MELHORE A
MEMÓRIA COM
SIMPLES
ESTRATÉGIAS
RUBENS DE FRAGA JÚNIOR
Presenter’s name if needed
AS PESSOAS ESTÃO VIVENDO
MAIS !
COMO APROVEITAR ESTES
20 ANOS EXTRAS?
… Isso dependerá de tua SAÚDE !
?
A SAÚDE NA VELHICE
NÃO É ACIDENTAL !
NÃO EXISTE UMA PESSOA
IDOSA TÍPICA !
 
O
OBJETIVO:
MAXIMIZAR
CAPACIDADE
FUNCIONAL
CRIAR AMBIENTES
AMIGOS DO IDOSO
COMBATER O PRECONCEITO DA
VELHICE
VIABILIZAR A AUTONOMIA
POLITICAS DE ENVELHECIMENTO
SAUDÁVEL
QUEM É IDOSO?
QUEM É IDOSO?
NOSSA CULTURA DEIFICA
A JUVENTUDE!
NO MUNDO OCIDENTAL DE
HOJE, A VELHICE É TIDA
COMO UMA DOENCA
INCURÁVEL, COMO UM
DECLÍNIO INEVITÁVEL,
QUE
ESTÁ VOLTADO AO
FRACASSSOFRACASSSO
O QUE LIMITA O IDOSO...
O PROCESSO
NATURAL DE
ENVELHECIMENTO?
OU
AS DOENÇAS
CRÔNICAS?
COGNIÇÃO
Funções cognitivas
Atenção Iniciativa
Memória Linguagem
Cálculo
Praxia
Funções executivas
Capacidade Visuoespacial
Orientação tempo e espaço
DEMÊNCIA
Deterioração progressiva e anormal de
pelo menos duas áreas das funções
cognitivas, comprometendo a vida diária
do paciente, não sendo causada por doença
do humor ou delirium.
INCIDÊNCIA
< 1 % das pessoas abaixo de 65 anos
10-15 % das pessoas acima de 65 anos
4-20 % entre 65 e 75 anos
15-30 % entre 75 e 85 anos
>35 % acima da idade de 85 anos
PERDA DE MEMÓRIA...
“A queixa de perda de memória deste
idoso está relacionada a um
esquecimento normal que acompanha o
envelhecimento, depressão, ou às
primeiras manifestações da Doença de
Alzheimer (DA) ou outra forma de
demência?”
GRAUS DO DECLINIO
COGNITIVO
Normal, declínio cognitivo associado à
idade
Comprometimento Cognitivo Leve (CCL)
Demência
O CONTINUUM COGNITIVO
Comprometimento Cognitivo Leve -CCL
Normal
Doença de Alzheimer - DA
10%
Doença de Alzheimer
-VascularDoença de
Alzheimer
(DA)
53%
8%
Demência
vascular
8%
Demência
Fronto-
temporal
6%
Outras
5%
DCL10%
DA + DCL
DEMÊNCIAS
ALGUMAS SURPRESAS…
Depressão
Iatrogênica (anticolinérgicos, sedativos,
narcóticos, bloqueadores H2 , polifarmácia)
Hipotireoidismo
Deficiência de B12
Neurosífilis
Demência alcoólica
Hidrocefalia de pressão normal
Hematoma subdural
O DIAGNÓSTICO
História e exame clínico
Testagem cognitiva
Exames complementares:
Sangue (função renal e hepática, B12,
Hemograma, Folato, TSH, VDRL, cálcio,
electrólitos, medicamentos)
Imagem (TC ou RNM)
DOENÇA DE ALZHEIMER
Déficits proeminentes de memória,
frequentemente a queixa principal ,
seguidas de déficits de iniciativa e
visuoespacial
Dificuldade de encontrar palavras ,
compreensão, fala vazia.
Dificuldade de julgamento, abstração,
funções executivas (não consegue avaliar
riscos)
A DOENÇA DE ALZHEIMER
Placas senis
Fusos neurofibrilares
CURSO CLÍNICO DA DA
Deterioração cognitiva progride e afeta
todas as áreas da cognição
Aivds pioram progressivamente (dirigir,
telefonar, fazer o banco)
Nas fases moderadas a severas o
paciente não realiza Avds.
No estágio final a doença compromete
todas as funções cerebrais
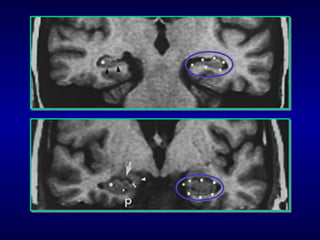
NEUROIMAGEM
Inicia com atrofia hipocampal e do córtex
entorrinal.
Associada ao genótipo ApoE4 em idosos.
Associada com a presenilina 1 e 2 nos
adultos jovens.
ENVELHECIMENTO
SAUDÁVEL
MANTENHA-SE MENTALMENTE ATIVO
Ser curioso e estar pronto a aprender
Ler,escrever, fazer palavras cruzadas, jogos de
memória
Assistir palestras e peças teatrais
Fazer cursos
Jogos
Jardinagem
Viagens
A MEMÓRIA
HA DIMINUIÇÃO COM O
ENVELHECIMENTO...
memória de trabalho
memória episódica
capacidade multitarefas
MEMÓRIA DE TRABALHO
DEPENDE DO
CORTEX
PRÉ FRONTAL
A memória de trabalho declina com o envelhecimento,
devido a mudanças na velocidade de processamento e
da atenção
TREINAMENTO COGNITIVO
CONCENTRAÇÃO : é
preciso focar a atenção
naquilo que desejamos
memorizar e dispender o
tempo de 4 a 8 segundos
IMAGEM : Crie uma imagem
mental
ASSOCIAÇÃO: Devemos
associar, ligar o novo ao
velho
Yesavage, Sheikh, Friedman, & Tanke, 1990
A MEMÓRIA
Pratique o processo CIA
Quanto maior a clareza do processo
de retenção da informação , mais fácil
relembrá-larelembrá-la
José Marta Raquel
Sonia Rafael Manoel
DICAS DE COMO
MELHORAR A
MEMÓRIA
Ver o seu médico
regularmente é crucial.
Problemas de saúde como
pressão alta, diabetes e
depressão podem causar
problemas de memória se
não forem tratados.
O exercício - pelo menos
30 minutos, três vezes por
semana - também pode
ajudar, aumentando o fluxo
sanguíneo para o cérebro
Dormir o suficiente - pelo
menos 7 ou 8 horas por
noite - pode ajudá-lo a se
concentrar e lembrar
melhor.
Preste atenção ao sono. Ronco
durante o sono e sentir-se
sonolento no dia seguinte podem
ser sinais de apnéia do sono.
Pessoas com apnéia do sono não
tratada param de respirar
rapidamente, mas repetidamente,
durante o sono. Essa respiração
interrompida pode privar o
cérebro de oxigênio e causar
problemas de memória.
Comer uma dieta equilibrada e
boa é essencial. Escolha
alimentos como frutas e
vegetais, juntamente com
grãos integrais, e peixes como
salmão, atum e sardinha, que
são ricos em ácidos graxos
ômega-3, saudáveis para o​​
coração e para o cérebro.
Pratique técnicas de
redução de estresse. O
estresse pode tornar o
aprendizado e evocar mais
dificuldades. Atividades
como ioga, meditação e
oração podem aliviar o
estresse e ajudar na
memória.
Mantenha-se mentalmente ativo.
Atividades que envolvem a
resolução de problemas e outros
trabalhos mentais mantêm sua
mente ajustada, assim como a
socialização regular. Tente ler,
aprender um instrumento ou
linguagem, jogar cartas, ser
voluntário ou participar de um
grupo de discussão.
Mantenha-se hidratado.
Beba bastante água - de 6
a 8 copos por dia no
mínimo- e reduza
radicalmente a ingestão de
álcool a não mais do que
uma dose por dia.
Não faça duas ou mais tarefas ao mesmo
tempo (multitarefa). Multitarefa - como
ler esta folha e ouvir as notícias ao
mesmo tempo - diminuirá a recordação
mais tarde.
A multitarefa sobrecarrega seus circuitos
de memória de trabalho, dificultando o
processamento de informações
detalhadas.
Mantenha a simplicidade - anote
o que você quer lembrar e
escreva lembretes. Concentre-se
no que você quer lembrar -
concentre-se, imagine, repita,
associe e verbalize
Certos antidepressivos, medicamentos ansiolíticos,
medicamentos para pressão arterial e colesterol,
remédios para dormir, medicamentos para úlcera,
analgésicos e remédios para alergia e
medicamentos de venda livre, como antialérgicos,
podem afetar sua memória - especialmente se
você toma mais de um desses medicamentos.
Converse com seu médico se você começar a ter
problemas para lembrar depois de iniciar um novo
medicamento.
Ajustar as doses ou mudar de um
medicamento para outro pode resolver
bem o problema.
Se você está sendo tratado para
diabetes, é importante ter certeza de
que o tratamento é o mais adequado,
pois os níveis de açúcar no sangue, que
estão muito altos ou muito baixos,
podem fazer com que a memória falhe.
Condições de saúde crônicas, se não forem
bem controladas, podem contribuir para
problemas de memória.
Doenças cardíacas, hipertensão arterial,
diabetes, doença pulmonar obstrutiva crônica
(DPOC), doença renal crônica, acidente
vascular cerebral e doenças da tireoide são
algumas das condições que contribuem para os
problemas de memória.
ESTRATÉGIAS
PRÁTICAS NO SEU DIA
A DIA
Tenha um diário para
anotar seus compromissos e
tarefas. Se você preferir
tecnologia, use seu
smartphone ou tablet.
Atribuir locais específicos para itens
específicos. Óculos podem ir para sua
mesa de cabeceira. Toda vez que você
tirá-los, coloque seus óculos no mesmo
lugar.
Atribua lugares para suas chaves, seus
medicamentos, sua carteira, seu cartão
de credito e o controle remoto.
Para aprender e lembrar o nome
de alguém, tente visualizar o
nome e conectar a imagem com
um recurso notável da pessoa
que você acabou de conhecer.
Vamos dizer que você precise memorizar quais
são as cinco maiores economias do mundo por
ordem de tamanho. Para facilitar pode
memorizar a frase “Esta Cidade Já Amanheceu
Rindo”. A primeira letra de cada palavra dessa
frase corresponde a primeira letra de cada país:
1º – Estados Unidos
2º – China
3º – Japão
4º – Alemanha
5º – Reino Unido.
Finalmente, lembre-se de que, enquanto
seu cérebro funciona como um
computador, você deve pensar nele como
um músculo.
Mantê-lo saudável, feliz e trabalhando.
Encontre atividades que estimulem sua
mente e um exercício físico de que
realmente goste.
OBRIGADO!

Melhore a memoria com simples estrategias

  • 1.
  • 2.
  • 4.
    AS PESSOAS ESTÃOVIVENDO MAIS !
  • 5.
    COMO APROVEITAR ESTES 20ANOS EXTRAS? … Isso dependerá de tua SAÚDE ! ?
  • 6.
    A SAÚDE NAVELHICE NÃO É ACIDENTAL !
  • 7.
    NÃO EXISTE UMAPESSOA IDOSA TÍPICA !  
  • 8.
  • 9.
    CRIAR AMBIENTES AMIGOS DOIDOSO COMBATER O PRECONCEITO DA VELHICE VIABILIZAR A AUTONOMIA POLITICAS DE ENVELHECIMENTO SAUDÁVEL
  • 10.
  • 11.
  • 12.
    NOSSA CULTURA DEIFICA AJUVENTUDE! NO MUNDO OCIDENTAL DE HOJE, A VELHICE É TIDA COMO UMA DOENCA INCURÁVEL, COMO UM DECLÍNIO INEVITÁVEL, QUE ESTÁ VOLTADO AO FRACASSSOFRACASSSO
  • 13.
    O QUE LIMITAO IDOSO... O PROCESSO NATURAL DE ENVELHECIMENTO? OU AS DOENÇAS CRÔNICAS?
  • 14.
    COGNIÇÃO Funções cognitivas Atenção Iniciativa MemóriaLinguagem Cálculo Praxia Funções executivas Capacidade Visuoespacial Orientação tempo e espaço
  • 15.
    DEMÊNCIA Deterioração progressiva eanormal de pelo menos duas áreas das funções cognitivas, comprometendo a vida diária do paciente, não sendo causada por doença do humor ou delirium.
  • 16.
    INCIDÊNCIA < 1 %das pessoas abaixo de 65 anos 10-15 % das pessoas acima de 65 anos 4-20 % entre 65 e 75 anos 15-30 % entre 75 e 85 anos >35 % acima da idade de 85 anos
  • 17.
    PERDA DE MEMÓRIA... “Aqueixa de perda de memória deste idoso está relacionada a um esquecimento normal que acompanha o envelhecimento, depressão, ou às primeiras manifestações da Doença de Alzheimer (DA) ou outra forma de demência?”
  • 18.
    GRAUS DO DECLINIO COGNITIVO Normal,declínio cognitivo associado à idade Comprometimento Cognitivo Leve (CCL) Demência
  • 19.
    O CONTINUUM COGNITIVO ComprometimentoCognitivo Leve -CCL Normal Doença de Alzheimer - DA
  • 20.
    10% Doença de Alzheimer -VascularDoençade Alzheimer (DA) 53% 8% Demência vascular 8% Demência Fronto- temporal 6% Outras 5% DCL10% DA + DCL DEMÊNCIAS
  • 21.
    ALGUMAS SURPRESAS… Depressão Iatrogênica (anticolinérgicos,sedativos, narcóticos, bloqueadores H2 , polifarmácia) Hipotireoidismo Deficiência de B12 Neurosífilis Demência alcoólica Hidrocefalia de pressão normal Hematoma subdural
  • 22.
    O DIAGNÓSTICO História eexame clínico Testagem cognitiva Exames complementares: Sangue (função renal e hepática, B12, Hemograma, Folato, TSH, VDRL, cálcio, electrólitos, medicamentos) Imagem (TC ou RNM)
  • 23.
  • 24.
    Déficits proeminentes dememória, frequentemente a queixa principal , seguidas de déficits de iniciativa e visuoespacial Dificuldade de encontrar palavras , compreensão, fala vazia. Dificuldade de julgamento, abstração, funções executivas (não consegue avaliar riscos) A DOENÇA DE ALZHEIMER
  • 27.
  • 28.
    CURSO CLÍNICO DADA Deterioração cognitiva progride e afeta todas as áreas da cognição Aivds pioram progressivamente (dirigir, telefonar, fazer o banco) Nas fases moderadas a severas o paciente não realiza Avds. No estágio final a doença compromete todas as funções cerebrais
  • 29.
    NEUROIMAGEM Inicia com atrofiahipocampal e do córtex entorrinal. Associada ao genótipo ApoE4 em idosos. Associada com a presenilina 1 e 2 nos adultos jovens.
  • 31.
    ENVELHECIMENTO SAUDÁVEL MANTENHA-SE MENTALMENTE ATIVO Sercurioso e estar pronto a aprender Ler,escrever, fazer palavras cruzadas, jogos de memória Assistir palestras e peças teatrais Fazer cursos Jogos Jardinagem Viagens
  • 32.
  • 33.
    HA DIMINUIÇÃO COMO ENVELHECIMENTO... memória de trabalho memória episódica capacidade multitarefas
  • 34.
    MEMÓRIA DE TRABALHO DEPENDEDO CORTEX PRÉ FRONTAL A memória de trabalho declina com o envelhecimento, devido a mudanças na velocidade de processamento e da atenção
  • 35.
    TREINAMENTO COGNITIVO CONCENTRAÇÃO :é preciso focar a atenção naquilo que desejamos memorizar e dispender o tempo de 4 a 8 segundos IMAGEM : Crie uma imagem mental ASSOCIAÇÃO: Devemos associar, ligar o novo ao velho Yesavage, Sheikh, Friedman, & Tanke, 1990
  • 36.
    A MEMÓRIA Pratique oprocesso CIA Quanto maior a clareza do processo de retenção da informação , mais fácil relembrá-larelembrá-la
  • 37.
  • 42.
  • 44.
    Ver o seumédico regularmente é crucial. Problemas de saúde como pressão alta, diabetes e depressão podem causar problemas de memória se não forem tratados.
  • 46.
    O exercício -pelo menos 30 minutos, três vezes por semana - também pode ajudar, aumentando o fluxo sanguíneo para o cérebro
  • 48.
    Dormir o suficiente- pelo menos 7 ou 8 horas por noite - pode ajudá-lo a se concentrar e lembrar melhor.
  • 49.
    Preste atenção aosono. Ronco durante o sono e sentir-se sonolento no dia seguinte podem ser sinais de apnéia do sono. Pessoas com apnéia do sono não tratada param de respirar rapidamente, mas repetidamente, durante o sono. Essa respiração interrompida pode privar o cérebro de oxigênio e causar problemas de memória.
  • 52.
    Comer uma dietaequilibrada e boa é essencial. Escolha alimentos como frutas e vegetais, juntamente com grãos integrais, e peixes como salmão, atum e sardinha, que são ricos em ácidos graxos ômega-3, saudáveis para o​​ coração e para o cérebro.
  • 54.
    Pratique técnicas de reduçãode estresse. O estresse pode tornar o aprendizado e evocar mais dificuldades. Atividades como ioga, meditação e oração podem aliviar o estresse e ajudar na memória.
  • 56.
    Mantenha-se mentalmente ativo. Atividadesque envolvem a resolução de problemas e outros trabalhos mentais mantêm sua mente ajustada, assim como a socialização regular. Tente ler, aprender um instrumento ou linguagem, jogar cartas, ser voluntário ou participar de um grupo de discussão.
  • 58.
    Mantenha-se hidratado. Beba bastanteágua - de 6 a 8 copos por dia no mínimo- e reduza radicalmente a ingestão de álcool a não mais do que uma dose por dia.
  • 60.
    Não faça duasou mais tarefas ao mesmo tempo (multitarefa). Multitarefa - como ler esta folha e ouvir as notícias ao mesmo tempo - diminuirá a recordação mais tarde. A multitarefa sobrecarrega seus circuitos de memória de trabalho, dificultando o processamento de informações detalhadas.
  • 62.
    Mantenha a simplicidade- anote o que você quer lembrar e escreva lembretes. Concentre-se no que você quer lembrar - concentre-se, imagine, repita, associe e verbalize
  • 64.
    Certos antidepressivos, medicamentosansiolíticos, medicamentos para pressão arterial e colesterol, remédios para dormir, medicamentos para úlcera, analgésicos e remédios para alergia e medicamentos de venda livre, como antialérgicos, podem afetar sua memória - especialmente se você toma mais de um desses medicamentos. Converse com seu médico se você começar a ter problemas para lembrar depois de iniciar um novo medicamento.
  • 65.
    Ajustar as dosesou mudar de um medicamento para outro pode resolver bem o problema. Se você está sendo tratado para diabetes, é importante ter certeza de que o tratamento é o mais adequado, pois os níveis de açúcar no sangue, que estão muito altos ou muito baixos, podem fazer com que a memória falhe.
  • 67.
    Condições de saúdecrônicas, se não forem bem controladas, podem contribuir para problemas de memória. Doenças cardíacas, hipertensão arterial, diabetes, doença pulmonar obstrutiva crônica (DPOC), doença renal crônica, acidente vascular cerebral e doenças da tireoide são algumas das condições que contribuem para os problemas de memória.
  • 68.
  • 70.
    Tenha um diáriopara anotar seus compromissos e tarefas. Se você preferir tecnologia, use seu smartphone ou tablet.
  • 72.
    Atribuir locais específicospara itens específicos. Óculos podem ir para sua mesa de cabeceira. Toda vez que você tirá-los, coloque seus óculos no mesmo lugar. Atribua lugares para suas chaves, seus medicamentos, sua carteira, seu cartão de credito e o controle remoto.
  • 74.
    Para aprender elembrar o nome de alguém, tente visualizar o nome e conectar a imagem com um recurso notável da pessoa que você acabou de conhecer.
  • 76.
    Vamos dizer quevocê precise memorizar quais são as cinco maiores economias do mundo por ordem de tamanho. Para facilitar pode memorizar a frase “Esta Cidade Já Amanheceu Rindo”. A primeira letra de cada palavra dessa frase corresponde a primeira letra de cada país: 1º – Estados Unidos 2º – China 3º – Japão 4º – Alemanha 5º – Reino Unido.
  • 78.
    Finalmente, lembre-se deque, enquanto seu cérebro funciona como um computador, você deve pensar nele como um músculo. Mantê-lo saudável, feliz e trabalhando. Encontre atividades que estimulem sua mente e um exercício físico de que realmente goste.
  • 79.

Notas do Editor

  • #5 Overall life expectancy for a baby born today is 71 years. But a person who is currently 60 years of age can expect to live 20 years more, on average.
  • #6 A longer life brings with it opportunities, not only for older people and their families, but also for societies as a whole. Additional years provide the chance to pursue new activities such as further education, a new career or pursuing a long neglected passion. Older people also contribute in many ways to their families and communities. Yet the extent of these opportunities and contributions depends heavily on one factor: health.
  • #7 Health in older age is not random. Only a small proportion is due to genetic inheritance. Most is due to ongoing interactions between broader characteristics of individuals and the environments they inhabit. Our personal characteristics include factors such as our sex and ethnicity, as well as our occupation, educational attainment, and wealth. These contribute to our social position and to our ability to access resources. Our environments include our home, neighbourhood and community. Factors that influence ageing include where we live, our transportation options, and the health-care systems and long-term care systems that we can access. The relationship we have with our environments varies according to many personal characteristics, including the family we were born into, our sex and our ethnicity. The influences of environments are often fundamentally skewed by these characteristics, leading to differences in how people age, and where these are unfair and avoidable, to health inequities. Importantly, these factors start to interact with each other and to influence ageing from childhood, onwards. Indeed, a significant proportion of the vast diversity of capacity and circumstance that we see in older age is likely to be underpinned by the cumulative impact of person-environment interactions across the life course.
  • #8 Biological ageing is only loosely associated with person age in years. Some 80 year-olds have physical and mental capacities similar to many 20 year-olds. Others experience declines in physical and mental capacities at much younger ages.
  • #9 The goal of healthy ageing is to help people develop and maintain the functional ability that enables well-being. This goal is relevant for every older person. Functional ability requires efforts to build and maintain the physical and mental capacities across the life course and into older age and to provide the support a person needs to compensate for losses in these capacities that will likely occur over time. Investing in both of these areas - maximizing capacity and ability– will enable older people to continue to do the things that are important to them. Maximizing functional ability is the primary goal of policies to promote healthy ageing.
  • #10 We need to ensure everyone can grow old in age-friendly environments. Creating environments that are truly age-friendly requires action in many sectors – health, long-term care, transport, housing, labour, social protection, information and communication – by many actors – government, service providers, civil society, older people and their organizations, families and friends. It also requires action at multiple levels of government. 1) Addressing ageism must lie at the core of any public health response to population ageing. Although this will be challenging, experiences combating other widespread forms of discrimination, such as sexism and racism, show that attitudes and norms can be changed. 2) Autonomy has been shown to have a powerful influence on older people’s dignity, integrity, freedom and independence, and has been repeatedly identified as a core component of their general well-being. Fundamentally, older people have a right to make choices and take control over a range of issues including where they live, the relationships they have, what they wear, how they spend their time and whether they undergo a treatment. 3) Finally, if the goals of Healthy Ageing are to be achieved, all government sectors need to consider their contribution to and impact on Healthy Ageing. National, regional, state or municipal ageing strategies and action plans can help to guide this intersectoral response, and ensure a coordinated approach that spans multiple sectors and levels of government.
  • #20 Added to series 6-29-2003, MC
  • #80 Joda at 900 years old, note the arthritic changes, the cane, the response to hearing loss, the major changes in skin tone and however importantly the intellect is maintained and the years accumulation of wisdom is awesome and must be respected. hairloss,