O marca-passo
• As pessoas que apresentam a frequência dos
batimentos cardíacos muito baixa - a chamada de
bradicardia - podem apresentar diversos sintomas,
como fraqueza, tonturas e desmaios.
• Com a exceção de atletas bem treinados, nos quais
a bradicardia pode ser fisiológica e até esperada, a
frequência cardíaca deve subir durante esforço
físico ou atividades que precisam de um maior
volume de sangue bombeado por minuto pelo
coração, chamado de débito cardíaco.
CONSIDERAÇÕES INICIAIS
• O tratamento para as bradicardias que tenham sintomas ou
tragam riscos à saúde é o implante de um marca-passo
definitivo. Este aparelho é um microcomputador que é
conectado ao coração através de fios que detectam a
frequência cardíaca e estimulam-no a bater mais rápido se
necessário.
• O gerador do marca-passo - a caixa metálica que é composta
pelos componentes eletrônicos e pela bateria - fica logo
abaixo da pele do tórax, entre a gordura e o músculo peitoral.
• Os eletrodos, conectados a esta caixa são amarrados à
musculatura e têm sua extremidade mais distal fixada ao
músculo cardíaco.
O MARCA-PASSO
FINALIDADE
• Marcapasso é um dispositivo de aplicação médica que tem o
objetivo de regular os batimentos cardíacos. Isto é conseguido
através de um estímulo elétrico emitido pelo dispositivo quando o
número de batimentos em um certo intervalo de tempo está abaixo
do normal, por algum problema na condução do estímulo natural do
coração pelo seus tecidos antes de atingir os ventrículos.
• Os primeiros aparelhos marca-passo eram externos e de certa forma
perigosos pois poderiam potencialmente eletrocutar seu portador...
• Atualmente o tamanho do aparelho foi reduzido e pode ser
implantado no corpo do paciente pois é selado hermeticamente
numa cápsula de metal e possui pilhas recarregáveis através de
terminais externos.
• Sua cápsula externa em geral é feita de titânio por ser um material
fisiologicamente inerte, o que reduz o risco de rejeição pelo sistema
imunológico.
O MARCA PASSO
História do marca passo no
Brasil
HISTÓRIA DO MARCA PASSO
• O primeiro marcapasso artificial foi desenvolvido
por Elmquist e implantado por Senning em 1958.
• Em 1960, Chardack e Greatbatch construíram um
aparelho implantável no subcutâneo, com
pequenas dimensões e peso reduzido.
• Surgiram outras unidades desenvolvidas por Zoll
e Kantrowitz.
• No Brasil, Kormann foi pioneiro em desenvolver e
implantar geradores com tecnologia nacional.
O PRIMEIRO MARCA PASSO DO MUNDO
(RÉPLICA)
Em 1932, nos Estados Unidos, Albert Hyman, utilizou um gerador de
pulsos movido a manivela e um cabo-eletrodo bipolar introduzido
diretamente no tórax para promover estimulação cardíaca.
Estabeleceu o conceito “PACE”.
MINI CLINIC FABRICADO PELA ELETROLIFE, DA
DÉCADA DE 1975
Mini Clinic da empresa Eletrolife, fabricado em 1975. Tem por finalidade avaliar os
parâmetros eletrônicos do marca-passo como frequência, intervalo de pulso e
duração.
MINI CLINIC FABRICADO PELA TELECTRONICS, NA DÉCADA DE 1980
Aparelho Mini Clinic fabricado pela Telectronics, produzido na década de
1980, tem como característica avaliar os marca passos bicamerais
(dupla-câmara).
MINI CLINIC FABRICADO PELA BIOTRONIK, NA DÉCADA DE 1980
Mini Clinic fabricado pela Medtronic nos Estados Unidos, na
década de 1980.
MARCAPASSO EXTERNO FABRICADO NO
INCOR / SÃO PAULO
Marcapasso externo fabricado no InCor (Instituto do
Coração – HC – FMUSP), década de 1970/80.
MARCAPASSO BICAMERAL FABRICADO PELA
MEDTRONIC, NO INÍCIO DA DÉCADA DE 1980
• Marcapasso Bicameral fabricado pela Medtronic, no início da
década de 1980.
• Um dos primeiros geradores dupla-câmera fabricado no
mundo.
• No mundo, milhões de pacientes já foram operados para receber um
marca passo. Atualmente, a cirurgia é considerada simples, de rotina,
dura pouco mais de uma hora e o paciente pode ir para casa no mesmo
dia ou no dia seguinte.
• Quando avaliado pelo médico especialista, que indica a cirurgia, as
etapas do procedimento são explicadas detalhadamente ao paciente,
que pode alimentar-se até algumas horas antes do procedimento.
• Após a limpeza rigorosa da região peitoral do lado esquerdo ou direito,
o local abaixo da clavícula recebe anestesia local e é feita uma pequena
incisão. Em seguida, o eletrodo do marca passo é cuidadosamente
introduzido por uma veia até o coração. O médico monitora o
posicionamento correto do eletrodo no coração por meio de um sistema
de raios X.
• Depois de testar a posição e o funcionamento do eletrodo, ele é
conectado ao marcapasso, que é implantado em uma pequena “bolsa”
sob da pele. Para finalizar, o médico fecha o local da incisão.
COMO É O PROCEDIMENTO PARA COLOCAR O MARCA PASSO ?
PROCEDIMENTO DE IMPLANTE DE MARCA PASSO REALIZADO NA
SALA DE HEMODINÂMICA ( RADIOLOGIA INTERVENCIONISTA )
O MARCA PASSO
• O paciente recupera-se em pouco tempo após o procedimento de implante. Os
sintomas de tonturas e falta de ar costumam desaparecer imediatamente após a
cirurgia. Pode haver dor ligeira no local do implante, mas esse desconforto em
geral diminui rapidamente e em pouco tempo o paciente não sentirá mais nada.
• Entretanto, o médico responsável pelo tratamento deverá ser consultado em caso
da incisão cirúrgica ficar vermelha ou esquentar, inchar ou escorrer líquido e se o
paciente apresentar febre, tontura, dores no peito, cansaço ou fraqueza
importante. Nos primeiros dias após a intervenção, movimentos amplos com o
braço do lado do marca passo devem ser evitados.
• Logo após o implante, haverá a primeira avaliação e o médico verificará a
atividade cardíaca, as funções e os parâmetros do marca passo. A programação
será ajustada às necessidades individuais de cada paciente, o que é muito
simples, pois o médico utiliza um aparelho externo denominado programador
para a essa avaliação. Na maioria dos casos, o paciente nem percebe que o
aparelho foi reprogramado.
• A partir desse momento, o médico marcará acompanhamentos em intervalos
regulares, geralmente a cada seis meses. Nesses exames, avalia-se
detalhadamente o funcionamento do marca passo e o estado da bateria.
COMO É O PÓS-OPERATÓRIO DA CIRURGIA DE MARCA ASSO ?
O paciente retorna ao leito, no quarto ou na UTI, e
pode receber alta no dia seguinte.
ONDE O PACIENTE AGUARDA APÓS A
CIRURGIA ?
O tempo de recuperação difere entre as pessoas, mas
a maioria dos pacientes poderá retomar suas
atividades diárias habituais 30 dias após o implante.
QUANDO O PACIENTE QUE IMPLANTA UM MARCA PASSO
PODE RETOMAR SUA VIDA NORMAL?
• Um marca-passo é um dispositivo
projetado para tratar um ritmo
cardíaco lento.
• Quando as pessoas se referem a um
marca-passo, elas na verdade estão
discutindo um sistema de
estimulação: um marca-passo, um ou
dois cabos-eletrodos e um
programador.
• Duas partes são colocadas dentro do
corpo: o marca-passo e o cabo-
eletrodo.
O QUE É UM MARCA-PASSO ?
• O marca-passo é uma pequena caixa metálica que contém
circuitos eletrônicos e uma bateria. O marca-passo monitora
o coração continuamente, e envia um pulso elétrico para
compassar o coração quando seu próprio ritmo é
interrompido, está irregular ou muito lento.
• O cabo-eletrodo é um fio isolado que transporta o minúsculo
pulso elétrico do marca-passo ao coração para regular o
ritmo cardíaco.
• A terceira parte, o programador, é mantido em um hospital ou
clínica. Um enfermeiro ou médico usa o computador
especializado para ver como o marca-passo está trabalhando
e, se necessário, ajustar a configuração do marcapasso.
Marca-passo câmara única – o eletrodo é colocado no
ventrículo direito (parte inferior do coração).
Marca-passo câmara dupla – são colocados dois
eletrodos, um no átrio e outro no ventrículo direitos.
HÁ DOIS TIPOS DE MARCA-PASSO:
• O modelo 3077 tem dois modos de estimulação de
alta frequência para o tratamento de taquicardia.
Através do toque em apenas um botão, a frequência
de pulsos pode ser duplicada ou quadruplicada.
• O marca passo, então, estimula em um modo
assíncrono. Um sinal acústico é emitido
automaticamente durante a estimulação em
frequência elevada.
• Os erros que ocorrem durante a operação são
indicados visualmente e acusticamente. Um circuito
especial permite uma inspeção automática da
voltagem da bateria.
• Com a ajuda de um LED e também de um sinal
acústico, a drenagem completa da bateria pode ser
prevenida.
GERADOR DE MARCA PASSO EXTERNO
CÂMARA ÚNICA
• É ideal para a
estimulação
temporária de
marca-passo.
• Perfeito para
situações de
emergência em UTI
ou Pronto Socorro,
bem como após
cirurgias cardíacas.
MARCA-PASSO EXTERNO CÂMARA DUPLA
1. Bloqueio Atrioventricular;
2. Bradicardia Sinusal acentuada (Doença do Nó Sinusal)
3. Fibrilação Atrial com baixa resposta ventricular (com frequência cardíaca baixa)
4. Síndrome Vaso Vagal (Síncope Neurocardiogênica) do tipo cardio-inibitória.
5. Suporte para medicação antiarrítmica;
6. Taquicardias atriais e as taquicardias supraventriculares com ATP
(anti-tachi pacing);
7. Síndrome vaso-vagal tipo resposta cardio-inibitória
MARCA-PASSOS E DESFIBRILADORES SÃO DISPOSITIVOS CARDÍACOS
ELETRÔNICOS IMPLANTÁVEIS QUE SÃO VERDADEIROS ANJOS DA
GUARDA.
OS DOIS POSSUEM FUNÇÕES DIFERENTES: MARCA-PASSOS SÃO
UTILIZADOS PARA TRATAR BRADICARDIAS, QUE SÃO SITUAÇÕES EM
QUE “O CORAÇÃO ESTÁ LENTO” SÃO ELAS:
• Utilizar o marca-passo como suporte para medicação
antiarrítmica é uma indicação crescente em cardiologia.
• Isso acontece quando o paciente tem arritmias elevadas no
Holter e deve utilizar medicamentos antiarrítmicos (atenolol,
propranolol, metoprolol, carvedilol, amiodarona,
propafenona), mas apresenta frequência cardíaca média ou
mínima já baixas no Holter.
• Esses medicamentos podem abaixar mais ainda a frequência
cardíaca e provocar pausas.
• Então, o marca-passo é implantado para que a pessoa possa
tomar esses medicamentos.
SUPORTE PARA MEDICAÇÃO ANTIARRÍTMICA
• Os dispositivos modernos também podem tratar as
taquicardias atriais e as taquicardias
supraventriculares com ATP (anti-tachi pacing),
que é um recurso de modernos aparelhos.
• São pacientes com as Síndromes Bradi-Taqui.
TAQUICARDIAS ATRIAIS E TAQUICARDIAS SUPRAVENTRICULARES
• Esses dispositivos tratam ainda a síndrome vaso-
vagal tipo resposta cardio-inibitória, onde o estímulo
em questão (susto, claustrofobia, calor, multidão
etc) provoca uma queda na frequência cardíaca
maior que 30 bpm, no exame TILT-teste.
SÍNDROME VASO-VAGAL
TIPO RESPOSTA CARDIO-INIBITÓRIA
• Bloqueios atrioventriculares (raramente).
• Doença do nó sinusal.
• Fibrilação atrial com baixa resposta ventricular.
MARCAPASSO NO IDOSO OCTAGENÁRIO AS
INDICAÇÕES MAIS COMUNS DE MARCA-PASSOS
EM IDOSOS SÃO:
• Embora nos casos de bloqueios atrioventriculares e doença do nó
sinusal a onda P (atrial) seja boa e saudável, o implante de eletrodo
atrial é arriscado, pois existe o risco de perfuração cardíaca atrial,
tamponamento e até morte. Nestes casos pode ser prudente o uso de
eletrodo tipo VDD, onde em um único eletrodo existe um anel de
sensibilidade atrial passivo, sem fixação ativa (onde se perfura átrios),
e um alertado de fixação passiva ventricular. Um procedimento
simples, o implante de marca-passo VDD, com segurança para o
paciente.
• Na opção de implante de marca-passo bicameral (DDD) no idoso com
mais de 80 anos, deve-se levar em consideração o estado físico desse
paciente, o posicionamento fácil do eletrodo atrial (com preferência ao
posicionamento em auriculeta direita do que em parede livre de átrio) e
manuseio delicado na liberação do eletrodo após sua fixação ativa.
• Outro aspecto do implante de marca-passo em idoso octogenário é a
tortuosidade das veias subclávia esquerda e cava, formando ângulos
agudos para a progressão dos eletrodos. Essa dificuldade é facilmente
vencida pelo cirurgião cardiovascular que se utiliza de técnicas
endovasculares para manusear a ponta do eletrodo e seus fios guias,
de modo a vencer essas tortuosidades e posicionar os eletrodos.
ATIVIDADE FÍSICA
• Os portadores de marca-passo são em sua maioria
idosos, e isso não quer dizer que eles não devam
praticar atividade física.
• O marca-passo não é impedimento para atividades,
salvo aquelas que tragam risco de trauma no local do
gerador.
• Atividades aeróbicas e anaeróbicas devem ser
encorajadas após o primeiro mês do implante,
preferencialmente evitando esforço extenuante no
membro superior do lado onde está localizado o
dispositivo.
Desde 2010, já existem mercado brasileiro os
marca-passos MRI, que são compatíveis com
ressonância magnética.
TELEFONE
RESSONÂNCIA MAGNÉTICA
FORNO MICROONDAS
• Os ajustes do marca-passo devem ser realizados periodicamente e
geralmente são agendados a cada três ou seis meses. Podem ser
realizados ajustes de acordo com o uso do paciente e as
capacidades de cada marca-passo. Por exemplo, alguns têm
sensores de movimento, de temperatura e de respiração, que
aceleram os batimentos em caso de maior demanda.
• O raciocínio é que um paciente que pratica corrida pode se
beneficiar de uma maior frequência cardíaca quando correm, e vão
se sentir melhor se essa frequência voltar ao normal quando param
de correr.
• A maioria dos marca-passos apresenta funções inteligentes, que
podem ser acionadas para prover maior conforto ao portador. Isso
pode ser programado e ajustado de acordo com a necessidade diária
CUIDADOS COM O APARELHO
• Esses marca-passos suportam campos eletromagnéticos intensos
e, por isso, permitem uma vida praticamente normal.
• Hoje em dia, a ressonância magnética é um exame que será
necessário para a maioria das pessoas: para doenças da idade
(coluna, AVC, quadril, doenças neuro-degenerativas), e também
para doenças dos jovens (lesões de joelho, ombro, quadril).
• É função médico cirurgião cardíaco que for fazer o implante do
marca-passo, solicitar ao convênio a prótese que traz essa nova
tecnologia.
INTERESSANTE !
• Mais recentemente (2015), já temos
desfibriladores compatíveis com ressonância
magnética de corpo inteiro.
• E também ressincronizadores cardíacos
compatíveis com ressonância, desde que o
eletrodo de VE (ventrículo esquerdo) tenha sido
implantado via seio coronário e não epicárdico.
INTERESSANTE !
• Atualmente, os novos marca-passos conseguem distinguir
bem entre artefatos das contrações musculares e ondas
elétricas cardíacas.
• Porém, as atividades profissionais que provocam intensa
vibração são contraindicadas, por exemplo, atividades que
necessitam o uso de britadeiras, e motoristas de
empilhadeiras.
• Esportes com os membros superiores como natação e tênis
estão liberados.
ESPORTE/ TRABALHO
• As baterias dos aparelhos antigos duravam em média de 4 a
5 anos. Hoje em dia, as baterias podem durar até 16 anos,
dependendo do consumo do paciente.
• Na troca dessa bateria, os eletrodos antigos são mantidos,
apenas o gerador é trocado.
• Esse procedimento é bem mais rápido que o implante, e é
realizado apenas com anestesia local e leve sedação.
• O paciente tem alta imediatamente após a troca.
DURAÇÃO DA BATERIA
Nos EUA, as indicações de Desfibriladores (CDI) são bem mais liberais que
as do Brasil. Por motivos de economia em saúde pública, as Diretrizes
Brasileiras são ainda de 2007.
•
DESFIBRILADORES
• Os desfibriladores são indicados para prevenir a Morte Súbita Cardíaca, a
parada cardíaca em pacientes que já tiveram alguma vez (prevenção
secundária) ou em quem nunca teve (prevenção primária).
• São considerados candidatos os pacientes que têm o coração muito
fraco (Fração de Ejeção menor de 35%) ou moderadamente fraco (FEVE 35-
40%), mas com presença de arritmia grave (taquicardia ventricular) no holter
ou em estudo eletrofisiológico.
• São aparelhos grandes, e ficam com aspecto inestético. Modelos antigos
tinham de ser implantados abaixo da pele para se evitar leituras frequentes
de contraturas musculares levando o aparelho a interpretar como arritmias.
• Já os aparelhos desfibriladores modernos diferenciam bem arritmias de
contraturas musculares e o cirurgião cardíaco pode fazer implante
submuscular (da mesma maneira com que os cirurgiões plásticos colocam
próteses de silicones), de forma a que esse grande aparelho fique
praticamente imperceptível, mesmo em pessoas magras.
DESFIBRILADORES
• A duração da bateria dos desfibriladores é de
aproximadamente 6 anos, se houver pouco ou
nenhum uso, alguns produtos atuais têm chegado a
8 ou 9 anos, mas pode ser bem menor caso o
paciente receba choques.
• A cada dia que passa, chegam ao mercado
desfibriladores menores, mais estéticos, com
baterias mais duráveis, mais inteligentes no
reconhecimento de arritmias e que fornecem mais
informações ao médico assistente.
DURAÇÃO DA BATERIA DOS DESFIBRILADORES
• O choque que o paciente recebe pode assustar, mas traz a
certeza de que ele foi ressuscitado naquele momento, e de
que ganhou mais vida pelo uso do aparelho.
• Não há a necessidade de ir correndo ao hospital, porém,
assim que possível este paciente deve marcar um retorno
com seu cirurgião para analisar a leitura do aparelho e, ser
for constatado choque apropriado por arritmia grave, as
medicações antiarrítmicas devem ser otimizadas.
O CHOQUE DO DESFIBRILADOR
• Marca-passos não mudam em nada a qualidade de vida do paciente,
mesmo jovem.
• Técnicas e propostas diferenciadas devem ser aplicadas a idosos.
• Podem ser implantados por técnica estética submuscular sem
nenhuma interferência na detecção de arritmias pelos aparelhos.
• Desfibriladores têm ampla indicação para prevenção de morte súbita
cardíaca.
• No Brasil, indica-se muito pouco ainda (Diretrizes de 2007). Mas
protocolos americanos (AHA 2009) são bem mais flexíveis e, em
outros países, protegem-se muitos mais pacientes.
FINALMENTE
• http://www.deca.org.br
• http://www.macamp.com.br
• http://www.arritmiacardiaca.com.br/p_entendendo07.php
• http://www.relampa.org.br/imageBank_busca.asp
• http://www.minhavida.com.br/saude/materias/15303-marca-passo-
cardiaco-pede-cuidados-especiais-para-quem-faz-atividade-fisica
• http://www.deca.org.br/Publica/SobreSeuCoracao_Marcapasso.aspx
• http://www.hospitalmedcenter.com.br/med/blog/instituto-do-
cora%C3%A7%C3%A3o-de-patroc%C3%ADnio-realiza-implante-de-
marcapasso
PARA SABER MAIS ACESSE...
https://www.youtube.com/watch?v=jNzgQ17RVVo
https://www.youtube.com/watch?v=gMdEyZrs80g
https://www.youtube.com/watch?v=Lek42xZ-N6Q
VÍDEO PARA PROJETOS
Professor Eraldo Carvalho
E-mail: eraldogon@gmail.com
OBRIGADO

O Marca Passo.pdf

  • 1.
  • 2.
    • As pessoasque apresentam a frequência dos batimentos cardíacos muito baixa - a chamada de bradicardia - podem apresentar diversos sintomas, como fraqueza, tonturas e desmaios. • Com a exceção de atletas bem treinados, nos quais a bradicardia pode ser fisiológica e até esperada, a frequência cardíaca deve subir durante esforço físico ou atividades que precisam de um maior volume de sangue bombeado por minuto pelo coração, chamado de débito cardíaco. CONSIDERAÇÕES INICIAIS
  • 3.
    • O tratamentopara as bradicardias que tenham sintomas ou tragam riscos à saúde é o implante de um marca-passo definitivo. Este aparelho é um microcomputador que é conectado ao coração através de fios que detectam a frequência cardíaca e estimulam-no a bater mais rápido se necessário. • O gerador do marca-passo - a caixa metálica que é composta pelos componentes eletrônicos e pela bateria - fica logo abaixo da pele do tórax, entre a gordura e o músculo peitoral. • Os eletrodos, conectados a esta caixa são amarrados à musculatura e têm sua extremidade mais distal fixada ao músculo cardíaco. O MARCA-PASSO
  • 4.
  • 5.
    • Marcapasso éum dispositivo de aplicação médica que tem o objetivo de regular os batimentos cardíacos. Isto é conseguido através de um estímulo elétrico emitido pelo dispositivo quando o número de batimentos em um certo intervalo de tempo está abaixo do normal, por algum problema na condução do estímulo natural do coração pelo seus tecidos antes de atingir os ventrículos. • Os primeiros aparelhos marca-passo eram externos e de certa forma perigosos pois poderiam potencialmente eletrocutar seu portador... • Atualmente o tamanho do aparelho foi reduzido e pode ser implantado no corpo do paciente pois é selado hermeticamente numa cápsula de metal e possui pilhas recarregáveis através de terminais externos. • Sua cápsula externa em geral é feita de titânio por ser um material fisiologicamente inerte, o que reduz o risco de rejeição pelo sistema imunológico. O MARCA PASSO
  • 6.
    História do marcapasso no Brasil HISTÓRIA DO MARCA PASSO
  • 7.
    • O primeiromarcapasso artificial foi desenvolvido por Elmquist e implantado por Senning em 1958. • Em 1960, Chardack e Greatbatch construíram um aparelho implantável no subcutâneo, com pequenas dimensões e peso reduzido. • Surgiram outras unidades desenvolvidas por Zoll e Kantrowitz. • No Brasil, Kormann foi pioneiro em desenvolver e implantar geradores com tecnologia nacional.
  • 8.
    O PRIMEIRO MARCAPASSO DO MUNDO (RÉPLICA) Em 1932, nos Estados Unidos, Albert Hyman, utilizou um gerador de pulsos movido a manivela e um cabo-eletrodo bipolar introduzido diretamente no tórax para promover estimulação cardíaca. Estabeleceu o conceito “PACE”.
  • 9.
    MINI CLINIC FABRICADOPELA ELETROLIFE, DA DÉCADA DE 1975 Mini Clinic da empresa Eletrolife, fabricado em 1975. Tem por finalidade avaliar os parâmetros eletrônicos do marca-passo como frequência, intervalo de pulso e duração.
  • 10.
    MINI CLINIC FABRICADOPELA TELECTRONICS, NA DÉCADA DE 1980 Aparelho Mini Clinic fabricado pela Telectronics, produzido na década de 1980, tem como característica avaliar os marca passos bicamerais (dupla-câmara).
  • 11.
    MINI CLINIC FABRICADOPELA BIOTRONIK, NA DÉCADA DE 1980 Mini Clinic fabricado pela Medtronic nos Estados Unidos, na década de 1980.
  • 12.
    MARCAPASSO EXTERNO FABRICADONO INCOR / SÃO PAULO Marcapasso externo fabricado no InCor (Instituto do Coração – HC – FMUSP), década de 1970/80.
  • 13.
    MARCAPASSO BICAMERAL FABRICADOPELA MEDTRONIC, NO INÍCIO DA DÉCADA DE 1980 • Marcapasso Bicameral fabricado pela Medtronic, no início da década de 1980. • Um dos primeiros geradores dupla-câmera fabricado no mundo.
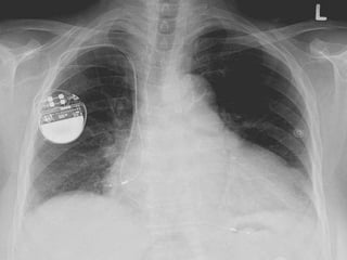
  • 15.
    • No mundo,milhões de pacientes já foram operados para receber um marca passo. Atualmente, a cirurgia é considerada simples, de rotina, dura pouco mais de uma hora e o paciente pode ir para casa no mesmo dia ou no dia seguinte. • Quando avaliado pelo médico especialista, que indica a cirurgia, as etapas do procedimento são explicadas detalhadamente ao paciente, que pode alimentar-se até algumas horas antes do procedimento. • Após a limpeza rigorosa da região peitoral do lado esquerdo ou direito, o local abaixo da clavícula recebe anestesia local e é feita uma pequena incisão. Em seguida, o eletrodo do marca passo é cuidadosamente introduzido por uma veia até o coração. O médico monitora o posicionamento correto do eletrodo no coração por meio de um sistema de raios X. • Depois de testar a posição e o funcionamento do eletrodo, ele é conectado ao marcapasso, que é implantado em uma pequena “bolsa” sob da pele. Para finalizar, o médico fecha o local da incisão. COMO É O PROCEDIMENTO PARA COLOCAR O MARCA PASSO ?
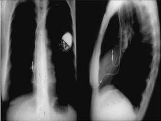
  • 16.
    PROCEDIMENTO DE IMPLANTEDE MARCA PASSO REALIZADO NA SALA DE HEMODINÂMICA ( RADIOLOGIA INTERVENCIONISTA )
  • 17.
  • 29.
    • O pacienterecupera-se em pouco tempo após o procedimento de implante. Os sintomas de tonturas e falta de ar costumam desaparecer imediatamente após a cirurgia. Pode haver dor ligeira no local do implante, mas esse desconforto em geral diminui rapidamente e em pouco tempo o paciente não sentirá mais nada. • Entretanto, o médico responsável pelo tratamento deverá ser consultado em caso da incisão cirúrgica ficar vermelha ou esquentar, inchar ou escorrer líquido e se o paciente apresentar febre, tontura, dores no peito, cansaço ou fraqueza importante. Nos primeiros dias após a intervenção, movimentos amplos com o braço do lado do marca passo devem ser evitados. • Logo após o implante, haverá a primeira avaliação e o médico verificará a atividade cardíaca, as funções e os parâmetros do marca passo. A programação será ajustada às necessidades individuais de cada paciente, o que é muito simples, pois o médico utiliza um aparelho externo denominado programador para a essa avaliação. Na maioria dos casos, o paciente nem percebe que o aparelho foi reprogramado. • A partir desse momento, o médico marcará acompanhamentos em intervalos regulares, geralmente a cada seis meses. Nesses exames, avalia-se detalhadamente o funcionamento do marca passo e o estado da bateria. COMO É O PÓS-OPERATÓRIO DA CIRURGIA DE MARCA ASSO ?
  • 30.
    O paciente retornaao leito, no quarto ou na UTI, e pode receber alta no dia seguinte. ONDE O PACIENTE AGUARDA APÓS A CIRURGIA ?
  • 31.
    O tempo derecuperação difere entre as pessoas, mas a maioria dos pacientes poderá retomar suas atividades diárias habituais 30 dias após o implante. QUANDO O PACIENTE QUE IMPLANTA UM MARCA PASSO PODE RETOMAR SUA VIDA NORMAL?
  • 32.
    • Um marca-passoé um dispositivo projetado para tratar um ritmo cardíaco lento. • Quando as pessoas se referem a um marca-passo, elas na verdade estão discutindo um sistema de estimulação: um marca-passo, um ou dois cabos-eletrodos e um programador. • Duas partes são colocadas dentro do corpo: o marca-passo e o cabo- eletrodo. O QUE É UM MARCA-PASSO ?
  • 33.
    • O marca-passoé uma pequena caixa metálica que contém circuitos eletrônicos e uma bateria. O marca-passo monitora o coração continuamente, e envia um pulso elétrico para compassar o coração quando seu próprio ritmo é interrompido, está irregular ou muito lento. • O cabo-eletrodo é um fio isolado que transporta o minúsculo pulso elétrico do marca-passo ao coração para regular o ritmo cardíaco. • A terceira parte, o programador, é mantido em um hospital ou clínica. Um enfermeiro ou médico usa o computador especializado para ver como o marca-passo está trabalhando e, se necessário, ajustar a configuração do marcapasso.
  • 34.
    Marca-passo câmara única– o eletrodo é colocado no ventrículo direito (parte inferior do coração). Marca-passo câmara dupla – são colocados dois eletrodos, um no átrio e outro no ventrículo direitos. HÁ DOIS TIPOS DE MARCA-PASSO:
  • 35.
    • O modelo3077 tem dois modos de estimulação de alta frequência para o tratamento de taquicardia. Através do toque em apenas um botão, a frequência de pulsos pode ser duplicada ou quadruplicada. • O marca passo, então, estimula em um modo assíncrono. Um sinal acústico é emitido automaticamente durante a estimulação em frequência elevada. • Os erros que ocorrem durante a operação são indicados visualmente e acusticamente. Um circuito especial permite uma inspeção automática da voltagem da bateria. • Com a ajuda de um LED e também de um sinal acústico, a drenagem completa da bateria pode ser prevenida. GERADOR DE MARCA PASSO EXTERNO CÂMARA ÚNICA
  • 36.
    • É idealpara a estimulação temporária de marca-passo. • Perfeito para situações de emergência em UTI ou Pronto Socorro, bem como após cirurgias cardíacas. MARCA-PASSO EXTERNO CÂMARA DUPLA
  • 37.
    1. Bloqueio Atrioventricular; 2.Bradicardia Sinusal acentuada (Doença do Nó Sinusal) 3. Fibrilação Atrial com baixa resposta ventricular (com frequência cardíaca baixa) 4. Síndrome Vaso Vagal (Síncope Neurocardiogênica) do tipo cardio-inibitória. 5. Suporte para medicação antiarrítmica; 6. Taquicardias atriais e as taquicardias supraventriculares com ATP (anti-tachi pacing); 7. Síndrome vaso-vagal tipo resposta cardio-inibitória MARCA-PASSOS E DESFIBRILADORES SÃO DISPOSITIVOS CARDÍACOS ELETRÔNICOS IMPLANTÁVEIS QUE SÃO VERDADEIROS ANJOS DA GUARDA. OS DOIS POSSUEM FUNÇÕES DIFERENTES: MARCA-PASSOS SÃO UTILIZADOS PARA TRATAR BRADICARDIAS, QUE SÃO SITUAÇÕES EM QUE “O CORAÇÃO ESTÁ LENTO” SÃO ELAS:
  • 38.
    • Utilizar omarca-passo como suporte para medicação antiarrítmica é uma indicação crescente em cardiologia. • Isso acontece quando o paciente tem arritmias elevadas no Holter e deve utilizar medicamentos antiarrítmicos (atenolol, propranolol, metoprolol, carvedilol, amiodarona, propafenona), mas apresenta frequência cardíaca média ou mínima já baixas no Holter. • Esses medicamentos podem abaixar mais ainda a frequência cardíaca e provocar pausas. • Então, o marca-passo é implantado para que a pessoa possa tomar esses medicamentos. SUPORTE PARA MEDICAÇÃO ANTIARRÍTMICA
  • 40.
    • Os dispositivosmodernos também podem tratar as taquicardias atriais e as taquicardias supraventriculares com ATP (anti-tachi pacing), que é um recurso de modernos aparelhos. • São pacientes com as Síndromes Bradi-Taqui. TAQUICARDIAS ATRIAIS E TAQUICARDIAS SUPRAVENTRICULARES
  • 41.
    • Esses dispositivostratam ainda a síndrome vaso- vagal tipo resposta cardio-inibitória, onde o estímulo em questão (susto, claustrofobia, calor, multidão etc) provoca uma queda na frequência cardíaca maior que 30 bpm, no exame TILT-teste. SÍNDROME VASO-VAGAL TIPO RESPOSTA CARDIO-INIBITÓRIA
  • 42.
    • Bloqueios atrioventriculares(raramente). • Doença do nó sinusal. • Fibrilação atrial com baixa resposta ventricular. MARCAPASSO NO IDOSO OCTAGENÁRIO AS INDICAÇÕES MAIS COMUNS DE MARCA-PASSOS EM IDOSOS SÃO:
  • 43.
    • Embora noscasos de bloqueios atrioventriculares e doença do nó sinusal a onda P (atrial) seja boa e saudável, o implante de eletrodo atrial é arriscado, pois existe o risco de perfuração cardíaca atrial, tamponamento e até morte. Nestes casos pode ser prudente o uso de eletrodo tipo VDD, onde em um único eletrodo existe um anel de sensibilidade atrial passivo, sem fixação ativa (onde se perfura átrios), e um alertado de fixação passiva ventricular. Um procedimento simples, o implante de marca-passo VDD, com segurança para o paciente. • Na opção de implante de marca-passo bicameral (DDD) no idoso com mais de 80 anos, deve-se levar em consideração o estado físico desse paciente, o posicionamento fácil do eletrodo atrial (com preferência ao posicionamento em auriculeta direita do que em parede livre de átrio) e manuseio delicado na liberação do eletrodo após sua fixação ativa. • Outro aspecto do implante de marca-passo em idoso octogenário é a tortuosidade das veias subclávia esquerda e cava, formando ângulos agudos para a progressão dos eletrodos. Essa dificuldade é facilmente vencida pelo cirurgião cardiovascular que se utiliza de técnicas endovasculares para manusear a ponta do eletrodo e seus fios guias, de modo a vencer essas tortuosidades e posicionar os eletrodos.
  • 45.
    ATIVIDADE FÍSICA • Osportadores de marca-passo são em sua maioria idosos, e isso não quer dizer que eles não devam praticar atividade física. • O marca-passo não é impedimento para atividades, salvo aquelas que tragam risco de trauma no local do gerador. • Atividades aeróbicas e anaeróbicas devem ser encorajadas após o primeiro mês do implante, preferencialmente evitando esforço extenuante no membro superior do lado onde está localizado o dispositivo.
  • 46.
    Desde 2010, jáexistem mercado brasileiro os marca-passos MRI, que são compatíveis com ressonância magnética. TELEFONE RESSONÂNCIA MAGNÉTICA FORNO MICROONDAS
  • 47.
    • Os ajustesdo marca-passo devem ser realizados periodicamente e geralmente são agendados a cada três ou seis meses. Podem ser realizados ajustes de acordo com o uso do paciente e as capacidades de cada marca-passo. Por exemplo, alguns têm sensores de movimento, de temperatura e de respiração, que aceleram os batimentos em caso de maior demanda. • O raciocínio é que um paciente que pratica corrida pode se beneficiar de uma maior frequência cardíaca quando correm, e vão se sentir melhor se essa frequência voltar ao normal quando param de correr. • A maioria dos marca-passos apresenta funções inteligentes, que podem ser acionadas para prover maior conforto ao portador. Isso pode ser programado e ajustado de acordo com a necessidade diária CUIDADOS COM O APARELHO
  • 48.
    • Esses marca-passossuportam campos eletromagnéticos intensos e, por isso, permitem uma vida praticamente normal. • Hoje em dia, a ressonância magnética é um exame que será necessário para a maioria das pessoas: para doenças da idade (coluna, AVC, quadril, doenças neuro-degenerativas), e também para doenças dos jovens (lesões de joelho, ombro, quadril). • É função médico cirurgião cardíaco que for fazer o implante do marca-passo, solicitar ao convênio a prótese que traz essa nova tecnologia. INTERESSANTE !
  • 49.
    • Mais recentemente(2015), já temos desfibriladores compatíveis com ressonância magnética de corpo inteiro. • E também ressincronizadores cardíacos compatíveis com ressonância, desde que o eletrodo de VE (ventrículo esquerdo) tenha sido implantado via seio coronário e não epicárdico. INTERESSANTE !
  • 50.
    • Atualmente, osnovos marca-passos conseguem distinguir bem entre artefatos das contrações musculares e ondas elétricas cardíacas. • Porém, as atividades profissionais que provocam intensa vibração são contraindicadas, por exemplo, atividades que necessitam o uso de britadeiras, e motoristas de empilhadeiras. • Esportes com os membros superiores como natação e tênis estão liberados. ESPORTE/ TRABALHO
  • 51.
    • As bateriasdos aparelhos antigos duravam em média de 4 a 5 anos. Hoje em dia, as baterias podem durar até 16 anos, dependendo do consumo do paciente. • Na troca dessa bateria, os eletrodos antigos são mantidos, apenas o gerador é trocado. • Esse procedimento é bem mais rápido que o implante, e é realizado apenas com anestesia local e leve sedação. • O paciente tem alta imediatamente após a troca. DURAÇÃO DA BATERIA
  • 52.
    Nos EUA, asindicações de Desfibriladores (CDI) são bem mais liberais que as do Brasil. Por motivos de economia em saúde pública, as Diretrizes Brasileiras são ainda de 2007. • DESFIBRILADORES
  • 53.
    • Os desfibriladoressão indicados para prevenir a Morte Súbita Cardíaca, a parada cardíaca em pacientes que já tiveram alguma vez (prevenção secundária) ou em quem nunca teve (prevenção primária). • São considerados candidatos os pacientes que têm o coração muito fraco (Fração de Ejeção menor de 35%) ou moderadamente fraco (FEVE 35- 40%), mas com presença de arritmia grave (taquicardia ventricular) no holter ou em estudo eletrofisiológico. • São aparelhos grandes, e ficam com aspecto inestético. Modelos antigos tinham de ser implantados abaixo da pele para se evitar leituras frequentes de contraturas musculares levando o aparelho a interpretar como arritmias. • Já os aparelhos desfibriladores modernos diferenciam bem arritmias de contraturas musculares e o cirurgião cardíaco pode fazer implante submuscular (da mesma maneira com que os cirurgiões plásticos colocam próteses de silicones), de forma a que esse grande aparelho fique praticamente imperceptível, mesmo em pessoas magras. DESFIBRILADORES
  • 54.
    • A duraçãoda bateria dos desfibriladores é de aproximadamente 6 anos, se houver pouco ou nenhum uso, alguns produtos atuais têm chegado a 8 ou 9 anos, mas pode ser bem menor caso o paciente receba choques. • A cada dia que passa, chegam ao mercado desfibriladores menores, mais estéticos, com baterias mais duráveis, mais inteligentes no reconhecimento de arritmias e que fornecem mais informações ao médico assistente. DURAÇÃO DA BATERIA DOS DESFIBRILADORES
  • 57.
    • O choqueque o paciente recebe pode assustar, mas traz a certeza de que ele foi ressuscitado naquele momento, e de que ganhou mais vida pelo uso do aparelho. • Não há a necessidade de ir correndo ao hospital, porém, assim que possível este paciente deve marcar um retorno com seu cirurgião para analisar a leitura do aparelho e, ser for constatado choque apropriado por arritmia grave, as medicações antiarrítmicas devem ser otimizadas. O CHOQUE DO DESFIBRILADOR
  • 58.
    • Marca-passos nãomudam em nada a qualidade de vida do paciente, mesmo jovem. • Técnicas e propostas diferenciadas devem ser aplicadas a idosos. • Podem ser implantados por técnica estética submuscular sem nenhuma interferência na detecção de arritmias pelos aparelhos. • Desfibriladores têm ampla indicação para prevenção de morte súbita cardíaca. • No Brasil, indica-se muito pouco ainda (Diretrizes de 2007). Mas protocolos americanos (AHA 2009) são bem mais flexíveis e, em outros países, protegem-se muitos mais pacientes. FINALMENTE
  • 59.
    • http://www.deca.org.br • http://www.macamp.com.br •http://www.arritmiacardiaca.com.br/p_entendendo07.php • http://www.relampa.org.br/imageBank_busca.asp • http://www.minhavida.com.br/saude/materias/15303-marca-passo- cardiaco-pede-cuidados-especiais-para-quem-faz-atividade-fisica • http://www.deca.org.br/Publica/SobreSeuCoracao_Marcapasso.aspx • http://www.hospitalmedcenter.com.br/med/blog/instituto-do- cora%C3%A7%C3%A3o-de-patroc%C3%ADnio-realiza-implante-de- marcapasso PARA SABER MAIS ACESSE...
  • 60.
  • 61.
    Professor Eraldo Carvalho E-mail:eraldogon@gmail.com OBRIGADO