TRAUMA TORÁCICO
Prof. Enf. Thamara B Rodrigues
Trauma de tórax
•
•
•
•
•
Lesões torácicas estão entre as 04 principais causas de
morte nos traumatizados
Estima-se que o trauma torácico seja responsável por
16.000 óbitos/ano
As causas mais comuns de óbito imediato, (no local do
trauma), são as lesões cardíacas e roturas de aorta
As causas mais comuns entre 30 min e 3 horas são os
tamponamentos cardíacos, bronco aspirações ou
obstrução de vias aéreas e hemorragias incontroláveis
Trauma de tórax
Anatomia
• A parte posterior do tórax é mais
resistente devido a formação da
musculatura.
• Traumas anteriores são mais graves que
posteriores.
Mecanismos do Trauma
Torácico
• TRAUMA TORÁCICO FECHADO
1 – Lesão por aceleração/ desaceleração
2 – Lesão por compressão
3 – Lesão por impacto de alta velocidade
• TRAUMA TORÁCICO ABERTO
• Resulta da aplicação de força mecânica sobre
uma pequena área da superfície do tórax.
Trauma de tórax
Classificação
Traumas estáveis
• Representam 60 a 70% dos casos que
adentram os hospitais
• Não apresentam repercussão
hemodinâmica importante (insuficiência
respiratória, insuficiência circulatória)
Trauma de tórax
Classificação
Traumas instáveis
• Representam 10 a 15% dos pacientes
admitidos em Hospitais
• Não há tempo para exames
complementares, sendo que o diagnóstico
deve ser clínico (histórico do trauma,
exame físico)
• Tratamento imediato
Principais complicações
imediatas
• Obstrução de vias aéreas;
• Pneumotórax hipertensivo;
• Pneumotórax aberto;
• Hemotórax maciço;
• Tamponamento cardíaco;
• Tórax instável.
Obstrução de vias aéreas
QUANDO SUSPEITAR?
• Presença de coloração azulada da face,
pescoço e parte superior do tórax;
• Presença de pele rosada abaixo dessa área;
• Pode haver distensão das jugulares e edema ou
hemorragia das conjuntivas;
• Podem coexistir lesões de vasos, traquéia,
brônquio, esôfago, etc.
Obstrução de vias aéreas
• Prioridade absoluta no atendimento inicial;
• Hemoptise maciça pode ser confundida
com edema agudo de pulmão;
• Retirada de corpo estranho depende da
localização, pode ser uma simples
extração manual, com broncoscopia ou
até mesmo toracotomia;
• Preferência em utilizar aspiradores de
ponta rígida.
Obstrução de vias aéreas
• Recomendação para retirada manual de
corpo estranho apenas se houver
visualização direta;
• Não efetuar a “busca cega”;
• Utilização de laringoscópio e pinça.
Obstrução de vias aéreas
•CONDUTA:
• Avaliação primária e secundária;
• Manter vias aéreas pérvias;
• Administrar O2 (FiO2 85%);
• Oferecer suporte ventilatório criterioso se
necessário;
• Instalar acesso venoso calibroso;
• Tratar lesões associadas;
• Transportar para hospital terciário.
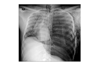
Pneumotórax hipertensivo
MECANISMO DE TRAUMA:
• choque do tórax contra anteparos (volante
de veículo, quedas, entre outros) ou de
objetos contra o tórax (agressões, coices
de animais), atropelamento, explosões,
soterramento, desacelerações súbitas,
ventilação mecânica.
Pneumotórax hipertensivo
Quando suspeitar? na presença de:
•
•
• Extrema ansiedade, taquipnéia intensa, taquicardia,
hipotensão, cianose, dor torácica, respiração superficial;
Sinais precoces: ruídos respiratórios ausentes ou
diminuídos do lado afetado, aumento progressivo da
dispnéia e taquipnéia, apesar do tratamento, percussão
timpânica;
Sinais tardios: ingurgitamento da veia jugular, desvio da
traquéia, sinais de hipóxia aguda, timpanismo à
percussão do tórax, pressão de pulso diminuída,
hipotensão, sinais de choque descompensado.
Pneumotórax hipertensivo
Conduta:
•
•
•
Avaliação primária e secundária;
Com ferimento penetrante aberto no tórax: retirar o curativo
oclusivo por vários segundos, permitindo que o ar saia pela
ferida (se esta permanecer aberta). Quando a pressão
diminuir, ocluir novamente a ferida com curativo com 3 pontos
de fixação. Repetir o procedimento se a pressão torácica
aumentar novamente;
Pneumotórax hipertensivo fechado: realizar punção torácica
imediata, no 2º espaço intercostal anterior, linha
hemiclavicular, com jelco 14 ou 16; na criança, usar jelco 18
ou 20;
Pneumotórax hipertensivo
Conduta:
•
•
•
•
•
• Realizar drenagem torácica apenas em caso de
transporte aéreo;
Após descompressão, administrar O2 sob máscara com
reservatório, 12 l/min;
Realizar ventilação assistida caso necessário;
Manter saturação de O2 ≥ 95%;
Instalar acesso venoso calibroso e repor volemia se
necessário;
Transportar rapidamente para hospital terciário.
Válvula de Heimlich
Drenagem torácica
• 5º espaço intercostal, linha média axilar;
• Inspeção digital para descartar hérnia ou
ruptura diafragmática (fígado, estômago);
• Introdução do tubo e conexão no frasco
com selo d’água
Drenagem torácica
• Punção com cateter de punção venosa
calibre 14 em 2º espaço intercostal linha
hemiclavicular;
• Conexão em equipo de soro;
• Colocação do equipo em frasco de soro
aberto, formando selo d’água.
Pneumotórax aberto
• Ferida torácica que promove uma solução
de continuidade entre o ar atmosférico e a
cavidade pleural.
• Quando a abertura deste ferimento é
maior ou igual a dois terços do diâmetro
da traquéia, o ar passará pela ferida e não
pela via aérea, causando assim
insuficiência respiratória.
Pneumotórax aberto
• Ocorre em aproximadamente 1% dos casos de
trauma de tórax na população civil;
• Embora alguns FAF e FAB produzam
pneumotórax aberto, não estão classificados
nesta categoria, pois após a lesão as paredes
se justapõem e se tornam pneumotórax
fechado;
• A exceção quando o FAF for por projétil de
grosso calibre.
Pneumotórax aberto
Conduta:
• O tratamento imediato temporário poderá
ser a oclusão da ferida utilizando curativo
valvulado ou curativo de três pontas, ou
seja, curativo quadrangular fixado com
esparadrapo em 3 lados deixando um
lado livre para saída de ar acumulado na
cavidade pleural.
Pneumotórax aberto
Conduta:
• Se for optado pela oclusão total do
ferimento, deve-se realizar a drenagem
pleural, para evitar a ocorrência de
pneumotórax hipertensivo.
• Essa drenagem poderá ser somente
utilizando a punção por agulha, porém
também é temporária.
Transporte aéreo
• O pneumotórax pode se tornar hipertensivo se o
paciente for transportado sem drenagem
pleural;
• O ar contido na cavidade intrapleural se
expande devido a diferença atmosférica,
conforme a altitude;
• Pacientes com suspeita de pneumotórax não
devem ser transportados sem dreno com selo
d’água, ou dreno unidirecional (Heimlich)
Enfisema subcutâneo
• Associado ao trauma de tórax fechado e quase
sempre há fratura de costelas com lesão da
pleura parietal e pulmão
• Passagem de ar através da solução de
continuidade estabelecida com a fáscia
endotorácica para o subcutâneo e/ou
mediastino.
• Outras causas de enfisema subcutâneo são as
lesões de traquéia, grandes brônquios e
esôfago.
Enfisema subcutâneo
• Ocorre em 20 a 25% nos casos de trauma
de tórax;
• O tamanho do enfisema não determina o
tamanho da lesão, uma vez que
pequenas lesões podem acarretar
grandes enfisemas e grandes lesões
podem acarretar pequenos enfisemas.
Enfisema subcutâneo
• Não se deve tratar o enfisema, e sim o
que o provocou;
• Medidas de alívio podem ser utilizadas
em pacientes estáveis, que referem dor, e
em ambiente hospitalar.
Respiração paradoxal ou
Tórax instável
• Giram em torno de 1,4% nos traumas de
tórax;
• Provocado por fratura de múltiplas
costelas;
Respiração paradoxal ou
Tórax instável
• MECANISMO DE TRAUMA: impacto sobre o
esterno (nas colisões frontais, o esterno pára
contra a coluna da direção e a continuação do
movimento da parede torácica posterior para
frente dobra as costelas até estas fraturarem)
ou sobre a face lateral da parede torácica (na
colisão lateral, ocorre impacto na parede lateral
do tórax). Surge quando 2 ou mais costelas
adjacentes são fraturadas em pelo menos 2
lugares.
Respiração paradoxal ou
Tórax instável
QUANDO SUSPEITAR?
•
•
• Presença de movimentos torácicos paradoxais à
respiração, ou seja, à inspiração o segmento instável se
retrai e, à expiração, abaula-se, ao contrário dos
movimentos normais. No início, o espasmo da
musculatura intercostal pode impedir movimentação
paradoxal significativa;
Dor torácica mais intensa do que na fratura isolada de
costela;
Dor à palpação do tórax;
Respiração paradoxal ou
Tórax instável
Presença de crepitações ósseas à palpação; Presença de lesões ou
equimoses no local; Taquipnéia progressiva;
Impossibilidade de respirar profundamente; Hipóxia, cianose.
QUANDO SUSPEITAR?
Respiração paradoxal ou
Tórax instável
Conduta:
•
•
•
•
•
•
•
•
•
Avaliação primária e secundária;
Realizar analgesia e, se necessário, sedar a vítima;
Ventilar com pressão positiva: bolsa-valva-máscara ou
ventilação mecânica após intubação traqueal nos casos mais
graves;
Administrar O2 100%, 12 l/min;
Monitorizar oximetria de pulso;
Manter saturação de O2 ≥ 95%;
Instalar acesso venoso calibroso;
Repor volemia se necessário;
Transportar rapidamente para hospital terciário.
Tamponamento cardíaco
• Mecanismo de trauma: traumatismo torácico
penetrante (mais comum) ou fechado; no APH o
mecanismo mais freqüente é o impacto do volante sobre
o condutor do veículo não contido por cinto de
segurança.
Quando suspeitar? na presença de:
•
• Ferimentos torácicos penetrantes na região do retângulo
delimitado pela linha dos mamilos lateralmente, pelas
clavículas acima e as margens costais abaixo (a
chamada “caixa cardíaca”);
Taquicardia;
Tamponamento cardíaco
• Pulso paradoxal (quando a PA sistólica cai mais
de 10 mmHg durante a inspiração): pulso radial
diminui ou desaparece na inspiração;
• Pressão de pulso reduzida;
• Ingurgitamento jugular;
• Abafamento de bulhas cardíacas;
• Hipotensão arterial.
Tamponamento cardíaco
Tríade de Beck: turgência jugular, hipotensão e
abafamento de bulhas;
•
•
•
•
• Sinais de choque, que pioram progressivamente
(por diminuição do débito cardíaco pela compressão
ventricular);
Expansibilidade pulmonar e ruídos respiratórios
normais;
Diminuição da voltagem no ECG;
Pode ocorrer AESP (atividade elétrica sem pulso).
Pode evoluir para choque cardiogênico.
Tamponamento cardíaco
Conduta:
•
•
•
•
•
•
•
Avaliação primária e secundária;
Administrar O2 85-100% sob máscara com reservatório,
12 l/min;
Considerar intubação traqueal e ventilação com pressão
positiva na vítima com hipotensão;
Instalar 2 acessos venosos calibrosos;
Repor volemia rapidamente durante o transporte;
Realizar monitorização cardíaca contínua;
Transportar rapidamente para hospital terciário.
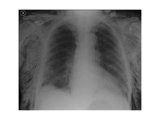
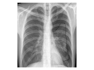
Hemotórax
• Mecanismo de trauma: traumatismo torácico
penetrante (mais comum) ou fechado.
Quando suspeitar? na presença de:
• Taquipnéia;
• Dor torácica;
• Respiração superficial;
• MV ausente ou diminuído do lado afetado;
Hemotórax
• 90% dos casos o tratamento é eficiente
apenas com drenagem.
• 10% é necessário intervenção cirúrgica,
toracotomia ou laparotomia exploradora.
• Pode apresentar -se normotenso ou
hipertenso.
• Quando hipertenso está associado a
pneumotórax.
Hemotórax
• Macicez à percussão do hemitórax afetado;
• Sinais clínicos de choque (cada espaço pleural
pode reter até 2500 a 3000 ml de sangue,no
adulto);
• Confusão mental e ansiedade, dependendo da
magnitude do comprometimento respiratório e
cardiovascular;
• Pensar na associação com pneumotórax,
especialmente nos traumas penetrantes.
Hemotórax
O sangue coletado na cavidade pleural tem
4 origens:
• Parênquima pulmonar (90% dos casos);
• Vasos sistêmicos (intercostais,
mamários);
• Lesões de mediastino (coração, vasos da
base);
• Ferimentos toraco-abdominais
Hemotórax
Classificação
• Pequeno: 300 a 350 ml de sangue
drenado
• Médio: 350 a 1500 ml de sangue drenado
• Grande: maior que 1500 ml
Hemotórax
• Tratamento
• Drenagem torácica
Referência:
• PHTLS - Atendimento pré-hospitalar ao traumatizado. 9. ed.
Burlington: Jones & Bartlett Learning, 2020.

Trauma de torax.pdf

  • 1.
    TRAUMA TORÁCICO Prof. Enf.Thamara B Rodrigues
  • 2.
    Trauma de tórax • • • • • Lesõestorácicas estão entre as 04 principais causas de morte nos traumatizados Estima-se que o trauma torácico seja responsável por 16.000 óbitos/ano As causas mais comuns de óbito imediato, (no local do trauma), são as lesões cardíacas e roturas de aorta As causas mais comuns entre 30 min e 3 horas são os tamponamentos cardíacos, bronco aspirações ou obstrução de vias aéreas e hemorragias incontroláveis
  • 3.
    Trauma de tórax Anatomia •A parte posterior do tórax é mais resistente devido a formação da musculatura. • Traumas anteriores são mais graves que posteriores.
  • 4.
    Mecanismos do Trauma Torácico •TRAUMA TORÁCICO FECHADO 1 – Lesão por aceleração/ desaceleração 2 – Lesão por compressão 3 – Lesão por impacto de alta velocidade • TRAUMA TORÁCICO ABERTO • Resulta da aplicação de força mecânica sobre uma pequena área da superfície do tórax.
  • 5.
    Trauma de tórax Classificação Traumasestáveis • Representam 60 a 70% dos casos que adentram os hospitais • Não apresentam repercussão hemodinâmica importante (insuficiência respiratória, insuficiência circulatória)
  • 6.
    Trauma de tórax Classificação Traumasinstáveis • Representam 10 a 15% dos pacientes admitidos em Hospitais • Não há tempo para exames complementares, sendo que o diagnóstico deve ser clínico (histórico do trauma, exame físico) • Tratamento imediato
  • 7.
    Principais complicações imediatas • Obstruçãode vias aéreas; • Pneumotórax hipertensivo; • Pneumotórax aberto; • Hemotórax maciço; • Tamponamento cardíaco; • Tórax instável.
  • 8.
    Obstrução de viasaéreas QUANDO SUSPEITAR? • Presença de coloração azulada da face, pescoço e parte superior do tórax; • Presença de pele rosada abaixo dessa área; • Pode haver distensão das jugulares e edema ou hemorragia das conjuntivas; • Podem coexistir lesões de vasos, traquéia, brônquio, esôfago, etc.
  • 9.
    Obstrução de viasaéreas • Prioridade absoluta no atendimento inicial; • Hemoptise maciça pode ser confundida com edema agudo de pulmão; • Retirada de corpo estranho depende da localização, pode ser uma simples extração manual, com broncoscopia ou até mesmo toracotomia; • Preferência em utilizar aspiradores de ponta rígida.
  • 10.
    Obstrução de viasaéreas • Recomendação para retirada manual de corpo estranho apenas se houver visualização direta; • Não efetuar a “busca cega”; • Utilização de laringoscópio e pinça.
  • 11.
    Obstrução de viasaéreas •CONDUTA: • Avaliação primária e secundária; • Manter vias aéreas pérvias; • Administrar O2 (FiO2 85%); • Oferecer suporte ventilatório criterioso se necessário; • Instalar acesso venoso calibroso; • Tratar lesões associadas; • Transportar para hospital terciário.
  • 12.
    Pneumotórax hipertensivo MECANISMO DETRAUMA: • choque do tórax contra anteparos (volante de veículo, quedas, entre outros) ou de objetos contra o tórax (agressões, coices de animais), atropelamento, explosões, soterramento, desacelerações súbitas, ventilação mecânica.
  • 13.
    Pneumotórax hipertensivo Quando suspeitar?na presença de: • • • Extrema ansiedade, taquipnéia intensa, taquicardia, hipotensão, cianose, dor torácica, respiração superficial; Sinais precoces: ruídos respiratórios ausentes ou diminuídos do lado afetado, aumento progressivo da dispnéia e taquipnéia, apesar do tratamento, percussão timpânica; Sinais tardios: ingurgitamento da veia jugular, desvio da traquéia, sinais de hipóxia aguda, timpanismo à percussão do tórax, pressão de pulso diminuída, hipotensão, sinais de choque descompensado.
  • 14.
    Pneumotórax hipertensivo Conduta: • • • Avaliação primáriae secundária; Com ferimento penetrante aberto no tórax: retirar o curativo oclusivo por vários segundos, permitindo que o ar saia pela ferida (se esta permanecer aberta). Quando a pressão diminuir, ocluir novamente a ferida com curativo com 3 pontos de fixação. Repetir o procedimento se a pressão torácica aumentar novamente; Pneumotórax hipertensivo fechado: realizar punção torácica imediata, no 2º espaço intercostal anterior, linha hemiclavicular, com jelco 14 ou 16; na criança, usar jelco 18 ou 20;
  • 15.
    Pneumotórax hipertensivo Conduta: • • • • • • Realizardrenagem torácica apenas em caso de transporte aéreo; Após descompressão, administrar O2 sob máscara com reservatório, 12 l/min; Realizar ventilação assistida caso necessário; Manter saturação de O2 ≥ 95%; Instalar acesso venoso calibroso e repor volemia se necessário; Transportar rapidamente para hospital terciário.
  • 21.
  • 22.
    Drenagem torácica • 5ºespaço intercostal, linha média axilar; • Inspeção digital para descartar hérnia ou ruptura diafragmática (fígado, estômago); • Introdução do tubo e conexão no frasco com selo d’água
  • 24.
    Drenagem torácica • Punçãocom cateter de punção venosa calibre 14 em 2º espaço intercostal linha hemiclavicular; • Conexão em equipo de soro; • Colocação do equipo em frasco de soro aberto, formando selo d’água.
  • 27.
    Pneumotórax aberto • Feridatorácica que promove uma solução de continuidade entre o ar atmosférico e a cavidade pleural. • Quando a abertura deste ferimento é maior ou igual a dois terços do diâmetro da traquéia, o ar passará pela ferida e não pela via aérea, causando assim insuficiência respiratória.
  • 28.
    Pneumotórax aberto • Ocorreem aproximadamente 1% dos casos de trauma de tórax na população civil; • Embora alguns FAF e FAB produzam pneumotórax aberto, não estão classificados nesta categoria, pois após a lesão as paredes se justapõem e se tornam pneumotórax fechado; • A exceção quando o FAF for por projétil de grosso calibre.
  • 31.
    Pneumotórax aberto Conduta: • Otratamento imediato temporário poderá ser a oclusão da ferida utilizando curativo valvulado ou curativo de três pontas, ou seja, curativo quadrangular fixado com esparadrapo em 3 lados deixando um lado livre para saída de ar acumulado na cavidade pleural.
  • 33.
    Pneumotórax aberto Conduta: • Sefor optado pela oclusão total do ferimento, deve-se realizar a drenagem pleural, para evitar a ocorrência de pneumotórax hipertensivo. • Essa drenagem poderá ser somente utilizando a punção por agulha, porém também é temporária.
  • 37.
    Transporte aéreo • Opneumotórax pode se tornar hipertensivo se o paciente for transportado sem drenagem pleural; • O ar contido na cavidade intrapleural se expande devido a diferença atmosférica, conforme a altitude; • Pacientes com suspeita de pneumotórax não devem ser transportados sem dreno com selo d’água, ou dreno unidirecional (Heimlich)
  • 38.
    Enfisema subcutâneo • Associadoao trauma de tórax fechado e quase sempre há fratura de costelas com lesão da pleura parietal e pulmão • Passagem de ar através da solução de continuidade estabelecida com a fáscia endotorácica para o subcutâneo e/ou mediastino. • Outras causas de enfisema subcutâneo são as lesões de traquéia, grandes brônquios e esôfago.
  • 39.
    Enfisema subcutâneo • Ocorreem 20 a 25% nos casos de trauma de tórax; • O tamanho do enfisema não determina o tamanho da lesão, uma vez que pequenas lesões podem acarretar grandes enfisemas e grandes lesões podem acarretar pequenos enfisemas.
  • 40.
    Enfisema subcutâneo • Nãose deve tratar o enfisema, e sim o que o provocou; • Medidas de alívio podem ser utilizadas em pacientes estáveis, que referem dor, e em ambiente hospitalar.
  • 43.
    Respiração paradoxal ou Tóraxinstável • Giram em torno de 1,4% nos traumas de tórax; • Provocado por fratura de múltiplas costelas;
  • 44.
    Respiração paradoxal ou Tóraxinstável • MECANISMO DE TRAUMA: impacto sobre o esterno (nas colisões frontais, o esterno pára contra a coluna da direção e a continuação do movimento da parede torácica posterior para frente dobra as costelas até estas fraturarem) ou sobre a face lateral da parede torácica (na colisão lateral, ocorre impacto na parede lateral do tórax). Surge quando 2 ou mais costelas adjacentes são fraturadas em pelo menos 2 lugares.
  • 45.
    Respiração paradoxal ou Tóraxinstável QUANDO SUSPEITAR? • • • Presença de movimentos torácicos paradoxais à respiração, ou seja, à inspiração o segmento instável se retrai e, à expiração, abaula-se, ao contrário dos movimentos normais. No início, o espasmo da musculatura intercostal pode impedir movimentação paradoxal significativa; Dor torácica mais intensa do que na fratura isolada de costela; Dor à palpação do tórax;
  • 46.
    Respiração paradoxal ou Tóraxinstável Presença de crepitações ósseas à palpação; Presença de lesões ou equimoses no local; Taquipnéia progressiva; Impossibilidade de respirar profundamente; Hipóxia, cianose. QUANDO SUSPEITAR?
  • 47.
    Respiração paradoxal ou Tóraxinstável Conduta: • • • • • • • • • Avaliação primária e secundária; Realizar analgesia e, se necessário, sedar a vítima; Ventilar com pressão positiva: bolsa-valva-máscara ou ventilação mecânica após intubação traqueal nos casos mais graves; Administrar O2 100%, 12 l/min; Monitorizar oximetria de pulso; Manter saturação de O2 ≥ 95%; Instalar acesso venoso calibroso; Repor volemia se necessário; Transportar rapidamente para hospital terciário.
  • 48.
    Tamponamento cardíaco • Mecanismode trauma: traumatismo torácico penetrante (mais comum) ou fechado; no APH o mecanismo mais freqüente é o impacto do volante sobre o condutor do veículo não contido por cinto de segurança. Quando suspeitar? na presença de: • • Ferimentos torácicos penetrantes na região do retângulo delimitado pela linha dos mamilos lateralmente, pelas clavículas acima e as margens costais abaixo (a chamada “caixa cardíaca”); Taquicardia;
  • 49.
    Tamponamento cardíaco • Pulsoparadoxal (quando a PA sistólica cai mais de 10 mmHg durante a inspiração): pulso radial diminui ou desaparece na inspiração; • Pressão de pulso reduzida; • Ingurgitamento jugular; • Abafamento de bulhas cardíacas; • Hipotensão arterial.
  • 50.
    Tamponamento cardíaco Tríade deBeck: turgência jugular, hipotensão e abafamento de bulhas; • • • • • Sinais de choque, que pioram progressivamente (por diminuição do débito cardíaco pela compressão ventricular); Expansibilidade pulmonar e ruídos respiratórios normais; Diminuição da voltagem no ECG; Pode ocorrer AESP (atividade elétrica sem pulso). Pode evoluir para choque cardiogênico.
  • 51.
    Tamponamento cardíaco Conduta: • • • • • • • Avaliação primáriae secundária; Administrar O2 85-100% sob máscara com reservatório, 12 l/min; Considerar intubação traqueal e ventilação com pressão positiva na vítima com hipotensão; Instalar 2 acessos venosos calibrosos; Repor volemia rapidamente durante o transporte; Realizar monitorização cardíaca contínua; Transportar rapidamente para hospital terciário.
  • 52.
    Hemotórax • Mecanismo detrauma: traumatismo torácico penetrante (mais comum) ou fechado. Quando suspeitar? na presença de: • Taquipnéia; • Dor torácica; • Respiração superficial; • MV ausente ou diminuído do lado afetado;
  • 53.
    Hemotórax • 90% doscasos o tratamento é eficiente apenas com drenagem. • 10% é necessário intervenção cirúrgica, toracotomia ou laparotomia exploradora. • Pode apresentar -se normotenso ou hipertenso. • Quando hipertenso está associado a pneumotórax.
  • 54.
    Hemotórax • Macicez àpercussão do hemitórax afetado; • Sinais clínicos de choque (cada espaço pleural pode reter até 2500 a 3000 ml de sangue,no adulto); • Confusão mental e ansiedade, dependendo da magnitude do comprometimento respiratório e cardiovascular; • Pensar na associação com pneumotórax, especialmente nos traumas penetrantes.
  • 55.
    Hemotórax O sangue coletadona cavidade pleural tem 4 origens: • Parênquima pulmonar (90% dos casos); • Vasos sistêmicos (intercostais, mamários); • Lesões de mediastino (coração, vasos da base); • Ferimentos toraco-abdominais
  • 56.
    Hemotórax Classificação • Pequeno: 300a 350 ml de sangue drenado • Médio: 350 a 1500 ml de sangue drenado • Grande: maior que 1500 ml
  • 58.
  • 59.
    Referência: • PHTLS -Atendimento pré-hospitalar ao traumatizado. 9. ed. Burlington: Jones & Bartlett Learning, 2020.