;
➔ Dispneia de
intensidade variável;
➔ Tosse seca;
➔ Redução ou ausência do
murmúrio vesicular;
➔ Hipertimpanismo à
percussão;
➔ Expansibilidade torácica
reduzida;
➔ Ausência de frêmito tátil.
Sinais
físicos
10
TRATAMENTO
➔ Clínico: repouso, O suplementar para absorção do ar pleural, analgésicos e
₂
antitussígenos. Indicado para pneumotórax espontâneo primário pequeno
(<20% do hemitórax) e de primeira vez.
➔ Drenagem pleural
➔ Pleurodese: usada para prevenir recidivas ou tratar derrames pleurais
neoplásicos. Pode ser feita com talc, bleomicina ou tetraciclina para induzir
aderência pleural.
➔ Tratamento cirúrgico
➔ Pleurostomia: utilizada em empiema ou pneumotórax complicado, criando um
dreno externo para eliminar secreções e permitir cicatrização pulmonar.
11
TRATAMENTO
➔ Descompressão imediata com agulha para pneumotórax hipertensivo.
➔ Observação e acompanhamento radiográfico para pneumotórax espontâneo
primário assintomático, independentemente do tamanho.
➔ Aspiração por catéter ou dispositivos de tratamento ambulatorial para
pneumotórax espontâneo primário sintomático.
➔ Toracostomia com dreno para pneumotórax secundário e traumático.
12
TRATAMENTO DO PNEUMOTÓRAX
13
TRATAMENTO DO PNEUMOTÓRAX
HIPERTENSIVO
14
BRONQUIECTA
SIA
02.
15
DEFINIÇÃO
A bronquiectasia é uma doença
na qual a destruição do músculo
liso e do tecido elástico por
infecções necrotizantes crônicas
leva à dilatação permanente dos
brônquios e bronquíolos.
16
ETIOLOGIA:
➔ Causas Idiopáticas;
➔ Defesas do Hospedeiro
Comprometidas:
◆ Fibrose cística;
◆ Imunodeficiências primárias;
◆ HIV/AIDS.
➔ Pós-infecciosa;
➔ Causas Alérgicas e Autoimunes;
➔ Obstrução das Vias Aéreas;
➔ Causas Congênitas.
17
CLASSIFICAÇÃO
01. Focal
➔ Aparecendo em apenas 1 ou 2
áreas pulmonares;
➔ Tipicamente se desenvolve
como resultado de pneumonia
não tratada, obstrução ou
infecção por micobactérias.
➔ Afetando muitas áreas dos pulmões;
➔ Se desenvolve mais frequentemente
em pacientes com defeitos
genéticos, imunológicos ou
anatômicos que afetam as vias
respiratórias.
02. Difuso
18
FISIOPATOLOGIA
19
20
COMPLICAÇÕES
Hemoptise maciça devido à ruptura das artérias brônquicas
neovascularizadas.
Hipertensão pulmonar causada por vasoconstrição persistente.
Derivações vasculares entre os vasos brônquicos e pulmonares.
Inflamação crônica associada à colonização por organismos
multirresistentes.
Piora da função pulmonar com exacerbações recorrentes.
21
MANIFESTAÇÕES CLÍNICAS
Quadro clínico
clássico
➔ Tosse crônica com
grande volume de
escarro purulento;
➔ Dispneia;
➔ Sibilos;
➔ Dor torácica pleurítica.
➔ Hipoxemia;
➔ Insuficiência cardíaca
direita;
➔ Hemoptise.
➔ Exacerbação:
◆ piora da tosse,
dispneia, febre baixa e
fadiga.
Casos
Graves
22
DIAGNÓSTICO
➔ Imagem:
◆ Radiografia de tórax
◆ TC de alta resolução: Exame padrão-ouro.
➔ Testes de função pulmonar: Mostram limitação ventilatória obstrutiva.
➔ Exames laboratoriais: Culturas de escarro para identificar agentes
infecciosos e testes específicos para causas subjacentes
23
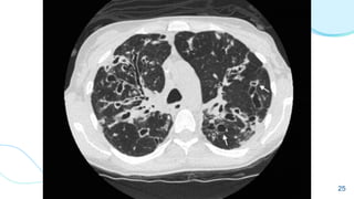
ACHADOS
RADIOLÓGI
COS
➔ Diâmetro brônquico aumentado
(sinal do anel de sinete);
➔ Sinal do trilho do trem;
➔ Brônquios visíveis nas periferias
pulmonares;
➔ Brônquios não afilam
progressivamente;
➔ Impactação mucoide;
24
focal
afetando muitas áreas dos
pulmões
aparecendo em apenas 1 ou
2 áreas pulmonares
difusas
25
DIAGNÓSTICO
26
TRATAMENTO
OBJETIVO
➔ Controlar sintomas e melhorar
a qualidade de vida;
➔ Reduzir exacerbações;
➔ Preservar a função pulmonar.
MEDIDAS
GERAIS
➔ Prevenção: Vacinas (influenza,
pneumocócica, COVID-19),
cessação do tabagismo;
➔ Limpeza das vias aéreas:
Exercícios, fisioterapia
torácica, drenagem postural,
dispositivos de pressão
expiratória positiva;
➔ Hidratação adequada e
umidificadores.
01. 02.
27
28
TRATAMENTO
OPÇÃO CIRÚRGICA
➔ Ressecção pulmonar para doença
localizada com sintomas intratáveis
ou sangramento;
➔ Embolização da artéria brônquica
para hemoptise grave;
➔ Transplante pulmonar em casos
avançados com falha do tratamento
clínico.
EXACERBAÇÕES
➔ Antibióticos específicos conforme
culturas de escarro (H. influenzae,
S. pneumoniae, P. aeruginosa);
➔ Broncodilatadores inalatórios;
➔ Nebulização com soro fisiológico;
➔ Corticoides inalatórios ou orais se
houver inflamação significativa.
29
30
OBRIGA
DA
REFERÊNCIAS
● MSD MANUALS. Pneumotórax. Disponível em: https://www.msdmanuals.com/pt/profissional/dist
%C3%BArbios-pulmonares/doen%C3%A7as-mediastinais-e-pleurais/pneumot
%C3%B3rax#Fisiopatologia_v4756046_pt. Acesso em: 19 mar. 2025.
● RADIOPAEDIA. Pneumothorax. Disponível em: https://radiopaedia.org/articles/pneumothorax. Acesso em: 19
mar. 2025.
● HARVARD HEALTH. Pneumothorax. Disponível em: https://www.health.harvard.edu/a_to_z/pneumothorax-a-
to-z. Acesso em: 19 mar. 2025.
● MEDSCAPE. Pneumothorax – Overview. Disponível em: https://emedicine.medscape.com/article/424547-
overview?form=fpf. Acesso em: 19 mar. 2025.
● LECTURIO. Pneumotórax. Disponível em: https://www.lecturio.com/pt/concepts/pneumotorax/. Acesso em: 19
mar. 2025.
● MSD MANUALS. Bronquiectasia. Disponível em: https://www.msdmanuals.com/pt/profissional/dist
%C3%BArbios-pulmonares/bronquiectasia-e-atelectasia/bronquiectasia. Acesso em: 19 mar. 2025.
● RADIOPAEDIA. Bronchiectasis. Disponível em: https://radiopaedia.org/articles/bronchiectasis. Acesso em: 19
mar. 2025.
● PEREIRA, Mônica Corso; ATHANAZIO, Rodrigo Abensur; DALCIN, Paulo de Tarso Roth; et al. Consenso
brasileiro sobre bronquiectasias não fibrocísticas. Jornal Brasileiro de Pneumologia, v. 45, n. 4, 2019.
Disponível em: https://jbp.org.br/details/3030/pt-BR/consenso-brasileiro-sobre-bronquiectasias-nao-
fibrocisticas. Acesso em: 20 mar. 2025.

Pneumotorax e bronquiectasia - Pneumologia

  • 1.
  • 2.
  • 3.
    DEFINIÇÃO O pneumotórax éa presença de ar entre o pulmão e a parede torácica, causando colapso pulmonar. 3
  • 4.
    ETIOLOGIA: ➔ Espontâneo: ◆ Primário:ocorre sem doença pulmonar subjacente. ◆ Secundário: associado a doenças pulmonares, ➔ Traumático: por trauma torácico aberto ou fechado. ➔ Hipertensivo: forma grave, com acúmulo progressivo de ar e compressão mediastinal. ➔ Pneumotórax iatrogênico: é provocado por intervenções médicas. 4
  • 5.
    CLASSIFICAÇÃO 01. Espontâneo primário ➔ Jovensaltos e magros ➔ Tabagismo (aumenta o risco em até 20x) ➔ História familiar ➔ DPOC com bolhas de enfisema ➔ Asma grave ➔ Infecções pulmonares ➔ Fibrose cística ➔ Trauma torácico fechado (exemplo: fraturas de costela) ➔ Trauma penetrante (ferimentos por arma branca ou de fogo) 02. Espontâneo secundário 03. Traumático 5
  • 6.
    FISIOPATOLO GIA O pulmão permaneceexpandido devido à pressão intrapleural ser inferior à atmosférica. No pneumotórax, o ar de fora do tórax ou do próprio pulmão entra no espaço pleural, a pressão intrapleural aumenta, e o volume pulmonar diminui. 6
  • 7.
    ACHADOS RADIOLÓGI COS ➔ Linha pleuralvisível sem vasos pulmonares além dela; ➔ Aumento da radiotransparência; ➔ Pulmão colapsado na região medial; ➔ No pneumotórax hipertensivo: desvio do mediastino, achatamento do hemidiafragma. 7
  • 8.
    Radiografia de tórax(e modelo esquemático ao lado) mostrando hipotransparência torácica avascular. A massa branca no campo pulmonar inferior direito consiste no pulmão colabado, inclusive, com ar dentro da cisura. Também notamos a presença da linha de pleura (esta torna-se visível na vigência de um pneumotórax por se dobrar em torno de si mesma). 8
  • 9.
  • 10.
    MANIFESTAÇÕES CLÍNICAS Quadro clínico clássico ➔Dor torácica súbita, pleurítica e unilateral; ➔ Dispneia de intensidade variável; ➔ Tosse seca; ➔ Redução ou ausência do murmúrio vesicular; ➔ Hipertimpanismo à percussão; ➔ Expansibilidade torácica reduzida; ➔ Ausência de frêmito tátil. Sinais físicos 10
  • 11.
    TRATAMENTO ➔ Clínico: repouso,O suplementar para absorção do ar pleural, analgésicos e ₂ antitussígenos. Indicado para pneumotórax espontâneo primário pequeno (<20% do hemitórax) e de primeira vez. ➔ Drenagem pleural ➔ Pleurodese: usada para prevenir recidivas ou tratar derrames pleurais neoplásicos. Pode ser feita com talc, bleomicina ou tetraciclina para induzir aderência pleural. ➔ Tratamento cirúrgico ➔ Pleurostomia: utilizada em empiema ou pneumotórax complicado, criando um dreno externo para eliminar secreções e permitir cicatrização pulmonar. 11
  • 12.
    TRATAMENTO ➔ Descompressão imediatacom agulha para pneumotórax hipertensivo. ➔ Observação e acompanhamento radiográfico para pneumotórax espontâneo primário assintomático, independentemente do tamanho. ➔ Aspiração por catéter ou dispositivos de tratamento ambulatorial para pneumotórax espontâneo primário sintomático. ➔ Toracostomia com dreno para pneumotórax secundário e traumático. 12
  • 13.
  • 14.
  • 15.
  • 16.
    DEFINIÇÃO A bronquiectasia éuma doença na qual a destruição do músculo liso e do tecido elástico por infecções necrotizantes crônicas leva à dilatação permanente dos brônquios e bronquíolos. 16
  • 17.
    ETIOLOGIA: ➔ Causas Idiopáticas; ➔Defesas do Hospedeiro Comprometidas: ◆ Fibrose cística; ◆ Imunodeficiências primárias; ◆ HIV/AIDS. ➔ Pós-infecciosa; ➔ Causas Alérgicas e Autoimunes; ➔ Obstrução das Vias Aéreas; ➔ Causas Congênitas. 17
  • 18.
    CLASSIFICAÇÃO 01. Focal ➔ Aparecendoem apenas 1 ou 2 áreas pulmonares; ➔ Tipicamente se desenvolve como resultado de pneumonia não tratada, obstrução ou infecção por micobactérias. ➔ Afetando muitas áreas dos pulmões; ➔ Se desenvolve mais frequentemente em pacientes com defeitos genéticos, imunológicos ou anatômicos que afetam as vias respiratórias. 02. Difuso 18
  • 19.
  • 20.
  • 21.
    COMPLICAÇÕES Hemoptise maciça devidoà ruptura das artérias brônquicas neovascularizadas. Hipertensão pulmonar causada por vasoconstrição persistente. Derivações vasculares entre os vasos brônquicos e pulmonares. Inflamação crônica associada à colonização por organismos multirresistentes. Piora da função pulmonar com exacerbações recorrentes. 21
  • 22.
    MANIFESTAÇÕES CLÍNICAS Quadro clínico clássico ➔Tosse crônica com grande volume de escarro purulento; ➔ Dispneia; ➔ Sibilos; ➔ Dor torácica pleurítica. ➔ Hipoxemia; ➔ Insuficiência cardíaca direita; ➔ Hemoptise. ➔ Exacerbação: ◆ piora da tosse, dispneia, febre baixa e fadiga. Casos Graves 22
  • 23.
    DIAGNÓSTICO ➔ Imagem: ◆ Radiografiade tórax ◆ TC de alta resolução: Exame padrão-ouro. ➔ Testes de função pulmonar: Mostram limitação ventilatória obstrutiva. ➔ Exames laboratoriais: Culturas de escarro para identificar agentes infecciosos e testes específicos para causas subjacentes 23
  • 24.
    ACHADOS RADIOLÓGI COS ➔ Diâmetro brônquicoaumentado (sinal do anel de sinete); ➔ Sinal do trilho do trem; ➔ Brônquios visíveis nas periferias pulmonares; ➔ Brônquios não afilam progressivamente; ➔ Impactação mucoide; 24
  • 25.
    focal afetando muitas áreasdos pulmões aparecendo em apenas 1 ou 2 áreas pulmonares difusas 25
  • 26.
  • 27.
    TRATAMENTO OBJETIVO ➔ Controlar sintomase melhorar a qualidade de vida; ➔ Reduzir exacerbações; ➔ Preservar a função pulmonar. MEDIDAS GERAIS ➔ Prevenção: Vacinas (influenza, pneumocócica, COVID-19), cessação do tabagismo; ➔ Limpeza das vias aéreas: Exercícios, fisioterapia torácica, drenagem postural, dispositivos de pressão expiratória positiva; ➔ Hidratação adequada e umidificadores. 01. 02. 27
  • 28.
  • 29.
    TRATAMENTO OPÇÃO CIRÚRGICA ➔ Ressecçãopulmonar para doença localizada com sintomas intratáveis ou sangramento; ➔ Embolização da artéria brônquica para hemoptise grave; ➔ Transplante pulmonar em casos avançados com falha do tratamento clínico. EXACERBAÇÕES ➔ Antibióticos específicos conforme culturas de escarro (H. influenzae, S. pneumoniae, P. aeruginosa); ➔ Broncodilatadores inalatórios; ➔ Nebulização com soro fisiológico; ➔ Corticoides inalatórios ou orais se houver inflamação significativa. 29
  • 30.
  • 31.
  • 32.
    REFERÊNCIAS ● MSD MANUALS.Pneumotórax. Disponível em: https://www.msdmanuals.com/pt/profissional/dist %C3%BArbios-pulmonares/doen%C3%A7as-mediastinais-e-pleurais/pneumot %C3%B3rax#Fisiopatologia_v4756046_pt. Acesso em: 19 mar. 2025. ● RADIOPAEDIA. Pneumothorax. Disponível em: https://radiopaedia.org/articles/pneumothorax. Acesso em: 19 mar. 2025. ● HARVARD HEALTH. Pneumothorax. Disponível em: https://www.health.harvard.edu/a_to_z/pneumothorax-a- to-z. Acesso em: 19 mar. 2025. ● MEDSCAPE. Pneumothorax – Overview. Disponível em: https://emedicine.medscape.com/article/424547- overview?form=fpf. Acesso em: 19 mar. 2025. ● LECTURIO. Pneumotórax. Disponível em: https://www.lecturio.com/pt/concepts/pneumotorax/. Acesso em: 19 mar. 2025. ● MSD MANUALS. Bronquiectasia. Disponível em: https://www.msdmanuals.com/pt/profissional/dist %C3%BArbios-pulmonares/bronquiectasia-e-atelectasia/bronquiectasia. Acesso em: 19 mar. 2025. ● RADIOPAEDIA. Bronchiectasis. Disponível em: https://radiopaedia.org/articles/bronchiectasis. Acesso em: 19 mar. 2025. ● PEREIRA, Mônica Corso; ATHANAZIO, Rodrigo Abensur; DALCIN, Paulo de Tarso Roth; et al. Consenso brasileiro sobre bronquiectasias não fibrocísticas. Jornal Brasileiro de Pneumologia, v. 45, n. 4, 2019. Disponível em: https://jbp.org.br/details/3030/pt-BR/consenso-brasileiro-sobre-bronquiectasias-nao- fibrocisticas. Acesso em: 20 mar. 2025.